impacted lower 3rd
molar
Classification and methods of management of
Ola Mohammed Redha
Abdullah Osama
Abdullah Al-Nasser
introduction
An impacted tooth defined as a tooth that is prevented from erupting into
position
Causesof
impaction
lack of space
angulated roots were
more common in
impacted mandibular
third molars
hereditary
factors
lack of sufficient
eruption force for
third molars
regression of the jaw
size
lassifications
Classification describes wisdom tooth relation to the adjacent anatomical structures: mandibular
ramus, second molar, alveolar crest, mandibular canal.
Impacted wisdom teeth are classified by the direction and depth of impaction, the amount of
available space for tooth eruption, and the amount of soft tissue or bone (or both) that covers them.
The classification structure helps clinicians estimate the risks for impaction, infections and
complications associated with wisdom teeth removal.
Depth of impaction
Relationship with the mandibular ramus
Angulation of impaction
Depth of impaction
According to the Pell and Gregory classification, the relation of the
cementoenamel junction (CEJ) of the third molar with the bone level is
categorized as follows:
Level A:
• Not buried in bone
Level B
• Partially buried in bone if any part of
CEJ was lower than bone level
Level C
• Completely buried in bone
Relationship with the mandibular ramus
According to the Pell and Gregory classification, the position of the distal surface of the third molar
crown in relation to the anterior border of the ascending ramus is categorized as follows:
Class I: Anterior to the
anterior border;
Class II: Half of the crown
is covered by the anterior
border
Class III: The crown is
fully covered by the
anterior border
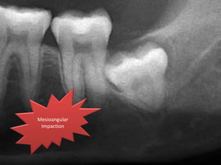
Angulation of impaction
Based on Winter's classification, the angle between the
longitudinal axis of the second and third molars
Mesioangular
impaction
Horizontal impaction
Vertical
impaction
Distoangular
impaction
Distoangular
Impaction
Vertical
Impaction
Mesioangular
Impaction
Horizontal
Impaction
MANAGEMENT OF UNERUPTED AND IMPACTED THIRD MOLAR TEETH
CLINICAL ASSESSMENT
Clinical assessment should be carried out with the aim of assessing the status
of the third molars and excluding other causes of the symptoms. A complete
examination should include assessment of:
• the eruption status of the third molar
• the presence of local infection
• caries in, or resorption of, the third molar and the adjacent tooth
• periodontal status
• orientation and relationship of the tooth to the inferior dental canal (IDC)
• occlusal relationship
• temporomandibular joint function
• regional lymph nodes.
Any associated pathology should also be noted.
RADIOLOGICAL EVALUATION
The purpose of a careful radiological evaluation is to complement the clinical examination by providing
additional information about the third molar, the related teeth and anatomical features, and the surrounding
bone. This is necessary in order to make a sound decision about the proposed surgical procedure.
 the type and orientation of impaction and the access to the tooth.
 the crown size and condition
 the root number and morphology
 The alveolar bone level
 the periodontal status
 the relationship or proximity of lower third molars to the inferior dental canal.
ing information should be noted:
To remove OR
not
1. Impacted teeth with pericoronitis should be extracted electively because
of their known potential for repetitive infection and morbidity.
ation for extraction
2. tooth in line of fracture
3. dental caries and damage of adjacent lower
second molar
4. cysts and tumors associated with impacted
teeth
bone around the impacted teeth
6. preceding dental work with fixed or
removable appliances
7. for chronic facial pain.
wding of the dental arch
ation of the opposing soft tissue
65 year-old with a chronic infection related to an impacted lower third molar. The
patient refused to have her tooth removed. The delay in proper treatment resulted in
progression of the deep bone infection caused by the impacted third molar. This
eventually resulted in a pathologic fracture of the jaw.
Extreme
of age
Medical
compromised
patient
Excessive
risk of
damage to
adjacent
structure
Fracture of
mandible
may occur
contraindication
Mandibular third molar is situated at the distal end of the body of the mandible where is connection with relatively
thin ramus.
The buccal alveolar bone in this region is thicker than the lingual.
The external oblique ridge forms the buttress that reinforced the buccal plate.
The lingual nerve often lies close to the cortical plate.
panoramic radiographs showed that in most cases the roots of third molars are in close proximity to the mandibular
canal. Furthermore, in some cases third molar roots can contact or penetrate into mandibular canal or they can be
deflected.
atomy of lower 3rd molar region
Inferior alveolar nerve
Mandibular canal
prior to surgery, interim measures
may include systemic antibiotic
administration, chlorhexidine mouth
rinses
Surgical extraction of impacted
mandibular third molar
Several common steps apply to the removal of all impacted teeth
1. Anesthesia in cases of impacted mandibular third molars is achieved by:
inferior alveolar nerve block, buccal nerve block , lingual nerve block,
and local infiltration for hemostasis in the surgical field
There are two main intraoral approaches for surgical removal of impacted mandibular third
molars: one through the sublingual space and the other buccally through the entire
mandibular thickness.
There is also extraoral method from the submandibular space.
2. Adequate flaps must be reflected for accessibility, Accessibility is a key issue in
removal of impacted teeth.
A full-thickness mucoperiosteal flap must be elevated to allow for visualization and
placement of retractors, drilling equipment, elevators, and forceps.
However there are many modifications of flap
techniques including :
1.Triangular flap (L-shaped)
2. Variation of the triangular flap (bayonet)
3. Envelope flap
3. Bone removal
The bone covering the tooth is removed
using a round bur, until
the entire crown is exposed.
The amount of bone that
must be removed varies with
the depth of the impaction.
It is advisable not to remove any bone on the lingual aspect
because of the likelihood of damage to the lingual nerve
A variety of burs can be used to remove
bone, but the most commonly used are
the no. 8 or 10 round bur and the 703
fissure bur
4. Tooth division
After the tooth being cut into smaller pieces, the fragments was removed piece by piece
Sometime the fragments of the separated tooth may still having difficulty to remove due to
curve root or engaged under the bony undercut. In this situation, the surgeon need to do more
grinding of that portion to reduce its size, to facilitate removal of all tooth fragments.
The crown is separated from the root mass using bur (Tungsten carbide
tapering fissure bur).
The cut should be made through the thin cervical enamel until two thirds of the cut has been
made then an osteotome placed against the buccal aspect of the transverse fissure & splitting
off the half of sectioned crown.
5. finally the wound must be closed.
the surgeon will attempt to achieve haemostatic (stop bleeding) by
applying some direct pressure to help the blood to clot.
The soft tissue flap will be stitched (suture) to immobilize it and help
to stabilize the blood clot.
POSTOPERATIVE DRUG THERAPY
Antibiotic
Analgesia
steroid
•Where there is significant
bone removal, prolonged
operation time, or the
patient is at increased risk
of infection
•Normal practice is to
prescribe or advise oral
analgesics such as
paracetamol or ibuprofen.
•Where there is a risk of
significant postoperative
swelling
mplications
1.
intraoperati
ve
2.
postoperativ
e
the level of impaction is associated with an increased
risk of inflammatory complications following third
molar surgery.
root number and morphology , tooth position ,
periodontal space and second molar relation were
significant predictors of surgical difficulty
1.
intraoperati
ve
1. Mandibular fracture
2. damage of adjacent teeth,
(In cases if the excessive intraoral force was
applied or/and part of bone was removed, risk
of mandibular fracture or damage of adjacent
teeth is increased)
3. tooth or tooth fragments displacement into soft tissues
can occur in case of wrong operation technique
4. bleeding.
The most serious and unpleasant iatrogenic complication that arise from third molar surgery is
inferior alveolar and/or lingual nerve injury and neurosensory function disturbance.
Inferior alveolar nerve injury can cause paresthesia to complete numbness and/or pain in the
region of the skin of the mental area, the lower lip, mucous membranes, and the gingiva as far
posteriorly as the second premolar . Furthermore this commonly interferes with speech, eating,
and drinking.
The injury of the lingual nerve leads to numbness of the ipsilateral anterior two thirds of the
tongue and taste disturbance .
Eruption status of the lower third molar is important risk factor for inferior alveolar
nerve injury. The risk of nerve injury is increasing with the depth of the impacted
mandibular wisdom teeth.
In general the proximity of the mandibular third molar to the mandibular canal is
considered a risk factor for damage to the inferior alveolar nerve.
Studies demonstrated that the most important parameters for inferior alveolar nerve
injury prediction are third molar root apices inside or in contact with the mandibular
canal.
Iatrogenic injury to the lingual nerve may happen during third molar surgery due to the
anatomical proximity of the cortex region of the molar to the nerve, being separated from
it by the periosteum alone.
5. inferior alveolar and/or lingual nerve injury and neurosensory function disturbance
2.
postoperativ
e
are pain, swelling, bruising, trismus , osteitis and
surgical site infection .
Furthermore, the prevalence of post-extraction
complications correlated with the absence of
cortication around the mandibular canal
swelling after wisdom teeth removal
Other possible complications will be prolonged pain & discomfort, usually due to dense
socket bone around the wisdom tooth that restrain the blood clot formation ( Dry
Socket )
THANK YOU

Impacted lower 3rd molar

  • 1.
    impacted lower 3rd molar Classificationand methods of management of Ola Mohammed Redha Abdullah Osama Abdullah Al-Nasser
  • 2.
    introduction An impacted toothdefined as a tooth that is prevented from erupting into position Causesof impaction lack of space angulated roots were more common in impacted mandibular third molars hereditary factors lack of sufficient eruption force for third molars regression of the jaw size
  • 3.
    lassifications Classification describes wisdomtooth relation to the adjacent anatomical structures: mandibular ramus, second molar, alveolar crest, mandibular canal. Impacted wisdom teeth are classified by the direction and depth of impaction, the amount of available space for tooth eruption, and the amount of soft tissue or bone (or both) that covers them. The classification structure helps clinicians estimate the risks for impaction, infections and complications associated with wisdom teeth removal. Depth of impaction Relationship with the mandibular ramus Angulation of impaction
  • 4.
    Depth of impaction Accordingto the Pell and Gregory classification, the relation of the cementoenamel junction (CEJ) of the third molar with the bone level is categorized as follows: Level A: • Not buried in bone Level B • Partially buried in bone if any part of CEJ was lower than bone level Level C • Completely buried in bone
  • 5.
    Relationship with themandibular ramus According to the Pell and Gregory classification, the position of the distal surface of the third molar crown in relation to the anterior border of the ascending ramus is categorized as follows: Class I: Anterior to the anterior border; Class II: Half of the crown is covered by the anterior border Class III: The crown is fully covered by the anterior border
  • 6.
    Angulation of impaction Basedon Winter's classification, the angle between the longitudinal axis of the second and third molars Mesioangular impaction Horizontal impaction Vertical impaction Distoangular impaction
  • 7.
  • 8.
  • 9.
  • 10.
  • 11.
    MANAGEMENT OF UNERUPTEDAND IMPACTED THIRD MOLAR TEETH CLINICAL ASSESSMENT Clinical assessment should be carried out with the aim of assessing the status of the third molars and excluding other causes of the symptoms. A complete examination should include assessment of: • the eruption status of the third molar • the presence of local infection • caries in, or resorption of, the third molar and the adjacent tooth • periodontal status • orientation and relationship of the tooth to the inferior dental canal (IDC) • occlusal relationship • temporomandibular joint function • regional lymph nodes. Any associated pathology should also be noted.
  • 12.
    RADIOLOGICAL EVALUATION The purposeof a careful radiological evaluation is to complement the clinical examination by providing additional information about the third molar, the related teeth and anatomical features, and the surrounding bone. This is necessary in order to make a sound decision about the proposed surgical procedure.  the type and orientation of impaction and the access to the tooth.  the crown size and condition  the root number and morphology  The alveolar bone level  the periodontal status  the relationship or proximity of lower third molars to the inferior dental canal. ing information should be noted:
  • 13.
    To remove OR not 1.Impacted teeth with pericoronitis should be extracted electively because of their known potential for repetitive infection and morbidity. ation for extraction
  • 14.
    2. tooth inline of fracture
  • 15.
    3. dental cariesand damage of adjacent lower second molar
  • 16.
    4. cysts andtumors associated with impacted teeth
  • 17.
    bone around theimpacted teeth
  • 18.
    6. preceding dentalwork with fixed or removable appliances 7. for chronic facial pain. wding of the dental arch ation of the opposing soft tissue
  • 19.
    65 year-old witha chronic infection related to an impacted lower third molar. The patient refused to have her tooth removed. The delay in proper treatment resulted in progression of the deep bone infection caused by the impacted third molar. This eventually resulted in a pathologic fracture of the jaw.
  • 21.
    Extreme of age Medical compromised patient Excessive risk of damageto adjacent structure Fracture of mandible may occur contraindication
  • 22.
    Mandibular third molaris situated at the distal end of the body of the mandible where is connection with relatively thin ramus. The buccal alveolar bone in this region is thicker than the lingual. The external oblique ridge forms the buttress that reinforced the buccal plate. The lingual nerve often lies close to the cortical plate. panoramic radiographs showed that in most cases the roots of third molars are in close proximity to the mandibular canal. Furthermore, in some cases third molar roots can contact or penetrate into mandibular canal or they can be deflected. atomy of lower 3rd molar region Inferior alveolar nerve Mandibular canal
  • 23.
    prior to surgery,interim measures may include systemic antibiotic administration, chlorhexidine mouth rinses
  • 24.
    Surgical extraction ofimpacted mandibular third molar Several common steps apply to the removal of all impacted teeth 1. Anesthesia in cases of impacted mandibular third molars is achieved by: inferior alveolar nerve block, buccal nerve block , lingual nerve block, and local infiltration for hemostasis in the surgical field There are two main intraoral approaches for surgical removal of impacted mandibular third molars: one through the sublingual space and the other buccally through the entire mandibular thickness. There is also extraoral method from the submandibular space.
  • 25.
    2. Adequate flapsmust be reflected for accessibility, Accessibility is a key issue in removal of impacted teeth. A full-thickness mucoperiosteal flap must be elevated to allow for visualization and placement of retractors, drilling equipment, elevators, and forceps.
  • 26.
    However there aremany modifications of flap techniques including : 1.Triangular flap (L-shaped)
  • 27.
    2. Variation ofthe triangular flap (bayonet) 3. Envelope flap
  • 28.
    3. Bone removal Thebone covering the tooth is removed using a round bur, until the entire crown is exposed. The amount of bone that must be removed varies with the depth of the impaction. It is advisable not to remove any bone on the lingual aspect because of the likelihood of damage to the lingual nerve A variety of burs can be used to remove bone, but the most commonly used are the no. 8 or 10 round bur and the 703 fissure bur
  • 29.
    4. Tooth division Afterthe tooth being cut into smaller pieces, the fragments was removed piece by piece Sometime the fragments of the separated tooth may still having difficulty to remove due to curve root or engaged under the bony undercut. In this situation, the surgeon need to do more grinding of that portion to reduce its size, to facilitate removal of all tooth fragments. The crown is separated from the root mass using bur (Tungsten carbide tapering fissure bur). The cut should be made through the thin cervical enamel until two thirds of the cut has been made then an osteotome placed against the buccal aspect of the transverse fissure & splitting off the half of sectioned crown.
  • 30.
    5. finally thewound must be closed. the surgeon will attempt to achieve haemostatic (stop bleeding) by applying some direct pressure to help the blood to clot. The soft tissue flap will be stitched (suture) to immobilize it and help to stabilize the blood clot.
  • 32.
    POSTOPERATIVE DRUG THERAPY Antibiotic Analgesia steroid •Wherethere is significant bone removal, prolonged operation time, or the patient is at increased risk of infection •Normal practice is to prescribe or advise oral analgesics such as paracetamol or ibuprofen. •Where there is a risk of significant postoperative swelling
  • 33.
    mplications 1. intraoperati ve 2. postoperativ e the level ofimpaction is associated with an increased risk of inflammatory complications following third molar surgery. root number and morphology , tooth position , periodontal space and second molar relation were significant predictors of surgical difficulty 1. intraoperati ve 1. Mandibular fracture
  • 34.
    2. damage ofadjacent teeth, (In cases if the excessive intraoral force was applied or/and part of bone was removed, risk of mandibular fracture or damage of adjacent teeth is increased) 3. tooth or tooth fragments displacement into soft tissues can occur in case of wrong operation technique 4. bleeding.
  • 35.
    The most seriousand unpleasant iatrogenic complication that arise from third molar surgery is inferior alveolar and/or lingual nerve injury and neurosensory function disturbance. Inferior alveolar nerve injury can cause paresthesia to complete numbness and/or pain in the region of the skin of the mental area, the lower lip, mucous membranes, and the gingiva as far posteriorly as the second premolar . Furthermore this commonly interferes with speech, eating, and drinking. The injury of the lingual nerve leads to numbness of the ipsilateral anterior two thirds of the tongue and taste disturbance . Eruption status of the lower third molar is important risk factor for inferior alveolar nerve injury. The risk of nerve injury is increasing with the depth of the impacted mandibular wisdom teeth. In general the proximity of the mandibular third molar to the mandibular canal is considered a risk factor for damage to the inferior alveolar nerve. Studies demonstrated that the most important parameters for inferior alveolar nerve injury prediction are third molar root apices inside or in contact with the mandibular canal. Iatrogenic injury to the lingual nerve may happen during third molar surgery due to the anatomical proximity of the cortex region of the molar to the nerve, being separated from it by the periosteum alone. 5. inferior alveolar and/or lingual nerve injury and neurosensory function disturbance
  • 36.
    2. postoperativ e are pain, swelling,bruising, trismus , osteitis and surgical site infection . Furthermore, the prevalence of post-extraction complications correlated with the absence of cortication around the mandibular canal swelling after wisdom teeth removal
  • 38.
    Other possible complicationswill be prolonged pain & discomfort, usually due to dense socket bone around the wisdom tooth that restrain the blood clot formation ( Dry Socket )
  • 39.