PULMONARY
TUBERCULOSIS(PTB)
BY
Dr. Akhilesh Sah
MBBS(TU)
Introduction
 Tuberculosis (TB) is disease caused by infection with Mycobacterium
tuberculosis (MTB), which is part of a complex of organisms including M. bovis
(reservoir cattle) and M. africanum (reservoir humans).
 Tuberculosis (TB) is a communicable disease that is a major public health
problem and one of the top 10 causes of death worldwide as well as in
Nepal(2018/19)
 Globally, an estimated 10.0 million people fell ill with TB in 2018. Nepal
population contributed to 0.35% of the global population, but with regards to
TB, Nepal accounted for 0.45% of global TB cases
 In Nepal, an estimated 42000 fell ill with TB in 2018 (incidence rate of 151
per 100 000)
 According to the latest WHO Global TB report 2019, the tuberculosis mortality
rate was 20 per 100,000 populations in Nepal
 Among the reported cases, men are nearly 1.7 times as compared to women
cases (M:F = 1.7:1).
Pathology-physiology
 M. bovis infection arises mainly drinking non-sterilised milk from infected
cows. M. tuberculosis is spread by the inhalation of aerosolised droplet nuclei
from other infected patients
 Once inhaled, the organisms lodge in the alveoli and initiate the recruitment
of macrophages and lymphocytes which form tuberculous granuloma
 Numerous granulomas aggregate to form a primary lesion or ‘Ghon focus’
 Spread of organism to hilar lymph nodes is followed by a similar pathological
reaction, and combination of primary lesion and regional lymph node is known
as primary complex of ranke
 Reparative processes encase the primary complex in a fibrous capsule,
limiting the spread of bacilli
 Lymphatic or haematogenous spread may occur before immunity is
established, however, seeding secondary foci in other organs, including lymph
nodes, serous membranes, meninges, bones, liver, kidneys and lungs, which
may lie dormant for years
Predisposing factors
 Age (children > young adults < elderly)
 Close contacts of patients with smear-positive pulmonary TB
 Overcrowding (prisons, collective dormitories);
 Chest X-ray evidence of self-healed TB
 Primary infection < 1 year previously
 Smoking: cigarettes, bidis and cannabis
 Immunosuppression: HIV, anti-tumour necrosis factor (TNF) and other biologic
therapies, high-dose glucocorticoids, cytotoxic agents
 Malignancy (especially lymphoma and leukaemia)
 Diabetes mellitus
 Chronic kidney disease
 malnutrition ( Deficiency of vitamin D or A)
 Recent measles in children
Clinical features
 Cough productive/non productive, may/maynot contains blood(hemoptysis)
 Fever (evening rise/low grade)
 Loss of appetite
 Night sweats
 Anorexia
 Crackles on auscultation
 Feature of extrapulmonary spread
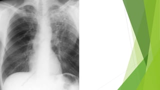
 UNRESOLVED pneumonia, pleural effusion, pneumothorax(CXR)
Systemic presentations
of extra PTB
Investigation
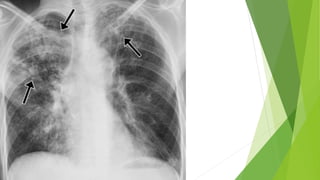
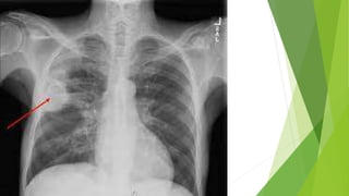
 Radiological : Chest x-ray and CT scan of chest
 Sputum examination: AFB stain At least two sputum samples (including at
least one obtained in the early morning)
 Sputum Culture
 Pleural fluid Examination: ADA(adenosine Deaminase)
 Xpert MTB/Rif (Nucleic acid amplification test NAAT)
 Bronchoscopy
 Tuberculin skin test :
 Baseline Blood tests: CBC, CRP, ESR, Urea, and electrolytes, LFT
Complications
 Massive hemoptysis
 Cor pulmonale
 Fibrosis/emphysema
 Lung/pleural calcification
 Obstructive lung disease
 Bronchiectasis
 Brocho-pleural fistula
 Extra-pulmonary Tb
 Pneumothorax
Classification of TB
TB cases whether bacteriologically confirmed or clinically diagnosed cases are
classified according to:
1. Anatomical site of disease : PTB, E-PTB, MILIARY TB
2. History of previous treatment
3. Drug resistance
4. HIV status : HIV +VE TB, HIV –VE TB, HIV STATUS UNKNOWN TB
Treatment
Cont.
Chemotherapy
First Line
 Rifampin(R)
 Isoniazid(H)
 Pyrazinamide(Z)
 Ethambutol (E)
 Streptomycin(S)
Second Line
 Kanamycin
 Streptomycin
 Capreomycin
 Amikacin
 Levofloxacin
 Moxifloxacin
 Gatifloxacin
 Ethionamide
 OTHERS USED DRUGS:
Glucocorticoids:
 Good nutrition
 REGULAR FOLLOW UP
 PROPER COUNSELLING
t
PREVENTION AND CONTROL
-DETECTION OF LATENT TB
-DOTs
 Regular tb check up for HIV, AND OTHER chronic disease patient
 Vaccines : BCG vaccine
 Proper disposal of sputum of PTB patients
Pulmonary Tuberculosis.pptx
Pulmonary Tuberculosis.pptx
Pulmonary Tuberculosis.pptx
Pulmonary Tuberculosis.pptx
Pulmonary Tuberculosis.pptx

Pulmonary Tuberculosis.pptx

  • 1.
  • 2.
    Introduction  Tuberculosis (TB)is disease caused by infection with Mycobacterium tuberculosis (MTB), which is part of a complex of organisms including M. bovis (reservoir cattle) and M. africanum (reservoir humans).  Tuberculosis (TB) is a communicable disease that is a major public health problem and one of the top 10 causes of death worldwide as well as in Nepal(2018/19)  Globally, an estimated 10.0 million people fell ill with TB in 2018. Nepal population contributed to 0.35% of the global population, but with regards to TB, Nepal accounted for 0.45% of global TB cases  In Nepal, an estimated 42000 fell ill with TB in 2018 (incidence rate of 151 per 100 000)  According to the latest WHO Global TB report 2019, the tuberculosis mortality rate was 20 per 100,000 populations in Nepal  Among the reported cases, men are nearly 1.7 times as compared to women cases (M:F = 1.7:1).
  • 3.
    Pathology-physiology  M. bovisinfection arises mainly drinking non-sterilised milk from infected cows. M. tuberculosis is spread by the inhalation of aerosolised droplet nuclei from other infected patients  Once inhaled, the organisms lodge in the alveoli and initiate the recruitment of macrophages and lymphocytes which form tuberculous granuloma  Numerous granulomas aggregate to form a primary lesion or ‘Ghon focus’  Spread of organism to hilar lymph nodes is followed by a similar pathological reaction, and combination of primary lesion and regional lymph node is known as primary complex of ranke  Reparative processes encase the primary complex in a fibrous capsule, limiting the spread of bacilli  Lymphatic or haematogenous spread may occur before immunity is established, however, seeding secondary foci in other organs, including lymph nodes, serous membranes, meninges, bones, liver, kidneys and lungs, which may lie dormant for years
  • 5.
    Predisposing factors  Age(children > young adults < elderly)  Close contacts of patients with smear-positive pulmonary TB  Overcrowding (prisons, collective dormitories);  Chest X-ray evidence of self-healed TB  Primary infection < 1 year previously  Smoking: cigarettes, bidis and cannabis  Immunosuppression: HIV, anti-tumour necrosis factor (TNF) and other biologic therapies, high-dose glucocorticoids, cytotoxic agents  Malignancy (especially lymphoma and leukaemia)  Diabetes mellitus  Chronic kidney disease  malnutrition ( Deficiency of vitamin D or A)  Recent measles in children
  • 6.
    Clinical features  Coughproductive/non productive, may/maynot contains blood(hemoptysis)  Fever (evening rise/low grade)  Loss of appetite  Night sweats  Anorexia  Crackles on auscultation  Feature of extrapulmonary spread  UNRESOLVED pneumonia, pleural effusion, pneumothorax(CXR)
  • 7.
  • 8.
    Investigation  Radiological :Chest x-ray and CT scan of chest  Sputum examination: AFB stain At least two sputum samples (including at least one obtained in the early morning)  Sputum Culture  Pleural fluid Examination: ADA(adenosine Deaminase)  Xpert MTB/Rif (Nucleic acid amplification test NAAT)  Bronchoscopy  Tuberculin skin test :  Baseline Blood tests: CBC, CRP, ESR, Urea, and electrolytes, LFT
  • 11.
    Complications  Massive hemoptysis Cor pulmonale  Fibrosis/emphysema  Lung/pleural calcification  Obstructive lung disease  Bronchiectasis  Brocho-pleural fistula  Extra-pulmonary Tb  Pneumothorax
  • 12.
    Classification of TB TBcases whether bacteriologically confirmed or clinically diagnosed cases are classified according to: 1. Anatomical site of disease : PTB, E-PTB, MILIARY TB 2. History of previous treatment 3. Drug resistance 4. HIV status : HIV +VE TB, HIV –VE TB, HIV STATUS UNKNOWN TB
  • 15.
  • 16.
    Cont. Chemotherapy First Line  Rifampin(R) Isoniazid(H)  Pyrazinamide(Z)  Ethambutol (E)  Streptomycin(S)
  • 17.
    Second Line  Kanamycin Streptomycin  Capreomycin  Amikacin  Levofloxacin  Moxifloxacin  Gatifloxacin  Ethionamide
  • 18.
     OTHERS USEDDRUGS: Glucocorticoids:  Good nutrition  REGULAR FOLLOW UP  PROPER COUNSELLING
  • 19.
  • 22.
    PREVENTION AND CONTROL -DETECTIONOF LATENT TB -DOTs  Regular tb check up for HIV, AND OTHER chronic disease patient  Vaccines : BCG vaccine  Proper disposal of sputum of PTB patients