47 To improve the life expectancy of Nigerians: Improve health care delivery system-  Doctors Educate the public on health matters-  Doctors Improve social services and quality of life-  Govt
The Sid Marks principle: Each patient has something to teach us Use  every opportunity to learn and to teach my principles: Never make a mistakes twice My surgery results matter
Anterior decompression, fusion and  plating in cervical spine injury:  Early experience in Abuja, Nigeria  
Biodun Ogungbo and Felix Ogedegbe Cedarcrest Hospital, Abuja
Materials and Method  Spinal cord injured patients Admitted under a single neurosurgeon Operated  via anterior cervical decompression From August 2009 to date Frankel grading pre and post op (ABCDE) Bathel Index for outcome (ADL) Dependent Independent
 
 
 
LUCKY PATIENT
UNLUCKY PATIENT
HEROIC OR STUPID SURGEON FRACTURE  DISCLOCATION  TI/T2
Results  MRI scans in all patients Early operation in majority No intra-operative complications Safe operations with minimum equipment 2 patients were irreducible
Irreducible dislocation but cord well decompressed
Courtesy of Implants international, Thornaby, UK
INTRAOPERATIVE IMAGE
POST-OPERATIVE IMAGE WITH BONE GRAFT
POST-OPERATIVE IMAGE WITH A CAGE
BUY ONE, GET ONE FREE OPERATION
20 patients over the year
Of the 18 patients who were operated, 4 patients died within a short period.  7 patients have made a full recovery and 7 remain fully dependent.  Two patients who were initially paralyzed walked out of hospital.
Conclusions Early referral for surgery is crucial  Operations are safe in Abuja Cervical traction is done very carefully   Early deaths due to poor intensive care  Only 2 of the 7 dependent quadriplegic patients are reintegrated back into the society Rehabilitation centres are needed
 
 
Surgical management for cervical  spondylotic myelopathy:  Early results in Abuja Biodun Ogungbo MBBS, FRCS, FRCS (SN), MSc
Background  Cervical spondylotic myelopathy (CSM) is a common cause of spinal dysfunction in the elderly.  It appears to occur in a much younger age group in Nigeria.  However it is frequently not diagnosed early due to the paucity of MRI scans. When diagnosed, many are treated with  steroids  and conservatively. Therefore, patients present late for surgical intervention.
Objectives We present a review of patients with cervical spondylotic myelopathy.  The early results of surgical management in 6 patients are presented to highlight the safety of operative intervention.
Methods  The medical reports of all patients with CSM were evaluated.  The clinical presentation, imaging and operative intervention are carefully discussed to highlight the learning points.  The surgical pathology and approach adopted for each patient are clarified.
Results  Six patients have undergone surgical management for CSM since August 2009.  Five of the patients were quadriplegic at the time of the operation.  They were unable to feed themselves or perform activities of daily living without assistance.  
Results   Three patients underwent anterior cervical discectomy and fusion and 3 had cervical laminectomy performed.  Five patients improved significantly post operatively with sustained neurological improvement over 6 months of the operation.  There was one death due to pulmonary embolism 3 weeks after surgery.  
Case based discussions:  68 year old female, Hypertensive and Diabetic. Diabetes is poorly controlled. She presented with 6 months of progressive numbness in the hands and feet. Glove and stocking distribution. There are no other symptoms. Clinically, she has no motor deficits in all 4 limbs but has hyper reflexia. Objective sensory change was mostly in C7/C8 dermatomes bilaterally. Bowel and bladder function and walking were satisfactory.
 
MRI SCAN SAGITTAL T2W
Surgery performed was an anterior cervical discectomy and fusion using the patients’ iliac bone.  I decided to fuse at two levels C4/C5 and C5/C6 though the main focus was really to do a good decompression of the space behind the C5/C6 disc, which is the site of maximal compression on the MRI scan.
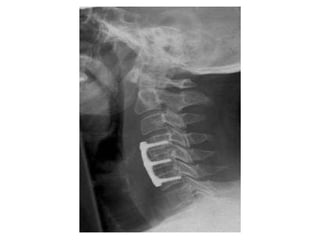
POST OPERATIVE X-RAY
Post operative image The patient had an ACDF at C4/C5 and C5/C6. The kyphosis is corrected and hopefully will be maintained until fusion in the hard collar.  She will wear the collar for 3 months.
Clinically she recovered well from surgery and has been discharged home.  Her neurology has improved significantly with better sensation and increase in dexterity in the fingers.
CERVICAL SPONDYLOTIC MYELOPATHY
 
P. E.  65 years old He presented with a long history of immobility and progressive deterioration in his level of function.  Unable to feed himself, turn in bed or do any activities of daily living.  He had been bed bound for about a month. He had clear signs of cervical myelopathy
 
Conclusion The management of moderate & severe CSM is surgical.  There is no role for conservative management unless the patient is medically unfit for surgical intervention or there are no surgical lesions. NO ROLE FOR STEROIDS  Operation can be performed safely from either an anterior or posterior approach.  Early sustained recovery has been encouraging in our small series.   
 
 
 
 
 
 
 
 
Cauda equina syndrome The anatomy The clinical presentation Causes of CES Treatment Controversies Comments and opinions
Cauda Equina Syndrome A clinical syndrome due to compression of lumbo-sacral spinal nerves Clinically, radicular pain, uni or bilateral Motor weakness in variable myotomes and sensory loss Perineal numbness Loss of anal tone Loss of bladder function leading to retention Impotence and sexual dysfunction
Complete or incomplete CES Complete CES Objective loss of perineal sensation Bladder retention Patulous anus Incomplete Altered sensation, loss of desire to void and poor stream
 
 
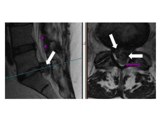
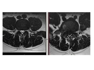
Lumbar MRI (sagittal view)
Lumbar MRI (axial view)
Cauda equina syndrome The anatomy The clinical presentations Case of Miss X Case of Mr Y Causes of CES Treatment Controversies Comments and opinions
 
Cauda equina syndrome The anatomy The clinical presentations Case of Miss X Case of Mr Y Causes of CES Treatment Controversies Comments and opinions
 
 
Cauda equina syndrome The anatomy The clinical presentation Causes of CES Treatment Controversies Comments and opinions
Disc prolapse
 
Spinal tumour
Spinal tumour
Spinal infection (discitis, abscess)
Cauda equina syndrome can be caused by anything which compresses the lumbo-sacral nerves  (the cauda equina) Big disc prolapses in young people Tumours which can be primary or metastatic Infection including discitis and spinal abscesses Trauma bone fragments and blood clots Ligamentous hypertrophy in elderly with canal stenosis
 
Patients require decompression. Remove whatever is causing the cauda equina compression. This will stop further damage to the neural tissue and allow healing to commence.
The operation
Cauda equina syndrome controversy:  Does the timing of surgery influence outcome? NV Todd, British J In incomplete lesion, timing of surgery is important.  Early better than late In a complete lesion, early surgery probably of no benefit
Meta analysis 6 clinical studies evaluated. These papers reported the effect of early and late surgery on outcome Meta analysis demonstrates that patients treated earlier than 24 hours after CES onset were more likely to recover bladder function (p=0.03) Also, patients treated within 48 hours were better than later (p=0.005) In effect, concluded that the timing of surgery does influence outcome.
Sources of litigation: Delay by general practitioner Delay by radiologist Delay by surgeon Surgical complications
My pregnant patient
 
Operate early for a happy surgeon and hopefully a happy patient
Happiness is a journey, not a destination.  So work like you don't need money, and dance like no one's watching.

Ogungbo Neurosurgeon

  • 1.
    47 To improvethe life expectancy of Nigerians: Improve health care delivery system- Doctors Educate the public on health matters- Doctors Improve social services and quality of life- Govt
  • 2.
    The Sid Marksprinciple: Each patient has something to teach us Use every opportunity to learn and to teach my principles: Never make a mistakes twice My surgery results matter
  • 3.
    Anterior decompression, fusionand plating in cervical spine injury: Early experience in Abuja, Nigeria  
  • 4.
    Biodun Ogungbo andFelix Ogedegbe Cedarcrest Hospital, Abuja
  • 5.
    Materials and Method Spinal cord injured patients Admitted under a single neurosurgeon Operated via anterior cervical decompression From August 2009 to date Frankel grading pre and post op (ABCDE) Bathel Index for outcome (ADL) Dependent Independent
  • 6.
  • 7.
  • 8.
  • 9.
  • 10.
  • 11.
    HEROIC OR STUPIDSURGEON FRACTURE DISCLOCATION TI/T2
  • 12.
    Results MRIscans in all patients Early operation in majority No intra-operative complications Safe operations with minimum equipment 2 patients were irreducible
  • 13.
    Irreducible dislocation butcord well decompressed
  • 14.
    Courtesy of Implantsinternational, Thornaby, UK
  • 15.
  • 16.
  • 17.
  • 18.
    BUY ONE, GETONE FREE OPERATION
  • 19.
  • 20.
    Of the 18patients who were operated, 4 patients died within a short period. 7 patients have made a full recovery and 7 remain fully dependent. Two patients who were initially paralyzed walked out of hospital.
  • 21.
    Conclusions Early referralfor surgery is crucial Operations are safe in Abuja Cervical traction is done very carefully Early deaths due to poor intensive care Only 2 of the 7 dependent quadriplegic patients are reintegrated back into the society Rehabilitation centres are needed
  • 22.
  • 23.
  • 24.
    Surgical management forcervical spondylotic myelopathy: Early results in Abuja Biodun Ogungbo MBBS, FRCS, FRCS (SN), MSc
  • 25.
    Background Cervicalspondylotic myelopathy (CSM) is a common cause of spinal dysfunction in the elderly. It appears to occur in a much younger age group in Nigeria. However it is frequently not diagnosed early due to the paucity of MRI scans. When diagnosed, many are treated with steroids and conservatively. Therefore, patients present late for surgical intervention.
  • 26.
    Objectives We presenta review of patients with cervical spondylotic myelopathy. The early results of surgical management in 6 patients are presented to highlight the safety of operative intervention.
  • 27.
    Methods Themedical reports of all patients with CSM were evaluated. The clinical presentation, imaging and operative intervention are carefully discussed to highlight the learning points. The surgical pathology and approach adopted for each patient are clarified.
  • 28.
    Results Sixpatients have undergone surgical management for CSM since August 2009. Five of the patients were quadriplegic at the time of the operation. They were unable to feed themselves or perform activities of daily living without assistance.  
  • 29.
    Results Three patients underwent anterior cervical discectomy and fusion and 3 had cervical laminectomy performed. Five patients improved significantly post operatively with sustained neurological improvement over 6 months of the operation. There was one death due to pulmonary embolism 3 weeks after surgery.  
  • 30.
    Case based discussions: 68 year old female, Hypertensive and Diabetic. Diabetes is poorly controlled. She presented with 6 months of progressive numbness in the hands and feet. Glove and stocking distribution. There are no other symptoms. Clinically, she has no motor deficits in all 4 limbs but has hyper reflexia. Objective sensory change was mostly in C7/C8 dermatomes bilaterally. Bowel and bladder function and walking were satisfactory.
  • 31.
  • 32.
  • 33.
    Surgery performed wasan anterior cervical discectomy and fusion using the patients’ iliac bone. I decided to fuse at two levels C4/C5 and C5/C6 though the main focus was really to do a good decompression of the space behind the C5/C6 disc, which is the site of maximal compression on the MRI scan.
  • 34.
  • 35.
    Post operative imageThe patient had an ACDF at C4/C5 and C5/C6. The kyphosis is corrected and hopefully will be maintained until fusion in the hard collar. She will wear the collar for 3 months.
  • 36.
    Clinically she recoveredwell from surgery and has been discharged home. Her neurology has improved significantly with better sensation and increase in dexterity in the fingers.
  • 37.
  • 38.
  • 39.
    P. E. 65 years old He presented with a long history of immobility and progressive deterioration in his level of function. Unable to feed himself, turn in bed or do any activities of daily living. He had been bed bound for about a month. He had clear signs of cervical myelopathy
  • 40.
  • 41.
    Conclusion The managementof moderate & severe CSM is surgical. There is no role for conservative management unless the patient is medically unfit for surgical intervention or there are no surgical lesions. NO ROLE FOR STEROIDS Operation can be performed safely from either an anterior or posterior approach. Early sustained recovery has been encouraging in our small series.  
  • 42.
  • 43.
  • 44.
  • 45.
  • 46.
  • 47.
  • 48.
  • 49.
  • 50.
    Cauda equina syndromeThe anatomy The clinical presentation Causes of CES Treatment Controversies Comments and opinions
  • 51.
    Cauda Equina SyndromeA clinical syndrome due to compression of lumbo-sacral spinal nerves Clinically, radicular pain, uni or bilateral Motor weakness in variable myotomes and sensory loss Perineal numbness Loss of anal tone Loss of bladder function leading to retention Impotence and sexual dysfunction
  • 52.
    Complete or incompleteCES Complete CES Objective loss of perineal sensation Bladder retention Patulous anus Incomplete Altered sensation, loss of desire to void and poor stream
  • 53.
  • 54.
  • 55.
  • 56.
  • 57.
    Cauda equina syndromeThe anatomy The clinical presentations Case of Miss X Case of Mr Y Causes of CES Treatment Controversies Comments and opinions
  • 58.
  • 59.
    Cauda equina syndromeThe anatomy The clinical presentations Case of Miss X Case of Mr Y Causes of CES Treatment Controversies Comments and opinions
  • 60.
  • 61.
  • 62.
    Cauda equina syndromeThe anatomy The clinical presentation Causes of CES Treatment Controversies Comments and opinions
  • 63.
  • 64.
  • 65.
  • 66.
  • 67.
  • 68.
    Cauda equina syndromecan be caused by anything which compresses the lumbo-sacral nerves (the cauda equina) Big disc prolapses in young people Tumours which can be primary or metastatic Infection including discitis and spinal abscesses Trauma bone fragments and blood clots Ligamentous hypertrophy in elderly with canal stenosis
  • 69.
  • 70.
    Patients require decompression.Remove whatever is causing the cauda equina compression. This will stop further damage to the neural tissue and allow healing to commence.
  • 71.
  • 72.
    Cauda equina syndromecontroversy: Does the timing of surgery influence outcome? NV Todd, British J In incomplete lesion, timing of surgery is important. Early better than late In a complete lesion, early surgery probably of no benefit
  • 73.
    Meta analysis 6clinical studies evaluated. These papers reported the effect of early and late surgery on outcome Meta analysis demonstrates that patients treated earlier than 24 hours after CES onset were more likely to recover bladder function (p=0.03) Also, patients treated within 48 hours were better than later (p=0.005) In effect, concluded that the timing of surgery does influence outcome.
  • 74.
    Sources of litigation:Delay by general practitioner Delay by radiologist Delay by surgeon Surgical complications
  • 75.
  • 76.
  • 77.
    Operate early fora happy surgeon and hopefully a happy patient
  • 78.
    Happiness is ajourney, not a destination. So work like you don't need money, and dance like no one's watching.