A Case of Focal Seizure with
Prolonged Disorientation
Dr.ARUL SELVAN Unit
Presenter : Dr.M.Ramesh Babu
Brief History
• Mrs. N 71 yrs old woman, Rt handed, house wife ,
Diabetic - 10 yrs, presented to ER with ℅
• Sudden onset irrelevant talks and behaviour & 5pm
3/2/18
• With h/o 2 episodes of left sided focal seizure
• Hematemesis - 1 episode
HOPI
• Patient was apparently normal till 5pm 3/2/18, started
behaving abnormally like half dressed, with carrying comb
and want to go temple, with irrelevant talks.
• Relatives observed paucity of left Upper and lower limb,
thinking of stroke - took her to near by hospital
• Asked for imaging - after imaging she developed 2
episodes of left sided jerky movements of both UL & LL
with twitching over the face - lasted for 1-2 min, treated
with sedative , Inj. insulin for high CBG - 495 mg/dl and
referred here for further management.
• No h/o loss of conscious during the events, no h/o tongue bite,
incontinence.
• No h/o fever, headache, neck pain
• H/o Nausea, 1 episode coffee coloured , blood stained vomiting +
• No h/o similar episodes in the past
• No significant past history - Diabetic on regular Rx, Not a
hypertensive, No CAD
• No TIA/Stroke/ loc/ fall
• No significant family history
• Personal history : takes mixed diet, appetite and sleep - N
On Examination
• Patient - Conscious, Markedly Disoriented,
• spontaneous eye opening +
• GCS- E4V1M4-5 ,
• Obeying commands, answers few questions
• Pupils - 3mm b/l reactive, EOM - no gaze preference,
• No Facial lag
• Speech - N
• Motor system - Tone - N
• Power 5/5 4-/5
• 5/5 3/5
• DTR’S - 2+
• Plantar - B/L Extensor
• Sensory sytem - N
• No cerebellar signs
• No meningeal signs
• Gait - Not tested
• CVS - No carotid bruit, S1,S2 - N
• Other systems - N
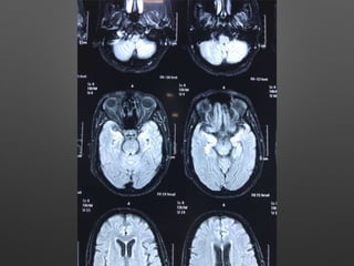
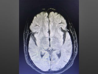
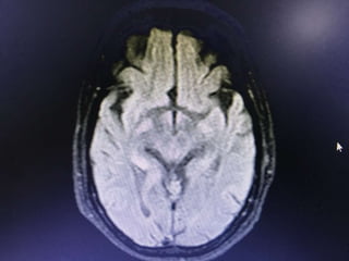
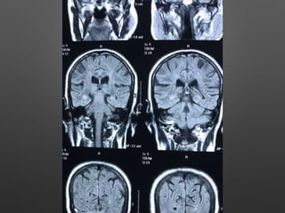
Provisional Diagnosis
• ?Acute ischemic stroke - left hemiparesis with focal
seizures
• ? Hyperglycemic encephalopathy
• ? Viral encephalitis
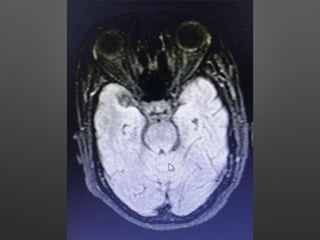
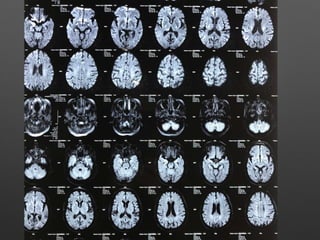
Investigations
• HB- 14.1gm% - 12.2
• WBC- 15990cells/cumm - 10770, -P 83%, L-9%,M-7%
• Platelets - 3.3lakhs - 2.8
• ESR- 63mm/hr
• RBS - 267 mg/dl
• CUE - N
• RFT - N
• LFT - N
• S.Na - 137, k+ - 3.9, Mg- 2.1, Ca- 9.1, Ph- 3.5, Ammonia- 0.29
• ECG - N
• 2DEcho- N
• U/S - Abd- Gr I Fatty liver changes
Final Diagnosis
• ? Acute stroke
• ? Viral Encephalitis
• ? Hyperglycemic encephalopathy
Treatment
• Treated with AED’S and OHA ’s
• Improved in her sensorium and power
• Now alert, well oriented
• Power 5/5 4/5
• 5/5 4+/5
• Plantar b/l flexors
• Thank you

Hyperglemic seizure

  • 1.
    A Case ofFocal Seizure with Prolonged Disorientation Dr.ARUL SELVAN Unit Presenter : Dr.M.Ramesh Babu
  • 2.
    Brief History • Mrs.N 71 yrs old woman, Rt handed, house wife , Diabetic - 10 yrs, presented to ER with ℅ • Sudden onset irrelevant talks and behaviour & 5pm 3/2/18 • With h/o 2 episodes of left sided focal seizure • Hematemesis - 1 episode
  • 3.
    HOPI • Patient wasapparently normal till 5pm 3/2/18, started behaving abnormally like half dressed, with carrying comb and want to go temple, with irrelevant talks. • Relatives observed paucity of left Upper and lower limb, thinking of stroke - took her to near by hospital • Asked for imaging - after imaging she developed 2 episodes of left sided jerky movements of both UL & LL with twitching over the face - lasted for 1-2 min, treated with sedative , Inj. insulin for high CBG - 495 mg/dl and referred here for further management.
  • 4.
    • No h/oloss of conscious during the events, no h/o tongue bite, incontinence. • No h/o fever, headache, neck pain • H/o Nausea, 1 episode coffee coloured , blood stained vomiting + • No h/o similar episodes in the past • No significant past history - Diabetic on regular Rx, Not a hypertensive, No CAD • No TIA/Stroke/ loc/ fall • No significant family history • Personal history : takes mixed diet, appetite and sleep - N
  • 5.
    On Examination • Patient- Conscious, Markedly Disoriented, • spontaneous eye opening + • GCS- E4V1M4-5 , • Obeying commands, answers few questions • Pupils - 3mm b/l reactive, EOM - no gaze preference, • No Facial lag • Speech - N
  • 6.
    • Motor system- Tone - N • Power 5/5 4-/5 • 5/5 3/5 • DTR’S - 2+ • Plantar - B/L Extensor • Sensory sytem - N • No cerebellar signs • No meningeal signs • Gait - Not tested • CVS - No carotid bruit, S1,S2 - N • Other systems - N
  • 7.
    Provisional Diagnosis • ?Acuteischemic stroke - left hemiparesis with focal seizures • ? Hyperglycemic encephalopathy • ? Viral encephalitis
  • 8.
    Investigations • HB- 14.1gm%- 12.2 • WBC- 15990cells/cumm - 10770, -P 83%, L-9%,M-7% • Platelets - 3.3lakhs - 2.8 • ESR- 63mm/hr • RBS - 267 mg/dl • CUE - N • RFT - N • LFT - N • S.Na - 137, k+ - 3.9, Mg- 2.1, Ca- 9.1, Ph- 3.5, Ammonia- 0.29
  • 9.
    • ECG -N • 2DEcho- N • U/S - Abd- Gr I Fatty liver changes
  • 24.
    Final Diagnosis • ?Acute stroke • ? Viral Encephalitis • ? Hyperglycemic encephalopathy
  • 25.
    Treatment • Treated withAED’S and OHA ’s • Improved in her sensorium and power • Now alert, well oriented • Power 5/5 4/5 • 5/5 4+/5 • Plantar b/l flexors
  • 26.