DONESUMAB
DENOSUM B
Dr.sandeep
NEWER DRUG
• What is it ?
• Mechanism of action ?
• Uses ?
• Side effects ?
• Contra indications ?
• Adverse drug reactions ?
• Cost ? , availability ?
• Current recommendations ?
What is it ?
• Monoclonal antibody ( IgG2 )
• Developed by AMGEN
• On 2 June 2010, DENOSUMAB was approved by
(FDA) for use in postmenopausal women with risk
of osteoporosis under the trade name Prolia, and
in November 2010, as Xgeva, for the prevention of
skeleton-related events in patients with bone
metastases from solid tumors.
• Denosumab is the first RANKL inhibitor to be
approved by the FDA.
• On 13 June 2013, the US FDA approved
Denosumab for treatment of adults and
skeletally mature adolescents with Giant cell
tumor of bone that is unresectable or where
resection would result in significant morbidity.
MECHANISM OF ACTION
PROLIA
USES
• Treatment of postmenopausal women with
osteoporosis at high risk for fracture
• Treatment to increase bone mass in men with
osteoporosis at high risk for fracture
• Treatment of glucocorticoid-induced
osteoporosis in men and women at high risk for
fracture
• Treatment to increase bone mass in men at
high risk for fracture receiving androgen
deprivation therapy for non-metastatic
prostate cancer
• Treatment to increase bone mass in women at
high risk for fracture receiving adjuvant
aromatase inhibitor therapy for breast cancer
DOSAGE AND ADMINISTRATION
• Pregnancy must be ruled out prior to
administration of Prolia
• Prolia should be administered by a healthcare
professional
• Administer injection every 6 months as a
subcutaneous injection in the upper arm,
upper thigh, or abdomen
• Instruct patients to take calcium 1000 mg
daily and at least 400 IU vitamin D daily
DOSAGE AND STRENGTH
• Single-use prefilled syringe containing 60 mg
in a 1 mL solution
CONTRAINDICATIONS
• Hypocalcemia
• Pregnancy
• Known hypersensitivity to Prolia
WARNING AND PRECAUTIOS
• Same Active Ingredient: Patients receiving
Prolia should not receive XGEVA
• Hypersensitivity including anaphylaxis
• Hypocalcemia: Must be corrected before
initiating Prolia. May worsen, Especially in
patients with renal impairment.
• Adequately supplement Patients with calcium
and vitamin D
• Osteonecrosis of the jaw: Has been reported
with Prolia.
• Atypical femoral fractures
• Multiple vertebral fractures
• Serious infections including skin infections
• Dermatologic reactions: Dermatitis, rashes, and
eczema have been reported.
• Severe bone, joint, muscle pain may occur.
• Suppression of bone turnover
ADVERSE DRUG REACTIONS
• Postmenopausal osteoporosis: Most common adverse reactions
(> 5% and more common than placebo) were: back pain, pain in
extremity, hypercholesterolemia, musculoskeletal pain, and
cystitis. Pancreatitis has been reported in clinical trials
• Male osteoporosis: Most common adverse reactions (> 5% and
more common than placebo) were: back pain, arthralgia, and
nasopharyngitis
• Glucocorticoid-induced osteoporosis: Most common adverse
reactions (> 3% and more common than active-control group)
were: back pain, hypertension, bronchitis, and headache
• Bone loss due to hormone ablation for cancer: Most common
adverse reactions (≥ 10% and more common than placebo)
were: arthralgia and back pain. Pain in extremity and
musculoskeletal pain have also been reported in clinical trials
XGEVA
INDICATIONS AND USE
• Prevention of skeletal-related events in
patients with multiple myeloma and in
patients with bone metastases from solid
tumors.
• Treatment of adults and skeletally mature
adolescents with giant cell tumor of bone that
is unresectable or where surgical resection is
likely to result in severe morbidity.
• Treatment of hypercalcemia of malignancy
DOSAGE AND ADMINISTRATION
• Multiple Myeloma and Bone Metastasis from
Solid Tumors: Administer 120 mg every 4
weeks as a subcutaneous injection in the
upper arm, upper thigh, or abdomen.
• Giant Cell Tumor of Bone: Administer 120 mg
every 4 weeks with additional 120 mg doses
on Days 8 and 15 of the first month of therapy.
• Hypercalcemia of Malignancy: Administer 120
mg every 4 weeks with additional 120 mg
doses on Days 8 and 15 of the first month of
therapy.
DOSAGE FORMS AND STRENGTHS
• Injection: 120 mg/1.7 mL (70 mg/mL) solution
in a single-dose vial
WARNING SYMPTOMS AND PRECAUTIONS
• Hypersensitivity reactions including
anaphylaxis may occur.
• Hypocalcemia: Xgeva can cause severe
symptomatic hypocalcemia, and fatal cases
have been reported.
• Correct hypocalcemia prior to initiating Xgeva.
Monitor calcium levels during therapy,
especially in the first weeks of initiating
therapy, and adequately supplement all
patients with calcium and vitamin D.
• Osteonecrosis of the jaw (ONJ) has been
reported in patients receiving Xgeva
• Atypical femoral fracture
• Hypercalcemia Following Treatment
Discontinuation in Patients with Giant Cell
Tumor of Bone and in Patients with Growing
Skeletons: Monitor patients for signs and
symptoms of hypercalcemia, and manage as
clinically appropriate.
• Multiple Vertebral Fractures (MVF) Following
Treatment
• Discontinuation: When Xgeva treatment is
discontinued, evaluate the individual patient’s
risk for vertebral fractures.
• Embryo-Fetal Toxicity: Can cause fetal harm.
Advise females of reproductive potential of
potential risk to the fetus and to use effective
contraception.
ADVERSE REACTIONS
• Bone Metastasis from Solid Tumors: Most
common adverse reactions (≥ 25%) were
fatigue/asthenia, hypophosphatemia, and nausea.
• Multiple Myeloma: Most common adverse
reactions (≥ 10%) were diarrhea, nausea, anemia,
back pain, thrombocytopenia, peripheral edema,
hypocalcemia, upper respiratory tract infection,
rash, and headache.
• Giant Cell Tumor of Bone: Most common
adverse reactions (≥ 10%) were arthralgia,
headache, nausea, back pain, fatigue, and
pain in extremity.
• Hypercalcemia of Malignancy: Most common
adverse reactions (> 20%) were nausea,
dyspnea, decreased appetite, headache,
peripheral edema, vomiting, anemia,
constipation, and diarrhea.
DENOSUMAB IN GCT
• GCT : locally aggressive benign neoplasm
• Malignant transformation with out
radiotherapy is uncommon and occurs in less
than 1% of cases
• Decrease in activity and control of symptoms
• Malignant transformation is seen mostly
following radiation therapy
• To enhance surgeons ability to
perform joint preserving
intralesional surgery with an
acceptable low risk of recurrence
• Sample : 20 adults with recurrent /
unresectable GCT
• Dosage : SC Denosumab 120 mg every 4 wks
(with additional doses on day 8 and day 15 )
• End point : 90 % or more elimination of giant
cells from tumour
• 100% subjects achieved end point .
• 65 % increased portion of RANKL- positive
stromal cells replaced by dense fibro-osseous
tissue / new owen bone
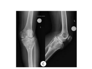
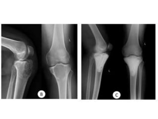
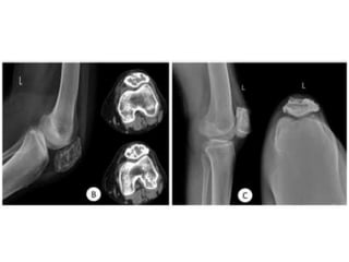
CASE REPORT
JULY 2009
SEPT 2009
1 year later
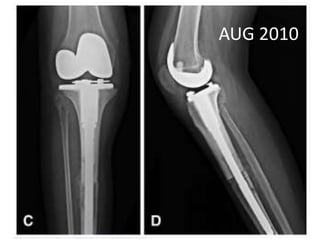
AUG 2010
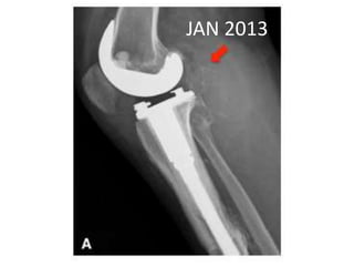
JAN 2013
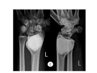
• MAY 2013
• DENOSUMAB started
• 360 mg subcutaneous dose
• Followed by 120 mg every month
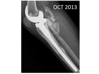
OCT 2013
• Pain around knee joint diminished
• Further resection ??
• Patient refused
• Clinical improvement persisted until jan 14
• Presented with Rapidly growing painful
palpable mass
• Open biopsy : high grade sarcoma
• A/K amputation
CASE 1
CASE 2
CASE 3
CASE 4
CASE 5
RESULTS
• 54 patients with 30 primary and 25 recurrent
tumours
• 17 patients treated with out denosumab
• 6 doses before surgery ( planned arbitrarily)
• Clinical improvement in all (3 to 4 doses)
• 3 doses prior in whom surgery was planned
• 14 recurrences out of 37 curetted tumours(38%)
• 11 of 25 patients in donesumab-treated curettage
group had recurrences (44%) compared with 7 of
34 (21%) in the non denosumab-treated control
group : not significant
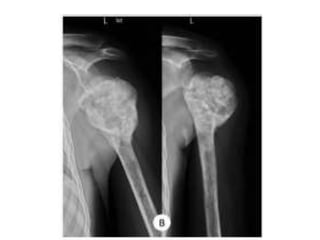
• No recurrence in the resection group
• One malignant transformation in a pt with
proximal humeral GCT.
• Denosumab reduces risk of recurrence ????
• Further trials needed !!!!!!
SOURCES
• Freedome trial
• Freedome extension trial
• Luis et.al case report
• Mainsh et.al article on Denosumab in GCT
• Xu et.al Denosumab in GCT review
• AMGEN annual Denosumab update
THANK OU

Denosumab

  • 1.
  • 2.
  • 3.
    • What isit ? • Mechanism of action ? • Uses ? • Side effects ? • Contra indications ? • Adverse drug reactions ? • Cost ? , availability ? • Current recommendations ?
  • 4.
    What is it? • Monoclonal antibody ( IgG2 ) • Developed by AMGEN • On 2 June 2010, DENOSUMAB was approved by (FDA) for use in postmenopausal women with risk of osteoporosis under the trade name Prolia, and in November 2010, as Xgeva, for the prevention of skeleton-related events in patients with bone metastases from solid tumors.
  • 5.
    • Denosumab isthe first RANKL inhibitor to be approved by the FDA. • On 13 June 2013, the US FDA approved Denosumab for treatment of adults and skeletally mature adolescents with Giant cell tumor of bone that is unresectable or where resection would result in significant morbidity.
  • 6.
  • 9.
  • 10.
    USES • Treatment ofpostmenopausal women with osteoporosis at high risk for fracture • Treatment to increase bone mass in men with osteoporosis at high risk for fracture • Treatment of glucocorticoid-induced osteoporosis in men and women at high risk for fracture
  • 11.
    • Treatment toincrease bone mass in men at high risk for fracture receiving androgen deprivation therapy for non-metastatic prostate cancer • Treatment to increase bone mass in women at high risk for fracture receiving adjuvant aromatase inhibitor therapy for breast cancer
  • 12.
    DOSAGE AND ADMINISTRATION •Pregnancy must be ruled out prior to administration of Prolia • Prolia should be administered by a healthcare professional • Administer injection every 6 months as a subcutaneous injection in the upper arm, upper thigh, or abdomen • Instruct patients to take calcium 1000 mg daily and at least 400 IU vitamin D daily
  • 13.
    DOSAGE AND STRENGTH •Single-use prefilled syringe containing 60 mg in a 1 mL solution
  • 17.
  • 18.
    WARNING AND PRECAUTIOS •Same Active Ingredient: Patients receiving Prolia should not receive XGEVA • Hypersensitivity including anaphylaxis • Hypocalcemia: Must be corrected before initiating Prolia. May worsen, Especially in patients with renal impairment. • Adequately supplement Patients with calcium and vitamin D • Osteonecrosis of the jaw: Has been reported with Prolia.
  • 19.
    • Atypical femoralfractures • Multiple vertebral fractures • Serious infections including skin infections • Dermatologic reactions: Dermatitis, rashes, and eczema have been reported. • Severe bone, joint, muscle pain may occur. • Suppression of bone turnover
  • 20.
    ADVERSE DRUG REACTIONS •Postmenopausal osteoporosis: Most common adverse reactions (> 5% and more common than placebo) were: back pain, pain in extremity, hypercholesterolemia, musculoskeletal pain, and cystitis. Pancreatitis has been reported in clinical trials • Male osteoporosis: Most common adverse reactions (> 5% and more common than placebo) were: back pain, arthralgia, and nasopharyngitis • Glucocorticoid-induced osteoporosis: Most common adverse reactions (> 3% and more common than active-control group) were: back pain, hypertension, bronchitis, and headache • Bone loss due to hormone ablation for cancer: Most common adverse reactions (≥ 10% and more common than placebo) were: arthralgia and back pain. Pain in extremity and musculoskeletal pain have also been reported in clinical trials
  • 28.
  • 29.
    INDICATIONS AND USE •Prevention of skeletal-related events in patients with multiple myeloma and in patients with bone metastases from solid tumors. • Treatment of adults and skeletally mature adolescents with giant cell tumor of bone that is unresectable or where surgical resection is likely to result in severe morbidity. • Treatment of hypercalcemia of malignancy
  • 30.
    DOSAGE AND ADMINISTRATION •Multiple Myeloma and Bone Metastasis from Solid Tumors: Administer 120 mg every 4 weeks as a subcutaneous injection in the upper arm, upper thigh, or abdomen. • Giant Cell Tumor of Bone: Administer 120 mg every 4 weeks with additional 120 mg doses on Days 8 and 15 of the first month of therapy. • Hypercalcemia of Malignancy: Administer 120 mg every 4 weeks with additional 120 mg doses on Days 8 and 15 of the first month of therapy.
  • 31.
    DOSAGE FORMS ANDSTRENGTHS • Injection: 120 mg/1.7 mL (70 mg/mL) solution in a single-dose vial
  • 32.
    WARNING SYMPTOMS ANDPRECAUTIONS • Hypersensitivity reactions including anaphylaxis may occur. • Hypocalcemia: Xgeva can cause severe symptomatic hypocalcemia, and fatal cases have been reported. • Correct hypocalcemia prior to initiating Xgeva. Monitor calcium levels during therapy, especially in the first weeks of initiating therapy, and adequately supplement all patients with calcium and vitamin D.
  • 33.
    • Osteonecrosis ofthe jaw (ONJ) has been reported in patients receiving Xgeva • Atypical femoral fracture • Hypercalcemia Following Treatment Discontinuation in Patients with Giant Cell Tumor of Bone and in Patients with Growing Skeletons: Monitor patients for signs and symptoms of hypercalcemia, and manage as clinically appropriate.
  • 34.
    • Multiple VertebralFractures (MVF) Following Treatment • Discontinuation: When Xgeva treatment is discontinued, evaluate the individual patient’s risk for vertebral fractures. • Embryo-Fetal Toxicity: Can cause fetal harm. Advise females of reproductive potential of potential risk to the fetus and to use effective contraception.
  • 35.
    ADVERSE REACTIONS • BoneMetastasis from Solid Tumors: Most common adverse reactions (≥ 25%) were fatigue/asthenia, hypophosphatemia, and nausea. • Multiple Myeloma: Most common adverse reactions (≥ 10%) were diarrhea, nausea, anemia, back pain, thrombocytopenia, peripheral edema, hypocalcemia, upper respiratory tract infection, rash, and headache.
  • 36.
    • Giant CellTumor of Bone: Most common adverse reactions (≥ 10%) were arthralgia, headache, nausea, back pain, fatigue, and pain in extremity. • Hypercalcemia of Malignancy: Most common adverse reactions (> 20%) were nausea, dyspnea, decreased appetite, headache, peripheral edema, vomiting, anemia, constipation, and diarrhea.
  • 37.
    DENOSUMAB IN GCT •GCT : locally aggressive benign neoplasm • Malignant transformation with out radiotherapy is uncommon and occurs in less than 1% of cases • Decrease in activity and control of symptoms • Malignant transformation is seen mostly following radiation therapy
  • 38.
    • To enhancesurgeons ability to perform joint preserving intralesional surgery with an acceptable low risk of recurrence
  • 40.
    • Sample :20 adults with recurrent / unresectable GCT • Dosage : SC Denosumab 120 mg every 4 wks (with additional doses on day 8 and day 15 ) • End point : 90 % or more elimination of giant cells from tumour • 100% subjects achieved end point . • 65 % increased portion of RANKL- positive stromal cells replaced by dense fibro-osseous tissue / new owen bone
  • 41.
  • 42.
  • 43.
  • 44.
  • 45.
  • 46.
  • 47.
    • MAY 2013 •DENOSUMAB started • 360 mg subcutaneous dose • Followed by 120 mg every month
  • 48.
  • 49.
    • Pain aroundknee joint diminished • Further resection ?? • Patient refused • Clinical improvement persisted until jan 14 • Presented with Rapidly growing painful palpable mass • Open biopsy : high grade sarcoma • A/K amputation
  • 51.
  • 54.
  • 57.
  • 61.
  • 63.
  • 65.
    RESULTS • 54 patientswith 30 primary and 25 recurrent tumours • 17 patients treated with out denosumab • 6 doses before surgery ( planned arbitrarily) • Clinical improvement in all (3 to 4 doses) • 3 doses prior in whom surgery was planned
  • 66.
    • 14 recurrencesout of 37 curetted tumours(38%) • 11 of 25 patients in donesumab-treated curettage group had recurrences (44%) compared with 7 of 34 (21%) in the non denosumab-treated control group : not significant • No recurrence in the resection group • One malignant transformation in a pt with proximal humeral GCT. • Denosumab reduces risk of recurrence ???? • Further trials needed !!!!!!
  • 71.
    SOURCES • Freedome trial •Freedome extension trial • Luis et.al case report • Mainsh et.al article on Denosumab in GCT • Xu et.al Denosumab in GCT review • AMGEN annual Denosumab update
  • 72.