BENIGN TUMORS OF
CONNECTIVE TISSUE -
VASCULAR ORIGIN
Normal Vascular structure
 Vasculature is divided into arterial and
venous components joined by a network
of capillaries.
Introduction
VASCULOGENESIS
 De novo development of
blood vessels from
primitive endothelial
cells.
 Early embryogenesis.
ANGIOGENESIS
 Formation of new
microvessels from
differentiated
endothelium.
 During embryogenesis
and postnatal state.
Etiopathogenesis
Sequence of events
 The undifferentiated capillary network stage
 The retiform developmental stage
 Final developmental stage
Hemangioma Vascular
malformation
 Appears weeks after
birth
 Rapid growth
 Spontaneous involution
 Abnormality of
endothelial cell
proliferation
 Results from increased
number of capillaries
 Often circumscribed
 Usually present at birth
 Progressive
enlargement
 No involution
 Abnormality of vessel
morphogenesis
 Results from dilatation
of arterioles,
veins/capillaries
 Poorly circumscribed
Hemangioma
 Most common soft tissue tumor during infancy and
childhood.
 Most hemangiomas are superficial lesions that have a
predilection for the head and neck region, but they may
also occur internally, such as in the liver.
 Composed of capillary vessels arranged in lobules, which
are subserved by a feeder vessel.
 Most cases persist if untreated but have limited growth
potential but some vascular tumors (infantile
hemangioma) regress altogether.
 Infantile hemangioma
 Usually 80% of all hemangiomas are single lesions,
but 20% of affected infants develop multiple
tumors
 In oral cavity, it can involve lip(63%), buccal
mucosa(14%), lateral border of tongue(14%),
maxillary sinus, maxilla, mandible and parotid
glands.
Classification: Watson & McCarthy
 Capillary
 Cavernous
 Angioblastic/ Hypertrophic
 Racemose
 Diffuse systemic hemangioma
 Metastasizing hemangioma
 Nevus vinosus /Port wine
 Hereditary hemorrhagic telengiectasis.
Demographics
Site
 Oral hemangiomas represent 14% of all
human hemangiomas
 60% hemangiomas are located in head and
neck area
 25% occur on the trunk
 15% on the extremities
Capillary hemangioma
Clinical features-
Age- Infants
Sex- Female>Male
Site- Skin and soft tissues, especially in the head and neck
area.
 ORAL MANIFESTATIONS:
 Appear as a flat or raised lesion of the
mucosa, usually deep red or bluish red and
seldom well circumscribed.
 They are readily compressible and fills
slowly when released.
 Site:
 Lips, Tongue, Buccal mucosa, Palate
 The tumor presents at birth or shortly thereafter
as a red-purple macule that slowly becomes raised
and then tends to regress in over 70% of cases
after a period of months to years.
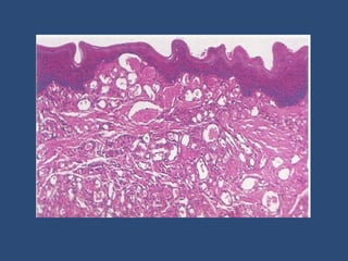
Histological appearances
 The overall low-power
architecture in all cases,
regardless of the organ
involved, is that of a
multilobulated tumor
 In early lesions, the lobules
are highly cellular and
composed of mitotically
active, plump endothelial
cells forming tiny, rounded,
often uncanalized vascular
spaces
 As lesions mature, the vessels become
canalized and more easily recognized, then
often showing congested lumina and flat
endothelial cells.
 Older lesions become progressively fibrotic
with almost complete regression or absence
of the vascular elements.
LOBULAR CAPILLARY HEMANGIOMA/PYOGENIC
GRANULOMA
 The classical appearance is that of a solitary, rapidly
growing, ulcerated, bleeding, polypoid blue-red
nodule which is usually less than 2cm in diameter
H/F-
 Ulcerated epithelium, prominent acute inflammatory
infiltrate
 Core of tumor shows lobules of small capillaries, with
or without discernible lumina, lined by prominent
endothelial cells
 Stroma is loose and edematous
 Old lesions can show marked fibrosis.
Cavernous hemangioma
 Clinical features are similar to capillary hemangioma,
however, these lesions tend to be larger, deeper and
less well circumscribed
Histologic appearances
 Consist of poorly circumscribed, irregularly dilated
blood vessels lined by flat endothelium and with walls
of varying thickness.
 Areas resembling capillary hemangioma often can be
found focally, especially in the superficial portion
Dilated blood vessels, sinusoidal spaces lined
by flat endothelium and with walls of varying
thickness.
Cavernous hemangioma
Syndromes associated
 Rendu-Osler-Weber syndrome
 Sturge-Weber-Dimitri syndrome
 Kasabach-Merritt syndrome
 Maffucci syndrome
 von Hippel-Lindau syndrome
 Osler-Weber-Rendu
Disease
 Sturge Weber
Syndrome- Port Wine
stain
Lymphangioma
 Lymphangiomas are uncommon, benign
malformations of the lymphatic system
 True neoplasm/hamartoma?
 Lymphangiomatosis- multiple lesions seen in infancy
and childhood. It is a potentially life-threatening
disease with visceral involvement
Classification-
 Simple
 Cavernous
 Cellular or hypertrophic
 Diffuse systemic
 Cystic hygroma
Clinical features-
Age- At birth
Sex- F=M
Site- Tongue, palate, BM, gingiva and lips
C/P- Superficial- papillary lesion
Deep- nodular mass with no change in surface texture
Macroglossia, macrocheilia
Lymphangioma of alveolar ridge in neonates-blue dome
shaped
H/F-
- Numerous lymphatic vessels in loose fibrovascular stroma
- Vessels just beneath the surface epithelium fill or replace the
CT papillae, producing the surface change
- Hemangiolymphangioma- channels filled with blood and
lymph
- Lymphangiomyoma- associated with smooth muscle
component
29
Hemangiopericytoma
 Benign tumor of pericytes
 Distinct entity?
Clinical features-
Age- 2nd
-7th
decade
Sex- F=M
C/P- Rapidly enlarging red/bluish mass
- Soft and rubbery in consistency
- Infantile type- rapid rate of enlargement
H/F-
- Well circumscribed lesion
- Numerous vascular channels with plump endothelial
cells surrounded by tightly packed oval and spindle cells
with hyperchromatic nuclei and moderate amt of
cytoplasm
- Stag-horn pattern
- Reticulin staining required to differentiate it from
hemangioendothelioma
Stag horn pattern
Hemangioendothelioma
 Vascular lesions with a biologic behavior
intermediate between hemangioma &
angiosarcoma
Clinical features-
Age- Infants
Sex- Female>Male
Site- skin and soft tissues, especially in the head and
neck area.
Commonest location in the oral cavity- lip, palate,
gingiva, tongue
C/P- similar to hemangioma
H/P-
 Poorly circumscribed lesion characterized by the
proliferation of endothelial cells and multiple
vascular spaces
Variants-
 Epitheloid
 Kaposiform
 Polymorphous
 Spindle cell

Benign tumoursof connective tissue origin- vascular tumours.pptx

  • 1.
    BENIGN TUMORS OF CONNECTIVETISSUE - VASCULAR ORIGIN
  • 2.
    Normal Vascular structure Vasculature is divided into arterial and venous components joined by a network of capillaries.
  • 3.
    Introduction VASCULOGENESIS  De novodevelopment of blood vessels from primitive endothelial cells.  Early embryogenesis. ANGIOGENESIS  Formation of new microvessels from differentiated endothelium.  During embryogenesis and postnatal state.
  • 4.
    Etiopathogenesis Sequence of events The undifferentiated capillary network stage  The retiform developmental stage  Final developmental stage
  • 6.
    Hemangioma Vascular malformation  Appearsweeks after birth  Rapid growth  Spontaneous involution  Abnormality of endothelial cell proliferation  Results from increased number of capillaries  Often circumscribed  Usually present at birth  Progressive enlargement  No involution  Abnormality of vessel morphogenesis  Results from dilatation of arterioles, veins/capillaries  Poorly circumscribed
  • 7.
    Hemangioma  Most commonsoft tissue tumor during infancy and childhood.  Most hemangiomas are superficial lesions that have a predilection for the head and neck region, but they may also occur internally, such as in the liver.  Composed of capillary vessels arranged in lobules, which are subserved by a feeder vessel.  Most cases persist if untreated but have limited growth potential but some vascular tumors (infantile hemangioma) regress altogether.
  • 9.
  • 10.
     Usually 80%of all hemangiomas are single lesions, but 20% of affected infants develop multiple tumors  In oral cavity, it can involve lip(63%), buccal mucosa(14%), lateral border of tongue(14%), maxillary sinus, maxilla, mandible and parotid glands.
  • 11.
    Classification: Watson &McCarthy  Capillary  Cavernous  Angioblastic/ Hypertrophic  Racemose  Diffuse systemic hemangioma  Metastasizing hemangioma  Nevus vinosus /Port wine  Hereditary hemorrhagic telengiectasis.
  • 12.
    Demographics Site  Oral hemangiomasrepresent 14% of all human hemangiomas  60% hemangiomas are located in head and neck area  25% occur on the trunk  15% on the extremities
  • 13.
    Capillary hemangioma Clinical features- Age-Infants Sex- Female>Male Site- Skin and soft tissues, especially in the head and neck area.
  • 14.
     ORAL MANIFESTATIONS: Appear as a flat or raised lesion of the mucosa, usually deep red or bluish red and seldom well circumscribed.  They are readily compressible and fills slowly when released.  Site:  Lips, Tongue, Buccal mucosa, Palate  The tumor presents at birth or shortly thereafter as a red-purple macule that slowly becomes raised and then tends to regress in over 70% of cases after a period of months to years.
  • 15.
    Histological appearances  Theoverall low-power architecture in all cases, regardless of the organ involved, is that of a multilobulated tumor  In early lesions, the lobules are highly cellular and composed of mitotically active, plump endothelial cells forming tiny, rounded, often uncanalized vascular spaces
  • 17.
     As lesionsmature, the vessels become canalized and more easily recognized, then often showing congested lumina and flat endothelial cells.  Older lesions become progressively fibrotic with almost complete regression or absence of the vascular elements.
  • 19.
    LOBULAR CAPILLARY HEMANGIOMA/PYOGENIC GRANULOMA The classical appearance is that of a solitary, rapidly growing, ulcerated, bleeding, polypoid blue-red nodule which is usually less than 2cm in diameter H/F-  Ulcerated epithelium, prominent acute inflammatory infiltrate  Core of tumor shows lobules of small capillaries, with or without discernible lumina, lined by prominent endothelial cells  Stroma is loose and edematous  Old lesions can show marked fibrosis.
  • 22.
    Cavernous hemangioma  Clinicalfeatures are similar to capillary hemangioma, however, these lesions tend to be larger, deeper and less well circumscribed Histologic appearances  Consist of poorly circumscribed, irregularly dilated blood vessels lined by flat endothelium and with walls of varying thickness.  Areas resembling capillary hemangioma often can be found focally, especially in the superficial portion
  • 23.
    Dilated blood vessels,sinusoidal spaces lined by flat endothelium and with walls of varying thickness. Cavernous hemangioma
  • 24.
    Syndromes associated  Rendu-Osler-Webersyndrome  Sturge-Weber-Dimitri syndrome  Kasabach-Merritt syndrome  Maffucci syndrome  von Hippel-Lindau syndrome
  • 25.
     Osler-Weber-Rendu Disease  SturgeWeber Syndrome- Port Wine stain
  • 26.
    Lymphangioma  Lymphangiomas areuncommon, benign malformations of the lymphatic system  True neoplasm/hamartoma?  Lymphangiomatosis- multiple lesions seen in infancy and childhood. It is a potentially life-threatening disease with visceral involvement Classification-  Simple  Cavernous  Cellular or hypertrophic  Diffuse systemic  Cystic hygroma
  • 27.
    Clinical features- Age- Atbirth Sex- F=M Site- Tongue, palate, BM, gingiva and lips C/P- Superficial- papillary lesion Deep- nodular mass with no change in surface texture Macroglossia, macrocheilia Lymphangioma of alveolar ridge in neonates-blue dome shaped
  • 28.
    H/F- - Numerous lymphaticvessels in loose fibrovascular stroma - Vessels just beneath the surface epithelium fill or replace the CT papillae, producing the surface change - Hemangiolymphangioma- channels filled with blood and lymph - Lymphangiomyoma- associated with smooth muscle component
  • 29.
  • 31.
    Hemangiopericytoma  Benign tumorof pericytes  Distinct entity? Clinical features- Age- 2nd -7th decade Sex- F=M C/P- Rapidly enlarging red/bluish mass - Soft and rubbery in consistency - Infantile type- rapid rate of enlargement
  • 32.
    H/F- - Well circumscribedlesion - Numerous vascular channels with plump endothelial cells surrounded by tightly packed oval and spindle cells with hyperchromatic nuclei and moderate amt of cytoplasm - Stag-horn pattern - Reticulin staining required to differentiate it from hemangioendothelioma
  • 33.
  • 34.
    Hemangioendothelioma  Vascular lesionswith a biologic behavior intermediate between hemangioma & angiosarcoma Clinical features- Age- Infants Sex- Female>Male Site- skin and soft tissues, especially in the head and neck area. Commonest location in the oral cavity- lip, palate, gingiva, tongue C/P- similar to hemangioma
  • 35.
    H/P-  Poorly circumscribedlesion characterized by the proliferation of endothelial cells and multiple vascular spaces Variants-  Epitheloid  Kaposiform  Polymorphous  Spindle cell