IMAGING
Coronary CTA ( CCTA)
Arnav Kolluru
Why is CCTA an important imaging modality ?
• Cardiovascular ( heart ) disease is no 1 killer in United states.
• Prevention and early diagnosis is the key.
• Imaging plays a major role in the diagnosis of heart disease
• Coronary CTA has emerged as one of the key noninvasive tests to
detect heart disease .
What is CCTA ?
• CT scan is a special x ray equipment
uses computer technology and
takes detailed pictures of the body
organs .
• Coronary CTA is a specialized CT
scan uses to check the blood
vessels of the heart and heart
structures .
What is coronary artery disease (
CAD)
• CAD , means blockage in the blood vessels supplying
the heart .
• Heart has three major blood vessels .
• CAD is the most common heart disease, also know
has Atherosclerotic heart disease.
• Cholesterol deposits and forms plaque and causes
blockage of the blood vessel.
• Cardiac catheterization /coronary
angiogram: used to be gold standard
to detect CAD
-It is an Invasive procedure to check
the blood vessels of the heart for
blockages .
-This invasive procedure is limited only
for stent placements and in the setting
of acute heart attack.
• Coronary CTA is noninvasive test and
now used to diagnose CAD.
CCTA
How is it done ? CCTA
• Patient lays on the CT table
• IV line and EKG leads placed
• IV iodinated contrast injected and then scanning starts per machine
protocol
• Images are acquired , processed and sent to cardiologist or radiologist
to read.
CCTA images
Normal
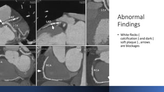
Abnormal
Findings
• White flecks (
calcification ) and dark (
soft plaque ) , arrows
are blockages
CCTA is also used by ER physicians for evaluation of acute chest pain,
helps rule out CAD and aortic tear .
Radiation exposure ( now very minimal with new advanced scanner ) and
avoid in kidney problem patients ( iodine used as contrast is nephrotoxic,
so use with caution)
Artificial intelligence ( AI) intergraded is the way to go ………
Thank you

IMAGING CT CORONARY.pptx

  • 1.
    IMAGING Coronary CTA (CCTA) Arnav Kolluru
  • 2.
    Why is CCTAan important imaging modality ? • Cardiovascular ( heart ) disease is no 1 killer in United states. • Prevention and early diagnosis is the key. • Imaging plays a major role in the diagnosis of heart disease • Coronary CTA has emerged as one of the key noninvasive tests to detect heart disease .
  • 3.
    What is CCTA? • CT scan is a special x ray equipment uses computer technology and takes detailed pictures of the body organs . • Coronary CTA is a specialized CT scan uses to check the blood vessels of the heart and heart structures .
  • 4.
    What is coronaryartery disease ( CAD) • CAD , means blockage in the blood vessels supplying the heart . • Heart has three major blood vessels . • CAD is the most common heart disease, also know has Atherosclerotic heart disease. • Cholesterol deposits and forms plaque and causes blockage of the blood vessel.
  • 5.
    • Cardiac catheterization/coronary angiogram: used to be gold standard to detect CAD -It is an Invasive procedure to check the blood vessels of the heart for blockages . -This invasive procedure is limited only for stent placements and in the setting of acute heart attack. • Coronary CTA is noninvasive test and now used to diagnose CAD.
  • 6.
  • 7.
    How is itdone ? CCTA • Patient lays on the CT table • IV line and EKG leads placed • IV iodinated contrast injected and then scanning starts per machine protocol • Images are acquired , processed and sent to cardiologist or radiologist to read.
  • 8.
  • 10.
    Abnormal Findings • White flecks( calcification ) and dark ( soft plaque ) , arrows are blockages
  • 11.
    CCTA is alsoused by ER physicians for evaluation of acute chest pain, helps rule out CAD and aortic tear . Radiation exposure ( now very minimal with new advanced scanner ) and avoid in kidney problem patients ( iodine used as contrast is nephrotoxic, so use with caution) Artificial intelligence ( AI) intergraded is the way to go ………
  • 12.