Imaging in paranasal sinus
tumors
-Dr. Vinay T R
Clinical overview
Tumors of paranasal sinuses are rare.
Symptoms of benign & early malignant tumors mimic rhinosinusitis:
stuffy nose, rhinorrhea, epiphora & epistaxis.
Symptoms of advanced malignant tumors are related to tumor spread: pain,
facial swelling, cranial nerve palsies, anosmia & visual disturbances .
Often detected when they are large.
Imaging cannot give histopathological diagnosis in most instances.
Patient demographics & characteristic location of tumor may give diagnostic
clue in some cases.
CT, MRI, FDG PET-CT, FDG PET-MRI, Angiography
 CT & MR compliment each other.
 CT: detects bone remodelling & destruction, provides
surgical roadmap.
 MRI: soft tissue morphology, diffusion & perfusion
parameters, direct & perineural spread.
 FDG PET-CT/MRI is a problem solving tool & useful for
detection of recurrence.
 Angiography is useful for pre-surgical evaluation &
embolisation.
CT & MRI protocols
CT:
• Pre & post-contrast volume acquisition in axial plane.
• Multiplanar reconstructions in soft tissue algorithm (3mm slice
thickness) & bone algorithm (1mm).
MRI:
• T1W in axial & T2W in axial & coronal plane.
• Axial T2FS & STIR coronal.
• High-resolution post-gadolinium T1W & T1WFS sequences in
axial & coronal planes,
• DWI (b-value 500 &1000).
Benign tumors and tumor-like conditions
Osseous & fibrosseous:
• Osteoma
• Fibrous dysplasia
• Ossifying fibroma
Epithelial & other soft structures:
• Inverted papilloma
• Juvenile angiofibroma
• Hemangioma
• Pleomorphic adenoma
• Nerve sheath tumor
Osteoma
• Benign slow growing tumour containing mature compact or
cancelleous bone.
• M.C site- frontal sinus ,followed by ethmoid & maxillary sinus.
• Sporadic
• Rarely autosomal dominant (Gardner syndrome)
• 3 grades: ivory, mature and mixed.
• < 5% are symptomatic: obstruction to sinus drainage & mass
effect.
Posterior extension may lead to the compromise of the optic nerve and allow the
infections to spread intracranially and pneumocephalus will be seen.
Fibro-osseous lesions
• Benign bony tumor (dysplasia) of the
craniofacial bones usually involving maxilla
and rarely the mandible, causing cosmetic/
functional deformity and occurs commonly in
young females.
Variants
Depends on the proportion of the fibrous and
osseous components -
• Fibrous dysplasia
• Ossifying fibroma
Fibrous dysplasia
• Fibrous dysplasia (FD) is a pathologic condition in which
normal bone is altered by abnormal fibro-osseous tissue,
causing distortion and overgrowth of the affected bone.
• Common in females.
• Infancy or childhood
• Painless, slow growing swelling of the maxilla. Rarely the
mandible is involved
• Cosmetic deformity.
• Functional deformity -
– Orbit: Diplopia, proptosis, blindness, etc..
– Oral cavity: Malocclusion, dysarthria, difficulty in
mastication.
• Growth usually ceases after puberty.
CT:
• Ground-glass opacities: 56%.
• Homogeneously sclerotic: 23%.
• Cystic: 21%.
• Well-defined borders.
• Expansion of the bone, with intact overlying bone.
• Endosteal scalloping may be seen.
MRI:
• T1: usually intermediate to low heterogeneous signal.
• T2: variable signal.
• T1 C+ (Gd): heterogeneous moderate to avid contrast enhancement
Monostotic FD, where only one bone is involved (70%);
Polyostotic FD, where multiple bones are involved (30%)
Axial computed tomography scan. Expansive lesion of the left ethmoid cells
reaching medial wall of the orbital cavity. Evident the image of “ground glass.”
Ossifying fibroma (OF)
• Benign fibro-osseous tumor, locally aggressive, F>M,
20-40 years.
• Variants of ossifying fibroma differ in the nature of,
– calcification (cementum or bone),
– location (oral, paranasal or orbital),
– morphological differences (presence or absence of psammomatoid
component) and
– behavior (aggressive or static)
• Treatment: Complete surgical resection.
Plain radiograph / CT
• well-circumscribed lesion.
• evidence of intracortical osteolysis with a characteristic
sclerotic band (osteoblastic rimming)
• moderate cortical expansion.
• homogeneous lesion matrix.
MRI
• T1: low signal
• T2: iso-high signal; fluid-fluid levels may be present 8
• T1 C+ (Gd): typically shows enhancement
AP Skull radiograph shows expanded nasal cavity (asterix) with depressed left half of hard
palate (short black arrow) and ill-defined left medial orbital wall (black arrow).
B: Occipitomental view shows soft tissue opacity occupying the left nasal cavity and left
maxillary sinus region with nonvisualized maxillary sinus walls (long black arrow).
A large, expansile, well-circumscribed, corticated left sinonasal mass involving the left ethmoid sinus,
nasal cavity and left maxillary sinus (2a, white arrow). The mass is remodelling the left maxillary sinus
medial wall (2b, small arrow) and bulging into the left side of nasopharynx (2b, asterix). There are
plaque-like areas of high density (180 – 220 HU) within the lesion suggestive of calcification or
ossification (2c, small black arrow and 2d). The lesion extends into the left orbit via inferior orbital
fissure causing left orbital proptosis (2c, long black arrow and 2d).
Axial post contrast CT paranasal sinus reveals multiple pockets of nonenhancing areas of hypodensity with
likely fluid-fluid levels (4a, black arrow). Axial T2 weighted image at the same level confirms multiple fluid-
fluid levels (4b, black arrow). Few of these areas are showing T1 hyperintense signal also representing
thick secretions or blood-blood levels (4c, white arrow). Post contrast axial T1 fat suppressed image shows
irregular rim and solid areas of enhancement (4d, white arrow) with associated premaxillary soft tissue
thickening and collection (4d, short black arrow).
Papilloma
• The mucosal lining of the nose is derived from ectoderm and is
called the schnederian membrane.
• Can give rise to three types of papilloma:
– Fungiform- arises from the nasal septum , usually anteriorly.
– Inverted- commonest. Usually arise from lateral nasal wall.
– Cylindrical cell.
• Symptoms- nasal obstruction , epistaxis and anosmia.
Inverted papilloma
• Benign but locally aggressive premalignant tumor of the nasal
cavity with histologically inverted epithelial tumor cells into
the stroma and usually presents as a pedunculated reddish
mass from the lateral nasal wall.
• Etiology: HPV 6, 11, 16, 18.
• M>F, typically 40-70 years
• 13 % bilateral & 4% multifocal IP
• 10% degenerate into or co-exist with SCC.
• Symptoms:
– Unilateral nasal obstruction
– Blood stained nasal discharge
– Epistaxis
– Pain, epiphora, proptosis +/-
– H/O multiple previous nasal polypectomy+/-.
• Gross pathology:
– Firm, polypoidal and more vascular than inflammatory polyps.
– Commonly arises from the lateral nasal wall, usually in the region
of the middle meatus and middle turbinate
– Extension into the maxillary and ethmoid sinuses and orbit is
common.
• CT: Bone remodelling, conical focal hyperostosis,
entrapped bone sign.
• MRI: Post-contrast T1WFS: convoluted cerebriform
appearance.
• Bone destruction on CT & invasive-necrotic
appearane on MRI: malignant degeneration
• Unenhanced fast spin-echo T2-weighted coronal MR image reveals convoluted cerebriform
pattern throughout mass. Pattern consists of low-signal-intensity (arrowheads) and relatively
high-signal-intensity (small arrows) striations that probably represent metaplastic squamous
epithelium and edematous stroma, respectively. Secretions after obstruction in lateralmost
portion of right-sided maxillary antrum are of extremely high signal intensity (large arrow).
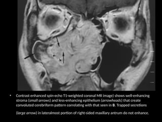
• Contrast enhanced spin-echo T1-weighted coronal MR image) shows well-enhancing
stroma (small arrows) and less-enhancing epithelium (arrowheads) that create
convoluted cerebriform pattern correlating with that seen in B. Trapped secretions
(large arrow) in lateralmost portion of right-sided maxillary antrum do not enhance.
Juvenile angiofibroma (JNA)
• Benign, locally invasive, highly vascular tumor.
• Almost exclusively adolescent males (10-25 years)
• Centred in posterior nasal cavity near sphenopalatine
foramen(SPF).
Treatment: Complete surgical resection + pre surgical
embolization/ combination of endoscopic + open
resection/ radiation therapy.
CT: Avidly enahncing mass centred at SPF, bony remodelling +/- erosion,
various extensions
• q
• Coronal section, contrast-enhanced computed tomography scan shows a large
heterodense destructive soft tissue lesion with intense contrast enhancement on the
right maxillary antrum (yellow arrow), crossing the midline and displacing the nasal
septum to the left (red arrow) and superiorly into the nasal cavity (blue arrow)
• contrast-enhanced computed tomography scan shows a large heterodense destructive soft
tissue lesion seen in the superior postero-lateral wall of the right nasal cavity, extending
into the nasopharynx and adjacent pterygopalatine fossa, right pre-maxillary space causing
bowing of the posterior antral wall: The characteristic Holman Miller sign (yellow arrow)
with erosion/ destruction of adjacent bones.
MRI: Heterogeneous, intermediate to high signal on T2W, flow voids +
• Axial section, T1-weighted magnetic resonance image shows a large, well-defined
mass (arrow) in the region of the pterygo-maxillary fissure and sphenopalatine
foramen on the right side with a heterogenous intensity.
The Radkowski staging system for juvenile nasopharyngeal angiofibroma
Angiography: Tumor blush, internal maxillary artery is feeding
artery.
• Right external carotid artery angiogram reveals the feeding internal maxillary
artery (red arrow) and the hypervascular lesion (yellow arrows).
Angiomatous polyp
• Angiomatous nasal polyp (ANP) is a relatively rare benign
lesion, which may be misdiagnosed as a malignant tumor.
• Located in the nasal fossa and not the nasopharynx.
Unlike the nasopharyngeal angiofibroma.
• Does not extend into the ptergopalatine fossa or
intracranially.
• The vascular supply of these lesions is less extensive than
angiofibromas.
• Does not enhance avidly following intravenous contrast
and vascular flow voids are not seen on MRI.
• Sinonasal angiomatous polyp. A, Axial T1WI shows a slightly hypointense lesion in left maxillary sinus and
nasal cavity. B, Axial T2WI demonstrates a well-defined lesion, which shows hyperintense signal intensity
centrally with a peripheral hypointense rim (white arrows). The hyperintense signal intensity in the ipsilateral
maxillary sinus indicates obstructive sinusitis. C, Axial fat-suppressed contrast-enhanced T1WI shows the
marked patchy enhancement with the nonenhanced hypointense rim. D, Axial DWI shows the mass of slightly
high signal intensity with a peripheral low-signal-intensity rim. E, Photomicrograph shows numerous
extravasated red blood cells, fibrosis, and thin-walled vessels. Scattered hemosiderin-laden macrophages and
inflammatory cells are also seen (hematoxylin-eosin, original magnification ×200).
Malignant tumors
Osseous
• Osteogenic sarcoma
• Chondrosarcoma
• Metastasis
Epithelial and other soft tissue
structure
• Squamous cell carcinoma
(SCC)
• Esthesioneurobalstoma
• Undifferentiated carcinoma
• Adenoid cystic carcinoma
• Mucoepidermoid carcinoma
• Non-Hodgkin lymphoma
• Melanoma
Etiology
Sinonasal neoplasms attributed to occupational exposure
– Wood workers (adenocarcinoma)
– Nickel(Squamous Cell Ca., 80%), chromium, asbestos, silica,
etc.
– Tanning
– Volatile hydrocarbons
• M:F::2:1
• Age: 40-60 yrs (Mean age: 55 years)
Pathology – gross
• Maxilla commonest site of sinonasal malignancy- 50%
• Followed by ethmoids, Frontal and Sphenoid.
• May extends to orbit/ intra-cranium/ oral cavity/
cheek
Clinical features
Asymptomatic (10%)
Nasal(Medial)-Nasal obstruction,Blood stained
nasal discharge, Epistaxis, Headache/ facial pain.
Orbital(Superior)-Diplopia, Blindness, Ocular Pain,
Epiphora.
Facial (Anterior)- Swelling of Cheek, Paresthesia.
Oral(Inferior)- Loosening of tooth, Expansion of
Alveolus, Oroantral fistula, Ill-fitting dentures,
Swelling in Hard Palate, Ulceration of Gingiva.
T-staging
Maxillary Sinus SCC
• Tis -In situ
• T1- Restricted to mucosal lining.
• T2 - Bone destruction, limited to hard palate and middle
meatus
• T3 - Bone destruction of post wall of maxillary sinus; floor and
medial wall of orbit; tumor extension to ethmoid sinus and
pterygoid fossa
• T4a - Tumor growth in anterior orbit; pterygoid plate;
infratemporal fossa; cribriform plate; frontal-sphenoid sinus; skin
• T4b - Tumor growth into orbital apex; dura; brain; middle cranial
fossa; cranial nerves other than V2; nasopharynx; clivus
Ohngren’s line
• An imaginary plane extending between medial cantus
of eye and angle of mandible.
• Supra structural growths-situated above this plane
have a poor prognosis.
• Infra structural growths – situated below this plane
have better prognosis.
Lederman’s classification
• Two horizontal lines of sebileau pass through floors of oribts
and maxillary sinus.
• Suprasturctures : ethmoid, sphenoid & frontal sinuses;
olfactory area of nose.
• Mesostructures: maxillary sinus & respiratory part of
nose.
• Infrasturctures: alveolar process.
• The Lederman T-classification was more prognostic for
locoregional control and disease-specific survival than
the UICC TNM classification. In addition, the Lederman
classification is easy to use and has a broader
applicability as it covers all sites in the sino-nasal area.
Squamous cell carcinoma (SCC)
• SCC accounts for 80% of all sinonasal cancers, of which about
75% are located in maxillary sinus.
• M>F, 50-70 years
• Risk factors: Noxious fume inhalation/ HPV/ inverted papilloma/
previous radiation/ immunosuppression.
• 5 - year survival: For T1 stage about 100%, for T4a stage about
34%.
• Better prognosis: Ethmoid sinus SCC, low tumor stage, HPV+ve,
inverted papilloma
• Poor prognosis: Large tumor size, extension beyond sinus walls,
nodal metastases, perineural spread.
• MRI: Intermediate-high signal on T2W, moderate enhancement, restricted diffusion, direct tumor
extensions, perineural spread, retropharyngeal lymph nodes
• CT: Moderately enhancing mass/ irregular margins/ bone destruction
Adenoid cystic carcinoma (ACC)
• Malignant salivary gland-type adenocarcinoma, M>F,50-70 years.
• Aggressive, high incidence of recurrence, distant metastasis &
perineural spread.
• Recurrence or metastasis can occur even decades after treatment.
Poor prognosis.
• MRI: On T2W-intermediate signal with areas of high signal,
heterogeneous enhancement, restricted diffusion, perineural
spread,
• CT: Solid or heterogeneously enhancing mass, bone destruction
• Treatment: Chemoradiotherapy + surgery
Mucoepidermoid carcinoma (MEC)
• Malignant salivary gland-type adenocarcinoma, rare, M>F,
50-70 years.
• Aggressive & poor prognosis
• MRI: On T2W- intermediate to high signal, diffuse
heterogeneous enhancement, perineural spread.
• CT: Solid or heterogeneously enhancing mass, bone
destruction
• Treatment: Chemoradiotherapy + surgery
Esthesioneuroblastoma (ENB)
• Also known as Olfactory neuroblastomas,.
• Rare malignant neuroectodermal tumor arising from
olfactory mucosa.
• Bimodal distribution - 2nd & 6th decade
• Kadish Classification: A - nasal tumor, B - involvement
of nasal cavity + sinuses, C - beyond sinuses, D –
involvement of cervical lymph nodes.
• CT: Cribriform plate destruction, bony remodelling of nasal cavity.
•MRI: Intermediate-high signal on T2, dumb-bell shaped, avid
enhancement, cysts in intracranial component -Peritumoural cysts between
it and the overlying brain are often present, T2*GRE- blooming foci.
• Treatment: Craniofacial resection + radiotherapy
Undifferentiated sinonasal carcinoma
• Rare non-squamous cell type tumor.
• Elderly > 60 years
• Aggressive & high propensity for distant
metastasis; perineural spread.
• Unlike ENB, it extends beyond sinonasal
cavity.
•CT: Typically large
enhancing mass, aggressive
bony destruction, often
erode cribriform plate,
dumbbell shape due to
intracranial component
•MRI: Low-intermediate T2
signal, areas of necrosis,
heterogenous enhancement
•Treatment:
Chemoradiotherapy &
surgery
Non-Hodgkin lymphoma
• Mimics variety of neoplasms & inflammatory disorders.
• Nasal cavity > sinuses, 6th -7th decade.
• 3 types: B-cell, T-Cell & natural-killer T- cell (NKTL)
• MRI: Polypoid, Low-intermediate T2 signal, DWI -
low ADC, perineural spread
• CT: Iso-hyperdense mass, bone remodelling +/- erosion
• FDG PET-CT: avid FDG uptake.
• Treatment: Radiotherapy or chemoradiotherapy
Sinonasal malignant melanoma
• Neural crest malignancy arising from melanocytes.
• 90% seen in Caucacians, M>F, 50-80 years.
• Propensity for systemic metastasis, poor prognosis,
mean survival is 24 months.
• Melanotic & amelanotic.
MRI: Melanotic: T1W-hyperintense, T2W-hypointense Amelanotic:
T1W-intermediate, T2W-variable Both: T2*GRE +/- blooming
CT: Lobular soft tissue mass, bone remodelling +/- erosion
Treatment: Aggressive radical excision & radiotherapy
Thank you

pns part 2 final n

  • 1.
    Imaging in paranasalsinus tumors -Dr. Vinay T R
  • 2.
    Clinical overview Tumors ofparanasal sinuses are rare. Symptoms of benign & early malignant tumors mimic rhinosinusitis: stuffy nose, rhinorrhea, epiphora & epistaxis. Symptoms of advanced malignant tumors are related to tumor spread: pain, facial swelling, cranial nerve palsies, anosmia & visual disturbances . Often detected when they are large. Imaging cannot give histopathological diagnosis in most instances. Patient demographics & characteristic location of tumor may give diagnostic clue in some cases.
  • 3.
    CT, MRI, FDGPET-CT, FDG PET-MRI, Angiography  CT & MR compliment each other.  CT: detects bone remodelling & destruction, provides surgical roadmap.  MRI: soft tissue morphology, diffusion & perfusion parameters, direct & perineural spread.  FDG PET-CT/MRI is a problem solving tool & useful for detection of recurrence.  Angiography is useful for pre-surgical evaluation & embolisation.
  • 4.
    CT & MRIprotocols CT: • Pre & post-contrast volume acquisition in axial plane. • Multiplanar reconstructions in soft tissue algorithm (3mm slice thickness) & bone algorithm (1mm). MRI: • T1W in axial & T2W in axial & coronal plane. • Axial T2FS & STIR coronal. • High-resolution post-gadolinium T1W & T1WFS sequences in axial & coronal planes, • DWI (b-value 500 &1000).
  • 5.
    Benign tumors andtumor-like conditions Osseous & fibrosseous: • Osteoma • Fibrous dysplasia • Ossifying fibroma Epithelial & other soft structures: • Inverted papilloma • Juvenile angiofibroma • Hemangioma • Pleomorphic adenoma • Nerve sheath tumor
  • 6.
    Osteoma • Benign slowgrowing tumour containing mature compact or cancelleous bone. • M.C site- frontal sinus ,followed by ethmoid & maxillary sinus. • Sporadic • Rarely autosomal dominant (Gardner syndrome) • 3 grades: ivory, mature and mixed. • < 5% are symptomatic: obstruction to sinus drainage & mass effect.
  • 8.
    Posterior extension maylead to the compromise of the optic nerve and allow the infections to spread intracranially and pneumocephalus will be seen.
  • 10.
    Fibro-osseous lesions • Benignbony tumor (dysplasia) of the craniofacial bones usually involving maxilla and rarely the mandible, causing cosmetic/ functional deformity and occurs commonly in young females.
  • 11.
    Variants Depends on theproportion of the fibrous and osseous components - • Fibrous dysplasia • Ossifying fibroma
  • 12.
    Fibrous dysplasia • Fibrousdysplasia (FD) is a pathologic condition in which normal bone is altered by abnormal fibro-osseous tissue, causing distortion and overgrowth of the affected bone. • Common in females. • Infancy or childhood • Painless, slow growing swelling of the maxilla. Rarely the mandible is involved • Cosmetic deformity. • Functional deformity - – Orbit: Diplopia, proptosis, blindness, etc.. – Oral cavity: Malocclusion, dysarthria, difficulty in mastication. • Growth usually ceases after puberty.
  • 13.
    CT: • Ground-glass opacities:56%. • Homogeneously sclerotic: 23%. • Cystic: 21%. • Well-defined borders. • Expansion of the bone, with intact overlying bone. • Endosteal scalloping may be seen. MRI: • T1: usually intermediate to low heterogeneous signal. • T2: variable signal. • T1 C+ (Gd): heterogeneous moderate to avid contrast enhancement Monostotic FD, where only one bone is involved (70%); Polyostotic FD, where multiple bones are involved (30%)
  • 15.
    Axial computed tomographyscan. Expansive lesion of the left ethmoid cells reaching medial wall of the orbital cavity. Evident the image of “ground glass.”
  • 16.
    Ossifying fibroma (OF) •Benign fibro-osseous tumor, locally aggressive, F>M, 20-40 years. • Variants of ossifying fibroma differ in the nature of, – calcification (cementum or bone), – location (oral, paranasal or orbital), – morphological differences (presence or absence of psammomatoid component) and – behavior (aggressive or static) • Treatment: Complete surgical resection.
  • 17.
    Plain radiograph /CT • well-circumscribed lesion. • evidence of intracortical osteolysis with a characteristic sclerotic band (osteoblastic rimming) • moderate cortical expansion. • homogeneous lesion matrix. MRI • T1: low signal • T2: iso-high signal; fluid-fluid levels may be present 8 • T1 C+ (Gd): typically shows enhancement
  • 18.
    AP Skull radiographshows expanded nasal cavity (asterix) with depressed left half of hard palate (short black arrow) and ill-defined left medial orbital wall (black arrow). B: Occipitomental view shows soft tissue opacity occupying the left nasal cavity and left maxillary sinus region with nonvisualized maxillary sinus walls (long black arrow).
  • 19.
    A large, expansile,well-circumscribed, corticated left sinonasal mass involving the left ethmoid sinus, nasal cavity and left maxillary sinus (2a, white arrow). The mass is remodelling the left maxillary sinus medial wall (2b, small arrow) and bulging into the left side of nasopharynx (2b, asterix). There are plaque-like areas of high density (180 – 220 HU) within the lesion suggestive of calcification or ossification (2c, small black arrow and 2d). The lesion extends into the left orbit via inferior orbital fissure causing left orbital proptosis (2c, long black arrow and 2d).
  • 20.
    Axial post contrastCT paranasal sinus reveals multiple pockets of nonenhancing areas of hypodensity with likely fluid-fluid levels (4a, black arrow). Axial T2 weighted image at the same level confirms multiple fluid- fluid levels (4b, black arrow). Few of these areas are showing T1 hyperintense signal also representing thick secretions or blood-blood levels (4c, white arrow). Post contrast axial T1 fat suppressed image shows irregular rim and solid areas of enhancement (4d, white arrow) with associated premaxillary soft tissue thickening and collection (4d, short black arrow).
  • 21.
    Papilloma • The mucosallining of the nose is derived from ectoderm and is called the schnederian membrane. • Can give rise to three types of papilloma: – Fungiform- arises from the nasal septum , usually anteriorly. – Inverted- commonest. Usually arise from lateral nasal wall. – Cylindrical cell. • Symptoms- nasal obstruction , epistaxis and anosmia.
  • 22.
    Inverted papilloma • Benignbut locally aggressive premalignant tumor of the nasal cavity with histologically inverted epithelial tumor cells into the stroma and usually presents as a pedunculated reddish mass from the lateral nasal wall. • Etiology: HPV 6, 11, 16, 18. • M>F, typically 40-70 years • 13 % bilateral & 4% multifocal IP • 10% degenerate into or co-exist with SCC.
  • 23.
    • Symptoms: – Unilateralnasal obstruction – Blood stained nasal discharge – Epistaxis – Pain, epiphora, proptosis +/- – H/O multiple previous nasal polypectomy+/-. • Gross pathology: – Firm, polypoidal and more vascular than inflammatory polyps. – Commonly arises from the lateral nasal wall, usually in the region of the middle meatus and middle turbinate – Extension into the maxillary and ethmoid sinuses and orbit is common.
  • 24.
    • CT: Boneremodelling, conical focal hyperostosis, entrapped bone sign. • MRI: Post-contrast T1WFS: convoluted cerebriform appearance. • Bone destruction on CT & invasive-necrotic appearane on MRI: malignant degeneration
  • 26.
    • Unenhanced fastspin-echo T2-weighted coronal MR image reveals convoluted cerebriform pattern throughout mass. Pattern consists of low-signal-intensity (arrowheads) and relatively high-signal-intensity (small arrows) striations that probably represent metaplastic squamous epithelium and edematous stroma, respectively. Secretions after obstruction in lateralmost portion of right-sided maxillary antrum are of extremely high signal intensity (large arrow).
  • 27.
    • Contrast enhancedspin-echo T1-weighted coronal MR image) shows well-enhancing stroma (small arrows) and less-enhancing epithelium (arrowheads) that create convoluted cerebriform pattern correlating with that seen in B. Trapped secretions (large arrow) in lateralmost portion of right-sided maxillary antrum do not enhance.
  • 28.
    Juvenile angiofibroma (JNA) •Benign, locally invasive, highly vascular tumor. • Almost exclusively adolescent males (10-25 years) • Centred in posterior nasal cavity near sphenopalatine foramen(SPF). Treatment: Complete surgical resection + pre surgical embolization/ combination of endoscopic + open resection/ radiation therapy.
  • 30.
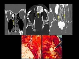
    CT: Avidly enahncingmass centred at SPF, bony remodelling +/- erosion, various extensions • q
  • 31.
    • Coronal section,contrast-enhanced computed tomography scan shows a large heterodense destructive soft tissue lesion with intense contrast enhancement on the right maxillary antrum (yellow arrow), crossing the midline and displacing the nasal septum to the left (red arrow) and superiorly into the nasal cavity (blue arrow)
  • 32.
    • contrast-enhanced computedtomography scan shows a large heterodense destructive soft tissue lesion seen in the superior postero-lateral wall of the right nasal cavity, extending into the nasopharynx and adjacent pterygopalatine fossa, right pre-maxillary space causing bowing of the posterior antral wall: The characteristic Holman Miller sign (yellow arrow) with erosion/ destruction of adjacent bones.
  • 33.
    MRI: Heterogeneous, intermediateto high signal on T2W, flow voids + • Axial section, T1-weighted magnetic resonance image shows a large, well-defined mass (arrow) in the region of the pterygo-maxillary fissure and sphenopalatine foramen on the right side with a heterogenous intensity.
  • 34.
    The Radkowski stagingsystem for juvenile nasopharyngeal angiofibroma
  • 35.
    Angiography: Tumor blush,internal maxillary artery is feeding artery. • Right external carotid artery angiogram reveals the feeding internal maxillary artery (red arrow) and the hypervascular lesion (yellow arrows).
  • 36.
    Angiomatous polyp • Angiomatousnasal polyp (ANP) is a relatively rare benign lesion, which may be misdiagnosed as a malignant tumor. • Located in the nasal fossa and not the nasopharynx. Unlike the nasopharyngeal angiofibroma. • Does not extend into the ptergopalatine fossa or intracranially. • The vascular supply of these lesions is less extensive than angiofibromas. • Does not enhance avidly following intravenous contrast and vascular flow voids are not seen on MRI.
  • 37.
    • Sinonasal angiomatouspolyp. A, Axial T1WI shows a slightly hypointense lesion in left maxillary sinus and nasal cavity. B, Axial T2WI demonstrates a well-defined lesion, which shows hyperintense signal intensity centrally with a peripheral hypointense rim (white arrows). The hyperintense signal intensity in the ipsilateral maxillary sinus indicates obstructive sinusitis. C, Axial fat-suppressed contrast-enhanced T1WI shows the marked patchy enhancement with the nonenhanced hypointense rim. D, Axial DWI shows the mass of slightly high signal intensity with a peripheral low-signal-intensity rim. E, Photomicrograph shows numerous extravasated red blood cells, fibrosis, and thin-walled vessels. Scattered hemosiderin-laden macrophages and inflammatory cells are also seen (hematoxylin-eosin, original magnification ×200).
  • 38.
    Malignant tumors Osseous • Osteogenicsarcoma • Chondrosarcoma • Metastasis Epithelial and other soft tissue structure • Squamous cell carcinoma (SCC) • Esthesioneurobalstoma • Undifferentiated carcinoma • Adenoid cystic carcinoma • Mucoepidermoid carcinoma • Non-Hodgkin lymphoma • Melanoma
  • 39.
    Etiology Sinonasal neoplasms attributedto occupational exposure – Wood workers (adenocarcinoma) – Nickel(Squamous Cell Ca., 80%), chromium, asbestos, silica, etc. – Tanning – Volatile hydrocarbons • M:F::2:1 • Age: 40-60 yrs (Mean age: 55 years)
  • 40.
    Pathology – gross •Maxilla commonest site of sinonasal malignancy- 50% • Followed by ethmoids, Frontal and Sphenoid. • May extends to orbit/ intra-cranium/ oral cavity/ cheek
  • 41.
    Clinical features Asymptomatic (10%) Nasal(Medial)-Nasalobstruction,Blood stained nasal discharge, Epistaxis, Headache/ facial pain. Orbital(Superior)-Diplopia, Blindness, Ocular Pain, Epiphora. Facial (Anterior)- Swelling of Cheek, Paresthesia. Oral(Inferior)- Loosening of tooth, Expansion of Alveolus, Oroantral fistula, Ill-fitting dentures, Swelling in Hard Palate, Ulceration of Gingiva.
  • 42.
    T-staging Maxillary Sinus SCC •Tis -In situ • T1- Restricted to mucosal lining. • T2 - Bone destruction, limited to hard palate and middle meatus • T3 - Bone destruction of post wall of maxillary sinus; floor and medial wall of orbit; tumor extension to ethmoid sinus and pterygoid fossa • T4a - Tumor growth in anterior orbit; pterygoid plate; infratemporal fossa; cribriform plate; frontal-sphenoid sinus; skin • T4b - Tumor growth into orbital apex; dura; brain; middle cranial fossa; cranial nerves other than V2; nasopharynx; clivus
  • 43.
    Ohngren’s line • Animaginary plane extending between medial cantus of eye and angle of mandible.
  • 44.
    • Supra structuralgrowths-situated above this plane have a poor prognosis. • Infra structural growths – situated below this plane have better prognosis.
  • 45.
    Lederman’s classification • Twohorizontal lines of sebileau pass through floors of oribts and maxillary sinus.
  • 46.
    • Suprasturctures :ethmoid, sphenoid & frontal sinuses; olfactory area of nose. • Mesostructures: maxillary sinus & respiratory part of nose. • Infrasturctures: alveolar process. • The Lederman T-classification was more prognostic for locoregional control and disease-specific survival than the UICC TNM classification. In addition, the Lederman classification is easy to use and has a broader applicability as it covers all sites in the sino-nasal area.
  • 47.
    Squamous cell carcinoma(SCC) • SCC accounts for 80% of all sinonasal cancers, of which about 75% are located in maxillary sinus. • M>F, 50-70 years • Risk factors: Noxious fume inhalation/ HPV/ inverted papilloma/ previous radiation/ immunosuppression. • 5 - year survival: For T1 stage about 100%, for T4a stage about 34%. • Better prognosis: Ethmoid sinus SCC, low tumor stage, HPV+ve, inverted papilloma • Poor prognosis: Large tumor size, extension beyond sinus walls, nodal metastases, perineural spread.
  • 48.
    • MRI: Intermediate-highsignal on T2W, moderate enhancement, restricted diffusion, direct tumor extensions, perineural spread, retropharyngeal lymph nodes • CT: Moderately enhancing mass/ irregular margins/ bone destruction
  • 49.
    Adenoid cystic carcinoma(ACC) • Malignant salivary gland-type adenocarcinoma, M>F,50-70 years. • Aggressive, high incidence of recurrence, distant metastasis & perineural spread. • Recurrence or metastasis can occur even decades after treatment. Poor prognosis.
  • 50.
    • MRI: OnT2W-intermediate signal with areas of high signal, heterogeneous enhancement, restricted diffusion, perineural spread, • CT: Solid or heterogeneously enhancing mass, bone destruction • Treatment: Chemoradiotherapy + surgery
  • 51.
    Mucoepidermoid carcinoma (MEC) •Malignant salivary gland-type adenocarcinoma, rare, M>F, 50-70 years. • Aggressive & poor prognosis • MRI: On T2W- intermediate to high signal, diffuse heterogeneous enhancement, perineural spread. • CT: Solid or heterogeneously enhancing mass, bone destruction • Treatment: Chemoradiotherapy + surgery
  • 53.
    Esthesioneuroblastoma (ENB) • Alsoknown as Olfactory neuroblastomas,. • Rare malignant neuroectodermal tumor arising from olfactory mucosa. • Bimodal distribution - 2nd & 6th decade • Kadish Classification: A - nasal tumor, B - involvement of nasal cavity + sinuses, C - beyond sinuses, D – involvement of cervical lymph nodes.
  • 54.
    • CT: Cribriformplate destruction, bony remodelling of nasal cavity. •MRI: Intermediate-high signal on T2, dumb-bell shaped, avid enhancement, cysts in intracranial component -Peritumoural cysts between it and the overlying brain are often present, T2*GRE- blooming foci. • Treatment: Craniofacial resection + radiotherapy
  • 56.
    Undifferentiated sinonasal carcinoma •Rare non-squamous cell type tumor. • Elderly > 60 years • Aggressive & high propensity for distant metastasis; perineural spread. • Unlike ENB, it extends beyond sinonasal cavity.
  • 57.
    •CT: Typically large enhancingmass, aggressive bony destruction, often erode cribriform plate, dumbbell shape due to intracranial component •MRI: Low-intermediate T2 signal, areas of necrosis, heterogenous enhancement •Treatment: Chemoradiotherapy & surgery
  • 58.
    Non-Hodgkin lymphoma • Mimicsvariety of neoplasms & inflammatory disorders. • Nasal cavity > sinuses, 6th -7th decade. • 3 types: B-cell, T-Cell & natural-killer T- cell (NKTL) • MRI: Polypoid, Low-intermediate T2 signal, DWI - low ADC, perineural spread • CT: Iso-hyperdense mass, bone remodelling +/- erosion • FDG PET-CT: avid FDG uptake. • Treatment: Radiotherapy or chemoradiotherapy
  • 60.
    Sinonasal malignant melanoma •Neural crest malignancy arising from melanocytes. • 90% seen in Caucacians, M>F, 50-80 years. • Propensity for systemic metastasis, poor prognosis, mean survival is 24 months. • Melanotic & amelanotic.
  • 61.
    MRI: Melanotic: T1W-hyperintense,T2W-hypointense Amelanotic: T1W-intermediate, T2W-variable Both: T2*GRE +/- blooming CT: Lobular soft tissue mass, bone remodelling +/- erosion Treatment: Aggressive radical excision & radiotherapy
  • 62.