SINDROAME
CORONARIENE
INFARCTUL
Cardiopatia ischemică
(Ischemic heart disease)
• Angina pectorală stabilă
• Sindrom coronarian acut
- cu supradenivelare ST - STEMI
- fără supradenivelare ST – NSTEMI
- angina instabilă
• Insuficiența cardiacă
• Tulburări de ritm
• Moarte subită cardiacă
Cauzele ischemiei
• Stenoza coronariană- 90 % din cazuri
• Spasm vascular
• Embolie
• Compresiune extrinsecă
• Disfuncție microvasculară
• Ischemie relativă- hipertrofie pereți
Consecințele ischemiei
• Modificări metabolice: Ph K acid lactic
• Modificări structurale
• Tulburări de contractilitate și afectarea funcției cardiace -
VS
Explorări
 Electrocardiograma la efort
 Monitorizare Ecg
 Rx –nu aduce date pentru diagnostic
 Ecocardiografia- de obiceie este normală
- în criză –tulburări de contractilitate
- semne de afectare anterioară (infarct)
- elimină alte cauze de durere:disecția de Ao.,pericardită, leziuni valvulare
 Eco-Stres farmacologic
Explorari
 Scintigrama miocardică - la repaus
- la efort
 Tomografia computerizată
 Rezonață magnetică , angio RM
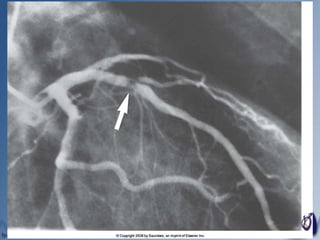
 Explorări invazive
 Coronarografia
 Ecografia intravasculară ( IVUS)
Biomarkerii cardiaci
 CK-MB – de 2 X normalul la 6 ore, peak la 12 ore
 Troponina – la 6 ore, se menține crescută 7-10 zile
 Un singur set de biomarkeri normali nu exclud IMA
ISCHEMIA
- este expresia unei hipoxii moderate
- alterează doar procesul repolarizării
rapide (unda T)
-Depolarizarea se desfăşoară normal
- la nivelul zonei afectate se formează
vectorul de ischemie, prin dif. de
potențial între zona ischemică și
miocardul sănătos
-Vectorul este orientat dinspre zona
ischemică (electronegativă) spre zonele
normale din jur (devenite electropozitive,
după repolarizare)
10
ISCHEMIA
• în ischemie se modifică aspectul undei
T, care devine simetrică.
• Ischemia subepicardică
undă T negativa , simetrică, ascuțită.
• Ischemia sub endocardică
undă T pozitiva, simetrică, ascuțită
Ischemie
Ischemie
Ischemie
Ischemie
LEZIUNEA
- este expresia unei hipoxii severe - durată și
intensitate crescută
-alterează ambele componente ale
electrogenezei (depolarizarea şi repolarizarea)
-în sistolă - miocardul normal se depolarizează
devenind electronegativ, în timp ce în zona de
leziune curentul este blocat, diferența de
potențial interior-exterior celulă este
nemodificată
-se creează – curent sistolic de leziune orientat
dinspre teritoriile vecine indemne către zona de
leziune.
-curentul sistolic de leziune, care persistă la
începutul repolarizării, determină supra- sau
subdenivelarea segmentului ST
- în diastolă - zona de leziune este relativ
negativă faţă de teritoriile vecine
(electropozitive) - este întârziată depolarizarea-
– apare curent diastolic de leziune – orientarea
vectorului fiind dinspre zona lezată către
teritoriile indemne din jur 16
LEZIUNEA
• leziunea subepicardică determină
supradenivelarea, iar cea
endocardică subdenivelarea
segmentului ST
Leziunea subepicardică -VS
 Depolarizarea se produce de la endocard spre
epicard, vectorul are aceeași orientare -leziunea
rămâne electropozitivă
 Repolarizarea se produce de la endocard,
vectorul este orientat de la epicard spre
endocard –leziunea rămâne electronegativă
 se produce o undă monofazică pozitivă ce
înglobează segmentul ST
 unda T – negativă în derivațiile directe
 În derivațiile indirecte – undă monofazică
negativă
Leziune subendocardică -VS
 Depolarizarea – vectorul este orientat
de la zona lezată spre cea sănătoasă -
zona cu leziune rămâne
electropozitivă
 Repolarizarea – cu întârzâiere,
vectorul este orientat de la zona lezată
la cea sănătoasă
 Segmentul ST – va fi decalat în jos –
negativ
 Unda T – pozitivă, ascuțită
Leziunea subendocardică
subdenivelarea
segmentului ST
NECROZA
- este expresia suprimării aportului de oxigen la nivelul ţesutului miocardic,
la nivelul căruia procesele electrogenetice încetează.
- pe EKG se înscrie unda Q patologică (profunzime mai mare de
25-30 % din amplitudinea undei R a aceluiaşi complex şi
durată crescută peste 0,04 sec.)
20
NECROZA
NECROZA
 Nulă din punct de vedere
electric – nu generează
fenomene bioelectrice
 Se transmit fenomenele
învecinate
Necroza subendocardică
 Nu are expresie electrică
 Se înregistrează doar
intarzierea repolarizarii,
adica semne de leziune,
ischemie
 ST subdenivelat
 Unda T poz, ascuțită
Necroza subepicardică
 Are expresie electrică
 Unda Q, cu supradenivelare ST,
unde T negative, complexul QRS
arata “amputat” (majoritatea
vectorilor “fug” de electrodul
explorator)
Necroza intramurală
 Zona de necroză nu atinge nici
joncțiunea Purkinje, nici epicardul
 Inițial unda R – depolarizare miocard
sănătos, unda de depolarizare ajunsă la
nivelul necrozei, ocolește necroza și
creează aspectul de R amputat în deriv
directe
Necroza transmurală
 Necroza cuprinde toată grosimea miocardului
 În imagine directă apar unde QS
 În imagine indirectă unde R
Diagnosticul ECG pozitiv al IMA
 Undă Q patologică – indică necroza, micșorarea undei R,
creșterea undei S
 Segment ST – supradenivelat, exprimă leziunea, revine la normal
în 7-10 zile
 Unda T – negativă, simetrică, ascuțită, exprimă ischemia,
T coronarian
EVOLUŢIA ASPECTULUI EKG ÎN IMA
STADIU INIȚIAL AL PRIMELOR
ORE
- 30-90 minute
- QRS normal
- ST NORMAL sau UȘOR ASCENSIONAT
- UNDA T – negativă, simetrică, ascuțită;
(rareori unda T poate fi pozitiva, ascutita , simetrica)
28
1. STADIUL I (PRECOCE)
-primele 24 -36 de ore de la debutul IMA
-Complex QRS- la cele mai multe cazuri după 2 h,
apare unda Q, în imagine directă, care crește progresiv
-Segment ST – supradenivelat cu peste 1 cm –
unda în dom, “marea unda monofazica” –segm. ST
oblic, divergent, înglobând unda T
-Unda T nu este decelabilă in imagini directe
-Stadiul I se încheie cu apariţia primei schiţe de undă T
Leziunea subepicardică
Supradenivelarea
segmentului ST
(NU EXISTA UNDA T)
29
2. STADIUL II (INTERMEDIAR)
 apare după 36 h, dureză 7-10 zile
 perioada se finalizează când segmentul ST revine la linia izoelectrică
 aspectul EKG este format din : complex QR, segment ST încă supradenivelat şi
unda T negativă, simetrică şi ascuţită (complex Pardee)
 dacă segmentul ST se menţine supradenivelat mai mult de 10 zile, poate fi semn
de instalare a unei complicaţii a IMA -anevrismul ventricular
30
Stadiul II -
Supradenivelarea
segmentului ST cu unda T negativa
(complex Pardee)
3. STADIUL III (TARDIV)
- corespunde evoluţiei aspectului EKG în următoarele 3-4 săptămâni de la debutul
IMA
- aspect EKG:
-unda Q patologică, persistă toată viața
-ST izoelectric
-undă T negativă, ascuţită, hipervoltată
31
Stadiul III – unda Q, ST izoelelctric,
unda T negativă, ascuțită
4. STADIUL IV (SECHELAR)
 se instalează după 4 săptămâni de la debutul bolii
 aspect EKG:
 undă Q stabilizată
 ST izoelectric
 unda T poate prezenta orice aspect (pozitivă, negativă, bifazică)
32
Stadiul III – unda Q, ST izoelelctric,
unda T orice aspect
Rezumatul modificărilor ECG
caracteristicile în ischemie – leziune
- necroză
33
DIAGNOSTICUL EKG TOPOGRAFIC AL IMA
 Porţiunea de miocard care se infarctează poate avea diferite localizări şi extinderi
în pereţii ventriculari.
 În sistemul celor 12 derivaţii uzuale, în unele vor apare imagini directe de infarct,
în altele imagini inverse şi în rest imagini indiferente.
 “Formele topografice “ de IMA corespund în general infarctizării unei anumite
porţiuni din miocardul VS şi unei anumite ramuri coronariene, dar fără o foarte
mare exactitate din cauza variabilităţii distribuţiei ramurilor coronariene şi a
teritoriilor aferente.
34
Distribuţia arterelor coronare
35
Artera stângă descendentă anterioară (LAD)
 este ramura principală a arterei
coronare stângi
 irigă:
 cea mai mare parte a feţei ant. a VS
 versantul anterior al feţei laterale
 vârful inimii
 o mică fâşie din peretele anterior al VD
 2/3 anterioare şi apicale ale SIV (sept interventricular)
 infarctele în teritoriul acestei artere sunt denumite
anterioare, antero-septale şi antero-laterale
36
Artera circumflexă stângă (CX)
 cealaltă ramură importantă a
coronarei stângi
 irigă:
 versantul posterior al marginii
stângi a inimii
 porţiunea superioară a
feţei posterioare a VS
 infarctele în teritoriul acestei artere sunt denumite
laterale 37
Artera coronară dreaptă (ACD)
irigă:
peretele liber al VD
partea posterioară şi inferioară a VS
treimea postero-inferioară a SIV
infarctele în teritoriul acestei artere
sunt denumite posterioare şi inferioare
38
Derivații
40
IMA anterior
Unda Q – în V1,V2,V3,V4
Forme topografice
- antero-septal – Q - V1, V2 și V3
- anterior localizat – Q – V2,V3
- Semne de leziune ischemie –
V1,V4,DI,aVL
IMA lateral
Unda Q în DI și aVL
Forme topografice
Antero - lateral jos – unda Q –DI,
DII, aVL,V5,V6
Antero-lateral extins – unda Q din
V1 până în V6, DI, aVL
Antero-lateral înalt – unda Q DI, aVL
IMA inferior
Unda Q – DII, DIII, aVF
Forme topografice
Inferior localizat – DII, DIII, aVF
Infero-lateral - DII,DIII,aVF,V5,V6
IMA posterior
Cuprinde peretele posterior
Există doar imagini indirecte
În V1,V2,V3 –imagini ind. – undă R
amplă
”Testul oglinzii” – dg. IMA posterior
Forme topografice
Posterior localizat –V2,V3,V4
Posterio-inferior
- img directe - DII, DIII, aVF
- img indirecte – V2,V3,V4, DI și aVL
IMA apical
 Aspect de QRS în V4, unda Q mai mică
în V3 și V5
IMA septal profund
 DII, DIII, aVF, V1,V2,V3
Particularitate!
Deoarece BRS poate să nu permita diagnosticul
de IMA, în prezent American College of
Cardiology/American Heart Association
recomandă terapie de reperfuzie tuturor
pacientilor cu BRS și simptomatologie
sugestivă de IMA.
IMA ANTERIOR
47
IMA INFERIOR
48
IMA LATERAL
49
IMA SEPTAL
50
IMA INFERIOR
51
IMA cu supradenivelare ST (STEMI)
IMA fără supradenivelare ST
Infarct inferior, BRD și Flutter atrial
IMA antero-septal
IMA antero-septal
BRS
BAV grad II Mobitz 1 și IMA inferior
IMA antero-lateral
IMA antero-septal și lateral
HVS și sechelă de IMA inferior
Artera coronară Localizarea IMA
II, III, aVF ACD 80%
IMA inferior
II, III, aVF plus V1, V4R ACD proximală IMA inferior şi de VD
II, II, aVF plus STD în V1-V4 ACD
CX
IMA infero-posterior
II, III, aVF plus I, aVL şi/sau V5,V6 CX
ACD-rr.laterale
IMA infero-lateral
II, III, aVF plus V5, V6 şi/sau I, aVL şi
STD în oricare din V1-V6
ACD, ramuri laterale
CX
IMA infero-postero-lateral
V2-V4 LAD
IMA anterior
I, aVL,V5 şi /sau V6 LAD
CX
IMA lateral
V1-V3, uneori până la V5, cu
V1>V2>V3>V4>V5
V1R-V6R, mai ales V4R
ACD IMA VD
V1-V4 LAD IMA antero-septal
V1-V6, I, aVL LAD proximal IMA antero-septal-lateral
V1-V4 (imagini indirecte) CX, ACD
IMA posterior
SINDROMUL EKG DE ISCHEMIE-LEZIUNE ACUTĂ
SUBEPICARDICĂ
- corespunde situaţiilor în care focarul de ischemie-leziune este situat în
straturile externe ale miocardului sau în toate straturile miocardice
(ischemie-leziune transmurală).
- nu se produc fenomene de necroză, fie pentru că nu există focare de
necroză, fie pentru că ele sunt reduse ca dimensiuni.
63
Leziunea subepicardică
Supradenivelarea
segmentului ST
Caracteristicile sindromului EKG de ischemie-leziune acută
subepicardică
1.lipsesc modificările EKG de necroză
2.există modificări ale complexului ST-T de tip leziune şi ischemie
-imagine directă:
ST supradenivelat
T negativ simetric, ascuţit, uneori foarte amplu (T coronarian)
-imagine inversă:
ST subdenivelat
T pozitiv simetric, ascuţit, adeseori mai amplu decât normal
3.modificările complexului ST-T au o evoluţie în dinamică,
asemănătoare cu cea din infarctul miocardic
64
SINDROMUL EKG DE ISCHEMIE-LEZIUNE ACUTĂ
SUBENDOCARDICĂ
- corespunde situaţiilor în care zona de ischemie-leziune interesează straturile
profunde ale peretelui ventricular;
- uneori poate exista o zonă apreciabilă de necroză în straturile subendocardice, dar
fiind limitată la zona mută nu dă semne EKG de necroză, ci doar de ischemie-
leziune subendocardică.
65
Leziunea subendocardică
subdenivelarea
segmentului ST
Caracterisicile sindromului EKG de ischemie-leziune acută
subendocardică
1.lipsesc modificările EKG de necroză
2.există modificări ale complexului ST-T de tip invers celor din
sindromul de ischemie-leziune acută subepicardică
-imagine directă:
-ST subdenivelat
-T pozitiv, mai simetric şi ascuţit, de amplitudine variată
-imagine inversă:
-ST supradenivelat
-T negativ, mai ascuţit şi simetric şi uneori mai amplu
3.aspectul ST-T are o evoluţie dinamică timp de zile sau chiar
câteva săptămâni
66
SUBDENIVELAREA SEGMENTULUI ST (STD)
 STD este un semn EKG de ischemie subendocardică, sau poate apare ca
modificare reciprocă, în „oglindă” , pentru supradenivelarea ST
 chiar şi o subdenivelare de 0,5 mm de la linia izoelectrică reprezintă un semn de
prognostic nefavorabil
 pot apare concomitent unde T inversate; de obicei unda T este pozitivă în
derivaţiile DI, DII, V3-V6 şi este negativă în aVR
 în orice situaţie în care unda T este anormal inversată şi în prezenţa simptomelor,
asemenea unde T sunt semne de ischemie.
67
ISCHEMIE-LEZIUNE SEVERĂ ANTERO-LATERALĂ
68
IMA anterior
IMA inferior
Să exersăm...
Crezi ca acest pacient are IMA? Dacă da,
unde?
Interpretare
Da, IMA anterior/BRS
Q in DII, aVF – IM inferior vechi
Unde este localizat acest IMA?
IMA inferior
IMA inferior. Observă supradenivelarea de
segment ST din derivațiile II, III și aVF.
Dar aici???
IMA anterolateral
IMA implica peretele anterior (V2-V4) si
peretele lateral (V5-V6, I, and aVL)

ECG-5-2016-2017-Ischemie-leziune-infacrct.ppt

  • 1.
  • 2.
    Cardiopatia ischemică (Ischemic heartdisease) • Angina pectorală stabilă • Sindrom coronarian acut - cu supradenivelare ST - STEMI - fără supradenivelare ST – NSTEMI - angina instabilă • Insuficiența cardiacă • Tulburări de ritm • Moarte subită cardiacă
  • 3.
    Cauzele ischemiei • Stenozacoronariană- 90 % din cazuri • Spasm vascular • Embolie • Compresiune extrinsecă • Disfuncție microvasculară • Ischemie relativă- hipertrofie pereți
  • 5.
    Consecințele ischemiei • Modificărimetabolice: Ph K acid lactic • Modificări structurale • Tulburări de contractilitate și afectarea funcției cardiace - VS
  • 6.
    Explorări  Electrocardiograma laefort  Monitorizare Ecg  Rx –nu aduce date pentru diagnostic  Ecocardiografia- de obiceie este normală - în criză –tulburări de contractilitate - semne de afectare anterioară (infarct) - elimină alte cauze de durere:disecția de Ao.,pericardită, leziuni valvulare  Eco-Stres farmacologic
  • 7.
    Explorari  Scintigrama miocardică- la repaus - la efort  Tomografia computerizată  Rezonață magnetică , angio RM  Explorări invazive  Coronarografia  Ecografia intravasculară ( IVUS)
  • 9.
    Biomarkerii cardiaci  CK-MB– de 2 X normalul la 6 ore, peak la 12 ore  Troponina – la 6 ore, se menține crescută 7-10 zile  Un singur set de biomarkeri normali nu exclud IMA
  • 10.
    ISCHEMIA - este expresiaunei hipoxii moderate - alterează doar procesul repolarizării rapide (unda T) -Depolarizarea se desfăşoară normal - la nivelul zonei afectate se formează vectorul de ischemie, prin dif. de potențial între zona ischemică și miocardul sănătos -Vectorul este orientat dinspre zona ischemică (electronegativă) spre zonele normale din jur (devenite electropozitive, după repolarizare) 10
  • 11.
    ISCHEMIA • în ischemiese modifică aspectul undei T, care devine simetrică. • Ischemia subepicardică undă T negativa , simetrică, ascuțită. • Ischemia sub endocardică undă T pozitiva, simetrică, ascuțită
  • 12.
  • 13.
  • 14.
  • 15.
  • 16.
    LEZIUNEA - este expresiaunei hipoxii severe - durată și intensitate crescută -alterează ambele componente ale electrogenezei (depolarizarea şi repolarizarea) -în sistolă - miocardul normal se depolarizează devenind electronegativ, în timp ce în zona de leziune curentul este blocat, diferența de potențial interior-exterior celulă este nemodificată -se creează – curent sistolic de leziune orientat dinspre teritoriile vecine indemne către zona de leziune. -curentul sistolic de leziune, care persistă la începutul repolarizării, determină supra- sau subdenivelarea segmentului ST - în diastolă - zona de leziune este relativ negativă faţă de teritoriile vecine (electropozitive) - este întârziată depolarizarea- – apare curent diastolic de leziune – orientarea vectorului fiind dinspre zona lezată către teritoriile indemne din jur 16
  • 17.
    LEZIUNEA • leziunea subepicardicădetermină supradenivelarea, iar cea endocardică subdenivelarea segmentului ST
  • 18.
    Leziunea subepicardică -VS Depolarizarea se produce de la endocard spre epicard, vectorul are aceeași orientare -leziunea rămâne electropozitivă  Repolarizarea se produce de la endocard, vectorul este orientat de la epicard spre endocard –leziunea rămâne electronegativă  se produce o undă monofazică pozitivă ce înglobează segmentul ST  unda T – negativă în derivațiile directe  În derivațiile indirecte – undă monofazică negativă
  • 19.
    Leziune subendocardică -VS Depolarizarea – vectorul este orientat de la zona lezată spre cea sănătoasă - zona cu leziune rămâne electropozitivă  Repolarizarea – cu întârzâiere, vectorul este orientat de la zona lezată la cea sănătoasă  Segmentul ST – va fi decalat în jos – negativ  Unda T – pozitivă, ascuțită Leziunea subendocardică subdenivelarea segmentului ST
  • 20.
    NECROZA - este expresiasuprimării aportului de oxigen la nivelul ţesutului miocardic, la nivelul căruia procesele electrogenetice încetează. - pe EKG se înscrie unda Q patologică (profunzime mai mare de 25-30 % din amplitudinea undei R a aceluiaşi complex şi durată crescută peste 0,04 sec.) 20
  • 21.
  • 22.
    NECROZA  Nulă dinpunct de vedere electric – nu generează fenomene bioelectrice  Se transmit fenomenele învecinate
  • 23.
    Necroza subendocardică  Nuare expresie electrică  Se înregistrează doar intarzierea repolarizarii, adica semne de leziune, ischemie  ST subdenivelat  Unda T poz, ascuțită
  • 24.
    Necroza subepicardică  Areexpresie electrică  Unda Q, cu supradenivelare ST, unde T negative, complexul QRS arata “amputat” (majoritatea vectorilor “fug” de electrodul explorator)
  • 25.
    Necroza intramurală  Zonade necroză nu atinge nici joncțiunea Purkinje, nici epicardul  Inițial unda R – depolarizare miocard sănătos, unda de depolarizare ajunsă la nivelul necrozei, ocolește necroza și creează aspectul de R amputat în deriv directe
  • 26.
    Necroza transmurală  Necrozacuprinde toată grosimea miocardului  În imagine directă apar unde QS  În imagine indirectă unde R
  • 27.
    Diagnosticul ECG pozitival IMA  Undă Q patologică – indică necroza, micșorarea undei R, creșterea undei S  Segment ST – supradenivelat, exprimă leziunea, revine la normal în 7-10 zile  Unda T – negativă, simetrică, ascuțită, exprimă ischemia, T coronarian
  • 28.
    EVOLUŢIA ASPECTULUI EKGÎN IMA STADIU INIȚIAL AL PRIMELOR ORE - 30-90 minute - QRS normal - ST NORMAL sau UȘOR ASCENSIONAT - UNDA T – negativă, simetrică, ascuțită; (rareori unda T poate fi pozitiva, ascutita , simetrica) 28
  • 29.
    1. STADIUL I(PRECOCE) -primele 24 -36 de ore de la debutul IMA -Complex QRS- la cele mai multe cazuri după 2 h, apare unda Q, în imagine directă, care crește progresiv -Segment ST – supradenivelat cu peste 1 cm – unda în dom, “marea unda monofazica” –segm. ST oblic, divergent, înglobând unda T -Unda T nu este decelabilă in imagini directe -Stadiul I se încheie cu apariţia primei schiţe de undă T Leziunea subepicardică Supradenivelarea segmentului ST (NU EXISTA UNDA T) 29
  • 30.
    2. STADIUL II(INTERMEDIAR)  apare după 36 h, dureză 7-10 zile  perioada se finalizează când segmentul ST revine la linia izoelectrică  aspectul EKG este format din : complex QR, segment ST încă supradenivelat şi unda T negativă, simetrică şi ascuţită (complex Pardee)  dacă segmentul ST se menţine supradenivelat mai mult de 10 zile, poate fi semn de instalare a unei complicaţii a IMA -anevrismul ventricular 30 Stadiul II - Supradenivelarea segmentului ST cu unda T negativa (complex Pardee)
  • 31.
    3. STADIUL III(TARDIV) - corespunde evoluţiei aspectului EKG în următoarele 3-4 săptămâni de la debutul IMA - aspect EKG: -unda Q patologică, persistă toată viața -ST izoelectric -undă T negativă, ascuţită, hipervoltată 31 Stadiul III – unda Q, ST izoelelctric, unda T negativă, ascuțită
  • 32.
    4. STADIUL IV(SECHELAR)  se instalează după 4 săptămâni de la debutul bolii  aspect EKG:  undă Q stabilizată  ST izoelectric  unda T poate prezenta orice aspect (pozitivă, negativă, bifazică) 32 Stadiul III – unda Q, ST izoelelctric, unda T orice aspect
  • 33.
    Rezumatul modificărilor ECG caracteristicileîn ischemie – leziune - necroză 33
  • 34.
    DIAGNOSTICUL EKG TOPOGRAFICAL IMA  Porţiunea de miocard care se infarctează poate avea diferite localizări şi extinderi în pereţii ventriculari.  În sistemul celor 12 derivaţii uzuale, în unele vor apare imagini directe de infarct, în altele imagini inverse şi în rest imagini indiferente.  “Formele topografice “ de IMA corespund în general infarctizării unei anumite porţiuni din miocardul VS şi unei anumite ramuri coronariene, dar fără o foarte mare exactitate din cauza variabilităţii distribuţiei ramurilor coronariene şi a teritoriilor aferente. 34
  • 35.
  • 36.
    Artera stângă descendentăanterioară (LAD)  este ramura principală a arterei coronare stângi  irigă:  cea mai mare parte a feţei ant. a VS  versantul anterior al feţei laterale  vârful inimii  o mică fâşie din peretele anterior al VD  2/3 anterioare şi apicale ale SIV (sept interventricular)  infarctele în teritoriul acestei artere sunt denumite anterioare, antero-septale şi antero-laterale 36
  • 37.
    Artera circumflexă stângă(CX)  cealaltă ramură importantă a coronarei stângi  irigă:  versantul posterior al marginii stângi a inimii  porţiunea superioară a feţei posterioare a VS  infarctele în teritoriul acestei artere sunt denumite laterale 37
  • 38.
    Artera coronară dreaptă(ACD) irigă: peretele liber al VD partea posterioară şi inferioară a VS treimea postero-inferioară a SIV infarctele în teritoriul acestei artere sunt denumite posterioare şi inferioare 38
  • 39.
  • 40.
  • 41.
    IMA anterior Unda Q– în V1,V2,V3,V4 Forme topografice - antero-septal – Q - V1, V2 și V3 - anterior localizat – Q – V2,V3 - Semne de leziune ischemie – V1,V4,DI,aVL
  • 42.
    IMA lateral Unda Qîn DI și aVL Forme topografice Antero - lateral jos – unda Q –DI, DII, aVL,V5,V6 Antero-lateral extins – unda Q din V1 până în V6, DI, aVL Antero-lateral înalt – unda Q DI, aVL
  • 43.
    IMA inferior Unda Q– DII, DIII, aVF Forme topografice Inferior localizat – DII, DIII, aVF Infero-lateral - DII,DIII,aVF,V5,V6
  • 44.
    IMA posterior Cuprinde pereteleposterior Există doar imagini indirecte În V1,V2,V3 –imagini ind. – undă R amplă ”Testul oglinzii” – dg. IMA posterior Forme topografice Posterior localizat –V2,V3,V4 Posterio-inferior - img directe - DII, DIII, aVF - img indirecte – V2,V3,V4, DI și aVL
  • 45.
    IMA apical  Aspectde QRS în V4, unda Q mai mică în V3 și V5 IMA septal profund  DII, DIII, aVF, V1,V2,V3
  • 46.
    Particularitate! Deoarece BRS poatesă nu permita diagnosticul de IMA, în prezent American College of Cardiology/American Heart Association recomandă terapie de reperfuzie tuturor pacientilor cu BRS și simptomatologie sugestivă de IMA.
  • 47.
  • 48.
  • 49.
  • 50.
  • 51.
  • 52.
  • 53.
  • 54.
    Infarct inferior, BRDși Flutter atrial
  • 55.
  • 56.
  • 57.
  • 58.
    BAV grad IIMobitz 1 și IMA inferior
  • 59.
  • 60.
  • 61.
    HVS și sechelăde IMA inferior
  • 62.
    Artera coronară LocalizareaIMA II, III, aVF ACD 80% IMA inferior II, III, aVF plus V1, V4R ACD proximală IMA inferior şi de VD II, II, aVF plus STD în V1-V4 ACD CX IMA infero-posterior II, III, aVF plus I, aVL şi/sau V5,V6 CX ACD-rr.laterale IMA infero-lateral II, III, aVF plus V5, V6 şi/sau I, aVL şi STD în oricare din V1-V6 ACD, ramuri laterale CX IMA infero-postero-lateral V2-V4 LAD IMA anterior I, aVL,V5 şi /sau V6 LAD CX IMA lateral V1-V3, uneori până la V5, cu V1>V2>V3>V4>V5 V1R-V6R, mai ales V4R ACD IMA VD V1-V4 LAD IMA antero-septal V1-V6, I, aVL LAD proximal IMA antero-septal-lateral V1-V4 (imagini indirecte) CX, ACD IMA posterior
  • 63.
    SINDROMUL EKG DEISCHEMIE-LEZIUNE ACUTĂ SUBEPICARDICĂ - corespunde situaţiilor în care focarul de ischemie-leziune este situat în straturile externe ale miocardului sau în toate straturile miocardice (ischemie-leziune transmurală). - nu se produc fenomene de necroză, fie pentru că nu există focare de necroză, fie pentru că ele sunt reduse ca dimensiuni. 63 Leziunea subepicardică Supradenivelarea segmentului ST
  • 64.
    Caracteristicile sindromului EKGde ischemie-leziune acută subepicardică 1.lipsesc modificările EKG de necroză 2.există modificări ale complexului ST-T de tip leziune şi ischemie -imagine directă: ST supradenivelat T negativ simetric, ascuţit, uneori foarte amplu (T coronarian) -imagine inversă: ST subdenivelat T pozitiv simetric, ascuţit, adeseori mai amplu decât normal 3.modificările complexului ST-T au o evoluţie în dinamică, asemănătoare cu cea din infarctul miocardic 64
  • 65.
    SINDROMUL EKG DEISCHEMIE-LEZIUNE ACUTĂ SUBENDOCARDICĂ - corespunde situaţiilor în care zona de ischemie-leziune interesează straturile profunde ale peretelui ventricular; - uneori poate exista o zonă apreciabilă de necroză în straturile subendocardice, dar fiind limitată la zona mută nu dă semne EKG de necroză, ci doar de ischemie- leziune subendocardică. 65 Leziunea subendocardică subdenivelarea segmentului ST
  • 66.
    Caracterisicile sindromului EKGde ischemie-leziune acută subendocardică 1.lipsesc modificările EKG de necroză 2.există modificări ale complexului ST-T de tip invers celor din sindromul de ischemie-leziune acută subepicardică -imagine directă: -ST subdenivelat -T pozitiv, mai simetric şi ascuţit, de amplitudine variată -imagine inversă: -ST supradenivelat -T negativ, mai ascuţit şi simetric şi uneori mai amplu 3.aspectul ST-T are o evoluţie dinamică timp de zile sau chiar câteva săptămâni 66
  • 67.
    SUBDENIVELAREA SEGMENTULUI ST(STD)  STD este un semn EKG de ischemie subendocardică, sau poate apare ca modificare reciprocă, în „oglindă” , pentru supradenivelarea ST  chiar şi o subdenivelare de 0,5 mm de la linia izoelectrică reprezintă un semn de prognostic nefavorabil  pot apare concomitent unde T inversate; de obicei unda T este pozitivă în derivaţiile DI, DII, V3-V6 şi este negativă în aVR  în orice situaţie în care unda T este anormal inversată şi în prezenţa simptomelor, asemenea unde T sunt semne de ischemie. 67
  • 68.
  • 69.
  • 70.
  • 71.
    Să exersăm... Crezi caacest pacient are IMA? Dacă da, unde?
  • 72.
    Interpretare Da, IMA anterior/BRS Qin DII, aVF – IM inferior vechi
  • 73.
  • 74.
    IMA inferior IMA inferior.Observă supradenivelarea de segment ST din derivațiile II, III și aVF.
  • 75.
  • 76.
    IMA anterolateral IMA implicaperetele anterior (V2-V4) si peretele lateral (V5-V6, I, and aVL)