Inflammatory Arthritis
MODERATED BY: PREPARED BY:
DR. P. TAHBILDAR DR.S.H.RANNA
PROF&HOD,ORTHO PGT,ORTHO
15-06-2016
Objectives
• Review the history and physical
examination findings of inflammatory
arthritis.
• Define and categorize inflammatory
arthritis.
• Initial laboratory and radiological
evaluation of suspected disease.
• Management of the disease.
The Rheumatologic History
• presenting complaints - Onset
- progression
- distribution of disease
- stiffness
- aggravating or relieving factor
- diurnal variation
- other systemic feature
- functional disability
• General systematic medical history.
• Past medical and surgical history.
• Family history.
• Drug history.
Inflammatory Vs.Mechanical
Feature Inflammatory Mechanical
Morning stiffness >1 h < 30 min
Fatigue Profound Minimal
Activity Improves Worsens
Rest Worsens Improves
Systemic Yes No
Corticosteroid Yes No
Inflammatory Vs. Noninflammatory
Feature Inflammatory Noninflammatory
Pain (when?)
Swelling
Erythema
Warmth
AM stiffness
Systemic features
î ESR, CRP
Synovial fluid
WBC
Examples
Yes (AM)
Soft tissue
Sometimes
Sometimes
Prominent
Sometimes
Frequent
WBC >2000
Septic, RA, SLE,
Gout
Yes (PM)
Bony
Absent
Absent
Minor (< 30 ‘)
Absent
Uncommon
WBC < 2000
OA, AVN
Chronology of complaints
A) onset:
ACUTE<6WK CHRONIC>6WK
Infectious arthritis
Crystal arthropathy
Reactive arthritis
Non inflammatory
arthritis(OA).
Inflammatory arthritis(RA)
Fibromyalgia
Causes of acute polyarthritis
• Infection Inflammation
• Gonococcal
• Meningococcal
• Lyme disease
• Rheumatic fever
• Bacterial endocarditis
• Viral (rubella, parvovirus,
Hep. B
• RA
• JRA
• SLE
• Reactive arthritis
• Psoriatic arthritis
• Polyarticular gout
• Sarcoid arthritis
B) Extent of articular involvement
Mono/Oligo2-5 jts Poly arthritis>5 jts
•Septic arthritis.
•Trauma.
•Crystal induced arthritis.
•Reactive arthritis.
•Juvenile rheumatoid arthritis.
•Psoriatic arthritis.
•Ischemic bone disease(AVN).
•Neoplasm-Villonodular
Synovitis.
•Monoarticular presentation of
ch. Arthritis.
•Charcot joint.
•Rheumatoid arthritis.
•Viral arthritis.
•Osteoarthritis .
•Psoriatic arthritis.
•Ankylosing spondylitis.
•Enteropathic arthritis.
•SLE
•Chronic gout.
•Chronic sarcoidosis.
•Polymyelgia rheumatica.
•Haemochromatosis.
C). Distribution of joint involvement
• Symmetrical:
Rheumatoid
arthritis
small and large joints, upper and lower limbs.
Viral arthritis small and large joints; may be associated with rash and
prodromal illness; self-limiting.
Osteoarthritis targets , DIP and firstCMC joints in hands, knees, hips, back
and neck; associated with Heberden’s and Bouchard’s nodes.
SLE typically affecting small joints, clinical evidence of synovitis
Unusual, systemic findings.
JIA small and large joints, upper and lower limbs.
Polymyalgia
rheumatica
small and large joints, upper and lower limbs.
Chronic
sarcoidosis
small and large joints, upper and lower limbs.
s
y
m
m
e
t
r
i
c
a
l
Asymmetrical joint involvement
Psoriatic arthritis targets PIP and DIP joints of hands and feet
(sausage appearance on examination), nail
pitting, large joints also affected.
Gout MTP great toe, in ch. Affects distal more than proximal
joints, history of acute attacks.
Ankylosing
spondylitis and
enteropathic arthritis
Tends to affect large joints, lower more than upper
limbs, possible history of inflammatory back pain.
Involvement of axial skeletal
AS, OA,RA(cervical spine only).
Rheumatic disease signs
• Swelling
• Pattern of joint
• Deformity
• Warmth
• Redness
• Tenderness
• Limitation of
joint
movement
• Crepitus
• Stability
• Function
History and physical examination
Is it articular
Trauma/fracture
Soft tissue rheumatism
no
> 6 weeks
yes
Chronic
yes
Acute
Infectious arthritis
Crystal induced
Reactive arthritis
No
Signs of inflammation
Chronic
noninflamatory
arthritis
DIP, CMC1,Hip
,Knee joint
osteoarthritis
yes
Osteonecrosis
Charcots joint
no
yes
Chronic
inflammatory
arthritis
Joints involved
1-3
Psoriatic
Pauci JA symmetrical
>3
Psoriatic
Reactive
no
yes
PCP,MCP/MT
P
yes
Rheumatoid
no
SLE/Scleroderma
no
Rheumatoid Arthritis
• Commonest inflammatory joint disease seen in
clinical practice affecting approx 1%-3% of
population.
• Chronic multisystem disease of unknown cause.
• Characterized by persistent inflammatory synovitis
leading to cartilage damage, bone erosions, joint
deformity and disability.
Onset
• Although Rheumatoid arthritis may present at any
age, patients most commonly are first affected in the
third to sixth decades.
• Female: male 3:1
• Initial pattern of joint involvement could be:-
1) Polyarticular : most common
2) Oligo articular
3) Monoarticular
• Morning joint stiffness > 1 hour and easing with
physical activity is characteristic.
• Small joints of hand and feet are typically involved.
Pathogenesis of RA
• Strong associations between HLA-DR4(shared
epitope) and RA.
• HLA class II(APCs) surface antigens of immune
cells(B- lymphocytes, macrophages, dendritic cells).
• APC/T-cell interaction leads local inflammatory
response.
• Secretion of IL1,IL6,TNF, cytokines,PG leads to
synovitis.
• activation of osteoclast and chondrocytes-
>formation of inflammatory granulation tissue
named pannus->destruction of cartilage and bone-
>deformity of joint.
Pathology
Clinical manifestation
• Pre-clinical stage: muscle pain,tiredness,loss of
weight and generalized lack of well being.
• In early stage :
pictures of polysynovitis - pain, swelling, stiffness of
MCP,PIP joints then to wrist, feet, knee, shoulder.
Tenosynovitis –wrist extensors, finger flexors common
Morning stiffness >1hr.
 If Large joint involves: local warmth, synovial
hypertrophy,effusion,restrited movements.
In later stage
• Deformity become apparent.
• Acute pain of synovitis replaced by constant
ache pain of joint destruction.
• Joint instability and tendon rupture.
• Rheumatoid deformities.
• Restricted movements of joints.
• 1/3 rd patient pain and stiffness in cervical
spine.
Extra-articular features
• Constitutional symptoms ( most common)
• Rheumatoid nodules(30%)
• Hematological-
– normocytic normochromic anemia
– leucocytosis /leucopenia
– thrombocytosis
• Felty’s syndrome-
– Chronic nodular Rheumatoid Arthritis
– Spleenomegaly
– Neutropenia
Respiratory- pleural effusion, pneumonitis ,
pleuro-pulmonary nodules, ILD
CVS- pericarditis , pericardial effusion,
cardiomyopathy
Rheumatoid vasculitis-cutaneous ulceration,
digital gangrene, visceral infarction.
CNS- peripheral neuropathy, cord-
compression from atlantoaxial/midcervical
spine subluxation, entrapment
neuropathies
EYE- kerato cunjunctivitis sicca, episcleritis,
scleritis.
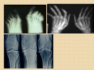
INVOLVEMENT OF JOINTS IN RA
• MCP 90-95%
• PIP 65-90%
• Wrist 80-90%
• MTP 50-90%
• Knee 60-80%
• Ankle 50-80%
• Shoulder 50-60%
• Hip 40-50%
• Cervical spine 40-50%
• Elbow 40-50%
• TM joint 20-30%
INVOLVEMENT OF JOINTS IN RA
• Don’t forget the
cervical spine
• Thoracolumbar,
sacroiliac, and DIP
joints of the hand are
NOT involved.
Deformities In RA
• Z deformity
• Swan neck deformity
• Boutonniere deformity
Laboratory investigations in RA
• CBC- TLC, DLC, Hb.
• Acute phase reactants.
• Rheumatoid Factor (RF).
• Anti- CCP antibodies.
Acute Phase Reactants
Positive acute phase reactants () Negative acute phase reactants ()
Mild elevations
– Ceruloplasmin
– Complement C3 & C4
Moderate elevations
– Haptoglobulin
– Fibrinogen (ESR)
– 1 – acid glycoprotein
– 1 – proteinase inhibitor
Marked elevations
– C-reactive protein (CRP)
– Serum amyloid A protein
– Albumin
– Transferrin
Rheumatoid Factor (RF)
• Antibodies that recognize Fc portion of IgG(70%).
• Can be IgM , IgG , IgA.
• clinical practice, IgM RF is usually measured(on
methodology).
• 85% of patients with RA over the first 2 years become
RF+.
• A negative RF may be repeated 4-6 monthly for the first
two year.
• PROGNISTIC VALUE-High titres of RF, tend to have
POOR PROGNOSIS, more extra articular manifestation.
Causes of positive test for RF
Rheumatoid arthritis(overall) 70%
Rheumatoid arthritis with nodules and extra-articular manifestations. 100%
Sjogrens syndrome 90%
Cryoglobulinemia 90%
Chronic liver disease 50%
Infective endocarditis 40%
SLE, Leprosy, Syphilis 30%
Tuberculosis 15%
Malignancy, Age>65 Yrs 20%
Normal Healthy People 5%
Anti Cyclic Citrullinated Peptide Antibodies
• peptidylarginine deiminase, an enzyme abundant in
inflamed synovium.
• IgG against synovial membrane peptides damaged via
inflammation.
• Anti-ccp Antibody have similar sensitivity to RF for RA
(70%) but much higher specificity (> 95%).
• Both diagnostic & prognostic value
• Predictive of Erosive Disease
– Disease severity
– Radiologic progression
– Poor functional outcomes
Test Sensitivity Specificity
Rheumatoid
factor
62% 85%
Anti-CCP 42% 98%
RF+Anti-CCP 33% 99.6%
SEROLGY IN RA:
Radiographic Features
• Peri-articular osteopenia
• Uniform symmetric joint space narrowing
• Marginal subchondral erosions
• Joint Subluxation
• Joint destruction
• Collapse
• Ultrasound detects early soft tissue lesions.
• MRI has greatest sensitivity to detect synovitis and
marrow changes.
Diagnostic Criteria's
ACR Criteria (1987)
1.Morning Stiffness ≥1 hour.
2.Arthritis of ≥ 3 joints observed by physician.
3.Arthritis of hand joints- PIP, MCP, wrist
4. Symmetric arthritis
5. Rheumatoid nodules
6. Positive Rheumatoid Factor
7. Radiographic Erosions or periarticular
osteopenia in hand or wrist joints
• Criteria 1-4 must be present for ≥6 wks
• Must have ≥4 criteria to meet diagnosis of RA
2010 ACR/EULAR Classification Criteria
• a score of ≥6/10 is needed for classification of a patient as having definite RA
• A. Joint involvement SCORE
• 1 large joint 0
• 2−10 large joints 1
1−3 small joints (with or without involvement of large joints) 2
• 4−10 small joints (with or without involvement of large joints) 3
• >10 joints (at least 1 small joint)†† 5
• B. Serology (at least 1 test result is needed for classification)
• Negative RF and negative ACPA 0
• Low-positive RF or low-positive ACPA 2
• High-positive RF or high-positive ACP 3
• C. Acute-phase reactants (at least 1 test result is needed for classification)
• Normal CRP and normal ESR 0
• Abnormal CRP or normal ESR 1
• D. Duration of symptoms
• <6 weeks 0
• ≥6 weeks 1
Management
Goals of Therapy
• Control disease activity
• Alleviate pain
• Maintain function for essential
daily activities
• Maximize quality of life
• Slow progression/rate of joint
damage
• Prevent deformity
Treatment modalities for RA
NSAIDS
Steroids
DMARDs
Immunosuppressiv
e therapy
Biological
therapies
Surgery
NSAIDS
for symptom control
1) Reduce pain and swelling by inhibiting COX
2) Do not alter course of the disease.
3) Chronic use should be minimized.
4) Most common side effect related to GI tract.
Corticosteroids in RA
• Indications for systemic steroids are:-
1. For treatment of rheumatoid flares.
2. For extra-articular RA like rheumatoid vasculitis
and interstitial lung disease.
3. As bridge therapy for 6-8 weeks before the
action of DMARDs begin.
4. Maintenance dose of 10mg or less of
Prednisolone daily in patients with active RA.
5. Sometimes in pregnancy when other DMARDs
cannot be used.
Disease Modifying Anti-rheumatic Agents
• Drugs that actually alter the disease course .
• Should be used as soon as diagnosis is
made.
• Appearance of benefit delayed for weeks to
months.
• NSAIDS must be continued with them until
true remission is achieved .
• Induction of true remission is unusual .
DMARDs
NAME DOSE SIDE EFFECTS MONITORING ONSET OF
ACTION
1) Hydroxycloro
quine
200mg twice
daily x 3 months,
then once daily
Skin
pigmentation ,
retinopathy
,nausea,
psychosis,
Myopathy
Fundoscopy&
perimetry yearly
2-4 months
2) Methotrexate 7.5-25 mg once a
week orally/c or
i/m
GI upset,
hepatotoxicity,
Bone marrow
suppression,
pulmonary
fibrosis,teratogen
ic.
Blood counts,LFT
6-8 weekly, Chest
x-ray annually,
urea/creatinine 3
monthly;
Liver biopsy
1-2 months
NAME DOSE SIDE EFFECTS MONITORING ONSET OF
ACTION
3)Sulphasalazine 2gm daily p.o Rash,
myelosuppression, may
reduce sperm count
Blood counts ,LFT
6-8 weekly
1-2
months
4)Leflunomide Loading 100 mg
daily x 3 days,
then 10-20 mg
daily p.o
Nausea,diarrhoea,alope
cia, hepatotoxicity
LFT 6-8 weekly 1-2
months
zine
When & what DMARDs
• Rheumatologists start DMARDs from Day
1.
• METHOTREXATE is the DMARD of choice,
most widely prescribed in the world.
• DMARD combination is specially effective
if they include Methotrexate as an anchor
drug.
Limitations of conventional DMARDs
1) The onset of action takes several months.
2) The remission induced in many cases is partial.
3) There may be substantial toxicity which
requires careful monitoring.
4) DMARDs have a tendency to lose effectiveness
with time-(slip out).
 These drawbacks have made researchers look
for alternative treatment strategies for RA- The
Biologic Response Modifiers.
BIOLOGICS IN RA
• Cytokines such as TNF-α ,IL-1,IL-10 etc. are key
mediators of immune function in RA and have
been major targets of therapeutic manipulations in
RA.
• Various biological approved in RA are:-
1) Anti TNF agents : Infliximab Etanercept Adalimumab
2) IL-1 receptor antagonist : Anakinra
3) IL-6 receptor antagonist : Tocilizumab
4) Anti CD20 antibody : Rituximab
5) T cell co stimulatory inhibitor : Abatacept
How to monitor Tt in RA?
• Disease activity is assesed by several parameters…
duration of morning stiffness, tender joint count,
swollen joint count, observer global assessment,
patient global assessment, visual analogue scale for
pain, health assessment questionnaire,ESR,NSAID
pill count,DAS score etc..
• Patient on MTX,SSZ or leflunamide show clinical
improvement in 6-8 wks.
• Patient should be observed for 6 months before
declaring a DMARD ineffective.
2012 ACR Update
Surgical Approaches
• Increases function
of the joint
• Decreases pain
and inflammation
• Beneficial as an
early treatment
option
• Not a cure!
Synovectomy
Total Joint Arthroplasty&Arthroscopy
Arthrodesis
Limited
joint motion
Pain
reduction
Seronegative
spondyloarthropathies
1. Ankylosing spondylitis (the
prototype)
2. Psoriatic arthritis
3. Reactive arthritis
(Formerly called Reiter’s syndrome)
4. Enteropathic arthritis
5. Undifferentiated
spondyloarthropathies
Mnemonic is PURE-A
Why grouped
1. HLA-B27 association
2. Enthesitis
3. Axial skeleton arthritis
1. Spondylitis (inflammation of vertebral bodies)
2. Sacroiliitis (inflammation of sacroiliac joint)
4. Peripheral arthritis
1. Asymmetric (cf rheumatoid arthritis)
5. Extraärticular manifestations
6. Seronegativity
– Rheumatoid factor and ANA negative
HLA-B27 association
• Ankylosing spondylitis: 95%.
• Reactive arthritis: 70%
• Enteropathic arthritis: 50%
• Psoriatic arthritis: 35%
Ankylosing Spondylitis
• AS is a chronic, progressive immune-mediated
inflammatory disorder that results in ankylosis
of the vertebral column and sacroiliac joints.
• Complete fusion results in a complete rigidity
of the spine, a condition known as bamboo
spine.
Cont…
• Over time, joints in
the spine can fuse
together and cause a
fixed, bent-forward
posture.
• HLA-B27 gene is
associated with AS.
• Age of onset typically
between 15 and 35
years.
• M:F= 3:1
Age at Onset Distribution of AS and
Rheumatoid Arthritis (RA)
Pathogenesis
• HLA-B27 genotype.
-90% of
patients
>Tumor necrosis
factor-alpha (TNF α)
>IL-1,IL6,
CONT..
• Continued inflammation
of the:
-ligaments,
-tendons,
-joint capsules (soft
tissues surrounding the
joint),
-and joints of the spine -
cause the spine to fuse
together (ankylose) as the
joints and disc spaces are
replaced by bone.
Clinical features
• Axial manifestations:
 Chronic low back pain, With or without buttock pain.
 Morning stiffness, relief with activity.
 Limited axial motion.
 Axial deformity.
• Extra skeletal manifestations:
Anorexia,malaise,weight loss,fatigue,low fever,
Difficulty in respiration.
Iridocyclitis
Vasculitis.
Peripheral manifestations
Enthesitis Peripheral arthritis Dactylitis
AS: Signs and Symptoms
50% patients with
enthesitis
Up to 58% patients
ever had arthritis
Much smaller number
of patients
Investigations:
• a blood test for the HLA-
B27 gene.
• X-ray
-which show
characteristic spinal
changes and Sacroiliitis.
• tomography and magnetic
resonance imaging of the
sacroiliac joints.
Diagnostic criteria
• THE ROME CRITERIA (1963)
• THE NEW YORK CRITERIA (1968)
THE ROME CRITERIA
according to this ,as is diagnosed if b/l Sacroiliitis
is seen along with one of the following.
a) LBA & stiffness of 3 months duration not
relieved by rest
b) pain and stiffness in the thoracic spine
c) limited lumbar spinal movement
d) limited chest expansion
e) history or evidence of iritis or its sequelae
THE NEW YORK CRITERIA
• Clinical components:
1. Low back pain and stiffness > 3 months,
not relieved by rest.
2. Limitation of motion of the lumbar spine
in 3 planes.
3. Limitation of chest expansion(<2.5cm)
• Radiological component:
– Sacroiliitis Grade >2 bilaterally or Grade 3-
4 unilaterally
Radiological Criteria Based On Sacroiliac Joint
Radiographs
(Definite AS= radiological criterion + one clinical criterion)
Gr 0 : Normal.
Gr 1: Possibly
Normal(minimal
Sclerosis).
Gr 2: Definite
Marginal Sclerosis.
Gr 3: Definite
Erosion And
Sclerosis.
Gr 4: Complete
Obliteration And
Ankylosis.
Treatment
• No cure is known for AS!
• treatments and medications are available to
reduce symptoms and pain.
• three major types of medications used.
NSAIDS.
DMARDS.
Immunosuppressive.
TNF blockers: infliximab,atenarcept etc.
Surgical Management:
• may include OSTEOTOMY for marked deformities
of the hip/spine.
• occasionally, hip or knee ARTHROPLASTY is used.
- if there is severe arthritis of those joints.
Nursing Responsibilities:
• Baseline ROM and chest expansion exercise.
• proper positioning at rest is essential.
• the mattress should be firm, and pillows must be
avoided.
•SWIMMING
•BADMINTON
•JOGGING
•YOGA
•DEEP BREATHING
EXERCISES
•PRONE LYING
•MODIFICATION OF
WORK
Reactive Arthritis/Reiter”s Syndrome
• Reactive arthritis or Reiter’s syndrome is a
acute,painful,asymmetrical form of inflammatory
arthritis that develops in reaction to an infection
by bacteria or virus.
• a triad of nongonococcal urethritis, conjunctivitis, and
arthritis.
• RF-seronegative, HLA-B27-linked arthritis.
• The arthritis may be “Additive or Migratory.”
Causes/pathogenesis
• Streptococcal throat infection.
• glandular fever.
• viral flu.
• food poisoning.
• sexually acquired
Signs and symptoms
• Dysuria,an increased frequency of urination.
• Prostatitis,cervicitis, salpingitis,vulvovaginitis
• penile lesions called balanitis circinata.
• inflammation of the eyes in the form of
conjunctivitis or uveitis
•Swelling, pain in large joint, knee etc
•Keratoderma blennorrhagica
•Palms/soles
•Oral ulcers (usually shallow and painless)
•Inflammatory back pain (50% of patients)
•Enthesitis (40%)
•Dactylitis (40%)
Treatment
• The main goal of treatment is to identify and
eradicate the underlying infectious source with
the appropriate antibiotics if still present.
• Otherwise, treatment is symptomatic for each
problem.
• Analgesics particularly NSAIDs, sulfasalazine,
steroids .
• immunosuppressants may be needed for
patients with severe reactive symptoms that do
not respond to any other treatment.
Psoriatic arthritis
• A chronic inflammatory arthritis in association with skin
psoriasis(7%-45%).
• Characterized by osteolysis and bony proliferation.
• Males and females are equally affected.
• Range from mild nondestructive disease to a severely rapid
and destructive arthropathy.
• HLA B27 associated & Seronegative.
• Characterized by synovitis, Enthesitis, dactylitis, spondylitis,
skin and nail psoriasis.
Moll And Wright Clinical Pattern
• Including 5 clinical patterns:
Asymmetric mono-/oligoarthritis (~30% [range 12-
70%])
Symmetric polyarthritis (~45% [range 15-65%])
Distal interphalyngeal (DIP) joint involvement (~5%)
Axial (spondylitis and Sacroiliitis) (HLA-B27) (~5%)
Arthritis Mutilans (<5%).
Moll And Wright Clinical Pattern
• Including 5 clinical patterns:
Asymmetric mono-/oligoarthritis (~30% [range 12-
70%])
Symmetric polyarthritis (~45% [range 15-65%])
Distal interphalyngeal (DIP) joint involvement (~5%)
Axial (spondylitis and Sacroiliitis) (HLA-B27) (~5%)
Arthritis Mutilans (<5%).
Nail/skin change- 90%
Opera glass hand
CASPAR Criteria For Diagnosis
• Inflammatory articular disease (joint, spine, or
entheseal)
• With 3 points from following categories:
 Psoriasis: current, history, family history.
 Nail dystrophy.
 Negative rheumatoid factor.
 Dactylitis: current, history.
 Radiographs:(hand/foot) evidence of
osteolysis, juxta-articular new bone
formation(pencil in cup).
• Specificity 98.7%, Sensitivity 91.4%
Treatment of PSA
Enteropathic Arthritis
• Affects 10-20% of patients with
inflammatory bowel disease (IBD)
• Peripheral arthritis affects 10-20% of IBD
patients
– Generally affects knees, ankles, and feet
– Always indicates active IBD
• Radiographic axial arthritis affects 10% of
IBD patients
– Frequently asymptomatic
– Independent of bowel inflammation
Treatment
• Nonsteroidal antiinflammatory agents
– Indamethacin
• Disease modifying anti-rheumatic drugs
(DMARDs)
– Methotrexate: inhibits recruitment of CD4 and
CD8 T cells
• Tumor necrosis factor antagonists
– Infliximab: a monoclonal antibody that binds to
TNF and inhibits binding of TNF to its receptor
– Etanercept: similar emchanism to infliximab
• For axial arthritis, exercises to maintain
posture and flexibility
Systemic erythematosus Lupus
• Immune complex deposition disease, involving
many organs.
• Arthritis: Nonserosive 2 or > joints
• Female:Male 10:1
• ANA and other criterion will make the diagnosis.
• AVN is the complication.
inflammatoryarthritis-170820154705 (1).pdf
inflammatoryarthritis-170820154705 (1).pdf

inflammatoryarthritis-170820154705 (1).pdf

  • 1.
    Inflammatory Arthritis MODERATED BY:PREPARED BY: DR. P. TAHBILDAR DR.S.H.RANNA PROF&HOD,ORTHO PGT,ORTHO 15-06-2016
  • 2.
    Objectives • Review thehistory and physical examination findings of inflammatory arthritis. • Define and categorize inflammatory arthritis. • Initial laboratory and radiological evaluation of suspected disease. • Management of the disease.
  • 3.
    The Rheumatologic History •presenting complaints - Onset - progression - distribution of disease - stiffness - aggravating or relieving factor - diurnal variation - other systemic feature - functional disability • General systematic medical history. • Past medical and surgical history. • Family history. • Drug history.
  • 4.
    Inflammatory Vs.Mechanical Feature InflammatoryMechanical Morning stiffness >1 h < 30 min Fatigue Profound Minimal Activity Improves Worsens Rest Worsens Improves Systemic Yes No Corticosteroid Yes No
  • 5.
    Inflammatory Vs. Noninflammatory FeatureInflammatory Noninflammatory Pain (when?) Swelling Erythema Warmth AM stiffness Systemic features î ESR, CRP Synovial fluid WBC Examples Yes (AM) Soft tissue Sometimes Sometimes Prominent Sometimes Frequent WBC >2000 Septic, RA, SLE, Gout Yes (PM) Bony Absent Absent Minor (< 30 ‘) Absent Uncommon WBC < 2000 OA, AVN
  • 6.
    Chronology of complaints A)onset: ACUTE<6WK CHRONIC>6WK Infectious arthritis Crystal arthropathy Reactive arthritis Non inflammatory arthritis(OA). Inflammatory arthritis(RA) Fibromyalgia Causes of acute polyarthritis • Infection Inflammation • Gonococcal • Meningococcal • Lyme disease • Rheumatic fever • Bacterial endocarditis • Viral (rubella, parvovirus, Hep. B • RA • JRA • SLE • Reactive arthritis • Psoriatic arthritis • Polyarticular gout • Sarcoid arthritis
  • 7.
    B) Extent ofarticular involvement Mono/Oligo2-5 jts Poly arthritis>5 jts •Septic arthritis. •Trauma. •Crystal induced arthritis. •Reactive arthritis. •Juvenile rheumatoid arthritis. •Psoriatic arthritis. •Ischemic bone disease(AVN). •Neoplasm-Villonodular Synovitis. •Monoarticular presentation of ch. Arthritis. •Charcot joint. •Rheumatoid arthritis. •Viral arthritis. •Osteoarthritis . •Psoriatic arthritis. •Ankylosing spondylitis. •Enteropathic arthritis. •SLE •Chronic gout. •Chronic sarcoidosis. •Polymyelgia rheumatica. •Haemochromatosis.
  • 8.
    C). Distribution ofjoint involvement • Symmetrical: Rheumatoid arthritis small and large joints, upper and lower limbs. Viral arthritis small and large joints; may be associated with rash and prodromal illness; self-limiting. Osteoarthritis targets , DIP and firstCMC joints in hands, knees, hips, back and neck; associated with Heberden’s and Bouchard’s nodes. SLE typically affecting small joints, clinical evidence of synovitis Unusual, systemic findings. JIA small and large joints, upper and lower limbs. Polymyalgia rheumatica small and large joints, upper and lower limbs. Chronic sarcoidosis small and large joints, upper and lower limbs. s y m m e t r i c a l
  • 9.
    Asymmetrical joint involvement Psoriaticarthritis targets PIP and DIP joints of hands and feet (sausage appearance on examination), nail pitting, large joints also affected. Gout MTP great toe, in ch. Affects distal more than proximal joints, history of acute attacks. Ankylosing spondylitis and enteropathic arthritis Tends to affect large joints, lower more than upper limbs, possible history of inflammatory back pain. Involvement of axial skeletal AS, OA,RA(cervical spine only).
  • 10.
    Rheumatic disease signs •Swelling • Pattern of joint • Deformity • Warmth • Redness • Tenderness • Limitation of joint movement • Crepitus • Stability • Function
  • 11.
    History and physicalexamination Is it articular Trauma/fracture Soft tissue rheumatism no > 6 weeks yes Chronic yes Acute Infectious arthritis Crystal induced Reactive arthritis No Signs of inflammation Chronic noninflamatory arthritis DIP, CMC1,Hip ,Knee joint osteoarthritis yes Osteonecrosis Charcots joint no yes Chronic inflammatory arthritis Joints involved 1-3 Psoriatic Pauci JA symmetrical >3 Psoriatic Reactive no yes PCP,MCP/MT P yes Rheumatoid no SLE/Scleroderma no
  • 12.
    Rheumatoid Arthritis • Commonestinflammatory joint disease seen in clinical practice affecting approx 1%-3% of population. • Chronic multisystem disease of unknown cause. • Characterized by persistent inflammatory synovitis leading to cartilage damage, bone erosions, joint deformity and disability.
  • 13.
    Onset • Although Rheumatoidarthritis may present at any age, patients most commonly are first affected in the third to sixth decades. • Female: male 3:1 • Initial pattern of joint involvement could be:- 1) Polyarticular : most common 2) Oligo articular 3) Monoarticular • Morning joint stiffness > 1 hour and easing with physical activity is characteristic. • Small joints of hand and feet are typically involved.
  • 14.
    Pathogenesis of RA •Strong associations between HLA-DR4(shared epitope) and RA. • HLA class II(APCs) surface antigens of immune cells(B- lymphocytes, macrophages, dendritic cells). • APC/T-cell interaction leads local inflammatory response. • Secretion of IL1,IL6,TNF, cytokines,PG leads to synovitis. • activation of osteoclast and chondrocytes- >formation of inflammatory granulation tissue named pannus->destruction of cartilage and bone- >deformity of joint.
  • 15.
  • 16.
    Clinical manifestation • Pre-clinicalstage: muscle pain,tiredness,loss of weight and generalized lack of well being. • In early stage : pictures of polysynovitis - pain, swelling, stiffness of MCP,PIP joints then to wrist, feet, knee, shoulder. Tenosynovitis –wrist extensors, finger flexors common Morning stiffness >1hr.  If Large joint involves: local warmth, synovial hypertrophy,effusion,restrited movements.
  • 17.
    In later stage •Deformity become apparent. • Acute pain of synovitis replaced by constant ache pain of joint destruction. • Joint instability and tendon rupture. • Rheumatoid deformities. • Restricted movements of joints. • 1/3 rd patient pain and stiffness in cervical spine.
  • 18.
    Extra-articular features • Constitutionalsymptoms ( most common) • Rheumatoid nodules(30%) • Hematological- – normocytic normochromic anemia – leucocytosis /leucopenia – thrombocytosis • Felty’s syndrome- – Chronic nodular Rheumatoid Arthritis – Spleenomegaly – Neutropenia
  • 19.
    Respiratory- pleural effusion,pneumonitis , pleuro-pulmonary nodules, ILD CVS- pericarditis , pericardial effusion, cardiomyopathy Rheumatoid vasculitis-cutaneous ulceration, digital gangrene, visceral infarction. CNS- peripheral neuropathy, cord- compression from atlantoaxial/midcervical spine subluxation, entrapment neuropathies EYE- kerato cunjunctivitis sicca, episcleritis, scleritis.
  • 22.
    INVOLVEMENT OF JOINTSIN RA • MCP 90-95% • PIP 65-90% • Wrist 80-90% • MTP 50-90% • Knee 60-80% • Ankle 50-80% • Shoulder 50-60% • Hip 40-50% • Cervical spine 40-50% • Elbow 40-50% • TM joint 20-30%
  • 23.
    INVOLVEMENT OF JOINTSIN RA • Don’t forget the cervical spine • Thoracolumbar, sacroiliac, and DIP joints of the hand are NOT involved.
  • 24.
    Deformities In RA •Z deformity • Swan neck deformity • Boutonniere deformity
  • 25.
    Laboratory investigations inRA • CBC- TLC, DLC, Hb. • Acute phase reactants. • Rheumatoid Factor (RF). • Anti- CCP antibodies.
  • 26.
    Acute Phase Reactants Positiveacute phase reactants () Negative acute phase reactants () Mild elevations – Ceruloplasmin – Complement C3 & C4 Moderate elevations – Haptoglobulin – Fibrinogen (ESR) – 1 – acid glycoprotein – 1 – proteinase inhibitor Marked elevations – C-reactive protein (CRP) – Serum amyloid A protein – Albumin – Transferrin
  • 27.
    Rheumatoid Factor (RF) •Antibodies that recognize Fc portion of IgG(70%). • Can be IgM , IgG , IgA. • clinical practice, IgM RF is usually measured(on methodology). • 85% of patients with RA over the first 2 years become RF+. • A negative RF may be repeated 4-6 monthly for the first two year. • PROGNISTIC VALUE-High titres of RF, tend to have POOR PROGNOSIS, more extra articular manifestation.
  • 28.
    Causes of positivetest for RF Rheumatoid arthritis(overall) 70% Rheumatoid arthritis with nodules and extra-articular manifestations. 100% Sjogrens syndrome 90% Cryoglobulinemia 90% Chronic liver disease 50% Infective endocarditis 40% SLE, Leprosy, Syphilis 30% Tuberculosis 15% Malignancy, Age>65 Yrs 20% Normal Healthy People 5%
  • 29.
    Anti Cyclic CitrullinatedPeptide Antibodies • peptidylarginine deiminase, an enzyme abundant in inflamed synovium. • IgG against synovial membrane peptides damaged via inflammation. • Anti-ccp Antibody have similar sensitivity to RF for RA (70%) but much higher specificity (> 95%). • Both diagnostic & prognostic value • Predictive of Erosive Disease – Disease severity – Radiologic progression – Poor functional outcomes
  • 30.
    Test Sensitivity Specificity Rheumatoid factor 62%85% Anti-CCP 42% 98% RF+Anti-CCP 33% 99.6% SEROLGY IN RA:
  • 31.
    Radiographic Features • Peri-articularosteopenia • Uniform symmetric joint space narrowing • Marginal subchondral erosions • Joint Subluxation • Joint destruction • Collapse • Ultrasound detects early soft tissue lesions. • MRI has greatest sensitivity to detect synovitis and marrow changes.
  • 34.
  • 35.
    ACR Criteria (1987) 1.MorningStiffness ≥1 hour. 2.Arthritis of ≥ 3 joints observed by physician. 3.Arthritis of hand joints- PIP, MCP, wrist 4. Symmetric arthritis 5. Rheumatoid nodules 6. Positive Rheumatoid Factor 7. Radiographic Erosions or periarticular osteopenia in hand or wrist joints • Criteria 1-4 must be present for ≥6 wks • Must have ≥4 criteria to meet diagnosis of RA
  • 36.
    2010 ACR/EULAR ClassificationCriteria • a score of ≥6/10 is needed for classification of a patient as having definite RA • A. Joint involvement SCORE • 1 large joint 0 • 2−10 large joints 1 1−3 small joints (with or without involvement of large joints) 2 • 4−10 small joints (with or without involvement of large joints) 3 • >10 joints (at least 1 small joint)†† 5 • B. Serology (at least 1 test result is needed for classification) • Negative RF and negative ACPA 0 • Low-positive RF or low-positive ACPA 2 • High-positive RF or high-positive ACP 3 • C. Acute-phase reactants (at least 1 test result is needed for classification) • Normal CRP and normal ESR 0 • Abnormal CRP or normal ESR 1 • D. Duration of symptoms • <6 weeks 0 • ≥6 weeks 1
  • 37.
  • 38.
    Goals of Therapy •Control disease activity • Alleviate pain • Maintain function for essential daily activities • Maximize quality of life • Slow progression/rate of joint damage • Prevent deformity
  • 39.
    Treatment modalities forRA NSAIDS Steroids DMARDs Immunosuppressiv e therapy Biological therapies Surgery
  • 40.
    NSAIDS for symptom control 1)Reduce pain and swelling by inhibiting COX 2) Do not alter course of the disease. 3) Chronic use should be minimized. 4) Most common side effect related to GI tract.
  • 41.
    Corticosteroids in RA •Indications for systemic steroids are:- 1. For treatment of rheumatoid flares. 2. For extra-articular RA like rheumatoid vasculitis and interstitial lung disease. 3. As bridge therapy for 6-8 weeks before the action of DMARDs begin. 4. Maintenance dose of 10mg or less of Prednisolone daily in patients with active RA. 5. Sometimes in pregnancy when other DMARDs cannot be used.
  • 42.
    Disease Modifying Anti-rheumaticAgents • Drugs that actually alter the disease course . • Should be used as soon as diagnosis is made. • Appearance of benefit delayed for weeks to months. • NSAIDS must be continued with them until true remission is achieved . • Induction of true remission is unusual .
  • 43.
    DMARDs NAME DOSE SIDEEFFECTS MONITORING ONSET OF ACTION 1) Hydroxycloro quine 200mg twice daily x 3 months, then once daily Skin pigmentation , retinopathy ,nausea, psychosis, Myopathy Fundoscopy& perimetry yearly 2-4 months 2) Methotrexate 7.5-25 mg once a week orally/c or i/m GI upset, hepatotoxicity, Bone marrow suppression, pulmonary fibrosis,teratogen ic. Blood counts,LFT 6-8 weekly, Chest x-ray annually, urea/creatinine 3 monthly; Liver biopsy 1-2 months
  • 44.
    NAME DOSE SIDEEFFECTS MONITORING ONSET OF ACTION 3)Sulphasalazine 2gm daily p.o Rash, myelosuppression, may reduce sperm count Blood counts ,LFT 6-8 weekly 1-2 months 4)Leflunomide Loading 100 mg daily x 3 days, then 10-20 mg daily p.o Nausea,diarrhoea,alope cia, hepatotoxicity LFT 6-8 weekly 1-2 months zine
  • 45.
    When & whatDMARDs • Rheumatologists start DMARDs from Day 1. • METHOTREXATE is the DMARD of choice, most widely prescribed in the world. • DMARD combination is specially effective if they include Methotrexate as an anchor drug.
  • 46.
    Limitations of conventionalDMARDs 1) The onset of action takes several months. 2) The remission induced in many cases is partial. 3) There may be substantial toxicity which requires careful monitoring. 4) DMARDs have a tendency to lose effectiveness with time-(slip out).  These drawbacks have made researchers look for alternative treatment strategies for RA- The Biologic Response Modifiers.
  • 47.
    BIOLOGICS IN RA •Cytokines such as TNF-α ,IL-1,IL-10 etc. are key mediators of immune function in RA and have been major targets of therapeutic manipulations in RA. • Various biological approved in RA are:- 1) Anti TNF agents : Infliximab Etanercept Adalimumab 2) IL-1 receptor antagonist : Anakinra 3) IL-6 receptor antagonist : Tocilizumab 4) Anti CD20 antibody : Rituximab 5) T cell co stimulatory inhibitor : Abatacept
  • 48.
    How to monitorTt in RA? • Disease activity is assesed by several parameters… duration of morning stiffness, tender joint count, swollen joint count, observer global assessment, patient global assessment, visual analogue scale for pain, health assessment questionnaire,ESR,NSAID pill count,DAS score etc.. • Patient on MTX,SSZ or leflunamide show clinical improvement in 6-8 wks. • Patient should be observed for 6 months before declaring a DMARD ineffective.
  • 49.
  • 50.
    Surgical Approaches • Increasesfunction of the joint • Decreases pain and inflammation • Beneficial as an early treatment option • Not a cure! Synovectomy
  • 51.
  • 52.
  • 53.
    Seronegative spondyloarthropathies 1. Ankylosing spondylitis(the prototype) 2. Psoriatic arthritis 3. Reactive arthritis (Formerly called Reiter’s syndrome) 4. Enteropathic arthritis 5. Undifferentiated spondyloarthropathies Mnemonic is PURE-A
  • 54.
    Why grouped 1. HLA-B27association 2. Enthesitis 3. Axial skeleton arthritis 1. Spondylitis (inflammation of vertebral bodies) 2. Sacroiliitis (inflammation of sacroiliac joint) 4. Peripheral arthritis 1. Asymmetric (cf rheumatoid arthritis) 5. Extraärticular manifestations 6. Seronegativity – Rheumatoid factor and ANA negative
  • 55.
    HLA-B27 association • Ankylosingspondylitis: 95%. • Reactive arthritis: 70% • Enteropathic arthritis: 50% • Psoriatic arthritis: 35%
  • 56.
    Ankylosing Spondylitis • ASis a chronic, progressive immune-mediated inflammatory disorder that results in ankylosis of the vertebral column and sacroiliac joints. • Complete fusion results in a complete rigidity of the spine, a condition known as bamboo spine.
  • 57.
    Cont… • Over time,joints in the spine can fuse together and cause a fixed, bent-forward posture. • HLA-B27 gene is associated with AS. • Age of onset typically between 15 and 35 years. • M:F= 3:1
  • 58.
    Age at OnsetDistribution of AS and Rheumatoid Arthritis (RA)
  • 59.
    Pathogenesis • HLA-B27 genotype. -90%of patients >Tumor necrosis factor-alpha (TNF α) >IL-1,IL6,
  • 60.
    CONT.. • Continued inflammation ofthe: -ligaments, -tendons, -joint capsules (soft tissues surrounding the joint), -and joints of the spine - cause the spine to fuse together (ankylose) as the joints and disc spaces are replaced by bone.
  • 61.
    Clinical features • Axialmanifestations:  Chronic low back pain, With or without buttock pain.  Morning stiffness, relief with activity.  Limited axial motion.  Axial deformity. • Extra skeletal manifestations: Anorexia,malaise,weight loss,fatigue,low fever, Difficulty in respiration. Iridocyclitis Vasculitis.
  • 62.
    Peripheral manifestations Enthesitis Peripheralarthritis Dactylitis AS: Signs and Symptoms 50% patients with enthesitis Up to 58% patients ever had arthritis Much smaller number of patients
  • 63.
    Investigations: • a bloodtest for the HLA- B27 gene. • X-ray -which show characteristic spinal changes and Sacroiliitis. • tomography and magnetic resonance imaging of the sacroiliac joints.
  • 64.
    Diagnostic criteria • THEROME CRITERIA (1963) • THE NEW YORK CRITERIA (1968)
  • 65.
    THE ROME CRITERIA accordingto this ,as is diagnosed if b/l Sacroiliitis is seen along with one of the following. a) LBA & stiffness of 3 months duration not relieved by rest b) pain and stiffness in the thoracic spine c) limited lumbar spinal movement d) limited chest expansion e) history or evidence of iritis or its sequelae
  • 66.
    THE NEW YORKCRITERIA • Clinical components: 1. Low back pain and stiffness > 3 months, not relieved by rest. 2. Limitation of motion of the lumbar spine in 3 planes. 3. Limitation of chest expansion(<2.5cm) • Radiological component: – Sacroiliitis Grade >2 bilaterally or Grade 3- 4 unilaterally
  • 67.
    Radiological Criteria BasedOn Sacroiliac Joint Radiographs (Definite AS= radiological criterion + one clinical criterion) Gr 0 : Normal. Gr 1: Possibly Normal(minimal Sclerosis). Gr 2: Definite Marginal Sclerosis. Gr 3: Definite Erosion And Sclerosis. Gr 4: Complete Obliteration And Ankylosis.
  • 68.
    Treatment • No cureis known for AS! • treatments and medications are available to reduce symptoms and pain. • three major types of medications used. NSAIDS. DMARDS. Immunosuppressive. TNF blockers: infliximab,atenarcept etc.
  • 69.
    Surgical Management: • mayinclude OSTEOTOMY for marked deformities of the hip/spine. • occasionally, hip or knee ARTHROPLASTY is used. - if there is severe arthritis of those joints. Nursing Responsibilities: • Baseline ROM and chest expansion exercise. • proper positioning at rest is essential. • the mattress should be firm, and pillows must be avoided.
  • 70.
  • 71.
    Reactive Arthritis/Reiter”s Syndrome •Reactive arthritis or Reiter’s syndrome is a acute,painful,asymmetrical form of inflammatory arthritis that develops in reaction to an infection by bacteria or virus. • a triad of nongonococcal urethritis, conjunctivitis, and arthritis. • RF-seronegative, HLA-B27-linked arthritis. • The arthritis may be “Additive or Migratory.”
  • 72.
    Causes/pathogenesis • Streptococcal throatinfection. • glandular fever. • viral flu. • food poisoning. • sexually acquired
  • 73.
    Signs and symptoms •Dysuria,an increased frequency of urination. • Prostatitis,cervicitis, salpingitis,vulvovaginitis • penile lesions called balanitis circinata. • inflammation of the eyes in the form of conjunctivitis or uveitis
  • 74.
    •Swelling, pain inlarge joint, knee etc •Keratoderma blennorrhagica •Palms/soles •Oral ulcers (usually shallow and painless) •Inflammatory back pain (50% of patients) •Enthesitis (40%) •Dactylitis (40%)
  • 75.
    Treatment • The maingoal of treatment is to identify and eradicate the underlying infectious source with the appropriate antibiotics if still present. • Otherwise, treatment is symptomatic for each problem. • Analgesics particularly NSAIDs, sulfasalazine, steroids . • immunosuppressants may be needed for patients with severe reactive symptoms that do not respond to any other treatment.
  • 76.
    Psoriatic arthritis • Achronic inflammatory arthritis in association with skin psoriasis(7%-45%). • Characterized by osteolysis and bony proliferation. • Males and females are equally affected. • Range from mild nondestructive disease to a severely rapid and destructive arthropathy. • HLA B27 associated & Seronegative. • Characterized by synovitis, Enthesitis, dactylitis, spondylitis, skin and nail psoriasis.
  • 77.
    Moll And WrightClinical Pattern • Including 5 clinical patterns: Asymmetric mono-/oligoarthritis (~30% [range 12- 70%]) Symmetric polyarthritis (~45% [range 15-65%]) Distal interphalyngeal (DIP) joint involvement (~5%) Axial (spondylitis and Sacroiliitis) (HLA-B27) (~5%) Arthritis Mutilans (<5%).
  • 78.
    Moll And WrightClinical Pattern • Including 5 clinical patterns: Asymmetric mono-/oligoarthritis (~30% [range 12- 70%]) Symmetric polyarthritis (~45% [range 15-65%]) Distal interphalyngeal (DIP) joint involvement (~5%) Axial (spondylitis and Sacroiliitis) (HLA-B27) (~5%) Arthritis Mutilans (<5%). Nail/skin change- 90%
  • 80.
  • 82.
    CASPAR Criteria ForDiagnosis • Inflammatory articular disease (joint, spine, or entheseal) • With 3 points from following categories:  Psoriasis: current, history, family history.  Nail dystrophy.  Negative rheumatoid factor.  Dactylitis: current, history.  Radiographs:(hand/foot) evidence of osteolysis, juxta-articular new bone formation(pencil in cup). • Specificity 98.7%, Sensitivity 91.4%
  • 83.
  • 85.
    Enteropathic Arthritis • Affects10-20% of patients with inflammatory bowel disease (IBD) • Peripheral arthritis affects 10-20% of IBD patients – Generally affects knees, ankles, and feet – Always indicates active IBD • Radiographic axial arthritis affects 10% of IBD patients – Frequently asymptomatic – Independent of bowel inflammation
  • 86.
    Treatment • Nonsteroidal antiinflammatoryagents – Indamethacin • Disease modifying anti-rheumatic drugs (DMARDs) – Methotrexate: inhibits recruitment of CD4 and CD8 T cells • Tumor necrosis factor antagonists – Infliximab: a monoclonal antibody that binds to TNF and inhibits binding of TNF to its receptor – Etanercept: similar emchanism to infliximab • For axial arthritis, exercises to maintain posture and flexibility
  • 87.
    Systemic erythematosus Lupus •Immune complex deposition disease, involving many organs. • Arthritis: Nonserosive 2 or > joints • Female:Male 10:1 • ANA and other criterion will make the diagnosis. • AVN is the complication.