Vertical Plane Discrepancies
(Open Bite)
By : DR. Mohammed Almoosawi
OPEN BITE
 Difinition
 Lack of vertical overlap between maxillary and mandibular teeth in centric
occlusion is referred to as open bite. Open bite may be dental or skeletal in
origin. It can occur in anterior or posterior segment of the dental arches
and are called as anterior open bite and posterior open bite respectively.
Posterior open bite may be unilateral or bilateral.
 Anterior open bite is unesthetic and may pose difficulties during speech
and swallowing. Posterior open bite may affect mastication depending on
the severity
CLASSIFICATION OF OPEN BITE MALOCCLUSIONS
 Based on dental or skeletal components
 Dental
 Skeletal
 Based on location
 Anterior
 Posterior
ANTERIOR OPEN BITE
 Th e vertical overlap of permanent maxillary anteriors over the mandibular
anteriors in normal occlusion is referred to as “overbite,” which is ideally
about 2 mm. When there is no overlap of upper anterior over the lower
anterior, such a condition is known as “Anterior open bite.
 Anterior open bite may be of dental or skeletal origin.
 can be caused by a number of etiological factors such as
 1. HABITS
 2. Abnormally increased tongue size
 3. Abnormal growth pattern
Habits
 Thumb/Digit sucking habit: Abnormal pressure habits like thumb/digit
sucking cause forward placement of pre-maxilla, narrowing of the maxillary
arch and proclination of maxillary anterior thereby disturbing the normal
vertical relationship of anterior teeth.
 Anterior tongue thrusting habit: Habitual tongue thrusting causes
proclination and flaring of upper anterior, leading to anterior open bite.
 Mouth breathing: Mouth breathing habit due to any nasopharyngeal
obstruction may also cause prognathic premaxilla, proclined upper anterior
and thus anterior open bite.
Abnormally increased tongue size
 Abnormally increased tongue size can be
 Inherited
 Acquired
 Macroglossia ( large tongue ) caused due to hereditary or acquired factors
may also lead to anterior open bite by exerting pressure on the lingual
surfaces of upper anterior
Abnormal growth pattern
 Any abnormalities in the growth pattern of maxilla, mandible or both may
lead to anterior open bite:
 1. Counter-clockwise rotation of the maxilla.
 2. Clockwise rotation of the mandible
 3. Counter–clockwise rotation of the maxilla and clockwise rotation of the
mandible.
 4. Vertical maxillary excess.
Abnormal growth pattern
Clinical Features of Dental Anterior
Open Bite
 Open bite confined to anterior segment only.
 Maxillary anterior teeth proclination.
 Proclination of mandibular anterior teeth .
 Spacing may be present in maxillary and/or mandibul aranterior segments.
 Narrow maxillary arch.
 Fish-mouth appearance may be present.
Clinical Features of Dental Anterior
Open Bite
Clinical Features of Skeletal Anterior
Open Bite
 I. Extraoral Features of Skeletal Open Bite
 1. Lips
 a. Incompetent lips
 b. May show hyper tonicity
 c. May be averted
 2. Increased anterior facial height and decreased posterior facial height.
 3. Increased lower anterior facial height and decreased upper anterior facial height .
 4. A steep mandibular plane angle.
 5. Decreased nasolabial angle .
 6. Shallow mentolabial sulcus .
 7. Cephalometric examination may show
 a. Clockwise rotation of mandible and/or anticlockwise rotation of maxilla
 b. Vertical maxillary excess.
 c. Steep anterior cranial base.
 II. Intraoral features of skeletal open bite They are as listed below :
 1.Narrow maxillary arch
 2. Anterior or posterior open bite
 3. Excessive gingival display
 4. Decreased freeway space
Clinical Features of Skeletal Anterior
Open Bite
Clinical Features of Skeletal Anterior
Open Bite
RADIOGRAPHICAL Features of Skeletal Anterior
Open Bite
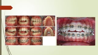
Treatment of Dental Anterior Open Bite
 1. Removal of the Cause
 2. Treatment of Anterior Open Bite using Fixed Orthodontic Appliance
 Open bites are more difficult to treat and are more unpredictable in their prognosis
than deep bites. Open bites are ideally treated by intrusion of posterior teeth,
thereby permitting counter clockwise rotation of the mandible. Extrusion of anterior
teeth represents a dental compensation and is achieved with box elastics or
extrusion arch wire.
 Mild to moderate dental anterior open bite can be successfully treated using fixed
orthodontic appliance with box elastics. The elastic is stretched in the form of a box
encircling all the four canine teeth . This causes extrusion of the anterior, thereby
closing the anterior open bite. However, this method is not advisable in skeletal
anterior open bite
Treatment of Dental Anterior Open Bite
 3. Myofunctional Orthodontic Appliances
 Skeletal anterior open bite can be successfully treated during growth
period using Franckel IV or modified activator. Posterior bite blocks
incorporated in these appliances cause intrusion of maxillary and
mandibular posterior teeth thereby improving the anterior open bite
Treatment of Dental Anterior Open Bite
 4. Orthopedic Appliance
 A chin cup with vertical pull head cap can be used for treating skeletal
anterior open bite, caused due to clockwise rotation of the mandible
during mixed dentition period.
 5. Surgical Correction
 Skeletal open bite in adults can be treated surgically after correction of the
habit by Le Fort I ostectomy of the maxilla.
POSTERIOR OPEN BITE
 Posterior open bite is characterized by the lack of contact between the
posteriors when the teeth are in centric occlusion. Posterior open bite can
be unilateral or bilateral.
 1. Unilateral posterior open bite: Occurrence of posterior open bite on one
side of the arch is referred as unilateral posterior open bite.
 2. Bilateral posterior open bite: Occurrence of posterior open bite on both
sides of dental arches is termed as bilateral posterior open bite
POSTERIOR OPEN BITE
 Etiological Factors Causing Posterior Open Bite
 1. Lateral tongue thrusting habit.
 2. Ankylosed/submerged posterior teeth fail to reach the occlusal plane
and thus may cause posterior open bite.
POSTERIOR OPEN BITE
 Treatment of Posterior Open Bite
 1. Removal of the Cause
 In most cases eventual closure of posterior open bite occurs followed with
cessation of the tongue thrusting habit.
 2. Treatment of Posterior Open Bite using Fixed Orthodontic Appliance
 Posterior open bite caused due to ankylosed/submerged teeth that can be
corrected by forced extrusion of the antagonistic teeth using fixed orthodontic
appliance , or by restoring the normal occlusal level using crowns on
submerged teeth.
 3. Treatment of Skeletal Open Bite Skeletal open bite
 In growing patients can be treated using functional appliance such as
bionator or Frankel appliance.
 A skeletal open bite in non-growing patients is best treated by orthognathic
surgery
POSTERIOR OPEN BITE
Retention after Open Bite
 Correction Excessive vertical growth and eruption of the posterior teeth
often continue until late in the teens or early twenties, so retention must also
continue till then. An appliance with posterior occlusal stops (posterior bite
plane), e.g. an open bite activator or bionator, can provide forces
opposing eruption of posterior teeth.
REFERENCE
 1. an introduction to orthodontics by Simon J. Littlewood and Loura Mitchell
fifth edition
 2. ORTHODONTICS Principles and Practice by Basavaraj Subhashchandra
Phulari second edition
 3. Baghdad university lectures
OPEN BITE THE ETIOLOGY AND MANAGEMENT .pptx

OPEN BITE THE ETIOLOGY AND MANAGEMENT .pptx

  • 1.
    Vertical Plane Discrepancies (OpenBite) By : DR. Mohammed Almoosawi
  • 2.
    OPEN BITE  Difinition Lack of vertical overlap between maxillary and mandibular teeth in centric occlusion is referred to as open bite. Open bite may be dental or skeletal in origin. It can occur in anterior or posterior segment of the dental arches and are called as anterior open bite and posterior open bite respectively. Posterior open bite may be unilateral or bilateral.  Anterior open bite is unesthetic and may pose difficulties during speech and swallowing. Posterior open bite may affect mastication depending on the severity
  • 3.
    CLASSIFICATION OF OPENBITE MALOCCLUSIONS  Based on dental or skeletal components  Dental  Skeletal  Based on location  Anterior  Posterior
  • 5.
    ANTERIOR OPEN BITE Th e vertical overlap of permanent maxillary anteriors over the mandibular anteriors in normal occlusion is referred to as “overbite,” which is ideally about 2 mm. When there is no overlap of upper anterior over the lower anterior, such a condition is known as “Anterior open bite.  Anterior open bite may be of dental or skeletal origin.  can be caused by a number of etiological factors such as  1. HABITS  2. Abnormally increased tongue size  3. Abnormal growth pattern
  • 6.
    Habits  Thumb/Digit suckinghabit: Abnormal pressure habits like thumb/digit sucking cause forward placement of pre-maxilla, narrowing of the maxillary arch and proclination of maxillary anterior thereby disturbing the normal vertical relationship of anterior teeth.  Anterior tongue thrusting habit: Habitual tongue thrusting causes proclination and flaring of upper anterior, leading to anterior open bite.  Mouth breathing: Mouth breathing habit due to any nasopharyngeal obstruction may also cause prognathic premaxilla, proclined upper anterior and thus anterior open bite.
  • 7.
    Abnormally increased tonguesize  Abnormally increased tongue size can be  Inherited  Acquired  Macroglossia ( large tongue ) caused due to hereditary or acquired factors may also lead to anterior open bite by exerting pressure on the lingual surfaces of upper anterior
  • 8.
    Abnormal growth pattern Any abnormalities in the growth pattern of maxilla, mandible or both may lead to anterior open bite:  1. Counter-clockwise rotation of the maxilla.  2. Clockwise rotation of the mandible  3. Counter–clockwise rotation of the maxilla and clockwise rotation of the mandible.  4. Vertical maxillary excess.
  • 9.
  • 10.
    Clinical Features ofDental Anterior Open Bite  Open bite confined to anterior segment only.  Maxillary anterior teeth proclination.  Proclination of mandibular anterior teeth .  Spacing may be present in maxillary and/or mandibul aranterior segments.  Narrow maxillary arch.  Fish-mouth appearance may be present.
  • 11.
    Clinical Features ofDental Anterior Open Bite
  • 12.
    Clinical Features ofSkeletal Anterior Open Bite  I. Extraoral Features of Skeletal Open Bite  1. Lips  a. Incompetent lips  b. May show hyper tonicity  c. May be averted  2. Increased anterior facial height and decreased posterior facial height.  3. Increased lower anterior facial height and decreased upper anterior facial height .  4. A steep mandibular plane angle.  5. Decreased nasolabial angle .  6. Shallow mentolabial sulcus .  7. Cephalometric examination may show  a. Clockwise rotation of mandible and/or anticlockwise rotation of maxilla  b. Vertical maxillary excess.  c. Steep anterior cranial base.
  • 13.
     II. Intraoralfeatures of skeletal open bite They are as listed below :  1.Narrow maxillary arch  2. Anterior or posterior open bite  3. Excessive gingival display  4. Decreased freeway space Clinical Features of Skeletal Anterior Open Bite
  • 14.
    Clinical Features ofSkeletal Anterior Open Bite
  • 15.
    RADIOGRAPHICAL Features ofSkeletal Anterior Open Bite
  • 16.
    Treatment of DentalAnterior Open Bite  1. Removal of the Cause
  • 17.
     2. Treatmentof Anterior Open Bite using Fixed Orthodontic Appliance  Open bites are more difficult to treat and are more unpredictable in their prognosis than deep bites. Open bites are ideally treated by intrusion of posterior teeth, thereby permitting counter clockwise rotation of the mandible. Extrusion of anterior teeth represents a dental compensation and is achieved with box elastics or extrusion arch wire.  Mild to moderate dental anterior open bite can be successfully treated using fixed orthodontic appliance with box elastics. The elastic is stretched in the form of a box encircling all the four canine teeth . This causes extrusion of the anterior, thereby closing the anterior open bite. However, this method is not advisable in skeletal anterior open bite Treatment of Dental Anterior Open Bite
  • 19.
     3. MyofunctionalOrthodontic Appliances  Skeletal anterior open bite can be successfully treated during growth period using Franckel IV or modified activator. Posterior bite blocks incorporated in these appliances cause intrusion of maxillary and mandibular posterior teeth thereby improving the anterior open bite Treatment of Dental Anterior Open Bite
  • 20.
     4. OrthopedicAppliance  A chin cup with vertical pull head cap can be used for treating skeletal anterior open bite, caused due to clockwise rotation of the mandible during mixed dentition period.
  • 22.
     5. SurgicalCorrection  Skeletal open bite in adults can be treated surgically after correction of the habit by Le Fort I ostectomy of the maxilla.
  • 24.
    POSTERIOR OPEN BITE Posterior open bite is characterized by the lack of contact between the posteriors when the teeth are in centric occlusion. Posterior open bite can be unilateral or bilateral.  1. Unilateral posterior open bite: Occurrence of posterior open bite on one side of the arch is referred as unilateral posterior open bite.  2. Bilateral posterior open bite: Occurrence of posterior open bite on both sides of dental arches is termed as bilateral posterior open bite
  • 25.
  • 26.
     Etiological FactorsCausing Posterior Open Bite  1. Lateral tongue thrusting habit.  2. Ankylosed/submerged posterior teeth fail to reach the occlusal plane and thus may cause posterior open bite. POSTERIOR OPEN BITE
  • 27.
     Treatment ofPosterior Open Bite  1. Removal of the Cause  In most cases eventual closure of posterior open bite occurs followed with cessation of the tongue thrusting habit.  2. Treatment of Posterior Open Bite using Fixed Orthodontic Appliance  Posterior open bite caused due to ankylosed/submerged teeth that can be corrected by forced extrusion of the antagonistic teeth using fixed orthodontic appliance , or by restoring the normal occlusal level using crowns on submerged teeth.  3. Treatment of Skeletal Open Bite Skeletal open bite  In growing patients can be treated using functional appliance such as bionator or Frankel appliance.  A skeletal open bite in non-growing patients is best treated by orthognathic surgery POSTERIOR OPEN BITE
  • 29.
    Retention after OpenBite  Correction Excessive vertical growth and eruption of the posterior teeth often continue until late in the teens or early twenties, so retention must also continue till then. An appliance with posterior occlusal stops (posterior bite plane), e.g. an open bite activator or bionator, can provide forces opposing eruption of posterior teeth.
  • 30.
    REFERENCE  1. anintroduction to orthodontics by Simon J. Littlewood and Loura Mitchell fifth edition  2. ORTHODONTICS Principles and Practice by Basavaraj Subhashchandra Phulari second edition  3. Baghdad university lectures