Embed presentation
Download to read offline













































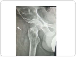
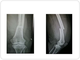
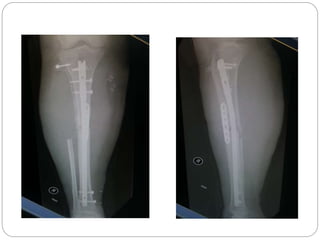
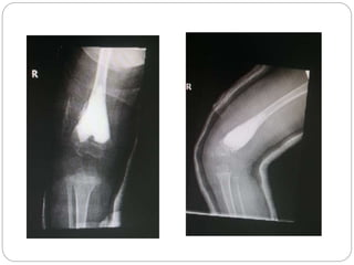
This document discusses 8 oncology cases. Case 1 involves a 40-year old female with right knee pain. Case 2 is a 28-year old male with a left subtrochantric fracture from a MVA who is now experiencing increasing left knee pain and swelling. Biopsy results showed high-grade osteosarcoma. Case 3 is a 30-year old female with breast cancer and bone metastases causing bilateral hip pain.











































