Introduction
Epilepsy is a brain disorder in which clusters of nerve
cells, or neurons, in the brain sometimes signal
abnormally. the normal pattern of neuronal activity
becomes disturbed, causing strange sensations,
emotions, and behavior or sometimes convulsions,
muscle spasms, and loss of consciousness.
In epilepsy, the normal pattern of neuronal activity
becomes disturbed, causing strange sensations,
emotions, and behavior, or sometimes convulsions,
muscle spasms, and loss of consciousness.
Epilepsy
Epilepsy is a disorder of the brain's electrical
system. Abnormal electrical impulses cause brief
changes in movement, behavior, sensation, or
awareness. These interruptions, known as
seizures, may last from a few seconds to a few
minutes. People who have had two or more
seizures are considered to have epilepsy.
Risk factors
 Babies who are born with abnormal brain
  structures
 Bleeding into the brain
 Abnormal blood vessels in the brain
 Serious brain injury or lack of oxygen to the brain
 Brain tumors
 Infections of the brain: abscess, meningitis, or
  encephalitis
 Stroke resulting from blockage of arteries
 Cerebral palsy
Causes
 an imbalance of nerve signaling chemicals called
  neurotransmitters.
 Genetic Factors- Abnormalities in the genes that
  control neuronal migration -- a critical step in
  brain development -- can lead to areas of
  misplaced or abnormally formed neurons, or
  dysplasia, in the brain that can cause epilepsy.
 ,brain tumors,
 alcoholism,
 Alzheimer's disease frequently lead to epilepsy
  because they alter the normal workings of the
  brain.
 Meningitis, AIDS, viral encephalitis, and other
  infectious diseases can lead to epilepsy,
 hydrocephalus -- a condition in which excess
  fluid builds up in the brain.
 Epilepsy also can result from intolerance to
  wheat gluten (also known as celiac disease), or
  from a parasitic infection of the brain called
  neurocysticercosis.
 Head Injury
 Poisoning- exposure to lead, carbon monoxide
Classification
1.Primary generalized seizures begin with a
widespread electrical discharge that involves both
sides of the brain at once.
2. Partial seizures-Partial seizures begin with an
electrical discharge in one limited area of the
brain. Some are related to head injury, brain
infection, stroke, or tumor, but in most cases the
cause is unknown.
The patient loses consciousness and usually
collapses. The loss of consciousness is followed by
generalized body stiffening (called the "tonic"
phase of the seizure) for 30 to 60 seconds, then by
violent jerking (the "clonic" phase) for 30 to 60
seconds, after which the patient goes into a deep
sleep (the "postictal" or after-seizure phase.
During grand-mal seizures, injuries and accidents
may occur, such as tongue biting and urinary
incontinence.
Primary Generalized Seizures or
             grandmal seizures
 Absence seizures-involve an interruption to consciousness
  where the person experiencing the seizure seems to become
  vacant and unresponsive for a short period of time (usually
  up to 30 seconds). Slight muscle twitching may occur.

 Atypical absence seizure-involve the loss of muscle tone,
  causing the person to fall to the ground. These are
  sometimes called 'drop attacks' but should be distinguished
  from similar looking attacks that may occur in cataplexy.

 Myoclonic seizures-involve an extremely brief (< 0.1 second)
  muscle contraction and can result in jerky movements of
  muscles or muscle groups, usually on both sides of the body.
 Atonic seizures-cause a loss of normal muscle tone

 Tonic seizures-cause stiffening of muscles of the body,
  generally those in the back, legs, and arms.

 Clonic seizures-are myoclonus that are regularly repeating at
  a rate typically of 2-3 per second. in some cases, the length
  varies.

 Tonic-clonic seizures- involve an initial contraction of the
  muscles (tonic phase) which may involve tongue biting,
  urinary incontinence and the absence of breathing. This is
  followed by rhythmic muscle contractions (clonic phase). This
  type of seizure is usually what is referred to when the term
  'epileptic fit' is used colloquially
Partial Seizures
1. Simple partial seizures
2. Complex partial seizures
3. Secondarily generalized seizures
Partial seizures
Focal seizures, also called partial seizures, occur in
just one part of the brain.
In a simple focal seizure, the person will remain
conscious but experience unusual feelings or
sensations that can take many forms. The person
may experience sudden and unexplainable
feelings of joy, anger, sadness, or nausea. He or
she also may hear, smell, taste, see, or feel things
that are not real.
subdivided into four categories
according to the nature of their symptoms:
 Motor -Motor symptoms include movements such as
   jerking and stiffening.
 autonomic -Autonomic symptoms affect the autonomic
   nervous system, which is the group of nerves that
   control the functions of our organs, like the heart,
   stomach, bladder, intestines.
 sensory-Sensory symptoms caused by seizures involve
   unusual sensations affecting any of the five senses
   (vision, hearing, smell, taste or touch, are called "auras
 psychological-Simple partial seizures with psychological
   symptoms are characterized by various experiences
   involving memory (the sensation of deja-vu), emotions
   (such as fear or pleasure), or other complex
   psychological phenomena.
complex partial seizure
A complex partial seizure may involve the
unconscious repetition of simple actions, gestures
or verbal utterances, or simply a blank stare and
apparent unawareness of the occurrence of the
seizure, followed by no memory of the seizure.
examples are
repetitious behaviors such as
blinks, twitches, mouth movements, or even
walking in a circle. These repetitious movements
are called automatisms
Partial Seizures                              Symptoms
(Produced by a small area of the brain)

Simple (awareness is retained)                a) Jerking, muscle rigidity, spasms, head-
a. Simple Motor                                  turning
b. Simple Sensory                             b) b. Unusual sensations affecting either
c. Simple Psychological                          the vision, hearing, smell taste or touch
                                              c) c. Memory or emotional disturbances


Complex                                       Automatisms such as lip smacking, chewing,
(Impairment of awareness)                     fidgeting, walking and other repetitive,
                                              involuntary but coordinated movements

Partial seizure with secondary generalization Symptoms that are initially associated with a
                                              preservation of consciousness that then
                                              evolves into a loss of consciousness and
                                              convulsions.
Diagnosis
1) An EEG (electroencephalogram) can confirm the
diagnosis and offer more information about the
seizures. This painless procedure records the
brain's electrical activity as wavy lines. The
pattern changes during a seizure and may reveal
which part of the brain is prone to seizures.
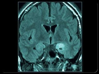
Brain scan
Detailed images of the brain from CT or MRI scans
can help doctors rule out tumors or blood clots as
a possible cause of seizures. This information is
essential in planning surgery to treat epilepsy
 CT and MRI scans reveal the structure of the brain,
  which can be useful for identifying brain tumors,
  cysts, and other structural abnormalities.
 SPRCT- (single photon emission computed
  tomography) is a relatively new kind of brain scan
  that is sometimes used to locate seizure foci in the
  brain.
 Magnetoencephalogram/MEG- detects the
  magnetic signals generated by neurons to allow
  doctors to monitor brain activity at different
  points in the brain over time, revealing different
  brain functions
 Magnetic resonance spectroscopy (MRS) that
  can detect abnormalities in the brain's
  biochemical processes, and with near-infrared
  spectroscopy, a technique that can detect
  oxygen levels in brain tissue.
 Blood Tests- infections, lead poisoning, anemia,
  and diabetes that may be causing or triggering
  the seizures.
Treatment
 Anti-seizure drugs are the most common
  treatment for epilepsy.eg. carbamazepine,
  valproate, lamotrigine, oxcarbazepine, or
  phenytoin .
 For absence seizures, ethosuximide is often the
  primary treatment.
 A ketogenic diet can eliminate or nearly eliminate
  seizures in a third of children with epilepsy who try
  it. The diet is very high in fat and low in carbs, a
  combination that makes the body burn fat instead
  of sugar. This creates changes in the brain that
  reduce or eliminate seizures.
A ketogenic diet -causes the body to break down
fats instead of carbohydrates to survive. This
condition is called ketosis.
side effects include retarded growth due to
nutritional deficiency and a buildup of uric acid in
the blood, which can lead to kidney stones.
 One study showed that a byproduct of ketosis
called beta-hydroxybutyrate (BHB) inhibits
seizures .
VNS
Vagus nerve stimulation, a treatment that is
sometimes called a "pacemaker for the brain." It
uses a small surgically implanted device to send
electrical pulses to the brain. The pulses travel via
the vagus nerve, a large nerve in the neck. VNS is
an option for people who don't do well with
medication
Side effects of the vagus nerve stimulator are
generally mild but may include hoarseness, ear
pain, a sore throat, or nausea.
Surgical management
lobectomy -is a temporal lobe resection, which is
performed for people with temporal lobe epilepsy.
Temporal lobe resection leads to a significant
reduction or complete cessation of seizures about
70 - 90 percent of the time.
Corpus callosotomy, or severing the network of
neural connections between the right and left
halves, or hemispheres, of the brain.
Hemispherectomy and hemispherotomy-remove
half of the brain's cortex, or outer layer.
Transcranial magnetic stimulation (TMS), a
procedure which uses a strong magnet held
outside the head to influence brain activity, may
reduce seizures. They also hope to develop
implantable devices that can deliver drugs to
specific parts of the brain.
Seizures

Seizures

  • 3.
    Introduction Epilepsy is abrain disorder in which clusters of nerve cells, or neurons, in the brain sometimes signal abnormally. the normal pattern of neuronal activity becomes disturbed, causing strange sensations, emotions, and behavior or sometimes convulsions, muscle spasms, and loss of consciousness. In epilepsy, the normal pattern of neuronal activity becomes disturbed, causing strange sensations, emotions, and behavior, or sometimes convulsions, muscle spasms, and loss of consciousness.
  • 4.
    Epilepsy Epilepsy is adisorder of the brain's electrical system. Abnormal electrical impulses cause brief changes in movement, behavior, sensation, or awareness. These interruptions, known as seizures, may last from a few seconds to a few minutes. People who have had two or more seizures are considered to have epilepsy.
  • 5.
    Risk factors  Babieswho are born with abnormal brain structures  Bleeding into the brain  Abnormal blood vessels in the brain  Serious brain injury or lack of oxygen to the brain  Brain tumors  Infections of the brain: abscess, meningitis, or encephalitis  Stroke resulting from blockage of arteries  Cerebral palsy
  • 6.
    Causes  an imbalanceof nerve signaling chemicals called neurotransmitters.  Genetic Factors- Abnormalities in the genes that control neuronal migration -- a critical step in brain development -- can lead to areas of misplaced or abnormally formed neurons, or dysplasia, in the brain that can cause epilepsy.  ,brain tumors,  alcoholism,  Alzheimer's disease frequently lead to epilepsy because they alter the normal workings of the brain.
  • 7.
     Meningitis, AIDS,viral encephalitis, and other infectious diseases can lead to epilepsy,  hydrocephalus -- a condition in which excess fluid builds up in the brain.  Epilepsy also can result from intolerance to wheat gluten (also known as celiac disease), or from a parasitic infection of the brain called neurocysticercosis.  Head Injury  Poisoning- exposure to lead, carbon monoxide
  • 8.
    Classification 1.Primary generalized seizuresbegin with a widespread electrical discharge that involves both sides of the brain at once. 2. Partial seizures-Partial seizures begin with an electrical discharge in one limited area of the brain. Some are related to head injury, brain infection, stroke, or tumor, but in most cases the cause is unknown.
  • 10.
    The patient losesconsciousness and usually collapses. The loss of consciousness is followed by generalized body stiffening (called the "tonic" phase of the seizure) for 30 to 60 seconds, then by violent jerking (the "clonic" phase) for 30 to 60 seconds, after which the patient goes into a deep sleep (the "postictal" or after-seizure phase. During grand-mal seizures, injuries and accidents may occur, such as tongue biting and urinary incontinence.
  • 11.
    Primary Generalized Seizuresor grandmal seizures  Absence seizures-involve an interruption to consciousness where the person experiencing the seizure seems to become vacant and unresponsive for a short period of time (usually up to 30 seconds). Slight muscle twitching may occur.  Atypical absence seizure-involve the loss of muscle tone, causing the person to fall to the ground. These are sometimes called 'drop attacks' but should be distinguished from similar looking attacks that may occur in cataplexy.  Myoclonic seizures-involve an extremely brief (< 0.1 second) muscle contraction and can result in jerky movements of muscles or muscle groups, usually on both sides of the body.
  • 12.
     Atonic seizures-causea loss of normal muscle tone  Tonic seizures-cause stiffening of muscles of the body, generally those in the back, legs, and arms.  Clonic seizures-are myoclonus that are regularly repeating at a rate typically of 2-3 per second. in some cases, the length varies.  Tonic-clonic seizures- involve an initial contraction of the muscles (tonic phase) which may involve tongue biting, urinary incontinence and the absence of breathing. This is followed by rhythmic muscle contractions (clonic phase). This type of seizure is usually what is referred to when the term 'epileptic fit' is used colloquially
  • 13.
    Partial Seizures 1. Simplepartial seizures 2. Complex partial seizures 3. Secondarily generalized seizures
  • 14.
    Partial seizures Focal seizures,also called partial seizures, occur in just one part of the brain. In a simple focal seizure, the person will remain conscious but experience unusual feelings or sensations that can take many forms. The person may experience sudden and unexplainable feelings of joy, anger, sadness, or nausea. He or she also may hear, smell, taste, see, or feel things that are not real.
  • 15.
    subdivided into fourcategories according to the nature of their symptoms:  Motor -Motor symptoms include movements such as jerking and stiffening.  autonomic -Autonomic symptoms affect the autonomic nervous system, which is the group of nerves that control the functions of our organs, like the heart, stomach, bladder, intestines.  sensory-Sensory symptoms caused by seizures involve unusual sensations affecting any of the five senses (vision, hearing, smell, taste or touch, are called "auras  psychological-Simple partial seizures with psychological symptoms are characterized by various experiences involving memory (the sensation of deja-vu), emotions (such as fear or pleasure), or other complex psychological phenomena.
  • 16.
    complex partial seizure Acomplex partial seizure may involve the unconscious repetition of simple actions, gestures or verbal utterances, or simply a blank stare and apparent unawareness of the occurrence of the seizure, followed by no memory of the seizure. examples are repetitious behaviors such as blinks, twitches, mouth movements, or even walking in a circle. These repetitious movements are called automatisms
  • 17.
    Partial Seizures Symptoms (Produced by a small area of the brain) Simple (awareness is retained) a) Jerking, muscle rigidity, spasms, head- a. Simple Motor turning b. Simple Sensory b) b. Unusual sensations affecting either c. Simple Psychological the vision, hearing, smell taste or touch c) c. Memory or emotional disturbances Complex Automatisms such as lip smacking, chewing, (Impairment of awareness) fidgeting, walking and other repetitive, involuntary but coordinated movements Partial seizure with secondary generalization Symptoms that are initially associated with a preservation of consciousness that then evolves into a loss of consciousness and convulsions.
  • 18.
  • 19.
    1) An EEG(electroencephalogram) can confirm the diagnosis and offer more information about the seizures. This painless procedure records the brain's electrical activity as wavy lines. The pattern changes during a seizure and may reveal which part of the brain is prone to seizures.
  • 21.
    Brain scan Detailed imagesof the brain from CT or MRI scans can help doctors rule out tumors or blood clots as a possible cause of seizures. This information is essential in planning surgery to treat epilepsy
  • 22.
     CT andMRI scans reveal the structure of the brain, which can be useful for identifying brain tumors, cysts, and other structural abnormalities.  SPRCT- (single photon emission computed tomography) is a relatively new kind of brain scan that is sometimes used to locate seizure foci in the brain.  Magnetoencephalogram/MEG- detects the magnetic signals generated by neurons to allow doctors to monitor brain activity at different points in the brain over time, revealing different brain functions
  • 23.
     Magnetic resonancespectroscopy (MRS) that can detect abnormalities in the brain's biochemical processes, and with near-infrared spectroscopy, a technique that can detect oxygen levels in brain tissue.  Blood Tests- infections, lead poisoning, anemia, and diabetes that may be causing or triggering the seizures.
  • 24.
  • 25.
     Anti-seizure drugsare the most common treatment for epilepsy.eg. carbamazepine, valproate, lamotrigine, oxcarbazepine, or phenytoin .  For absence seizures, ethosuximide is often the primary treatment.  A ketogenic diet can eliminate or nearly eliminate seizures in a third of children with epilepsy who try it. The diet is very high in fat and low in carbs, a combination that makes the body burn fat instead of sugar. This creates changes in the brain that reduce or eliminate seizures.
  • 26.
    A ketogenic diet-causes the body to break down fats instead of carbohydrates to survive. This condition is called ketosis. side effects include retarded growth due to nutritional deficiency and a buildup of uric acid in the blood, which can lead to kidney stones. One study showed that a byproduct of ketosis called beta-hydroxybutyrate (BHB) inhibits seizures .
  • 28.
    VNS Vagus nerve stimulation,a treatment that is sometimes called a "pacemaker for the brain." It uses a small surgically implanted device to send electrical pulses to the brain. The pulses travel via the vagus nerve, a large nerve in the neck. VNS is an option for people who don't do well with medication
  • 29.
    Side effects ofthe vagus nerve stimulator are generally mild but may include hoarseness, ear pain, a sore throat, or nausea.
  • 31.
  • 32.
    lobectomy -is atemporal lobe resection, which is performed for people with temporal lobe epilepsy. Temporal lobe resection leads to a significant reduction or complete cessation of seizures about 70 - 90 percent of the time. Corpus callosotomy, or severing the network of neural connections between the right and left halves, or hemispheres, of the brain.
  • 33.
    Hemispherectomy and hemispherotomy-remove halfof the brain's cortex, or outer layer.
  • 34.
    Transcranial magnetic stimulation(TMS), a procedure which uses a strong magnet held outside the head to influence brain activity, may reduce seizures. They also hope to develop implantable devices that can deliver drugs to specific parts of the brain.