OSCE Exam
April 2017
Dermatology Unit Training
SMC
Question 1: spot diagnosis
Question 2: spot diagnosis
Question 3: spot diagnosis
Question 4: spot diagnosis
Question 5: CD34 stain used
Question 6: spot diagnosis
Question 7: spot diagnosis
Question 8
- What is the diagnosis?
- What investigations would
you perform?
Question 9: spot diagnosis
Question 10: spot diagnosis
Question 11: spot diagnosis
Question 12: spot diagnosis
Question 13
List 5 differential
diagnosis
Question 14: spot diagnosis
Question 15
List 6 differential diagnosis
Question 16
List 6 differential diagnosis
Question 17: spot diagnosis
Question 18: spot diagnosis
Lesion is bilateral
Question 19: spot diagnosis
Question 20: spot diagnosis
Three days history of painful
lesions
Question 21
List 5 differential diagnosis
Question 22: spot diagnosis
Question 23
- What is the diagnosis?
- Name one test you would do to this patient
Question 24: spot diagnosis
Question 25
Name 5 syndromes that would
have these constellation of
symptoms
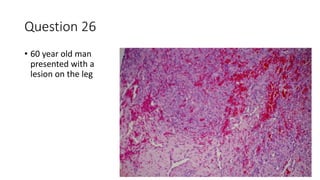
Question 26
• 60 year old man
presented with a
lesion on the leg
Question 27
What are the most common
cutaneous features of this
disease?
Question 28
• Patient presented with a
warty lesion in oral
mucosa
Question 29
Name 3 substances/minerals
that are used to stain this tattoo
and mention the laser
wavelength used to treat each
Question 30: spot diagnosis

OSCE Exam