Cardiovascular Physiology
(Blood)
Dr Shakeel Abid
CVS
•Cardio is from the cardiac: pertains to the heart
•Vascular: pertains to the vessels
• The cardiovascular system consists of;
1- The heart
2 Blood vessels
3 Blood
Hematology
•The branch of science concerned with the study of
blood, blood-forming tissues, and the disorders
associated with them is hematology
•The physician who treats blood disorders is called
hematologist
•The physician who treats disorders related to heart is
celled Cardiologist
•Cardiac Surgeon carry out surgical interventions on the
heart
•Pharmacist who specializes in the drugs related to
Cardio Vascular System, is called CVS Pharmacist
• Functions of the CVS:
1- Gas transport 3-
Waste removal
2- Nutrient delivery
4- Hormone Transport
•These functions are dependent on circulation of blood,
which requires structural integrity of the heart and
vessels
•In the following slides: the major structural features of
the human heart and circulation are discussed
TheBlood: Components andFunctions:
•Most cells of a multicellular organism cannot move
around to obtain oxygen and nutrients or eliminate
carbon dioxide and other wastes
•Instead, these needs are met by two fluids: blood and
interstitial fluid.
•Blood is a liquid connective tissue that consists of cells
and plasma
•Interstitial fluid bathes body cells
•Blood serves numerous functions, including the
transport of respiratory gases, nutritive molecules,
metabolic wastes, and hormones
•Blood travels through the body in a system of vessels
leading from and returning to the heart
Functionsof Blood
•Blood has three general functions:
1. Transportation:
•Blood transports inhaled oxygen from the lungs to the
cells of the body and carbon dioxide from the body cells
to the lungs for exhalation
•It carries nutrients from the gastrointestinal tract to
body cells
•Transportation of hormones from endocrine glands to
other body cells
•Excretory function
•Blood also transports heat and solid waste products to
various organs for elimination from the body
2. Regulation:
•Circulating blood helps maintain homeostasis of all
body fluids
• Blood helps regulate pH through the use of buffers
(chemicals that convert strong acids or bases into
weak ones)
• It also helps adjust body temperature through the
heat absorbing and coolant properties of the water
•In addition, blood osmotic pressure influences the
water content of cells, mainly through interactions of
dissolved ions and proteins
•3. Protection:
•Blood can clot, which protects against its excessive loss
from the body after an injury
•Its white blood cells protect against disease by carrying
on phagocytosis.
•Several types of blood proteins, including antibodies,
interferons, and complement systems, help protect
against disease in a variety of ways
PhysicalCharacteristics of Blood
•Blood is denser and more viscous (thicker) than water
and feels slightly sticky.
•The temperature of blood is 38oC (100.4oF), about 1oC
higher than oral or rectal body temperature, and it has
a slightly alkaline pH ranging from 7.35 to 7.45.
•The color of blood varies with its oxygen content.
When saturated with oxygen, it is bright red. When
unsaturated with oxygen, it is dark red
•Blood constitutes about 20% of extracellular fluid,
amounting to 8% of the total body mass
•The blood volume is 5 to 6 liters (1.5 gal) in an average
sized adult male and 4 to 5 liters (1.2 gal) in an
average-sized adult female.
•The gender difference in volume is due to differences
in body size
•Several hormones, regulated by negative feedback,
ensure that blood volume and osmotic pressure
remain relatively constant
•Especially important are the hormones aldosterone,
antidiuretic hormone, and atrial natriuretic peptide,
which regulate how much water is excreted in the
urine
Componentsof Blood
•Whole blood has two components:
1- Blood plasma: (55%)
A watery liquid extracellular matrix that contains
dissolved substances
2- Formed elements: (45%)
The formed elements— erythrocytes, leukocytes,
and platelets— function, respectively, in oxygen
transport, immune defense, and blood clotting
•99% of the formed elements are red blood cells (RBCs).
•Pale, colorless white blood cells (WBCs) and platelets
occupy less than 1% of the formed elements
•Because they are less dense than red blood cells but
more dense than blood plasma, they form a very thin
buffy coat layer between the packed RBCs and plasma
Plasma
•Blood plasma is about 91.5% water and 8.5% solutes,
most of which (7% by weight) are proteins
•The major solute of the plasma in terms of its
concentration is Na +
•In addition to Na+ , plasma contains many other ions,
as well as organic molecules such as metabolites,
hormones, enzymes, antibodies, and other proteins
PlasmaProteins
•The three types of proteins are albumins, globulins,
and fibrinogen.
•Albumins account for most (60% to 80%) of the plasma
proteins and are the smallest in size
•They are produced by the liver and provide the osmotic
pressure needed to draw water from the surrounding
tissue fluid into the capillaries, thereby maintains
blood volume
•Serum albumin 4.7 g/dl
•Globulins are grouped into three subtypes:
1. α - globulins 2. β - globulins 3. γ - globulins
•The alpha and beta globulins are produced by the liver
and function in transporting lipids and fat-soluble
vitamins
•Gamma globulins are antibodies produced by
lymphocytes
• Fibrinogen:
•It accounts for only about 4% of the total plasma
proteins, is an important clotting factor produced by
the liver.
•Fibrinogen is converted into insoluble threads of
fibrin.
•Thus, the fluid from clotted blood, called serum, does
not contain fibrinogen but is otherwise identical to
plasma
Formation of the PlasmaProteins
•Essentially all the albumin and fibrinogen of the
plasma proteins, as well as 50 to 80 per cent of the
globulins, are formed in the liver.
•The remainder of the globulins are formed almost
entirely in the lymphoid tissues.
•They are mainly the gamma globulins that constitute
the antibodies used in the immune system
• The rate of plasma protein formation by the liver can be
extremely high, as much as 30 g/day.
• Certain disease conditions cause rapid loss of plasma
proteins;
• Severe burns that denude large surface areas of the skin
can cause the loss of several liters of plasma through the
denuded areas each day.
• The rapid production of plasma proteins by the liver is
valuable in preventing death in such states.
•In cirrhosis of the liver, large amounts of fibrous tissue
develop among the liver parenchymal cells, causing a
reduction in their ability to synthesize plasma proteins
•This leads to decreased plasma colloid osmotic
pressure, which causes generalized edema
Functions of Plasma
Proteins
1- Sourceof AminoAcids
•When the tissues become depleted of proteins, the
plasma proteins can act as a source of rapid
replacement.
•Indeed, whole plasma proteins can be imbibed in to by
tissue macrophages through the process of
pinocytosis;
•Once in these cells, they are split into amino acids that
are transported back into the blood and used
throughout the body to build cellular proteins
wherever needed.
•In this way, the plasma proteins function as a labile
protein storage medium and represent a readily
available source of amino acids whenever a particular
tissue requires them
2- ProteinEquilibrium
•There is a constant state of equilibrium, among the
plasma proteins, the amino acids of the plasma, and
the tissue proteins
•Normally about 400 grams of body protein are
synthesized and degraded each day as part of the
continual state of flux of aminoacids
•This demonstrates the general principle of reversible
exchange of amino acids among the different proteins
of the body
•The ratio of total tissue proteins to total plasma
proteins in the body remains relatively constant at
about 33:1
•Because of this reversible equilibrium between plasma
proteins and the other proteins of the body, one of the
most effective therapies for severe, acute whole body
protein deficiency is intravenous transfusion of plasma
protein.
•Within a few days, or sometimes within hours, the
amino acids of the administered protein are
distributed throughout the cells of the body to form
new proteins where they are needed.
3- Maintenance of bodyFluid
•In arterioles, the hydrostatic pressure is about 37 mm
Hg, with an interstitial (tissue) pressure of 1 mm Hg
opposing it.
•The osmotic pressure (oncotic pressure) exerted by
the plasma proteins is approximately 25 mm Hg.
•Thus, a net outward force of about 11 mm Hg drives
fluid out into the interstitial spaces
•In venules, the hydrostatic pressure is about 17 mm
Hg, with the oncotic and interstitial pressures as
described above; thus, a net force of about 9 mm Hg
attracts water back into the circulation
•The above pressures are often referred to as the
Starling forces.
4- Rolein Edema
•If the concentration of plasma proteins is markedly
diminished (eg, due to severe protein malnutrition),
fluid is not attracted back into the intravascular
compartment and accumulates in the extravascular
tissue spaces, a condition known as edema.
•Edema has many causes; protein deficiency is one of
them
• ROLE IN COAGULATION OF BLOOD
• ROLE IN DEFENSE MECHANISM OF BODY
• ROLE IN TRANSPORT MECHANISM
• ROLE IN REGULATION OF
• ACID-BASE BALANCE
• ROLE IN VISCOSITY OF BLOOD
• ROLE IN ERYTHROCYTE SEDIMENTATION RATE
• ROLE IN SUSPENSION STABILITY OF RED BLOOD CELLS
• ROLE IN PRODUCTION OF TREPHONE SUBSTANCES
• ROLE AS RESERVE PROTEINS
VARIOUSPLASMAPROTEINSANDTHEREFUNCTIONS
PlasmaVolume
•A number of regulatory mechanisms in the body
maintain homeostasis of the plasma volume.
•If the body should lose water, the remaining plasma
becomes excessively concentrated—its osmolality
increases
TheFormed Elementsof Blood
•Red blood cells (RBCs) or erythrocytes transport
oxygen from the lungs to body cells and deliver carbon
dioxide from body cells to the lungs
•White blood cells (WBCs) or leukocytes protect the
body from invading pathogens and other foreign
substances
•Platelets are fragments of cells that do not have a
nucleus.
•They release chemicals that promote blood clotting
when blood vessels are damaged
•The percentage of total blood volume occupied by RBCs
is called the hematocrit
•A hematocrit of 40 indicates that 40% of the volume of
blood is composed of RBCs.
•The normal range of hematocrit for adult females is 38–
46% (average 42); for adult males, it is 40–54% (average
47)
•The hormone testosterone, present in much higher
concentration in males than in females, stimulates
synthesis of erythropoietin (EPO), the hormone that in
turn stimulates production of RBCs
•Thus, testosterone contributes to higher hematocrits
in males.
•Lower values in women during their reproductive years
also may be due to excessive loss of blood during
menstruation
Hematopoiesis
•Blood cells are constantly formed through a process
called hematopoiesis (also called hemopoiesis)
•The hematopoietic stem cells —those that give rise to
blood cells — originate in the yolk sac of the human
embryo
•Then these migrate in sequence to regions around the
aorta, to the placenta, and then to the liver of a fetus
•The hematopoietic stem cells form a multipotent adult
stem cells that give rise to all of the specialized blood
cells
•The hematopoietic stem cells are self-renewing,
duplicating themselves by mitosis
•So that the parent stem cell population will not become
depleted as individual stem cells differentiate into the
mature blood cells
•The term erythropoiesis refers to the formation of
erythrocytes, and leukopoiesis to the formation of
leuko-cytes
•These processes occur in two classes of tissues after
birth, myeloid and lymphoid.
•Myeloid tissue is the red bone marrow of the long
bones, ribs, sternum, pelvis, bodies of the vertebrae,
and portions of the skull
•Lymphoid tissue includes the lymph nodes, tonsils,
spleen, and thymus.
Erythropoiesis
•Pluripotential Hematopoietic Stem Cells, Growth
Inducers, and Differentiation Inducers:
•The blood cells begin their lives in the bone marrow
from a single type of cell called the pluripotential
hematopoietic stem cell (Uncommitted PHSC or Non-
Specific)
•From which all the cells of the circulating blood are
eventually derived (Committed PHSC or Specific)
•The different committed stem cells, when grown in
culture, will produce colonies of specific types of blood
cells.
•A committed stem cell that produces erythrocytes is
called a colony-forming unit–erythrocyte, and the
abbreviation CFU-E is used to designate this type of
stem cell
•Likewise, colony-forming units that form granulocytes
and monocytes have the designation CFU-GM, and so
forth
1- Proerythroblast(Pronormoblast)
•Thefirst cell that can be identified asbelonging to the
red blood cell series is the proerythroblast
•It has an average size of 15μm (Range 14 - 19).
•The cytoplasm is seen as thin rim of deep blue
homogenous cytoplasm
•Large nucleus that contains multiple Nucleoli
•Doesn’t contain hemoglobin (Hb)
2- EarlyNormoblast(Basophilic)
•Nucleoli are absent, Sizebecomes smaller than it’s
precursor, ranging between 12 – 17μm.
•Chromatin appears as a coarse network. This cell
shows active mitosis
•The cytoplasm is more deeply basophilic, even more
than that of pronormoblast
3-Intermediate Normobalst(Polychromatic)
•Size is almost 12μm
•Whole cell is smaller than early normoblast.
•Chromatin is very coarse and shows dark chunks.
•Hb synthesis starts at this stage, and the first traces of Hb
appear around the nucleus
•It is called polychromatic because the cytoplasm shows
both acidophilic staining (due to Hb) and basophilic (due
to RNA)
4- LateNormoblast(orthochromatic)
•The nucleus shows shrinkage along with condensation
and solidification of chromatin
•This change is called pyknotic degeneration
•Later this nuclear mass is lost from the cell
•The Hb formation is completed at this stage
•Increasing amount of Hb replaces the cytoplasm and
get stained by dull copper appearance
Reticulocyte
•It does not have nucleus but it has some mitochondria,
Golgi apparatus and ribosomes (basophilic)
•Some Hb is synthesized at this stage
•It stays in the bone marrow for 2.5 – 3 days
•Then cells pass from the bone marrow into the blood
capillaries by diapedesis (squeezing through the
pores of the capillary membrane)
•Where it remains for another 24 hours before it loses its
mitochondria, Golgi apparatus and ribosomes
•Then it takes the morphological features of a mature
RBC
•The number of reticulocytes in the blood is an index of
erythropoietic activity of the bone marrow (0.2- 2%)
Erythrocyte or MatureRBC
•When the remaining basophilic material in the
reticulocyte disappears, the cell is then a mature
erythrocyte
•It then has all the anatomical and functional properties
of RBC
•Erythropoiesis is an extremely active process. It is
estimated that about 2.5 million erythrocytes are
produced every second in order to replace those that
are continuously destroyed by the spleen and liver
Regulation of Erythropoietin
Why Regulation is necessary:
1 An adequate number of red cells is always
available to provide sufficient transport of oxygen
from the lungs to the tissues
2 the cells do not become so numerous that
they impede blood flow.
FactorsAffecting Erythropoiesis
1- Hypoxia
2 Erythropoietin:
3 Vitamins
4 Protein Diet
5 Metals
6 Hormones
1- Hypoxia& Erythropoietin:
•Tissue Oxygenation Is the Most Essential Regulator of
Red Blood Cell Production.
•Any condition that causes the quantity of oxygen
transported to the tissues to decrease ordinarily
increases the rate of red blood cell production
•Decreased tissue count could result either by
decreased RBC count in the blood or decreased oxygen
level in the blood
a- Decreased RBCs in the blood:
Anemia Hemorrhage
Destruction bone marrow by any means
•X-ray therapy can destroy bone marrow,
•This causes hyperplasia of the remaining bone marrow,
thereby attempting to supply the demand for red blood
cells in the body
b- Decreased Oxygen:
•Very high altitudes, where the quantity of oxygen in the
air is greatly decreased, insufficient oxygen is
transported to the tissues, and red cell production is
greatly increased
•C- Decreased blood flow:
•Diseases of the circulation that cause decreased blood
flow through the peripheral vessels, and particularly
those that cause failure of oxygen absorption by the
blood also increase the rate of red cell production
•Diseases include:
Heart Failure: ?????? (already discussed)
Pulmonary disorders: ??????? (already discussed)
•Tissue hypoxia resulting from these conditions
increases red cell production, with a resultant increase
in hematocrit and usually total blood volume as well
2 - Erythropoietin
•Erythropoietin Stimulates Red Cell Production, and Its
Formation
•Erythropoietin increases in Response to Hypoxia.
•The principal stimulus for red blood cell production in
low oxygen states is a circulating hormone called
erythropoietin, a glycoprotein with a molecular weight
of about 34,000.
•Hypoxia causes a marked increase in erythropoietin
production
•Then the erythropoietin in turn enhances red blood
cell production until the hypoxia is relieved
•In the normal person, about 90 per cent of all
erythropoietin is formed in the kidneys
•The remainder is formed mainly in the liver.
•It is not known exactly where in the kidneys the
erythropoietin is formed
Effect of Erythropoietin inErythrogenesis.
•Important effect of erythropoietin is to stimulate the
production of proerythroblasts from hematopoietic
stem cells in the bone marrow.
•In addition, once the proerythroblasts are formed, the
erythropoietin causes these cells to pass more rapidly
through the different erythroblastic stages than they
normally do, further speeding up the production of
new red blood cells.
•The rapid production of cells continues
1 As long as the person remains in a low oxygen
state
2 Or until enough red blood cells have been
produced to carry adequate amounts of oxygen
to the tissues despite
3- Vitamins
•Vitamin B12 and Folic Acid:
•Their maturation and rate of production are affected
greatly by aperson’s nutritional status.
•Two vitamins are important for final maturation of the
red blood cells that are vitamin B12 and folic acid.
•Both of these are essential for the synthesis of DNA
because each in a different way is required for the
formation of thymidine triphosphate, one of the
essential building blocks of DNA.
•Therefore, lack of either vitamin B12 or folic acid causes
abnormal and diminished DNA and, consequently,
failure of nuclear maturation and cell division
•Furthermore, the erythroblastic cells of the bone
marrow, in addition to failing to proliferate rapidly,
produce mainly larger than normal red cells called
macrocytes
4- Metals
•Iron
•Mangnese
•Cobalt
•The erythroid cells from pronormoblast to
reticulocytes contain receptors for iron and can
therefore take iron from the iron containing plasma
protein transferrin
5 – Protein Diet
•Globin part of Hb is synthesized from the essential
amino acids that are supplied by the diet
•Low protein conditions like war prisoners Poverty ort
kwashiorkor Disease causes low erythropoiesis
6- Hormones
•Testosterone
•Epinephrine
•Nor-epinephrine
•Growth Hormone
Functions of RBC
• A major function of red blood cells, also known as erythrocytes, is to transport hemoglobin, which in
• turn carries oxygen from the lungs to the tissues. In some lower animals, hemoglobin circulates as free
• protein in the plasma, not enclosed in red blood cells. When it is free in the plasma of the human being,
• about 3 percent of it leaks through the capillary membrane into the tissue spaces or throughthe
• glomerular membrane of the kidney into the glomerular filtrate each time the blood passes throughthe
• capillaries. Therefore, hemoglobin must remain inside red blood cells to effectively perform its functions
• in humans.
• The red blood cells have other functions besides transport of hemoglobin. For instance, they contain a
• large quantity of carbonic anhydrase, an enzyme that catalyzes the reversible reaction between carbon
• dioxide (CO2) and water to form carbonic acid (H2CO3), increasing the rate of this reaction several
• thousandfold. The rapidity of this reaction makes it possible for the water of the blood to transport
• enormous quantities of CO2 in the form of bicarbonate ion (
• ) from the tissues to the lungs, where it is reconverted to CO2 and expelled into the atmosphere
• as a body waste product. The hemoglobin in the cells is an excellent acid-base buffer (as is true of
• most proteins), so the red blood cells are responsible for most of the acid-base buffering power of
• whole blood.
Leukopoiesis
•The production of different subtypes of leukocytes is
stimulated by chemicals called cytokines
•These are autocrine regulators secreted by various
cells of the immune system
Regulation of Leukopoiesis
• A variety of cytokines stimulate different stages of
leukocyte development.
•The cytokines known as multipotent growth factor-1,
interleukin-1, and interleukin-3 have general effects,
stimulating the development of different types of
white blood cells.
•Granulocyte colony-stimulating factor (G-CSF) acts in a
highly specific manner to stimulate the development
of neutrophils, whereas granulocyte-monocyte colony-
stimulating factor (GM-CSF) stimulates the
development of monocytes and eosinophils.
•The genes for the cytokines G-CSF and GM-CSF have
been cloned, making these cytokines available for
medical applications
Thrombopoiesis
•Scientists have identified a specific cytokine that
stimulates proliferation of megakaryocytes and their
maturation into platelets.
•By analogy with erythropoietin, they named this
regulatory molecule thrombopoietin
•The gene that codes for thrombopoietin also has been
cloned, so that recombinant thrombopoietin is now
available for medical research and applications
Thrombogenesis
RedBlood Cells
•Red blood cells (RBCs) or erythrocytes contain the
oxygen-carrying protein hemoglobin, which is a
pigment that gives whole blood its red color.
RBC Anatomy
•RBCs are biconcave discs with a diameter of 7–8 μm.
•Mature red blood cells have a simple structure.
•Their plasma membrane is both strong and flexible,
which allows them to deform without rupturing as
they squeeze through narrow blood capillaries
•The plasma membrane of RBCs contain glycolipids
which act as antigens
•These antigens account for the various blood groups
such as the ABO and Rh groups.
•Mature RBCs lack a nucleus and other organelles and
can neither reproduce nor carry on extensive
metabolic activities
•The cytosol of RBCs contains hemoglobin molecules;
•These important molecules are synthesized before loss
of the nucleus during RBC production and constitute
about 33% of the cell’s weight
RBCPhysiology
•Red blood cells are highly specialized for their oxygen
transport function.
•Because mature RBCs have no nucleus, all of their
internal space is available for oxygen transport.
•Because RBCs lack mitochondria and generate ATP
anaerobically (without oxygen), they do not use up any
of the oxygen they transport
•Even the shape of an RBC facilitates its function.
•A biconcave disc has a much greater surface area for
the diffusion of gas molecules into and out of the RBC
than would, say, a sphere or a cube
•Each RBC contains about 280 million hemoglobin
molecules.
Hemoglobin
•Hemoglobin is a protein made up of four subunits of
iron-containing disc shaped pigment molecules called
heme moiety attached to four polypeptide chains
called globins
•The protein part of the hemoglobin is composed of
two identical α chains (each 141 amino acid long) and
two identical β chains (each 146 amino acid long)
•Each of four polypeptide chains is combined
with one heme group
•In the center of each heme group is one atom
of ferrous iron, which can reversibly bind with
one molecule of O2
•It has been customary to write the reaction of
hemoglobin with O2 as;
DeoxyHb + O2←→ HbO2
(Oxyhemoglobin)
•Hemoglobin releases oxygen, which diffuses first into
the interstitial fluid and then into cells
•Hemoglobin also transports about 23% of the total
carbon dioxide, a waste product of metabolism.
•The remaining carbon dioxide is dissolved in plasma or
carried as bicarbonate ions
Hemoglobin – Structure
Formation of Hemoglobin
•Synthesis of hemoglobin starts in early phases of RBC
production and continues even into the reticulocyte
stage of the red blood cells.
•Therefore, when reticulocytes leave the bone marrow
and pass into the blood stream, they continue to form
minute quantities of hemoglobin for another day or so
until they become mature erythrocytes
HbStructure
•The most common form of hemoglobin in the adult
human being, hemoglobin A, is a combination of two
alpha chains and two beta chains.
•Hemoglobin A has a molecular weight of 64,458
Iron Metabolism
•Because iron is important for the formation not only of
hemoglobin but also of other essential elements in the
body (e.g., myoglobin, cytochromes, cytochrome
oxidase, peroxidase, catalase),
•The total quantity of iron in the body averages 4 to 5
grams, about 65 per cent of which is in the form of
hemoglobin
Transportof Iron in the Body
•When iron is absorbed from the small intestine, it
immediately combines in the blood plasma with a beta
globulin, apotransferrin, to form transferrin, which is
then transported in the plasma.
•The iron is loosely bound in the transferrin and,
consequently, can be released to any tissue cell at any
point in the body.
•Excess iron in the blood is deposited especially in the
liver hepatocytes
•In the cell cytoplasm, iron combines mainly with a
protein, apoferritin, to form ferritin.
•Apoferritin has a molecular weight of about 460,000
•This iron stored as ferritin is called storage iron
•Smaller quantities of the iron in the storage pool are in
an extremely insoluble form called hemosiderin.
•This is especially true when the total quantity of iron in
the body is more than the apoferritin storage pool can
accommodate
•When the quantity of iron in the plasma falls low,
some of the iron in the ferritin storage pool is removed
easily and transported in the form of transferrin in the
plasma to the areas of the body where it is needed
•A unique characteristic of the transferrin molecule is
that it binds strongly with receptors in the cell
membranes of erythroblasts in the bone marrow
•Then, along with its bound iron, it is ingested into the
erythroblasts by endocytosis.
•There the transferrin delivers the iron directly to the
mitochondria, where heme is synthesized.
•In people who do not have adequate quantities of
transferrin in their blood, failure to transport iron to
the erythroblasts in this manner can cause severe
hypochromic anemia*
•When red blood cells have lived their life span and are
destroyed
•There, iron is liberated and is stored mainly in the
ferritin pool to be used as needed for the formation of
new hemoglobin.
Absorptionof Iron from the GIT
•Iron is absorbed from all parts of the small intestine,
mostly by the following mechanism.
•The liver secretes moderate amounts of apotransferrin
into the bile, which flows through the bile duct into the
duodenum.
•Here, the apotransferrin binds with free iron and also
with certain iron compounds, such as hemoglobin and
myoglobin from meat, two of the most important
sources of iron in the diet.
•This combination is called transferrin.
• It, in turn, is attracted to and binds with receptors in
the membranes of the intestinal epithelial cells.
•Then, by pinocytosis, the transferrin molecule, carrying
its iron store, is absorbed into the epithelial cells and
later released into the blood capillaries beneath these
cells in the form of plasma transferrin
RBCLifeCycle
•Red blood cells live only about 120 days because of the
wear and tear their plasma membranes undergo as
they squeeze through blood capillaries
•Without a nucleus and other organelles, RBCs cannot
synthesize new components to replace damaged ones
•The plasma membrane becomes more fragile with age,
and the cells are more likely to burst, especially as they
squeeze through narrow channels in the spleen
•Ruptured red blood cells are removed from circulation
and destroyed by fixed phagocytic macrophages in the
spleen and liver
•The breakdown products are recycled and used in
numerous metabolic processes, including the
formation of new red blood cells.
•The recycling occurs as follows
•1- Macrophages in the spleen, liver, or red bone
marrow phagocytize ruptured and worn-out red blood
cells
•2- The globin and heme portions of hemoglobin are
split apart.
•3- Globin is broken down into amino acids, which can
be reused to synthesize other proteins.
•4- Iron is removed from the heme portion in the form
of Fe, which associates with the plasma protein
transferrin iron), a transporter for Fe in the
bloodstream
•5- In muscle fibers, liver cells, and macrophages of the
spleen and liver, Fe3+ detaches from transferrin and
attaches to an iron-storage protein called ferritin
•6- On release from a storage site or absorption from
the gastrointestinal tract, Fe3+ reattaches to transferrin
•7- The Fe3+–transferrin complex is then carried to red
bone marrow, where RBC precursor cells take it up
through receptor mediated endocytosis, for use in
hemoglobin synthesis.
•Iron is needed for the heme portion of the hemoglobin
molecule
•Amino acids are needed for the globin portion.
•Vitamin B12 is also needed for the synthesis of
hemoglobin
•8- Erythropoiesis in red bone marrow results in the
production of red blood cells, which enter the
circulation
•9- When iron is removed from heme, the non-iron
portion of heme is converted to biliverdin, a green
pigment, and then into bilirubin, a yellow orange
pigment
•10- Bilirubin enters the blood and is transported to the
liver.
•11- Within the liver, bilirubin is released by liver cells
into bile, which passes into the small intestine and
then into the large intestine.
•12- In the large intestine, bacteria convert bilirubin
into urobilinogen
•13- Some urobilinogen is absorbed back into the
blood, converted to a yellow pigment called urobilin
excreted in urine
•14- Most urobilinogen is eliminated in feces in the
form of a brown pigment called stercobilin gives feces
its characteristic color.
Anemias & Anemia
Treatments
•Anemia means deficiency of hemoglobin in the blood,
which can be caused by either too few red blood cells
or too little hemoglobin in the cells.
•Anemia is a condition in which the oxygen-carrying
capacity of blood is reduced.
• All of the many types of anemia
1- Microcytic HypochromicAnemia
•Also called Blood Loss Anemia
•After rapid hemorrhage, the body replaces the fluid
portion of the plasma in 1 to 3 days, but this leaves a
low concentration of red blood cells.
•If a second hemorrhage does not occur, the red blood
cell concentration usually returns to normal within 3 to
6 weeks
•In chronic blood loss, a person frequently cannot
absorb enough iron from the intestines to form
hemoglobin as rapidly as it is lost
•Red cells are then produced that are much smaller
than normal and have too little hemoglobin inside
them, giving rise to microcytic, hypochromic anemia
2- Aplastic Anemia.
•Bone marrow aplasia means lack of functioning bone
marrow.
•For instance, a person exposed to gamma ray radiation
from a nuclear bomb blast can sustain complete
destruction of bone marrow, followed in a few weeks
by lethal anemia.
•Likewise, excessive x-ray treatment, certain industrial
chemicals, and even drugs to which the person might
be sensitive can cause the same effect
Types
•1- Idiopathic Aplastic Anemia:
•2- Secondary or Acquired Aplastic Anemia
•3- Fanconi Anemia:
3- Megaloblastic Anemia.
•Based on the earlier discussions of vitamin B12 , folic
acid, and intrinsic factor from the stomach mucosa,
one can readily understand that loss of any one of
these can lead to slow reproduction of erythroblasts in
the bone marrow.
•As a result, the red cells grow too large, with odd
shapes, and are called megaloblasts.
•Thus, atrophy of the stomach mucosa, or loss of the
entire stomach after surgical total gastrectomy can
lead to megaloblastic anemia.
•Also, patients who have intestinal sprue, in which folic
acid, vitamin B12 , and other vitamin B12 compounds
are poorly absorbed, often develop megaloblastic
anemia.
•Because in these states the erythroblasts cannot
proliferate rapidly enough to form normal numbers of
red blood cells, those red cells that are formed are
mostly oversized have bizarre shapes, and have fragile
membranes.
•These cells rupture easily, leaving the person in dire
need of an adequate number of red cells.
4- Hemolytic Anemia
•Different abnormalities of the red blood cells, many of
which are hereditarily acquired, make the cells fragile,
so that they rupture easily as they go through the
capillaries, especially through the spleen
•Even though the number of red blood cells formed
may be normal, or even much greater than normal in
some hemolytic diseases, the life span of the fragile
red cell is so short that the cells are destroyed faster
than they can be formed & serious anemia results
5- SickleCellAnemia
•In sickle cell anemia, the cells have an abnormal type
of hemoglobin called hemoglobin –S
•This Hb contains faulty beta chains in the hemoglobin
molecule
•When this hemoglobin is exposed to low
concentrations of oxygen, it precipitates into long
crystals inside the red blood cell
ASickle
•These crystals elongate the cell and give it the
appearance of a sickle rather than a biconcave disc.
•The precipitated hemoglobin also damages the cell
membrane, so that the cells become highly fragile,
leading to serious anemia.
•Such patients frequently experience a vicious circle of
events called a sickle cell disease “crisis,”
•In which low oxygen tension in the tissues causes
sickling, which leads to ruptured red cells,
•Which causes a further decrease in oxygen tension and
still more sickling and red cell destruction
Erythroblastosis fetalis
•Rh-positive red blood cells in the fetus are attacked by
antibodies from an Rh-negative mother.
•These antibodies make the Rh-positive cells fragile,
leading to rapid rupture and causing the child to be
born with serious anemia
Anemia and CVS
Effects of Anemia on Function of the Circulatory
System
•The viscosity of the blood depends almost entirely on
the blood concentration of red blood cells
•In severe anemia, the blood viscosity may fall to as low
as 1.5 times that of water rather than the normal value
of about 3
•This decreases the resistance to blood flow inthe
peripheral blood vessels
•So that far greater than normal quantities of blood
flow through the tissues and return to the heart,
thereby greatly increasing cardiac output
•Thus, one of the major effects of anemia is greatly
increased cardiac output, as well as increased pumping
workload on the heart.
•When a person with anemia begins to exercise, the
heart is not capable of pumping much greater
quantities of blood
•During exercise, which greatly increases tissue demand
for oxygen, extreme tissue hypoxia results, and acute
cardiac failure ensues.
Polycythemia
Polycythemia
Types:
1- Secondary Polycythemia
a- Physiologic
2- Pathologic
Polycythemia
2- Secondary Polycythemia:
•Whenever the tissues become hypoxic because of too
little oxygen in the breathed air (at high altitudes)
•Or because of failure of oxygen delivery to the tissues,
such as in cardiac failure
•The blood-forming organs automatically produce large
quantities of extra red blood cells.
•This condition is called secondary polycythemia, and
the red cell count commonly rises to 6 to 7 million/mm
about 30 per cent above normal.
•A common type of secondary polycythemia, called
physiologic polycythemia, occurs in natives who live at
altitudes of 14,000 to 17,000 feet, where the
atmospheric oxygen is very low.
Polycythemia Vera(Erythremia).
•This is a pathological condition known as
polycythemia vera
•In this the red blood cell count may be 7 to 8
million/mm3 and the hematocrit may be 60 to 70 per
cent instead of the normal 40 to 45 per cent
•Polycythemia vera is caused by a genetic aberration in
the hemocytoblastic cells that produce the blood cells.
•The blast cells no longer stop producing red cells when
too many cells are already present
Polycythemia and CVS
•Effect of Polycythemia on Function of the Circulatory
System
•In polycythemia vera, not only does the hematocrit
increase, but the total blood volume also increases, on
some occasions to almost twice normal
•The viscosity of the blood in polycythemia vera
sometimes increases from the normal of 3 times the
viscosity of water to 10 times that of water
•This means that the blood pressure–regulating
mechanisms can usually offset the tendency for
increased blood viscosity to increase peripheral
resistance and, thereby, increase arterial pressure
•Beyond certain limits, however, these regulations fail,
and hypertension develops.
VARITAIONS IN RBC COUNT
Physiological Variations
• Increase In RBC Count
A- Age:
B- Sex:
C- High Altitude
D- Muscular Exercise
E: Emotional Conditions
F: Environmental Conditions
G: Post Meal
•Decrease In RBC Count:
A: High Barometric Pressure
B: Sleep
C: Pregnancy
Pathological Variations
Increase In RBC Count
1- Secondary Polycythemia
Decrease In RBC Count:
1- Anemia (Already Discussed )
White Blood Cells
•Unlike red blood cells, white blood cells (WBCs) or
leukocytes have nuclei and a full complement of other
organelles but they do not contain hemoglobin
•WBCs are classified as either granular or agranular,
depending on whether they contain conspicuous
chemical-filled cytoplasmic granules (vesicles) that are
made visible by staining when viewed
1 Granulocytes:
Neutrophils (Polymorphonuclear Neutrophils)
Eosinophils (Polymorphonuclear Eosinophils)
Basophils (Polymorphonuclear Basophils)
2 Agranulocytes:
Lymphocytes
Monocytes
Plasma Cells (occasionally)
Concentration of WBCsinBlood
•The adult human being has about 7000 white blood
cells per microliter of blood (in comparison with 5
million red blood cells).
Granular Leukocytes
•After staining, each of the three types of granular
leukocytes displays conspicuous granules with
distinctive coloration that can be recognized under a
light microscope
1- Neutrophil.
•The granules of a neutrophil are smaller than those of
other granular leukocytes, evenly distributed, and pale
lilac
•Because the granules do not strongly attract either the
acidic (red) or basic (blue) stain, these WBCs are
neutrophilic ( neutral loving)
Neutrophils
•The nucleus has two to five lobes, connected by very
thin strands of nuclear material
2- Eosinophil:
•The large, uniform-sized granules within an eosinophil
are eosinophilic ( eosin-loving)— they stain red-orange
with acidic dyes
3- Basophil.
•The round, variable-sized granules of a basophil are
basophilic ( basic loving)—they stain blue- purple with
basic dyes
Eosinophil
Basophil
Agranular Leukocytes
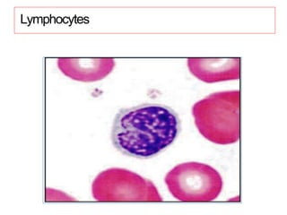
•Lymphocyte:
•The nucleus of a lymphocyte stains dark and is round
or slightly indented
•The cytoplasm stains sky blue and forms a rim around
the nucleus.
•The larger the cell, the more cytoplasm is visible
•Lymphocytes are classified by cell diameter as large
lymphocytes (10 – 14 μm) or small lymphocytes (6–9
μm)
•Size difference is clinically useful because an increase
in the number of large lymphocytes has diagnostic
significance in acute viral infections and in some
immunodeficiency diseases
Lymphocytes
Monocyte.
•The nucleus of a monocyte is usually kidney-shaped or
horseshoe-shaped, and the cytoplasm is blue-gray and
has a foamy appearance
•Blood is merely a conduit for monocytes which migrate
from the blood into the tissues, where they enlarge
and differentiate into macrophages
•Some become fixed (tissue) macrophages, which
means they reside in a particular tissue; examples are
alveolar macrophages in the lungs or macrophages in
the spleen
•Others become wandering macrophages, which roam
the tissues and gather at sites of infection or
inflammation.
Monocytes
Life SpanOf WBCs
•The life of the granulocytes after being released from
the bone marrow is normally 4 to 8 hours circulating in
the blood and another 4 to 5 days in tissues where
they are needed
•The monocytes also have a short transit time, 10 to 20
hours in the blood, before wandering through the
capillary membranes into the tissues.
•Once in the tissues, they swell to much larger sizes to
become tissue macrophages, and, in this form, can live
for months unless destroyed while performing
phagocytic functions.
Type Lifespan (Days)
Neutrophils 2 - 5
Eosinophils 7 - 12
Basophils 12 – 15
Monocytes 2 – 5
Lymphocytes almost 1 Day
GeneralFunctionsof WBCs
1 Generalized Immunity of the body
2Allergic Reactions in the body
3- Inflammatory Responses
1- ImmuneFunctions
•1- White blood cells and all other nucleated cells in the
body have proteins, called major histocompatibility
(MHC) antigens, protruding from their plasma
membrane into the extracellular fluid
•These “cell identity markers” are unique foreach
person (except identical twins).
•Although RBCs possess blood group antigens, they lack
the MHC antigens.
2- Phagocytosis
•The skin and mucous membranes of the body are
continuously exposed to microbes and their toxins.
•During Some of these microbes can invade deeper
tissues to cause disease.
•Once pathogens enter the body, the general function
of white blood cells is to combat them by phagocytosis
or immune responses
•Toaccomplish these tasks, many WBCs leave the
bloodstream and collect at sites of pathogen invasion
or inflammation.
•Once granular leukocytes and monocytes leave the
bloodstream to fight injury or infection, they never
return to it.
•Lymphocytes, on the other hand, continually
recirculate—from blood to interstitial spaces of tissues
to lymphatic fluid and back to blood
Neutrophils functions / characteristics
Diapedesis:
•Emigration, also called diapedesis , in which they roll
along the endothelium, stick to it, and then squeeze
between endothelial cells
•Molecules known as adhesion molecules help WBCs
stick to the endothelium.
•Endothelial cells display adhesion molecules called
selectins in response to nearby injury and
inflammation.
•This process is mediated by through interaction
between neutrophil adhesion molecules of
glycoproteins belonging to the integrin family and
specific molecules (selectins) over the endothelial cells
(CD54 & CD 102*)
•This emigration is purposeful, directed and ameboid.
Some cells move at velocities as great as 40 μm/min, a
distance as great as their own length each minute
•Selectins stick to carbohydrates on the surface of
neutrophils, causing them to slow down and roll along the
endothelial surface
•On the neutrophil surface are other adhesion molecules
called integrins
•Which tether neutrophils to the endothelium and assist
their movement through the blood vessel wall and into the
interstitial fluid of the injured tissue
•Neutrophils and macrophages are active in phagocytosis,
they can ingest bacteria and dispose of dead matter
Chemotaxis:
•Several different chemicals released by microbes and
inflamed tissues attract phagocytes, a phenomenon
called chemotaxis
•The substances that provide stimuli for chemotaxis
include
1 Toxins produced by microbes
2Kinins: Specialized products of damaged tissues
3- Colony-stimulating factors:
4Reaction products of the “Complement Complex”
5Plasma clotting in the inflamed area(Hageman
Factor)
•Chemotaxis depends on the concentration gradient of
the chemotactic substance.
•The concentration is greatest near the source, which
directs the unidirectional movement of the white cells.
•Chemotaxis is effective up to 100 micrometers away
from an inflamed tissue
•Therefore, because almost no tissue area is more than
50 micrometers away from a capillary
•The chemotactic signal can easily move hordes of
white cells from the capillaries into the inflamed area.
Phagocytosis byNeutrophils
•The neutrophils entering the tissues are already
mature cells that can immediately begin phagocytosis.
•On approaching a particle to be phagocytized, the
neutrophil first attaches itself to the particle and then
projects pseudopodia in all directions around the
particle
•The pseudopodia meet one another on the opposite
side and fuse.
•This creates an enclosed chamber that contains the
phagocytized particle.
•Then the chamber invaginates to the inside of the
cytoplasmic cavity and, Ca++ dependent pathway,
breaks away from the outer cell membrane to form a
free-floating phagocytic vesicle (also called a
phagosome) inside the cytoplasm.
•A single neutrophil can usually phagocytize 3 to 20
bacteria before the neutrophil itself becomes
inactivated and dies
Secretory Function of Neutrophils
•Release enzymes (Dnase , Rnase)
•Histamine
•Vit B12 alpha globulin
•Leuko pyrogen (induce fever)
•Prostaglandins (anti inflammation action)
•Thromboxane (vasoconstrictor and cause platelet
aggregation)
Phagocytosis by Macrophages
•Macrophages are the end stage product of monocytes
that enter the tissues from the blood
•When activated by the immune system they are much
more powerful phagocytes than neutrophils, often
capable of phagocytizing as many as 100 bacteria
•They also have the ability to engulf much larger
particles, even whole red blood cells or, occasionally,
malarial parasites, than the neutrophils
•Also, after digesting particles, macrophages can
extrude the residual products and often survive and
function for many more months.
Destruction of Pathogen:
•Among WBCs, neutrophils respond most quickly to
tissue destruction by bacteria.
•After engulfing a pathogen during phagocytosis, a
neutrophil unleashes several chemicals to destroy the
pathogen
•Once a foreign particle has been phagocytized,
lysosomes and other cytoplasmic granules in the
neutrophil or macrophage immediately come in
contact with the phagocytic vesicle
•Their membranes fuse, thereby dumping many
digestive enzymes and bactericidal agents into the
vesicle.
•Both neutrophils and macrophages contain an
abundance of lysosomes filled with proteolytic
enzymes especially geared for digesting bacteria and
other foreign protein matter
•The lysosomes of macrophages (but not of
neutrophils) also contain large amounts of lipases,
which digest the thick lipid membranes possessed by
some bacteria such as the tuberculosis bacillus
•The lysosomal contents which include antibacterial
substances such as
1 Phagocytin
2 Leukin
3 Defensins
4 Digestive enzymes
•These having elastase, and collagenase activities are
released that kill the bacteria and digest them
2- Killing Effect ofMacrophages and Neutrophils
•Neutrophils and macrophages contain bactericidal
agents that kill most bacteria even when the lysosomal
enzymes fail to digest them.
•This is especially important, because some bacteria
have protective coats or other factors that prevent
their destruction by digestive enzymes.
•Much of the killing effect results from several powerful
oxidizing agents formed by enzymes in the membrane
of the phagosome or by a special organelle called the
peroxisome
•These chemicals include the enzyme
- Strong oxidants
- superoxide anion (O¯2)
- hydrogen peroxide (H2O2)
- hypochlorite anion
•Neutrophils also contain defensins, proteins that
exhibit a broad range of antibiotic activity against
bacteria and fungi
•Within a neutrophil, vesicles containing defensins
merge with phagosomes containing microbes
•Defensins form peptide “spears” that poke holes in
microbe membranes; the resulting loss of cellular
contents kills the invader
WhyChronic InfectionsOccur?
•Some bacteria, tuberculosis bacillus,
I. Have coats that are resistant to lysosomal digestion
II. Secrete substances that partially resist the killing
effects of the neutrophils and macrophages.
•These bacteria are responsible for many of the chronic
diseases, an example of which is tuberculosis.
Monocyte-Macrophage CellSystem
Reticuloendothelial System
•After entering the tissues and becoming macrophages,
another large portion of monocytes becomes attached to
the tissues
•Then they remains attached for months or even years
until they are called on to performspecific local protective
functions
•When appropriately stimulated, they can break away
from their attachments and once again become mobile
macrophages that respond to chemotaxis
•Thus, the body has a widespread “monocyte-
macrophage system” in virtually all tissue areas
•The total combination of monocytes, mobile
macrophages, fixed tissue macrophages, and a few
specialized endothelial cells in the bone marrow, spleen,
and lymph nodes is called the reticuloendothelial system.
•However, all or almost all these cells originate from
monocytic stem cells; therefore, the reticuloendothelial
system is almost synonymous with the monocyte-
macrophage system.
Secretory functions of Neutrophils:
Secrete several enzymes (DNAase and RNAase),
Leukocyte pyrogen
Vitamin B12
Eosinophils
•Eosinophils leave the capillaries and enter tissue fluid.
•They are believed to release enzymes, such as
histaminase, that combat the effects of histamine and
other substances involved in inflammation during
allergic reactions.
•Eosinophils also phagocytize antigen–antibody
complexes and are effective against certain parasitic
worms.
•A high eosinophil count often indicates an allergic
condition or a parasitic infection
•At sites of inflammation, eosinophils leave capillaries,
enter tissues, and release granules that contain
heparin, histamine, and serotonin.
•These substances intensify the inflammatory reaction
and are involved in hypersensitivity (allergic) reactions.
Lymphocytes
•Lymphocytes are the major soldiers in lymphatic
system battles
•Most lymphocytes continually move among lymphoid
tissues, lymph, and blood, spending only a few hours at
a time in blood.
•Three main types of lymphocytes are B cells, T cells,
and natural killer (NK) cells.
•B cells are particularly effective in destroying bacteria
and inactivating their toxins
•T cells attack viruses, fungi, transplanted cells, cancer
cells, and some bacteria, and are responsible for
transfusion reactions, allergies, and the rejection of
transplanted organs
•Immune responses carried out by both B cells and T
cells help combat infection and provide protection
against some diseases.
•Natural killer cells attack a wide variety of infectious
microbes and certain spontaneously arising tumor
cells.
Monocytes
•Monocytes take longer to reach a site of infection than
neutrophils, but they arrive in larger numbers and
destroy more microbes.
•On their arrival, monocytes enlarge and differentiate
into wandering macrophages
•which clean up cellular debris and microbes by
phagocytosis after an infection
•A physician may order a differential white blood cell
count of each of the five types of white blood cells
•This is to detect
- Infection or inflammation, allergic reactions and
parasitic infections.
- Determine the effects of possible poisoning by
chemicals or drugs
- Monitor blood disorders (for example, leukemia)
and the effects of chemotherapy
Terminologies
•Leukocytosis increase in the number of WBCs above
10,000/L, is a normal, protective response to stresses
such as invading microbes, strenuous exercise,
anesthesia, and surgery
•An abnormally low level of white blood cells (below
5000/L) is termed leukopenia.
•It is never beneficial and may be caused by radiation,
shock, and certain chemotherapeutic agents.
The Leukemias
•Uncontrolled production of white blood cells can be
caused by cancerous mutation of a myelogenous or
lymphogenous cell
•This causes leukemia, which is usually characterized by
greatly increased numbers of abnormal white blood
cells in the circulating blood.
Typesof Leukemia
• Leukemias are divided into two general types:
1- Lymphocytic leukemias
2- Myelogenous leukemias
•The lymphocytic leukemias are caused by cancerous
production of lymphoid cells
•This usually begins in a lymph node or other
lymphocytic tissue and spreading to other areas of the
body
Myelogenous leukemia:
• Starts by cancerous production of young myelogenous cells in
the bone marrow
• This then spreads throughout the body so that white blood
cells are produced in many extramedullary tissues—especially
in the lymph nodes, spleen, and liver
• Myelogenous leukemia the cancerous process occasionally
produces partially differentiated cells, resulting in what might
be called
1. Neutrophilic leukemia
2. Eosinophilic leukemia
3. Basophilic leukemia
4. Monocytic leukemia
• The leukemia cells are bizarre and undifferentiated and not
identical to any of the normal white blood cells.
Acute Vs.Chronic Leukemia
• Usually, the more undifferentiated the cell, the more acute is
the leukemia, often leading to death within a few months if
untreated
• The cells in acute leukemia start multiplying before they
develop beyond their immature stage
• With some of the more differentiated cells, the process can
be chronic, sometimes developing slowly over 10 to 20 years.
• Chronic leukemia progress more slowly, with the leukemia
cells developing to full maturity.
• Leukemic cells, especially the very undifferentiated cells are
usually nonfunctional for providing the normal protection
against infection
Effectsof Leukemiaon theBody
•The first effect of leukemia is metastatic growthof
leukemic cells in abnormal areas of the body.
•Leukemic cells from the bone marrow may reproduce
so greatly that they invade the surrounding bone,
causing pain and, eventually, a tendency for bones to
fracture easily
• Leukemia cells are unable to fight infection the way
normal white blood cells do beside there high count.
•As they accumulate they interfere with vital organ
functions, including the production of healthy blood
cells
•Common effects in leukemia are the development of
infection, severe anemia, and a bleeding tendency
caused by thrombocytopenia (lack of platelets).
• Most significant effect of leukemia on the body is
excessive use of metabolic substrates by the growing
cancerous cells
•The leukemic tissues reproduce new cells so rapidly
that tremendous demands are made on the body
reserves for foodstuffs, specific amino acids, and
vitamins.
•Consequently, the energy of the patient is greatly
depleted, and excessive utilization of amino acids by
the leukemic cells causes especially rapid deterioration
of the normal protein tissues of the body
•After metabolic starvation has continued long enough,
this alone is sufficient to causedeath.
Platelets
•Besides the immature cell types that develop into
erythrocytes and leukocytes, hemopoietic stem cells
also differentiate into cells that produce platelets.
•Under the influence of the hormone thrombopoietin,
myeloid stem cells develop into megakaryocyte colony-
forming cells
•That in turn develop into precursor cells called
megakaryoblasts
•Megakaryoblasts transform into megakaryocytes, huge
cells that splinter into 2000 to 3000 fragments.
•Each fragment, enclosed by a piece of the plasma
membrane, is a platelet. Platelets break off from the
megakaryocytes in red bone marrow and then enter
the blood circulation
•Between 150,000 and 400,000 platelets are present in
each microliter of blood.
•Each is irregularly disc-shaped, 2–4 m in diameter, and
has many vesicles but no nucleus.
•Their granules contain chemicals that, once released,
promote blood clotting.
•Platelets help stop blood loss from damaged blood
vessels by forming a platelet plug.
•Platelets have a short life span, normally just 5 to 9
days.
•Aged and dead platelets are removed by fixed
macrophages in the spleen and liver.
Blood Group System
Aand BAntigens—Agglutinogens
•ABO Blood Group
•The ABO blood group is based on two glycolipid
antigens called A and B.
•People whose RBCs display only antigen A have type A
blood.
•Those who have only antigen B are type B.
•Individuals who have both A and B antigens are type
AB
•Who have neither antigen A nor B are type O.
Major O-A-BBlood Types.
•Because of the way these agglutinogens are inherited,
people may have
1- Neither of them on their cells
2- They may have one
3- They may have both simultaneously.
Abundance of Blood GroupTypes.
•The prevalence of the different blood types among one
group of persons studied was approximately:
•It is obvious from these percentages that the O and A
genes occur frequently, whereas the B gene is
infrequent – This classification is US Based
Blood Group Abundance
O 47
A 41
B 9
AB 3
Agglutinins
•Blood plasma usually contains antibodies called
agglutinins that react with the A or B antigens if the
two are mixed.
•These are the anti-A antibody, which reacts with
antigen A, and the anti-B antibody, which reacts with
antigen B.
•The antibodies present in each of the four blood types
•You do not have antibodies that react with the
antigens of your own RBCs, but you do have antibodies
for any antigens that your RBCs lack.
•For example, if your blood type is B, you have B
antigens on your red blood cells, and you have anti-A
antibodies in your blood plasma.
BloodTransfusions
•Despite the differences in RBC antigens reflected in the
blood group systems, blood is the most easily shared
of human tissues, saving many thousands of lives every
year through transfusions
•A transfusion is the transfer of whole blood or blood
components (red blood cells only or blood plasma
only) into the bloodstream or directly into the red
bone marrow.
•A transfusion is most often given to alleviate anemia, to
increase blood volume (for example, after a severe
hemorrhage), or to improve immunity.
•However, the normal components of one person’s RBC
plasma membrane can trigger damaging antigen–
antibody responses in a transfusion recipient
TransfusionReactions
•In an incompatible blood transfusion, antibodies in the
recipient’s plasma bind to the antigens on thedonated
RBCs, which causes agglutination, or clumping, of the
RBCs.
•Agglutination is an antigen–antibody response in
which RBCs become cross-linked to one another.
•When these antigen–antibody complexes form, they
activate plasma proteins of the complement family
•Complement molecules make the plasma membrane
of the donated RBCs leaky.Causing hemolysis or
rupture of the RBCs and the release of hemoglobin
into the blood plasma
•The liberated hemoglobin may cause kidney damage
by clogging the filtration membranes
Kidneyin BloodReactions
•The kidney shutdown seems to result from three
causes:
•First, the antigen-antibody reaction of the transfusion
reaction releases toxic substances from the hemolyzing
blood that cause powerful renal vasoconstriction
•Second, loss of circulating red cells in the recipient,
along with production of toxic substances from the
hemolyzed cells and from the immune reaction, often
causes circulatory shock
renal
•The arterial blood pressure falls very low, and
blood flow and urine outputdecrease.
•Third, if the total amount of free hemoglobin released
into the circulating blood is greater than the quantity
that canbind with “haptoglobin”
•Much of the excess leaks through the glomerular
membranes into the kidney tubules.
•If the amount is great, then only a small percentage is
reabsorbed.
•Yet water continues to be reabsorbed, causing the
tubular hemoglobin concentration to rise so high that
the hemoglobin precipitates and blocks many of the
kidney tubules.
•Consider what happens if a person with type A blood
receives a transfusion of type B blood.
•The recipient’s blood (type A) contains A antigens on
the red blood cells and anti-B antibodies in the plasma.
•Thedonor’s blood (type B) contains B antigens and
anti-A antibodies.
UniversalReceipents
•People with type AB blood do not have anti-A or anti-B
antibodies in their blood plasma.
•They are sometimes called universal recipients because
theoretically they can receive blood from donors of all
four blood types
UniversalDonors
•They have no antibodies to attack antigens on donated
RBCs.
•People with type O blood have neither A nor B
antigens on their RBCs and are sometimes called
universal donors because theoretically they can donate
blood to all four ABO blood types.
•Type O persons requiring blood may receive only type
O blood
RhFactor
• Another group of antigens found on the red blood
cells of most people is the Rh factor (named for the
rhesus monkey, in which these antigens were first
discovered)
•There are a number of different antigens in this group,
but one stands out because of its medical significance.
This Rh antigen is termed D, and is often indicated as
Rho(D).
•If this Rh antigen is present on aperson’s red blood cells,
the person is Rh positive; if it is absent, the person is
Rh negative.
•Those who lack Rh antigens are designated Rh (Rh
negative)
•Normally, blood plasma does not contain anti-Rh
antibodies naturally, but are synthesized if Rh negative
person receives Rh positive blood.
•Rh antibodies are mainly IgG but ABO antibodies mainly
IgM type .
•If an Rh person receives an Rh blood transfusion, no
hemolysis of transfused RBC, However, the immune
system starts to make anti-Rh antibodies that will
remain in the blood.
•On second transfusion of Rh posative blood is given
later to same sensitized person, the previously formed
anti-Rh antibodies will cause agglutination and
hemolysis of the RBCs in the donated blood.
Erythroblastosis Fetalis
TypingandCross-Matching
•Typing and Cross-Matching Blood for Transfusion
•Toavoid blood-type mismatches, laboratory technicians
type the patient’s blood and then either cross-match it
to potential donor blood or screen it for the presence of
antibodies.
•Tests done before transfusion:
• Typing of blood (find ABO and Rh blood type of both)
•Cross matching (recipient blood incubated with RBC of
donor to find any antigen antibody reaction)
•Test for infective agents (hepatitis, HIV, CMV, Maleria)
Complication of TransfusionReactions:
•In compitable blood transfusion
•Non hemolytic febrile reactions
•Allergic reactions
•Hyperkalemia
•Hypocalcemia
•Transmission of infection
•Hemosiderosis
•Circulatory failure
Hemostasis
Blood Clotting
•When a blood vessel is injured, a number of
physiological mechanisms are activated that promote
hemostasis, or the cessation of bleeding ( hemo =
blood; stasis = standing)
•Breakage of the endothelial lining of a vessel exposes
collagen proteins from the subendothelial connective
tissue to the blood
•This initiates three separate, but overlapping,
hemostatic mechanisms:
1 Vascular Spasm
2 The formation Of a platelet plug
3 Formation of a blood clot as a result of
blood coagulation
4 The production of a web of fibrin proteins that
penetrates and surrounds the platelet plug
1- VascularSpasm
•When arteries or arterioles are damaged, the circularly
arranged smooth muscle in their walls contracts
immediately, a reaction called vascular spasm
•This instantaneously reduces the flow of blood from
the ruptured vessel.
•The contraction results from
1 Local myogenic spasm
2 Local autacoid factors from the traumatized
tissues and blood platelets
3 Nervous reflexes
•Thenervous reflexes are initiated by pain nerve
impulses or other sensory impulses that originate from
the traumatized vessel or nearby tissues.
•However, even more vasoconstriction probably results
from local myogenic contraction of the blood vessels
initiated by direct damage to the vascular wall
•And, for the smaller vessels, the platelets are
responsible for much of the vasoconstriction by
releasing a vasoconstrictor substance, thromboxane A2
•The more severely a vessel is traumatized, the greater
the degree of vascular spasm.
•The spasm can last for many minutes or even hours,
during which time the processes of platelet plugging
and blood coagulation can take place
2- Platelet PlugFormation
•Considering their small size, platelets store an
impressive array of chemicals.
•Within many vesicles are*;
-
Ca2+
- Clotting factors - ADP - ATP
- Serotonin.
- Enzymes that produce thromboxane A2*
- Fibrin-stabilizing factor:
This helps to strengthen a blood clot
- Lysosomes - Mitochondria
•Platelets contain actin and myosin molecules, which
are contractile proteins similar to those found in
muscle cells
•Still another contractile protein, thrombosthenin, that
can cause the platelets to contract
•Residuals of both the Endoplasmic Reticulum and the
Golgi apparatus that synthesize various enzymes and
especially store large quantities of calcium ions
•The cell membrane of the platelets is also important.
•On its surface is a coat of glycoproteins that repulses
adherence to normal endothelium
•And yet causes adherence to injured areas of the
vessel wall, especially to injured endothelial cells and
even more so to any exposed collagen from deep
within the vessel wall.
•Platelets also contain platelet-derived growth factor
(PDGF)
•This is a hormone that can cause proliferation of
- Vascular endothelial cells
- Vascular smooth muscle fibers
- Fibroblasts
•These all processes help repair damaged blood vessel
walls.
Mechanism of the PlateletPlug
• Platelet plug formation occurs as follows:
•1- Initially, platelets contact and stick to parts of a
damaged blood vessel, such as collagen fibers of the
connective tissue underlying the damaged endothelial
cells
•This process is called platelet adhesion
Platelet Adhesion
•2- Due to adhesion, the platelets become activated,
and their characteristics change dramatically.
•They extend many projections that enable them to
contact and interact with one another, and they begin
to liberate the contents of their vesicles
•This phase is called the platelet release reaction.
•Liberated ADP and thromboxane A2 play a major role
by activating nearby platelets
•Serotonin and thromboxane A2 function as
vasoconstrictors, causing and sustaining contraction of
vascular smooth muscle
•This decreases blood flow through the injured vessel
Platelet ReleaseReaction
•3- The release of ADP makes other platelets in the area
sticky
•The stickiness of the newly recruited and activated
platelets causes them to adhere to the originally
activated platelets.
•This gathering of platelets is called platelet
aggregation.
•Eventually, the accumulation and attachment of large
numbers of platelets form a mass called a platelet
plug.
Platelet Aggregation
•A platelet plug is very effective in preventing blood loss
in a small vessel.
•Although initially the platelet plug is loose, it becomes
quite tight when reinforced by fibrin threads formed
during clotting
•A platelet plug can stop blood loss completely if the
hole in a blood vessel is not too large.
3- BloodClotting
•The third mechanism for hemostasis is formation of
the blood clot.
•The clot begins to develop in 15 to 20 seconds if the
trauma to the vascular wall has been severe, and in 1
to 2 minutes if the trauma has been minor
•Within 3 to 6 minutes after rupture of a vessel, if the
vessel opening is not too large, the entire opening or
broken end of the vesselis filled withclot.
•After 20 minutes to an hour, the clot retracts; this
closes the vessel still further. Platelets also play an
important role in this clot retraction
Mechanism Of BloodClotting
•Activator substances initiate the clotting process
•These activator substances are secreted from:
- from the traumatized vascular wall
- from platelets
- from blood proteins adhering to the traumatized
vascular wall
•Clotting involves several substances known as clotting
(coagulation) factors.
•These factors include
- Calcium ions (Ca2+)
- Several inactive enzymes (that are synthesized
by hepatocytes) released into the bloodstream
- Various molecules associated with platelets or
released by damaged tissues.
BasicTheory
•More than 50 important substances that cause or
affect blood coagulation have been found in the blood
and in the tissues
•Some that promote coagulation, called procoagulants,
and others that inhibit coagulation, called
anticoagulants
•Whether blood will coagulate depends on the balance
between these two groups of substances
•In the blood stream, the anticoagulants normally
predominate, so that the blood does not coagulate
while it is circulating in the blood vessels
•But when a vessel is ruptured, procoagulants from the
area of tissue damage become “activated” and
override the anticoagulants, and then a clot does
develop
•Normally, blood remains in its liquid form as long as it
stays within its vessels.
•If it is drawn from the body, however, it thickens and
forms a gel.
•Eventually, the gel separates from the liquid. The gel is
called a blood clot.
•The straw-colored liquid, called serum, is simply blood
plasma minus the clotting proteins.
•The gel consists of a network of insoluble protein fibers
called fibrin in which the formed elements of blood are
trapped .
•The process of gel formation, called clotting or
coagulation is a series of chemical reactions that
culminates in formation of fibrin threads.
•If blood clots too easily, the result can be thrombosis (
thromb: clot; -osis: a condition of) —clotting in an
undamaged blood vessel.
•If the blood takes too long to clot, hemorrhage can
occur
Initiation of Coagulation:
Formation of Prothrombin
Activator
•Clotting is a complex cascade of enzymatic reactions in
which each clotting factor activates many molecules of
the next one in a fixed sequence.
•Finally, a large quantity of product (the insoluble protein
fibrin) is formed.
•Mechanisms that initiate clotting are set into play by
1 Trauma to the vascular wall and adjacent
tissues
2 Trauma to the blood
3 Contact of the blood with damaged endothelial
cells or with collagen and other tissue elements
outside the blood vessels
•In each instance, this leads to the formation of
prothrombin activator or prothrombinase which then
causes prothrombin conversion to thrombin and all the
subsequent clotting steps.
•Prothrombin activator is generally considered to be
formed in two ways:
1) by the extrinsic pathway: that begins with
trauma to the vascular wall and surrounding tissues
2) by the intrinsic pathway that begins in the
blood itself
•Clotting can be divided into three stages
•1- Two pathways, called the extrinsic pathway and the
intrinsic pathway, lead to the formation of
prothrombinase.
•Once prothrombinase is formed, the steps involved in
the next two stages of clotting are the same for both
the extrinsic and intrinsic pathways, and together
these two stages are referred to as the common
pathway.
•2- Prothrombinase converts prothrombin (a
plasma protein formed by the liver) into the
enzyme thrombin.
•3- Thrombin converts soluble fibrinogen
(another plasma protein formed by the liver)
into insoluble fibrin. Fibrin forms the threads of
the clot.
Coagulation pathway
1- ExtrinsicPathway
•It is so named because a tissue protein called tissue
factor (TF), also known as thromboplastin, leaks into
the blood from cells outside (extrinsic to) blood vessels
and initiates the formation of prothrombinase
•The extrinsic Pathway has following steps:
1. Release of TissueFactor.
•Traumatized tissue releases a complex of several
factors called tissue factor or tissue thromboplastin.
•This factor is composed especially of phospholipids
from the membranes of the tissue plus a lipoprotein
complex that functions mainly as a proteolytic enzyme.
2. Activation of Factor VII &X
•The lipoprotein complex of tissue factor further
complexes with blood coagulation Factor VII
•Then in the presence of calcium ions, acts
enzymatically on Factor X to form activated Factor X
(Xa)
3. Effectof activated Factor X(Xa)
•The activated Factor X combines immediately with
Factor V to form the complex called prothrombin
activator or prothrombinase
•Within a few seconds, in the presence of calcium ions
(Ca++), this splits prothrombin to form thrombin, and
the clotting process proceeds
2- IntrinsicPathway
•The second mechanism for initiating formation of
prothrombin activator, hence, for initiating clotting
•It begins with trauma to the blood itself or exposure of
the blood to collagen from a traumatized blood vessel
wall
•Then the process continues through the series of
cascading reactions
• 1-Trauma to the blood or exposure of the blood to vascular
wall collagen alters two important clotting factors in the
blood: Factor XII and the platelets.
• Trauma to endothelial cells causes damage to platelets,
resulting in the release of phospholipids by the platelets,
that contain the lipoprotein called platelet factor 3
• When Factor XII is disturbed, such as by coming into
contact with collagen or with a wettable surface such as
glass, it takes on a new molecular configuration that
converts it into a proteolytic enzyme called "activated
Factor XII."
• 1. Blood trauma causes:
A- Activation of Factor XII
B- Release of platelet phospholipids.
2. Activation of FactorXI.
•The activated Factor XII acts enzymatically on Factor XI
to activate this factor as well, which is the second step
in the intrinsic pathway.
•This reaction requires HMW (high-molecular-weight)
kininogen and is accelerated by prekallikrein
•3. Activation of Factor IX
•The activated Factor XI then acts enzymatically on
Factor IX to activate this factor also.
• 4. Activation of Factor X
•The activated Factor IX, acting in concert with
activated Factor VIII and with the platelet
phospholipids and factor 3 from the traumatized
platelets, activates Factor X
•Factor VIII is the factor that is missing in a person who
has classic hemophilia,
•For which reason factor VII is called antihemophilic
factor.
•Platelets are the clotting factor that is lacking in the
bleeding disease called thrombocytopenia
5. Action of activated FactorX
•The activated Factor X combines with Factor V and
platelet or tissue phospholipids to form the complex
called prothrombin activator.
•The prothrombin activator in turn initiates within
seconds the cleavage of prothrombin to form
thrombin, thereby setting into motion the final clotting
process, as described earlier
Difference between intrinsic and extrinsicpathway
•Tissue factor initiates the extrinsic pathway, whereas
contact of Factor XII and platelets with collagen in the
vascular wall initiates the intrinsic pathway.
•An especially important difference between the extrinsic
and intrinsic pathways is that the extrinsic pathway can
be explosive; once initiated, its speed of completion to
the final clot is limited only by the amount of tissue
factor released from the traumatized tissues and by the
quantities of Factors X, VII, and V in the blood. With
severe tissue trauma, clotting can occur in as little as 15
seconds.
•The intrinsic pathway is much slower to proceed, usually
requiring 1 to 6 minutes to cause clotting.
TheCommonPathway
•The formation of prothrombinase marks the beginning
of the common pathway.
•In the second stage of blood clotting, prothrombinase
and Ca2+ catalyze the conversion of prothrombin to
thrombin.
• In the third stage, thrombin, in the presence of Ca2+,
converts fibrinogen, which is soluble, to loose fibrin
threads, which are insoluble
•Thrombin also activates factor XIII (fibrin stabilizing
factor), which strengthens and stabilizes the fibrin
threads into a sturdy clot
Roleof CalciumIons
•Role of Calcium Ions in the Intrinsic and Extrinsic
Pathways:
•Except for the first two steps in the intrinsic pathway,
calcium ions are required for promotion or
acceleration of all the blood-clotting reactions.
•Therefore, in the absence of calcium ions, blood
clotting by either pathway does not occur
Conversion of Fibrinogen toFibrin— Formation of
the Clot
•Fibrinogen.
•Fibrinogen is a high-molecular-weight protein (MW =
340,000) that occurs in the plasma in quantities of 100
to 700 mg/dl.
•Fibrinogen is formed in the liver, and liver disease can
decrease the concentration of circulating fibrinogen,
Action of Thrombin on Fibrinogen to FormFibrin
•Thrombin is a protein enzyme with weak proteolytic
capabilities.
•It acts on fibrinogen to remove fourlow-molecular
weight peptides from each molecule of fibrinogen,
•Thus, forming one molecule of fibrin monomer that
has the automatic capability to polymerize with other
fibrin monomer molecules to form fibrinfibers.
•Therefore, many fibrin monomer molecules polymerize
within seconds into long fibrin fibers that constitute
the reticulum of the blood clot
•In the early stages of polymerization, the fibrin
monomer molecules are held together by weak
noncovalent hydrogen bonding
•But another process occurs during the next few
minutes that greatly strengthens the fibrinreticulum
•This involves a substance called fibrin-stabilizing factor
that is present in small amounts in normal plasma
globulins but is also released from platelets entrapped
in the clot
Blood Clot
•The clot is composed of a meshwork of fibrin fibers
running in all directions and entrapping blood cells,
platelets, and plasma.
•The fibrin fibers also adhere to damaged surfaces of
blood vessels
•Therefore, the blood clot becomes adherent to any
vascular opening and thereby prevents further blood
loss
ClotRetraction
• Once a clot is formed, it plugs the ruptured area of the
blood vessel and thus stops blood loss.
• Clot Retraction is the consolidation or tightening of the
fibrin clot.
• The fibrin threads attached to the damaged surfaces of the
blood vessel gradually contract as platelets pull on them.
• During retraction, some serum can escape between the
fibrin threads, but the formed elements in blood cannot.
• Platelets are necessary for clot retraction to occur. Failure
of clot retraction is an indication that the number of
platelets in the circulating blood might be low.
• platelets in blood clots become attached to the fibrin fibers in
such a way that they actually bond different fibers together.
• Platelets entrapped in the clot continue to release procoagulant
substances,most important of which is fibrin-stabilizing factor i.e
Factor XIII, Which causes more cross-linking bonds between
adjacent fibrin fibers.
• Platelets contribute directly to clot contraction by activating
platelet thrombosthenin, actin, and myosin molecules, which
cause strong contraction of the platelet spicules attached to the
fibrin. This also helps compress the fibrin meshwork into a smaller
mass.
• The contraction is activated and accelerated by thrombin, as well
as by calcium ions released from calcium stores in the
mitochondria, endoplasmic reticulum, and Golgi apparatus of the
platelets.
• In time, fibroblasts form connective tissue in the ruptured area,
and new endothelial cells repair the vessel lining
Roleof Vitamin KinClotting
•Normal clotting depends on adequate levels of vitamin
K in the body.
•Although vitamin K is not involved in actual clot
formation, it is required for the synthesis of four
clotting factors 2,7,8,
•People suffering from disorders that slow absorption
of lipids (for example, inadequate release of bile into
the small intestine) often experience uncontrolled
bleeding as a consequence of vitamin K deficiency.
• Prevention of Blood Clotting in the Normal Vascular System-
(Intravascular Anticoagulants ,Endothelial Surface Factors)
• Most important factors for preventing clotting in the normal vascular
system are
• (1) the smoothness of the endothelial cell surface, which prevents contact
activation of the intrinsic clotting system;
• (2) Layer of glycocalyx on the endothelium (glycocalyx is a
mucopolysaccharide adsorbed to the surfaces of the endothelial cells),
which repels clotting factors and platelets, thereby preventing activation of
clotting
• (3) a protein bound with the endothelial membrane, thrombomodulin,
which binds thrombin. Not only does the binding of thrombin with
thrombomodulin slow the clotting process by removing thrombin, but the
thrombomodulin-thrombin complex also activates a plasma protein,
protein C, that acts as an anticoagulant by inactivating activated Factors V
and VIII.
• When the endothelial wall is damaged, its smoothness and its glycocalyx-
thrombomodulin layer are lost, which activates both Factor XII and the
platelets, thus setting off the intrinsic pathway of clotting. If Factor XII and
platelets come in contact with the subendothelial collagen, the activation is
even more powerful
•Antithrombin Action of Fibrin and Antithrombin
III
• Among the most important anticoagulants in the blood are
those that remove thrombin from the blood. The most
powerful of these are (1) the fibrin fibers that are formed
during the process of clotting and (2) an alpha-globulin called
antithrombin III or antithrombin-heparin cofactor.
• While a clot is forming, about 85 to 90 percent of the
thrombin formed from the prothrombin becomes adsorbed to
the fibrin fibers as they develop. This helps prevent the spread
of thrombin into the remaining blood and, therefore, prevents
excessive spread of the clot.
• The thrombin that does not adsorb to the fibrin fibers soon
combines with antithrombin III, which further blocks the
effect of the thrombin on the fibrinogen and then also
inactivates the thrombin itself during the next 12 to 20
minutes.
Anticlotting Systems
•In addition, substances that delay, suppress, or prevent
blood clotting, called anticoagulants, are present in
blood.
•These include antithrombin, which blocks the action
of several factors.
•Heparin, an anticoagulant that is produced by mast
cells and basophils, combines with antithrombin and
increases its effectiveness in blocking thrombin.
•Another anticoagulant, activated protein C (APC),
inactivates the two major clotting factors (VIII, V) not
blocked by antithrombin and enhances activity of
plasminogen activators.
•Babies that lack the ability to produce APC due to a
genetic mutation usually die of blood clots in infancy
Anticoagulants for ClinicalUse
•Heparin ( Intravenousform)
• Anticoagulant Commercial heparin is extracted from several
different animal tissues and prepared in almost pure form.
• The heparin molecule is a highly negatively charged conjugated
polysaccharide. By itself, it has little or no anticoagulant
properties, but when it combines with antithrombin III, the
effectiveness of antithrombin III for removing thrombin increases
by a hundredfold to a thousandfold, and thus it acts as an
anticoagulant.
• Therefore, in the presence of excess heparin, removal of free
thrombin from the circulating blood by antithrombin III is almost
instantaneous.
• The complex of heparin and antithrombin III removes several
other activated coagulation factors in addition to thrombin,
further enhancing the effectiveness of anticoagulation. The others
include activated Factors XII, XI, X, and IX
•Injection of relatively small quantities, about 0.5 to 1
mg/kg of body weight, causes the blood-clotting time
to increase from a normal of about 6 minutes to 30 or
more minutes
•Furthermore, this change in clotting time occurs
instantaneously, thereby immediately preventing or
slowing further development of a thromboembolic
condition
•The action of heparin lasts about 1.5 to 4 hours.
•The injected heparin is destroyed by an enzyme in the
blood known as heparinase
CoumarinsasAnticoagulants
•When a coumarin, such as warfarin, is given to a
patient, the plasma levels of prothrombin and Factors
VII, IX, and X, all formed by the liver begin to fall
indicating that warfarin has a potent depressant effect
on liver formation of these compounds
• Warfarin causes this effect by inhibiting the enzyme,
vitamin K epoxide reductase complex 1 (VKOR c1). As
discussed previously, this enzyme converts the
inactive, oxidized form of vitamin K to its active,
reduced form. By inhibiting VKOR c1, warfarin
decreases the available active form of vitamin K in the
tissues. When this occurs, the coagulation factors are
no longer carboxylated and are biologically inactive
Lysis of Blood Clots-Plasmin
•The plasma proteins contain a euglobulin called
plasminogen (or profibrinolysin) that, when activated,
becomes a substance called plasmin (or fibrinolysin).
• Plasmin is a proteolytic enzyme that resembles trypsin,
the most important proteolytic digestive enzyme of
pancreatic secretion.
• Plasmin digests fibrin fibers and some other protein
coagulants such as fibrinogen, Factor V, Factor VIII,
prothrombin, and Factor XII. Therefore, whenever
plasmin is formed, it can cause lysis of a clot by
destroying many of the clotting factors, thereby
sometimes even causing hypocoagulability of the blood
•Activation of Plasminogen to Form
Plasmin ( Lysis of Clots )
• When a clot is formed, a large amount of plasminogen is
trapped in the clot along with other plasma proteins.
• This will not become plasmin or cause lysis of the clot until it is
activated. The injured tissues and vascular endothelium very
slowly release a powerful activator called tissue plasminogen
activator (t-PA) that a few days later, after the clot has stopped
the bleeding, eventually converts plasminogen to plasmin,
• which in turn removes the remaining unnecessary blood clot.
• Small blood vessels in which blood flow has been blocked by
clots are reopened by this mechanism.
• Thus, an especially important function of the plasmin system is
to remove minute clots from millions of tiny peripheral vessels
that eventually would become occluded were there no way to
clear them.
Thank You

CVS (Blood).pdf

  • 2.
  • 3.
    CVS •Cardio is fromthe cardiac: pertains to the heart •Vascular: pertains to the vessels • The cardiovascular system consists of; 1- The heart 2 Blood vessels 3 Blood
  • 4.
    Hematology •The branch ofscience concerned with the study of blood, blood-forming tissues, and the disorders associated with them is hematology •The physician who treats blood disorders is called hematologist •The physician who treats disorders related to heart is celled Cardiologist •Cardiac Surgeon carry out surgical interventions on the heart •Pharmacist who specializes in the drugs related to Cardio Vascular System, is called CVS Pharmacist
  • 5.
    • Functions ofthe CVS: 1- Gas transport 3- Waste removal 2- Nutrient delivery 4- Hormone Transport •These functions are dependent on circulation of blood, which requires structural integrity of the heart and vessels •In the following slides: the major structural features of the human heart and circulation are discussed
  • 6.
    TheBlood: Components andFunctions: •Mostcells of a multicellular organism cannot move around to obtain oxygen and nutrients or eliminate carbon dioxide and other wastes •Instead, these needs are met by two fluids: blood and interstitial fluid. •Blood is a liquid connective tissue that consists of cells and plasma •Interstitial fluid bathes body cells
  • 7.
    •Blood serves numerousfunctions, including the transport of respiratory gases, nutritive molecules, metabolic wastes, and hormones •Blood travels through the body in a system of vessels leading from and returning to the heart
  • 8.
    Functionsof Blood •Blood hasthree general functions: 1. Transportation: •Blood transports inhaled oxygen from the lungs to the cells of the body and carbon dioxide from the body cells to the lungs for exhalation •It carries nutrients from the gastrointestinal tract to body cells •Transportation of hormones from endocrine glands to other body cells •Excretory function
  • 9.
    •Blood also transportsheat and solid waste products to various organs for elimination from the body 2. Regulation: •Circulating blood helps maintain homeostasis of all body fluids • Blood helps regulate pH through the use of buffers (chemicals that convert strong acids or bases into weak ones) • It also helps adjust body temperature through the heat absorbing and coolant properties of the water
  • 10.
    •In addition, bloodosmotic pressure influences the water content of cells, mainly through interactions of dissolved ions and proteins •3. Protection: •Blood can clot, which protects against its excessive loss from the body after an injury •Its white blood cells protect against disease by carrying on phagocytosis. •Several types of blood proteins, including antibodies, interferons, and complement systems, help protect against disease in a variety of ways
  • 11.
    PhysicalCharacteristics of Blood •Bloodis denser and more viscous (thicker) than water and feels slightly sticky. •The temperature of blood is 38oC (100.4oF), about 1oC higher than oral or rectal body temperature, and it has a slightly alkaline pH ranging from 7.35 to 7.45. •The color of blood varies with its oxygen content. When saturated with oxygen, it is bright red. When unsaturated with oxygen, it is dark red
  • 12.
    •Blood constitutes about20% of extracellular fluid, amounting to 8% of the total body mass •The blood volume is 5 to 6 liters (1.5 gal) in an average sized adult male and 4 to 5 liters (1.2 gal) in an average-sized adult female. •The gender difference in volume is due to differences in body size
  • 13.
    •Several hormones, regulatedby negative feedback, ensure that blood volume and osmotic pressure remain relatively constant •Especially important are the hormones aldosterone, antidiuretic hormone, and atrial natriuretic peptide, which regulate how much water is excreted in the urine
  • 14.
    Componentsof Blood •Whole bloodhas two components: 1- Blood plasma: (55%) A watery liquid extracellular matrix that contains dissolved substances 2- Formed elements: (45%) The formed elements— erythrocytes, leukocytes, and platelets— function, respectively, in oxygen transport, immune defense, and blood clotting
  • 15.
    •99% of theformed elements are red blood cells (RBCs). •Pale, colorless white blood cells (WBCs) and platelets occupy less than 1% of the formed elements •Because they are less dense than red blood cells but more dense than blood plasma, they form a very thin buffy coat layer between the packed RBCs and plasma
  • 17.
    Plasma •Blood plasma isabout 91.5% water and 8.5% solutes, most of which (7% by weight) are proteins •The major solute of the plasma in terms of its concentration is Na + •In addition to Na+ , plasma contains many other ions, as well as organic molecules such as metabolites, hormones, enzymes, antibodies, and other proteins
  • 18.
    PlasmaProteins •The three typesof proteins are albumins, globulins, and fibrinogen. •Albumins account for most (60% to 80%) of the plasma proteins and are the smallest in size •They are produced by the liver and provide the osmotic pressure needed to draw water from the surrounding tissue fluid into the capillaries, thereby maintains blood volume •Serum albumin 4.7 g/dl
  • 19.
    •Globulins are groupedinto three subtypes: 1. α - globulins 2. β - globulins 3. γ - globulins •The alpha and beta globulins are produced by the liver and function in transporting lipids and fat-soluble vitamins •Gamma globulins are antibodies produced by lymphocytes
  • 20.
    • Fibrinogen: •It accountsfor only about 4% of the total plasma proteins, is an important clotting factor produced by the liver. •Fibrinogen is converted into insoluble threads of fibrin. •Thus, the fluid from clotted blood, called serum, does not contain fibrinogen but is otherwise identical to plasma
  • 21.
    Formation of thePlasmaProteins •Essentially all the albumin and fibrinogen of the plasma proteins, as well as 50 to 80 per cent of the globulins, are formed in the liver. •The remainder of the globulins are formed almost entirely in the lymphoid tissues. •They are mainly the gamma globulins that constitute the antibodies used in the immune system
  • 22.
    • The rateof plasma protein formation by the liver can be extremely high, as much as 30 g/day. • Certain disease conditions cause rapid loss of plasma proteins; • Severe burns that denude large surface areas of the skin can cause the loss of several liters of plasma through the denuded areas each day. • The rapid production of plasma proteins by the liver is valuable in preventing death in such states.
  • 23.
    •In cirrhosis ofthe liver, large amounts of fibrous tissue develop among the liver parenchymal cells, causing a reduction in their ability to synthesize plasma proteins •This leads to decreased plasma colloid osmotic pressure, which causes generalized edema
  • 24.
  • 25.
    1- Sourceof AminoAcids •Whenthe tissues become depleted of proteins, the plasma proteins can act as a source of rapid replacement. •Indeed, whole plasma proteins can be imbibed in to by tissue macrophages through the process of pinocytosis; •Once in these cells, they are split into amino acids that are transported back into the blood and used throughout the body to build cellular proteins wherever needed.
  • 26.
    •In this way,the plasma proteins function as a labile protein storage medium and represent a readily available source of amino acids whenever a particular tissue requires them
  • 27.
    2- ProteinEquilibrium •There isa constant state of equilibrium, among the plasma proteins, the amino acids of the plasma, and the tissue proteins •Normally about 400 grams of body protein are synthesized and degraded each day as part of the continual state of flux of aminoacids •This demonstrates the general principle of reversible exchange of amino acids among the different proteins of the body
  • 28.
    •The ratio oftotal tissue proteins to total plasma proteins in the body remains relatively constant at about 33:1 •Because of this reversible equilibrium between plasma proteins and the other proteins of the body, one of the most effective therapies for severe, acute whole body protein deficiency is intravenous transfusion of plasma protein. •Within a few days, or sometimes within hours, the amino acids of the administered protein are distributed throughout the cells of the body to form new proteins where they are needed.
  • 29.
    3- Maintenance ofbodyFluid •In arterioles, the hydrostatic pressure is about 37 mm Hg, with an interstitial (tissue) pressure of 1 mm Hg opposing it. •The osmotic pressure (oncotic pressure) exerted by the plasma proteins is approximately 25 mm Hg. •Thus, a net outward force of about 11 mm Hg drives fluid out into the interstitial spaces
  • 30.
    •In venules, thehydrostatic pressure is about 17 mm Hg, with the oncotic and interstitial pressures as described above; thus, a net force of about 9 mm Hg attracts water back into the circulation •The above pressures are often referred to as the Starling forces.
  • 31.
    4- Rolein Edema •Ifthe concentration of plasma proteins is markedly diminished (eg, due to severe protein malnutrition), fluid is not attracted back into the intravascular compartment and accumulates in the extravascular tissue spaces, a condition known as edema. •Edema has many causes; protein deficiency is one of them
  • 32.
    • ROLE INCOAGULATION OF BLOOD • ROLE IN DEFENSE MECHANISM OF BODY • ROLE IN TRANSPORT MECHANISM • ROLE IN REGULATION OF • ACID-BASE BALANCE • ROLE IN VISCOSITY OF BLOOD • ROLE IN ERYTHROCYTE SEDIMENTATION RATE • ROLE IN SUSPENSION STABILITY OF RED BLOOD CELLS • ROLE IN PRODUCTION OF TREPHONE SUBSTANCES • ROLE AS RESERVE PROTEINS
  • 33.
  • 36.
    PlasmaVolume •A number ofregulatory mechanisms in the body maintain homeostasis of the plasma volume. •If the body should lose water, the remaining plasma becomes excessively concentrated—its osmolality increases
  • 42.
    TheFormed Elementsof Blood •Redblood cells (RBCs) or erythrocytes transport oxygen from the lungs to body cells and deliver carbon dioxide from body cells to the lungs •White blood cells (WBCs) or leukocytes protect the body from invading pathogens and other foreign substances •Platelets are fragments of cells that do not have a nucleus. •They release chemicals that promote blood clotting when blood vessels are damaged
  • 43.
    •The percentage oftotal blood volume occupied by RBCs is called the hematocrit •A hematocrit of 40 indicates that 40% of the volume of blood is composed of RBCs. •The normal range of hematocrit for adult females is 38– 46% (average 42); for adult males, it is 40–54% (average 47)
  • 44.
    •The hormone testosterone,present in much higher concentration in males than in females, stimulates synthesis of erythropoietin (EPO), the hormone that in turn stimulates production of RBCs •Thus, testosterone contributes to higher hematocrits in males. •Lower values in women during their reproductive years also may be due to excessive loss of blood during menstruation
  • 45.
  • 46.
    •Blood cells areconstantly formed through a process called hematopoiesis (also called hemopoiesis) •The hematopoietic stem cells —those that give rise to blood cells — originate in the yolk sac of the human embryo •Then these migrate in sequence to regions around the aorta, to the placenta, and then to the liver of a fetus
  • 47.
    •The hematopoietic stemcells form a multipotent adult stem cells that give rise to all of the specialized blood cells •The hematopoietic stem cells are self-renewing, duplicating themselves by mitosis •So that the parent stem cell population will not become depleted as individual stem cells differentiate into the mature blood cells
  • 48.
    •The term erythropoiesisrefers to the formation of erythrocytes, and leukopoiesis to the formation of leuko-cytes •These processes occur in two classes of tissues after birth, myeloid and lymphoid. •Myeloid tissue is the red bone marrow of the long bones, ribs, sternum, pelvis, bodies of the vertebrae, and portions of the skull •Lymphoid tissue includes the lymph nodes, tonsils, spleen, and thymus.
  • 49.
    Erythropoiesis •Pluripotential Hematopoietic StemCells, Growth Inducers, and Differentiation Inducers: •The blood cells begin their lives in the bone marrow from a single type of cell called the pluripotential hematopoietic stem cell (Uncommitted PHSC or Non- Specific) •From which all the cells of the circulating blood are eventually derived (Committed PHSC or Specific)
  • 50.
    •The different committedstem cells, when grown in culture, will produce colonies of specific types of blood cells. •A committed stem cell that produces erythrocytes is called a colony-forming unit–erythrocyte, and the abbreviation CFU-E is used to designate this type of stem cell •Likewise, colony-forming units that form granulocytes and monocytes have the designation CFU-GM, and so forth
  • 52.
    1- Proerythroblast(Pronormoblast) •Thefirst cellthat can be identified asbelonging to the red blood cell series is the proerythroblast •It has an average size of 15μm (Range 14 - 19). •The cytoplasm is seen as thin rim of deep blue homogenous cytoplasm •Large nucleus that contains multiple Nucleoli •Doesn’t contain hemoglobin (Hb)
  • 53.
    2- EarlyNormoblast(Basophilic) •Nucleoli areabsent, Sizebecomes smaller than it’s precursor, ranging between 12 – 17μm. •Chromatin appears as a coarse network. This cell shows active mitosis •The cytoplasm is more deeply basophilic, even more than that of pronormoblast
  • 54.
    3-Intermediate Normobalst(Polychromatic) •Size isalmost 12μm •Whole cell is smaller than early normoblast. •Chromatin is very coarse and shows dark chunks. •Hb synthesis starts at this stage, and the first traces of Hb appear around the nucleus •It is called polychromatic because the cytoplasm shows both acidophilic staining (due to Hb) and basophilic (due to RNA)
  • 55.
    4- LateNormoblast(orthochromatic) •The nucleusshows shrinkage along with condensation and solidification of chromatin •This change is called pyknotic degeneration •Later this nuclear mass is lost from the cell •The Hb formation is completed at this stage •Increasing amount of Hb replaces the cytoplasm and get stained by dull copper appearance
  • 56.
    Reticulocyte •It does nothave nucleus but it has some mitochondria, Golgi apparatus and ribosomes (basophilic) •Some Hb is synthesized at this stage •It stays in the bone marrow for 2.5 – 3 days •Then cells pass from the bone marrow into the blood capillaries by diapedesis (squeezing through the pores of the capillary membrane)
  • 57.
    •Where it remainsfor another 24 hours before it loses its mitochondria, Golgi apparatus and ribosomes •Then it takes the morphological features of a mature RBC •The number of reticulocytes in the blood is an index of erythropoietic activity of the bone marrow (0.2- 2%)
  • 59.
    Erythrocyte or MatureRBC •Whenthe remaining basophilic material in the reticulocyte disappears, the cell is then a mature erythrocyte •It then has all the anatomical and functional properties of RBC •Erythropoiesis is an extremely active process. It is estimated that about 2.5 million erythrocytes are produced every second in order to replace those that are continuously destroyed by the spleen and liver
  • 61.
    Regulation of Erythropoietin WhyRegulation is necessary: 1 An adequate number of red cells is always available to provide sufficient transport of oxygen from the lungs to the tissues 2 the cells do not become so numerous that they impede blood flow.
  • 62.
    FactorsAffecting Erythropoiesis 1- Hypoxia 2Erythropoietin: 3 Vitamins 4 Protein Diet 5 Metals 6 Hormones
  • 63.
    1- Hypoxia& Erythropoietin: •TissueOxygenation Is the Most Essential Regulator of Red Blood Cell Production. •Any condition that causes the quantity of oxygen transported to the tissues to decrease ordinarily increases the rate of red blood cell production •Decreased tissue count could result either by decreased RBC count in the blood or decreased oxygen level in the blood
  • 64.
    a- Decreased RBCsin the blood: Anemia Hemorrhage Destruction bone marrow by any means •X-ray therapy can destroy bone marrow, •This causes hyperplasia of the remaining bone marrow, thereby attempting to supply the demand for red blood cells in the body
  • 65.
    b- Decreased Oxygen: •Veryhigh altitudes, where the quantity of oxygen in the air is greatly decreased, insufficient oxygen is transported to the tissues, and red cell production is greatly increased •C- Decreased blood flow: •Diseases of the circulation that cause decreased blood flow through the peripheral vessels, and particularly those that cause failure of oxygen absorption by the blood also increase the rate of red cell production
  • 66.
    •Diseases include: Heart Failure:?????? (already discussed) Pulmonary disorders: ??????? (already discussed) •Tissue hypoxia resulting from these conditions increases red cell production, with a resultant increase in hematocrit and usually total blood volume as well
  • 67.
    2 - Erythropoietin •ErythropoietinStimulates Red Cell Production, and Its Formation •Erythropoietin increases in Response to Hypoxia. •The principal stimulus for red blood cell production in low oxygen states is a circulating hormone called erythropoietin, a glycoprotein with a molecular weight of about 34,000.
  • 68.
    •Hypoxia causes amarked increase in erythropoietin production •Then the erythropoietin in turn enhances red blood cell production until the hypoxia is relieved •In the normal person, about 90 per cent of all erythropoietin is formed in the kidneys •The remainder is formed mainly in the liver. •It is not known exactly where in the kidneys the erythropoietin is formed
  • 69.
    Effect of ErythropoietininErythrogenesis. •Important effect of erythropoietin is to stimulate the production of proerythroblasts from hematopoietic stem cells in the bone marrow. •In addition, once the proerythroblasts are formed, the erythropoietin causes these cells to pass more rapidly through the different erythroblastic stages than they normally do, further speeding up the production of new red blood cells.
  • 70.
    •The rapid productionof cells continues 1 As long as the person remains in a low oxygen state 2 Or until enough red blood cells have been produced to carry adequate amounts of oxygen to the tissues despite
  • 72.
    3- Vitamins •Vitamin B12and Folic Acid: •Their maturation and rate of production are affected greatly by aperson’s nutritional status. •Two vitamins are important for final maturation of the red blood cells that are vitamin B12 and folic acid. •Both of these are essential for the synthesis of DNA because each in a different way is required for the formation of thymidine triphosphate, one of the essential building blocks of DNA.
  • 73.
    •Therefore, lack ofeither vitamin B12 or folic acid causes abnormal and diminished DNA and, consequently, failure of nuclear maturation and cell division •Furthermore, the erythroblastic cells of the bone marrow, in addition to failing to proliferate rapidly, produce mainly larger than normal red cells called macrocytes
  • 74.
    4- Metals •Iron •Mangnese •Cobalt •The erythroidcells from pronormoblast to reticulocytes contain receptors for iron and can therefore take iron from the iron containing plasma protein transferrin
  • 75.
    5 – ProteinDiet •Globin part of Hb is synthesized from the essential amino acids that are supplied by the diet •Low protein conditions like war prisoners Poverty ort kwashiorkor Disease causes low erythropoiesis
  • 76.
  • 77.
    Functions of RBC •A major function of red blood cells, also known as erythrocytes, is to transport hemoglobin, which in • turn carries oxygen from the lungs to the tissues. In some lower animals, hemoglobin circulates as free • protein in the plasma, not enclosed in red blood cells. When it is free in the plasma of the human being, • about 3 percent of it leaks through the capillary membrane into the tissue spaces or throughthe • glomerular membrane of the kidney into the glomerular filtrate each time the blood passes throughthe • capillaries. Therefore, hemoglobin must remain inside red blood cells to effectively perform its functions • in humans. • The red blood cells have other functions besides transport of hemoglobin. For instance, they contain a • large quantity of carbonic anhydrase, an enzyme that catalyzes the reversible reaction between carbon • dioxide (CO2) and water to form carbonic acid (H2CO3), increasing the rate of this reaction several • thousandfold. The rapidity of this reaction makes it possible for the water of the blood to transport • enormous quantities of CO2 in the form of bicarbonate ion ( • ) from the tissues to the lungs, where it is reconverted to CO2 and expelled into the atmosphere • as a body waste product. The hemoglobin in the cells is an excellent acid-base buffer (as is true of • most proteins), so the red blood cells are responsible for most of the acid-base buffering power of • whole blood.
  • 78.
    Leukopoiesis •The production ofdifferent subtypes of leukocytes is stimulated by chemicals called cytokines •These are autocrine regulators secreted by various cells of the immune system Regulation of Leukopoiesis • A variety of cytokines stimulate different stages of leukocyte development. •The cytokines known as multipotent growth factor-1, interleukin-1, and interleukin-3 have general effects, stimulating the development of different types of white blood cells.
  • 79.
    •Granulocyte colony-stimulating factor(G-CSF) acts in a highly specific manner to stimulate the development of neutrophils, whereas granulocyte-monocyte colony- stimulating factor (GM-CSF) stimulates the development of monocytes and eosinophils. •The genes for the cytokines G-CSF and GM-CSF have been cloned, making these cytokines available for medical applications
  • 81.
    Thrombopoiesis •Scientists have identifieda specific cytokine that stimulates proliferation of megakaryocytes and their maturation into platelets. •By analogy with erythropoietin, they named this regulatory molecule thrombopoietin •The gene that codes for thrombopoietin also has been cloned, so that recombinant thrombopoietin is now available for medical research and applications
  • 83.
  • 86.
    RedBlood Cells •Red bloodcells (RBCs) or erythrocytes contain the oxygen-carrying protein hemoglobin, which is a pigment that gives whole blood its red color. RBC Anatomy •RBCs are biconcave discs with a diameter of 7–8 μm. •Mature red blood cells have a simple structure. •Their plasma membrane is both strong and flexible, which allows them to deform without rupturing as they squeeze through narrow blood capillaries
  • 87.
    •The plasma membraneof RBCs contain glycolipids which act as antigens •These antigens account for the various blood groups such as the ABO and Rh groups. •Mature RBCs lack a nucleus and other organelles and can neither reproduce nor carry on extensive metabolic activities
  • 88.
    •The cytosol ofRBCs contains hemoglobin molecules; •These important molecules are synthesized before loss of the nucleus during RBC production and constitute about 33% of the cell’s weight
  • 89.
    RBCPhysiology •Red blood cellsare highly specialized for their oxygen transport function. •Because mature RBCs have no nucleus, all of their internal space is available for oxygen transport. •Because RBCs lack mitochondria and generate ATP anaerobically (without oxygen), they do not use up any of the oxygen they transport
  • 90.
    •Even the shapeof an RBC facilitates its function. •A biconcave disc has a much greater surface area for the diffusion of gas molecules into and out of the RBC than would, say, a sphere or a cube •Each RBC contains about 280 million hemoglobin molecules.
  • 91.
    Hemoglobin •Hemoglobin is aprotein made up of four subunits of iron-containing disc shaped pigment molecules called heme moiety attached to four polypeptide chains called globins •The protein part of the hemoglobin is composed of two identical α chains (each 141 amino acid long) and two identical β chains (each 146 amino acid long)
  • 92.
    •Each of fourpolypeptide chains is combined with one heme group •In the center of each heme group is one atom of ferrous iron, which can reversibly bind with one molecule of O2 •It has been customary to write the reaction of hemoglobin with O2 as; DeoxyHb + O2←→ HbO2 (Oxyhemoglobin)
  • 93.
    •Hemoglobin releases oxygen,which diffuses first into the interstitial fluid and then into cells •Hemoglobin also transports about 23% of the total carbon dioxide, a waste product of metabolism. •The remaining carbon dioxide is dissolved in plasma or carried as bicarbonate ions
  • 94.
  • 97.
    Formation of Hemoglobin •Synthesisof hemoglobin starts in early phases of RBC production and continues even into the reticulocyte stage of the red blood cells. •Therefore, when reticulocytes leave the bone marrow and pass into the blood stream, they continue to form minute quantities of hemoglobin for another day or so until they become mature erythrocytes
  • 99.
  • 100.
    •The most commonform of hemoglobin in the adult human being, hemoglobin A, is a combination of two alpha chains and two beta chains. •Hemoglobin A has a molecular weight of 64,458
  • 101.
    Iron Metabolism •Because ironis important for the formation not only of hemoglobin but also of other essential elements in the body (e.g., myoglobin, cytochromes, cytochrome oxidase, peroxidase, catalase), •The total quantity of iron in the body averages 4 to 5 grams, about 65 per cent of which is in the form of hemoglobin
  • 102.
    Transportof Iron inthe Body •When iron is absorbed from the small intestine, it immediately combines in the blood plasma with a beta globulin, apotransferrin, to form transferrin, which is then transported in the plasma. •The iron is loosely bound in the transferrin and, consequently, can be released to any tissue cell at any point in the body. •Excess iron in the blood is deposited especially in the liver hepatocytes
  • 103.
    •In the cellcytoplasm, iron combines mainly with a protein, apoferritin, to form ferritin. •Apoferritin has a molecular weight of about 460,000 •This iron stored as ferritin is called storage iron •Smaller quantities of the iron in the storage pool are in an extremely insoluble form called hemosiderin. •This is especially true when the total quantity of iron in the body is more than the apoferritin storage pool can accommodate
  • 104.
    •When the quantityof iron in the plasma falls low, some of the iron in the ferritin storage pool is removed easily and transported in the form of transferrin in the plasma to the areas of the body where it is needed •A unique characteristic of the transferrin molecule is that it binds strongly with receptors in the cell membranes of erythroblasts in the bone marrow
  • 105.
    •Then, along withits bound iron, it is ingested into the erythroblasts by endocytosis. •There the transferrin delivers the iron directly to the mitochondria, where heme is synthesized. •In people who do not have adequate quantities of transferrin in their blood, failure to transport iron to the erythroblasts in this manner can cause severe hypochromic anemia*
  • 106.
    •When red bloodcells have lived their life span and are destroyed •There, iron is liberated and is stored mainly in the ferritin pool to be used as needed for the formation of new hemoglobin.
  • 108.
    Absorptionof Iron fromthe GIT •Iron is absorbed from all parts of the small intestine, mostly by the following mechanism. •The liver secretes moderate amounts of apotransferrin into the bile, which flows through the bile duct into the duodenum. •Here, the apotransferrin binds with free iron and also with certain iron compounds, such as hemoglobin and myoglobin from meat, two of the most important sources of iron in the diet.
  • 109.
    •This combination iscalled transferrin. • It, in turn, is attracted to and binds with receptors in the membranes of the intestinal epithelial cells. •Then, by pinocytosis, the transferrin molecule, carrying its iron store, is absorbed into the epithelial cells and later released into the blood capillaries beneath these cells in the form of plasma transferrin
  • 110.
    RBCLifeCycle •Red blood cellslive only about 120 days because of the wear and tear their plasma membranes undergo as they squeeze through blood capillaries •Without a nucleus and other organelles, RBCs cannot synthesize new components to replace damaged ones •The plasma membrane becomes more fragile with age, and the cells are more likely to burst, especially as they squeeze through narrow channels in the spleen
  • 111.
    •Ruptured red bloodcells are removed from circulation and destroyed by fixed phagocytic macrophages in the spleen and liver •The breakdown products are recycled and used in numerous metabolic processes, including the formation of new red blood cells. •The recycling occurs as follows
  • 112.
    •1- Macrophages inthe spleen, liver, or red bone marrow phagocytize ruptured and worn-out red blood cells •2- The globin and heme portions of hemoglobin are split apart. •3- Globin is broken down into amino acids, which can be reused to synthesize other proteins. •4- Iron is removed from the heme portion in the form of Fe, which associates with the plasma protein transferrin iron), a transporter for Fe in the bloodstream
  • 113.
    •5- In musclefibers, liver cells, and macrophages of the spleen and liver, Fe3+ detaches from transferrin and attaches to an iron-storage protein called ferritin •6- On release from a storage site or absorption from the gastrointestinal tract, Fe3+ reattaches to transferrin •7- The Fe3+–transferrin complex is then carried to red bone marrow, where RBC precursor cells take it up through receptor mediated endocytosis, for use in hemoglobin synthesis.
  • 114.
    •Iron is neededfor the heme portion of the hemoglobin molecule •Amino acids are needed for the globin portion. •Vitamin B12 is also needed for the synthesis of hemoglobin •8- Erythropoiesis in red bone marrow results in the production of red blood cells, which enter the circulation
  • 115.
    •9- When ironis removed from heme, the non-iron portion of heme is converted to biliverdin, a green pigment, and then into bilirubin, a yellow orange pigment •10- Bilirubin enters the blood and is transported to the liver. •11- Within the liver, bilirubin is released by liver cells into bile, which passes into the small intestine and then into the large intestine.
  • 116.
    •12- In thelarge intestine, bacteria convert bilirubin into urobilinogen •13- Some urobilinogen is absorbed back into the blood, converted to a yellow pigment called urobilin excreted in urine •14- Most urobilinogen is eliminated in feces in the form of a brown pigment called stercobilin gives feces its characteristic color.
  • 119.
  • 120.
    •Anemia means deficiencyof hemoglobin in the blood, which can be caused by either too few red blood cells or too little hemoglobin in the cells. •Anemia is a condition in which the oxygen-carrying capacity of blood is reduced. • All of the many types of anemia
  • 121.
    1- Microcytic HypochromicAnemia •Alsocalled Blood Loss Anemia •After rapid hemorrhage, the body replaces the fluid portion of the plasma in 1 to 3 days, but this leaves a low concentration of red blood cells. •If a second hemorrhage does not occur, the red blood cell concentration usually returns to normal within 3 to 6 weeks
  • 122.
    •In chronic bloodloss, a person frequently cannot absorb enough iron from the intestines to form hemoglobin as rapidly as it is lost •Red cells are then produced that are much smaller than normal and have too little hemoglobin inside them, giving rise to microcytic, hypochromic anemia
  • 123.
    2- Aplastic Anemia. •Bonemarrow aplasia means lack of functioning bone marrow. •For instance, a person exposed to gamma ray radiation from a nuclear bomb blast can sustain complete destruction of bone marrow, followed in a few weeks by lethal anemia. •Likewise, excessive x-ray treatment, certain industrial chemicals, and even drugs to which the person might be sensitive can cause the same effect
  • 124.
    Types •1- Idiopathic AplasticAnemia: •2- Secondary or Acquired Aplastic Anemia •3- Fanconi Anemia:
  • 125.
    3- Megaloblastic Anemia. •Basedon the earlier discussions of vitamin B12 , folic acid, and intrinsic factor from the stomach mucosa, one can readily understand that loss of any one of these can lead to slow reproduction of erythroblasts in the bone marrow. •As a result, the red cells grow too large, with odd shapes, and are called megaloblasts. •Thus, atrophy of the stomach mucosa, or loss of the entire stomach after surgical total gastrectomy can lead to megaloblastic anemia.
  • 126.
    •Also, patients whohave intestinal sprue, in which folic acid, vitamin B12 , and other vitamin B12 compounds are poorly absorbed, often develop megaloblastic anemia. •Because in these states the erythroblasts cannot proliferate rapidly enough to form normal numbers of red blood cells, those red cells that are formed are mostly oversized have bizarre shapes, and have fragile membranes. •These cells rupture easily, leaving the person in dire need of an adequate number of red cells.
  • 127.
    4- Hemolytic Anemia •Differentabnormalities of the red blood cells, many of which are hereditarily acquired, make the cells fragile, so that they rupture easily as they go through the capillaries, especially through the spleen •Even though the number of red blood cells formed may be normal, or even much greater than normal in some hemolytic diseases, the life span of the fragile red cell is so short that the cells are destroyed faster than they can be formed & serious anemia results
  • 128.
    5- SickleCellAnemia •In sicklecell anemia, the cells have an abnormal type of hemoglobin called hemoglobin –S •This Hb contains faulty beta chains in the hemoglobin molecule •When this hemoglobin is exposed to low concentrations of oxygen, it precipitates into long crystals inside the red blood cell
  • 129.
  • 130.
    •These crystals elongatethe cell and give it the appearance of a sickle rather than a biconcave disc. •The precipitated hemoglobin also damages the cell membrane, so that the cells become highly fragile, leading to serious anemia. •Such patients frequently experience a vicious circle of events called a sickle cell disease “crisis,”
  • 131.
    •In which lowoxygen tension in the tissues causes sickling, which leads to ruptured red cells, •Which causes a further decrease in oxygen tension and still more sickling and red cell destruction
  • 133.
    Erythroblastosis fetalis •Rh-positive redblood cells in the fetus are attacked by antibodies from an Rh-negative mother. •These antibodies make the Rh-positive cells fragile, leading to rapid rupture and causing the child to be born with serious anemia
  • 134.
    Anemia and CVS Effectsof Anemia on Function of the Circulatory System •The viscosity of the blood depends almost entirely on the blood concentration of red blood cells •In severe anemia, the blood viscosity may fall to as low as 1.5 times that of water rather than the normal value of about 3
  • 135.
    •This decreases theresistance to blood flow inthe peripheral blood vessels •So that far greater than normal quantities of blood flow through the tissues and return to the heart, thereby greatly increasing cardiac output •Thus, one of the major effects of anemia is greatly increased cardiac output, as well as increased pumping workload on the heart.
  • 136.
    •When a personwith anemia begins to exercise, the heart is not capable of pumping much greater quantities of blood •During exercise, which greatly increases tissue demand for oxygen, extreme tissue hypoxia results, and acute cardiac failure ensues.
  • 137.
  • 138.
    Polycythemia 2- Secondary Polycythemia: •Wheneverthe tissues become hypoxic because of too little oxygen in the breathed air (at high altitudes) •Or because of failure of oxygen delivery to the tissues, such as in cardiac failure •The blood-forming organs automatically produce large quantities of extra red blood cells.
  • 139.
    •This condition iscalled secondary polycythemia, and the red cell count commonly rises to 6 to 7 million/mm about 30 per cent above normal. •A common type of secondary polycythemia, called physiologic polycythemia, occurs in natives who live at altitudes of 14,000 to 17,000 feet, where the atmospheric oxygen is very low.
  • 140.
    Polycythemia Vera(Erythremia). •This isa pathological condition known as polycythemia vera •In this the red blood cell count may be 7 to 8 million/mm3 and the hematocrit may be 60 to 70 per cent instead of the normal 40 to 45 per cent
  • 141.
    •Polycythemia vera iscaused by a genetic aberration in the hemocytoblastic cells that produce the blood cells. •The blast cells no longer stop producing red cells when too many cells are already present
  • 142.
    Polycythemia and CVS •Effectof Polycythemia on Function of the Circulatory System •In polycythemia vera, not only does the hematocrit increase, but the total blood volume also increases, on some occasions to almost twice normal •The viscosity of the blood in polycythemia vera sometimes increases from the normal of 3 times the viscosity of water to 10 times that of water
  • 143.
    •This means thatthe blood pressure–regulating mechanisms can usually offset the tendency for increased blood viscosity to increase peripheral resistance and, thereby, increase arterial pressure •Beyond certain limits, however, these regulations fail, and hypertension develops.
  • 144.
  • 145.
    Physiological Variations • IncreaseIn RBC Count A- Age: B- Sex: C- High Altitude D- Muscular Exercise E: Emotional Conditions F: Environmental Conditions G: Post Meal
  • 146.
    •Decrease In RBCCount: A: High Barometric Pressure B: Sleep C: Pregnancy
  • 147.
    Pathological Variations Increase InRBC Count 1- Secondary Polycythemia Decrease In RBC Count: 1- Anemia (Already Discussed )
  • 148.
  • 149.
    •Unlike red bloodcells, white blood cells (WBCs) or leukocytes have nuclei and a full complement of other organelles but they do not contain hemoglobin •WBCs are classified as either granular or agranular, depending on whether they contain conspicuous chemical-filled cytoplasmic granules (vesicles) that are made visible by staining when viewed
  • 150.
    1 Granulocytes: Neutrophils (PolymorphonuclearNeutrophils) Eosinophils (Polymorphonuclear Eosinophils) Basophils (Polymorphonuclear Basophils) 2 Agranulocytes: Lymphocytes Monocytes Plasma Cells (occasionally)
  • 151.
    Concentration of WBCsinBlood •Theadult human being has about 7000 white blood cells per microliter of blood (in comparison with 5 million red blood cells).
  • 152.
    Granular Leukocytes •After staining,each of the three types of granular leukocytes displays conspicuous granules with distinctive coloration that can be recognized under a light microscope 1- Neutrophil. •The granules of a neutrophil are smaller than those of other granular leukocytes, evenly distributed, and pale lilac •Because the granules do not strongly attract either the acidic (red) or basic (blue) stain, these WBCs are neutrophilic ( neutral loving)
  • 153.
  • 154.
    •The nucleus hastwo to five lobes, connected by very thin strands of nuclear material 2- Eosinophil: •The large, uniform-sized granules within an eosinophil are eosinophilic ( eosin-loving)— they stain red-orange with acidic dyes 3- Basophil. •The round, variable-sized granules of a basophil are basophilic ( basic loving)—they stain blue- purple with basic dyes
  • 155.
  • 156.
  • 157.
    Agranular Leukocytes •Lymphocyte: •The nucleusof a lymphocyte stains dark and is round or slightly indented •The cytoplasm stains sky blue and forms a rim around the nucleus. •The larger the cell, the more cytoplasm is visible
  • 158.
    •Lymphocytes are classifiedby cell diameter as large lymphocytes (10 – 14 μm) or small lymphocytes (6–9 μm) •Size difference is clinically useful because an increase in the number of large lymphocytes has diagnostic significance in acute viral infections and in some immunodeficiency diseases
  • 159.
  • 160.
    Monocyte. •The nucleus ofa monocyte is usually kidney-shaped or horseshoe-shaped, and the cytoplasm is blue-gray and has a foamy appearance •Blood is merely a conduit for monocytes which migrate from the blood into the tissues, where they enlarge and differentiate into macrophages
  • 161.
    •Some become fixed(tissue) macrophages, which means they reside in a particular tissue; examples are alveolar macrophages in the lungs or macrophages in the spleen •Others become wandering macrophages, which roam the tissues and gather at sites of infection or inflammation.
  • 162.
  • 163.
    Life SpanOf WBCs •Thelife of the granulocytes after being released from the bone marrow is normally 4 to 8 hours circulating in the blood and another 4 to 5 days in tissues where they are needed •The monocytes also have a short transit time, 10 to 20 hours in the blood, before wandering through the capillary membranes into the tissues. •Once in the tissues, they swell to much larger sizes to become tissue macrophages, and, in this form, can live for months unless destroyed while performing phagocytic functions.
  • 164.
    Type Lifespan (Days) Neutrophils2 - 5 Eosinophils 7 - 12 Basophils 12 – 15 Monocytes 2 – 5 Lymphocytes almost 1 Day
  • 165.
    GeneralFunctionsof WBCs 1 GeneralizedImmunity of the body 2Allergic Reactions in the body 3- Inflammatory Responses
  • 166.
    1- ImmuneFunctions •1- Whiteblood cells and all other nucleated cells in the body have proteins, called major histocompatibility (MHC) antigens, protruding from their plasma membrane into the extracellular fluid •These “cell identity markers” are unique foreach person (except identical twins). •Although RBCs possess blood group antigens, they lack the MHC antigens.
  • 167.
    2- Phagocytosis •The skinand mucous membranes of the body are continuously exposed to microbes and their toxins. •During Some of these microbes can invade deeper tissues to cause disease. •Once pathogens enter the body, the general function of white blood cells is to combat them by phagocytosis or immune responses
  • 168.
    •Toaccomplish these tasks,many WBCs leave the bloodstream and collect at sites of pathogen invasion or inflammation. •Once granular leukocytes and monocytes leave the bloodstream to fight injury or infection, they never return to it. •Lymphocytes, on the other hand, continually recirculate—from blood to interstitial spaces of tissues to lymphatic fluid and back to blood
  • 169.
    Neutrophils functions /characteristics Diapedesis: •Emigration, also called diapedesis , in which they roll along the endothelium, stick to it, and then squeeze between endothelial cells •Molecules known as adhesion molecules help WBCs stick to the endothelium.
  • 170.
    •Endothelial cells displayadhesion molecules called selectins in response to nearby injury and inflammation. •This process is mediated by through interaction between neutrophil adhesion molecules of glycoproteins belonging to the integrin family and specific molecules (selectins) over the endothelial cells (CD54 & CD 102*)
  • 171.
    •This emigration ispurposeful, directed and ameboid. Some cells move at velocities as great as 40 μm/min, a distance as great as their own length each minute •Selectins stick to carbohydrates on the surface of neutrophils, causing them to slow down and roll along the endothelial surface
  • 172.
    •On the neutrophilsurface are other adhesion molecules called integrins •Which tether neutrophils to the endothelium and assist their movement through the blood vessel wall and into the interstitial fluid of the injured tissue •Neutrophils and macrophages are active in phagocytosis, they can ingest bacteria and dispose of dead matter
  • 174.
    Chemotaxis: •Several different chemicalsreleased by microbes and inflamed tissues attract phagocytes, a phenomenon called chemotaxis •The substances that provide stimuli for chemotaxis include 1 Toxins produced by microbes 2Kinins: Specialized products of damaged tissues 3- Colony-stimulating factors: 4Reaction products of the “Complement Complex” 5Plasma clotting in the inflamed area(Hageman Factor)
  • 175.
    •Chemotaxis depends onthe concentration gradient of the chemotactic substance. •The concentration is greatest near the source, which directs the unidirectional movement of the white cells. •Chemotaxis is effective up to 100 micrometers away from an inflamed tissue
  • 176.
    •Therefore, because almostno tissue area is more than 50 micrometers away from a capillary •The chemotactic signal can easily move hordes of white cells from the capillaries into the inflamed area.
  • 178.
    Phagocytosis byNeutrophils •The neutrophilsentering the tissues are already mature cells that can immediately begin phagocytosis. •On approaching a particle to be phagocytized, the neutrophil first attaches itself to the particle and then projects pseudopodia in all directions around the particle •The pseudopodia meet one another on the opposite side and fuse.
  • 179.
    •This creates anenclosed chamber that contains the phagocytized particle. •Then the chamber invaginates to the inside of the cytoplasmic cavity and, Ca++ dependent pathway, breaks away from the outer cell membrane to form a free-floating phagocytic vesicle (also called a phagosome) inside the cytoplasm. •A single neutrophil can usually phagocytize 3 to 20 bacteria before the neutrophil itself becomes inactivated and dies
  • 180.
    Secretory Function ofNeutrophils •Release enzymes (Dnase , Rnase) •Histamine •Vit B12 alpha globulin •Leuko pyrogen (induce fever) •Prostaglandins (anti inflammation action) •Thromboxane (vasoconstrictor and cause platelet aggregation)
  • 181.
    Phagocytosis by Macrophages •Macrophagesare the end stage product of monocytes that enter the tissues from the blood •When activated by the immune system they are much more powerful phagocytes than neutrophils, often capable of phagocytizing as many as 100 bacteria
  • 182.
    •They also havethe ability to engulf much larger particles, even whole red blood cells or, occasionally, malarial parasites, than the neutrophils •Also, after digesting particles, macrophages can extrude the residual products and often survive and function for many more months.
  • 183.
    Destruction of Pathogen: •AmongWBCs, neutrophils respond most quickly to tissue destruction by bacteria. •After engulfing a pathogen during phagocytosis, a neutrophil unleashes several chemicals to destroy the pathogen
  • 184.
    •Once a foreignparticle has been phagocytized, lysosomes and other cytoplasmic granules in the neutrophil or macrophage immediately come in contact with the phagocytic vesicle •Their membranes fuse, thereby dumping many digestive enzymes and bactericidal agents into the vesicle.
  • 185.
    •Both neutrophils andmacrophages contain an abundance of lysosomes filled with proteolytic enzymes especially geared for digesting bacteria and other foreign protein matter •The lysosomes of macrophages (but not of neutrophils) also contain large amounts of lipases, which digest the thick lipid membranes possessed by some bacteria such as the tuberculosis bacillus
  • 186.
    •The lysosomal contentswhich include antibacterial substances such as 1 Phagocytin 2 Leukin 3 Defensins 4 Digestive enzymes •These having elastase, and collagenase activities are released that kill the bacteria and digest them
  • 187.
    2- Killing EffectofMacrophages and Neutrophils •Neutrophils and macrophages contain bactericidal agents that kill most bacteria even when the lysosomal enzymes fail to digest them. •This is especially important, because some bacteria have protective coats or other factors that prevent their destruction by digestive enzymes.
  • 188.
    •Much of thekilling effect results from several powerful oxidizing agents formed by enzymes in the membrane of the phagosome or by a special organelle called the peroxisome •These chemicals include the enzyme - Strong oxidants - superoxide anion (O¯2) - hydrogen peroxide (H2O2) - hypochlorite anion
  • 189.
    •Neutrophils also containdefensins, proteins that exhibit a broad range of antibiotic activity against bacteria and fungi •Within a neutrophil, vesicles containing defensins merge with phagosomes containing microbes •Defensins form peptide “spears” that poke holes in microbe membranes; the resulting loss of cellular contents kills the invader
  • 190.
    WhyChronic InfectionsOccur? •Some bacteria,tuberculosis bacillus, I. Have coats that are resistant to lysosomal digestion II. Secrete substances that partially resist the killing effects of the neutrophils and macrophages. •These bacteria are responsible for many of the chronic diseases, an example of which is tuberculosis.
  • 191.
    Monocyte-Macrophage CellSystem Reticuloendothelial System •Afterentering the tissues and becoming macrophages, another large portion of monocytes becomes attached to the tissues •Then they remains attached for months or even years until they are called on to performspecific local protective functions
  • 192.
    •When appropriately stimulated,they can break away from their attachments and once again become mobile macrophages that respond to chemotaxis •Thus, the body has a widespread “monocyte- macrophage system” in virtually all tissue areas
  • 193.
    •The total combinationof monocytes, mobile macrophages, fixed tissue macrophages, and a few specialized endothelial cells in the bone marrow, spleen, and lymph nodes is called the reticuloendothelial system. •However, all or almost all these cells originate from monocytic stem cells; therefore, the reticuloendothelial system is almost synonymous with the monocyte- macrophage system.
  • 194.
    Secretory functions ofNeutrophils: Secrete several enzymes (DNAase and RNAase), Leukocyte pyrogen Vitamin B12
  • 195.
    Eosinophils •Eosinophils leave thecapillaries and enter tissue fluid. •They are believed to release enzymes, such as histaminase, that combat the effects of histamine and other substances involved in inflammation during allergic reactions. •Eosinophils also phagocytize antigen–antibody complexes and are effective against certain parasitic worms.
  • 196.
    •A high eosinophilcount often indicates an allergic condition or a parasitic infection •At sites of inflammation, eosinophils leave capillaries, enter tissues, and release granules that contain heparin, histamine, and serotonin. •These substances intensify the inflammatory reaction and are involved in hypersensitivity (allergic) reactions.
  • 197.
    Lymphocytes •Lymphocytes are themajor soldiers in lymphatic system battles •Most lymphocytes continually move among lymphoid tissues, lymph, and blood, spending only a few hours at a time in blood. •Three main types of lymphocytes are B cells, T cells, and natural killer (NK) cells.
  • 198.
    •B cells areparticularly effective in destroying bacteria and inactivating their toxins •T cells attack viruses, fungi, transplanted cells, cancer cells, and some bacteria, and are responsible for transfusion reactions, allergies, and the rejection of transplanted organs •Immune responses carried out by both B cells and T cells help combat infection and provide protection against some diseases. •Natural killer cells attack a wide variety of infectious microbes and certain spontaneously arising tumor cells.
  • 199.
    Monocytes •Monocytes take longerto reach a site of infection than neutrophils, but they arrive in larger numbers and destroy more microbes. •On their arrival, monocytes enlarge and differentiate into wandering macrophages •which clean up cellular debris and microbes by phagocytosis after an infection
  • 202.
    •A physician mayorder a differential white blood cell count of each of the five types of white blood cells •This is to detect - Infection or inflammation, allergic reactions and parasitic infections. - Determine the effects of possible poisoning by chemicals or drugs - Monitor blood disorders (for example, leukemia) and the effects of chemotherapy
  • 203.
    Terminologies •Leukocytosis increase inthe number of WBCs above 10,000/L, is a normal, protective response to stresses such as invading microbes, strenuous exercise, anesthesia, and surgery •An abnormally low level of white blood cells (below 5000/L) is termed leukopenia. •It is never beneficial and may be caused by radiation, shock, and certain chemotherapeutic agents.
  • 206.
  • 207.
    •Uncontrolled production ofwhite blood cells can be caused by cancerous mutation of a myelogenous or lymphogenous cell •This causes leukemia, which is usually characterized by greatly increased numbers of abnormal white blood cells in the circulating blood.
  • 208.
    Typesof Leukemia • Leukemiasare divided into two general types: 1- Lymphocytic leukemias 2- Myelogenous leukemias •The lymphocytic leukemias are caused by cancerous production of lymphoid cells •This usually begins in a lymph node or other lymphocytic tissue and spreading to other areas of the body
  • 209.
    Myelogenous leukemia: • Startsby cancerous production of young myelogenous cells in the bone marrow • This then spreads throughout the body so that white blood cells are produced in many extramedullary tissues—especially in the lymph nodes, spleen, and liver • Myelogenous leukemia the cancerous process occasionally produces partially differentiated cells, resulting in what might be called 1. Neutrophilic leukemia 2. Eosinophilic leukemia 3. Basophilic leukemia 4. Monocytic leukemia • The leukemia cells are bizarre and undifferentiated and not identical to any of the normal white blood cells.
  • 210.
    Acute Vs.Chronic Leukemia •Usually, the more undifferentiated the cell, the more acute is the leukemia, often leading to death within a few months if untreated • The cells in acute leukemia start multiplying before they develop beyond their immature stage • With some of the more differentiated cells, the process can be chronic, sometimes developing slowly over 10 to 20 years. • Chronic leukemia progress more slowly, with the leukemia cells developing to full maturity. • Leukemic cells, especially the very undifferentiated cells are usually nonfunctional for providing the normal protection against infection
  • 211.
    Effectsof Leukemiaon theBody •Thefirst effect of leukemia is metastatic growthof leukemic cells in abnormal areas of the body. •Leukemic cells from the bone marrow may reproduce so greatly that they invade the surrounding bone, causing pain and, eventually, a tendency for bones to fracture easily
  • 212.
    • Leukemia cellsare unable to fight infection the way normal white blood cells do beside there high count. •As they accumulate they interfere with vital organ functions, including the production of healthy blood cells •Common effects in leukemia are the development of infection, severe anemia, and a bleeding tendency caused by thrombocytopenia (lack of platelets). • Most significant effect of leukemia on the body is excessive use of metabolic substrates by the growing cancerous cells
  • 213.
    •The leukemic tissuesreproduce new cells so rapidly that tremendous demands are made on the body reserves for foodstuffs, specific amino acids, and vitamins. •Consequently, the energy of the patient is greatly depleted, and excessive utilization of amino acids by the leukemic cells causes especially rapid deterioration of the normal protein tissues of the body •After metabolic starvation has continued long enough, this alone is sufficient to causedeath.
  • 214.
    Platelets •Besides the immaturecell types that develop into erythrocytes and leukocytes, hemopoietic stem cells also differentiate into cells that produce platelets. •Under the influence of the hormone thrombopoietin, myeloid stem cells develop into megakaryocyte colony- forming cells
  • 215.
    •That in turndevelop into precursor cells called megakaryoblasts •Megakaryoblasts transform into megakaryocytes, huge cells that splinter into 2000 to 3000 fragments. •Each fragment, enclosed by a piece of the plasma membrane, is a platelet. Platelets break off from the megakaryocytes in red bone marrow and then enter the blood circulation •Between 150,000 and 400,000 platelets are present in each microliter of blood.
  • 216.
    •Each is irregularlydisc-shaped, 2–4 m in diameter, and has many vesicles but no nucleus. •Their granules contain chemicals that, once released, promote blood clotting. •Platelets help stop blood loss from damaged blood vessels by forming a platelet plug. •Platelets have a short life span, normally just 5 to 9 days. •Aged and dead platelets are removed by fixed macrophages in the spleen and liver.
  • 217.
  • 218.
    Aand BAntigens—Agglutinogens •ABO BloodGroup •The ABO blood group is based on two glycolipid antigens called A and B. •People whose RBCs display only antigen A have type A blood. •Those who have only antigen B are type B. •Individuals who have both A and B antigens are type AB •Who have neither antigen A nor B are type O.
  • 221.
  • 222.
    •Because of theway these agglutinogens are inherited, people may have 1- Neither of them on their cells 2- They may have one 3- They may have both simultaneously.
  • 223.
    Abundance of BloodGroupTypes. •The prevalence of the different blood types among one group of persons studied was approximately: •It is obvious from these percentages that the O and A genes occur frequently, whereas the B gene is infrequent – This classification is US Based Blood Group Abundance O 47 A 41 B 9 AB 3
  • 225.
    Agglutinins •Blood plasma usuallycontains antibodies called agglutinins that react with the A or B antigens if the two are mixed. •These are the anti-A antibody, which reacts with antigen A, and the anti-B antibody, which reacts with antigen B. •The antibodies present in each of the four blood types
  • 226.
    •You do nothave antibodies that react with the antigens of your own RBCs, but you do have antibodies for any antigens that your RBCs lack. •For example, if your blood type is B, you have B antigens on your red blood cells, and you have anti-A antibodies in your blood plasma.
  • 229.
    BloodTransfusions •Despite the differencesin RBC antigens reflected in the blood group systems, blood is the most easily shared of human tissues, saving many thousands of lives every year through transfusions •A transfusion is the transfer of whole blood or blood components (red blood cells only or blood plasma only) into the bloodstream or directly into the red bone marrow.
  • 230.
    •A transfusion ismost often given to alleviate anemia, to increase blood volume (for example, after a severe hemorrhage), or to improve immunity. •However, the normal components of one person’s RBC plasma membrane can trigger damaging antigen– antibody responses in a transfusion recipient
  • 231.
    TransfusionReactions •In an incompatibleblood transfusion, antibodies in the recipient’s plasma bind to the antigens on thedonated RBCs, which causes agglutination, or clumping, of the RBCs. •Agglutination is an antigen–antibody response in which RBCs become cross-linked to one another. •When these antigen–antibody complexes form, they activate plasma proteins of the complement family
  • 232.
    •Complement molecules makethe plasma membrane of the donated RBCs leaky.Causing hemolysis or rupture of the RBCs and the release of hemoglobin into the blood plasma •The liberated hemoglobin may cause kidney damage by clogging the filtration membranes
  • 233.
    Kidneyin BloodReactions •The kidneyshutdown seems to result from three causes: •First, the antigen-antibody reaction of the transfusion reaction releases toxic substances from the hemolyzing blood that cause powerful renal vasoconstriction •Second, loss of circulating red cells in the recipient, along with production of toxic substances from the hemolyzed cells and from the immune reaction, often causes circulatory shock
  • 234.
    renal •The arterial bloodpressure falls very low, and blood flow and urine outputdecrease. •Third, if the total amount of free hemoglobin released into the circulating blood is greater than the quantity that canbind with “haptoglobin” •Much of the excess leaks through the glomerular membranes into the kidney tubules. •If the amount is great, then only a small percentage is reabsorbed.
  • 235.
    •Yet water continuesto be reabsorbed, causing the tubular hemoglobin concentration to rise so high that the hemoglobin precipitates and blocks many of the kidney tubules. •Consider what happens if a person with type A blood receives a transfusion of type B blood. •The recipient’s blood (type A) contains A antigens on the red blood cells and anti-B antibodies in the plasma. •Thedonor’s blood (type B) contains B antigens and anti-A antibodies.
  • 236.
    UniversalReceipents •People with typeAB blood do not have anti-A or anti-B antibodies in their blood plasma. •They are sometimes called universal recipients because theoretically they can receive blood from donors of all four blood types
  • 237.
    UniversalDonors •They have noantibodies to attack antigens on donated RBCs. •People with type O blood have neither A nor B antigens on their RBCs and are sometimes called universal donors because theoretically they can donate blood to all four ABO blood types. •Type O persons requiring blood may receive only type O blood
  • 238.
    RhFactor • Another groupof antigens found on the red blood cells of most people is the Rh factor (named for the rhesus monkey, in which these antigens were first discovered) •There are a number of different antigens in this group, but one stands out because of its medical significance. This Rh antigen is termed D, and is often indicated as Rho(D).
  • 239.
    •If this Rhantigen is present on aperson’s red blood cells, the person is Rh positive; if it is absent, the person is Rh negative. •Those who lack Rh antigens are designated Rh (Rh negative) •Normally, blood plasma does not contain anti-Rh antibodies naturally, but are synthesized if Rh negative person receives Rh positive blood. •Rh antibodies are mainly IgG but ABO antibodies mainly IgM type .
  • 240.
    •If an Rhperson receives an Rh blood transfusion, no hemolysis of transfused RBC, However, the immune system starts to make anti-Rh antibodies that will remain in the blood. •On second transfusion of Rh posative blood is given later to same sensitized person, the previously formed anti-Rh antibodies will cause agglutination and hemolysis of the RBCs in the donated blood.
  • 241.
  • 243.
    TypingandCross-Matching •Typing and Cross-MatchingBlood for Transfusion •Toavoid blood-type mismatches, laboratory technicians type the patient’s blood and then either cross-match it to potential donor blood or screen it for the presence of antibodies. •Tests done before transfusion: • Typing of blood (find ABO and Rh blood type of both) •Cross matching (recipient blood incubated with RBC of donor to find any antigen antibody reaction) •Test for infective agents (hepatitis, HIV, CMV, Maleria)
  • 245.
    Complication of TransfusionReactions: •Incompitable blood transfusion •Non hemolytic febrile reactions •Allergic reactions •Hyperkalemia •Hypocalcemia •Transmission of infection •Hemosiderosis •Circulatory failure
  • 246.
  • 247.
    Blood Clotting •When ablood vessel is injured, a number of physiological mechanisms are activated that promote hemostasis, or the cessation of bleeding ( hemo = blood; stasis = standing) •Breakage of the endothelial lining of a vessel exposes collagen proteins from the subendothelial connective tissue to the blood
  • 248.
    •This initiates threeseparate, but overlapping, hemostatic mechanisms: 1 Vascular Spasm 2 The formation Of a platelet plug 3 Formation of a blood clot as a result of blood coagulation 4 The production of a web of fibrin proteins that penetrates and surrounds the platelet plug
  • 249.
    1- VascularSpasm •When arteriesor arterioles are damaged, the circularly arranged smooth muscle in their walls contracts immediately, a reaction called vascular spasm •This instantaneously reduces the flow of blood from the ruptured vessel.
  • 250.
    •The contraction resultsfrom 1 Local myogenic spasm 2 Local autacoid factors from the traumatized tissues and blood platelets 3 Nervous reflexes
  • 251.
    •Thenervous reflexes areinitiated by pain nerve impulses or other sensory impulses that originate from the traumatized vessel or nearby tissues. •However, even more vasoconstriction probably results from local myogenic contraction of the blood vessels initiated by direct damage to the vascular wall
  • 252.
    •And, for thesmaller vessels, the platelets are responsible for much of the vasoconstriction by releasing a vasoconstrictor substance, thromboxane A2 •The more severely a vessel is traumatized, the greater the degree of vascular spasm. •The spasm can last for many minutes or even hours, during which time the processes of platelet plugging and blood coagulation can take place
  • 253.
    2- Platelet PlugFormation •Consideringtheir small size, platelets store an impressive array of chemicals. •Within many vesicles are*; - Ca2+ - Clotting factors - ADP - ATP - Serotonin. - Enzymes that produce thromboxane A2* - Fibrin-stabilizing factor: This helps to strengthen a blood clot - Lysosomes - Mitochondria
  • 254.
    •Platelets contain actinand myosin molecules, which are contractile proteins similar to those found in muscle cells •Still another contractile protein, thrombosthenin, that can cause the platelets to contract •Residuals of both the Endoplasmic Reticulum and the Golgi apparatus that synthesize various enzymes and especially store large quantities of calcium ions
  • 255.
    •The cell membraneof the platelets is also important. •On its surface is a coat of glycoproteins that repulses adherence to normal endothelium •And yet causes adherence to injured areas of the vessel wall, especially to injured endothelial cells and even more so to any exposed collagen from deep within the vessel wall.
  • 256.
    •Platelets also containplatelet-derived growth factor (PDGF) •This is a hormone that can cause proliferation of - Vascular endothelial cells - Vascular smooth muscle fibers - Fibroblasts •These all processes help repair damaged blood vessel walls.
  • 257.
    Mechanism of thePlateletPlug • Platelet plug formation occurs as follows: •1- Initially, platelets contact and stick to parts of a damaged blood vessel, such as collagen fibers of the connective tissue underlying the damaged endothelial cells •This process is called platelet adhesion
  • 258.
  • 259.
    •2- Due toadhesion, the platelets become activated, and their characteristics change dramatically. •They extend many projections that enable them to contact and interact with one another, and they begin to liberate the contents of their vesicles •This phase is called the platelet release reaction.
  • 260.
    •Liberated ADP andthromboxane A2 play a major role by activating nearby platelets •Serotonin and thromboxane A2 function as vasoconstrictors, causing and sustaining contraction of vascular smooth muscle •This decreases blood flow through the injured vessel
  • 261.
  • 262.
    •3- The releaseof ADP makes other platelets in the area sticky •The stickiness of the newly recruited and activated platelets causes them to adhere to the originally activated platelets. •This gathering of platelets is called platelet aggregation. •Eventually, the accumulation and attachment of large numbers of platelets form a mass called a platelet plug.
  • 263.
  • 264.
    •A platelet plugis very effective in preventing blood loss in a small vessel. •Although initially the platelet plug is loose, it becomes quite tight when reinforced by fibrin threads formed during clotting •A platelet plug can stop blood loss completely if the hole in a blood vessel is not too large.
  • 265.
    3- BloodClotting •The thirdmechanism for hemostasis is formation of the blood clot. •The clot begins to develop in 15 to 20 seconds if the trauma to the vascular wall has been severe, and in 1 to 2 minutes if the trauma has been minor
  • 266.
    •Within 3 to6 minutes after rupture of a vessel, if the vessel opening is not too large, the entire opening or broken end of the vesselis filled withclot. •After 20 minutes to an hour, the clot retracts; this closes the vessel still further. Platelets also play an important role in this clot retraction
  • 267.
    Mechanism Of BloodClotting •Activatorsubstances initiate the clotting process •These activator substances are secreted from: - from the traumatized vascular wall - from platelets - from blood proteins adhering to the traumatized vascular wall
  • 268.
    •Clotting involves severalsubstances known as clotting (coagulation) factors. •These factors include - Calcium ions (Ca2+) - Several inactive enzymes (that are synthesized by hepatocytes) released into the bloodstream - Various molecules associated with platelets or released by damaged tissues.
  • 269.
    BasicTheory •More than 50important substances that cause or affect blood coagulation have been found in the blood and in the tissues •Some that promote coagulation, called procoagulants, and others that inhibit coagulation, called anticoagulants
  • 270.
    •Whether blood willcoagulate depends on the balance between these two groups of substances •In the blood stream, the anticoagulants normally predominate, so that the blood does not coagulate while it is circulating in the blood vessels •But when a vessel is ruptured, procoagulants from the area of tissue damage become “activated” and override the anticoagulants, and then a clot does develop
  • 271.
    •Normally, blood remainsin its liquid form as long as it stays within its vessels. •If it is drawn from the body, however, it thickens and forms a gel. •Eventually, the gel separates from the liquid. The gel is called a blood clot. •The straw-colored liquid, called serum, is simply blood plasma minus the clotting proteins.
  • 272.
    •The gel consistsof a network of insoluble protein fibers called fibrin in which the formed elements of blood are trapped . •The process of gel formation, called clotting or coagulation is a series of chemical reactions that culminates in formation of fibrin threads. •If blood clots too easily, the result can be thrombosis ( thromb: clot; -osis: a condition of) —clotting in an undamaged blood vessel. •If the blood takes too long to clot, hemorrhage can occur
  • 273.
    Initiation of Coagulation: Formationof Prothrombin Activator
  • 274.
    •Clotting is acomplex cascade of enzymatic reactions in which each clotting factor activates many molecules of the next one in a fixed sequence. •Finally, a large quantity of product (the insoluble protein fibrin) is formed. •Mechanisms that initiate clotting are set into play by 1 Trauma to the vascular wall and adjacent tissues 2 Trauma to the blood 3 Contact of the blood with damaged endothelial cells or with collagen and other tissue elements outside the blood vessels
  • 275.
    •In each instance,this leads to the formation of prothrombin activator or prothrombinase which then causes prothrombin conversion to thrombin and all the subsequent clotting steps. •Prothrombin activator is generally considered to be formed in two ways: 1) by the extrinsic pathway: that begins with trauma to the vascular wall and surrounding tissues 2) by the intrinsic pathway that begins in the blood itself
  • 276.
    •Clotting can bedivided into three stages •1- Two pathways, called the extrinsic pathway and the intrinsic pathway, lead to the formation of prothrombinase. •Once prothrombinase is formed, the steps involved in the next two stages of clotting are the same for both the extrinsic and intrinsic pathways, and together these two stages are referred to as the common pathway.
  • 277.
    •2- Prothrombinase convertsprothrombin (a plasma protein formed by the liver) into the enzyme thrombin. •3- Thrombin converts soluble fibrinogen (another plasma protein formed by the liver) into insoluble fibrin. Fibrin forms the threads of the clot.
  • 278.
  • 281.
    1- ExtrinsicPathway •It isso named because a tissue protein called tissue factor (TF), also known as thromboplastin, leaks into the blood from cells outside (extrinsic to) blood vessels and initiates the formation of prothrombinase •The extrinsic Pathway has following steps:
  • 282.
    1. Release ofTissueFactor. •Traumatized tissue releases a complex of several factors called tissue factor or tissue thromboplastin. •This factor is composed especially of phospholipids from the membranes of the tissue plus a lipoprotein complex that functions mainly as a proteolytic enzyme.
  • 283.
    2. Activation ofFactor VII &X •The lipoprotein complex of tissue factor further complexes with blood coagulation Factor VII •Then in the presence of calcium ions, acts enzymatically on Factor X to form activated Factor X (Xa)
  • 284.
    3. Effectof activatedFactor X(Xa) •The activated Factor X combines immediately with Factor V to form the complex called prothrombin activator or prothrombinase •Within a few seconds, in the presence of calcium ions (Ca++), this splits prothrombin to form thrombin, and the clotting process proceeds
  • 286.
    2- IntrinsicPathway •The secondmechanism for initiating formation of prothrombin activator, hence, for initiating clotting •It begins with trauma to the blood itself or exposure of the blood to collagen from a traumatized blood vessel wall •Then the process continues through the series of cascading reactions
  • 287.
    • 1-Trauma tothe blood or exposure of the blood to vascular wall collagen alters two important clotting factors in the blood: Factor XII and the platelets. • Trauma to endothelial cells causes damage to platelets, resulting in the release of phospholipids by the platelets, that contain the lipoprotein called platelet factor 3 • When Factor XII is disturbed, such as by coming into contact with collagen or with a wettable surface such as glass, it takes on a new molecular configuration that converts it into a proteolytic enzyme called "activated Factor XII." • 1. Blood trauma causes: A- Activation of Factor XII B- Release of platelet phospholipids.
  • 288.
    2. Activation ofFactorXI. •The activated Factor XII acts enzymatically on Factor XI to activate this factor as well, which is the second step in the intrinsic pathway. •This reaction requires HMW (high-molecular-weight) kininogen and is accelerated by prekallikrein
  • 289.
    •3. Activation ofFactor IX •The activated Factor XI then acts enzymatically on Factor IX to activate this factor also. • 4. Activation of Factor X •The activated Factor IX, acting in concert with activated Factor VIII and with the platelet phospholipids and factor 3 from the traumatized platelets, activates Factor X
  • 290.
    •Factor VIII isthe factor that is missing in a person who has classic hemophilia, •For which reason factor VII is called antihemophilic factor. •Platelets are the clotting factor that is lacking in the bleeding disease called thrombocytopenia
  • 291.
    5. Action ofactivated FactorX •The activated Factor X combines with Factor V and platelet or tissue phospholipids to form the complex called prothrombin activator. •The prothrombin activator in turn initiates within seconds the cleavage of prothrombin to form thrombin, thereby setting into motion the final clotting process, as described earlier
  • 293.
    Difference between intrinsicand extrinsicpathway •Tissue factor initiates the extrinsic pathway, whereas contact of Factor XII and platelets with collagen in the vascular wall initiates the intrinsic pathway. •An especially important difference between the extrinsic and intrinsic pathways is that the extrinsic pathway can be explosive; once initiated, its speed of completion to the final clot is limited only by the amount of tissue factor released from the traumatized tissues and by the quantities of Factors X, VII, and V in the blood. With severe tissue trauma, clotting can occur in as little as 15 seconds. •The intrinsic pathway is much slower to proceed, usually requiring 1 to 6 minutes to cause clotting.
  • 294.
    TheCommonPathway •The formation ofprothrombinase marks the beginning of the common pathway. •In the second stage of blood clotting, prothrombinase and Ca2+ catalyze the conversion of prothrombin to thrombin. • In the third stage, thrombin, in the presence of Ca2+, converts fibrinogen, which is soluble, to loose fibrin threads, which are insoluble •Thrombin also activates factor XIII (fibrin stabilizing factor), which strengthens and stabilizes the fibrin threads into a sturdy clot
  • 297.
    Roleof CalciumIons •Role ofCalcium Ions in the Intrinsic and Extrinsic Pathways: •Except for the first two steps in the intrinsic pathway, calcium ions are required for promotion or acceleration of all the blood-clotting reactions. •Therefore, in the absence of calcium ions, blood clotting by either pathway does not occur
  • 298.
    Conversion of FibrinogentoFibrin— Formation of the Clot •Fibrinogen. •Fibrinogen is a high-molecular-weight protein (MW = 340,000) that occurs in the plasma in quantities of 100 to 700 mg/dl. •Fibrinogen is formed in the liver, and liver disease can decrease the concentration of circulating fibrinogen,
  • 299.
    Action of Thrombinon Fibrinogen to FormFibrin •Thrombin is a protein enzyme with weak proteolytic capabilities. •It acts on fibrinogen to remove fourlow-molecular weight peptides from each molecule of fibrinogen, •Thus, forming one molecule of fibrin monomer that has the automatic capability to polymerize with other fibrin monomer molecules to form fibrinfibers.
  • 300.
    •Therefore, many fibrinmonomer molecules polymerize within seconds into long fibrin fibers that constitute the reticulum of the blood clot •In the early stages of polymerization, the fibrin monomer molecules are held together by weak noncovalent hydrogen bonding •But another process occurs during the next few minutes that greatly strengthens the fibrinreticulum •This involves a substance called fibrin-stabilizing factor that is present in small amounts in normal plasma globulins but is also released from platelets entrapped in the clot
  • 301.
    Blood Clot •The clotis composed of a meshwork of fibrin fibers running in all directions and entrapping blood cells, platelets, and plasma. •The fibrin fibers also adhere to damaged surfaces of blood vessels •Therefore, the blood clot becomes adherent to any vascular opening and thereby prevents further blood loss
  • 302.
    ClotRetraction • Once aclot is formed, it plugs the ruptured area of the blood vessel and thus stops blood loss. • Clot Retraction is the consolidation or tightening of the fibrin clot. • The fibrin threads attached to the damaged surfaces of the blood vessel gradually contract as platelets pull on them. • During retraction, some serum can escape between the fibrin threads, but the formed elements in blood cannot. • Platelets are necessary for clot retraction to occur. Failure of clot retraction is an indication that the number of platelets in the circulating blood might be low.
  • 303.
    • platelets inblood clots become attached to the fibrin fibers in such a way that they actually bond different fibers together. • Platelets entrapped in the clot continue to release procoagulant substances,most important of which is fibrin-stabilizing factor i.e Factor XIII, Which causes more cross-linking bonds between adjacent fibrin fibers. • Platelets contribute directly to clot contraction by activating platelet thrombosthenin, actin, and myosin molecules, which cause strong contraction of the platelet spicules attached to the fibrin. This also helps compress the fibrin meshwork into a smaller mass. • The contraction is activated and accelerated by thrombin, as well as by calcium ions released from calcium stores in the mitochondria, endoplasmic reticulum, and Golgi apparatus of the platelets. • In time, fibroblasts form connective tissue in the ruptured area, and new endothelial cells repair the vessel lining
  • 304.
    Roleof Vitamin KinClotting •Normalclotting depends on adequate levels of vitamin K in the body. •Although vitamin K is not involved in actual clot formation, it is required for the synthesis of four clotting factors 2,7,8, •People suffering from disorders that slow absorption of lipids (for example, inadequate release of bile into the small intestine) often experience uncontrolled bleeding as a consequence of vitamin K deficiency.
  • 305.
    • Prevention ofBlood Clotting in the Normal Vascular System- (Intravascular Anticoagulants ,Endothelial Surface Factors) • Most important factors for preventing clotting in the normal vascular system are • (1) the smoothness of the endothelial cell surface, which prevents contact activation of the intrinsic clotting system; • (2) Layer of glycocalyx on the endothelium (glycocalyx is a mucopolysaccharide adsorbed to the surfaces of the endothelial cells), which repels clotting factors and platelets, thereby preventing activation of clotting • (3) a protein bound with the endothelial membrane, thrombomodulin, which binds thrombin. Not only does the binding of thrombin with thrombomodulin slow the clotting process by removing thrombin, but the thrombomodulin-thrombin complex also activates a plasma protein, protein C, that acts as an anticoagulant by inactivating activated Factors V and VIII. • When the endothelial wall is damaged, its smoothness and its glycocalyx- thrombomodulin layer are lost, which activates both Factor XII and the platelets, thus setting off the intrinsic pathway of clotting. If Factor XII and platelets come in contact with the subendothelial collagen, the activation is even more powerful
  • 306.
    •Antithrombin Action ofFibrin and Antithrombin III • Among the most important anticoagulants in the blood are those that remove thrombin from the blood. The most powerful of these are (1) the fibrin fibers that are formed during the process of clotting and (2) an alpha-globulin called antithrombin III or antithrombin-heparin cofactor. • While a clot is forming, about 85 to 90 percent of the thrombin formed from the prothrombin becomes adsorbed to the fibrin fibers as they develop. This helps prevent the spread of thrombin into the remaining blood and, therefore, prevents excessive spread of the clot. • The thrombin that does not adsorb to the fibrin fibers soon combines with antithrombin III, which further blocks the effect of the thrombin on the fibrinogen and then also inactivates the thrombin itself during the next 12 to 20 minutes.
  • 307.
    Anticlotting Systems •In addition,substances that delay, suppress, or prevent blood clotting, called anticoagulants, are present in blood. •These include antithrombin, which blocks the action of several factors.
  • 308.
    •Heparin, an anticoagulantthat is produced by mast cells and basophils, combines with antithrombin and increases its effectiveness in blocking thrombin. •Another anticoagulant, activated protein C (APC), inactivates the two major clotting factors (VIII, V) not blocked by antithrombin and enhances activity of plasminogen activators. •Babies that lack the ability to produce APC due to a genetic mutation usually die of blood clots in infancy
  • 309.
    Anticoagulants for ClinicalUse •Heparin( Intravenousform) • Anticoagulant Commercial heparin is extracted from several different animal tissues and prepared in almost pure form. • The heparin molecule is a highly negatively charged conjugated polysaccharide. By itself, it has little or no anticoagulant properties, but when it combines with antithrombin III, the effectiveness of antithrombin III for removing thrombin increases by a hundredfold to a thousandfold, and thus it acts as an anticoagulant. • Therefore, in the presence of excess heparin, removal of free thrombin from the circulating blood by antithrombin III is almost instantaneous. • The complex of heparin and antithrombin III removes several other activated coagulation factors in addition to thrombin, further enhancing the effectiveness of anticoagulation. The others include activated Factors XII, XI, X, and IX
  • 310.
    •Injection of relativelysmall quantities, about 0.5 to 1 mg/kg of body weight, causes the blood-clotting time to increase from a normal of about 6 minutes to 30 or more minutes •Furthermore, this change in clotting time occurs instantaneously, thereby immediately preventing or slowing further development of a thromboembolic condition •The action of heparin lasts about 1.5 to 4 hours. •The injected heparin is destroyed by an enzyme in the blood known as heparinase
  • 311.
    CoumarinsasAnticoagulants •When a coumarin,such as warfarin, is given to a patient, the plasma levels of prothrombin and Factors VII, IX, and X, all formed by the liver begin to fall indicating that warfarin has a potent depressant effect on liver formation of these compounds • Warfarin causes this effect by inhibiting the enzyme, vitamin K epoxide reductase complex 1 (VKOR c1). As discussed previously, this enzyme converts the inactive, oxidized form of vitamin K to its active, reduced form. By inhibiting VKOR c1, warfarin decreases the available active form of vitamin K in the tissues. When this occurs, the coagulation factors are no longer carboxylated and are biologically inactive
  • 312.
    Lysis of BloodClots-Plasmin •The plasma proteins contain a euglobulin called plasminogen (or profibrinolysin) that, when activated, becomes a substance called plasmin (or fibrinolysin). • Plasmin is a proteolytic enzyme that resembles trypsin, the most important proteolytic digestive enzyme of pancreatic secretion. • Plasmin digests fibrin fibers and some other protein coagulants such as fibrinogen, Factor V, Factor VIII, prothrombin, and Factor XII. Therefore, whenever plasmin is formed, it can cause lysis of a clot by destroying many of the clotting factors, thereby sometimes even causing hypocoagulability of the blood
  • 313.
    •Activation of Plasminogento Form Plasmin ( Lysis of Clots ) • When a clot is formed, a large amount of plasminogen is trapped in the clot along with other plasma proteins. • This will not become plasmin or cause lysis of the clot until it is activated. The injured tissues and vascular endothelium very slowly release a powerful activator called tissue plasminogen activator (t-PA) that a few days later, after the clot has stopped the bleeding, eventually converts plasminogen to plasmin, • which in turn removes the remaining unnecessary blood clot. • Small blood vessels in which blood flow has been blocked by clots are reopened by this mechanism. • Thus, an especially important function of the plasmin system is to remove minute clots from millions of tiny peripheral vessels that eventually would become occluded were there no way to clear them.
  • 315.