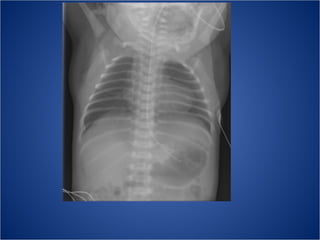
Hart en vaten  118. De rechterventrikel is bij een normaal hart niet contourvormend op de PA-thoraxfoto. A. Juist B Onjuist C Weet niet
Hart en vaten  118. De rechterventrikel is bij een normaal hart niet contourvormend op de PA-thoraxfoto. A. Juist B Onjuist C Weet niet
De mediastinum contour op een X-thorax wordt gevormd door: De vena cava superior De vena azygos Het rechteratrium De linkerventrikel De arteria pulmonalis De aortaboog
Hart en vaten  119. De zogenaamde schoenhart (coeur-en-sabot-)-configuratie op de thoraxfoto bij patiënten met tetralogie van Fallot wordt veroorzaakt door dilatatie van het rechter- atrium. A. Juist B.Onjuist C. Weet niet
Hart en vaten  119. De zogenaamde schoenhart (coeur-en-sabot-)-configuratie op de thoraxfoto bij patiënten met tetralogie van Fallot wordt veroorzaakt door dilatatie van het rechter- atrium. A. Juist B.Onjuist C. Weet niet
ToF Pulmonalisklep stenose Rechter ventrikel hypertrofie VSD Overriding aorta De RV hypertrofie veroorzaakt dat de hartpunt opwipt > het zgn schoenhart
 
ToF Cyanostische congenitale hartafw > het bloed stroomt direct vanuit de re kamer naar de ao via het VSD > niet gesatureerd bloed komt in de circulatie Extreem: pulmonalis atresie X-thorax 20% rechtsdesc. Ao Opvallend weinig longvaattekening (kan heel asymm zijn) Normale hartgrootte Rel. grote aoboog Kleine hili
 
Hart en vaten  120.  Een sterk verkalkte mitralisklepring is goed zichtbaar op een thoraxfoto . Dit heeft meestal geen klinische consequenties. A. Juist B.Onjuist C. Weet niet
Hart en vaten  120.  Een sterk verkalkte mitralisklepring is goed zichtbaar op een thoraxfoto . Dit heeft meestal geen klinische consequenties. A. Juist B.Onjuist C. Weet niet
mitralisklepringverkalking Vaak voorkomend bij ouderen C-vormig op laterale opname Betreft dus de annulus, niet de klep zelf Annulus > soms wat regurgitatie Klep > vaak gepaard met stenose
Hart en vaten  121. De meest frequente benigne intracardiale tumor is het atriale myxoom. A. Juist B.Onjuist C. Weet niet
Hart en vaten  121. De meest frequente benigne intracardiale tumor is het atriale myxoom. A. Juist B.Onjuist C. Weet niet
Cardiac tumors Benign (80%) Myxoma  (3/4  li atrium, ¼ re atrium)  Lipoma & lipomateus septum  (re atrium of atrial septum) Papillair fibroelastoma (<10%)  (verbonden a/d kleppen) Rhabdomyoma / fibroma/ feochromocytoma Malignant Angiosarcoma Rhabdomyosarcoma Other sarcoma’s lymphoma
myxoma Sferisch qua vorm, vaak op kleine pedikel Kunnen door kleppen of patente foramen ovale heengroeien Op MRI: T1: intermediair T2: hoger dan myocard Aankleurend na gado
Hart en vaten  122 .   Om myocardiale ischemie op het spoor te komen worden MRI-opnamen van de linkerventrikel vervaardigd tijdens toediening van dobutamine of adenosine. Adenosine wordt gebruikt om ischemie-gerelateerde contractiestoornissen van de linkerventrikel op te wekken. A. Juist B.Onjuist C. Weet niet
Hart en vaten  122 .   Om myocardiale ischemie op het spoor te komen worden MRI-opnamen van de linkerventrikel vervaardigd tijdens toediening van dobutamine of adenosine. Adenosine wordt gebruikt om ischemie-gerelateerde contractiestoornissen van de linkerventrikel op te wekken. A. Juist B.Onjuist C. Weet niet
Adenosine  stress test Geeft vasodilatatie: kan daarmee  perfusie defecten  op sporen In het gebied waar tgv coronairstenose te weinig bloed komt (dus gebied van relatieve hypoperfusie) geen late enhancement; dat is juist aankleuring van littekenweefsel 1 st  adenosine > dynamische opnames na toediening van gado Subendocardiaal of transmuraal perfusiedefect Lijkt beter dan SPECT maar is nog niet helemaal bewezen Dobutamine : om  contractiestoornissen  op te sporen (snellere hartactie > werkt niet in dode hartcellen > abnormale contractie)
Hart en vaten  123. Bij de zogenaamde congenitaal gecorrigeerde transpositie van de grote arteriën (L-TGA) is de anatomische rechterventrikel verbonden met de aorta. A. Juist B.Onjuist C. Weet niet
Hart en vaten  123. Bij de zogenaamde congenitaal gecorrigeerde transpositie van de grote arteriën (L-TGA) is de anatomische rechterventrikel verbonden met de aorta. A. Juist B.Onjuist C. Weet niet
Transpositie Transpositie grote vaten= AO sluit aan op rechterventrikel, AP sluit aan op linkerventrikel 4 typen: Complete:  D-TGA Corrected (congenital): L-TGA DoubleOutletRightVentricle DoubleOutletLeftVentricle > heel zeldzaam!!!
4 typen transpositie Corrected congenital: Left loop transpositie De morfologisch RV zit links v/d LV allen de kamers zijn dus omgedraaid De aorta komt uit de RV, de RV vult vanuit het linkeratrium De a pulmonalis komt uit de LV, de LV vult vanuit re atrium  > er is dus een min of meer normale flow venen > RA> LV> AP – long – LA >RV> AO
L-TGA D-TGA ARTERIEN VENTRIKELS ATRIA AO RV LV RA LA RA LA LV RV AO AP AP
Hart en vaten  124. De ramus circumflexus is normaliter een tak van de rechter coronairarterie. A. Juist B.Onjuist C. Weet niet
Hart en vaten  124. De ramus circumflexus is normaliter een tak van de rechter coronairarterie. A. Juist B.Onjuist C. Weet niet
 
Hart en vaten  125. Een nadeel van het gebruik van veneuze grafts ten opzichte van een arteria mammaria bij het aanleggen van een coronaire bypass is het optreden van intima hyperplasie. A. Juist B.Onjuist C. Weet niet
Hart en vaten  125. Een nadeel van het gebruik van veneuze grafts ten opzichte van een arteria mammaria bij het aanleggen van een coronaire bypass is het optreden van intima hyperplasie. A. Juist B.Onjuist C. Weet niet
Venen gaan door de hoge druk arterialiseren > zit eigenlijk geen spierwand in en doordat er wel veel druk op staat gaan ze nog sneller dan normale arterien hyperplasie en atherosclerose vertonen
Hart en vaten  126.  Met een Swan-Ganz catheter meet u de &quot;wiggedruk”.   Dit is een afspiegeling van de druk in de linkerventrikel. A. Juist B.Onjuist C. Weet niet
Hart en vaten  126.  Met een Swan-Ganz catheter meet u de &quot;wiggedruk”.   Dit is een afspiegeling van de druk in de linkerventrikel. A. Juist B.Onjuist C. Weet niet
wiggedruk SG ligt met tip in de a pulmonalis Blaast ballonetje op, druk wordt achter het ballonnetje gemeten = gemiddelde druk in de linkerboezem
Hart en vaten  127.  U verricht een Doppleronderzoek van de halsslagaders. De PSV-ratio (piek systolische stroomsnelheid ratio) tussen de arteria carotis interna (ACI) en de arteria carotis communis bedraagt 3.5 . De stenose in de ACI bedraagt minder dan 50%. A. Juist B.Onjuist C. Weet niet
Hart en vaten  127.  U verricht een Doppleronderzoek van de halsslagaders. De PSV-ratio (piek systolische stroomsnelheid ratio) tussen de arteria carotis interna (ACI) en de arteria carotis communis bedraagt 3.5 . De stenose in de ACI bedraagt minder dan 50%. A. Juist B.Onjuist C. Weet niet
Ratio 3.5 = 60-70% stenose De ICA/CCA ratio is een ratio van PSV ICA/ PSV CCA ICA = internal carotid artery CCA = common carotid artery PSV = peak systolic velocity EDV = end diastolic velocity Lesion severity PSV (cm/ s) EDV ICA/ CCA ≥ 50% 150 60 2.5 ≥ 60% 175 70 2.75 ≥ 70% 225 90 3.75 ≥ 80% 300 100 5
Hart en vaten  128. Bij een gelijke diameter is de kans op een ruptuur van een vals aneurysma groter dan van een waar aneurysma. A. Juist B.Onjuist C. Weet niet
Hart en vaten  128. Bij een gelijke diameter is de kans op een ruptuur van een vals aneurysma groter dan van een waar aneurysma. A. Juist B.Onjuist C. Weet niet
Vals aneurysma Waar aneurysma 1. Buitenwand 1. Verzwakte, uitstulpende slagaderwand 2. Scheur in de binnenwand 2. Plaque 3. Bloed in vals kanaal 4. Plaque
Een vals aneurysma heeft per definitie een dunnere wand dus zal sneller ruptureren
Hart en vaten  129. Een 8 French guiding catheter past door een 8 French sheath . A. Juist B.Onjuist C. Weet niet
Hart en vaten  129. Een 8 French guiding catheter past door een 8 French sheath . A. Juist B.Onjuist C. Weet niet
Van de sheeth wordt (volgens standaard afspraak) de binnenmaat aangegeven in Fr Van de guiding catheter de buitenmaat in Fr Het past dus precies 1 french = 0.012 inch = 0.333 mm
Hart en vaten  130. De typische locatie voor een posttraumatisch pseudoaneurysma van de aorta thoracalis is de proximale aorta descendens, net distaal van de origo van de arteria subclavia sinistra. A. Juist B.Onjuist C. Weet niet
Hart en vaten  130. De typische locatie voor een posttraumatisch pseudoaneurysma van de aorta thoracalis is de proximale aorta descendens, net distaal van de origo van de arteria subclavia sinistra. A. Juist B.Onjuist C. Weet niet
Dat is de plek v/d Ductus v Botalli Blijft soort rest vanover Zit vast Daar scheurt het het eerst
Hart en vaten  132. De arteriae plantares ontspringen ter hoogte van de enkel uit de arteria peronea  ( ook wel arteria fibularis genaamd ). A. Juist B.Onjuist C. Weet niet
Hart en vaten  132. De arteriae plantares ontspringen ter hoogte van de enkel uit de arteria peronea  ( ook wel arteria fibularis genaamd ). A. Juist B.Onjuist C. Weet niet
 
  163.  Sagittale reconstructie van een CT-aorta welke is gemaakt ter controle van een stentgraft . Er is sprake van een type I endolekkage. A. Juist B. Onjuist C. Weet niet
  163.  Sagittale reconstructie van een CT-aorta welke is gemaakt ter controle van een stentgraft . Er is sprake van een type I endolekkage. A. Juist B. Onjuist C. Weet niet
4 typen endoleak Type I  endoleak: bloed id aneurysmazak wegens incomplete/ ineffectieve seal ah begin (of uiteinde) vd graft > vaak kort na plaatsen graft. Type II  endoleak: bloed id aneurysmazak wegens flow vanuit collateralen. Soms 2 of meer patente vaten waardoor actieve in- en outflow als kanaaltje door het aneurysma stroomt.  Type III  endoleak: bloed id aneurysmazak wegens inadequate/ ineffectieve sealing of overlapping graft joints or rupture of the graft fabric. This endoleak usually occurs early after treatment, due to technical problems, or later due to device breakdown. Type IV  endoleak: bloed id aneurysmazak wegens porositeit v/d graft fabric, causing blood to pass through from the graft and into the aneurysm sac.
164.  Transversale coupes van een CT wegens verdenking longembolie.  De toevalsbevinding op onderstaande beelden veroorzaakt een rechts-links shunt. A Juist B Onjuist C Weet niet
164.  Transversale coupes van een CT wegens verdenking longembolie.  De toevalsbevinding op onderstaande beelden veroorzaakt een rechts-links shunt. A Juist B Onjuist C Weet niet
Afwijking = abnormaal inmondende longvene Longvene > systemische vene =  links-rechts shunt Past bij extralobaire sequestratie Sequester: Intralobair:   arterieel vanuit AO (75% thoracaal) Veneus via pulmonaal venen Bij oudere kids of adults, presenteert met recurrent infections Extralobair Arterieel vanuit AO (meest abdominaal) Veneus via systemische vene (azygos of hemiazygos) Presents in infancy, mass lesion, gepaard met andere anomalien (hypoplasie vd long, diafragma afwijkingen) Eigen pleura begrenzing, 90% li basaal

Hartvaten vjr2009

  • 1.
    Hart en vaten 118. De rechterventrikel is bij een normaal hart niet contourvormend op de PA-thoraxfoto. A. Juist B Onjuist C Weet niet
  • 2.
    Hart en vaten 118. De rechterventrikel is bij een normaal hart niet contourvormend op de PA-thoraxfoto. A. Juist B Onjuist C Weet niet
  • 3.
    De mediastinum contourop een X-thorax wordt gevormd door: De vena cava superior De vena azygos Het rechteratrium De linkerventrikel De arteria pulmonalis De aortaboog
  • 4.
    Hart en vaten 119. De zogenaamde schoenhart (coeur-en-sabot-)-configuratie op de thoraxfoto bij patiënten met tetralogie van Fallot wordt veroorzaakt door dilatatie van het rechter- atrium. A. Juist B.Onjuist C. Weet niet
  • 5.
    Hart en vaten 119. De zogenaamde schoenhart (coeur-en-sabot-)-configuratie op de thoraxfoto bij patiënten met tetralogie van Fallot wordt veroorzaakt door dilatatie van het rechter- atrium. A. Juist B.Onjuist C. Weet niet
  • 6.
    ToF Pulmonalisklep stenoseRechter ventrikel hypertrofie VSD Overriding aorta De RV hypertrofie veroorzaakt dat de hartpunt opwipt > het zgn schoenhart
  • 7.
  • 8.
    ToF Cyanostische congenitalehartafw > het bloed stroomt direct vanuit de re kamer naar de ao via het VSD > niet gesatureerd bloed komt in de circulatie Extreem: pulmonalis atresie X-thorax 20% rechtsdesc. Ao Opvallend weinig longvaattekening (kan heel asymm zijn) Normale hartgrootte Rel. grote aoboog Kleine hili
  • 9.
  • 10.
    Hart en vaten 120. Een sterk verkalkte mitralisklepring is goed zichtbaar op een thoraxfoto . Dit heeft meestal geen klinische consequenties. A. Juist B.Onjuist C. Weet niet
  • 11.
    Hart en vaten 120. Een sterk verkalkte mitralisklepring is goed zichtbaar op een thoraxfoto . Dit heeft meestal geen klinische consequenties. A. Juist B.Onjuist C. Weet niet
  • 12.
    mitralisklepringverkalking Vaak voorkomendbij ouderen C-vormig op laterale opname Betreft dus de annulus, niet de klep zelf Annulus > soms wat regurgitatie Klep > vaak gepaard met stenose
  • 13.
    Hart en vaten 121. De meest frequente benigne intracardiale tumor is het atriale myxoom. A. Juist B.Onjuist C. Weet niet
  • 14.
    Hart en vaten 121. De meest frequente benigne intracardiale tumor is het atriale myxoom. A. Juist B.Onjuist C. Weet niet
  • 15.
    Cardiac tumors Benign(80%) Myxoma (3/4 li atrium, ¼ re atrium) Lipoma & lipomateus septum (re atrium of atrial septum) Papillair fibroelastoma (<10%) (verbonden a/d kleppen) Rhabdomyoma / fibroma/ feochromocytoma Malignant Angiosarcoma Rhabdomyosarcoma Other sarcoma’s lymphoma
  • 16.
    myxoma Sferisch quavorm, vaak op kleine pedikel Kunnen door kleppen of patente foramen ovale heengroeien Op MRI: T1: intermediair T2: hoger dan myocard Aankleurend na gado
  • 17.
    Hart en vaten 122 . Om myocardiale ischemie op het spoor te komen worden MRI-opnamen van de linkerventrikel vervaardigd tijdens toediening van dobutamine of adenosine. Adenosine wordt gebruikt om ischemie-gerelateerde contractiestoornissen van de linkerventrikel op te wekken. A. Juist B.Onjuist C. Weet niet
  • 18.
    Hart en vaten 122 . Om myocardiale ischemie op het spoor te komen worden MRI-opnamen van de linkerventrikel vervaardigd tijdens toediening van dobutamine of adenosine. Adenosine wordt gebruikt om ischemie-gerelateerde contractiestoornissen van de linkerventrikel op te wekken. A. Juist B.Onjuist C. Weet niet
  • 19.
    Adenosine stresstest Geeft vasodilatatie: kan daarmee perfusie defecten op sporen In het gebied waar tgv coronairstenose te weinig bloed komt (dus gebied van relatieve hypoperfusie) geen late enhancement; dat is juist aankleuring van littekenweefsel 1 st adenosine > dynamische opnames na toediening van gado Subendocardiaal of transmuraal perfusiedefect Lijkt beter dan SPECT maar is nog niet helemaal bewezen Dobutamine : om contractiestoornissen op te sporen (snellere hartactie > werkt niet in dode hartcellen > abnormale contractie)
  • 20.
    Hart en vaten 123. Bij de zogenaamde congenitaal gecorrigeerde transpositie van de grote arteriën (L-TGA) is de anatomische rechterventrikel verbonden met de aorta. A. Juist B.Onjuist C. Weet niet
  • 21.
    Hart en vaten 123. Bij de zogenaamde congenitaal gecorrigeerde transpositie van de grote arteriën (L-TGA) is de anatomische rechterventrikel verbonden met de aorta. A. Juist B.Onjuist C. Weet niet
  • 22.
    Transpositie Transpositie grotevaten= AO sluit aan op rechterventrikel, AP sluit aan op linkerventrikel 4 typen: Complete: D-TGA Corrected (congenital): L-TGA DoubleOutletRightVentricle DoubleOutletLeftVentricle > heel zeldzaam!!!
  • 23.
    4 typen transpositieCorrected congenital: Left loop transpositie De morfologisch RV zit links v/d LV allen de kamers zijn dus omgedraaid De aorta komt uit de RV, de RV vult vanuit het linkeratrium De a pulmonalis komt uit de LV, de LV vult vanuit re atrium > er is dus een min of meer normale flow venen > RA> LV> AP – long – LA >RV> AO
  • 24.
    L-TGA D-TGA ARTERIENVENTRIKELS ATRIA AO RV LV RA LA RA LA LV RV AO AP AP
  • 25.
    Hart en vaten 124. De ramus circumflexus is normaliter een tak van de rechter coronairarterie. A. Juist B.Onjuist C. Weet niet
  • 26.
    Hart en vaten 124. De ramus circumflexus is normaliter een tak van de rechter coronairarterie. A. Juist B.Onjuist C. Weet niet
  • 27.
  • 28.
    Hart en vaten 125. Een nadeel van het gebruik van veneuze grafts ten opzichte van een arteria mammaria bij het aanleggen van een coronaire bypass is het optreden van intima hyperplasie. A. Juist B.Onjuist C. Weet niet
  • 29.
    Hart en vaten 125. Een nadeel van het gebruik van veneuze grafts ten opzichte van een arteria mammaria bij het aanleggen van een coronaire bypass is het optreden van intima hyperplasie. A. Juist B.Onjuist C. Weet niet
  • 30.
    Venen gaan doorde hoge druk arterialiseren > zit eigenlijk geen spierwand in en doordat er wel veel druk op staat gaan ze nog sneller dan normale arterien hyperplasie en atherosclerose vertonen
  • 31.
    Hart en vaten 126. Met een Swan-Ganz catheter meet u de &quot;wiggedruk”. Dit is een afspiegeling van de druk in de linkerventrikel. A. Juist B.Onjuist C. Weet niet
  • 32.
    Hart en vaten 126. Met een Swan-Ganz catheter meet u de &quot;wiggedruk”. Dit is een afspiegeling van de druk in de linkerventrikel. A. Juist B.Onjuist C. Weet niet
  • 33.
    wiggedruk SG ligtmet tip in de a pulmonalis Blaast ballonetje op, druk wordt achter het ballonnetje gemeten = gemiddelde druk in de linkerboezem
  • 34.
    Hart en vaten 127. U verricht een Doppleronderzoek van de halsslagaders. De PSV-ratio (piek systolische stroomsnelheid ratio) tussen de arteria carotis interna (ACI) en de arteria carotis communis bedraagt 3.5 . De stenose in de ACI bedraagt minder dan 50%. A. Juist B.Onjuist C. Weet niet
  • 35.
    Hart en vaten 127. U verricht een Doppleronderzoek van de halsslagaders. De PSV-ratio (piek systolische stroomsnelheid ratio) tussen de arteria carotis interna (ACI) en de arteria carotis communis bedraagt 3.5 . De stenose in de ACI bedraagt minder dan 50%. A. Juist B.Onjuist C. Weet niet
  • 36.
    Ratio 3.5 =60-70% stenose De ICA/CCA ratio is een ratio van PSV ICA/ PSV CCA ICA = internal carotid artery CCA = common carotid artery PSV = peak systolic velocity EDV = end diastolic velocity Lesion severity PSV (cm/ s) EDV ICA/ CCA ≥ 50% 150 60 2.5 ≥ 60% 175 70 2.75 ≥ 70% 225 90 3.75 ≥ 80% 300 100 5
  • 37.
    Hart en vaten 128. Bij een gelijke diameter is de kans op een ruptuur van een vals aneurysma groter dan van een waar aneurysma. A. Juist B.Onjuist C. Weet niet
  • 38.
    Hart en vaten 128. Bij een gelijke diameter is de kans op een ruptuur van een vals aneurysma groter dan van een waar aneurysma. A. Juist B.Onjuist C. Weet niet
  • 39.
    Vals aneurysma Waaraneurysma 1. Buitenwand 1. Verzwakte, uitstulpende slagaderwand 2. Scheur in de binnenwand 2. Plaque 3. Bloed in vals kanaal 4. Plaque
  • 40.
    Een vals aneurysmaheeft per definitie een dunnere wand dus zal sneller ruptureren
  • 41.
    Hart en vaten 129. Een 8 French guiding catheter past door een 8 French sheath . A. Juist B.Onjuist C. Weet niet
  • 42.
    Hart en vaten 129. Een 8 French guiding catheter past door een 8 French sheath . A. Juist B.Onjuist C. Weet niet
  • 43.
    Van de sheethwordt (volgens standaard afspraak) de binnenmaat aangegeven in Fr Van de guiding catheter de buitenmaat in Fr Het past dus precies 1 french = 0.012 inch = 0.333 mm
  • 44.
    Hart en vaten 130. De typische locatie voor een posttraumatisch pseudoaneurysma van de aorta thoracalis is de proximale aorta descendens, net distaal van de origo van de arteria subclavia sinistra. A. Juist B.Onjuist C. Weet niet
  • 45.
    Hart en vaten 130. De typische locatie voor een posttraumatisch pseudoaneurysma van de aorta thoracalis is de proximale aorta descendens, net distaal van de origo van de arteria subclavia sinistra. A. Juist B.Onjuist C. Weet niet
  • 46.
    Dat is deplek v/d Ductus v Botalli Blijft soort rest vanover Zit vast Daar scheurt het het eerst
  • 47.
    Hart en vaten 132. De arteriae plantares ontspringen ter hoogte van de enkel uit de arteria peronea ( ook wel arteria fibularis genaamd ). A. Juist B.Onjuist C. Weet niet
  • 48.
    Hart en vaten 132. De arteriae plantares ontspringen ter hoogte van de enkel uit de arteria peronea ( ook wel arteria fibularis genaamd ). A. Juist B.Onjuist C. Weet niet
  • 49.
  • 50.
      163. Sagittale reconstructie van een CT-aorta welke is gemaakt ter controle van een stentgraft . Er is sprake van een type I endolekkage. A. Juist B. Onjuist C. Weet niet
  • 51.
      163. Sagittale reconstructie van een CT-aorta welke is gemaakt ter controle van een stentgraft . Er is sprake van een type I endolekkage. A. Juist B. Onjuist C. Weet niet
  • 52.
    4 typen endoleakType I endoleak: bloed id aneurysmazak wegens incomplete/ ineffectieve seal ah begin (of uiteinde) vd graft > vaak kort na plaatsen graft. Type II endoleak: bloed id aneurysmazak wegens flow vanuit collateralen. Soms 2 of meer patente vaten waardoor actieve in- en outflow als kanaaltje door het aneurysma stroomt. Type III endoleak: bloed id aneurysmazak wegens inadequate/ ineffectieve sealing of overlapping graft joints or rupture of the graft fabric. This endoleak usually occurs early after treatment, due to technical problems, or later due to device breakdown. Type IV endoleak: bloed id aneurysmazak wegens porositeit v/d graft fabric, causing blood to pass through from the graft and into the aneurysm sac.
  • 53.
    164. Transversalecoupes van een CT wegens verdenking longembolie. De toevalsbevinding op onderstaande beelden veroorzaakt een rechts-links shunt. A Juist B Onjuist C Weet niet
  • 54.
    164. Transversalecoupes van een CT wegens verdenking longembolie. De toevalsbevinding op onderstaande beelden veroorzaakt een rechts-links shunt. A Juist B Onjuist C Weet niet
  • 55.
    Afwijking = abnormaalinmondende longvene Longvene > systemische vene = links-rechts shunt Past bij extralobaire sequestratie Sequester: Intralobair: arterieel vanuit AO (75% thoracaal) Veneus via pulmonaal venen Bij oudere kids of adults, presenteert met recurrent infections Extralobair Arterieel vanuit AO (meest abdominaal) Veneus via systemische vene (azygos of hemiazygos) Presents in infancy, mass lesion, gepaard met andere anomalien (hypoplasie vd long, diafragma afwijkingen) Eigen pleura begrenzing, 90% li basaal