By Endah Kusuma W.
 Tuberkulosis (Tuberculosis, disingkat Tbc),
atau Tb (singkatan dari "Tubercle bacillus")
merupakan penyakit menular yang
disebabkan oleh Mycobacterium
tuberculosis (disingkat "MTb" atau "MTbc"
•13,7 jt kasus kronis yang
aktif di tingkat global
2007
•Penambahan kasus baru
8,8 jt
•1,5 juta kematian yang
mayoritas terjadi di negara
berkembang
2010 •Asia dan Afrika yang
melakukan tes tuberkulin,
80%-nya menunjukkan
hasil positif
•Amerika hanya 5–10%
 Masyarakat di dunia berkembang semakin
banyak yang menderita Tuberkulosis karena
kekebalan tubuh mereka yang lemah.
 Biasanya, mereka mengidap Tuberkulosis
akibat terinfeksi virus HIV dan berkembang
menjadi AIDS.
 Pada tahun 1990-an Indonesia berada pada
peringkat-3 dunia penderita TB, tetapi
keadaan telah membaik dan pada tahun 2013
menjadi peringkat-5 dunia
 Tuberkulosis dapat menginfeksi bagian tubuh
mana saja, tapi paling sering menginfeksi
paru-paru (dikenal sebagai Tuberkulosis
paru).
 Bila Tuberkulosis berkembang di luar paru-
paru, maka disebut TB ekstra paru.
 TB ekstra paru juga bisa timbul bersamaan
dengan TB paru
 Tuberkulosis menyebar melalui udara ketika
seseorang dengan infeksi TB aktif batuk,
bersin, atau menyebarkan butiran ludah
mereka melalui udara.
 Infeksi TB umumnya bersifat asimtomatik
dan laten. Namun hanya satu dari sepuluh
kasus infeksi laten yang berkembang menjadi
penyakit aktif.
 Bila Tuberkulosis tidak diobati maka lebih
dari 50% orang yang terinfeksi bisa
meninggal.
Batuk kronis
Demam
Menggigil
Berkeringat di malam hari
Hilangnya nafsu makan
Berat badan menurun
 Infeksi TB  mikobakteria masuk ke
dalam alveoli paru  menginvasi dan
bereplikasi di dalam alveolus
 Tuberkulosis paru dapat juga terjadi melalui
infeksi aliran darah
 Penularan melalui pembuluh darah ini juga
dapat menyebar ke lokasi-lokasi lain seperti
nodus limfa perifer, ginjal, otak dan tulang
 Bila infeksi Tuberkulosis yang timbul menjadi
aktif, sekitar 90%-nya selalu melibatkan paru-
paru.
 Gejala-gejalanya antara lain berupa nyeri dada
dan batuk berdahak yang berkepanjangan.
 Sekitar 25% penderita tidak menunjukkan gejala
apapun ("asimptomatik").
 Kadangkala, penderita mengalami sedikit batuk
darah.
 Tuberkulosis juga bisa berkembang menjadi
penyakit kronis dan menyebabkan luka parut
luas di bagian lobus atas paru-paru. Paru-paru
atas paling sering terinfeksi.
 Dalam 15–20% kasus aktif, terjadi penyebaran infeksi
hingga ke luar organ pernapasan dan menyebabkan TB
jenis lainnya.
 TB ekstra paru umumnya terjadi pada orang dewasa
dengan imunosupresi dan anak-anak.
 TB ekstra paru muncul pada 50% lebih kelompok pengidap
HIV.
 Lokasi TB ekstra paru yang bermakna termasuk:
a. pleura
b. sistem saraf pusat (meningitis TB)
c. sistem kelenjar getah bening.
d. sistem urogenital (Tuberkulosis urogenital)
e. tulang dan persendian ("TB tulang“)
TB yang lebih serius yaitu TB yang menyebar luas dan
disebut sebagai Tuberkulosis Milier.
HIV
Gizi buruk
Merokok
Kecanduan alkohol
Diabetes melitus
Orang-orang yang memiliki risiko tinggi
terinfeksi TB antara lain :
 orang yang menyuntik obat terlarang
 penghuni dan karyawan tempat-tempat
berkumpulnya orang-orang rentan (misalnya,
penjara dan tempat penampungan
gelandangan)
 orang-orang miskin yang tidak memiliki
akses perawatan kesehatan yang memadai
 para pekerja kesehatan yang melayani orang-
orang dgn TB
 Ketika seseorang yang mengidap TB paru
aktif tersebut batuk, bersin, bicara, menyanyi,
atau meludah, mereka sedang
menyemprotkan titis-titis aerosol infeksius
dengan diameter 0.5 hingga 5 µm.
 Bersin dapat melepaskan partikel kecil-kecil
hingga 40,000 titis. Tiap titis bisa menularkan
penyakit Tuberkulosis karena dosis infeksius
penyakit ini sangat rendah.
 Seseorang yang menghirup kurang dari 10
bakteri saja bisa langsung terinfeksi
 Orang-orang yang melakukan kontak dalam
waktu lama, dalam frekuensi sering, atau selalu
berdekatan dengan penderita TB, berisiko tinggi
ikut terinfeksi, dengan perkiraan angka infeksi
sekitar 22%.
 Biasanya, hanya mereka yang menderita TB aktif
yang dapat menularkan penyakit ini.
 Orang-orang dengan infeksi laten diyakini tidak
menularkan
 Untuk mencegah penyebaran berlapis dari satu
orang ke orang lainnya, pisahkan orang-orang
dengan TB aktif
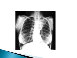
Diagnosis TB aktif :
a. hasil radiologi (biasanya melalui sinar-X
dada)
b. pemeriksaan mikroskopis
Diagnosis TB laten
a. tes tuberkulin kulit/tuberculin skin
test (TST)
b. tes darah
Tes kulit tuberkulin Mantoux sering digunakan
sebagai penapisan bagi seseorang dengan
risiko TB tinggi
 Sejak tahun 2011, satu-satunya vaksin yang
tersedia adalah bacillus Calmette–
Guérin (BCG).
 Walaupun BCG efektif melawan penyakit yang
menyebar pada masa kanak-kanak, masih
terdapat perlindungan yang inkonsisten
terhadap TB
 Imunitas yang ditimbulkan akan berkurang
setelah kurang lebih sepuluh tahun.
Karena kuman TB ada di mana-mana termasuk
di Mal, Kantor dan tentunya juga di Rumah
Sakit, maka pencegahan yang paling efektif
adalah Gaya Hidup untuk menunjang
Ketahanan Tubuh kita:
 Cukup gizi, jangan telat makan
 Cukup istirahat, jika lelah istirahat dulu
 Jangan Stres Fisik, lelah berlebihan
 Jangan Stres Mental, berusahalah berpikir
positif
 Pengobatan TB menggunakan antibiotik untuk
membunuh bakterinya.
 WHO merekomendasikan directly observed
therapy (DOT) atau terapi pengawasan langsung,
dimana seorang pengawas kesehatan mengawasi
penderita meminum obatnya.
 Tujuannya adalah untuk mengurangi jumlah
penderita yang tidak meminum obat
antibiotiknya dengan benar.
 Dua jenis antibiotik yang umum digunakan
adalah isoniazid dan rifampicin, dan pengbatan
dapat berlangsung berbulan-bulan
 Rekomendasi tahun 2010 untuk pengobatan
kasus baru tuberkulosis paru adalah
kombinasi antibiotik selama enam bulan.
 Rifampicin, isoniazid, pyrazinamide,
dan ethambutol untuk dua bulan pertama,
dan hanya rifampicin dan isoniazid untuk
empat bulan selanjutnya.
 Apabila resistensi terhadap isoniazid tinggi,
ethambutol dapat ditambahkan untuk empat
bulan terakhir sebagai alternatif.
 Bila tuberkulosis kambuh, lakukan tes untuk
menentukan jenis antibiotik yang sensitif
sebelum menentukan pengobatan.
 Jika multiple drug-resistant TB (MDR-TB)
terdeteksi, direkomendasikan pengobatan
dengan paling tidak empat jenis antibiotik
efektif selama 8–24 bulan
 Resistensi primer muncul saat seseorang
terinfeksi jenis TB resisten.
 Seorang dengan TB yang rentan dapat mengalami
resistensi sekunder (didapat) pada saat terapi.
 Seseorang juga dapat mengalami perkembangan
resistensi karena pengobatan yang tidak adekuat,
jika obat yang diresepkan tidak dipakai dengan
sesuai (karena tidak patuh), atau karena obat
yang digunakan berkualitas rendah.
 Pengobatan untuk TB yang resisten terhadap
obat akan berlangsung lebih lama dan
memerlukan obat yang lebih mahal.
 TBC pada kehamilan mempunyai gejala klinis
yang serupa dengan TBC perempuan tidak
hamil.
 Diagnosis mungkin ditegakkan terlambat
karena gejala awal yang tidak khas.
 Keluhan yang sering ditemukan batuk,
demam, malaise, penurunan berat badan.
 Pemeriksaan penunjang : uji tuberkulin dan
foto toraks
 Diagnosis TBC pada kehamilan sama dengan
TBC tanpa kehamilan. Diagnosis mungkin
terlambat ditegakkan karena manifestasi
klinis yang tidak khas, tertutup oleh gejala-
gejala pada kehamilan
 Data yg terlapor :
a. 74% gejala batuk
b. 41% penurunan berat badan
c. 30% demam malaise dan lelah
d. 19% batuk darah
e. 20% tanpa gejala
 Risiko yang dihadapi oleh ibu dan janin lebih
besar bila tidak mendapatkan pengobatan
TBC dibandingkan risiko pengobatan itu
sendiri.
 Pemberian regimen terapi yang tepat dan
adekuat akan memperbaiki kualitas hidup
ibu, mengurangi efek samping obat anti
tuberkulosis (OAT) terhadap janin dan
mencegah infeksi yang terjadi pada bayi yang
baru lahir
Pengaruh TBC pada kehamilan tergantung dari
beberapa faktor antara lain
a. lokasi penyakit (intra atau ekstrapulmonal)
b. usia kehamilan
c. status gizi ibu
d. ada tidaknya penyakit penyerta.
Beberapa studi menyatakan terdapat hubungan
antara TBC dan meningkatnya risiko berat
badan lahir rendah, kelahiran preterm,
kehidupan perinatal sampai pada kematian
bayi.
 Jika pemberian OAT dimulai pada awal
kehamilan akan memberikan hasil yang sama
seperti pasien yang tidak hamil, tetapi bila
diagnosis dan penanganan terlambat terjadi
peningkatan angka morbiditas bayi 4 kali
lipat dan peningkatan kelahiran preterm
sebesar 9 kali lipat.
 Selama kehamilan dapat terjadi transmisi
basil TBC ke janin.
 Transmisi biasanya terjadi secara limfatik,
hematogen atau secara langsung.
 Janin dapat terinfeksi melalui darah yang
berasal dari infeksi plasenta melalui vena
umbilikalis atau aspirasi cairan amnion,
 Komplikasi ini disebut sebagai TBC
kongenital.
 Gejala mungkin terlihat saat lahir tetapi
biasanya pada minggu kedua dan ketiga.
 Pada pemeriksaan fisis didapatkan
hepatomegali (76%), gangguan pernafasan
(72%), demam (48%) dan limfadenopati (38%)
 Gambaran foto toraks mungkin normal
segera setelah lahir tetapi berjalan progresif
dengan cepat disertai pembentukan kavitas
 Uji tuberkulin tidak banyak membantu karena
hasil negatif pada awalnya dan menjadi
positif dalam waktu 1-2 bulan.
 Pemeriksaan lain seperti basil tahan asam
(BTA) dan biakan pada jaringan atau cairan
lambung.
 Deteksi TBC pada ibu merupakan hal penting
untuk pemberian pengobatan adekuat
sehingga risiko serius yang terjadi pada janin
dan bayi baru lahir dapat dikurangi
 Penatalaksanaan pasien TBC pada kehamilan
tidak berbeda dengan TBC tanpa kehamilan.
 Hal-hal yang harus diperhatikan adalah
pemberian OAT yang bisa menimbulkan efek
teratogenik terhadap janin.
 Penatalaksanaan secara umum terbagi atas
penderita dengan TBC aktif dan TBC laten
 Wanita hamil dengan TBC aktif biasanya
diterapi dengan tidak mempertimbangkan
trisemester kehamilan.
 OAT yang digunakan tidak berbeda dengan
wanita yang tidak hamil.
 Golongan utama OAT seperti isoniazid,
rifampisin, etambutol digunakan secara luas
pada wanita hamil.
 Obat-obat tersebut dapat melalui plasenta
dalam dosis rendah dan tidak menimbulkan
efek teratogenik pada janin
 Tuberkulosis laten adalah pasien dengan uji
tuberkulin positif dan secara klinis tidak ada
tanda-tanda terjadi tuberkulosis aktif.
 Terapi pada TBC laten tergantung faktor
risiko dan hasil konversi uji tuberkulin.
 Pemberian terapi pada TBC laten biasanya
ditunda sampai 2-3 bulan setelah kelahiran
 Demi keamanan ibu dan bayi yang
dikandung, maka pengobatan TB perlu
diteruskan selama masa kehamilan dengan
obat yang boleh dikonsumsi ibu hamil.
 Namun, akan lebih baik jika kehamilan
ditunda hingga wanita dinyatakan sembuh
total dari penyakit TB.
 Konsumsi makanan bergizi dengan nutrisi seimbang. Supaya
daya tahan tubuh kuat, dan saat terkena kuman TB tidak menjadi
sakit.
 Penderita TBC harus menutup mulut dan hidungnya dengan
masker jika berada di sekitar ibu hamil. Termasuk anggota
keluarga seperti suami, dan anak.
 Orang yang sudah terkena TBC adalah sumber penularan, maka
harus sadar diri dan tidak menularkan penyakit pada orang lain.
 Ibu menyusui yang terkena TBC tetap bisa menyusui bayinya
dengan aman, meski harus memakai masker agar tidak
menularkan lewat udara.
 Orang TB harus banyak makan. Bisa turun 5-10 kg saat terkena
TBC, dan bila terjadi pada ibu hamil penurunan berat badan bisa
bahaya bagi bayi.
 TBC bisa disembuhkan, asal berobat teratur dan menuruti
anjuran dokter
 Metode persalinan ibu hamil pasien TB akan
sangat tergantung pada derajat penyakit yang
diderita dan juga kapasitas paru pasien.
 Jika kondisi parunya aman dan bisa
menunjang, persalinan normal bisa
dilakukan.
 Namun, jika kapasitas parunya menurun,
disarankan agar proses persalinan tidak
dilakukan secara normal.
 Beberapa hal yang diperhatikan untuk
menentukan keamanan obat anti tuberkulosis
pada ibu menyusui adalah apakah obat dapat
terkandung dalam air susu, adakah efek
samping pada produksi air susu dan kualitas,
dan adakah efek pada bayi yang meminum air
susu yang mengandung obat
 Tahapan pengobatan terdiri dari tahap awal
setiap hari selama 2 bulan untuk menurunkan
jumlah kuman sehingga daya penularan lebih
rendah dan tahap lanjutan dengan tujuan
membunuh sisa kuman dan mencegah
kekambuhan.
 Pada tahap awal kombinasi obat anti
tuberkulosis yang diberikan adalah isoniazid,
rifampisin, pirazinamid, dan etambutol dan
pada tahap lanjutan dengan beberapa obat
pilihan selama 4 sampai dengan 6 bulan.
 Rifampisin, etambutol, dan pirazinamid dapat
melewati air susu ibu namun dengan jumlah
minimal (0,5-6%) sehingga efek pada bayi
minimal atau hampir tidak ada.
 Isoniazid dapat terkandung dalam air susu
ibu lebih tinggi (6,4-25%), memiliki efek
samping neurotoksik dan berpotensi
mengganggu metabolisme asam nukleat
serta hepatotoksisitas pada ibu, namun tetap
aman untuk bayi yang disusui.
 Rifampisin aman diberikan kepada ibu yang
sedang menyusui, namun konsumsi
rifampisin bersamaan dengan kontrasepsi
hormonal akan menurunkan efektivitas dari
kontrasepsi hormonal tersebut sehingga ibu
menyusui, jika mendapat terapi tuberkulosis
paru terutama rifampisin, sebaiknya
menggunakan pilihan kontrasepsi selain
hormonal
Diagnosis TB aktif sebelum persalinan Diagnosis TB aktif setelah persalinan
>2 bulan sebelum persalinan
< 2 bulan sebelum
persalinan
< 2 bulan setelah persalinan >2 bulan setelah persalinan
BTA (-) beberapa saat
sebelum persalinan
BTA (+) beberapa saat
sebelum persalinan
Tatalaksana TB pada ibu
Menyusui normal
Tidak perlu kemoprofilaksis
pada bayi
Vaksin BCG saat lahir
Tatalaksana TB pada ibu
Menyusui normal
Profilaksis Isoniazid 6 bulan
pada bayi
BCG setelah
kemoprofilaksis selesai
Tatalaksana TB pada ibu
Menyusui normal
Profilaksis Isoniazid 6 bulan
pada bayi
BCG setelah
kemoprofilaksis selesai
Tatalaksana TB pada ibu
Menyusui normal
Profilaksis Isoniazid 6 bulan
pada bayi
BCG setelah
kemoprofilaksis selesai
Tatalaksana TB pada ibu
Menyusui normal
Profilaksis Isoniazid 6 bulan
pada bayi
Jika BCG belum diberikan
setelah lahir, maka dapat
diberikan setelah
kemoprofilaksis selesai

Tbc

  • 1.
  • 2.
     Tuberkulosis (Tuberculosis,disingkat Tbc), atau Tb (singkatan dari "Tubercle bacillus") merupakan penyakit menular yang disebabkan oleh Mycobacterium tuberculosis (disingkat "MTb" atau "MTbc"
  • 3.
    •13,7 jt kasuskronis yang aktif di tingkat global 2007 •Penambahan kasus baru 8,8 jt •1,5 juta kematian yang mayoritas terjadi di negara berkembang 2010 •Asia dan Afrika yang melakukan tes tuberkulin, 80%-nya menunjukkan hasil positif •Amerika hanya 5–10%
  • 4.
     Masyarakat didunia berkembang semakin banyak yang menderita Tuberkulosis karena kekebalan tubuh mereka yang lemah.  Biasanya, mereka mengidap Tuberkulosis akibat terinfeksi virus HIV dan berkembang menjadi AIDS.  Pada tahun 1990-an Indonesia berada pada peringkat-3 dunia penderita TB, tetapi keadaan telah membaik dan pada tahun 2013 menjadi peringkat-5 dunia
  • 5.
     Tuberkulosis dapatmenginfeksi bagian tubuh mana saja, tapi paling sering menginfeksi paru-paru (dikenal sebagai Tuberkulosis paru).  Bila Tuberkulosis berkembang di luar paru- paru, maka disebut TB ekstra paru.  TB ekstra paru juga bisa timbul bersamaan dengan TB paru
  • 6.
     Tuberkulosis menyebarmelalui udara ketika seseorang dengan infeksi TB aktif batuk, bersin, atau menyebarkan butiran ludah mereka melalui udara.  Infeksi TB umumnya bersifat asimtomatik dan laten. Namun hanya satu dari sepuluh kasus infeksi laten yang berkembang menjadi penyakit aktif.  Bila Tuberkulosis tidak diobati maka lebih dari 50% orang yang terinfeksi bisa meninggal.
  • 7.
    Batuk kronis Demam Menggigil Berkeringat dimalam hari Hilangnya nafsu makan Berat badan menurun
  • 8.
     Infeksi TB mikobakteria masuk ke dalam alveoli paru  menginvasi dan bereplikasi di dalam alveolus  Tuberkulosis paru dapat juga terjadi melalui infeksi aliran darah  Penularan melalui pembuluh darah ini juga dapat menyebar ke lokasi-lokasi lain seperti nodus limfa perifer, ginjal, otak dan tulang
  • 9.
     Bila infeksiTuberkulosis yang timbul menjadi aktif, sekitar 90%-nya selalu melibatkan paru- paru.  Gejala-gejalanya antara lain berupa nyeri dada dan batuk berdahak yang berkepanjangan.  Sekitar 25% penderita tidak menunjukkan gejala apapun ("asimptomatik").  Kadangkala, penderita mengalami sedikit batuk darah.  Tuberkulosis juga bisa berkembang menjadi penyakit kronis dan menyebabkan luka parut luas di bagian lobus atas paru-paru. Paru-paru atas paling sering terinfeksi.
  • 11.
     Dalam 15–20%kasus aktif, terjadi penyebaran infeksi hingga ke luar organ pernapasan dan menyebabkan TB jenis lainnya.  TB ekstra paru umumnya terjadi pada orang dewasa dengan imunosupresi dan anak-anak.  TB ekstra paru muncul pada 50% lebih kelompok pengidap HIV.  Lokasi TB ekstra paru yang bermakna termasuk: a. pleura b. sistem saraf pusat (meningitis TB) c. sistem kelenjar getah bening. d. sistem urogenital (Tuberkulosis urogenital) e. tulang dan persendian ("TB tulang“) TB yang lebih serius yaitu TB yang menyebar luas dan disebut sebagai Tuberkulosis Milier.
  • 12.
  • 13.
    Orang-orang yang memilikirisiko tinggi terinfeksi TB antara lain :  orang yang menyuntik obat terlarang  penghuni dan karyawan tempat-tempat berkumpulnya orang-orang rentan (misalnya, penjara dan tempat penampungan gelandangan)  orang-orang miskin yang tidak memiliki akses perawatan kesehatan yang memadai  para pekerja kesehatan yang melayani orang- orang dgn TB
  • 14.
     Ketika seseorangyang mengidap TB paru aktif tersebut batuk, bersin, bicara, menyanyi, atau meludah, mereka sedang menyemprotkan titis-titis aerosol infeksius dengan diameter 0.5 hingga 5 µm.  Bersin dapat melepaskan partikel kecil-kecil hingga 40,000 titis. Tiap titis bisa menularkan penyakit Tuberkulosis karena dosis infeksius penyakit ini sangat rendah.  Seseorang yang menghirup kurang dari 10 bakteri saja bisa langsung terinfeksi
  • 15.
     Orang-orang yangmelakukan kontak dalam waktu lama, dalam frekuensi sering, atau selalu berdekatan dengan penderita TB, berisiko tinggi ikut terinfeksi, dengan perkiraan angka infeksi sekitar 22%.  Biasanya, hanya mereka yang menderita TB aktif yang dapat menularkan penyakit ini.  Orang-orang dengan infeksi laten diyakini tidak menularkan  Untuk mencegah penyebaran berlapis dari satu orang ke orang lainnya, pisahkan orang-orang dengan TB aktif
  • 16.
    Diagnosis TB aktif: a. hasil radiologi (biasanya melalui sinar-X dada) b. pemeriksaan mikroskopis Diagnosis TB laten a. tes tuberkulin kulit/tuberculin skin test (TST) b. tes darah Tes kulit tuberkulin Mantoux sering digunakan sebagai penapisan bagi seseorang dengan risiko TB tinggi
  • 17.
     Sejak tahun2011, satu-satunya vaksin yang tersedia adalah bacillus Calmette– Guérin (BCG).  Walaupun BCG efektif melawan penyakit yang menyebar pada masa kanak-kanak, masih terdapat perlindungan yang inkonsisten terhadap TB  Imunitas yang ditimbulkan akan berkurang setelah kurang lebih sepuluh tahun.
  • 18.
    Karena kuman TBada di mana-mana termasuk di Mal, Kantor dan tentunya juga di Rumah Sakit, maka pencegahan yang paling efektif adalah Gaya Hidup untuk menunjang Ketahanan Tubuh kita:  Cukup gizi, jangan telat makan  Cukup istirahat, jika lelah istirahat dulu  Jangan Stres Fisik, lelah berlebihan  Jangan Stres Mental, berusahalah berpikir positif
  • 19.
     Pengobatan TBmenggunakan antibiotik untuk membunuh bakterinya.  WHO merekomendasikan directly observed therapy (DOT) atau terapi pengawasan langsung, dimana seorang pengawas kesehatan mengawasi penderita meminum obatnya.  Tujuannya adalah untuk mengurangi jumlah penderita yang tidak meminum obat antibiotiknya dengan benar.  Dua jenis antibiotik yang umum digunakan adalah isoniazid dan rifampicin, dan pengbatan dapat berlangsung berbulan-bulan
  • 20.
     Rekomendasi tahun2010 untuk pengobatan kasus baru tuberkulosis paru adalah kombinasi antibiotik selama enam bulan.  Rifampicin, isoniazid, pyrazinamide, dan ethambutol untuk dua bulan pertama, dan hanya rifampicin dan isoniazid untuk empat bulan selanjutnya.  Apabila resistensi terhadap isoniazid tinggi, ethambutol dapat ditambahkan untuk empat bulan terakhir sebagai alternatif.
  • 21.
     Bila tuberkulosiskambuh, lakukan tes untuk menentukan jenis antibiotik yang sensitif sebelum menentukan pengobatan.  Jika multiple drug-resistant TB (MDR-TB) terdeteksi, direkomendasikan pengobatan dengan paling tidak empat jenis antibiotik efektif selama 8–24 bulan
  • 22.
     Resistensi primermuncul saat seseorang terinfeksi jenis TB resisten.  Seorang dengan TB yang rentan dapat mengalami resistensi sekunder (didapat) pada saat terapi.  Seseorang juga dapat mengalami perkembangan resistensi karena pengobatan yang tidak adekuat, jika obat yang diresepkan tidak dipakai dengan sesuai (karena tidak patuh), atau karena obat yang digunakan berkualitas rendah.  Pengobatan untuk TB yang resisten terhadap obat akan berlangsung lebih lama dan memerlukan obat yang lebih mahal.
  • 23.
     TBC padakehamilan mempunyai gejala klinis yang serupa dengan TBC perempuan tidak hamil.  Diagnosis mungkin ditegakkan terlambat karena gejala awal yang tidak khas.  Keluhan yang sering ditemukan batuk, demam, malaise, penurunan berat badan.  Pemeriksaan penunjang : uji tuberkulin dan foto toraks
  • 24.
     Diagnosis TBCpada kehamilan sama dengan TBC tanpa kehamilan. Diagnosis mungkin terlambat ditegakkan karena manifestasi klinis yang tidak khas, tertutup oleh gejala- gejala pada kehamilan  Data yg terlapor : a. 74% gejala batuk b. 41% penurunan berat badan c. 30% demam malaise dan lelah d. 19% batuk darah e. 20% tanpa gejala
  • 25.
     Risiko yangdihadapi oleh ibu dan janin lebih besar bila tidak mendapatkan pengobatan TBC dibandingkan risiko pengobatan itu sendiri.  Pemberian regimen terapi yang tepat dan adekuat akan memperbaiki kualitas hidup ibu, mengurangi efek samping obat anti tuberkulosis (OAT) terhadap janin dan mencegah infeksi yang terjadi pada bayi yang baru lahir
  • 26.
    Pengaruh TBC padakehamilan tergantung dari beberapa faktor antara lain a. lokasi penyakit (intra atau ekstrapulmonal) b. usia kehamilan c. status gizi ibu d. ada tidaknya penyakit penyerta. Beberapa studi menyatakan terdapat hubungan antara TBC dan meningkatnya risiko berat badan lahir rendah, kelahiran preterm, kehidupan perinatal sampai pada kematian bayi.
  • 27.
     Jika pemberianOAT dimulai pada awal kehamilan akan memberikan hasil yang sama seperti pasien yang tidak hamil, tetapi bila diagnosis dan penanganan terlambat terjadi peningkatan angka morbiditas bayi 4 kali lipat dan peningkatan kelahiran preterm sebesar 9 kali lipat.
  • 28.
     Selama kehamilandapat terjadi transmisi basil TBC ke janin.  Transmisi biasanya terjadi secara limfatik, hematogen atau secara langsung.  Janin dapat terinfeksi melalui darah yang berasal dari infeksi plasenta melalui vena umbilikalis atau aspirasi cairan amnion,  Komplikasi ini disebut sebagai TBC kongenital.
  • 29.
     Gejala mungkinterlihat saat lahir tetapi biasanya pada minggu kedua dan ketiga.  Pada pemeriksaan fisis didapatkan hepatomegali (76%), gangguan pernafasan (72%), demam (48%) dan limfadenopati (38%)  Gambaran foto toraks mungkin normal segera setelah lahir tetapi berjalan progresif dengan cepat disertai pembentukan kavitas
  • 30.
     Uji tuberkulintidak banyak membantu karena hasil negatif pada awalnya dan menjadi positif dalam waktu 1-2 bulan.  Pemeriksaan lain seperti basil tahan asam (BTA) dan biakan pada jaringan atau cairan lambung.  Deteksi TBC pada ibu merupakan hal penting untuk pemberian pengobatan adekuat sehingga risiko serius yang terjadi pada janin dan bayi baru lahir dapat dikurangi
  • 31.
     Penatalaksanaan pasienTBC pada kehamilan tidak berbeda dengan TBC tanpa kehamilan.  Hal-hal yang harus diperhatikan adalah pemberian OAT yang bisa menimbulkan efek teratogenik terhadap janin.  Penatalaksanaan secara umum terbagi atas penderita dengan TBC aktif dan TBC laten
  • 32.
     Wanita hamildengan TBC aktif biasanya diterapi dengan tidak mempertimbangkan trisemester kehamilan.  OAT yang digunakan tidak berbeda dengan wanita yang tidak hamil.  Golongan utama OAT seperti isoniazid, rifampisin, etambutol digunakan secara luas pada wanita hamil.  Obat-obat tersebut dapat melalui plasenta dalam dosis rendah dan tidak menimbulkan efek teratogenik pada janin
  • 33.
     Tuberkulosis latenadalah pasien dengan uji tuberkulin positif dan secara klinis tidak ada tanda-tanda terjadi tuberkulosis aktif.  Terapi pada TBC laten tergantung faktor risiko dan hasil konversi uji tuberkulin.  Pemberian terapi pada TBC laten biasanya ditunda sampai 2-3 bulan setelah kelahiran
  • 34.
     Demi keamananibu dan bayi yang dikandung, maka pengobatan TB perlu diteruskan selama masa kehamilan dengan obat yang boleh dikonsumsi ibu hamil.  Namun, akan lebih baik jika kehamilan ditunda hingga wanita dinyatakan sembuh total dari penyakit TB.
  • 35.
     Konsumsi makananbergizi dengan nutrisi seimbang. Supaya daya tahan tubuh kuat, dan saat terkena kuman TB tidak menjadi sakit.  Penderita TBC harus menutup mulut dan hidungnya dengan masker jika berada di sekitar ibu hamil. Termasuk anggota keluarga seperti suami, dan anak.  Orang yang sudah terkena TBC adalah sumber penularan, maka harus sadar diri dan tidak menularkan penyakit pada orang lain.  Ibu menyusui yang terkena TBC tetap bisa menyusui bayinya dengan aman, meski harus memakai masker agar tidak menularkan lewat udara.  Orang TB harus banyak makan. Bisa turun 5-10 kg saat terkena TBC, dan bila terjadi pada ibu hamil penurunan berat badan bisa bahaya bagi bayi.  TBC bisa disembuhkan, asal berobat teratur dan menuruti anjuran dokter
  • 36.
     Metode persalinanibu hamil pasien TB akan sangat tergantung pada derajat penyakit yang diderita dan juga kapasitas paru pasien.  Jika kondisi parunya aman dan bisa menunjang, persalinan normal bisa dilakukan.  Namun, jika kapasitas parunya menurun, disarankan agar proses persalinan tidak dilakukan secara normal.
  • 37.
     Beberapa halyang diperhatikan untuk menentukan keamanan obat anti tuberkulosis pada ibu menyusui adalah apakah obat dapat terkandung dalam air susu, adakah efek samping pada produksi air susu dan kualitas, dan adakah efek pada bayi yang meminum air susu yang mengandung obat
  • 38.
     Tahapan pengobatanterdiri dari tahap awal setiap hari selama 2 bulan untuk menurunkan jumlah kuman sehingga daya penularan lebih rendah dan tahap lanjutan dengan tujuan membunuh sisa kuman dan mencegah kekambuhan.  Pada tahap awal kombinasi obat anti tuberkulosis yang diberikan adalah isoniazid, rifampisin, pirazinamid, dan etambutol dan pada tahap lanjutan dengan beberapa obat pilihan selama 4 sampai dengan 6 bulan.
  • 39.
     Rifampisin, etambutol,dan pirazinamid dapat melewati air susu ibu namun dengan jumlah minimal (0,5-6%) sehingga efek pada bayi minimal atau hampir tidak ada.  Isoniazid dapat terkandung dalam air susu ibu lebih tinggi (6,4-25%), memiliki efek samping neurotoksik dan berpotensi mengganggu metabolisme asam nukleat serta hepatotoksisitas pada ibu, namun tetap aman untuk bayi yang disusui.
  • 40.
     Rifampisin amandiberikan kepada ibu yang sedang menyusui, namun konsumsi rifampisin bersamaan dengan kontrasepsi hormonal akan menurunkan efektivitas dari kontrasepsi hormonal tersebut sehingga ibu menyusui, jika mendapat terapi tuberkulosis paru terutama rifampisin, sebaiknya menggunakan pilihan kontrasepsi selain hormonal
  • 41.
    Diagnosis TB aktifsebelum persalinan Diagnosis TB aktif setelah persalinan >2 bulan sebelum persalinan < 2 bulan sebelum persalinan < 2 bulan setelah persalinan >2 bulan setelah persalinan BTA (-) beberapa saat sebelum persalinan BTA (+) beberapa saat sebelum persalinan Tatalaksana TB pada ibu Menyusui normal Tidak perlu kemoprofilaksis pada bayi Vaksin BCG saat lahir Tatalaksana TB pada ibu Menyusui normal Profilaksis Isoniazid 6 bulan pada bayi BCG setelah kemoprofilaksis selesai Tatalaksana TB pada ibu Menyusui normal Profilaksis Isoniazid 6 bulan pada bayi BCG setelah kemoprofilaksis selesai Tatalaksana TB pada ibu Menyusui normal Profilaksis Isoniazid 6 bulan pada bayi BCG setelah kemoprofilaksis selesai Tatalaksana TB pada ibu Menyusui normal Profilaksis Isoniazid 6 bulan pada bayi Jika BCG belum diberikan setelah lahir, maka dapat diberikan setelah kemoprofilaksis selesai