Gastric Disorders
Abbas BAHR M.D
Gastric Pathology
1. Congenital Disorders
2. Mechanical Disorders
3. Inflammation
4. Neoplasms
Overview
I. Anatomy, Physiology, Histology, and Developmental Anomalies of the Stomach
II. Gastric Neuromuscular Function and Neuromuscular Disorders
III. Gastric Secretion
IV. Gastritis and Gastropathy
V. Peptic Ulcer Disease
VI. Gastric tumors
Overview
I. Anatomy, Physiology, Histology, and Developmental Anomalies of the Stomach
II. Gastric Neuromuscular Function and Neuromuscular Disorders
III. Gastric Secretion
IV. Gastritis and Gastropathy
V. Peptic Ulcer Disease
VI. Gastric tumors
I. Anatomy, Physiology, Histology, and
Developmental Anomalies of the Stomach
1. Anatomy and Physiology of the Stomach
2. Vascular Supply and Drainage; Lymphatic Drainage
3. Gastric Innervation
4. Tissue Layers of the Stomach
5. Microscopic Anatomy
6. Congenital Anomalies of the Stomach
1. Anatomy and Physiology of the Stomach
Normal Stomach
• Saccular structure with a volume of 1200-1500 ml.
• Divided into five anatomic regions: cardia, fundus, body (corpus), antrum, and pylorus.
• Gastric wall layers: mucosa, submucosa, muscularis propria, and serosa.
• Several glandular cells in mucosa:
• mucus secreting cells
• parietal cells (acid secreting cells)
• chief cells (pepsin and chymosin secreting cells)
• G cells (gastrin secreting cells)
• endocrine (enterochromaffin) cells
• The line is drawn from the incisura angularis
along the lesser curvature to an indistinct
border between the gastric body and antrum
along the greater curvature
• Major Functions of the Stomach
• Storage of ingested food
• Mechanical breakdown of ingested food
• Disruption of chemical bonds in food material by acid and enzymes
• Production of intrinsic factor, a glycoprotein required for absorption of
vitamin B12
in small intestine
2. Vascular Supply and Drainage; Lymphatic Drainage
3. Gastric Innervation
4. Tissue Layers of the Stomach
5. Microscopic Anatomy
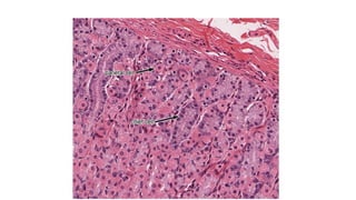
Fundus
6. Congenital Anomalies of the Stomach
Diaphragmatic Hernia Non-Axial Hernia
• Diaphragmatic hernia:
Herniation of abdominal contents into the thoracic cavity due to weakness or absence of diaphragmatic tissue
Pyloric Stenosis
Pyloric stenosis
• Concentric enlargement of the pyloric
sphincter
• Seen early in life in infants
• Affects boys 3-4 times more often than
girls
• Multifactorial pattern of inheritance;
familial occurrence has been described
and may be seen in association with
other developmental abnormalities
Pyloric Stenosis
Thick Wall
Pyloric Stenosis
Thickened wall at level of pyloris
Overview
I. Anatomy, Physiology, Histology, and Developmental Anomalies of the Stomach
II. Gastric Neuromuscular Function and Neuromuscular Disorders
III. Gastric Secretion
IV. Gastritis and Gastropathy
V. Peptic Ulcer Disease
VI. Gastric tumors
Gastric Pathology
1. Congenital Disorders
2. Mechanical Disorders
3. Inflammation
4. Neoplasms
Mechanical Disorders
•Anatomical: e.g. stricture, typically related to an ulcer in the pylorus.
•Physiological: neural disorders, drug induced.
II. Gastric Neuromuscular Function and
Neuromuscular Disorders
• Electrophysiologic Basis of Gastric
Neuromuscular Function
• Regulation of Gastric Neuromuscular
Activity after a Meal
• Gastric Sensory Activities
• The Stomach and the Regulation of
Food Intake, Hunger, and Satiety
• Developmental Aspects of Gastric
Neuromuscular Function
• Assessment of Gastric Neuromuscular
Function
• Neuromuscular Disorders of the
Stomach
• Diagnosis
• Treatment
II. Gastric Neuromuscular Function
• Electrophysiologic Basis of Gastric
Neuromuscular Function
• Extracellular Slow Waves and Plateau and
Action Potentials
• Intracellular Electrical Recordings from Gastric
Smooth Muscle Cells
• Interstitial Cells of Cajal
• Nervous System Innervation
• Gastric Neuromuscular Activity during Fasting
• Gastric Neuromuscular Activity after a Meal
• Regulation of Gastric Neuromuscular Activity
after a Meal
• Gastric Sensory Activities
• The Stomach and the Regulation of Food
Intake, Hunger, and Satiety
• Developmental Aspects of Gastric
Neuromuscular Function
• Assessment of Gastric Neuromuscular
Function
• Gastric Emptying Rates
• Gastric Contractions
• Gastric Myoelectrical Activity
• Gastric Relaxation, Accommodation, and
Volume
• Histopathologic Studies in Gastric
Neuromuscular Disorders
II. Gastric Neuromuscular Function
• Electrophysiologic Basis of Gastric
Neuromuscular Function
• Extracellular Slow Waves and Plateau and
Action Potentials
• Intracellular Electrical Recordings from Gastric
Smooth Muscle Cells
• Interstitial Cells of Cajal
• Nervous System Innervation
• Gastric Neuromuscular Activity during Fasting
• Gastric Neuromuscular Activity after a Meal
• Regulation of Gastric Neuromuscular Activity
after a Meal
• Gastric Sensory Activities
• The Stomach and the Regulation of Food
Intake, Hunger, and Satiety
• Developmental Aspects of Gastric
Neuromuscular Function
• Assessment of Gastric Neuromuscular
Function
• Gastric Emptying Rates
• Gastric Contractions
• Gastric Myoelectrical Activity
• Gastric Relaxation, Accommodation, and
Volume
• Histopathologic Studies in Gastric
Neuromuscular Disorders
II. Gastric Neuromuscular Function
• Electrophysiologic Basis of Gastric
Neuromuscular Function
• Extracellular Slow Waves and Plateau and
Action Potentials
• Intracellular Electrical Recordings from Gastric
Smooth Muscle Cells
• Interstitial Cells of Cajal
• Nervous System Innervation
• Gastric Neuromuscular Activity during Fasting
• Gastric Neuromuscular Activity after a Meal
• Regulation of Gastric Neuromuscular Activity
after a Meal
• Gastric Sensory Activities
• The Stomach and the Regulation of Food
Intake, Hunger, and Satiety
• Developmental Aspects of Gastric
Neuromuscular Function
• Assessment of Gastric Neuromuscular
Function
• Gastric Emptying Rates
• Gastric Contractions
• Gastric Myoelectrical Activity
• Gastric Relaxation, Accommodation, and
Volume
• Histopathologic Studies in Gastric
Neuromuscular Disorders
Assessment of Gastric Neuromuscular Function
• Gastric Emptying Rates
• Scintigraphy
• Capsule Technology
• Breath Tests
• US, CT and MRI
• Gastric Contractions
• Antroduodenal Manometry
• Capsule Technology
• Gastric Myoelectrical Activity
• Gastric Relaxation, Accommodation, and Volume
• Barostat Tests
• Scintigraphy and Other Tests
• Non-Nutrient Liquid and Nutrient Drink Satiety Tests
• Pyloric Sphincter Tests
• Antroduodenal Manometry
• Histopathologic Studies in Gastric Neuromuscular Disorders
• Full-thickness specimens from the gastric wall
II. Neuromuscular Disorders
A. Neuromuscular Disorders of the Stomach
1. Gastroparesis
2. Gastric Neuromuscular Dysfunction Associated with Other Gastrointestinal Disorders
3. Dumping Syndrome and Rapid Gastric Emptying
B. Diagnosis
1. Symptoms
2. Physical Examination
3. Standard Tests
4. Specialized Noninvasive Tests
C. Treatment
1. Drug Therapy
2. Electrical Therapy
3. Endoscopic Therapy
4. Diet Therapy
A. Neuromuscular Disorders of the Stomach
1. Gastroparesis
a. Diabetic Gastroparesis
b. Postsurgical Gastroparesis
c. Ischemic Gastroparesis
d. Obstructive Gastroparesis
e. Idiopathic Gastroparesis
2. Gastric Neuromuscular Dysfunction Associated with Other Gastrointestinal Disorders
a. Functional Dyspepsia
b. Gastroesophageal Reflux Disease
c. Constipation, Irritable Bowel Syndrome, and Pseudo-Obstruction
d. Miscellaneous Conditions
3. Dumping Syndrome and Rapid Gastric Emptying
B. Diagnosis
1. Symptoms
2. Physical Examination
3. Standard Tests
4. Specialized Noninvasive Tests
1. Symptoms
• Early satiety
• Prolonged epigastric fullness
• Nonspecific epigastric discomfort
• Nausea, and vomiting
• Regurgitation
• Rumination
• Abdominal pain (abdominal discomfort)
• Bloating and nausea
2. Physical Examination
• Normal
• Signs of volume depletion, weight loss, and poor nutrition
• Inspection of dentition may show erosion of enamel associated with chronic GERD or bulimia
• Abdominal examination may detect masses, organomegaly, and areas of tenderness. Abdominal
distention and succession splash may be present
• Auscultation over the epigastrium may detect bruits that indicate stenoses of the celiac or
superior mesenteric arteries.
• Tenderness that is well localized at healed incisions and persists when the anterior abdominal
muscles are contracted (Carnett’s sign) suggests an abdominal wall syndrome
• Neurologic examination may reveal nystagmus, facial weakness, ataxia, or other abnormalities
Tests
3. Standard Tests
• Upper gastrointestinal (GI) series
• CT of the abdomen and head
• Routine laboratory studies
• Upper endoscopy
4. Specialized Noninvasive Tests
• Gastric emptying tests
• EGG
C. Treatment
1. Drug Therapy
• Prokinetic Agents for Corpus-Antrum
• Prorelaxant Agents for Fundus and
Pylorus
• Antinauseant Therapy
2. Electrical Therapy
• Acustimulation
• Gastric Electrical Therapies
• Gastric Electrical Stimulation
• Gastric Pacing
• Sequential Neural Electrical
Stimulation
3. Endoscopic Therapy
4. Diet Therapy
• Dietary Counseling
• Nutraceuticals
• Other Approaches to Nutritional Support
Gastroparesis and
Functional Dyspepsia
Management of
Gastroparesis
Medical treatment options
Gastric emptying - symptoms
Gastric emptying - symptoms
Gastric emptying - symptoms
Symptoms – therapeutic targets
Prokinetics
Prokinetics
Management of
Gastroparesis
Surgical treatment options
.
Electrical Stimulation for
Gastroparesis
Gastric Disorders Part 1.Hhhhhhhhhtfeefeff
Gastric Disorders Part 1.Hhhhhhhhhtfeefeff
Gastric Disorders Part 1.Hhhhhhhhhtfeefeff
Gastric Disorders Part 1.Hhhhhhhhhtfeefeff
Gastric Disorders Part 1.Hhhhhhhhhtfeefeff
Gastric Disorders Part 1.Hhhhhhhhhtfeefeff
Gastric Disorders Part 1.Hhhhhhhhhtfeefeff

Gastric Disorders Part 1.Hhhhhhhhhtfeefeff

  • 1.
  • 2.
    Gastric Pathology 1. CongenitalDisorders 2. Mechanical Disorders 3. Inflammation 4. Neoplasms
  • 3.
    Overview I. Anatomy, Physiology,Histology, and Developmental Anomalies of the Stomach II. Gastric Neuromuscular Function and Neuromuscular Disorders III. Gastric Secretion IV. Gastritis and Gastropathy V. Peptic Ulcer Disease VI. Gastric tumors
  • 4.
    Overview I. Anatomy, Physiology,Histology, and Developmental Anomalies of the Stomach II. Gastric Neuromuscular Function and Neuromuscular Disorders III. Gastric Secretion IV. Gastritis and Gastropathy V. Peptic Ulcer Disease VI. Gastric tumors
  • 5.
    I. Anatomy, Physiology,Histology, and Developmental Anomalies of the Stomach 1. Anatomy and Physiology of the Stomach 2. Vascular Supply and Drainage; Lymphatic Drainage 3. Gastric Innervation 4. Tissue Layers of the Stomach 5. Microscopic Anatomy 6. Congenital Anomalies of the Stomach
  • 6.
    1. Anatomy andPhysiology of the Stomach
  • 7.
    Normal Stomach • Saccularstructure with a volume of 1200-1500 ml. • Divided into five anatomic regions: cardia, fundus, body (corpus), antrum, and pylorus. • Gastric wall layers: mucosa, submucosa, muscularis propria, and serosa. • Several glandular cells in mucosa: • mucus secreting cells • parietal cells (acid secreting cells) • chief cells (pepsin and chymosin secreting cells) • G cells (gastrin secreting cells) • endocrine (enterochromaffin) cells
  • 8.
    • The lineis drawn from the incisura angularis along the lesser curvature to an indistinct border between the gastric body and antrum along the greater curvature
  • 9.
    • Major Functionsof the Stomach • Storage of ingested food • Mechanical breakdown of ingested food • Disruption of chemical bonds in food material by acid and enzymes • Production of intrinsic factor, a glycoprotein required for absorption of vitamin B12 in small intestine
  • 10.
    2. Vascular Supplyand Drainage; Lymphatic Drainage
  • 11.
  • 12.
    4. Tissue Layersof the Stomach
  • 13.
  • 15.
  • 16.
  • 17.
    Diaphragmatic Hernia Non-AxialHernia • Diaphragmatic hernia: Herniation of abdominal contents into the thoracic cavity due to weakness or absence of diaphragmatic tissue
  • 18.
    Pyloric Stenosis Pyloric stenosis •Concentric enlargement of the pyloric sphincter • Seen early in life in infants • Affects boys 3-4 times more often than girls • Multifactorial pattern of inheritance; familial occurrence has been described and may be seen in association with other developmental abnormalities
  • 19.
    Pyloric Stenosis Thick Wall PyloricStenosis Thickened wall at level of pyloris
  • 20.
    Overview I. Anatomy, Physiology,Histology, and Developmental Anomalies of the Stomach II. Gastric Neuromuscular Function and Neuromuscular Disorders III. Gastric Secretion IV. Gastritis and Gastropathy V. Peptic Ulcer Disease VI. Gastric tumors
  • 21.
    Gastric Pathology 1. CongenitalDisorders 2. Mechanical Disorders 3. Inflammation 4. Neoplasms
  • 22.
    Mechanical Disorders •Anatomical: e.g.stricture, typically related to an ulcer in the pylorus. •Physiological: neural disorders, drug induced.
  • 23.
    II. Gastric NeuromuscularFunction and Neuromuscular Disorders • Electrophysiologic Basis of Gastric Neuromuscular Function • Regulation of Gastric Neuromuscular Activity after a Meal • Gastric Sensory Activities • The Stomach and the Regulation of Food Intake, Hunger, and Satiety • Developmental Aspects of Gastric Neuromuscular Function • Assessment of Gastric Neuromuscular Function • Neuromuscular Disorders of the Stomach • Diagnosis • Treatment
  • 24.
    II. Gastric NeuromuscularFunction • Electrophysiologic Basis of Gastric Neuromuscular Function • Extracellular Slow Waves and Plateau and Action Potentials • Intracellular Electrical Recordings from Gastric Smooth Muscle Cells • Interstitial Cells of Cajal • Nervous System Innervation • Gastric Neuromuscular Activity during Fasting • Gastric Neuromuscular Activity after a Meal • Regulation of Gastric Neuromuscular Activity after a Meal • Gastric Sensory Activities • The Stomach and the Regulation of Food Intake, Hunger, and Satiety • Developmental Aspects of Gastric Neuromuscular Function • Assessment of Gastric Neuromuscular Function • Gastric Emptying Rates • Gastric Contractions • Gastric Myoelectrical Activity • Gastric Relaxation, Accommodation, and Volume • Histopathologic Studies in Gastric Neuromuscular Disorders
  • 25.
    II. Gastric NeuromuscularFunction • Electrophysiologic Basis of Gastric Neuromuscular Function • Extracellular Slow Waves and Plateau and Action Potentials • Intracellular Electrical Recordings from Gastric Smooth Muscle Cells • Interstitial Cells of Cajal • Nervous System Innervation • Gastric Neuromuscular Activity during Fasting • Gastric Neuromuscular Activity after a Meal • Regulation of Gastric Neuromuscular Activity after a Meal • Gastric Sensory Activities • The Stomach and the Regulation of Food Intake, Hunger, and Satiety • Developmental Aspects of Gastric Neuromuscular Function • Assessment of Gastric Neuromuscular Function • Gastric Emptying Rates • Gastric Contractions • Gastric Myoelectrical Activity • Gastric Relaxation, Accommodation, and Volume • Histopathologic Studies in Gastric Neuromuscular Disorders
  • 33.
    II. Gastric NeuromuscularFunction • Electrophysiologic Basis of Gastric Neuromuscular Function • Extracellular Slow Waves and Plateau and Action Potentials • Intracellular Electrical Recordings from Gastric Smooth Muscle Cells • Interstitial Cells of Cajal • Nervous System Innervation • Gastric Neuromuscular Activity during Fasting • Gastric Neuromuscular Activity after a Meal • Regulation of Gastric Neuromuscular Activity after a Meal • Gastric Sensory Activities • The Stomach and the Regulation of Food Intake, Hunger, and Satiety • Developmental Aspects of Gastric Neuromuscular Function • Assessment of Gastric Neuromuscular Function • Gastric Emptying Rates • Gastric Contractions • Gastric Myoelectrical Activity • Gastric Relaxation, Accommodation, and Volume • Histopathologic Studies in Gastric Neuromuscular Disorders
  • 34.
    Assessment of GastricNeuromuscular Function • Gastric Emptying Rates • Scintigraphy • Capsule Technology • Breath Tests • US, CT and MRI • Gastric Contractions • Antroduodenal Manometry • Capsule Technology • Gastric Myoelectrical Activity • Gastric Relaxation, Accommodation, and Volume • Barostat Tests • Scintigraphy and Other Tests • Non-Nutrient Liquid and Nutrient Drink Satiety Tests • Pyloric Sphincter Tests • Antroduodenal Manometry • Histopathologic Studies in Gastric Neuromuscular Disorders • Full-thickness specimens from the gastric wall
  • 35.
    II. Neuromuscular Disorders A.Neuromuscular Disorders of the Stomach 1. Gastroparesis 2. Gastric Neuromuscular Dysfunction Associated with Other Gastrointestinal Disorders 3. Dumping Syndrome and Rapid Gastric Emptying B. Diagnosis 1. Symptoms 2. Physical Examination 3. Standard Tests 4. Specialized Noninvasive Tests C. Treatment 1. Drug Therapy 2. Electrical Therapy 3. Endoscopic Therapy 4. Diet Therapy
  • 37.
    A. Neuromuscular Disordersof the Stomach 1. Gastroparesis a. Diabetic Gastroparesis b. Postsurgical Gastroparesis c. Ischemic Gastroparesis d. Obstructive Gastroparesis e. Idiopathic Gastroparesis 2. Gastric Neuromuscular Dysfunction Associated with Other Gastrointestinal Disorders a. Functional Dyspepsia b. Gastroesophageal Reflux Disease c. Constipation, Irritable Bowel Syndrome, and Pseudo-Obstruction d. Miscellaneous Conditions 3. Dumping Syndrome and Rapid Gastric Emptying
  • 38.
    B. Diagnosis 1. Symptoms 2.Physical Examination 3. Standard Tests 4. Specialized Noninvasive Tests
  • 39.
    1. Symptoms • Earlysatiety • Prolonged epigastric fullness • Nonspecific epigastric discomfort • Nausea, and vomiting • Regurgitation • Rumination • Abdominal pain (abdominal discomfort) • Bloating and nausea
  • 40.
    2. Physical Examination •Normal • Signs of volume depletion, weight loss, and poor nutrition • Inspection of dentition may show erosion of enamel associated with chronic GERD or bulimia • Abdominal examination may detect masses, organomegaly, and areas of tenderness. Abdominal distention and succession splash may be present • Auscultation over the epigastrium may detect bruits that indicate stenoses of the celiac or superior mesenteric arteries. • Tenderness that is well localized at healed incisions and persists when the anterior abdominal muscles are contracted (Carnett’s sign) suggests an abdominal wall syndrome • Neurologic examination may reveal nystagmus, facial weakness, ataxia, or other abnormalities
  • 41.
    Tests 3. Standard Tests •Upper gastrointestinal (GI) series • CT of the abdomen and head • Routine laboratory studies • Upper endoscopy 4. Specialized Noninvasive Tests • Gastric emptying tests • EGG
  • 42.
    C. Treatment 1. DrugTherapy • Prokinetic Agents for Corpus-Antrum • Prorelaxant Agents for Fundus and Pylorus • Antinauseant Therapy 2. Electrical Therapy • Acustimulation • Gastric Electrical Therapies • Gastric Electrical Stimulation • Gastric Pacing • Sequential Neural Electrical Stimulation 3. Endoscopic Therapy 4. Diet Therapy • Dietary Counseling • Nutraceuticals • Other Approaches to Nutritional Support
  • 50.
  • 93.
  • 94.
  • 95.
  • 96.
  • 97.
  • 98.
  • 99.
  • 116.
  • 128.
  • 144.