Treating HCC: TACE and RFA 
Janette Durham, MD 
University of Colorado 
May 2013 
No disclosures
Learning objectives 
1. Stratify HCC by Barcelona criteria to organize treatment options. 
2. Discuss the clinical features that predict a favorable treatment response. 
3. Discuss the recent developments in the field of percutaneous therapies for HCC. 
4. Understand the role or percutaneous therapy in relation to transplantation. 
5. Understand the decision to treat with RFA vs. intra- arterial therapy.
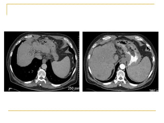
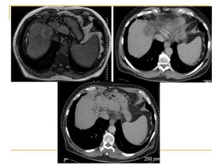
Prognostic factors in treatment of HCC 
Tumor status (number and size, portal invasion, extrahepatic disease) 
Performance status-ECOG 
Liver function – CP
UNOS TNM staging 
T1 1 nodule < 1.9cm 
T2 1 nodule 2.0-5.0 cm; 2-3 nodules all < 3.0 cm 
T3 1 nodule > 5 cm; 2-3 nodules at least one > 3.0 cm 
T4a 4 or more nodules 
T4b T2,T3,T4a plus vascular involvement 
N1 Regional nodes involved 
M1 Metastatic disease including extrahepatic portal or hepatic vein involvement
Performance Status 
ECOG 
0 Fully active, able to carry on all pre-disease performance without restriction 
1 Restricted in physically strenuous activity but ambulatory and able to carry out work of a light or sedentary nature 
2 Ambulatory and capable of all self-care but unable to carry out any work activities. Up and about more then 50% of waking hours. 
3 Capable of only limited self-care, confined to bed or chair more than 50% of waking hours 
4 Completely disabled. Cannot carry on any self-care. Totally confined to bed or chair 
5 Dead
BCLC Classification of HCC 
Stage 0 
PS 0; CP A 
Single < 2 cm 
Stage A-C 
Early stage (A) 
PS 0; CP A or B 
Single < 5 cm or 3 nodules < 3 cm 
Intermediate stage (B) 
PS 0; CP A or B 
Multinodular 
Advanced (C) PS 1 -2;CP A or B Portal invasion, N1,M1 
Stage D 
PS > 2;CP C
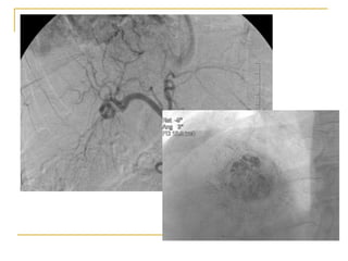
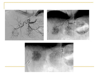
Types of percutaneous therapy 
Arterial therapy 
cTACE-conventional transarterial chemoembolization Administration of chemotherapeutic agent mixed with ethiodal prior to arterial obstruction with embolic beads. Ethiodal is selectively retained within the tumor and prolongs chemotherapy dwell time. 
DEB-TACE- drug eluting beads A bead loaded with chemotherapy that is trapped in the capillary bead of tumors slowly releasing chemotherapeutic agent into the tumor over days and decreasing systemic drug toxicity 
TARE-transarterial radioembolization Radioembolization using beads loaded with yttrium that produce internal radiation centered within the tumor
Types of percutaneous therapy 
Ablative therapy 
PEI-percutaneous ethanol injection 
RFA-radiofrequency ablation 
Microwave- microwave ablation 
IRE – Irreversible electroporation - non thermal ablation with electric current
Intermediate disease 
Stage B 
Multinodular (T3,T4a), PS 0, CP A and B No macrovascular invasion No extrahepatic disease 
Survival without treatment is about 1.5 years 
Therapies geared toward > 2 year survival 
cTACE, DEB, TARE
cTACE 
Chemotherapy-cytotoxic agent 
CAM 
Cisplatin 
Doxorubicin 
Mitomycin 
Single agent 
Cisplatin 
Doxorubicin 
Ebirubicin 
Ethiodol (Lipiodol) 
Embolization
Mechanism of cTACE 
HCC exhibits intense new-angiogenic activity with blood supply progressing from the portal vein to the hepatic artery 
Chemotherapy delivered in high concentration enhances coagulative tumor necrosis 
Arterial obstruction results in ischemic tumor necrosis with a high rate of objective response 
Perfusion to uninvolved liver is maintained by the portal vein permitting selective targeting of tumor
Author 
Patients 
% Survival 1,2, 3Y 
Lo. Hepatology 2002;35:1164 
Cisplatin 
TACE 
Palliative care 
80 eligible patients 
Hepatitis B-80% 
40 
40 
57, 31,26 
32, 11,3 (p=.02) 
Llovet. Lancet 2002;359:1734 Doxorubicin 
Embolization 
TACE 
Palliative care 
112 RCT 
Hepatitis C -80-90% 
CP A or B;Okuda I, II 
75,50 
82, 63 
63, 27 (p=.009) 
Systemic review of randomized trials (7) Llovet.Hepatology 2003:37;429 TACE recommended as standard of care for Intermediate disease
Patient selection 
Careful selection required due to concomitant ESLD 
Bilirubin < 3.0 
INR < 2.0 
Platelet count > 50,000 
Good performance status – ECOG 0 or 1 
Limited embolization in ESLD
Complications 
Common 
Post embolization syndrome from arterial obstruction– fever, abdominal pain, nausea, ileus 
Hepatic dysfunction 
Bilirubin toxicity (Grade 3 or 4) in 20% at 1 year 
Progressive deterioration with multiple treatments 
Severe and uncommon 
Systemic 
Bone marrow depression 
Alopecia 
Liver failure 
Worsening encephalopathy 
Death 
Gastrointestinal bleeding 
Hepatic abscess 
Cholecystitis
Challenges 
Drug shortages 
Ethiodol/Lipiodol 
Powder Cisplatin 
Powder Doxorubicin
DEB TACE LC Bead/DC Bead 
Drug delivery system comprising biocompatible, non resorable hydrogel beads loaded with anthracyclin derivatives 
Higher tumor concentrations and lower systemic concentrations of doxorubicin compared to cTACE 
Better tolerated permitting repeat procedures in shorter intervals.
PRECISION V 
212 patients with intermediate stage HCC not suitable for curative treatments and naive to chemotherapy or radiotherapy 
Randomized to cTACE or DEB 
Primary end point was MRI tumor response (EASL) at 6 months 
Lammer.Cardiovasc Intervent Radiol 2010;33:41
Technique 
cTACE 
Selective injection of 50-75 mg/m2 doxorubicin – lipiodol emulsion 
Embolization to stasis with gelatin sponge 
DC Bead 
Selective injection of 2 vials of DC Beads loaded with 150 mg Doxorubicin. 
1 vial of 300-500 um beads 
1 vial of 500-700 um beads 
Embolization to stasis 
Treatment at 2 month intervals for up to 3 sessions with follow up at 3 months 
Lammer.Cardiovasc Intervent Radiol 2010;33:41
6 Month response 
DC Bead cTACE 
% CR 27 22 
% Objective response 52 44 
% Disease control 63 52 
Superiority was not found 
Significant advantage in OR in advanced liver disease (CP B, ECOG 1, bilobar disease, recurrent disease patients). 
Significant reduction in liver toxicity and lower rate of doxorubicin related side effects 
Lammer.Cardiovasc Intervent Radiol 2010;33:41
TARE 
Yttrium 90 is a β particle emitter as it decays to stable zirconium-90 
Maximum penetration < 10mm (mean < 2.5 mm) 
Half life of 64 hrs, mean life of 3.85 days 
94% of radiation delivered in 11 days 
Tumor to non-tumor uptake may triple the absorbed dose in tumor
35 Gy 
70-90 Gy 
Curative Doses: Adenocarcinoma 
Radiation hepatitis 
Whole liver XRT 
TARE 
150 Gy 
Andrews. J Nucl Med 1994;35:1637-1644 Herba. Semin Oncol 2002;29:152-159 
Radiation pneumonitis 
30 Gy 
43 Gy 
Focused XRT
Yittrium 90 Microspheres - Products 
SIR-Spheres ® (Sirtex Medical Limited-Sydney, Australia 
•20-30 μm resin spheres 
•30-60 million spheres per dose 
•50 Bq per sphere 
•2002 FDA approval for colorectal liver metastases 
TheraSphere ® (MDS Nordion-Ottawa ON, Canada) 
•20-30 μm glass spheres 
•3-8 million spheres per dose 
• 2500 Bq per sphere 
•2000 FDA approval (HDE) for HCC
Response 
Imaging more difficult to interpret 
Less embolization effect so enhancement not eliminated 
Looking for changes in lesion size 
Treatment response slow (6m) 
Changes in liver morphology common
Y90 Results 
Retrospective review of 245 B/C patients treated with cTACE vs 123 treated with y90 at a single institution 
Abdominal pain and increased transaminase more frequent after cTACE 
RR 49 vs 36% favored y90 (NS) 
TTP 13.3 vs 8.4m favored y90 (p = .046) 
Median survival 20.5 vs 17.4m (NS) 
Intermediate disease survival 17.5 vs 17.2 (NS) 
Salem. Gastroenterolgoy 2012;140:497
Cost 
cTACE: < $1000 
DEB: $1,500 per vial 
Y90: $15-20,000 per vial 
Sorafenib $5,400 /month
Advanced disease 
Stage C 
Portal invasion, N1,M1,PS 1-2, CP A and B 
Survival without treatment .5 y 
Therapies geared toward > 3 month survival benefit 
Sorafenib advanced disease - increased survival from 7.9 - 10.7m 
N Engl J MED 2008;359:378
cTACE, DEB TACE 
cTACE 
Retrospective review of 172 patients treated with cTACE –CAM 
Median survival Stage A/B/C: 40.0/17.4/6.6m 
DEB-TACE 
Consecutive treatment of 121 patients with Stage C disease with DEB- TACE 
Median survival 13.5m ( 17.8 m CP A) 
Survival worse with T4b disease – 18.8 vs 4.4m in CP A patients 
Lewandowski.Radiology 2010;255:955 Prajapati.J Vasc Interv Radiol 2013;24:307
Comparison to medical therapy 
Retrospective evaluation of 97 Stage C patients with TACE (34) at a single institution or Sorafenib (63) at multiple institutions. 
Results 
TTP similar 
Median survival 9.2 vs 7.4m favoring TACE (NS) 
Pinter.Radiology 2012;263:590
Y90 Results 
Phase 2 – prospective study of 52 patients with Intermediate (17) and Advanced disease (35) all with PVT looking at safety and efficacy with a mean fup of 36 m 
Results: 
TTP 11m ( 7 vs 13 m if PVT present (NS)) 
TR CR 10% 
OR 40% 
DC 79% 
OS 15m (13 vs 18m if PVT present (NS)) 
Safety 
Various grades of liver decompensation in 35% at 6 m (TACE 20%) 
Mortality 3.8% at 90 d 
Mazzaferro.Hepatology 2013:57:1826
Y90 emerging role 
PVT 
Advanced disease with well preserved liver function 
Intermediate disease 
Large lesions 
Multiple bi-lobar nodules
Early stage disease (A) 
Stage A 
Single tumors < 5 cm, 3 nodules < 3 cm 
CP A-B, PS 0-2 
Therapies geared toward minimum median survival of 5 years 
Resection 
Transplantation 
Ablation Role of percutaneous therapy is brideging and downstaging for transplant.
Ablation therapy 
Recurrence rates with RFA appear lower than PEI at the expense of higher complications and cost 
Complete response in 80% of tumors less than 3 cm and 50% if 3-5 cm 
Best results – 5 year survival of 40-70% 
Predictors of best results– Child-Pugh A, single tumors, less than 2 cm, initial response 
Gervais. J Vasc Inaterv Radiol 2009;20.
RFA Complications 
Morbidity 7%; Mortality , 1% 
Bleeding requiring transfusion 1% 
Abscess 1% - highest when biliary enteric anastomosis 
Tract seeding < 1% with tract coagulation- 
Gervais. J Vasc Inaterv Radiol 2009;20.
Current Role of RFA 
Indications 
Primary treatment instead of partial hepetectomy for lesions < 3 cm 
Unresectable small HCC 
Recurrent small HCC 
Bridging therapy before liver transplantation 
Increasing role in 3-5 cm lesions 
Chen: solitary HCC < 5 cm 
4 year survival 68% (46% DF) vs. 64% (51%DF) 
Lu: solitary HCC < 5 cm or < 3 nodules < 3 cm 
3 year survival: 87% (51% DF) vs.86% (82% DF) 
Lau.Ann Surg 2009;249:20 Chen Ann Surg 2006;243:321 Lu Zhonghua Yi Xuwe Za Zhi 2006;86:801
Microwave 
Electromagnetic radiation 
More efficient energy deposition 
Desiccation and charring not limiting 
Changes in design decrease skin burns or pain 
Faster heating, higher temperatures, larger ablation volumes, shorter ablation zones 
Less susceptibility to heat sink 
Maybe safer around bile ducts 
Easier to use – no grounding pads, easier to run machine
80 patients with HCC 3- 8cm (mFUP 32m) 
CP A and B 
< UNOS T4 
23 with recurrent disease 
Lesion size 
52 - 3-5 cm 
28 - 5-8 cm 
Results 
Complete ablation – 87.5% 
94% cw 75% depending on size 
22% local recurrence 
15% vs 41% depending on size 
Location near bile duct 
54% distant recurrence 
More frequent in recurrent HCC 
Complications – 7.5% without mortality 
1 tract seeding 
Liu 2012 Clin Radiol 2012: 68;21 
Role for microwave in larger lesions
Survival 1 2 3 5 years 81% 68% 56% 34% 
Liu 2012 Clin Radiol 2012: 68;21
Conclusions 
Strong evidence: 
cTACE for Stage B patients suggesting disease control and benefit over medical therapy 
Equivalency of DC Bead cw cTACE in Stage B patients with lower toxicity ( and y90 is also equivalent with further reduction in toxicity) 
DEB-TACE and y90 may provide better results in selected Stage C patients than Sorafenib 
Similar survival outcomes with ablation cw resection for small Stage 0- A tumors 
RFA best results in Stage A disease but microwave is increasing the success in Stage B disease

Durham ir approaches

  • 1.
    Treating HCC: TACEand RFA Janette Durham, MD University of Colorado May 2013 No disclosures
  • 2.
    Learning objectives 1.Stratify HCC by Barcelona criteria to organize treatment options. 2. Discuss the clinical features that predict a favorable treatment response. 3. Discuss the recent developments in the field of percutaneous therapies for HCC. 4. Understand the role or percutaneous therapy in relation to transplantation. 5. Understand the decision to treat with RFA vs. intra- arterial therapy.
  • 3.
    Prognostic factors intreatment of HCC Tumor status (number and size, portal invasion, extrahepatic disease) Performance status-ECOG Liver function – CP
  • 4.
    UNOS TNM staging T1 1 nodule < 1.9cm T2 1 nodule 2.0-5.0 cm; 2-3 nodules all < 3.0 cm T3 1 nodule > 5 cm; 2-3 nodules at least one > 3.0 cm T4a 4 or more nodules T4b T2,T3,T4a plus vascular involvement N1 Regional nodes involved M1 Metastatic disease including extrahepatic portal or hepatic vein involvement
  • 5.
    Performance Status ECOG 0 Fully active, able to carry on all pre-disease performance without restriction 1 Restricted in physically strenuous activity but ambulatory and able to carry out work of a light or sedentary nature 2 Ambulatory and capable of all self-care but unable to carry out any work activities. Up and about more then 50% of waking hours. 3 Capable of only limited self-care, confined to bed or chair more than 50% of waking hours 4 Completely disabled. Cannot carry on any self-care. Totally confined to bed or chair 5 Dead
  • 6.
    BCLC Classification ofHCC Stage 0 PS 0; CP A Single < 2 cm Stage A-C Early stage (A) PS 0; CP A or B Single < 5 cm or 3 nodules < 3 cm Intermediate stage (B) PS 0; CP A or B Multinodular Advanced (C) PS 1 -2;CP A or B Portal invasion, N1,M1 Stage D PS > 2;CP C
  • 7.
    Types of percutaneoustherapy Arterial therapy cTACE-conventional transarterial chemoembolization Administration of chemotherapeutic agent mixed with ethiodal prior to arterial obstruction with embolic beads. Ethiodal is selectively retained within the tumor and prolongs chemotherapy dwell time. DEB-TACE- drug eluting beads A bead loaded with chemotherapy that is trapped in the capillary bead of tumors slowly releasing chemotherapeutic agent into the tumor over days and decreasing systemic drug toxicity TARE-transarterial radioembolization Radioembolization using beads loaded with yttrium that produce internal radiation centered within the tumor
  • 8.
    Types of percutaneoustherapy Ablative therapy PEI-percutaneous ethanol injection RFA-radiofrequency ablation Microwave- microwave ablation IRE – Irreversible electroporation - non thermal ablation with electric current
  • 9.
    Intermediate disease StageB Multinodular (T3,T4a), PS 0, CP A and B No macrovascular invasion No extrahepatic disease Survival without treatment is about 1.5 years Therapies geared toward > 2 year survival cTACE, DEB, TARE
  • 10.
    cTACE Chemotherapy-cytotoxic agent CAM Cisplatin Doxorubicin Mitomycin Single agent Cisplatin Doxorubicin Ebirubicin Ethiodol (Lipiodol) Embolization
  • 11.
    Mechanism of cTACE HCC exhibits intense new-angiogenic activity with blood supply progressing from the portal vein to the hepatic artery Chemotherapy delivered in high concentration enhances coagulative tumor necrosis Arterial obstruction results in ischemic tumor necrosis with a high rate of objective response Perfusion to uninvolved liver is maintained by the portal vein permitting selective targeting of tumor
  • 16.
    Author Patients %Survival 1,2, 3Y Lo. Hepatology 2002;35:1164 Cisplatin TACE Palliative care 80 eligible patients Hepatitis B-80% 40 40 57, 31,26 32, 11,3 (p=.02) Llovet. Lancet 2002;359:1734 Doxorubicin Embolization TACE Palliative care 112 RCT Hepatitis C -80-90% CP A or B;Okuda I, II 75,50 82, 63 63, 27 (p=.009) Systemic review of randomized trials (7) Llovet.Hepatology 2003:37;429 TACE recommended as standard of care for Intermediate disease
  • 17.
    Patient selection Carefulselection required due to concomitant ESLD Bilirubin < 3.0 INR < 2.0 Platelet count > 50,000 Good performance status – ECOG 0 or 1 Limited embolization in ESLD
  • 18.
    Complications Common Postembolization syndrome from arterial obstruction– fever, abdominal pain, nausea, ileus Hepatic dysfunction Bilirubin toxicity (Grade 3 or 4) in 20% at 1 year Progressive deterioration with multiple treatments Severe and uncommon Systemic Bone marrow depression Alopecia Liver failure Worsening encephalopathy Death Gastrointestinal bleeding Hepatic abscess Cholecystitis
  • 19.
    Challenges Drug shortages Ethiodol/Lipiodol Powder Cisplatin Powder Doxorubicin
  • 20.
    DEB TACE LCBead/DC Bead Drug delivery system comprising biocompatible, non resorable hydrogel beads loaded with anthracyclin derivatives Higher tumor concentrations and lower systemic concentrations of doxorubicin compared to cTACE Better tolerated permitting repeat procedures in shorter intervals.
  • 23.
    PRECISION V 212patients with intermediate stage HCC not suitable for curative treatments and naive to chemotherapy or radiotherapy Randomized to cTACE or DEB Primary end point was MRI tumor response (EASL) at 6 months Lammer.Cardiovasc Intervent Radiol 2010;33:41
  • 24.
    Technique cTACE Selectiveinjection of 50-75 mg/m2 doxorubicin – lipiodol emulsion Embolization to stasis with gelatin sponge DC Bead Selective injection of 2 vials of DC Beads loaded with 150 mg Doxorubicin. 1 vial of 300-500 um beads 1 vial of 500-700 um beads Embolization to stasis Treatment at 2 month intervals for up to 3 sessions with follow up at 3 months Lammer.Cardiovasc Intervent Radiol 2010;33:41
  • 25.
    6 Month response DC Bead cTACE % CR 27 22 % Objective response 52 44 % Disease control 63 52 Superiority was not found Significant advantage in OR in advanced liver disease (CP B, ECOG 1, bilobar disease, recurrent disease patients). Significant reduction in liver toxicity and lower rate of doxorubicin related side effects Lammer.Cardiovasc Intervent Radiol 2010;33:41
  • 26.
    TARE Yttrium 90is a β particle emitter as it decays to stable zirconium-90 Maximum penetration < 10mm (mean < 2.5 mm) Half life of 64 hrs, mean life of 3.85 days 94% of radiation delivered in 11 days Tumor to non-tumor uptake may triple the absorbed dose in tumor
  • 27.
    35 Gy 70-90Gy Curative Doses: Adenocarcinoma Radiation hepatitis Whole liver XRT TARE 150 Gy Andrews. J Nucl Med 1994;35:1637-1644 Herba. Semin Oncol 2002;29:152-159 Radiation pneumonitis 30 Gy 43 Gy Focused XRT
  • 28.
    Yittrium 90 Microspheres- Products SIR-Spheres ® (Sirtex Medical Limited-Sydney, Australia •20-30 μm resin spheres •30-60 million spheres per dose •50 Bq per sphere •2002 FDA approval for colorectal liver metastases TheraSphere ® (MDS Nordion-Ottawa ON, Canada) •20-30 μm glass spheres •3-8 million spheres per dose • 2500 Bq per sphere •2000 FDA approval (HDE) for HCC
  • 29.
    Response Imaging moredifficult to interpret Less embolization effect so enhancement not eliminated Looking for changes in lesion size Treatment response slow (6m) Changes in liver morphology common
  • 30.
    Y90 Results Retrospectivereview of 245 B/C patients treated with cTACE vs 123 treated with y90 at a single institution Abdominal pain and increased transaminase more frequent after cTACE RR 49 vs 36% favored y90 (NS) TTP 13.3 vs 8.4m favored y90 (p = .046) Median survival 20.5 vs 17.4m (NS) Intermediate disease survival 17.5 vs 17.2 (NS) Salem. Gastroenterolgoy 2012;140:497
  • 31.
    Cost cTACE: <$1000 DEB: $1,500 per vial Y90: $15-20,000 per vial Sorafenib $5,400 /month
  • 32.
    Advanced disease StageC Portal invasion, N1,M1,PS 1-2, CP A and B Survival without treatment .5 y Therapies geared toward > 3 month survival benefit Sorafenib advanced disease - increased survival from 7.9 - 10.7m N Engl J MED 2008;359:378
  • 33.
    cTACE, DEB TACE cTACE Retrospective review of 172 patients treated with cTACE –CAM Median survival Stage A/B/C: 40.0/17.4/6.6m DEB-TACE Consecutive treatment of 121 patients with Stage C disease with DEB- TACE Median survival 13.5m ( 17.8 m CP A) Survival worse with T4b disease – 18.8 vs 4.4m in CP A patients Lewandowski.Radiology 2010;255:955 Prajapati.J Vasc Interv Radiol 2013;24:307
  • 34.
    Comparison to medicaltherapy Retrospective evaluation of 97 Stage C patients with TACE (34) at a single institution or Sorafenib (63) at multiple institutions. Results TTP similar Median survival 9.2 vs 7.4m favoring TACE (NS) Pinter.Radiology 2012;263:590
  • 35.
    Y90 Results Phase2 – prospective study of 52 patients with Intermediate (17) and Advanced disease (35) all with PVT looking at safety and efficacy with a mean fup of 36 m Results: TTP 11m ( 7 vs 13 m if PVT present (NS)) TR CR 10% OR 40% DC 79% OS 15m (13 vs 18m if PVT present (NS)) Safety Various grades of liver decompensation in 35% at 6 m (TACE 20%) Mortality 3.8% at 90 d Mazzaferro.Hepatology 2013:57:1826
  • 36.
    Y90 emerging role PVT Advanced disease with well preserved liver function Intermediate disease Large lesions Multiple bi-lobar nodules
  • 37.
    Early stage disease(A) Stage A Single tumors < 5 cm, 3 nodules < 3 cm CP A-B, PS 0-2 Therapies geared toward minimum median survival of 5 years Resection Transplantation Ablation Role of percutaneous therapy is brideging and downstaging for transplant.
  • 40.
    Ablation therapy Recurrencerates with RFA appear lower than PEI at the expense of higher complications and cost Complete response in 80% of tumors less than 3 cm and 50% if 3-5 cm Best results – 5 year survival of 40-70% Predictors of best results– Child-Pugh A, single tumors, less than 2 cm, initial response Gervais. J Vasc Inaterv Radiol 2009;20.
  • 41.
    RFA Complications Morbidity7%; Mortality , 1% Bleeding requiring transfusion 1% Abscess 1% - highest when biliary enteric anastomosis Tract seeding < 1% with tract coagulation- Gervais. J Vasc Inaterv Radiol 2009;20.
  • 42.
    Current Role ofRFA Indications Primary treatment instead of partial hepetectomy for lesions < 3 cm Unresectable small HCC Recurrent small HCC Bridging therapy before liver transplantation Increasing role in 3-5 cm lesions Chen: solitary HCC < 5 cm 4 year survival 68% (46% DF) vs. 64% (51%DF) Lu: solitary HCC < 5 cm or < 3 nodules < 3 cm 3 year survival: 87% (51% DF) vs.86% (82% DF) Lau.Ann Surg 2009;249:20 Chen Ann Surg 2006;243:321 Lu Zhonghua Yi Xuwe Za Zhi 2006;86:801
  • 43.
    Microwave Electromagnetic radiation More efficient energy deposition Desiccation and charring not limiting Changes in design decrease skin burns or pain Faster heating, higher temperatures, larger ablation volumes, shorter ablation zones Less susceptibility to heat sink Maybe safer around bile ducts Easier to use – no grounding pads, easier to run machine
  • 44.
    80 patients withHCC 3- 8cm (mFUP 32m) CP A and B < UNOS T4 23 with recurrent disease Lesion size 52 - 3-5 cm 28 - 5-8 cm Results Complete ablation – 87.5% 94% cw 75% depending on size 22% local recurrence 15% vs 41% depending on size Location near bile duct 54% distant recurrence More frequent in recurrent HCC Complications – 7.5% without mortality 1 tract seeding Liu 2012 Clin Radiol 2012: 68;21 Role for microwave in larger lesions
  • 45.
    Survival 1 23 5 years 81% 68% 56% 34% Liu 2012 Clin Radiol 2012: 68;21
  • 46.
    Conclusions Strong evidence: cTACE for Stage B patients suggesting disease control and benefit over medical therapy Equivalency of DC Bead cw cTACE in Stage B patients with lower toxicity ( and y90 is also equivalent with further reduction in toxicity) DEB-TACE and y90 may provide better results in selected Stage C patients than Sorafenib Similar survival outcomes with ablation cw resection for small Stage 0- A tumors RFA best results in Stage A disease but microwave is increasing the success in Stage B disease