The Academic Center and Development of Future Treatments for Malignant Gliomas Thomas C. Chen, MD, PhD Associate Professor, Neurosurgery and Pathology Director, Surgical Neuro-oncology, USC
Malignant Gliomas 18,000 new cases of primary CNS tumors in the US At least 10x that number for metastatic brain tumors Most common type of primary CNS tumor-malignant glioma Currently no cure-despite improvements in surgery, chemotherapy, radiation therapy Grades I-IV:  Worst grade-glioblastoma multiforme-survival of 12-15 months
Typical Treatment Course for Gliomas 1.  Surgery-biopsy or resection 2.  Radiation with low dose temozolomide (TMZ) 3.  High dose or metronomic TMZ alone 4.  F/u with MRI scans every two months 5.  If MRI documented progression: Avastin, repeat resection, radiosurgery, or clinical trials
 
 
 
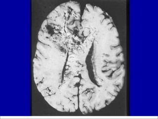
Preop Axial T1  with Contrast
Pre-resection motor stimulation with Ojemann Stimulator
Post Resection:  Motor Stimulation
Gliadel Wafers Placed
Glioblastoma:  post-mortem
Goal of Talk 1.  New chemotherapy paradigms a.  ER stress-DMC, Nelfinavir, EGCG b.  ER stress and cancer stem cells c.  New concepts of glioma vasculature  and anti-angiogenesis treatments 2.  New modes of delivery a.  Intranasal delivery of chemotherapy b.  Brain tumor pump 3.  New approach to gene therapy-replication competent  retrovirus 4.  Conceptual switch in immunotherapy
 
Glioma Research Group Thomas Chen, MD,PhD-Neurosurgery, Pathology Florence Hofman, PhD-Pathology Stan Louie, PharmD, PhD-Pharmacy Nicos Petasis, PhD-Chemistry Axel Schonthal, PhD-Microbiology
Targeting the Perinecrotic Rim in Glioblastoma Multiforme via Modulation of the Endoplasmic Reticulum Stress Response Vascularized Periphery Perinecrotic Rim (Pseudopalisades ) Necrotic Area Thrombotic Vessel
Targeting the Perinecrotic Rim in Glioblastoma Multiforme via  Modulation of the Endoplasmic Reticulum Stress Response
Concept of ER stress 1.  Glioma cells are “stressed” because of local microenvironment, and external stimuli from radiation, chemotherapy 2.  Use drugs to induce greater “stress” and knock cells into apoptosis 3.  Use cells to decrease glioma cell resistance ie GRP78, and make them more chemosensitive.
DMC and Nelfinavir-Increase ER stress
Targeting the Perinecrotic Rim in Glioblastoma Multiforme via  Modulation of the Endoplasmic Reticulum Stress Response
•
HIV-1 Protease Inhibitors Nelfinavir and Atazanavir Induce Malignant Glioma Death by Triggering Endoplasmic Reticulum Stress
GRP78 LEVELS IN GLIOBLASTOMA TISSUE SECTIONS
TMZ increases GRP78 in glioblastoma cell lines. GRP78 Actin GRP78 Actin
U87 glioblastoma cells transfected with different concentrations of GRP78 siRNA  and GFP siRNA fused to rhodamine.
 
 
 
Glioma Cancer Stem Cells and ER Stress
Neural Stem Cells and the  Origin of Gliomas Nader Sanai, M.D., Arturo Alvarez-Buylla, Ph.D., and Mitchel S. Berger, M.D.
Glioma Cancer Stem Cells (GCSC) What do we know? 1)  Progenitor cells for development of GBM 2)  Present in gliomas-constitute 1-2% of tumor population 3)  Radiation and chemotherapy resistant 4)  Very invasive 5)  Hypothesized to be one of the main reasons for recurrence 6)  Different markers-including CD133, CD15 7)  Hypothesis:  ER stress may be used to treat glioma cancer stem cells
x16 x48 Morphology of GCSC (D431)
TMZ treatment with 15% BSA Treatment in 6well plate and transfer to 96well plate for MTT analysis  2009-10-01 TMZ (uM) % O.D. at 490nm TMZ (uM) % O.D. at 490nm Conclusion: TMZ is not cytotoxic to CSC.  U251 w/ 15% BSA CSC w/ 15% BSA 0 20 40 60 80 100 120 0 10 20 30 40 50 60 70 80 90 100 0 20 40 60 80 100 120 0 10 20 30 40 50 60 70 80
Is DMC Cytotoxic To Glioma Cancer Stem Cells (GCSC) ?  U87 U251 CSC (single) CSC (sphere) DMC (uM) % O.D. at 490nm Condition: Medium +10% BSA, 48hr treatment 0 20 40 60 80 100 120 140 0 10 20 30 40 50 60 70 80 90 100
Does DMC Enduces ER Stress in Glioma Cancer Stem Cells (CSC) ?  1  2  3  4  5  GRP78 Chop Actin 1: No treatment 2: DMC 20uM 3: DMC 40uM 4: DMC 60uM 5: DMC 80uM
Does DMC Induce ER Stress in Glioma Cancer Stem Cells (CSC) ?  1  2  3  4  5  GRP78 Chop Actin Parp MGMT Conclusion: ER stress upregulated at DMC 60 uM in CSC.  DMC at 60 uM reduces MGMT levels. 24hr treatment Cl. parp Parp 1: No treatment 2: DMC 20uM 3: DMC 40uM 4: DMC 60uM 5: DMC 80uM CSC-D431
 
 
Perillyl Alcohol (POH) 1.  POH is a natural distillate from plants (pines). 2.  It is sold commercially for laboratory purposes 3.  It has been used as oral chemotherapy in Phase I trials in the US for systemic cancer  4.  Overall toxicity was mild, with the most severe being gastrointestinal intolerance 5.  Clovis Fonseca Brazilian neurosurgeon-used POH for nasal inhalation in the treatment of malignant gliomas.  To date, 140 patients have been treated.
 
May/2006 Dec/2006 Fibrillary Astrocytoma grade II ______________________________________________________________________________________________________________________________________   May/2008 Jun/2007
JAN / 2007 MAY / 2008 Recurrente Anaplastic Oligodendroglioma ______________________________________________________________________________________________________________________________________ NOV / 2008
Disease-free survival (6 months) ______________________________________________________________________________________________________________________________________ The median PFS rate was 48.2% for patients with GBM, 60% for patients with AA, and 66.6% for patients with AO.
USA DEVELOPMENT 1.  Synthesis of pharmaceutical grade perillyl alcohol (Norac Pharmaceuticals).  Our synthetic POH is more potent than the commercially available one. 2.  We will be performing toxicity studies and obtaining IND from FDA to run a Phase I clinical trial for our synthetic POH in patients with recurrent GBM. 3.  IP in development:  a)  use of POH as a solvent to dissolve standard chemotherapy for inhalational therapy  b)  chemically link POH with chemotherapeutic agents to make new drug
 
 
Development of an Implantable Pump for Convection Enhanced Delivery
What’s currently available for drug delivery for brain tumors 1.  Oral Chemotherapy 2.  Intravenous Chemotherapy 3.  Tumor Wafers (ie Gliadel) 4.  Convection Enhanced Delivery www.pharmaco-kinesis.com
CONVECTION ENHANCED DELIVERY Direct delivery of drug into tumor Drug delivered for 4-5 days via external catheter which is then removed If drug needed to be infused again, need another surgery for catheter implantation
 
www.pharmaco-kinesis.com Convection Enhanced Trials 1.  Some success in Phase I/II trials  2.  No clear success in Phase III trials  (Neopharm, Transmid) 3.  Question:  Lack of success from delivery or from drug?
Photograph depicting the different types of catheters tested in the gel experiments. Scale on the left side of the image is 1 mm.
Screenshot of the iPlan! flow application (version 2) showing the planned trajectories for five catheters and the results of simulated infusion from these positions.
 
What if?  We had a novel delivery device that could be: implanted-medication delivered continuously without reimplanting catheter metronomic continuous delivery of drug Adjustable delivery controlled externally instant monitoring and feedback of tumor parameters-ie VEGF minimize systemic side-effects of chemotherapy do not have to worry about blood brain barrier Bypass first pass hepatic metabolism www.pharmaco-kinesis.com
9/19/2008 Property of Pharmaco Kinesis Corp.
The catheter will serve as a means of delivery as well as analysis on the environment in the brain. Catheter will be equipped with measuring devices utilizing optics to avoid any interference with electric, magnetic, and radio-frequency devices. These devices will be capable of measuring pressure,  temperature, pH, and levels  of dissolved oxygen.  9/19/2008 Property of Pharmaco Kinesis Corp. www.pharmaco-kinesis.com
Fig. 8 www.pharmaco-kinesis.com Medication Storage and Delivery System Circulation pump Medication pump Medication Reservoirs Catheter Catheter Cross Section Fluid Circulation System
 
www.pharmaco-kinesis.com
www.pharmaco-kinesis.com
Fig. 3B www.pharmaco-kinesis.com
Bi-directional communication. Low power consumption “wake-up” circuitry. One chipset in both the device and a base station. 9/19/2008 Property of Pharmaco-Kinesis Corp. www.pharmaco-kinesis.com
Cir. And Reservoir Pump ( Bartels ) Active Valve ( Bartels ) Flow Sensor ( Sensirion ) Pressure Sensor Temperature Sensor ( GE ) pH Sensor ( WPI ) Reservior  ( Metal Bellows ) www.pharmaco-kinesis.com
www.pharmaco-kinesis.com Wireless Radio High level goals High level tasks Internal states Growth signal Intracranial pressure Tissue condition Tissue metabolism Table of parameters Circulate Inject 1 Inject 2 Inject 3 Pump Pump-valve Pump-valve Pump-valve VEGF Spectrometer Pressure sensor pH sensor Oxygen sensor Solid Tumor Microcontroller Medication Tumor Fluid
What type of drugs to place? 1.  Avastin 2.  Irinotecan 3.  Topotecan 4.  IL-13 toxin, IL-4 toxin, Diphteria toxin www.pharmaco-kinesis.com
www.pharmaco-kinesis.com Avastin in 28-day pump Implantated IP CPT-11 D7 – D11 D14 – D118 D21 – D25 D28 – D32 1 st  dose of Avastin  2nd dose of Avastin
VIDEO OF IMPLANTABLE PUMP 1.  Key attributes a.  Implantable b.  Physiological measurement with lab on chip to determine progress of chemotherapy c.  Multiple delivery bellows for different cycles of chemotherapy d.  Remote wi-fi control of pump 2.  Development Stage a.  Pig model for implantation b.  Delivery into CSF for leptomeningeal model 3.  Clinical Development Model a.  Leptomeningeal Disease b.  Solid tumors-recurrent GBM
 
RCR vectors for  intracellular chemotherapy   CD converts the non-toxic prodrug 5-FC to the toxic metabolite 5-FU  gag pol env U5 R CMV U5 R U3 IRES CD 5-fluorocytosine (non-toxic)  5-fluorouracil (toxic)
U87 intra-cerebral glioma model for  in vivo  analysis of RCR vector-mediated suicide gene therapy Establishment  of tumor  1 x 10  t.u. ACE-CD injected into tumor  4 Intraperitoneal injection  of 5-FC  H&E / IHC Survival analysis virus spread 2 x 10  U87 tumor cells injected into nude mice  5
RCR-CD + 5-FC achieves significantly prolonged survival in an intracranial glioma model Doubling of survival time in ACE-CD/5FC-treated animals after only a single cycle of virus + pro-drug administration ▪  Eventual death of treated animals due to metastatic spread of glioma cells to ectopic intracranial sites (cerebellum, brainstem) median survival: ≈  65 days
RCR-mediated suicide gene therapy achieves significant inhibition of primary intracranial tumor growth Anti-MLV immunohistochemistry confirms viral replication localized to tumor without spread to surrounding normal brain No viable tumor cells left in RCR-injected primary lesion
U01:  Pre-clinical Development of RCR  1.  Multi-center NIH grant:  UCLA, USC, UCSF 2.  Develop optimal conditions for GMP retroviral delivery, treatment, and  detection of retroviral spread in preclinical models
Phase I/II Clinical Trial 1.  Tocagen, Inc. raised money and spearheading trial 2.  Treatment Sites:  UCSF, UCLA, Cleveland Clinic 3.  Recruit 12 patients for RCR implantation and treatment 4.  Radiographic demonstration of retroviral spread via MR spectroscopy-document at USC under Dr. Walter Wolf
Immunotherapy 1.  Immune therapy based on recognition by immune system of tumor antigens vs self antigens. 2.  Tumor cells various mechanisms of immune escape-including loss of Class I MHC expression. 3.  Immune therapy safe-but success still elusive
Immunotherapy 1.  Development of new vaccine-based on combination of allogeneic and syngeneic tumor vaccine 2.  Allogeneic-based on establishment of brain tumor bank of different races 3.  Southern California Immunotherapy Group: USC, UCLA, UC Irvine, City of Hope, Loma Linda 4.  International combination with Belgium vaccine company.
CONCLUSION 1.  New treatment paradigms in malignant glioma therapy based on translational research. 2.  Understanding of ER stress, tumor microenvironment, glioma endothelial cells. 3.  New methods of delivery for chemotherapy including intranasal delivery and implanted brain tumor pump 4.  More aggressive approaches to gene therapy and immunotherapy.
Future Development 1.  Miniaturization Started 2.  In-vitro agarose brain models 3.  In-vivo  pig brain implants-non-survival/survival models 4.  Initial development for simpler disease models:  leptomeningeal carcinomatosis
CONCLUSION 1.  Brain tumor pump-resectable and unresectable tumors, leptomeningeal carcinomatosis.  Goal is to improve local control, part of multi-disciplinary treatment, metronomic delivery. 2.  Physiological feedback on treatment progress measured via lab on chip parameters. 3.  Wi-Fi external control of multiple agents for cycle delivery. www.pharmaco-kinesis.com

Dr. Thomas Chen, UCI grand rounds 7-28-2010

  • 1.
    The Academic Centerand Development of Future Treatments for Malignant Gliomas Thomas C. Chen, MD, PhD Associate Professor, Neurosurgery and Pathology Director, Surgical Neuro-oncology, USC
  • 2.
    Malignant Gliomas 18,000new cases of primary CNS tumors in the US At least 10x that number for metastatic brain tumors Most common type of primary CNS tumor-malignant glioma Currently no cure-despite improvements in surgery, chemotherapy, radiation therapy Grades I-IV: Worst grade-glioblastoma multiforme-survival of 12-15 months
  • 3.
    Typical Treatment Coursefor Gliomas 1. Surgery-biopsy or resection 2. Radiation with low dose temozolomide (TMZ) 3. High dose or metronomic TMZ alone 4. F/u with MRI scans every two months 5. If MRI documented progression: Avastin, repeat resection, radiosurgery, or clinical trials
  • 4.
  • 5.
  • 6.
  • 7.
    Preop Axial T1 with Contrast
  • 8.
    Pre-resection motor stimulationwith Ojemann Stimulator
  • 9.
    Post Resection: Motor Stimulation
  • 10.
  • 11.
  • 12.
    Goal of Talk1. New chemotherapy paradigms a. ER stress-DMC, Nelfinavir, EGCG b. ER stress and cancer stem cells c. New concepts of glioma vasculature and anti-angiogenesis treatments 2. New modes of delivery a. Intranasal delivery of chemotherapy b. Brain tumor pump 3. New approach to gene therapy-replication competent retrovirus 4. Conceptual switch in immunotherapy
  • 13.
  • 14.
    Glioma Research GroupThomas Chen, MD,PhD-Neurosurgery, Pathology Florence Hofman, PhD-Pathology Stan Louie, PharmD, PhD-Pharmacy Nicos Petasis, PhD-Chemistry Axel Schonthal, PhD-Microbiology
  • 15.
    Targeting the PerinecroticRim in Glioblastoma Multiforme via Modulation of the Endoplasmic Reticulum Stress Response Vascularized Periphery Perinecrotic Rim (Pseudopalisades ) Necrotic Area Thrombotic Vessel
  • 16.
    Targeting the PerinecroticRim in Glioblastoma Multiforme via Modulation of the Endoplasmic Reticulum Stress Response
  • 17.
    Concept of ERstress 1. Glioma cells are “stressed” because of local microenvironment, and external stimuli from radiation, chemotherapy 2. Use drugs to induce greater “stress” and knock cells into apoptosis 3. Use cells to decrease glioma cell resistance ie GRP78, and make them more chemosensitive.
  • 18.
  • 19.
    Targeting the PerinecroticRim in Glioblastoma Multiforme via Modulation of the Endoplasmic Reticulum Stress Response
  • 20.
  • 21.
    HIV-1 Protease InhibitorsNelfinavir and Atazanavir Induce Malignant Glioma Death by Triggering Endoplasmic Reticulum Stress
  • 22.
    GRP78 LEVELS INGLIOBLASTOMA TISSUE SECTIONS
  • 23.
    TMZ increases GRP78in glioblastoma cell lines. GRP78 Actin GRP78 Actin
  • 24.
    U87 glioblastoma cellstransfected with different concentrations of GRP78 siRNA and GFP siRNA fused to rhodamine.
  • 25.
  • 26.
  • 27.
  • 28.
    Glioma Cancer StemCells and ER Stress
  • 29.
    Neural Stem Cellsand the Origin of Gliomas Nader Sanai, M.D., Arturo Alvarez-Buylla, Ph.D., and Mitchel S. Berger, M.D.
  • 30.
    Glioma Cancer StemCells (GCSC) What do we know? 1) Progenitor cells for development of GBM 2) Present in gliomas-constitute 1-2% of tumor population 3) Radiation and chemotherapy resistant 4) Very invasive 5) Hypothesized to be one of the main reasons for recurrence 6) Different markers-including CD133, CD15 7) Hypothesis: ER stress may be used to treat glioma cancer stem cells
  • 31.
    x16 x48 Morphologyof GCSC (D431)
  • 32.
    TMZ treatment with15% BSA Treatment in 6well plate and transfer to 96well plate for MTT analysis 2009-10-01 TMZ (uM) % O.D. at 490nm TMZ (uM) % O.D. at 490nm Conclusion: TMZ is not cytotoxic to CSC. U251 w/ 15% BSA CSC w/ 15% BSA 0 20 40 60 80 100 120 0 10 20 30 40 50 60 70 80 90 100 0 20 40 60 80 100 120 0 10 20 30 40 50 60 70 80
  • 33.
    Is DMC CytotoxicTo Glioma Cancer Stem Cells (GCSC) ? U87 U251 CSC (single) CSC (sphere) DMC (uM) % O.D. at 490nm Condition: Medium +10% BSA, 48hr treatment 0 20 40 60 80 100 120 140 0 10 20 30 40 50 60 70 80 90 100
  • 34.
    Does DMC EnducesER Stress in Glioma Cancer Stem Cells (CSC) ? 1 2 3 4 5 GRP78 Chop Actin 1: No treatment 2: DMC 20uM 3: DMC 40uM 4: DMC 60uM 5: DMC 80uM
  • 35.
    Does DMC InduceER Stress in Glioma Cancer Stem Cells (CSC) ? 1 2 3 4 5 GRP78 Chop Actin Parp MGMT Conclusion: ER stress upregulated at DMC 60 uM in CSC. DMC at 60 uM reduces MGMT levels. 24hr treatment Cl. parp Parp 1: No treatment 2: DMC 20uM 3: DMC 40uM 4: DMC 60uM 5: DMC 80uM CSC-D431
  • 36.
  • 37.
  • 38.
    Perillyl Alcohol (POH)1. POH is a natural distillate from plants (pines). 2. It is sold commercially for laboratory purposes 3. It has been used as oral chemotherapy in Phase I trials in the US for systemic cancer 4. Overall toxicity was mild, with the most severe being gastrointestinal intolerance 5. Clovis Fonseca Brazilian neurosurgeon-used POH for nasal inhalation in the treatment of malignant gliomas. To date, 140 patients have been treated.
  • 39.
  • 40.
    May/2006 Dec/2006 FibrillaryAstrocytoma grade II ______________________________________________________________________________________________________________________________________ May/2008 Jun/2007
  • 41.
    JAN / 2007MAY / 2008 Recurrente Anaplastic Oligodendroglioma ______________________________________________________________________________________________________________________________________ NOV / 2008
  • 42.
    Disease-free survival (6months) ______________________________________________________________________________________________________________________________________ The median PFS rate was 48.2% for patients with GBM, 60% for patients with AA, and 66.6% for patients with AO.
  • 43.
    USA DEVELOPMENT 1. Synthesis of pharmaceutical grade perillyl alcohol (Norac Pharmaceuticals). Our synthetic POH is more potent than the commercially available one. 2. We will be performing toxicity studies and obtaining IND from FDA to run a Phase I clinical trial for our synthetic POH in patients with recurrent GBM. 3. IP in development: a) use of POH as a solvent to dissolve standard chemotherapy for inhalational therapy b) chemically link POH with chemotherapeutic agents to make new drug
  • 44.
  • 45.
  • 46.
    Development of anImplantable Pump for Convection Enhanced Delivery
  • 47.
    What’s currently availablefor drug delivery for brain tumors 1. Oral Chemotherapy 2. Intravenous Chemotherapy 3. Tumor Wafers (ie Gliadel) 4. Convection Enhanced Delivery www.pharmaco-kinesis.com
  • 48.
    CONVECTION ENHANCED DELIVERYDirect delivery of drug into tumor Drug delivered for 4-5 days via external catheter which is then removed If drug needed to be infused again, need another surgery for catheter implantation
  • 49.
  • 50.
    www.pharmaco-kinesis.com Convection EnhancedTrials 1. Some success in Phase I/II trials 2. No clear success in Phase III trials (Neopharm, Transmid) 3. Question: Lack of success from delivery or from drug?
  • 51.
    Photograph depicting thedifferent types of catheters tested in the gel experiments. Scale on the left side of the image is 1 mm.
  • 52.
    Screenshot of theiPlan! flow application (version 2) showing the planned trajectories for five catheters and the results of simulated infusion from these positions.
  • 53.
  • 54.
    What if? We had a novel delivery device that could be: implanted-medication delivered continuously without reimplanting catheter metronomic continuous delivery of drug Adjustable delivery controlled externally instant monitoring and feedback of tumor parameters-ie VEGF minimize systemic side-effects of chemotherapy do not have to worry about blood brain barrier Bypass first pass hepatic metabolism www.pharmaco-kinesis.com
  • 55.
    9/19/2008 Property ofPharmaco Kinesis Corp.
  • 56.
    The catheter willserve as a means of delivery as well as analysis on the environment in the brain. Catheter will be equipped with measuring devices utilizing optics to avoid any interference with electric, magnetic, and radio-frequency devices. These devices will be capable of measuring pressure, temperature, pH, and levels of dissolved oxygen. 9/19/2008 Property of Pharmaco Kinesis Corp. www.pharmaco-kinesis.com
  • 57.
    Fig. 8 www.pharmaco-kinesis.comMedication Storage and Delivery System Circulation pump Medication pump Medication Reservoirs Catheter Catheter Cross Section Fluid Circulation System
  • 58.
  • 59.
  • 60.
  • 61.
  • 62.
    Bi-directional communication. Lowpower consumption “wake-up” circuitry. One chipset in both the device and a base station. 9/19/2008 Property of Pharmaco-Kinesis Corp. www.pharmaco-kinesis.com
  • 63.
    Cir. And ReservoirPump ( Bartels ) Active Valve ( Bartels ) Flow Sensor ( Sensirion ) Pressure Sensor Temperature Sensor ( GE ) pH Sensor ( WPI ) Reservior ( Metal Bellows ) www.pharmaco-kinesis.com
  • 64.
    www.pharmaco-kinesis.com Wireless RadioHigh level goals High level tasks Internal states Growth signal Intracranial pressure Tissue condition Tissue metabolism Table of parameters Circulate Inject 1 Inject 2 Inject 3 Pump Pump-valve Pump-valve Pump-valve VEGF Spectrometer Pressure sensor pH sensor Oxygen sensor Solid Tumor Microcontroller Medication Tumor Fluid
  • 65.
    What type ofdrugs to place? 1. Avastin 2. Irinotecan 3. Topotecan 4. IL-13 toxin, IL-4 toxin, Diphteria toxin www.pharmaco-kinesis.com
  • 66.
    www.pharmaco-kinesis.com Avastin in28-day pump Implantated IP CPT-11 D7 – D11 D14 – D118 D21 – D25 D28 – D32 1 st dose of Avastin 2nd dose of Avastin
  • 67.
    VIDEO OF IMPLANTABLEPUMP 1. Key attributes a. Implantable b. Physiological measurement with lab on chip to determine progress of chemotherapy c. Multiple delivery bellows for different cycles of chemotherapy d. Remote wi-fi control of pump 2. Development Stage a. Pig model for implantation b. Delivery into CSF for leptomeningeal model 3. Clinical Development Model a. Leptomeningeal Disease b. Solid tumors-recurrent GBM
  • 68.
  • 69.
    RCR vectors for intracellular chemotherapy CD converts the non-toxic prodrug 5-FC to the toxic metabolite 5-FU  gag pol env U5 R CMV U5 R U3 IRES CD 5-fluorocytosine (non-toxic) 5-fluorouracil (toxic)
  • 70.
    U87 intra-cerebral gliomamodel for in vivo analysis of RCR vector-mediated suicide gene therapy Establishment of tumor 1 x 10 t.u. ACE-CD injected into tumor 4 Intraperitoneal injection of 5-FC H&E / IHC Survival analysis virus spread 2 x 10 U87 tumor cells injected into nude mice 5
  • 71.
    RCR-CD + 5-FCachieves significantly prolonged survival in an intracranial glioma model Doubling of survival time in ACE-CD/5FC-treated animals after only a single cycle of virus + pro-drug administration ▪ Eventual death of treated animals due to metastatic spread of glioma cells to ectopic intracranial sites (cerebellum, brainstem) median survival: ≈ 65 days
  • 72.
    RCR-mediated suicide genetherapy achieves significant inhibition of primary intracranial tumor growth Anti-MLV immunohistochemistry confirms viral replication localized to tumor without spread to surrounding normal brain No viable tumor cells left in RCR-injected primary lesion
  • 73.
    U01: Pre-clinicalDevelopment of RCR 1. Multi-center NIH grant: UCLA, USC, UCSF 2. Develop optimal conditions for GMP retroviral delivery, treatment, and detection of retroviral spread in preclinical models
  • 74.
    Phase I/II ClinicalTrial 1. Tocagen, Inc. raised money and spearheading trial 2. Treatment Sites: UCSF, UCLA, Cleveland Clinic 3. Recruit 12 patients for RCR implantation and treatment 4. Radiographic demonstration of retroviral spread via MR spectroscopy-document at USC under Dr. Walter Wolf
  • 75.
    Immunotherapy 1. Immune therapy based on recognition by immune system of tumor antigens vs self antigens. 2. Tumor cells various mechanisms of immune escape-including loss of Class I MHC expression. 3. Immune therapy safe-but success still elusive
  • 76.
    Immunotherapy 1. Development of new vaccine-based on combination of allogeneic and syngeneic tumor vaccine 2. Allogeneic-based on establishment of brain tumor bank of different races 3. Southern California Immunotherapy Group: USC, UCLA, UC Irvine, City of Hope, Loma Linda 4. International combination with Belgium vaccine company.
  • 77.
    CONCLUSION 1. New treatment paradigms in malignant glioma therapy based on translational research. 2. Understanding of ER stress, tumor microenvironment, glioma endothelial cells. 3. New methods of delivery for chemotherapy including intranasal delivery and implanted brain tumor pump 4. More aggressive approaches to gene therapy and immunotherapy.
  • 78.
    Future Development 1. Miniaturization Started 2. In-vitro agarose brain models 3. In-vivo pig brain implants-non-survival/survival models 4. Initial development for simpler disease models: leptomeningeal carcinomatosis
  • 79.
    CONCLUSION 1. Brain tumor pump-resectable and unresectable tumors, leptomeningeal carcinomatosis. Goal is to improve local control, part of multi-disciplinary treatment, metronomic delivery. 2. Physiological feedback on treatment progress measured via lab on chip parameters. 3. Wi-Fi external control of multiple agents for cycle delivery. www.pharmaco-kinesis.com