Upper Respiratory
Infections
DR CHANDA KAPOMA
Case 1 : Tapelo
5- year-old preschool aged girl
Became ill within the last 6 hours
Severe sore throat
Muffled voice
Drooling of saliva
22/01/2022 URI LECTURE 2
On examination
Sitting upright
Toxic, ill looking
Febrile 39.50C
Soft, inspiratory stridor
22/01/2022 URI LECTURE 3
22/01/2022 URI LECTURE 4
What is the most likely diagnosis?
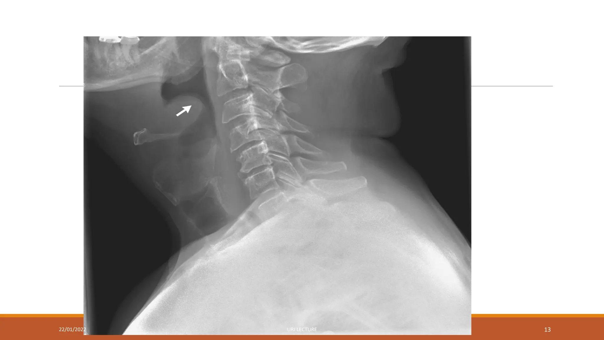
Diagnosis: Acute Epiglotittis
DO NOT:
Examine the throat
Try to get IV access or bloods
Order lateral neck X-ray
DO:
Summon:
Paediatrician
ENT Surgeon
Anaesthetist
22/01/2022 URI LECTURE 5
22/01/2022 URI LECTURE 6
How would you manage this child?
Management
To theatre/PICU
Intubation/tracheostomy
IV access
Blood culture
IV 3rd generation cephalosporin
Prophylaxis for household contacts
22/01/2022 URI LECTURE 7
Acute Epiglottitis
Caused by H. influenzae type B
The incidence has reduced by 99% due to Hib vaccine
Most common age group is 1-6 years
22/01/2022 URI LECTURE 8
Clinical presentation of Epiglottitis
There is sudden onset of sore throat, drooling, odynophagia or dysphagia
Muffled dysphonia or loss of voice
Dry cough or no cough
22/01/2022 URI LECTURE 9
More manifestations…
Dyspnoea
Fever and toxic appearance
Tripod or sniffing posture
Stridor is a late sign
22/01/2022 URI LECTURE 10
Tripod Position
22/01/2022 URI LECTURE 11
22/01/2022 URI LECTURE 12
22/01/2022 URI LECTURE 13
Case 2: Mutinta
3- year-old female toddler
Unwell for one day
Sudden onset of sore throat
No cough
Fever
Difficulty feeding
Vomiting
Abdominal pain
22/01/2022 URI LECTURE 14
On examination
Pulse rate: 140 beats/minute
Respiratory rate: 40 breaths/minute
Temperatureof 39oC
Tender anterior cervical lymph nodes
Erythematous pharynx with enlarged tonsils and yellowish exudate
22/01/2022 URI LECTURE 15
22/01/2022 URI LECTURE 16
What is the most likely diagnosis?
Diagnosis: Pharyngotonsillitis
PLAN
Admit to ward
IV access
Crystalline Penicillin 50 000 IU/kg/dose QID IV
Maintenance IV fluids: Half strength darrows in 10 % dextrose
Paracetamol 15 mg/kg/dose
FBC/DC
22/01/2022 URI LECTURE 17
22/01/2022 URI LECTURE 18
If the child has a weight of 20 kg, and continues to
refuse food, how much sour milk could you give the
child every 3 hours by nasogastric tube?
Pharyngitis
It is mostly caused by viruses and Group A β haemolytic streptococcus
The onset of streptococcal pharyngitis is sudden with prominent sore throat and
fever and absence of cough and rhinorrhoea
The pharynx is red, the tonsils are enlarged and covered with a yellow blood
tinged exudate
22/01/2022 URI LECTURE 19
Pharyngitis
22/01/2022 URI LECTURE 20
Clinical Manifestations of Pharyngitis
The soft palate may have petechiae and the uvula may be inflamed as well
The anterior cervical lymph nodes are enlarged and tender
The onset of viral pharyngitis is more gradual and characterised bycoryza,
conjunctivitis, hoarseness and cough
The aim of specific diagnosis is to identify Group A β haemolytic streptococcus
22/01/2022 URI LECTURE 21
Treatment of Pharyngitis
Phenoxymethylpenicillin orally 250 mg every 12 hours for 10 days in children
weighing less than 27 kg
Phenoxymethylpenicillin orally 500 mg every 12 hours for 10 days in children
weighing >27 kg
Benzathine penicillin given IM as a singular dose can be used as well in a hospital
setting: 1.2 MU in children > 27 kg and 600 000 IU in children < 27 kg
22/01/2022 URI LECTURE 22
Complications
Retropharyngeal abscess
Lateral pharyngeal abscess
Peritonsillar abscess or cellulitis
Rheumatic fever
APGN
22/01/2022 URI LECTURE 23
Indications for Tonsillectomy
More than 7 episodes in the previous year
More than 5 in each of the preceding 2 years
Peritonsillar abscess
22/01/2022 URI LECTURE 24
Case 3: Kalonga
2-year-old toddler
1 day history of barking cough and fever
Coryzal symptoms
Noisy breathing
SOB
22/01/2022 URI LECTURE 25
On examination
Alert
Temp 38oC
Hoarseness of voice
Barking cough
Harsh inspiratory stridor
Sub-costal recessions
Transmitted sounds on auscultation
22/01/2022 URI LECTURE 26
22/01/2022 URI LECTURE 27
What is the diagnosis?
Diagnosis: Viral Croup
PLAN
Dexamethasone PO 600mcg/kg
Budesonide 2 mg nebulized if vomiting
Observe
Discharge if mild to moderate croup
For severe croup
Adrenaline 1: 1000 neb 5mls
Anaesthetist assessment
May need intubation and ventilation
22/01/2022 URI LECTURE 28
Laryngotracheobronchitis (Croup)
It is mostly caused by viruses
80% are caused by Parainfluenza viruses (1,2 or 3)
It causes upper airway obstruction
These signs are preceded by a low grade fever,rhinorrhea, cough and
pharyngitis
22/01/2022 URI LECTURE 29
Clinical Manifestations of LTB
Barking cough
Hoarseness
Stridor
High fevers
Hypoxia and low oxygen saturations are rare
22/01/2022 URI LECTURE 30
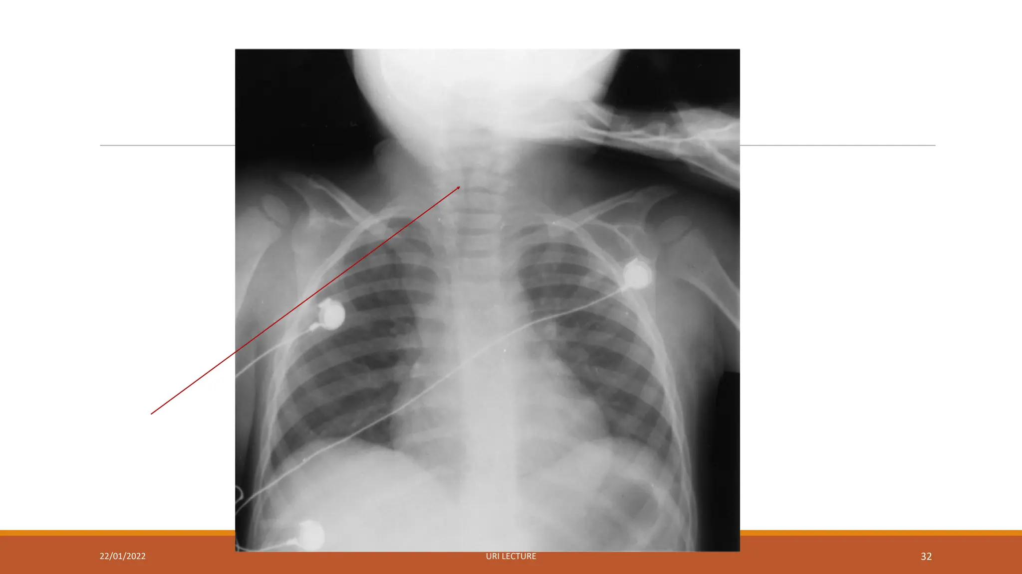
Diagnosis of LTB
The diagnosis is clinical
X-rays may show the typical subglottic narrowing
22/01/2022 URI LECTURE 31
22/01/2022 URI LECTURE 32
Clinical Score
22/01/2022 URI LECTURE 33
Signs 0 1 2 3
Stridor none When agitated At rest Severe insp/exp
Recession none
Mild sub costal
-
Moderate tracheal Severe
Colour Pink Pink Dusky Central cyanosis
GCS 15/15
Restless when
disturbed
Anxious Agitated Lethargic Drowsy
Score < 3 Mild Croup
Can be allowed home
Advice to parents:
Increase oral fluids
Signs of increasing distress
Return to hospital or clinic
Easy access to the hospital
Consider oral dexamethasone 0.3mg/kg stat
22/01/2022 URI LECTURE 34
Score 4-5 (moderate croup)
Admit to the hospital
Oral dexamethasone 0.6mg/kg (max 4mg)
Budesonide Nebulization
1mg BD<1year
2mg BD>1year
22/01/2022 URI LECTURE 35
Score ≥ 6 (severe croup)
Initially
Minimal handling
Oral/IM dexamethasone 0.6mg/kg
Adrenaline 1:1000 Neb 5mls in 0.9% saline
Hourly assessments
22/01/2022 URI LECTURE 36
If score is still ≥ 6
Repeat epinephrine neb
Call anaesthetist and ENT surgeon
Prepare for intubation
Consider tracheostomy
IV fluids
IV dexamethasone
Check ABG
If scoring < 6, follow moderate croup protocol
22/01/2022 URI LECTURE 37
Case 4: Musonda
7-year-old male school age child
Coryzal symptoms for 2 weeks
Unable to smell
Has had dental pain for the last 4 days
Headache exacerbated by leaning forward
22/01/2022 URI LECTURE 38
On examination
Temperature: 39.5o C
Purulent discharge from the right nostril
RR: 24 breaths per minute
HR: 110 breaths per minute
Localized pain over the cheekbones
22/01/2022 URI LECTURE 39
22/01/2022 URI LECTURE 40
What is the most likely diagnosis?
Diagnosis: Sinusitis
PLAN
Allow home
Paracetamol 15/kg/dose given QID
Amoxicillin-Clavulanate 80-90 mg/kg/day
22/01/2022 URI LECTURE 41
22/01/2022 URI LECTURE 42
Is there any role for antihistamines in
the treatment?
Sinusitis
It is a common illness of childhood
It can be viral or bacterial
Bacteria include Streptococcus pneumoniae, nontypable Haemophilus influenza
and Moraxella catarrhalis
22/01/2022 URI LECTURE 43
Clinical Manifestations of Sinusitis
Nasal congestion, purulent nasal discharge, fever and cough
Pain or pressure exacerbated by bending forward
The symptoms tend to localize the affected sinus in older children
22/01/2022 URI LECTURE 44
Other manifestations…
Maxillary tooth pain (dental pain)
Hyposmia
22/01/2022 URI LECTURE 45
Diagnosis and treatment of Sinusitis
The diagnosis of bacterial sinusitis is based solely on the history
According to the American Academy of Paediatrics, any URTI with any of the
following:
1. Persistent nasal discharge of any type or cough lasting 10 days or more without improvement
2. Worsening course (new or worse nasal discharge, cough or fever) after initial improvement
3. Severe onset, fever of 390 C and above for at least 3 consecutive days
22/01/2022 URI LECTURE 46
Treatment of Sinusitis
Antimicrobial therapy:
Amoxicillin/Clavulanate for 10 -14 days
Analgesia
Antipyretics
22/01/2022 URI LECTURE 47
Complications of Sinusitis
Periorbital cellulitis
Orbital cellulitis
Epidural abscess
Meningitis
Cavernous sinus thrombosis
Subdural empyema
Brain abscess
Osteomyelitis of the frontal bone
(Pott’s Puffy Tumour)
22/01/2022 URI LECTURE 48
References
1. Nelson Textbook of Paediatrics 20th Edition
2. Rheumatic Fever-new diagnostic criteria. Izabela Szczygielska et al. Reumatologia 2018
3. Common Respiratory Infections Slides Dr Somwe wa somwe
22/01/2022 URI LECTURE 49
22/01/2022 URI LECTURE 50

LECTURE 6 Upper Respiratory Infections 6th Year Version.pdf

  • 1.
  • 2.
    Case 1 :Tapelo 5- year-old preschool aged girl Became ill within the last 6 hours Severe sore throat Muffled voice Drooling of saliva 22/01/2022 URI LECTURE 2
  • 3.
    On examination Sitting upright Toxic,ill looking Febrile 39.50C Soft, inspiratory stridor 22/01/2022 URI LECTURE 3
  • 4.
    22/01/2022 URI LECTURE4 What is the most likely diagnosis?
  • 5.
    Diagnosis: Acute Epiglotittis DONOT: Examine the throat Try to get IV access or bloods Order lateral neck X-ray DO: Summon: Paediatrician ENT Surgeon Anaesthetist 22/01/2022 URI LECTURE 5
  • 6.
    22/01/2022 URI LECTURE6 How would you manage this child?
  • 7.
    Management To theatre/PICU Intubation/tracheostomy IV access Bloodculture IV 3rd generation cephalosporin Prophylaxis for household contacts 22/01/2022 URI LECTURE 7
  • 8.
    Acute Epiglottitis Caused byH. influenzae type B The incidence has reduced by 99% due to Hib vaccine Most common age group is 1-6 years 22/01/2022 URI LECTURE 8
  • 9.
    Clinical presentation ofEpiglottitis There is sudden onset of sore throat, drooling, odynophagia or dysphagia Muffled dysphonia or loss of voice Dry cough or no cough 22/01/2022 URI LECTURE 9
  • 10.
    More manifestations… Dyspnoea Fever andtoxic appearance Tripod or sniffing posture Stridor is a late sign 22/01/2022 URI LECTURE 10
  • 11.
  • 12.
  • 13.
  • 14.
    Case 2: Mutinta 3-year-old female toddler Unwell for one day Sudden onset of sore throat No cough Fever Difficulty feeding Vomiting Abdominal pain 22/01/2022 URI LECTURE 14
  • 15.
    On examination Pulse rate:140 beats/minute Respiratory rate: 40 breaths/minute Temperatureof 39oC Tender anterior cervical lymph nodes Erythematous pharynx with enlarged tonsils and yellowish exudate 22/01/2022 URI LECTURE 15
  • 16.
    22/01/2022 URI LECTURE16 What is the most likely diagnosis?
  • 17.
    Diagnosis: Pharyngotonsillitis PLAN Admit toward IV access Crystalline Penicillin 50 000 IU/kg/dose QID IV Maintenance IV fluids: Half strength darrows in 10 % dextrose Paracetamol 15 mg/kg/dose FBC/DC 22/01/2022 URI LECTURE 17
  • 18.
    22/01/2022 URI LECTURE18 If the child has a weight of 20 kg, and continues to refuse food, how much sour milk could you give the child every 3 hours by nasogastric tube?
  • 19.
    Pharyngitis It is mostlycaused by viruses and Group A β haemolytic streptococcus The onset of streptococcal pharyngitis is sudden with prominent sore throat and fever and absence of cough and rhinorrhoea The pharynx is red, the tonsils are enlarged and covered with a yellow blood tinged exudate 22/01/2022 URI LECTURE 19
  • 20.
  • 21.
    Clinical Manifestations ofPharyngitis The soft palate may have petechiae and the uvula may be inflamed as well The anterior cervical lymph nodes are enlarged and tender The onset of viral pharyngitis is more gradual and characterised bycoryza, conjunctivitis, hoarseness and cough The aim of specific diagnosis is to identify Group A β haemolytic streptococcus 22/01/2022 URI LECTURE 21
  • 22.
    Treatment of Pharyngitis Phenoxymethylpenicillinorally 250 mg every 12 hours for 10 days in children weighing less than 27 kg Phenoxymethylpenicillin orally 500 mg every 12 hours for 10 days in children weighing >27 kg Benzathine penicillin given IM as a singular dose can be used as well in a hospital setting: 1.2 MU in children > 27 kg and 600 000 IU in children < 27 kg 22/01/2022 URI LECTURE 22
  • 23.
    Complications Retropharyngeal abscess Lateral pharyngealabscess Peritonsillar abscess or cellulitis Rheumatic fever APGN 22/01/2022 URI LECTURE 23
  • 24.
    Indications for Tonsillectomy Morethan 7 episodes in the previous year More than 5 in each of the preceding 2 years Peritonsillar abscess 22/01/2022 URI LECTURE 24
  • 25.
    Case 3: Kalonga 2-year-oldtoddler 1 day history of barking cough and fever Coryzal symptoms Noisy breathing SOB 22/01/2022 URI LECTURE 25
  • 26.
    On examination Alert Temp 38oC Hoarsenessof voice Barking cough Harsh inspiratory stridor Sub-costal recessions Transmitted sounds on auscultation 22/01/2022 URI LECTURE 26
  • 27.
    22/01/2022 URI LECTURE27 What is the diagnosis?
  • 28.
    Diagnosis: Viral Croup PLAN DexamethasonePO 600mcg/kg Budesonide 2 mg nebulized if vomiting Observe Discharge if mild to moderate croup For severe croup Adrenaline 1: 1000 neb 5mls Anaesthetist assessment May need intubation and ventilation 22/01/2022 URI LECTURE 28
  • 29.
    Laryngotracheobronchitis (Croup) It ismostly caused by viruses 80% are caused by Parainfluenza viruses (1,2 or 3) It causes upper airway obstruction These signs are preceded by a low grade fever,rhinorrhea, cough and pharyngitis 22/01/2022 URI LECTURE 29
  • 30.
    Clinical Manifestations ofLTB Barking cough Hoarseness Stridor High fevers Hypoxia and low oxygen saturations are rare 22/01/2022 URI LECTURE 30
  • 31.
    Diagnosis of LTB Thediagnosis is clinical X-rays may show the typical subglottic narrowing 22/01/2022 URI LECTURE 31
  • 32.
  • 33.
    Clinical Score 22/01/2022 URILECTURE 33 Signs 0 1 2 3 Stridor none When agitated At rest Severe insp/exp Recession none Mild sub costal - Moderate tracheal Severe Colour Pink Pink Dusky Central cyanosis GCS 15/15 Restless when disturbed Anxious Agitated Lethargic Drowsy
  • 34.
    Score < 3Mild Croup Can be allowed home Advice to parents: Increase oral fluids Signs of increasing distress Return to hospital or clinic Easy access to the hospital Consider oral dexamethasone 0.3mg/kg stat 22/01/2022 URI LECTURE 34
  • 35.
    Score 4-5 (moderatecroup) Admit to the hospital Oral dexamethasone 0.6mg/kg (max 4mg) Budesonide Nebulization 1mg BD<1year 2mg BD>1year 22/01/2022 URI LECTURE 35
  • 36.
    Score ≥ 6(severe croup) Initially Minimal handling Oral/IM dexamethasone 0.6mg/kg Adrenaline 1:1000 Neb 5mls in 0.9% saline Hourly assessments 22/01/2022 URI LECTURE 36
  • 37.
    If score isstill ≥ 6 Repeat epinephrine neb Call anaesthetist and ENT surgeon Prepare for intubation Consider tracheostomy IV fluids IV dexamethasone Check ABG If scoring < 6, follow moderate croup protocol 22/01/2022 URI LECTURE 37
  • 38.
    Case 4: Musonda 7-year-oldmale school age child Coryzal symptoms for 2 weeks Unable to smell Has had dental pain for the last 4 days Headache exacerbated by leaning forward 22/01/2022 URI LECTURE 38
  • 39.
    On examination Temperature: 39.5oC Purulent discharge from the right nostril RR: 24 breaths per minute HR: 110 breaths per minute Localized pain over the cheekbones 22/01/2022 URI LECTURE 39
  • 40.
    22/01/2022 URI LECTURE40 What is the most likely diagnosis?
  • 41.
    Diagnosis: Sinusitis PLAN Allow home Paracetamol15/kg/dose given QID Amoxicillin-Clavulanate 80-90 mg/kg/day 22/01/2022 URI LECTURE 41
  • 42.
    22/01/2022 URI LECTURE42 Is there any role for antihistamines in the treatment?
  • 43.
    Sinusitis It is acommon illness of childhood It can be viral or bacterial Bacteria include Streptococcus pneumoniae, nontypable Haemophilus influenza and Moraxella catarrhalis 22/01/2022 URI LECTURE 43
  • 44.
    Clinical Manifestations ofSinusitis Nasal congestion, purulent nasal discharge, fever and cough Pain or pressure exacerbated by bending forward The symptoms tend to localize the affected sinus in older children 22/01/2022 URI LECTURE 44
  • 45.
    Other manifestations… Maxillary toothpain (dental pain) Hyposmia 22/01/2022 URI LECTURE 45
  • 46.
    Diagnosis and treatmentof Sinusitis The diagnosis of bacterial sinusitis is based solely on the history According to the American Academy of Paediatrics, any URTI with any of the following: 1. Persistent nasal discharge of any type or cough lasting 10 days or more without improvement 2. Worsening course (new or worse nasal discharge, cough or fever) after initial improvement 3. Severe onset, fever of 390 C and above for at least 3 consecutive days 22/01/2022 URI LECTURE 46
  • 47.
    Treatment of Sinusitis Antimicrobialtherapy: Amoxicillin/Clavulanate for 10 -14 days Analgesia Antipyretics 22/01/2022 URI LECTURE 47
  • 48.
    Complications of Sinusitis Periorbitalcellulitis Orbital cellulitis Epidural abscess Meningitis Cavernous sinus thrombosis Subdural empyema Brain abscess Osteomyelitis of the frontal bone (Pott’s Puffy Tumour) 22/01/2022 URI LECTURE 48
  • 49.
    References 1. Nelson Textbookof Paediatrics 20th Edition 2. Rheumatic Fever-new diagnostic criteria. Izabela Szczygielska et al. Reumatologia 2018 3. Common Respiratory Infections Slides Dr Somwe wa somwe 22/01/2022 URI LECTURE 49
  • 50.