EFUSI PLEURA
DEFINISI EFUSI PLEURA
Efusi pleura adalah suatu keadaan dimana terdapat penumpukan cairan dari dalam
kavum pleura diantara pleura parietalis dan pleura viseralis dapat berupa cairan transudat
atau cairan eksudat. Efusi pleura adalah jumlah cairan ion purulen yang berlebihan dalam
rongga pleura, antara lain visceral dan parietal. Efusi pleura adalah akumulasi cairan di
dalam rongga pleura. Jadi, efusi pleura adalah akumulasi cairan yang berlebihan pada
rongga pleura, Cairan tersebut mengisi ruangan yang mengelilingi paru. Adanya akumulasi
cairan pada kavum pleura ini mengindikasikan adanya suatu kelainan atau penyakit. Cairan
dalam jumlah yang berlebihan dapat mengganggu pernapasan dengan membatasi
peregangan paru selama inhalasi. 1
EPIDEMIOLOGI
Secara keseluruhan, insidensi efusi pleura sama antara pria dan wanita. Efusi pleura
kebanyakan terjadi pada usia dewasa. Namun demikian, efusi pleura belakangan ini
cenderung meningkat pada anak-anak dengan penyebab tersering adalah pneumonia.2
ETIOLOGI
Efusi pleura merupakan manifestasi penyakit pada pleura yang paling sering dengan
etiologi yang bermacam-macam mulai dari kardiopulmoner, inflamasi, hingga keganasan
yang harus segera dievaluasi dan diterapi.2
KLASIFIKASI
Efusi pleura secara umum diklasifikasikan sebagai transudat dan eksudat, bergantung dari
mekanisme terbentuknya serta profil kimia cairan efusi tersebut. Gambaran normal cairan
pleura adalah sebagai berikut :
1. Jernih
2. pH 7,60-7,64
3. Kandungan protein kurang dari 2% (1-2 g/dL)
4. Kadungan sel darah putih < 1000 /m3
5. Kadar glukosa serupa dengan plasma
6. Kadar LDH (laktat dehidrogenase) < 50% dari plasma.
Cairan transudat dihasilkan dari ketidakseimbangan antara tekanan hidrostatik
dan onkotik pada membrane pleura, dengan kadar protein <3g/dl, berat jenis <1,106, LDH
(Lactic Dehydrogenase) <200 IU. Pada keadaan ini, endotel pembuluh darah paru dalam
kondisi yang normal, dimana fungsi filtrasi masih normal pula sehingga kandungan sel dan
dan protein pada cairan efusi transudat lebih rendah. Penyebab :
1. Gagal jantung kongestif
2. Sirosis (hepatik hidrotoraks)
3. Atelektasis – yang bisa disebabkan oleh keganasan atau emboli paru
4. Hipoalbuminemia
5. Sindroma nefrotik
Sementara eksudat dihasilkan oleh proses inflamasi paru ataupun pleura, gangguan
drainase limfatik pada rongga pleura, pergerakan cairan eksudat dari rongga peritoneal
melalui diafragma, perubahan permeabilitas membran pleura, serta peningkatan
permeabilitas dinding kapiler atau kerusakan pembuluh darah. Cairan eksudat memiliki
kadar protein >3g/dl, berat jenis >1,106, LDH (Lactic Dehydrogenase) >200 IU, dapat
berwarna kuning, purulent atau kemerahan, dengan tau tanpa sel atau bakteri. Penyebab :
1. Parapneumonia
2. Keganasan (paling sering, kanker paru atau kanker payudara, limfoma,
leukemia)
3. Emboli paru
4. Penyakit-penyakit jaringan ikat-pembuluh darah (artritis reumatoid,
sistemic lupus erythematosus)
5. Tuberkulosis
6. Trauma
7. Pleuritis
8. Infeksi jamur
9. Abses intraabdomina
10. Sindrom Meig (neoplasma jinak pelvis disertai asites dan efusi pleura)
11. Sindrom yellow nail (kuku kuning, limfedema, efusi pleura)
12. Chylothorax (suatu kondisi akut dengan peningkatan kadar trigilerida pada
cairan pleura)
13. Pseudochylotoraks (suatu kondisi kronis dengan peningkatan kadar
kolesterol cairan pleura)
ANATOMI DAN FISIOLOGI KAVUM PLEURA
Kavum thoraks adalah ruangan bagian tubuh yang terletak diantara leher dan
abdomen, Dibatasi oleh sternum dan costa bagian depan didepannya, columna vertebralis
dibelakang, lengkung costa dilateral, apertura thoraks superior diatas dan diafragma
dibawah. Didalam Kavum thoraks terdapat: kavum pleura (paru-paru kanan dan kiri
beserta pleuranya masing-masing) dan mediastinum.1
Pleura terletak dibagian terluar dari paru-paru dan mengelilingi paru. Pleura disusun
oleh jaringan ikat fibrosa yang didalamnya terdapat banyak kapiler limfa dan kapiler darah
serta serat saraf kecil. Pleura disusun juga oleh sel-sel (terutama fibroblast dan makrofag).
Pleura paru ini juga dilapisi oleh selapis mesotel. Pleura merupakan membran tipis, halus,
dan licin yang membungkus dinding anteriortoraks dan permukaan superior diafragma.
Lapisan tipis ini mengandung kolagen dan jaringan elastis.1
Gambar 1. Anatomi Pleura
Ada 2 macam pleura yaitu pleura parietalis dan pleura viseralis. Pleura parietalis
melapisi toraks atau rongga dada sedangkan pleura viseralis melapisi paru-paru. Kedua
pleura ini bersatu pada hilus paru. Dalam beberapa hal terdapat perbedaan antara kedua
pleura ini yaitu pleura viseralis bagian permukaan luarnya terdiri dari selapis sel
mesotelial yang tipis (tebalnya tidak lebih dari 30 μm). Diantara celahcelah sel ini terdapat
beberapa sel limfosit. Di bawah sel-sel mesotelia ini terdapat endopleura yang berisi
fibrosit dan histiosit. Seterusnya dibawah ini (dinamakan lapisan tengah) terdapat jaringan
kolagen dan serat-serat elastik. Pada lapisan terbawah terdapat jaringan intertitial
subpleura yang sangat banyak mengandung pembuluh darah kapiler dari A. Pulmonalis
dan A. Brankialis serta pembuluh getah bening. Keseluruhan jaringan pleura viseralis ini
menempel dengan kuat pada jaringan parenkim paru. Pleura parietalis mempunyai lapisan
jaringan lebih tebal dan terdiri dari sel-sel mesotelial juga dan jaringan ikat (jaringan
kolagen dan serat-serat elastik). Dalam jaringan ikat, terdapat pembuluh kapiler dari A.
Interkostalis dan A. Mammaria interna, pembuluh getah bening dan banyak reseptor saraf-
saraf sensorik yang peka terhadap rasa sakit dan perbedaan temperatur. Sistem persarafan ini
berasal dari nervus intercostalis dinding dada. Keseluruhan jaringan pleura parietalis ini
menempel dengan mudah, tapi juga mudah dilepaskan dari dinding dada di atasnya.
Di antara pleura terdapat ruangan yang disebut spasium pleura, yang mengandung
sejumlah kecil cairan yang melicinkan permukaan dan memungkinkan keduanya bergeser
secara bebas pada saat ventilasi. Cairan tersebut dinamakan cairan pleura. Cairan ini
terletak antara paru dan thoraks. Tidak ada ruangan yang sesungguhnya memisahkan
pleura parietalis dengan pleura viseralis sehingga apa yang disebut sebagai rongga pleura
atau kavitas pleura hanyalah suatu ruangan potensial. Tekanan dalam rongga pleura lebih
rendah daripada tekanan atmosfer sehingga mencegah kolaps paru. Jumlah normal cairan
pleura adalah 10-20 cc.1
Cairan pleura berfungsi untuk memudahkan kedua permukaan pleura parietalis
dan pleura viseralis bergerak selama pernapasan dan untuk mencegah pemisahan toraks
dan paru yang dapat dianalogkan seperti dua buah kaca objek yang akan saling melekat
jika ada air. Kedua kaca objek tersebut dapat bergeseran satu dengan yang lain tetapi
keduanya sulit dipisahkan. Cairan pleura dalam keadaan normal akan bergerak dari kapiler
di dalam pleura parietalis ke ruang pleura kemudian diserap kembali melalui pleura viseralis.
Hal ini disebabkan karena perbedaan tekanan antara tekanan hidrostatik darah yang
cenderung mendorong cairan keluar dan tekanan onkotik dari protein plasma yang
cenderung menahan cairan agar tetap di dalam. Selisih perbedaan absorpsi cairan pleura
melalui pleura viseralis lebih besar daripada selisih perbedaan pembentukan cairan oleh
pleura parietalis dan permukaan pleura viseralis lebih besar dari pada pleura parietalis
sehingga dalam keadaan normal hanya ada beberapa mililiter cairan di dalam rongga
pleura.1
Gambar 2. Gambaran Anatomi Pleura
TANDA DAN GEJALA
1. Adanya timbunan cairan mengakibatkan perasaan sakit karena pergesekan,
setelah cairan cukup banyak rasa sakit.
2. Adanya gejala-gejala penyakit penyebab seperti demam, menggigil, dan nyeri dada
pleuritis (pneumonia, panas tinggi (kokus), banyak keringat, batuk, banyak sputum.
3. Deviasi trachea menjauhi tempat sakit dapat terjadi penumpukan cairan pleural
yang signifikan. Pemeriksaan fisik dalam keadaan berbaring dan duduk akan berlainan,
karena cairan akan berpindah tempat. Bagian yang sakit akan kurang bergerak dalam
pernapasan, fremitus melemah (raba dan vocal), pada perkusi didapati daerah pekak,
dalam keadaan duduk permukaan cairan membentuk garis melengkung ( garis ellis
damoiseu).
4. Didapati segitiga garland yaitu daerah yang pada perkusi redup timpani dibagian atas
garis ellis domiseu. Segitiga Grocco-Rochfusz, yaitu daerah pekak karena cairan mendorong
memdiastinum keksisi lain, pada auskultasi daerah ini didapati vesikuler melemah dengan
ronki.
5. Pada permulaan dan akhir penyakit terdengar krepitasi pleura.
PATOFISIOLOGI
Patofisiologi terjadinya efusi pleura tergantung pada keseimbangan antara cairan
dan protein dalam rongga pleura. Dalam keadaan normal cairan pleura dibentuk secara
lambat sebagai filtrasi melalui pembuluh darah kapiler. Filtrasi ini terjadi karena
perbedaan tekanan osmotik plasma dan jaringan interstisial submesotelial, kemudian
melalui sel mesotelial masuk ke dalam rongga pleura. Selain itu cairan pleura dapat
melalui pembuluh limfe sekitar pleura. Proses penumpukan cairan dalam rongga pleura
dapat disebabkan oleh peradangan. Bila proses radang oleh kuman piogenik akan
terbentuk pus/nanah, sehingga terjadi empiema/piotoraks. Bila proses ini mengenai
pembuluh darah besar sekitar pleura dapat menyebabkan hemotoraks. Proses terjadinya
pneumotoraks karena pecahnya alveoli dekat pleura parietalis sehingga udara akan masuk
ke dalam rongga pleura. Proses ini sering disebabkan oleh trauma dada atatu alveoli pada
daerah tersebut yang kurang elastis lagi seperti pada pasien emfisema paru. Efusi cairan
dapat berbentuk transudat, terjadinya karena penyakit lain bukan primer paru seperti gagal
jantung kongestif, sirosis hati, sindrom nefrotik, dialisis peritoneum, hipoalbuminemia
oleh berbagai keadaan, perikarditis konstriktiva, keganasan, atelektasis paru, dan
pneumotoraks. Efusi eksudat terjadi bila ada proses peradangan yang menyebabkan
permeabilitas kapiler pembuluh darah pleura meningkat sehingga sel mesotelial berubah
menjadi bulat atau kuboidal dan terjadi pengeluaran cairan ke dalam rongga pleura.
Penyebab pleuritis eksudativa yang paling sering adalah karena mikobakterium
tuberkulosis dan dikenal sebagai pleuritis eksudativa tuberkulosa.2,3
Sebab lain seperti parapneumonia, parasit (amuba, paragonimiosis, ekinokokkus),
jamur, pneumonia atipik (virus, mikoplasma, fever, legionella), keganasan paru, proses
imunologik seperti pleuritis lupus, pleuritis rematoid, sarkoidosis, radang sebab lain
seperti, pakreatitis, asbestosis, pleuritis uremia, dan akibat radiasi.2,3
DIAGNOSTIK
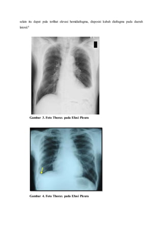
Pemeriksaan foto toraks posteroanterior (PA) dan lateral sampai saat ini masih
merupakan yang paling diperlukan untuk mengetahui adanya efusi pleura pada awal
diagnosa. Pada posisi tegak, akan terlihat akumulasi cairan yang menyebabkan hemitoraks
tampak lebih tinggi, kubah diafragma tampak lebih ke lateral, serta sudut kostofrenikus yang
menjadi tumpul. Untuk foto toraks PA setidaknya butuh 175-250 mL cairan yang terkumpul
sebelumnya agar dapat terlihat di foto toraks PA. Sementara foto toraks lateral dekubitus
dapat mendeteksi efusi pleura dalam jumlah yang lebih kecil yakni 5 mL. jika pada foto
lateral dekubitus ditemukan ketebalan efusi 1 cm maka jumlah cairan telah melebihi 200 cc,
ini merupakan kondisi yang memungkinkan untuk dilakukan torakosentesis. Namun pada
efusi loculated temuan diatas mungkin tidak dijumpai.
Pada posisi supine, efusi pleura yang sedang hingga masif dapat memperlihatkan
suatu peningkatan densitas yang homogen yang menyebar pada bagian bawah paru,
selain itu dapat pula terlihat elevasi hemidiafragma, disposisi kubah diafragma pada daerah
lateral.4
Gambar 3. Foto Thorax pada Efusi Pleura
Gambar 4. Foto Thorax pada Efusi Pleura
DIFFERENTIAL DIAGNOSIS :
1. Tumor paru
a. Sinus tidak terisi
b. Permukaan tidak concaf tetapi sesuai bentuk tumor
c. Bila tumor besar dapat mendorong jantung
2. Pneumonia
a. Batas atas rata / tegas sesuai dgn bentuk lobus
b. Sinus terisi paling akhir
c. Tidak tampak tanda pendorongan organ
d. Air bronchogram ( + )
PENATALAKSANAAN
Efusi transudatif biasanya ditangani dengan mengobati penyakit dasarnya.
Namun demikian, efusi pleura yang masif, baik transudat maupun eksudat dapat
menyebabkan gejala respiratori berat. Dalam keadaan ini, meskipun etiologi dan penanganan
penyakit dasarnya telah dipastikan, drainase efusi perlu dilakukan untuk memperbaiki
keadaan umum pasien. Penanganan efusi eksudatif bergantung pada etiologi yang
mendasarinya. tiga etiologi utama yang paling sering dijumpai pada efusi eksudatif adalah
pneumonia, keganasan dan tuberkulosis.5
Torasentesis teraputik betujuan untuk mengeluarkan cairan dalam jumlah yang
banyak pada efusi pleura untuk mengurangi sesak dan menghambat proses inflamasi
yang sedang berlangsung dan juga fibrosis pada efusi parapneumonia. Tiga hal
berikut penting untuk diperhatikan dalam prosedur torasentesis yakni5:
1. Gunakan kateter berukuran kecil atau kateter yang didesain khusus untuk drainase
cairan dan upayakan jangan menggunakan jarum untuk menghindari
pneumotoraks.
2. Monitoring oksigenasi ketat selama dan setelah tindakan perlu dilakukan untuk
memantau oksigenasi arterial yang dapat saja memburuk akibat perubahan
perfusi dan ventilasi selama proses re-ekspansi paru.
3. Usahakan cairan yang diambil tidak terlalu banyak aqgar tidak terjadi edema paru
dan pneumotoraks. Biasanya 400-500 cc cairan yang dikeluarkan telah memberikan
dampakk berupa berkurangnya sesak nafas. Sedangkan batasan yang
direkomendasikan dalam sekali prosedur torakosentesis adalah 1-1,5 L. Batuk sering
terjadi pada proses torasentesis. Hal ini sering terjadi dan tidak merupakan indikasi
untuk menghentikan prosedur kecuali pasien merasa sangat tidak nyaman.
DAFTAR PUSTAKA
Halim, Hadi. Penyakit-penyakit Pleura. Dalam: Buku Ajar Ilmu Penyakit Dalam,
Sudoyo AW, et al. Edisi 4, Jilid II. Jakarta: Pusat Penerbitan Departemen IPD FKUI; hal.
1056-60.
COLLINS, J., STERN, E. J. & OVID TECHNOLOGIES INC. 2007. Chest radiology the
essentials. 2nd ed. Philadelphia: Lippincott Williams & Wilkins.
http://www.scribd.com/doc/55218707/11/Kasbes-efusi-pleura.pdf . Akses tanggal 4 oktober
2013
Rasad, Sjahriar. Radiologi Diagnostik. Edisi ke-2. Balai penerbit FKUI : Jakarta
AHMAD, Z., KRISHNADAS, R. & FROESCHLE, P. Pleural effusion: diagnosis and
management. J Perioper Pract, 19, 242-7. http://www.scribd.com/doc/55218707/11/Kasbes-
efusi-pleura.pdf . Akses tanggal 4 oktober 2013
Perhimpunan Dokter Paru Indonesia. Kanker Paru. Pedoman diagnosis dan
penatalaksanaan di Indonesia. Perhimpunan Dokter Paru Indonesia.
REFERAT
Efusi Pleura
Oleh
Nama : Grace Inkayanti Labada
NPM : 10119210050
Dosen Pembimbing : dr.Jastia, Sp.Rad
Program Study Profesi Dokter
Fakultas Kedokteran Universitas Khairun Ternate
2021

EFUSI PLEURA GE.docx

  • 1.
    EFUSI PLEURA DEFINISI EFUSIPLEURA Efusi pleura adalah suatu keadaan dimana terdapat penumpukan cairan dari dalam kavum pleura diantara pleura parietalis dan pleura viseralis dapat berupa cairan transudat atau cairan eksudat. Efusi pleura adalah jumlah cairan ion purulen yang berlebihan dalam rongga pleura, antara lain visceral dan parietal. Efusi pleura adalah akumulasi cairan di dalam rongga pleura. Jadi, efusi pleura adalah akumulasi cairan yang berlebihan pada rongga pleura, Cairan tersebut mengisi ruangan yang mengelilingi paru. Adanya akumulasi cairan pada kavum pleura ini mengindikasikan adanya suatu kelainan atau penyakit. Cairan dalam jumlah yang berlebihan dapat mengganggu pernapasan dengan membatasi peregangan paru selama inhalasi. 1 EPIDEMIOLOGI Secara keseluruhan, insidensi efusi pleura sama antara pria dan wanita. Efusi pleura kebanyakan terjadi pada usia dewasa. Namun demikian, efusi pleura belakangan ini cenderung meningkat pada anak-anak dengan penyebab tersering adalah pneumonia.2 ETIOLOGI Efusi pleura merupakan manifestasi penyakit pada pleura yang paling sering dengan etiologi yang bermacam-macam mulai dari kardiopulmoner, inflamasi, hingga keganasan yang harus segera dievaluasi dan diterapi.2 KLASIFIKASI Efusi pleura secara umum diklasifikasikan sebagai transudat dan eksudat, bergantung dari mekanisme terbentuknya serta profil kimia cairan efusi tersebut. Gambaran normal cairan pleura adalah sebagai berikut : 1. Jernih 2. pH 7,60-7,64 3. Kandungan protein kurang dari 2% (1-2 g/dL) 4. Kadungan sel darah putih < 1000 /m3 5. Kadar glukosa serupa dengan plasma 6. Kadar LDH (laktat dehidrogenase) < 50% dari plasma.
  • 2.
    Cairan transudat dihasilkandari ketidakseimbangan antara tekanan hidrostatik dan onkotik pada membrane pleura, dengan kadar protein <3g/dl, berat jenis <1,106, LDH (Lactic Dehydrogenase) <200 IU. Pada keadaan ini, endotel pembuluh darah paru dalam kondisi yang normal, dimana fungsi filtrasi masih normal pula sehingga kandungan sel dan dan protein pada cairan efusi transudat lebih rendah. Penyebab : 1. Gagal jantung kongestif 2. Sirosis (hepatik hidrotoraks) 3. Atelektasis – yang bisa disebabkan oleh keganasan atau emboli paru 4. Hipoalbuminemia 5. Sindroma nefrotik Sementara eksudat dihasilkan oleh proses inflamasi paru ataupun pleura, gangguan drainase limfatik pada rongga pleura, pergerakan cairan eksudat dari rongga peritoneal melalui diafragma, perubahan permeabilitas membran pleura, serta peningkatan permeabilitas dinding kapiler atau kerusakan pembuluh darah. Cairan eksudat memiliki kadar protein >3g/dl, berat jenis >1,106, LDH (Lactic Dehydrogenase) >200 IU, dapat berwarna kuning, purulent atau kemerahan, dengan tau tanpa sel atau bakteri. Penyebab : 1. Parapneumonia 2. Keganasan (paling sering, kanker paru atau kanker payudara, limfoma, leukemia) 3. Emboli paru 4. Penyakit-penyakit jaringan ikat-pembuluh darah (artritis reumatoid, sistemic lupus erythematosus) 5. Tuberkulosis 6. Trauma 7. Pleuritis 8. Infeksi jamur 9. Abses intraabdomina 10. Sindrom Meig (neoplasma jinak pelvis disertai asites dan efusi pleura) 11. Sindrom yellow nail (kuku kuning, limfedema, efusi pleura) 12. Chylothorax (suatu kondisi akut dengan peningkatan kadar trigilerida pada cairan pleura) 13. Pseudochylotoraks (suatu kondisi kronis dengan peningkatan kadar kolesterol cairan pleura)
  • 3.
    ANATOMI DAN FISIOLOGIKAVUM PLEURA Kavum thoraks adalah ruangan bagian tubuh yang terletak diantara leher dan abdomen, Dibatasi oleh sternum dan costa bagian depan didepannya, columna vertebralis dibelakang, lengkung costa dilateral, apertura thoraks superior diatas dan diafragma dibawah. Didalam Kavum thoraks terdapat: kavum pleura (paru-paru kanan dan kiri beserta pleuranya masing-masing) dan mediastinum.1 Pleura terletak dibagian terluar dari paru-paru dan mengelilingi paru. Pleura disusun oleh jaringan ikat fibrosa yang didalamnya terdapat banyak kapiler limfa dan kapiler darah serta serat saraf kecil. Pleura disusun juga oleh sel-sel (terutama fibroblast dan makrofag). Pleura paru ini juga dilapisi oleh selapis mesotel. Pleura merupakan membran tipis, halus, dan licin yang membungkus dinding anteriortoraks dan permukaan superior diafragma. Lapisan tipis ini mengandung kolagen dan jaringan elastis.1 Gambar 1. Anatomi Pleura Ada 2 macam pleura yaitu pleura parietalis dan pleura viseralis. Pleura parietalis melapisi toraks atau rongga dada sedangkan pleura viseralis melapisi paru-paru. Kedua pleura ini bersatu pada hilus paru. Dalam beberapa hal terdapat perbedaan antara kedua pleura ini yaitu pleura viseralis bagian permukaan luarnya terdiri dari selapis sel mesotelial yang tipis (tebalnya tidak lebih dari 30 μm). Diantara celahcelah sel ini terdapat beberapa sel limfosit. Di bawah sel-sel mesotelia ini terdapat endopleura yang berisi fibrosit dan histiosit. Seterusnya dibawah ini (dinamakan lapisan tengah) terdapat jaringan kolagen dan serat-serat elastik. Pada lapisan terbawah terdapat jaringan intertitial subpleura yang sangat banyak mengandung pembuluh darah kapiler dari A. Pulmonalis dan A. Brankialis serta pembuluh getah bening. Keseluruhan jaringan pleura viseralis ini
  • 4.
    menempel dengan kuatpada jaringan parenkim paru. Pleura parietalis mempunyai lapisan jaringan lebih tebal dan terdiri dari sel-sel mesotelial juga dan jaringan ikat (jaringan kolagen dan serat-serat elastik). Dalam jaringan ikat, terdapat pembuluh kapiler dari A. Interkostalis dan A. Mammaria interna, pembuluh getah bening dan banyak reseptor saraf- saraf sensorik yang peka terhadap rasa sakit dan perbedaan temperatur. Sistem persarafan ini berasal dari nervus intercostalis dinding dada. Keseluruhan jaringan pleura parietalis ini menempel dengan mudah, tapi juga mudah dilepaskan dari dinding dada di atasnya. Di antara pleura terdapat ruangan yang disebut spasium pleura, yang mengandung sejumlah kecil cairan yang melicinkan permukaan dan memungkinkan keduanya bergeser secara bebas pada saat ventilasi. Cairan tersebut dinamakan cairan pleura. Cairan ini terletak antara paru dan thoraks. Tidak ada ruangan yang sesungguhnya memisahkan pleura parietalis dengan pleura viseralis sehingga apa yang disebut sebagai rongga pleura atau kavitas pleura hanyalah suatu ruangan potensial. Tekanan dalam rongga pleura lebih rendah daripada tekanan atmosfer sehingga mencegah kolaps paru. Jumlah normal cairan pleura adalah 10-20 cc.1 Cairan pleura berfungsi untuk memudahkan kedua permukaan pleura parietalis dan pleura viseralis bergerak selama pernapasan dan untuk mencegah pemisahan toraks dan paru yang dapat dianalogkan seperti dua buah kaca objek yang akan saling melekat jika ada air. Kedua kaca objek tersebut dapat bergeseran satu dengan yang lain tetapi keduanya sulit dipisahkan. Cairan pleura dalam keadaan normal akan bergerak dari kapiler di dalam pleura parietalis ke ruang pleura kemudian diserap kembali melalui pleura viseralis. Hal ini disebabkan karena perbedaan tekanan antara tekanan hidrostatik darah yang cenderung mendorong cairan keluar dan tekanan onkotik dari protein plasma yang cenderung menahan cairan agar tetap di dalam. Selisih perbedaan absorpsi cairan pleura melalui pleura viseralis lebih besar daripada selisih perbedaan pembentukan cairan oleh pleura parietalis dan permukaan pleura viseralis lebih besar dari pada pleura parietalis sehingga dalam keadaan normal hanya ada beberapa mililiter cairan di dalam rongga pleura.1
  • 5.
    Gambar 2. GambaranAnatomi Pleura TANDA DAN GEJALA 1. Adanya timbunan cairan mengakibatkan perasaan sakit karena pergesekan, setelah cairan cukup banyak rasa sakit. 2. Adanya gejala-gejala penyakit penyebab seperti demam, menggigil, dan nyeri dada pleuritis (pneumonia, panas tinggi (kokus), banyak keringat, batuk, banyak sputum. 3. Deviasi trachea menjauhi tempat sakit dapat terjadi penumpukan cairan pleural yang signifikan. Pemeriksaan fisik dalam keadaan berbaring dan duduk akan berlainan, karena cairan akan berpindah tempat. Bagian yang sakit akan kurang bergerak dalam pernapasan, fremitus melemah (raba dan vocal), pada perkusi didapati daerah pekak, dalam keadaan duduk permukaan cairan membentuk garis melengkung ( garis ellis damoiseu). 4. Didapati segitiga garland yaitu daerah yang pada perkusi redup timpani dibagian atas garis ellis domiseu. Segitiga Grocco-Rochfusz, yaitu daerah pekak karena cairan mendorong memdiastinum keksisi lain, pada auskultasi daerah ini didapati vesikuler melemah dengan ronki. 5. Pada permulaan dan akhir penyakit terdengar krepitasi pleura. PATOFISIOLOGI Patofisiologi terjadinya efusi pleura tergantung pada keseimbangan antara cairan dan protein dalam rongga pleura. Dalam keadaan normal cairan pleura dibentuk secara lambat sebagai filtrasi melalui pembuluh darah kapiler. Filtrasi ini terjadi karena perbedaan tekanan osmotik plasma dan jaringan interstisial submesotelial, kemudian
  • 6.
    melalui sel mesotelialmasuk ke dalam rongga pleura. Selain itu cairan pleura dapat melalui pembuluh limfe sekitar pleura. Proses penumpukan cairan dalam rongga pleura dapat disebabkan oleh peradangan. Bila proses radang oleh kuman piogenik akan terbentuk pus/nanah, sehingga terjadi empiema/piotoraks. Bila proses ini mengenai pembuluh darah besar sekitar pleura dapat menyebabkan hemotoraks. Proses terjadinya pneumotoraks karena pecahnya alveoli dekat pleura parietalis sehingga udara akan masuk ke dalam rongga pleura. Proses ini sering disebabkan oleh trauma dada atatu alveoli pada daerah tersebut yang kurang elastis lagi seperti pada pasien emfisema paru. Efusi cairan dapat berbentuk transudat, terjadinya karena penyakit lain bukan primer paru seperti gagal jantung kongestif, sirosis hati, sindrom nefrotik, dialisis peritoneum, hipoalbuminemia oleh berbagai keadaan, perikarditis konstriktiva, keganasan, atelektasis paru, dan pneumotoraks. Efusi eksudat terjadi bila ada proses peradangan yang menyebabkan permeabilitas kapiler pembuluh darah pleura meningkat sehingga sel mesotelial berubah menjadi bulat atau kuboidal dan terjadi pengeluaran cairan ke dalam rongga pleura. Penyebab pleuritis eksudativa yang paling sering adalah karena mikobakterium tuberkulosis dan dikenal sebagai pleuritis eksudativa tuberkulosa.2,3 Sebab lain seperti parapneumonia, parasit (amuba, paragonimiosis, ekinokokkus), jamur, pneumonia atipik (virus, mikoplasma, fever, legionella), keganasan paru, proses imunologik seperti pleuritis lupus, pleuritis rematoid, sarkoidosis, radang sebab lain seperti, pakreatitis, asbestosis, pleuritis uremia, dan akibat radiasi.2,3 DIAGNOSTIK Pemeriksaan foto toraks posteroanterior (PA) dan lateral sampai saat ini masih merupakan yang paling diperlukan untuk mengetahui adanya efusi pleura pada awal diagnosa. Pada posisi tegak, akan terlihat akumulasi cairan yang menyebabkan hemitoraks tampak lebih tinggi, kubah diafragma tampak lebih ke lateral, serta sudut kostofrenikus yang menjadi tumpul. Untuk foto toraks PA setidaknya butuh 175-250 mL cairan yang terkumpul sebelumnya agar dapat terlihat di foto toraks PA. Sementara foto toraks lateral dekubitus dapat mendeteksi efusi pleura dalam jumlah yang lebih kecil yakni 5 mL. jika pada foto lateral dekubitus ditemukan ketebalan efusi 1 cm maka jumlah cairan telah melebihi 200 cc, ini merupakan kondisi yang memungkinkan untuk dilakukan torakosentesis. Namun pada efusi loculated temuan diatas mungkin tidak dijumpai. Pada posisi supine, efusi pleura yang sedang hingga masif dapat memperlihatkan suatu peningkatan densitas yang homogen yang menyebar pada bagian bawah paru,
  • 7.
    selain itu dapatpula terlihat elevasi hemidiafragma, disposisi kubah diafragma pada daerah lateral.4 Gambar 3. Foto Thorax pada Efusi Pleura Gambar 4. Foto Thorax pada Efusi Pleura
  • 8.
    DIFFERENTIAL DIAGNOSIS : 1.Tumor paru a. Sinus tidak terisi b. Permukaan tidak concaf tetapi sesuai bentuk tumor c. Bila tumor besar dapat mendorong jantung 2. Pneumonia a. Batas atas rata / tegas sesuai dgn bentuk lobus b. Sinus terisi paling akhir c. Tidak tampak tanda pendorongan organ d. Air bronchogram ( + ) PENATALAKSANAAN Efusi transudatif biasanya ditangani dengan mengobati penyakit dasarnya. Namun demikian, efusi pleura yang masif, baik transudat maupun eksudat dapat menyebabkan gejala respiratori berat. Dalam keadaan ini, meskipun etiologi dan penanganan penyakit dasarnya telah dipastikan, drainase efusi perlu dilakukan untuk memperbaiki keadaan umum pasien. Penanganan efusi eksudatif bergantung pada etiologi yang mendasarinya. tiga etiologi utama yang paling sering dijumpai pada efusi eksudatif adalah pneumonia, keganasan dan tuberkulosis.5 Torasentesis teraputik betujuan untuk mengeluarkan cairan dalam jumlah yang banyak pada efusi pleura untuk mengurangi sesak dan menghambat proses inflamasi yang sedang berlangsung dan juga fibrosis pada efusi parapneumonia. Tiga hal berikut penting untuk diperhatikan dalam prosedur torasentesis yakni5: 1. Gunakan kateter berukuran kecil atau kateter yang didesain khusus untuk drainase cairan dan upayakan jangan menggunakan jarum untuk menghindari pneumotoraks. 2. Monitoring oksigenasi ketat selama dan setelah tindakan perlu dilakukan untuk memantau oksigenasi arterial yang dapat saja memburuk akibat perubahan perfusi dan ventilasi selama proses re-ekspansi paru. 3. Usahakan cairan yang diambil tidak terlalu banyak aqgar tidak terjadi edema paru
  • 9.
    dan pneumotoraks. Biasanya400-500 cc cairan yang dikeluarkan telah memberikan dampakk berupa berkurangnya sesak nafas. Sedangkan batasan yang direkomendasikan dalam sekali prosedur torakosentesis adalah 1-1,5 L. Batuk sering terjadi pada proses torasentesis. Hal ini sering terjadi dan tidak merupakan indikasi untuk menghentikan prosedur kecuali pasien merasa sangat tidak nyaman.
  • 10.
    DAFTAR PUSTAKA Halim, Hadi.Penyakit-penyakit Pleura. Dalam: Buku Ajar Ilmu Penyakit Dalam, Sudoyo AW, et al. Edisi 4, Jilid II. Jakarta: Pusat Penerbitan Departemen IPD FKUI; hal. 1056-60. COLLINS, J., STERN, E. J. & OVID TECHNOLOGIES INC. 2007. Chest radiology the essentials. 2nd ed. Philadelphia: Lippincott Williams & Wilkins. http://www.scribd.com/doc/55218707/11/Kasbes-efusi-pleura.pdf . Akses tanggal 4 oktober 2013 Rasad, Sjahriar. Radiologi Diagnostik. Edisi ke-2. Balai penerbit FKUI : Jakarta AHMAD, Z., KRISHNADAS, R. & FROESCHLE, P. Pleural effusion: diagnosis and management. J Perioper Pract, 19, 242-7. http://www.scribd.com/doc/55218707/11/Kasbes- efusi-pleura.pdf . Akses tanggal 4 oktober 2013 Perhimpunan Dokter Paru Indonesia. Kanker Paru. Pedoman diagnosis dan penatalaksanaan di Indonesia. Perhimpunan Dokter Paru Indonesia.
  • 11.
    REFERAT Efusi Pleura Oleh Nama :Grace Inkayanti Labada NPM : 10119210050 Dosen Pembimbing : dr.Jastia, Sp.Rad
  • 12.
    Program Study ProfesiDokter Fakultas Kedokteran Universitas Khairun Ternate 2021