Embed presentation
Download to read offline






































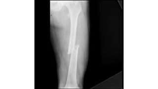
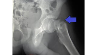
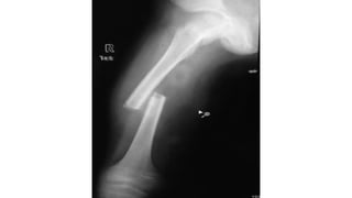
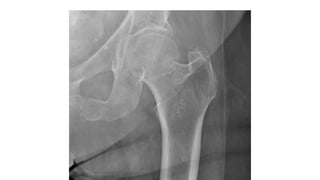
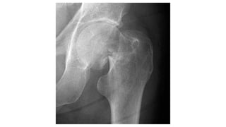
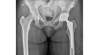
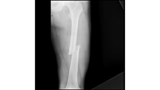
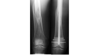
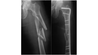
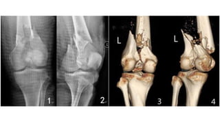
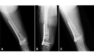
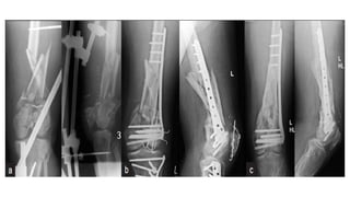
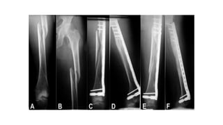
This document discusses femoral fractures, categorized by their location and severity, with classifications such as Garden classification. It outlines the types of fractures, including valgus impacted, non-displaced, partially displaced, and fully displaced, along with their surgical treatment options. Additionally, it briefly describes distal femur fractures, which occur just above the knee joint.





































