Intraoral sensor-based
monitoring of stabilization
splint therapy in patients
with myofascial pain
Namitha AP
III rd MDS
DEPT.OF PROSTHODONTICS
Journal club presentation
Krohn S, Hampe T, Brack F, Wassmann T and Bürgers R
International Journal of Computerized Dentistry. 2020 Jan 1;23(1):11-6.
22-11-2020 1
Contents
 Introduction
 Aim of the study
 Materials and methods
 Results
 Discussion
 Related articles
 References
22-11-2020 2
INTRODUCTION
 Temporomandibular disorders (TMD) are a common cause of orofacial pain.
 Many types of occlusal appliances have been suggested for the treatment of
TMDs.
 The two most commonly used are the stabilization appliance and the anterior
positioning appliance
 The most frequent symptoms of TMD are muscle hyperactivity and muscle
pain, which are referred to as myofascial pain.
 Stabilization splints are considered a good treatment option to reduce
subjective pain by reorganizing neuromuscular functional patterns and
inhibiting muscle activity.
22-11-2020 3
STABILISATION SPLINT/MUSCLE
RELAXATION APPLIANCE
 generally fabricated for the maxillary arch and
provides an occlusal relationship considered
optimal for the patient
 When it is in place, the condyles are in their
most musculoskeletally stable position at the
time that the teeth are contacting evenly and
simultaneously.
 Canine disocclusion of the posterior teeth
during eccentric movement is also provided.
 The treatment goal is to eliminate any
orthopedic instability between the occlusal
position and the joint position, thus removing
this instability as an etiologic factor in the TMD
MAXILLARY/MANDIBULAR
APPLICATION
WEARING COMFORT
PERIOD OF INTRA ORAL
WEAR
PATIENT COMPLIANCE
KEY SUCCESS
FACTORS
22-11-2020 4
Aim of the study
 Objective, sensor-based analysis of patient
compliance in general as well as a comparison
between mandibular and maxillary splint
application in patients with myo- fascial pain.
22-11-2020 5
MATERIALS AND METHODS
 32 patients (24 female, 8 male) with
sole myofascial pain without limited
opening
 The RDC/TMD algorithm includes the
rating of extraoral and intraoral muscle
palpation.
 Numbers from 0 to 3 correspond to the
amount of pain sensation on palpation
of specific muscle sites.
0
• No feeling of pressure
• No pain
1
• Mild
2
• Moderate
3
• Severe
22-11-2020 6
34 patients
Group 1
Maxillary
stabilisation
splints
Group 2
Mandibular
stabilisation
splints
Following the baseline assessment, all participants were randomly divided into two groups.
Conventional
impression with
alginate
Cast mounted in
articulator using
arbitrary facebow
splints were
fabricated using a
thermoforming plate
22-11-2020 7
 Cold-cured polymethyl methacrylate
(PMMC) was applied for the
adjustment of the equilibrated
occlusion in the articulator.
 The prepared splints were polished
and the occlusal surfaces adjusted
intraorally to ensure equilibration of
static occlusion and anterior/canine
guidance.
 All splints were unilaterally
equipped with a TheraMon
microsensor.
sensor dimensions -13 × 9 × 4 mm (w × h × d)
firmly fixed to the vestibular posterior tooth
region without interfering with the static or
dynamic occlusion
22-11-2020 8
 Before the occlusal appliances were handed out, all
subjects were told to use the splints as much as possible
and were fully informed about their use.
 The period of intraoral application was measured once the
sensor was exposed to body temperature, whereby the
total duration was read out in three intervals of 30 days
each (initial = t1; intermediary = t2; terminal = t3).
 At the end of the observation period, the data were
retrieved from all the sensors and statistically evaluated
to assess the influence of different factors (gender, pain
intensity, observation interval) on the variability of the
results.
 In order to quantify the range of variation for the
mandibular and maxillary stabilization splints and to
compare both treatment options regarding their equality,
a Bland-Altman analysis was performed
Initial t1
Intermediary
t2
Terminal t3
22-11-2020 9
RESULTS mean palpation score ranging between 0.2 and 1.5.
• <0.5
Group
1
• 0.5- 0.99
Group
2
• 1 or
higher
Group
3
Mean intra oral
application
Maxillary
splints
40.5 days
(44.4%)
5.96 h (± 1.84)
per day
Mandibular
splints
39.8 days
(44.2%)
6.66 h (± 2.68)
per day
Total wear time
Maxillary
splints
3.19 h (± 4.09)
Mandibular
splints
3.13 h (± 4.03)22-11-2020 10
 The highest overall values of intraoral application of 3.71
h (± 4.20) were recorded at interval t1.
 At intervals t2 and t3, the mean values of both the
maxillary and mandibular splints decreased to 3.35 h (±
4.17) and 2.42 h (± 3.69), respectively.
 Higher mean values were observed in female participants
and in participants with an increased pain score.
 Statistical analysis revealed that there was no significant
difference in the intraoral application of the maxillary and
mandibular splints
 female participants wore their splints significantly more
often, and participants with an increased pain score
showed a significantly higher wear time
22-11-2020 11

The total application time decreased over the period of observation, whereas only
intervals t1 and t3 differed significantly across both the mandibular and maxillary
splint groups
22-11-2020 12
Discussion
 In order to evaluate patient compliance, it is important to assess objective
and reliable data of actual intraoral applications.
 In this study an integrated microsensor was used to record the wear pattern
at three intervals of 30 days each, which showed a compliance of 44.4% for
the maxillary and 44.2% for the mandibular splints.
 Subjects with greater pain scores showed significantly higher compliance,
whereas the total time of intraoral splint wear significantly decreased from t1
to t3 in all pain groups
 This positive correlation might be caused by pain reduction due to treatment
success, which is commonly achieved within 2 to 3 months
22-11-2020 13
CONCLUSIONS
 The present study demonstrated that the objective, intraoral, sensor-
based monitoring of splint therapy was an effective and reliable
method of monitoring patient compliance during treatment.
 Allows for the comparison of subjective symptoms with objective
findings.
 Additional diagnostic tool in TMD therapy
 Reliable recording of intraoral splint application prior to required bite
elevations.
 The decision between maxillary and mandibular splints did not affect
patient compliance in the present investigation.
22-11-2020 14
Side Effects of Stabilization Occlusal Splints:
A Report
of Three Cases and Literature Review
Fernando Magdaleno and Eduardo Ginestal
There is a noticeable lack of reference to the possible undesirable side
effects of stabilization splints, in contrast to other types of oral
appliances, such as anterior repositioning splints, nociceptive trigeminal
inhibition tension suppression systems (NTI-tss) or splints for sleep apnea
Complications derived from the use of stabilization splints are associated
with their full-time use, whereas the risk of undesired effects is
considered to be small when they are used part time
22-11-2020 15
AIM AND OBJECTIVES
 to review the available information on the possible
adverse effects of stabilization splints in their different
clinical applications, as well as to present three cases in
which the use of a stabilization splint was associated with
irreversible occlusal changes.
22-11-2020 16
CASES
 Three clinical cases were selected for this study, which involved
occlusal alterations following the use of a part time stabilization
splint
 a retrospective search among the clinic’s patients over the last five
years, using a simple selection criterion; the presence of irreversible
occlusal modifications subsequent to the use of a part time
stabilization splint.
 splints are made with hard acrylic resin and cover all of the teeth.
22-11-2020 17
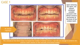
CASE 1
No dental
migration
The removal of the third molars increased the number of dental contacts, but did not manage to achieve the
anterior tooth relation of the manually articulated models
Upon removing
the splint, the
patient
exhibited
unstable
occlusion with
dental contacts
exclusively at
the level of the
wisdom teeth
22-11-2020 18
Case 2
 A 23 year-old female
 dull and diffuse facial pain over
the past three months
 predominantly during the morning
and on the left side, with
moderate intensity and without
other accompanying symptoms.
 stable occlusion in Angle class I,
with bilateral anterior guidance.
 tenderness of the chewing
musculature without trigger points.
 no signs of internal derangement
 Mandibular opening capacity was
51 mm, without deviations.
 She reported that she tended to
clench her teeth
The suspected diagnosis was local myalgia, with parafunction as
the most probable etiological factor.
22-11-2020 19
 She was fitted for night use with an upper stabilization splint in the
intercuspal position and was asked to return for her first check-up a week
later.
 This patient returned for the first time nine months later.
 She reported that pain had eased at the beginning of the treatment, but that
during recent months, it had reappeared, although with less intensity.
 Anterior open bite was observed with characteristics similar to those of Case
1.
 she reported that she used the splint during the night and during some day
hours, particularly during exam periods.
 The splint showed signs of contact only between posterior teeth.
 After readjusting the splint, the patient experienced no more facial pain.
 Currently, the patient is undergoing orthodontic treatment.
22-11-2020 20
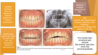
Case 3
 26 year old female
 orthodontics and bimaxillary
orthognathic surgery two years ago.
 Intense pain at the level of the left
temporomandibular joint (TMJ), on the
left side of the face and in the lateral
region of the neck on the same side,
which had worsened over the last nine
months and had not responded to
conventional analgesics.
 Pain was constant, with moments of
heightened intensity, and it became
more acute with mandibular movement
and occlusion.
 There was evidence of central
sensitization, with hyperalgesia
and allodynia.
 Muscular palpation revealed trigger
points at the chewing and neck
muscles.
 mandibular opening capacity - 27
mm, with deviation to the left and
any movement involving
mandibular mobilization was very
painful.
22-11-2020 21
unstable
occlusion
and the
absence of
anterior
guidance in
lateral
movements.
bilateral
condylar
Hypoplasia in
OPG
MRI
verified disk displacement
without reduction, with
moderate
osteoarthritic changes and
edema in left TMJ
stabilization
splint was fitted
for part-time
use, not
necessarily
limited to
nocturnal use
Five months later
occasional pain
reduced
But anterior open bite,
which had
occurred gradually22-11-2020 22
 Her mandibular opening capacity
was 38 mm, with a slight left
deviation.
 clinical and radiographic controls
carried out three, six, and nine
months later - no observed
significant modifications in the
intermaxillary relation or in
condylar morphology
 patient periodically attends a
physiotherapist and uses the splint
during the night and sometimes for
a few hours during the day (she
does not want to be without the
splint).
 She occasionally uses nonsteroidal
anti-inflammatory drugs.
 She decided not to have additional
surgery to improve her occlusal
situation.
22-11-2020 23
DISCUSSION
 Three common conditions, which are distinct but nevertheless have the
same outcome: anterior open bite
Case 1
• use of the splint
as a diagnostic
method in
orthodontics,
applied with a
view to
establishing a
centric relation.
Case 2
• represents a
simple case of
TMD in a patient
with oral
parafunction, in
which the splint
is the first choice
of treatment,
and often the
only available
treatment
Case 3
• complex case of
chronic orofacial
pain in which the
splint only
played a
coadjuvant role,
since the case
required
multidisciplinary
treatment.
The three case reports presented here are representative of the typical
clinical situations in which stabilization splints are recommended.
22-11-2020 24
 Due to the very nature of the methodology employed in this work, the
incidence of this type of alteration cannot estimated, since one of the three
cases was referred to our clinic due to the presence of occlusal alterations
(Case 1) and another (Case 3) was a patient who presented important
orthopedic instability after surgical-orthodontic treatment.
 difficult to foresee these modifications, since they vary as a function of the
type of pathology and of the coadjuvant factors associated with each case
 modifications in general do not cause much discomfort, and on many
occasions are not even perceived by patients.
 For this reason, it is only rarely necessary to have to consider applying
irreversible treatments after the orthopedic phase.
22-11-2020 25
 In order to avoid possible side effects of stabilization splints, it is
recommended that the splints cover the entire occlusal surface, that they are
not used around the clock (24 hours a day), and that there is routine follow-
up by the dentist.
 The cases presented here illustrate the potential capacity of these splints to
lead to anterior open bite
 possibility of molar intrusion, with accompanying posterior open bite, in full
time users of stabilization splints.
22-11-2020 26
 Partially covering splints have also been reported to be able to provoke
occlusal modifications, including anterior open bite.
 patients in the current study wore splints which covered all the occlusal
surface and these were worn only part time.
 Case 1 demonstrates that occlusal alterations need not necessarily be due to
tooth movement, since the mounted casts occluded correctly.
 These alterations are more likely due to positional changes in the mandible,
as a possible consequence of either changes in masticatory muscle activity,
the different distribution of occlusal load, or modifications in the vertical
dimension.
22-11-2020 27
 The fact that none of the three cases could voluntarily attain occlusion
similar to that achieved prior to the splint, suggests that adaptive changes
and articular remodeling had taken place.
 The alterations in Cases 1 and 2 could be attributed to the lack of regular
revision and adjustment of the splint by the dentist.
 However, in Case 3, a progressive anterior open bite also developed despite
correct periodic followup with regular adjustments.
 It is currently not possible to establish which risk factors are associated with
the development of severe occlusal alterations in response to wearing
stabilization splints
22-11-2020 28
 Some authors recommend informing the patient of the possibility of
irreversible occlusal changes when there is a discrepancy (<3 mm) between
the retrusive centric relation and maximal intercuspal position.
 It has also been suggested that prior to the placement of any intraoral
orthopedic appliance, a detailed study of centric relation casts should be
performed.
 However, this is not always possible due to muscular contraction or to pain
upon manipulation, as occurred in Case 3.
 Dependence on the splint by patients in whom symptoms recur or by bruxers
can also represent a problem.
 psychological dependence and long-term use can represent important risk
factor
22-11-2020 29
OTHER POSSIBLE COLLATERAL EFFECTS
 Stabilization splints are often recommended for the treatment of
anteromedial disk displacement with reduction (ADD), although some authors
recommend in these cases the placing of anterior repositioning splints, which
also have potential adverse effects.
 Among the general population, or among patients treated with a
splint,anteromedial disk displacement rarely evolves towards locking.
22-11-2020 30
 In a retrospective study, Kurita found a patients with ADD who developed
clinical closed locking following use of a full-time stabilization splint; This
evolution could be due to the redistribution of the intra-articular contact
surfaces in response to modification of the condyle-fossa relations, which is
produced following insertion of an occlusal
 it would be advisable to exercise caution in recommending stabilization
splints for patients with antecedents of intermittent locking.
 The possibility of part-time use of an anterior repositioning splint should be
considered in these cases.
22-11-2020 31
 use of stabilization splints also has implications for posture
 the proprioceptive information provided by dental occlusion and mandibular
position has repercussions on craniocervical musculature and on corporal
position, due to the connections which the trigeminal nerve established with
other brainstem structures, in particular with the vestibular system and the
labyrinth.
 As a consequence, it is reasonable to suppose that modifications in the
occlusal load and in the vertical dimension which accompany an intraoral
device can modify the information provided by periodontal
mechanoreceptors.
 In this regard, it has been reported that the placing of an intermaxillary splint
can alter cervical postural tone at rest and during swallowing, which in turn is
influenced by body position and the craniocervical relation.
22-11-2020 32
 Although these connections remain controversial, since they have been
verified principally on the basis of surface electromyography, functional
evidence indicates that the wearing of a stabilization splint can modify
peripheral information at the level of the Central Nervous System.
 Nevertheless, prudence is advised when establishing clinical expectations
regarding therapeutic effects which are distal to the masticatory system.
 Urbanowicz pointed out the risk of cervical compression after placing an
intraoral orthotic patients who had lost the capacity to adapt to cervico-facial
functional changes.
 majority of dentists are not specialists in vertebral pathology or in posture,
which means that these implications, either positive or negative, will often go
unnoticed.
22-11-2020 33
SUMMARY
 stabilization splints represent a safe therapeutic alternative, providing there
is a regular follow-up on behalf of the dentist, especially during the first
months of use.
 The most serious known Risk - irreversible occlusal changes, which can also
develop with part-time splint usage.
 It is difficult to foresee when these complications might arise, thus justifying
their more indepth study in the future.
 Other priority areas of research include large sample population studies to
clarify the potential risk of negatively modifying the disk-condyle relation,
the airway permeability/patency in patients with obstructive sleep apnea,
and the implications of stabilization splints for the maintenance of global
postural tone
22-11-2020 34
Clinical comparison between two different
splint designs for
temporomandibular disorder therapy
ASBJORN JOKSTAD, ARILD MO & BERIT SCHIE KROGSTAD
 To compare splint therapy in temporomandibular
disorder (TMD) patients using two splint designs.
 In a double-blind randomized parallel trial, 40
consenting patients were selected from the
dental faculty pool of TMD patients.
 Two splint designs were produced: an ordinary
stabilization (Michigan type) and a NTI (Nociceptiv
trigeminal inhibition).
 The differences in splint design were not
described to the patients
22-11-2020 35
 A separate, blinded, examiner assessed joint and muscle tenderness by
palpation and jaw opening prior to splint therapy, and after 2 and 6 weeks’
and 3 months’ splint use during night-time.
 The patients reported headache and TMD-related pain on a visual analog scale
before and after splint use, and were asked to describe the comfort of the
splint and invited to comment.
22-11-2020 36
 Thirty-eight patients with mainly myogenic problems were observed over 3
months.
 A reduction of muscle tenderness upon palpation and self-reported TMD-
related pain and headache and an improved jaw opening was seen in both
splint groups
 There were no changes for TM joint tenderness upon palpation.
 No differences were noted between the two splint designs after 3 months for
the chosen criteria of treatment efficacy
 No differences in treatment efficacy were noted between the Michigan and
the NTI splint types when compared over 3 months.
22-11-2020 37
Immediate effect of a stabilization splint on
masticatory muscle activity in temporomandibular
disorder patients
V. F. Ferrario, c. Sforza, g. M. Tartaglia & c. Dellavia
 Surface electromyography (EMG) allows the quantification
of the occlusal equilibrium in dysfunctional patients, for
instance in those with temporomandibular disorders
(TMD).
 In the current investigation, the EMG activity of left and
right masseter and temporalis anterior muscles during
clenching has been studied in a group of TMD patients just
before and immediately after the insertion of a
stabilization splint.
22-11-2020 38
 Fourteen patients (ten women, four men) with internal derangement type I
were selected among the TMD patients referred to a private practice in Milan.
 A stabilization splint with posterior contacts was made for each patient.
 To verify the static neuromuscular equilibrium of occlusion, EMG activity of
left and right temporal and masseter muscles was recorded in all patients and
the activity (ratio between the activities of the temporal and masseter
muscles) index was computed over a maximum voluntary clench test of 3 s.
 Muscular waveforms were also analysed by computing a percentage
overlapping coefficient (POC, an index of the symmetric distribution of the
muscular activity determined by the occlusion).
 The total electrical activity was measured by calculating the area under the
entire muscular waveforms
22-11-2020 39
22-11-2020 40
 In all patients EMG was performed just before and immediately after the
insertion of the splint and data were compared by paired Student’s t-tests.
 Overall, the splint reduced the electrical activity of the analysed muscles (P <
0Æ005) and made it more equilibrated both between the left and right side
(larger symmetry in the masseter muscle POC, P < 0Æ05) and between the
temporal and masseter muscles (activity index, P < 0Æ01).
22-11-2020 41
Immediate electromyographic response in
masseter and temporal muscles to bite plates
and stabilization splints
LARS DAHLSTROM AND TORGNY HARALDSON
 The purpose of this study was to compare, by means of EMG, any
immediate influence on the temporal and masseter muscles of
bite plates and stabilization splints in situ in control subjects
and in subjects with signs of CMD.
22-11-2020 42
Materials and methods
 The subjects were patients with
GMD, 2 men and 8 women aged 21-
33 yr (mean 29 yr), (mean 25 yr).
 The patients with signs and
symptoms judged to be mainly of
myogenous origin and with a fairly
complete natural dentition with
occluding molars.
 The controls were dental students
with a complete natural dentition,
and with no signs or symptoms of
pain and dysfunction in the
masticatory system.
Each subject was provided with a bite plate (modified Hawley
plate, relaxationplate), and a stabilization splint (full
coverage splint), constructed of heat-cured acrylic resin, in
the maxilla.
22-11-2020 43
 The two types of appliances had the same vertical dimension (average bite-
rise in the front 3.4 mm) and were individually adjusted to bilateral, even
occlusion from canine to canine (plate) and all mandibular teeth (splint) in
muscular and retruded positions and with uniform anterior and canine
guidance.
 The subjects did not use the appliances before the registration.
22-11-2020 44
 Electromyographic surface recordings were performed from the masseter and
temporal muscles bilaterai!y with and without the appliances in situ
22-11-2020 45
 In the rest position, no significant change in average activity was registered in
any muscle with either appliance.
 Activity during maximal biting on stabilization splints was not different from
that without the appliance while bite plates caused a decrease in activity in
both muscles in both groups.
 The reduced maximal activity was probably due to the smaller number and
exclusively anterior positioned occlusal contacts on the bite plate.
22-11-2020 46
INFLUENCE OF STABILIZATION OCCLUSAL
SPLINTS ON STERNOCLEIDOMASTOID AND
MASSETER ELECTROMYOGRAPHIC ACTIVITY
Rodolfo Miralles, Claudia Mendoza, Hugo Santander, D.D.S.,
Claudia Zuniga, Hugo Moya
 The present work was conducted in order to determine the effect of
stabilization occlusal splints on electromyographic (EMG) activity of
sternocleidomastoid and masseter muscles, in subjects with tenderness to
palpation in these muscles.
22-11-2020 47
 They had natural dentition and bilateral molar support and, at
clinical examination, presented tenderness to palpation in the
sternocleidomastoid and masseter muscles.
 For each subject a full-arch maxillary stabilization occlusal
splint was made of transparent thermopolymerizing acrylic
resin, with flat occlusal surfaces and uniform, simultaneous,
and multiple occlusal contacts at centric relation-centric
occlusion.
 The increase in the vertical dimension of occlusion produced by
the splints ranged from 2.5 to 6 mm measured in the central
incisor region
22-11-2020 48
 A large surface ground electrode (approximately
9 cm2) was attached to the forehead.
 EMG activity was filtered (10000 Hz), amplified
1000 times, and then amplified again 10 to 50
times, integrated (time constant, 1800 msec ),
and finally registered on a polygraph
EMG recordings were performed by placing
bipolar
surface electrodes* on the sternocleidomastoid
and masseter
muscles
The electrodes were fixed on the sternocleidomastoid
in the anterior border of the muscle (middle portion)
1 cm above and below the motor point
In the masseter muscle the electrodes were fixed
1 cm above and below the motor point on a line
running parallel to the border of the ear (tragus)
across the motor point
22-11-2020 49
 Sitting upright in a dental chair with the head supported and the Frankfort plane parallel to the
floor, inside a Faraday cage, each subject was submitted to six recordings of integrated
electromyographic (IEMG) activity, with and without the stabilization occlusal splint, in the
postural mandibular position and during swallowing of saliva and maximal voluntary clenching
22-11-2020 50
 Tonic activity in the postural mandibular position with the splint inserted was recorded after
the subjects were asked to keep their lower teeth slightly separated from the occlusal
surface of the splint.
 Each curve of tonic activity lasted at least 20 seconds and was divided into 5-second periods.
 Values on the ordinate were obtained by manual measuring, and mean amplitude was
calculated for each curve.
 During the swallowing of saliva, the peak of IEMG activity was measured, allowing a resting
period of 30 seconds between each swallowing.
 During maximal voluntary clenching, the peak of IEMG activity was also measured.
 A resting period of 30 seconds between clenching was allowed to avoid muscular fatigue.
 Subsequently, for each subject a mean value based on the six curves in each condition with
and without occlusal splint was used.
 Comparison of IEMG activity with and without an occlusal splint in each condition was
performed by means of a t-test for dependent sample
22-11-2020 51
22-11-2020 52
22-11-2020 53
22-11-2020 54
 diminution of the IEMG activity found in the present study during saliva
swallowing with the occlusal splint inserted agrees with clinical reports that
found the use of an occlusal splint, as a conservative and reversible
treatment, decreases the masseter and sternocleidomastoid muscle
symptomatology
 This fact is particularly important because swallowing is a functional activity
repeated between 600 to 2400 times each day, and it supports the
recommendation for diurnal wear of the occlusal splint (especially in acute
patients), since it has been demonstrated that the frequency of
salivaswallowing during sleep is very low.
22-11-2020 55
 Furthermore, present IEMG results suggest studying the correlation between
the change in IEMG during swallowing with changes in the position and/or
rotation of the head caused by the insertion of the stabilization occlusal
splint.
 The latter could be of great clinical implication since some authors have
observed a prevalence of head anteposition in patients with craniomandibular
and craniocervical dysfunction.
22-11-2020 56
References
 Dahlstrom L, Haraldsori T: Immediate electromyographic response in masseter and
temporal muscles to bite plates and stabilization splints. Scand J Dent Res, 1989; 97: 533-
8.
 Schiffman EL, Ohrbach R, Truelove EL, Tai F, Anderson GC, Pan W, Gonzalez YM, John MT,
Sommers E, List T, Velly AM, Kang W, Look JO. The Research Diagnostic Criteria for
Temporomandibular Disorders. V: methods used to establish and validate revised Axis I
diagnostic algorithms. J Orofac Pain. 2010 Winter;24(1):63-78. PMID: 20213032; PMCID:
PMC3115779.
 Krohn S, Hampe T, Brack F, Wassmann T, Bürgers R. Intraoral sensor-based monitoring of
stabilization splint therapy in patients with myofascial pain. International Journal of
Computerized Dentistry. 2020 Jan 1;23(1):11-6.
 Magdaleno F, Ginestal E. Side effects of stabilization occlusal splints: a report of three
cases and literature review. CRANIO®. 2010 Apr 1;28(2):128-35.
 Miralles R, Mendoza C, Santander H, Zuniga C, Moya H. Influence of stabilization occlusal
splints on sternocleidomastoid and masseter electromyographic activity. CRANIO®. 1992
Oct 1;10(4):297-304.
 Ferrario VF, Sforza C, Tartaglia GM, Dellavia C. Immediate effect of a stabilization splint
on masticatory muscle activity in temporomandibular disorder patients. Journal of Oral
rehabilitation. 2002 Sep;29(9):810-5.
22-11-2020 57

Journal club presentation on muscle stabilisation splints

  • 1.
    Intraoral sensor-based monitoring ofstabilization splint therapy in patients with myofascial pain Namitha AP III rd MDS DEPT.OF PROSTHODONTICS Journal club presentation Krohn S, Hampe T, Brack F, Wassmann T and Bürgers R International Journal of Computerized Dentistry. 2020 Jan 1;23(1):11-6. 22-11-2020 1
  • 2.
    Contents  Introduction  Aimof the study  Materials and methods  Results  Discussion  Related articles  References 22-11-2020 2
  • 3.
    INTRODUCTION  Temporomandibular disorders(TMD) are a common cause of orofacial pain.  Many types of occlusal appliances have been suggested for the treatment of TMDs.  The two most commonly used are the stabilization appliance and the anterior positioning appliance  The most frequent symptoms of TMD are muscle hyperactivity and muscle pain, which are referred to as myofascial pain.  Stabilization splints are considered a good treatment option to reduce subjective pain by reorganizing neuromuscular functional patterns and inhibiting muscle activity. 22-11-2020 3
  • 4.
    STABILISATION SPLINT/MUSCLE RELAXATION APPLIANCE generally fabricated for the maxillary arch and provides an occlusal relationship considered optimal for the patient  When it is in place, the condyles are in their most musculoskeletally stable position at the time that the teeth are contacting evenly and simultaneously.  Canine disocclusion of the posterior teeth during eccentric movement is also provided.  The treatment goal is to eliminate any orthopedic instability between the occlusal position and the joint position, thus removing this instability as an etiologic factor in the TMD MAXILLARY/MANDIBULAR APPLICATION WEARING COMFORT PERIOD OF INTRA ORAL WEAR PATIENT COMPLIANCE KEY SUCCESS FACTORS 22-11-2020 4
  • 5.
    Aim of thestudy  Objective, sensor-based analysis of patient compliance in general as well as a comparison between mandibular and maxillary splint application in patients with myo- fascial pain. 22-11-2020 5
  • 6.
    MATERIALS AND METHODS 32 patients (24 female, 8 male) with sole myofascial pain without limited opening  The RDC/TMD algorithm includes the rating of extraoral and intraoral muscle palpation.  Numbers from 0 to 3 correspond to the amount of pain sensation on palpation of specific muscle sites. 0 • No feeling of pressure • No pain 1 • Mild 2 • Moderate 3 • Severe 22-11-2020 6
  • 7.
    34 patients Group 1 Maxillary stabilisation splints Group2 Mandibular stabilisation splints Following the baseline assessment, all participants were randomly divided into two groups. Conventional impression with alginate Cast mounted in articulator using arbitrary facebow splints were fabricated using a thermoforming plate 22-11-2020 7
  • 8.
     Cold-cured polymethylmethacrylate (PMMC) was applied for the adjustment of the equilibrated occlusion in the articulator.  The prepared splints were polished and the occlusal surfaces adjusted intraorally to ensure equilibration of static occlusion and anterior/canine guidance.  All splints were unilaterally equipped with a TheraMon microsensor. sensor dimensions -13 × 9 × 4 mm (w × h × d) firmly fixed to the vestibular posterior tooth region without interfering with the static or dynamic occlusion 22-11-2020 8
  • 9.
     Before theocclusal appliances were handed out, all subjects were told to use the splints as much as possible and were fully informed about their use.  The period of intraoral application was measured once the sensor was exposed to body temperature, whereby the total duration was read out in three intervals of 30 days each (initial = t1; intermediary = t2; terminal = t3).  At the end of the observation period, the data were retrieved from all the sensors and statistically evaluated to assess the influence of different factors (gender, pain intensity, observation interval) on the variability of the results.  In order to quantify the range of variation for the mandibular and maxillary stabilization splints and to compare both treatment options regarding their equality, a Bland-Altman analysis was performed Initial t1 Intermediary t2 Terminal t3 22-11-2020 9
  • 10.
    RESULTS mean palpationscore ranging between 0.2 and 1.5. • <0.5 Group 1 • 0.5- 0.99 Group 2 • 1 or higher Group 3 Mean intra oral application Maxillary splints 40.5 days (44.4%) 5.96 h (± 1.84) per day Mandibular splints 39.8 days (44.2%) 6.66 h (± 2.68) per day Total wear time Maxillary splints 3.19 h (± 4.09) Mandibular splints 3.13 h (± 4.03)22-11-2020 10
  • 11.
     The highestoverall values of intraoral application of 3.71 h (± 4.20) were recorded at interval t1.  At intervals t2 and t3, the mean values of both the maxillary and mandibular splints decreased to 3.35 h (± 4.17) and 2.42 h (± 3.69), respectively.  Higher mean values were observed in female participants and in participants with an increased pain score.  Statistical analysis revealed that there was no significant difference in the intraoral application of the maxillary and mandibular splints  female participants wore their splints significantly more often, and participants with an increased pain score showed a significantly higher wear time 22-11-2020 11
  • 12.
     The total applicationtime decreased over the period of observation, whereas only intervals t1 and t3 differed significantly across both the mandibular and maxillary splint groups 22-11-2020 12
  • 13.
    Discussion  In orderto evaluate patient compliance, it is important to assess objective and reliable data of actual intraoral applications.  In this study an integrated microsensor was used to record the wear pattern at three intervals of 30 days each, which showed a compliance of 44.4% for the maxillary and 44.2% for the mandibular splints.  Subjects with greater pain scores showed significantly higher compliance, whereas the total time of intraoral splint wear significantly decreased from t1 to t3 in all pain groups  This positive correlation might be caused by pain reduction due to treatment success, which is commonly achieved within 2 to 3 months 22-11-2020 13
  • 14.
    CONCLUSIONS  The presentstudy demonstrated that the objective, intraoral, sensor- based monitoring of splint therapy was an effective and reliable method of monitoring patient compliance during treatment.  Allows for the comparison of subjective symptoms with objective findings.  Additional diagnostic tool in TMD therapy  Reliable recording of intraoral splint application prior to required bite elevations.  The decision between maxillary and mandibular splints did not affect patient compliance in the present investigation. 22-11-2020 14
  • 15.
    Side Effects ofStabilization Occlusal Splints: A Report of Three Cases and Literature Review Fernando Magdaleno and Eduardo Ginestal There is a noticeable lack of reference to the possible undesirable side effects of stabilization splints, in contrast to other types of oral appliances, such as anterior repositioning splints, nociceptive trigeminal inhibition tension suppression systems (NTI-tss) or splints for sleep apnea Complications derived from the use of stabilization splints are associated with their full-time use, whereas the risk of undesired effects is considered to be small when they are used part time 22-11-2020 15
  • 16.
    AIM AND OBJECTIVES to review the available information on the possible adverse effects of stabilization splints in their different clinical applications, as well as to present three cases in which the use of a stabilization splint was associated with irreversible occlusal changes. 22-11-2020 16
  • 17.
    CASES  Three clinicalcases were selected for this study, which involved occlusal alterations following the use of a part time stabilization splint  a retrospective search among the clinic’s patients over the last five years, using a simple selection criterion; the presence of irreversible occlusal modifications subsequent to the use of a part time stabilization splint.  splints are made with hard acrylic resin and cover all of the teeth. 22-11-2020 17
  • 18.
    CASE 1 No dental migration Theremoval of the third molars increased the number of dental contacts, but did not manage to achieve the anterior tooth relation of the manually articulated models Upon removing the splint, the patient exhibited unstable occlusion with dental contacts exclusively at the level of the wisdom teeth 22-11-2020 18
  • 19.
    Case 2  A23 year-old female  dull and diffuse facial pain over the past three months  predominantly during the morning and on the left side, with moderate intensity and without other accompanying symptoms.  stable occlusion in Angle class I, with bilateral anterior guidance.  tenderness of the chewing musculature without trigger points.  no signs of internal derangement  Mandibular opening capacity was 51 mm, without deviations.  She reported that she tended to clench her teeth The suspected diagnosis was local myalgia, with parafunction as the most probable etiological factor. 22-11-2020 19
  • 20.
     She wasfitted for night use with an upper stabilization splint in the intercuspal position and was asked to return for her first check-up a week later.  This patient returned for the first time nine months later.  She reported that pain had eased at the beginning of the treatment, but that during recent months, it had reappeared, although with less intensity.  Anterior open bite was observed with characteristics similar to those of Case 1.  she reported that she used the splint during the night and during some day hours, particularly during exam periods.  The splint showed signs of contact only between posterior teeth.  After readjusting the splint, the patient experienced no more facial pain.  Currently, the patient is undergoing orthodontic treatment. 22-11-2020 20
  • 21.
    Case 3  26year old female  orthodontics and bimaxillary orthognathic surgery two years ago.  Intense pain at the level of the left temporomandibular joint (TMJ), on the left side of the face and in the lateral region of the neck on the same side, which had worsened over the last nine months and had not responded to conventional analgesics.  Pain was constant, with moments of heightened intensity, and it became more acute with mandibular movement and occlusion.  There was evidence of central sensitization, with hyperalgesia and allodynia.  Muscular palpation revealed trigger points at the chewing and neck muscles.  mandibular opening capacity - 27 mm, with deviation to the left and any movement involving mandibular mobilization was very painful. 22-11-2020 21
  • 22.
    unstable occlusion and the absence of anterior guidancein lateral movements. bilateral condylar Hypoplasia in OPG MRI verified disk displacement without reduction, with moderate osteoarthritic changes and edema in left TMJ stabilization splint was fitted for part-time use, not necessarily limited to nocturnal use Five months later occasional pain reduced But anterior open bite, which had occurred gradually22-11-2020 22
  • 23.
     Her mandibularopening capacity was 38 mm, with a slight left deviation.  clinical and radiographic controls carried out three, six, and nine months later - no observed significant modifications in the intermaxillary relation or in condylar morphology  patient periodically attends a physiotherapist and uses the splint during the night and sometimes for a few hours during the day (she does not want to be without the splint).  She occasionally uses nonsteroidal anti-inflammatory drugs.  She decided not to have additional surgery to improve her occlusal situation. 22-11-2020 23
  • 24.
    DISCUSSION  Three commonconditions, which are distinct but nevertheless have the same outcome: anterior open bite Case 1 • use of the splint as a diagnostic method in orthodontics, applied with a view to establishing a centric relation. Case 2 • represents a simple case of TMD in a patient with oral parafunction, in which the splint is the first choice of treatment, and often the only available treatment Case 3 • complex case of chronic orofacial pain in which the splint only played a coadjuvant role, since the case required multidisciplinary treatment. The three case reports presented here are representative of the typical clinical situations in which stabilization splints are recommended. 22-11-2020 24
  • 25.
     Due tothe very nature of the methodology employed in this work, the incidence of this type of alteration cannot estimated, since one of the three cases was referred to our clinic due to the presence of occlusal alterations (Case 1) and another (Case 3) was a patient who presented important orthopedic instability after surgical-orthodontic treatment.  difficult to foresee these modifications, since they vary as a function of the type of pathology and of the coadjuvant factors associated with each case  modifications in general do not cause much discomfort, and on many occasions are not even perceived by patients.  For this reason, it is only rarely necessary to have to consider applying irreversible treatments after the orthopedic phase. 22-11-2020 25
  • 26.
     In orderto avoid possible side effects of stabilization splints, it is recommended that the splints cover the entire occlusal surface, that they are not used around the clock (24 hours a day), and that there is routine follow- up by the dentist.  The cases presented here illustrate the potential capacity of these splints to lead to anterior open bite  possibility of molar intrusion, with accompanying posterior open bite, in full time users of stabilization splints. 22-11-2020 26
  • 27.
     Partially coveringsplints have also been reported to be able to provoke occlusal modifications, including anterior open bite.  patients in the current study wore splints which covered all the occlusal surface and these were worn only part time.  Case 1 demonstrates that occlusal alterations need not necessarily be due to tooth movement, since the mounted casts occluded correctly.  These alterations are more likely due to positional changes in the mandible, as a possible consequence of either changes in masticatory muscle activity, the different distribution of occlusal load, or modifications in the vertical dimension. 22-11-2020 27
  • 28.
     The factthat none of the three cases could voluntarily attain occlusion similar to that achieved prior to the splint, suggests that adaptive changes and articular remodeling had taken place.  The alterations in Cases 1 and 2 could be attributed to the lack of regular revision and adjustment of the splint by the dentist.  However, in Case 3, a progressive anterior open bite also developed despite correct periodic followup with regular adjustments.  It is currently not possible to establish which risk factors are associated with the development of severe occlusal alterations in response to wearing stabilization splints 22-11-2020 28
  • 29.
     Some authorsrecommend informing the patient of the possibility of irreversible occlusal changes when there is a discrepancy (<3 mm) between the retrusive centric relation and maximal intercuspal position.  It has also been suggested that prior to the placement of any intraoral orthopedic appliance, a detailed study of centric relation casts should be performed.  However, this is not always possible due to muscular contraction or to pain upon manipulation, as occurred in Case 3.  Dependence on the splint by patients in whom symptoms recur or by bruxers can also represent a problem.  psychological dependence and long-term use can represent important risk factor 22-11-2020 29
  • 30.
    OTHER POSSIBLE COLLATERALEFFECTS  Stabilization splints are often recommended for the treatment of anteromedial disk displacement with reduction (ADD), although some authors recommend in these cases the placing of anterior repositioning splints, which also have potential adverse effects.  Among the general population, or among patients treated with a splint,anteromedial disk displacement rarely evolves towards locking. 22-11-2020 30
  • 31.
     In aretrospective study, Kurita found a patients with ADD who developed clinical closed locking following use of a full-time stabilization splint; This evolution could be due to the redistribution of the intra-articular contact surfaces in response to modification of the condyle-fossa relations, which is produced following insertion of an occlusal  it would be advisable to exercise caution in recommending stabilization splints for patients with antecedents of intermittent locking.  The possibility of part-time use of an anterior repositioning splint should be considered in these cases. 22-11-2020 31
  • 32.
     use ofstabilization splints also has implications for posture  the proprioceptive information provided by dental occlusion and mandibular position has repercussions on craniocervical musculature and on corporal position, due to the connections which the trigeminal nerve established with other brainstem structures, in particular with the vestibular system and the labyrinth.  As a consequence, it is reasonable to suppose that modifications in the occlusal load and in the vertical dimension which accompany an intraoral device can modify the information provided by periodontal mechanoreceptors.  In this regard, it has been reported that the placing of an intermaxillary splint can alter cervical postural tone at rest and during swallowing, which in turn is influenced by body position and the craniocervical relation. 22-11-2020 32
  • 33.
     Although theseconnections remain controversial, since they have been verified principally on the basis of surface electromyography, functional evidence indicates that the wearing of a stabilization splint can modify peripheral information at the level of the Central Nervous System.  Nevertheless, prudence is advised when establishing clinical expectations regarding therapeutic effects which are distal to the masticatory system.  Urbanowicz pointed out the risk of cervical compression after placing an intraoral orthotic patients who had lost the capacity to adapt to cervico-facial functional changes.  majority of dentists are not specialists in vertebral pathology or in posture, which means that these implications, either positive or negative, will often go unnoticed. 22-11-2020 33
  • 34.
    SUMMARY  stabilization splintsrepresent a safe therapeutic alternative, providing there is a regular follow-up on behalf of the dentist, especially during the first months of use.  The most serious known Risk - irreversible occlusal changes, which can also develop with part-time splint usage.  It is difficult to foresee when these complications might arise, thus justifying their more indepth study in the future.  Other priority areas of research include large sample population studies to clarify the potential risk of negatively modifying the disk-condyle relation, the airway permeability/patency in patients with obstructive sleep apnea, and the implications of stabilization splints for the maintenance of global postural tone 22-11-2020 34
  • 35.
    Clinical comparison betweentwo different splint designs for temporomandibular disorder therapy ASBJORN JOKSTAD, ARILD MO & BERIT SCHIE KROGSTAD  To compare splint therapy in temporomandibular disorder (TMD) patients using two splint designs.  In a double-blind randomized parallel trial, 40 consenting patients were selected from the dental faculty pool of TMD patients.  Two splint designs were produced: an ordinary stabilization (Michigan type) and a NTI (Nociceptiv trigeminal inhibition).  The differences in splint design were not described to the patients 22-11-2020 35
  • 36.
     A separate,blinded, examiner assessed joint and muscle tenderness by palpation and jaw opening prior to splint therapy, and after 2 and 6 weeks’ and 3 months’ splint use during night-time.  The patients reported headache and TMD-related pain on a visual analog scale before and after splint use, and were asked to describe the comfort of the splint and invited to comment. 22-11-2020 36
  • 37.
     Thirty-eight patientswith mainly myogenic problems were observed over 3 months.  A reduction of muscle tenderness upon palpation and self-reported TMD- related pain and headache and an improved jaw opening was seen in both splint groups  There were no changes for TM joint tenderness upon palpation.  No differences were noted between the two splint designs after 3 months for the chosen criteria of treatment efficacy  No differences in treatment efficacy were noted between the Michigan and the NTI splint types when compared over 3 months. 22-11-2020 37
  • 38.
    Immediate effect ofa stabilization splint on masticatory muscle activity in temporomandibular disorder patients V. F. Ferrario, c. Sforza, g. M. Tartaglia & c. Dellavia  Surface electromyography (EMG) allows the quantification of the occlusal equilibrium in dysfunctional patients, for instance in those with temporomandibular disorders (TMD).  In the current investigation, the EMG activity of left and right masseter and temporalis anterior muscles during clenching has been studied in a group of TMD patients just before and immediately after the insertion of a stabilization splint. 22-11-2020 38
  • 39.
     Fourteen patients(ten women, four men) with internal derangement type I were selected among the TMD patients referred to a private practice in Milan.  A stabilization splint with posterior contacts was made for each patient.  To verify the static neuromuscular equilibrium of occlusion, EMG activity of left and right temporal and masseter muscles was recorded in all patients and the activity (ratio between the activities of the temporal and masseter muscles) index was computed over a maximum voluntary clench test of 3 s.  Muscular waveforms were also analysed by computing a percentage overlapping coefficient (POC, an index of the symmetric distribution of the muscular activity determined by the occlusion).  The total electrical activity was measured by calculating the area under the entire muscular waveforms 22-11-2020 39
  • 40.
  • 41.
     In allpatients EMG was performed just before and immediately after the insertion of the splint and data were compared by paired Student’s t-tests.  Overall, the splint reduced the electrical activity of the analysed muscles (P < 0Æ005) and made it more equilibrated both between the left and right side (larger symmetry in the masseter muscle POC, P < 0Æ05) and between the temporal and masseter muscles (activity index, P < 0Æ01). 22-11-2020 41
  • 42.
    Immediate electromyographic responsein masseter and temporal muscles to bite plates and stabilization splints LARS DAHLSTROM AND TORGNY HARALDSON  The purpose of this study was to compare, by means of EMG, any immediate influence on the temporal and masseter muscles of bite plates and stabilization splints in situ in control subjects and in subjects with signs of CMD. 22-11-2020 42
  • 43.
    Materials and methods The subjects were patients with GMD, 2 men and 8 women aged 21- 33 yr (mean 29 yr), (mean 25 yr).  The patients with signs and symptoms judged to be mainly of myogenous origin and with a fairly complete natural dentition with occluding molars.  The controls were dental students with a complete natural dentition, and with no signs or symptoms of pain and dysfunction in the masticatory system. Each subject was provided with a bite plate (modified Hawley plate, relaxationplate), and a stabilization splint (full coverage splint), constructed of heat-cured acrylic resin, in the maxilla. 22-11-2020 43
  • 44.
     The twotypes of appliances had the same vertical dimension (average bite- rise in the front 3.4 mm) and were individually adjusted to bilateral, even occlusion from canine to canine (plate) and all mandibular teeth (splint) in muscular and retruded positions and with uniform anterior and canine guidance.  The subjects did not use the appliances before the registration. 22-11-2020 44
  • 45.
     Electromyographic surfacerecordings were performed from the masseter and temporal muscles bilaterai!y with and without the appliances in situ 22-11-2020 45
  • 46.
     In therest position, no significant change in average activity was registered in any muscle with either appliance.  Activity during maximal biting on stabilization splints was not different from that without the appliance while bite plates caused a decrease in activity in both muscles in both groups.  The reduced maximal activity was probably due to the smaller number and exclusively anterior positioned occlusal contacts on the bite plate. 22-11-2020 46
  • 47.
    INFLUENCE OF STABILIZATIONOCCLUSAL SPLINTS ON STERNOCLEIDOMASTOID AND MASSETER ELECTROMYOGRAPHIC ACTIVITY Rodolfo Miralles, Claudia Mendoza, Hugo Santander, D.D.S., Claudia Zuniga, Hugo Moya  The present work was conducted in order to determine the effect of stabilization occlusal splints on electromyographic (EMG) activity of sternocleidomastoid and masseter muscles, in subjects with tenderness to palpation in these muscles. 22-11-2020 47
  • 48.
     They hadnatural dentition and bilateral molar support and, at clinical examination, presented tenderness to palpation in the sternocleidomastoid and masseter muscles.  For each subject a full-arch maxillary stabilization occlusal splint was made of transparent thermopolymerizing acrylic resin, with flat occlusal surfaces and uniform, simultaneous, and multiple occlusal contacts at centric relation-centric occlusion.  The increase in the vertical dimension of occlusion produced by the splints ranged from 2.5 to 6 mm measured in the central incisor region 22-11-2020 48
  • 49.
     A largesurface ground electrode (approximately 9 cm2) was attached to the forehead.  EMG activity was filtered (10000 Hz), amplified 1000 times, and then amplified again 10 to 50 times, integrated (time constant, 1800 msec ), and finally registered on a polygraph EMG recordings were performed by placing bipolar surface electrodes* on the sternocleidomastoid and masseter muscles The electrodes were fixed on the sternocleidomastoid in the anterior border of the muscle (middle portion) 1 cm above and below the motor point In the masseter muscle the electrodes were fixed 1 cm above and below the motor point on a line running parallel to the border of the ear (tragus) across the motor point 22-11-2020 49
  • 50.
     Sitting uprightin a dental chair with the head supported and the Frankfort plane parallel to the floor, inside a Faraday cage, each subject was submitted to six recordings of integrated electromyographic (IEMG) activity, with and without the stabilization occlusal splint, in the postural mandibular position and during swallowing of saliva and maximal voluntary clenching 22-11-2020 50
  • 51.
     Tonic activityin the postural mandibular position with the splint inserted was recorded after the subjects were asked to keep their lower teeth slightly separated from the occlusal surface of the splint.  Each curve of tonic activity lasted at least 20 seconds and was divided into 5-second periods.  Values on the ordinate were obtained by manual measuring, and mean amplitude was calculated for each curve.  During the swallowing of saliva, the peak of IEMG activity was measured, allowing a resting period of 30 seconds between each swallowing.  During maximal voluntary clenching, the peak of IEMG activity was also measured.  A resting period of 30 seconds between clenching was allowed to avoid muscular fatigue.  Subsequently, for each subject a mean value based on the six curves in each condition with and without occlusal splint was used.  Comparison of IEMG activity with and without an occlusal splint in each condition was performed by means of a t-test for dependent sample 22-11-2020 51
  • 52.
  • 53.
  • 54.
  • 55.
     diminution ofthe IEMG activity found in the present study during saliva swallowing with the occlusal splint inserted agrees with clinical reports that found the use of an occlusal splint, as a conservative and reversible treatment, decreases the masseter and sternocleidomastoid muscle symptomatology  This fact is particularly important because swallowing is a functional activity repeated between 600 to 2400 times each day, and it supports the recommendation for diurnal wear of the occlusal splint (especially in acute patients), since it has been demonstrated that the frequency of salivaswallowing during sleep is very low. 22-11-2020 55
  • 56.
     Furthermore, presentIEMG results suggest studying the correlation between the change in IEMG during swallowing with changes in the position and/or rotation of the head caused by the insertion of the stabilization occlusal splint.  The latter could be of great clinical implication since some authors have observed a prevalence of head anteposition in patients with craniomandibular and craniocervical dysfunction. 22-11-2020 56
  • 57.
    References  Dahlstrom L,Haraldsori T: Immediate electromyographic response in masseter and temporal muscles to bite plates and stabilization splints. Scand J Dent Res, 1989; 97: 533- 8.  Schiffman EL, Ohrbach R, Truelove EL, Tai F, Anderson GC, Pan W, Gonzalez YM, John MT, Sommers E, List T, Velly AM, Kang W, Look JO. The Research Diagnostic Criteria for Temporomandibular Disorders. V: methods used to establish and validate revised Axis I diagnostic algorithms. J Orofac Pain. 2010 Winter;24(1):63-78. PMID: 20213032; PMCID: PMC3115779.  Krohn S, Hampe T, Brack F, Wassmann T, Bürgers R. Intraoral sensor-based monitoring of stabilization splint therapy in patients with myofascial pain. International Journal of Computerized Dentistry. 2020 Jan 1;23(1):11-6.  Magdaleno F, Ginestal E. Side effects of stabilization occlusal splints: a report of three cases and literature review. CRANIO®. 2010 Apr 1;28(2):128-35.  Miralles R, Mendoza C, Santander H, Zuniga C, Moya H. Influence of stabilization occlusal splints on sternocleidomastoid and masseter electromyographic activity. CRANIO®. 1992 Oct 1;10(4):297-304.  Ferrario VF, Sforza C, Tartaglia GM, Dellavia C. Immediate effect of a stabilization splint on masticatory muscle activity in temporomandibular disorder patients. Journal of Oral rehabilitation. 2002 Sep;29(9):810-5. 22-11-2020 57

Editor's Notes

  • #5 Due to fewer spatial restrictions of tongue movement and clearer pronunciation, some authors prefer mandibular splints; however, this probably does not affect the therapeutic outcome. Instead, patient compliance, defined by wear frequency and duration, seems to be the critical factor in pain reduction. Due to the lack of objec- tive and cost-effective measuring instruments, recent literature reports a very heterogenic compliance: between 43% and 89% in patients with TMD. biomechanical and physiological mechanisms of pain reduction by splint therapy have not yet been fully clarified. Alternative evidence-based treatment options!
  • #6 Occlusal splints are the most common treatment option for painful TMD.19,20 The effectiveness of stabilization splints is considered to have been proven,8 especially in patients with acute myofascial pain.21,22 The literature explains the reduc- tion of myofascial pain through the use of occlusal splints with central4,23,24 and local25,26 effects. Despite these known mechanisms, stabilization splint treatment is still the subject of controversial debate.27 According to recent systematic reviews, this controversy is a result of small sample sizes, short follow-up durations, poor patient randomization and blinding, and insufficient compliance monitoring in clinical trials that have investigated splint therapy.6,28-30 Even though it is suggested that nightly wear is sufficient,31 studies have shown a greater pain reduction with increased compliance, which was defined by wear frequency and time.16,32,33 The literature proposes compliance improvements by using man- dibular splints.12,13,34,35 However, it is more likely that indivi- dual patient parameters such as pain intensity and patient personality affect compliance.18,34,35 Reported compliance varies between 43% and 89% due to self-assessed subjective evaluation using questionnaire
  • #7 After the approval of the Ethics Review Committee of the Uni- versity of Göttingen (application no. 14/8/14), (Research Diagnostic Criteria for Temporomandibular Disorders [RDC/TMD] Ia) were recruited at the Department of Prosthodontics. In the present study, the pain intensity of all findings on palpation was determined as a pain score.
  • #8 that covered all the teeth of the respective dental arch and served as a splint base.
  • #10 using multifactorial analysis of variance (ANOVA) . All statistical analyzes were calculated using XLSTAT (Addinsoft, Paris, France). P values were evaluat- ed with the significance level set to 0.05
  • #11 In the present pilot study, the clinical application of sensor-based splint monitoring was evaluated. After 90 days of intraoral application, the data obtained from 30 participants were analyzed. Two participants missed their follow-up appointments and were therefore excluded from the investigation (drop out).
  • #14 This is consistent with the results of Wig et al,which showed a positive correlation between pain intensity and patient compliance. Consequently, the two treatment options were equal as far as patient compliance was concerned. Therefore, practitioners should consider different parameters when deciding between a mandibular and a maxillary splint. It might have been of interest to compare the initial muscular findings with the intermediary and terminal clinical examination to corre- late the wear time and the subjective and objective pain scores The present authors chose to restrict the investigated group to myofascial pain in order to avoid confounding effects from therapy-resistant articular alterations. Never the- less, this pilot study shows that integrated sensors allow for the reliable, objective collection of splint wear time and fre- quency.
  • #15 It is recommended that future studies focus on factors influencing treatment success in functionally impaired patients in order to provide further evidence regarding the etiology of and therapy for TMDassumed discrepancies in patient compliance should not guide the practitioner when deciding between mandibular or maxillary stabilization splints.
  • #18 In accordance with the Clinic’s protocol, the only one case was found among the 482 revised cases, which we refer to as Case 2. As a result of this search, Case 1 came to the TMD and Orofacial Pain Service of the Dental Clinic of the University of the Basque Country in 2008, after noting a substantial change in occlusion. Case 3 was referred to us in that same year, presenting with orofacial pain following surgical and orthodontic treatment. In the light of these two patients with occlusal alterations after splint use, it was decided to carry out
  • #19 A 19 year-old male, who came on his own initiative to the clinic, complaining of occlusal changes, without any other signs or symptoms of TMD, or of alterations of other articulations. He had been wearing a stabilization splint at night for six months, in accordance with the recommendation of his orthodontistPanoramic radiography revealed no sign of condyle alteration. The patient was informed that the only way to stabilize his occlusion was via orthodontic treatment, and he was referred to his orthodontist.
  • #20 No unexpected data were revealed by the orthopantomography
  • #23 infiltrating the left temporomandibular joint with betamethasone acetate (two ml; Celestone Cronodose, Bayer Schering, Germany), mixed with lidocaine. The patient was instructed to take amitriptyline hydrochlorideDuring the treatment, we increased the dose of amitriptyline to 50 mg/night, in combination with pregabalin (Lyrica, Pfizer, USA) in increasing doses up to 300 mg/day and tramadol-acetaminophen (Zaldiar, Grunenthal, Germany) 225-1950 mg/day. Physical therapy treatment was recommended and the trigger points were infiltrated with lidocaine. Since the TMJ pain continued, it was decided to carry out an arthrocentesis of her left TMJ, with lysis and lavage.
  • #26 In any event, it seems that the risk of this typeOcclusal changes in response to the use of stabilization splints have already been reported,17,22-25 but few works specify the type of alterations produced
  • #30 displacement.40,42 These circumstances impede the elaboration of informed consent and should be examined further in future research In addition, quite a number of studies have provided evidence that centric relation is not the preferred therapeutic position in patients with disk in the cases presented here, the occlusal changes occurred during the first months of use of the splint
  • #32 splint.4 Until further research provides more evidence in this regard,
  • #36 . All patients were treated by one operator.
  • #44 were selected from among referrals to the Department of Stomatognathic Physiology, Gothenburg University,
  • #49 This study was performed on 14 subjects, nine women and five men, in the age range of 21 to 55 years with a mean of 26.6 years.