Oral Red Lesions
ASST. PROF. DR. GÜRKAN ÜNSAL
Learning Outcomes
• Explains the etiology of the lesions
• Interprets the clinical picture of the lesions
• Knows the necessary tests for the diagnosis of the lesions
• Makes a differential diagnosis of the red lesions
• Describes the prognosis of the lesions
LIST OF LESIONS
❑Ecchymosis*
❑Petechiae*
❑Erythroplakia*
❑Pyogenic Granuloma*
❑Hemangioma*
❑Hereditary Hemorrhagic Telangiectasia*
(Rendu-Osler-Weber Syndrome)
❑Fissured Tongue
❑Kaposi’s Sarcoma
❑Plasma Cell Gingivitis
❑Varices
Algorithm
❑Name of the lesion
❑Etiology
❑Clinical Presentation
❑Diagnosis
❑Differential Diagnosis
❑Prognosis
Ecchymosis
Definition: A small bruise caused by blood leaking from broken blood vessels into the tissues
of the skin or mucous membranes.
Etiology
• Soft tissue hemorrhage
• Blood dyscrasia with secondary thrombocytopenia, hemophilia
• Vascular wall defects
• Coagulopathy
• Trauma
Ecchymosis
Clinical Presentation
• Larger than pinpoint spots (ie, larger than petechiae)
• Nonvesicular, macular surface
• Lesions do not blanch with pressure
• Red to reddish blue to brown color
1 to 3 cms
Ecchymosis
Diagnosis
• Characteristic size, color
• History
• Blood count, coagulation profile
Ecchymosis
Differential Diagnosis
• Hemophilia
• Kaposi’s sarcoma
• Hemangioma
• Thrombocytopenia,
• von Willebrand’s disease
• Leukemia
• Trauma
Ecchymosis
Prognosis
• Excellent
Erythroplakia
Etiology
• Unknown: a red patch that cannot be clinically attributed to another condition
• Contributing factors include tobacco use, alcohol consumption
Erythroplakia
Clinical Presentation
• Red, often velvety, well-defined patch(es)
• Most common on floor of mouth, retromolar trigone area, lateral tongue
• Usually asymptomatic
• May be smooth to nodular
• Chiefly in males
Erythroplakia
Diagnosis
• Appearance; history of tobacco/alcohol use
• Biopsy results differentiate from inflammatory and atrophic lesions
Erythroplakia
Differential Diagnosis
• Erythematous (atrophic) candidiasis
• Kaposi’s sarcoma
• Ecchymosis
• Contact stomatitis
• Vascular malformation
• Squamous cell carcinoma
• Geographic tongue/erythema migrans
Erythroplakia
Prognosis
• Fair to good depending upon microscopic diagnosis
• Almost all cases are premalignant to malignant upon initial discovery.
• Surgical excision if proven dysplastic/malignant
Fissured Tongue
Etiology
• Unknown
• May be hereditary
• Occurs with greater prevalence as population ages
Fissured Tongue
Clinical Presentation
• Multiple crenations or fissures
• May be seen in association with erythema migrans/geographic tongue
• Prominence increases with age
• Usually asymptomatic
• A component of Melkersson-Rosenthal syndrome
• May be a source of halitosis
Fissured Tongue
Diagnosis
• Characteristic appearance
• If symptomatic (pain, burning), may be related to the following:
◦ • Secondary candidiasis (antifungal prescription)
◦ • Idiopathic factors
Fissured Tongue
Differential Diagnosis
Well… You will get it ☺
Fissured Tongue
Prognosis
• Excellent
• With candidal colonization, topical antifungal preparations are effective.
• Careful débridement with soft-bristled brush, 5 to 15 strokes, once or twice daily
Hemangioma
Etiology
• Benign developmental anomalies of blood vessels that may be subclassified as congenital
hemangiomas and vascular malformations
• “Congenital hemangioma” usually noted initially in infancy or childhood (hamartomatous
proliferation)
• Congenital hemangioma due to proliferation of endothelial cells
• “Vascular malformations” due to abnormal morphogenesis of arterial and venous structures
Hemangioma
Clinical Presentation
• Congenital lesions usually arise around time of birth, grow rapidly, and usually involute over
several years.
• Malformations generally are persistent, grow with the child, and do not involute.
• Color varies from red to blue depending on depth, degree of congestion, and caliber of vessels
• Range in size from few millimeters to massive with disfigurement
• Most common on lips, tongue, buccal mucosa
• Usually asymptomatic
• Sturge-Weber syndrome (trigeminal encephalo-angiomatosis) includes cutaneous vascular
malformations (port wine stains) along trigeminal nerve distribution, mental retardation, and
seizures.
Hemangioma
Diagnosis
• Aspiration
• Blanching under pressure (diascopy)
• Imaging studies
Hemangioma
Differential Diagnosis
• Purpura
• Telangiectasia
• Kaposi’s sarcoma
• Other vascular neoplasms
Hemangioma
Prognosis
• Guarded
Hereditary Hemorrhagic Telangiectasia
Etiology
• Not uncommon, familial (autosomal-dominant) mucocutaneous vascular disease
• Some cases may be nonfamilial (spontaneous mutation).
• Arteriovenous (eg, pulmonary) malformations also can occur.
Hereditary Hemorrhagic Telangiectasia
Clinical Presentation
• Multifocal, macular to slightly papular red lesions of skin and mucosa
• Most common on lips, tongue, buccal mucosa, finger tips
• Commonly associated with epistaxis due to involvement of nasal mucosa
• Increase in number and prominence with age
• Blanch under pressure (diascopy positive)
• Lesions can affect gastrointestinal mucosa, which may rupture with associated signs of
chronic gastrointestinal blood loss; may produce anemia
Hereditary Hemorrhagic Telangiectasia
Diagnosis
• Family history
• Distribution of lesions
Hereditary Hemorrhagic Telangiectasia
Differential Diagnosis
• CREST syndrome (calcinosis cutis, Raynaud’s phenomenon, esophageal dysfunction,
sclerodactyly, telangiectasia)
• Chronic hepatitis
• Radiation-induced vascular alterations
Hereditary Hemorrhagic Telangiectasia
Prognosis
• Lifelong follow-up/monitoring
• 4 to 10% death rate from complications of the disease
Petechiae
Definition: Petechiae are pinpoint hemorrhages that occur in subcutaneous or submucosal
tissues in a wide variety of conditions. Because of their diversity, the differential diagnosis of
oral mucosal petechial hemorrhages is complex.
Etiology
• Viral infection (Epstein-Barr virus [EBV]-mononucleosis; measles), rickettsial infection
• Thrombocytopenia, leukemia
• Disseminated intravascular coagulation (DIC)
• Trauma: prolonged coughing, frequent vomiting, giving birth, violent Valsalva maneuvers
Petechiae
Clinical Presentation
• Pinpoint hemorrhage into mucosa/submucosa
• Asymptomatic
• Usually involves the soft palate
• No blanching on pressure (diascopy)
Petechiae
Diagnosis
• Clinical features
• History, determination of underlying cause
Petechiae
Differential Diagnosis
• See “Etiology”
Petechiae
Prognosis
• Variable, depending upon etiology
• Does not require treatment; observation only
Plasma Cell Gingivitis
Etiology
• Usually represents a hypersensitivity phenomenon to an agent such as the following:
◦ Cinnamon/cinnamon flavoring
◦ Candy flavors
◦ Toothpaste/mouthwash
◦ Plaque antigens
Plasma Cell Gingivitis
Clinical Presentation
• Reddened, velvety gingival surface
• Surface epithelium becomes nonkeratinized.
• Limited to attached gingiva
Plasma Cell Gingivitis
Diagnosis
• Response to elimination of possible etiologic agents
• Biopsy results show plasma cell infiltration within the submucosa and lamina propria beneath
an acanthotic epithelium.
• Patch testing
Plasma Cell Gingivitis
Differential Diagnosis
• Lupus erythematosus
• Wegener’s granulomatosis
• Chronic candidiasis
• Lichen planus
• Mucous membrane pemphigoid
Plasma Cell Gingivitis
Prognosis
• Reversal with removal of causative agent
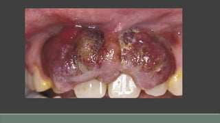
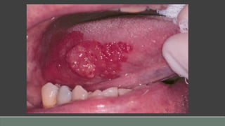
Pyogenic Granuloma
Etiology
• A reactive hyperplasia of capillaries and fibroblasts
• Related to chronic, persistent trauma or irritation (eg, calculus or foreign body)
• Misnomer—neither pyogenic nor granulomatous
◦ My advice 🡪 Capillary Lobular Hemangioma !
Pyogenic Granuloma
Clinical Presentation
• Occurs at any age, but usually in children, young adults, and women
• Red, lobular to smoothly contoured appearance
• When ulcerated, a yellow fibrinous exudate covers the lesion.
• Sessile to pedunculated commonly on gingiva, but also on areas that are traumatized (eg,
lower lip, buccal mucosa)
• Bleeds easily but is painless
Pyogenic Granuloma
Diagnosis
• History of gradual to rapid onset
• Identification of a stimulus or causative factor (eg, trauma, physical irritant)
• Histologic evaluation
Pyogenic Granuloma
Differential Diagnosis
• Peripheral giant cell granuloma
• Peripheral ossifying fibroma
• Metastatic tumor
• Kaposi’s sarcoma
• Vascular malformation
Pyogenic Granuloma
Prognosis
• Excellent
• Recurrence occasional
Varices
Etiology
• An abnormal venous dilatation
• Congenital or from damage to vessel wall (trauma, ultraviolet light)
• Occur with increasing frequency over 40 years of age
Varices
Clinical Presentation
• Blue, lobulated surface
• Painless, evolves slowly
• Common on lower lip, sublingual regions
• Blanches with compression (diascopy)
• May become thrombosed
Varices
Diagnosis
• Clinical appearance
• Histologic viewing of large-caliber, thin-walled vein
Varices
Differential Diagnosis
• Mucocele
• Vascular neoplasm
• Blue rubber bleb nevus syndrome
• Hereditary hemorrhagic telangiectasia (Rendu-Osler-Weber syndrome)
Varices
Prognosis
• Excellent
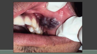
Kaposi’s Sarcoma
Etiology
• Several forms
◦ • Classic idiopathic form affecting extremeties
◦ • Endemic form (African)
◦ • Immunosuppression-associated form
◦ • Acquired immunodeficiency syndrome (AIDS)-associated form
• All forms, especially AIDS-associated and immunosuppressionassociated forms, may be
caused by or closely related to a herpesvirus (human herpesvirus 8 [HHV-8] or Kaposi’s
sarcoma–associated herpesvirus [KSHV]).
Kaposi’s Sarcoma
Clinical Presentation
• Classic form associated with slow but pernicious growth over many years; oral lesions rarely seen
• Endemic form more rapid; oral lesions rarely seen
• AIDS-associated KS most commonly seen on keratinized mucosa/mucoperiosteal tissues; strong
predilection for hard palate, followed by gingiva, buccal mucosa, and tongue (prevalence decreasing
with treatment for AIDS)
• Evolution from bluish macule to nodule(s)
• Evolution to multiple lesions
• May precede or follow cutaneous lesions
• Usually asymptomatic
Kaposi’s Sarcoma
Diagnosis
• Location and appearance
• May occur in up to one-third of AIDS patients
• Biopsy showing spindle cell proliferation with vascular slits, extravascular red blood cells
Kaposi’s Sarcoma
Differential Diagnosis
• Hematoma
• Hemangioma
• Ecchymosis
• Malignant melanoma
• Pyogenic granuloma
• Amalgam tattoo
Kaposi’s Sarcoma
Prognosis
• Variable, depending upon host’s immune status, but generally poor in AIDS-associated form
References
• Brad W. Neville, Douglas D. Damm , Carl Allen, Angela C. Chi (2015). Oral and Maxillofacial
Pathology. 4th edition, Elsevier Health Sciences, St. Louis, Missouri
• Laskaris, G. (2017). Color Atlas of Oral Diseases. 4th edition. Thieme

Oral Red Lesions pdf

  • 1.
    Oral Red Lesions ASST.PROF. DR. GÜRKAN ÜNSAL
  • 2.
    Learning Outcomes • Explainsthe etiology of the lesions • Interprets the clinical picture of the lesions • Knows the necessary tests for the diagnosis of the lesions • Makes a differential diagnosis of the red lesions • Describes the prognosis of the lesions
  • 3.
    LIST OF LESIONS ❑Ecchymosis* ❑Petechiae* ❑Erythroplakia* ❑PyogenicGranuloma* ❑Hemangioma* ❑Hereditary Hemorrhagic Telangiectasia* (Rendu-Osler-Weber Syndrome) ❑Fissured Tongue ❑Kaposi’s Sarcoma ❑Plasma Cell Gingivitis ❑Varices
  • 4.
    Algorithm ❑Name of thelesion ❑Etiology ❑Clinical Presentation ❑Diagnosis ❑Differential Diagnosis ❑Prognosis
  • 5.
    Ecchymosis Definition: A smallbruise caused by blood leaking from broken blood vessels into the tissues of the skin or mucous membranes. Etiology • Soft tissue hemorrhage • Blood dyscrasia with secondary thrombocytopenia, hemophilia • Vascular wall defects • Coagulopathy • Trauma
  • 6.
    Ecchymosis Clinical Presentation • Largerthan pinpoint spots (ie, larger than petechiae) • Nonvesicular, macular surface • Lesions do not blanch with pressure • Red to reddish blue to brown color
  • 11.
    1 to 3cms
  • 12.
    Ecchymosis Diagnosis • Characteristic size,color • History • Blood count, coagulation profile
  • 13.
    Ecchymosis Differential Diagnosis • Hemophilia •Kaposi’s sarcoma • Hemangioma • Thrombocytopenia, • von Willebrand’s disease • Leukemia • Trauma
  • 14.
  • 15.
    Erythroplakia Etiology • Unknown: ared patch that cannot be clinically attributed to another condition • Contributing factors include tobacco use, alcohol consumption
  • 16.
    Erythroplakia Clinical Presentation • Red,often velvety, well-defined patch(es) • Most common on floor of mouth, retromolar trigone area, lateral tongue • Usually asymptomatic • May be smooth to nodular • Chiefly in males
  • 22.
    Erythroplakia Diagnosis • Appearance; historyof tobacco/alcohol use • Biopsy results differentiate from inflammatory and atrophic lesions
  • 23.
    Erythroplakia Differential Diagnosis • Erythematous(atrophic) candidiasis • Kaposi’s sarcoma • Ecchymosis • Contact stomatitis • Vascular malformation • Squamous cell carcinoma • Geographic tongue/erythema migrans
  • 24.
    Erythroplakia Prognosis • Fair togood depending upon microscopic diagnosis • Almost all cases are premalignant to malignant upon initial discovery. • Surgical excision if proven dysplastic/malignant
  • 25.
    Fissured Tongue Etiology • Unknown •May be hereditary • Occurs with greater prevalence as population ages
  • 26.
    Fissured Tongue Clinical Presentation •Multiple crenations or fissures • May be seen in association with erythema migrans/geographic tongue • Prominence increases with age • Usually asymptomatic • A component of Melkersson-Rosenthal syndrome • May be a source of halitosis
  • 28.
    Fissured Tongue Diagnosis • Characteristicappearance • If symptomatic (pain, burning), may be related to the following: ◦ • Secondary candidiasis (antifungal prescription) ◦ • Idiopathic factors
  • 29.
  • 30.
    Fissured Tongue Prognosis • Excellent •With candidal colonization, topical antifungal preparations are effective. • Careful débridement with soft-bristled brush, 5 to 15 strokes, once or twice daily
  • 31.
    Hemangioma Etiology • Benign developmentalanomalies of blood vessels that may be subclassified as congenital hemangiomas and vascular malformations • “Congenital hemangioma” usually noted initially in infancy or childhood (hamartomatous proliferation) • Congenital hemangioma due to proliferation of endothelial cells • “Vascular malformations” due to abnormal morphogenesis of arterial and venous structures
  • 32.
    Hemangioma Clinical Presentation • Congenitallesions usually arise around time of birth, grow rapidly, and usually involute over several years. • Malformations generally are persistent, grow with the child, and do not involute. • Color varies from red to blue depending on depth, degree of congestion, and caliber of vessels • Range in size from few millimeters to massive with disfigurement • Most common on lips, tongue, buccal mucosa • Usually asymptomatic • Sturge-Weber syndrome (trigeminal encephalo-angiomatosis) includes cutaneous vascular malformations (port wine stains) along trigeminal nerve distribution, mental retardation, and seizures.
  • 37.
    Hemangioma Diagnosis • Aspiration • Blanchingunder pressure (diascopy) • Imaging studies
  • 38.
    Hemangioma Differential Diagnosis • Purpura •Telangiectasia • Kaposi’s sarcoma • Other vascular neoplasms
  • 39.
  • 40.
    Hereditary Hemorrhagic Telangiectasia Etiology •Not uncommon, familial (autosomal-dominant) mucocutaneous vascular disease • Some cases may be nonfamilial (spontaneous mutation). • Arteriovenous (eg, pulmonary) malformations also can occur.
  • 41.
    Hereditary Hemorrhagic Telangiectasia ClinicalPresentation • Multifocal, macular to slightly papular red lesions of skin and mucosa • Most common on lips, tongue, buccal mucosa, finger tips • Commonly associated with epistaxis due to involvement of nasal mucosa • Increase in number and prominence with age • Blanch under pressure (diascopy positive) • Lesions can affect gastrointestinal mucosa, which may rupture with associated signs of chronic gastrointestinal blood loss; may produce anemia
  • 45.
    Hereditary Hemorrhagic Telangiectasia Diagnosis •Family history • Distribution of lesions
  • 46.
    Hereditary Hemorrhagic Telangiectasia DifferentialDiagnosis • CREST syndrome (calcinosis cutis, Raynaud’s phenomenon, esophageal dysfunction, sclerodactyly, telangiectasia) • Chronic hepatitis • Radiation-induced vascular alterations
  • 47.
    Hereditary Hemorrhagic Telangiectasia Prognosis •Lifelong follow-up/monitoring • 4 to 10% death rate from complications of the disease
  • 48.
    Petechiae Definition: Petechiae arepinpoint hemorrhages that occur in subcutaneous or submucosal tissues in a wide variety of conditions. Because of their diversity, the differential diagnosis of oral mucosal petechial hemorrhages is complex. Etiology • Viral infection (Epstein-Barr virus [EBV]-mononucleosis; measles), rickettsial infection • Thrombocytopenia, leukemia • Disseminated intravascular coagulation (DIC) • Trauma: prolonged coughing, frequent vomiting, giving birth, violent Valsalva maneuvers
  • 49.
    Petechiae Clinical Presentation • Pinpointhemorrhage into mucosa/submucosa • Asymptomatic • Usually involves the soft palate • No blanching on pressure (diascopy)
  • 51.
    Petechiae Diagnosis • Clinical features •History, determination of underlying cause
  • 52.
  • 53.
    Petechiae Prognosis • Variable, dependingupon etiology • Does not require treatment; observation only
  • 54.
    Plasma Cell Gingivitis Etiology •Usually represents a hypersensitivity phenomenon to an agent such as the following: ◦ Cinnamon/cinnamon flavoring ◦ Candy flavors ◦ Toothpaste/mouthwash ◦ Plaque antigens
  • 55.
    Plasma Cell Gingivitis ClinicalPresentation • Reddened, velvety gingival surface • Surface epithelium becomes nonkeratinized. • Limited to attached gingiva
  • 57.
    Plasma Cell Gingivitis Diagnosis •Response to elimination of possible etiologic agents • Biopsy results show plasma cell infiltration within the submucosa and lamina propria beneath an acanthotic epithelium. • Patch testing
  • 58.
    Plasma Cell Gingivitis DifferentialDiagnosis • Lupus erythematosus • Wegener’s granulomatosis • Chronic candidiasis • Lichen planus • Mucous membrane pemphigoid
  • 59.
    Plasma Cell Gingivitis Prognosis •Reversal with removal of causative agent
  • 60.
    Pyogenic Granuloma Etiology • Areactive hyperplasia of capillaries and fibroblasts • Related to chronic, persistent trauma or irritation (eg, calculus or foreign body) • Misnomer—neither pyogenic nor granulomatous ◦ My advice 🡪 Capillary Lobular Hemangioma !
  • 61.
    Pyogenic Granuloma Clinical Presentation •Occurs at any age, but usually in children, young adults, and women • Red, lobular to smoothly contoured appearance • When ulcerated, a yellow fibrinous exudate covers the lesion. • Sessile to pedunculated commonly on gingiva, but also on areas that are traumatized (eg, lower lip, buccal mucosa) • Bleeds easily but is painless
  • 64.
    Pyogenic Granuloma Diagnosis • Historyof gradual to rapid onset • Identification of a stimulus or causative factor (eg, trauma, physical irritant) • Histologic evaluation
  • 65.
    Pyogenic Granuloma Differential Diagnosis •Peripheral giant cell granuloma • Peripheral ossifying fibroma • Metastatic tumor • Kaposi’s sarcoma • Vascular malformation
  • 66.
  • 67.
    Varices Etiology • An abnormalvenous dilatation • Congenital or from damage to vessel wall (trauma, ultraviolet light) • Occur with increasing frequency over 40 years of age
  • 68.
    Varices Clinical Presentation • Blue,lobulated surface • Painless, evolves slowly • Common on lower lip, sublingual regions • Blanches with compression (diascopy) • May become thrombosed
  • 70.
    Varices Diagnosis • Clinical appearance •Histologic viewing of large-caliber, thin-walled vein
  • 71.
    Varices Differential Diagnosis • Mucocele •Vascular neoplasm • Blue rubber bleb nevus syndrome • Hereditary hemorrhagic telangiectasia (Rendu-Osler-Weber syndrome)
  • 72.
  • 73.
    Kaposi’s Sarcoma Etiology • Severalforms ◦ • Classic idiopathic form affecting extremeties ◦ • Endemic form (African) ◦ • Immunosuppression-associated form ◦ • Acquired immunodeficiency syndrome (AIDS)-associated form • All forms, especially AIDS-associated and immunosuppressionassociated forms, may be caused by or closely related to a herpesvirus (human herpesvirus 8 [HHV-8] or Kaposi’s sarcoma–associated herpesvirus [KSHV]).
  • 74.
    Kaposi’s Sarcoma Clinical Presentation •Classic form associated with slow but pernicious growth over many years; oral lesions rarely seen • Endemic form more rapid; oral lesions rarely seen • AIDS-associated KS most commonly seen on keratinized mucosa/mucoperiosteal tissues; strong predilection for hard palate, followed by gingiva, buccal mucosa, and tongue (prevalence decreasing with treatment for AIDS) • Evolution from bluish macule to nodule(s) • Evolution to multiple lesions • May precede or follow cutaneous lesions • Usually asymptomatic
  • 77.
    Kaposi’s Sarcoma Diagnosis • Locationand appearance • May occur in up to one-third of AIDS patients • Biopsy showing spindle cell proliferation with vascular slits, extravascular red blood cells
  • 78.
    Kaposi’s Sarcoma Differential Diagnosis •Hematoma • Hemangioma • Ecchymosis • Malignant melanoma • Pyogenic granuloma • Amalgam tattoo
  • 79.
    Kaposi’s Sarcoma Prognosis • Variable,depending upon host’s immune status, but generally poor in AIDS-associated form
  • 80.
    References • Brad W.Neville, Douglas D. Damm , Carl Allen, Angela C. Chi (2015). Oral and Maxillofacial Pathology. 4th edition, Elsevier Health Sciences, St. Louis, Missouri • Laskaris, G. (2017). Color Atlas of Oral Diseases. 4th edition. Thieme