Technical Considerations
Using POCUS
Richard A. Palma
BS, ACS, RCCS,RCS, RDCS, FACVP,
FSDMS, FASE
Director and Clinical Coordinator
Duke School of Cardiac Ultrasound
• Lantheus medical Imaging: Speakers Bureau
• Philips Medical Imaging Speaker Bureau
• ESP Speaker Bureau (Physics)
Disclosures:
2
©2017 Trinity Health Of New England
Technical Difficulties Include
• Imaging through bone, air, and dense
tissues. leading to poor visualization
• Patient factors such as high body mass
index (BMI) and surgical dressings can
hinder image quality and window access
• POCUS devices may also have poor
battery life, lower image resolution
• Ergonomic challenges compared to larger
systems
Temporal Resolution
Ability to accurately display events in real-time
Rule - All the ultrasound from any given pulse must return to
the transducer before the next pulse.
Temporal resolution can be appreciated by observing the
Frame Rate
CARDIAC IMAGING IS ALL ABOUT THE FRAME RATE
Difficult to appreciate cardiac motion
with slow frame rate
Higher frame rate Lower frame rate
shallow deep
single focus multi focus ( lat res)
narrow sector wide sector
low line density hi line d’sity ( spat’l res)
SUMMARY - TEMPORAL RESOLUTION
Types of Resolution
•Axial Resolution
•(SPL)
•Lateral
(Beam Width)
•Elevational
•(Slice Thickness)
HIGH FREQUENCY SOUND
• Creates short pulses
• Creates less divergent beams
• High frequency sound improves both axial
resolution (everywhere) &
lateral resolution (in the far field only)
CLINICAL COMPROMISE
• Higher frequencies provide better image
detail
• Lower frequencies penetrate deeper
Attenuation
• Much, much higher in air than in soft
tissue
• Higher in
bone due to absorption
lung due to scattering
• much lower in water than soft tissue
Sound interaction with the body
Dr. Joseph Kisslo’s Rules of Echo
1.) If you don’t point at it,
you won’t see it
2.) If you don’t see it, you
can’t diagnosis it
3.) It’s not the heart
stupid !
Artifacts
Occurs due to many assumptions
•The transmitted and received waves travels in a
straight path
•The echoes return to the transducer after a single
reflection
•Echoes originate from the main beam
•The sound wave travels at a constant 1540 m/sec
•Pulses and echoes are attenuated uniformly by all
tissues (0.5 dB/cm/MHz)
Ultrasound Assumption Violations
Another way to think about these
Axial Direction
Artifacts located
below the real
Structure
Lateral Direction
Artifacts located to the side
of the real Structure
1.Reverberations
2.Mirror Image
Artifacts
3.Acoustical shadowing
or enhancement
1.Beam Width Artifacts
2.Side Lobe Artifacts
3.Refraction Artifacts
©2017 Trinity Health Of New England
1
4
Shadowing Artifact
Reverberation Artifact
Refraction Artifact
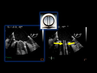
Mirror Artifact
Bertrand et al, JASE Volume 29 Number 5
(onlinejase.com video 4)
Side Lobe Artifact
Receiver Gain (Kills Resolution)
• Goal
– Correct brightness
– Homogenous
– Level that does not eliminate valid signals or over accentuate what is
there
– Use TGCs to even out image gain throughout the sector
High Gain Low Gain Correct Gain
Thank You! Questions?
21
©2017 Trinity Health Of New England

Technical Considerations Using POCUS (Cardiac Imaging Symposium)

  • 1.
    Technical Considerations Using POCUS RichardA. Palma BS, ACS, RCCS,RCS, RDCS, FACVP, FSDMS, FASE Director and Clinical Coordinator Duke School of Cardiac Ultrasound
  • 2.
    • Lantheus medicalImaging: Speakers Bureau • Philips Medical Imaging Speaker Bureau • ESP Speaker Bureau (Physics) Disclosures: 2 ©2017 Trinity Health Of New England
  • 3.
    Technical Difficulties Include •Imaging through bone, air, and dense tissues. leading to poor visualization • Patient factors such as high body mass index (BMI) and surgical dressings can hinder image quality and window access • POCUS devices may also have poor battery life, lower image resolution • Ergonomic challenges compared to larger systems
  • 4.
    Temporal Resolution Ability toaccurately display events in real-time Rule - All the ultrasound from any given pulse must return to the transducer before the next pulse. Temporal resolution can be appreciated by observing the Frame Rate CARDIAC IMAGING IS ALL ABOUT THE FRAME RATE
  • 5.
    Difficult to appreciatecardiac motion with slow frame rate
  • 6.
    Higher frame rateLower frame rate shallow deep single focus multi focus ( lat res) narrow sector wide sector low line density hi line d’sity ( spat’l res) SUMMARY - TEMPORAL RESOLUTION
  • 7.
    Types of Resolution •AxialResolution •(SPL) •Lateral (Beam Width) •Elevational •(Slice Thickness)
  • 8.
    HIGH FREQUENCY SOUND •Creates short pulses • Creates less divergent beams • High frequency sound improves both axial resolution (everywhere) & lateral resolution (in the far field only)
  • 9.
    CLINICAL COMPROMISE • Higherfrequencies provide better image detail • Lower frequencies penetrate deeper
  • 10.
    Attenuation • Much, muchhigher in air than in soft tissue • Higher in bone due to absorption lung due to scattering • much lower in water than soft tissue Sound interaction with the body
  • 11.
    Dr. Joseph Kisslo’sRules of Echo 1.) If you don’t point at it, you won’t see it 2.) If you don’t see it, you can’t diagnosis it 3.) It’s not the heart stupid !
  • 12.
    Artifacts Occurs due tomany assumptions •The transmitted and received waves travels in a straight path •The echoes return to the transducer after a single reflection •Echoes originate from the main beam •The sound wave travels at a constant 1540 m/sec •Pulses and echoes are attenuated uniformly by all tissues (0.5 dB/cm/MHz)
  • 13.
    Ultrasound Assumption Violations Anotherway to think about these Axial Direction Artifacts located below the real Structure Lateral Direction Artifacts located to the side of the real Structure 1.Reverberations 2.Mirror Image Artifacts 3.Acoustical shadowing or enhancement 1.Beam Width Artifacts 2.Side Lobe Artifacts 3.Refraction Artifacts
  • 14.
    ©2017 Trinity HealthOf New England 1 4 Shadowing Artifact
  • 15.
  • 17.
  • 18.
    Mirror Artifact Bertrand etal, JASE Volume 29 Number 5 (onlinejase.com video 4)
  • 19.
  • 20.
    Receiver Gain (KillsResolution) • Goal – Correct brightness – Homogenous – Level that does not eliminate valid signals or over accentuate what is there – Use TGCs to even out image gain throughout the sector High Gain Low Gain Correct Gain
  • 21.
    Thank You! Questions? 21 ©2017Trinity Health Of New England