More Related Content
PPTX
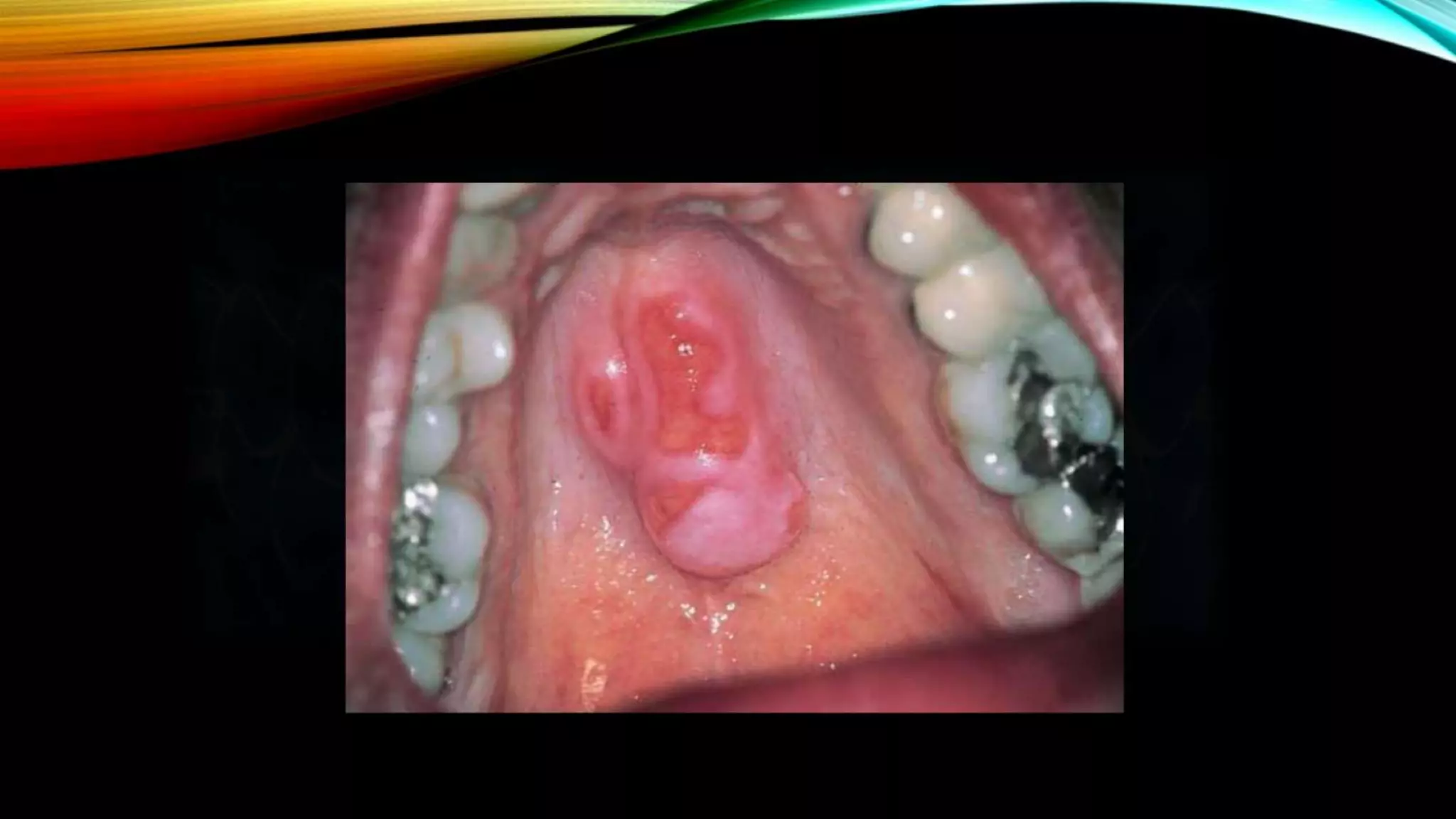
Troubleshooting fpd, rpd and cd PPTX
PPT
PDF
Edentulous Maxilla - Fixed Prostheses PPT
10.maxillo mandibular records DOCX
Full Crown Preparation and Some Clinical Modification PREPARION PDF
3shape trios 3 product catalog october 2016 (viet noted) PDF
3.implant components and basic techniques3 What's hot
PPTX
PPTX
PPT
Introduction to fixed partial dentures/ online orthodontic courses PPTX
Methods to improve com[lete denture foundation 2 PPTX
PPTX
Altered Cast Impression Technique for Fabrication of Maxillary Obturator- Jou... PPTX
Maxillo facial prosthesis PPT
Repair of complete dentures/ Labial orthodontics PDF
Tooth Preparation - Zirconia crowns PPT
Implants in dentistry/prosthodontic courses PPTX
PPT
concept of Color in prosthodontics / cosmetic dentistry training PDF
Roots International Magazine of Endodontology PPT
Principles and concepts of designing obturators/dental courses PPT
Mandibular movements/ dental implant courses PPTX
PPT
New development in careis removal and restoration PPTX
Complet dentures trail denture PPTX
PPT
More from Muaiyed Mahmoud Buzayan
PPTX
1 introduction to complete denture PPTX
Introduction to prosthodontics PPTX
Shortened dental arch sda PPTX
Anterior Resin bonded FPD PPTX
Post insertion problems in complete denture part i PPTX
removable partial denture RPD design part 2 PPTX
PPTX
Anterior metal ceramic crown pfm PPTX
Teeth wear management introduction PPTX
Basics for aesthetic smile PPTX
Post insertion problems in complete denture part ii PPTX
Implant adec one day pics PPTX
Rpd made easy (adec one day rpd) PPTX
PPTX
Tooth preparation part 02 PPTX
CD clinical tricks (ADEC one day CD) PDF
Dentalxp 10 tips for dental implant placement PDF
Creating papilla implant (dentalxp) by Stuart PDF
Tilted implants cruz-2009 PDF
2011 clinical outcome of dental implants placed with high insertion torques Recently uploaded
PPTX
2026 ADA Standards of Care:Summary of Changes PPT
Remembering Brain Health: Targeting Modifiable Risk Factors and Early Detecti... PDF
Concept of Drug: Foundations of General Pharmacology PDF
Microencapsulation and their Application in Novel Drug Delivery PPTX
Basics of Cell Physiology and Cell Adaptation PPTX
Understanding Diabetes Mellitus - A comprehensive guide for nurses and Eviden... PPTX
Maternal and Child Health in Nepal: Public Health Strategies, Challenges & In... PDF
Short notes in Radiation Oncology by SCOPE PPTX
Oncology Physiotherapy_ A Key Piece in Cancer Care Puzzle.pptx PDF
Filling in the Gaps in Hemophilia Guideline Recommendations: Evidence-Based S... PPTX
NERVOUS SYSTEM11 by Gulshan athbhaiya.pptx PDF
Definitive Innovation in Resectable Head and Neck Cancer: New Immunotherapy A... PPTX
4.Carpal Tunnel Syndrome (CTS)compression of the median nerve. General orthop... PPTX
6.Avascular necrosis (c) General orthopedic disorders.pptx PPTX
GROUP 65 PRESENTATION/PUBLIC HEALTH PRACTICUM PPTX
Innovations in Chronic Pain Management: From Clinical Idea to Published Research PDF
Novo protocolo (7) da ABM sobre Políticas de Apoio à AMAMENTAÇÃO em MATERNIDADES PDF
preoperative assessment Pheochromocytoma 2025.pdf PPTX
Placebo And Acupuncture Friend or Foe.pptx PDF
Role of AI in Autism spectrum disorder (ASD)