1
COPD
Chronic Obstructive Pulmonary Disease
(Y3)
PGS. Lê Thị Kim Nhung
2
Đaïi cương
Ñònh nghóa COPD
„ COPD laø moät beänh coù theå döï phoøng vaø ñieàu trò
ñöôïc, vôùi nhöõng aûnh höôûng ngoaøi phoåi ñaùng keå coù
theå goùp phaàn vaøo möùc ñoä naëng cuûa beänh.
„ Toån thöông ñaëc tröng ôû phoåi laø taéc ngheõn luoàng
khí khoâng hoài phuïc hoaøn toaøn.
„ Taéc ngheõn luoàng khí thöôøng tieán trieån daàn vaø keát
hôïp vôùi ñaùp öùng vieâm baát thöôøng cuûa phoåi vôùi khí
haït ñoäc haïi.
3
Đaïi cương
Dòch teã COPD
„ Khoaûng 6% daân soá TG, ¼ ngöôøi treân 40 tuoåi
coù theå bò taéc ngheõn doøng khí.
„ 12 nöôùc CA-TBD öôùc tính 6.3% >30 tuoåi maéc
beänh
„ Thaáp nhaát: Hoàng Koâng, Singapore: 3.5%
„ Cao nhaát: Vieät Nam:6.3%
4
Đaïi cương
ÖÔÙC TÍNH BN MAÉC COPD ÔÛ VN
DS 2006
TÆ LEÄ
HUÙT
THUOÁC
TÆ LEÄ
Ko HUÙT
THUOÁC
COPD
COÙ HUÙT
THUOÁC
COPD
Ko HUÙT
THUOÁC
TOÅNG
SOÁ
COPD
ÖÔÙC
TÍNHDS≥15
Tuoåi 32% 68% 4,2% 1,2%
Soá
ngöôøi
öôùc tính
20.089.600 42.690.400 843.763 512.285 1.356.048
5
Đaïi cương
TÆ LEÄ MAÉC COPD NHOÙM ≥ 40 TUOÅI ÔÛ VN
7.1
1.9
3.3 3.6
4.7
5.7
4.6
1.9
0
1
2
3
4
5
6
7
8
Nam Nöõ Thaønh
thò
Mieàn
nuùi
Noâng
thoân
Baéc Trung Nam
6
Đaïi cương
Tæ leä maéc beänh vaø tæ leä töû vong
Tæ leä maéc beänh & tæ leä töû vong: taêng theo tuoåi.
 Tæ leä maéc beänh: nam > nöõ, tæ leä töû vong: nam # nöõ.
 Tæ leä maéc beänh  ôû gia ñình coù tình traïng
khuyeát, thieáu 1 Antitrypsin.
 COPD gia taêng toaøn caàu, nhaát laø khoùi coâng
nghieäp cuûa caùc nöôùc ñang phaùt trieån.
7
1990 2020
Thieáu maùu cô tim
Beänh maïch maùu naõo
NT hoâ haáp döôùi
Tieâu chaûy
Beänh lyù chu sinh
COPD
Beänh lao
Sôûi
Tai naïn giao thoâng
Ung thö phoåi
Ung thö daï daøy
HIV
Töï töû
6th
3rd
Murray & Lopez. Lancet 1997
Đaïi cương
Töû vong trong töông lai
1990 2020
Thieáu maùu cô tim
Beänh maïch maùu naõo
NT hoâ haáp döôùi
Tieâu chaûy
Beänh lyù chu sinh
COPD
Beänh lao
Sôûi
Tai naïn giao thoâng
Ung thö phoåi
1990 2020
Thieáu maùu cô tim
Beänh maïch maùu naõo
NT hoâ haáp döôùi
Tieâu chaûy
Beänh lyù chu sinh
COPD
Beänh lao
Sôûi
Tai naïn giao thoâng
Ung thö phoåi
1990 2020
Thieáu maùu cô tim
Beänh maïch maùu naõo
NT hoâ haáp döôùi
Tieâu chaûy
Beänh lyù chu sinh
COPD
Beänh lao
Sôûi
Tai naïn giao thoâng
Ung thö phoåi
1990 2020
Thieáu maùu cô tim
Beänh maïch maùu naõo
NT hoâ haáp döôùi
Tieâu chaûy
Beänh lyù chu sinh
COPD
Beänh lao
Sôûi
Tai naïn giao thoâng
Ung thö phoåi
1990 2020
Thieáu maùu cô tim
Beänh maïch maùu naõo
NT hoâ haáp döôùi
Tieâu chaûy
Beänh lyù chu sinh
COPD
Beänh lao
Sôûi
Tai naïn giao thoâng
Ung thö phoåi
1990 2020
Thieáu maùu cô tim
Beänh maïch maùu naõo
NT hoâ haáp döôùi
Tieâu chaûy
Beänh lyù chu sinh
COPD
Beänh lao
Sôûi
Tai naïn giao thoâng
Ung thö phoåi
1990 2020
Thieáu maùu cô tim
Beänh maïch maùu naõo
NT hoâ haáp döôùi
Tieâu chaûy
Beänh lyù chu sinh
COPD
Beänh lao
Sôûi
Tai naïn giao thoâng
Ung thö phoåi
8
Đaïi cương
YEÁU TOÁ NGUY CÔ
Khoùi Thuoác laù
Buïi ngheà nghieäp
Khoùi thuoác trong
moâi tröôøng
OÂ nhieãm trong vaø
ngoaøi nhaø
DAÂN SOÁ
GIAØ
Tình traïng
dinh döôõng keùm
Nhieãm truøng
keùo daøi luùc treû
Kinh teá xaõ hoäi
thaáp
„ Huùt thuoác laù ≥20goùi-naêm
„ Naáu than cuûi ≥ 60 naêm
„ Laøm noâng ≥ 40 naêm
„ Tieàn caên lao phoåi
9
Đaïi cương
YEÁU TOÁ NGUY CÔ
 Khoùi thuoác: Laø yeáu toá nguy cô caên baûn cuûa
moïi quoác gia, Tuy nhieân chæ <15% ngöôøi huùt
thuoác phaùt sinh COPD. Huùt 40 goùi/naêm coù yù nghóa
tieân ñoaùn
 Khoùi chaát ñoát höõu cô: Naáu trong nhaø, khoâng
khí oâ nhieãm, Buïi ngheà nghieäp: coâng nhaân moû
kim loaïi, buïi boâng, cotton…
 Yeáu toá gen: thieáu huït 1Antitypsin laø NN quan
troïng gaây khí pheá thuõng ôû ngöôøi khoâng huùt
thuoác laù, vaø taêng khaû naêng maéc beänh ôû
ngöôøi coù caân naëng thaáp, treû em, huùt thuoác thuï
ñoäng.
10Belvisi MG. AJRCCM 2004;1:207
11
HEN
Yeáu toá nhaïy caûm
COPD
Yeáu toá ñoäc
Vieâm ñöôøng thôû kieåu hen
CD4+ T-lymphocytes
Eosinophils
COPD vieâm ñöôøng thôû kieåu COPD
CD8+ T-lymphocytes
Macrophages
Neutrophils
Giôùi haïn luoàng khíPhuïc hoài
hoaøn toaøn
Khoâng phuïc
hoài hoaøn
toaøn
12
Đaïi cương - SINH BEÄNH HOÏC
ÑAÙP ÖÙNG VIEÂM ÑÖÔØNG THÔÛ Ø& PHEÁ NANG
 YT khôûi ñoäng: Phôi nhieãm khoùi thuoác & buïi… taêng
hoaït tính cuûa protease & Antiprotease.
Protease ôû phoåi hoaït tính (Neutrophile- elastase, Maltrix-
metalloproteinase, cathepsins)phaù vôõ elastin, moâ lieân
keát.
 YT caân baèng:.
Antiprotease caân baèng hieän töôïng treân (1 Antitrypsin).
 COPD: Hoaït hoùa Neutrophil & macrophage (quaù möùc
so vôùi Antiprotease):
 moâ lieân keát bò phaù huûy   tieát nhaøy.
 Tích luõy goác töï do & caùc Ion aâm(peroxide hydrogen)  öùc
cheá Antiprotease  co thaét PQ, phuø maøng nhaøy &  tieát
nhaøy  taéc ngheõn khí ñaïo.
13
Đaïi cương
SINH BEÄNH HOÏC
 SBH chuû yeáu laø Giôùi haïn luoàng khí tieán trieån chaäm do
khí pheá thuõng vaø vieâm pheá quaûn maõn tính.
 Ñaùp öùng vieâm baát thöôøng: tieát nhaøy  nuùt nhaøy
&/hoaëc co thaét pheá quaûn  söùc caûn doøng khí 
 coâng hoâ haáp.
 Taêng coâng hoâ haáp   thoâng khí pheá nang - vôùi  O2
moâ,  CO2. COPD tieán trieån:  O2  CO2 maïn
 Thay ñoåi moâ hoïc: thaâm nhieãm vieâm quanh PN, phì ñaïi
cô trôn PQ & soaén vaën, maát vaùch PN tuùi khí (
1mm), tuùi khí coù theå roãng, hoaëc coù sôïi cô vaét qua
14
Đaïi cương
SINH BEÄNH HOÏC
 Ñaëc ñieåm cuûa vieâm trong COPD:
„ TB vieâm: BCÑNTT, ÑTB pheá nang, LymphoTCD8
„ Taêng hoaït tính men protease  Huûy hoaïi caáu truùc
 Haäu quaû cuûa vieâm trong COPD:
„ Taêng tieát ñaøm, taéc ngheõn ñöôøng thôû, baãy khí, baát
thöôøng trao ñoåi khí vaø taâm pheá maïn.
„ Suy kieät, teo cô, thieáu maùu, loaõng xöông, traàm caûm,
taêng nguy cô maéc beänh TM giaûm chaát löôïng soáng
 Giới hạn luồng khí thở ra: ứ khí mạn tính
 Phối hợp VPQ mạn và khí phế thũng
 RL tuần hoàn phổi: tăng áp ĐM phổi
15
Đaïi cương
VAI TROØ CUÛA VI KHUAÅN
 30% BN COPD coù H. Influenzae thöôøng truù ôû
ñöôøng hoâ haáp döôùi (bình thöôøng voâ truøng)
 BN naëng, naèm vieän daøi thöôøng gaëp P.aeruginosa
 Huùt thuoác & taéc ngheõn doøng khí  suy yeáu chöùc
naêng laøm saïch maøng nhaøy bieåu moâ hoâ haáp.
16
Chaån Đoaùn
Trieäu chöùng laâm saøng gôïi yù chaån ñoaùn
COPD laø beänh tieán trieån nhieàu naêm/ngöôøi coù tieàn söû
huùt thuoác laù 20 goùi-naêm/40-50 tuoåi:
 HO KEÙO DAØI: ho laø daáu hieäu sôùm, buoåi saùng, ko lieân
tuïc sau ñoù thöôøng xuyeân, ít gaëp ho maùu.
 KHAÏC ÑAØM: khaïc đàm maïn tính→gôïi yù COPD, Ñaøm
nhaøy, (vaøng hoaëc xanh: đợt cấp). Nếu >60ml ( ≠dãn PQ)
 KHOÙ THÔÛ: Maïn tính taêng daàn theo thôøi gian.
- Naëng leân khi gaéng söùc, keùo daøi dai daúng (moãi ngaøy),
- Thôû ngaén, khoâng saâu, thôû moâi (thôû ra mím moâi),
“huït hôi”,“thieáu khoâng khí”,“gaéng söùc maø thôû”,“khoø
kheø”ø - khi coù nhieãm truøng, tieán trieån nhanh neáu coøn huùt
thuoác
 Tieàn caên tieáp xuùc(nguy cô):Thuoác laù, buïi,khoùi than cuûi
17
Chaån Đoaùn
Khaùm laâm saøng gôïi yù chaån ñoaùn
Khoù thôû: nhanh noâng >20 l/phuùt, co keùo cô lieân söôøn
Khaùm phoåi: loàng ngöcï caêng phoàng, coá ñònh thì thôû
vaøo, hình thuøng, guø treân, vai nhoâ, cöû ñoäng caû khoái.
Hoâ haáp ñaûo nghòch, ran rít ngaùy, RRPN giaûm.
Suy tim phaûi: TM coå noåi ôû tö theá 450, khoù thôû khi naèm
ñaàu thaáp.
Caùc trieäu chöùng khaùc:
 Ñau ñaàu buoåi saùng (O2 & CO2), nguû gaät ban ngaøy, ngaùy
 Suït caân do hao moøn coâng HH, O2 , HC trung gian vieâm
  CHoùa
CÁC TRIỆU CHỨNG THƯỜNG GẶP
• Tuổi TB: 68.3 ± 10.1
• Nam/nữ: 7.6/1
• Khó thở: 95.5 %
• Ho: 92 %
• Khạc đàm: 82.1 %
• Đàm đục: 70.7 %
• Ran rít/ ngáy: 53.6/66.1%
• ALĐMP: 40.5 ± 12.2
18
Ngô Quý Châu –Nguyễn Thanh thủy (2013)
19
Chaån Đoaùn
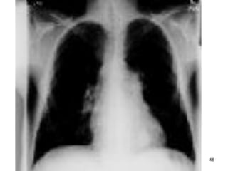
XQ NGÖÏC
Coù hình aûnh ñaëc tröng giuùp Δ() , nhöng khoâng ñeå Δ(+)
 Khí pheá thuõng, taêng thaâm nhieãm, cô hoaønh deït, tim
heïp,  tröôùc sau cuoáng phoåi, môû roäng khoaûng khoâng
sau xöông öùc (ÑM ôû trung taâm roäng hôn do taêng aùp ôû phoåi).
→ Khí pheá thuõng aûnh höôûng tôùi ñaùy phoåi, taêng saùng
ñeán maát nhu moâ
 Taêng goùc xöông öùc & tröôùc cô hoaønh.
 Daáu PQ-MM
 Thaát phaûi lôùn (beänh lyù tim-phoåi)
 CT scan ñaùnh giaù cöôøng ñoä vaø phaân boá khí pheá thuõng,
caùc baát thöôøng khaùc.
20
Chaån Đoaùn
XN HOÃ TRÔÏ
1. ABG (Arterial Blood Gas) khí maùu neân laøm
trong côn caáp.
2. 1Antitrypsin (COPD ngöôøi treû<45t, beänh
gan, treû em, ANCA(+), vieâm MM).
3. ECG: nhó phaûi lôùn (P pheá), phì ñaïi thaát phaûi
(R,R,
>S ôû V1, R<S ôû V6) truïc QRS
phaûi(>110o), block nhaùnh phaûi, loaïn nhòp nhó,
nhòp nhanh…)
4. ECHO tim chæ ñeå ñaùnh giaù chöùc naêng thaát P &
taêng aùp phoåi.
5. CTM ít giaù trò, HCT, HC (giaûm O2 maïn)
21
TRIEÄU CHÖÙNG
Ho
Khaïc ñaøm
Khoù thôû
TIEÁP XUÙC VÔÙI
CAÙC YEÁU TOÁ NGUY CÔ
Thuoác laù
Ngheà nghieäp
OÂ nhieãm trong nhaø
HOÂ HAÁP KYÙ
Hoâ haáp kyù
Chaån ñoaùn xaùc ñònh COPD

22
Chaån Đoaùn
Phaân möùc ñoä naëng COPD theo hoâ haáp kyù
BN coù: FEV1/FCV < 0.70:
Giai ñoaïn I: FEV1 ≥ 80% döï ñoaùn.
Giai ñoaïn II: 50% ≤ FEV1 < 80% döï ñoaùn
Giai ñoaïn III: 30% ≤ FEV1 < 50% döï ñoaùn
Giai ñoaïn IV: FEV1 < 30% döï ñoaùn (FEV1 < 50% DÑ + SHH maïn)
„ FEV1 (Forcefully Expired Volume in 1 sec) theå tích thôû ra gaéng
söùc trong giaây ñaàu tieân, sau khi ñaõ hít vaøo toái ña.
„ FVC (Forced Vital Capacity) V thôû ra toaøn phaàn vôùi löïc lôùn nhaát
„ FEV1 /FVC ñaùnh giaù möùc ñoä naëng & tæ leä töû vong.
„ FEV1 , FEV1 /FVC  xaùc nhaän möùc ñoä taéêc ngheõn doøng khí,
„ FEV1  coøn 1L BN khoù thôû trong sinh hoaït haèng ngaøy.
„ FEV1  coøn 0.8L coù nguy cô  O2, CO2 & beänh lyù tim phoåi.
- Nhieàu tröôøng hôïp COPD chöa ñöôïc chaån ñoaùn (taïi Anh: 3.5trieäu
maéc COPD, chæ coù 835.000 ñöôïc chaån ñoaùn) boû soùt giai ñoaïn I & II.
- COPD thöôøng chæ ñöôïc ñieàu trò gñ III vaø IV
23
Chaån Đoaùn
Chaån ñoaùn phaân bieät
COPD
-khôûi phaùt ôû ngöôøi >40t
-Caùc Tr/ch tieán trieån töø töø
-tieàn söû huùt thuoác laù laâu ngaøy
-Khoù thôû khi vaän ñoäng
-Taéc ngheõn luoàng khí khoâng
hoài phuïc sau test daõn PQ
Hen PQ
-Khôûi phaùt ôû ngöôøi treû
-Tr/ch thay ñoåi töøng ngaøy
roõ veà ñeâm vaø saùng
- ± Tieàn söû gia ñình coù hen
-Hay coù vieâm muõi dò öùng, meà
ñay, chaøm
-Taéc ngheõn luoàng khí hoài
phuïc sau test daõn PQ >12%
Suy tim
öù huyeát
-± Tieàn söû beänh tim
-X.quang: boùng tim to
- Pheá dung kyù khoâng coù hoäi
chöùng taéc ngheõn
Daõn pheá
quaûn
-Khaïc ñaøm quanh naêm
-hay bò nhieãm truøng hoâ haáp
CT.scan coù hình aûnh daõn PQ
GOLD 2011
C D
A B
24
NguycơTiềnSửđợtcấp
mMRC: 0-1
CAT: ≤ 10
mMRC: ≥ 2
CAT: >10
≥2≤1
Triệu chứng
CAT: (COPD Assessment Test): (câu 0-5đ) x 8
mMRC: (modified Medical Research Council): độ 0-4
GOLD 2011: đánh giá toàn diện hơn về tình trạng sức khỏe và nguy cơ
25
Chaån Đoaùn
Caùc beänh ñoàng maéc trong COPD
1. Hoâ haáp K pheá quaûn (NC↑2-6 laàn), Vieâm phoåi, ngöng
thôû khi nguû
2. Tuaàn hoaøn TMCT, NMCT, Xô cöùng ÑM ngoaïi bieân
3. Tieâu hoùa Vieâm thöïc quaûn, Vieâm loeùt daï daøy
4. Huyeát hoïc Thieáu maùu maïn tính
5. Noäi tieát ÑTÑ, Hoäi chöùng chuyeån hoùa
6. Cô xöông Loaõng xöông, teo cô, Suy kieät
7. Taâm thaàn kinh Traàm caûm, lo aâu
TORCH: 84% có ít nhất 1 bệnh đồng mắc
N.Q.Châu: 32.1% THA, ĐTĐ: 8.9%
26
Chaån Đoaùn
ÑAËC ÑIEÅM COPD NGÖÔØI LÔÙN TUOÅI
1. Cöû ñoäng loàng ngöïc giaûm:voâi hoùa suïn, khôùp; teo cô HH
2. Theå tích phoåi giaûm:suïn PQ thoaùi hoùa, nhu moâ ñaøn
hoài
3. Giaûm O2 vaøo pheá nang: bieåu moâ PQ daøy, bong ra,
chaát nhaøy, xô quanh PQ taêng.
4. Taêng NC nhieãm truøng:nhung mao , ñeà khaùng , NT
kín ñaùo, lan nhanh, deã SHH, phuïc hoài
keùm.
5. RL noäi moâi, RL nhòp tim.
6. Ñôït caáp daøy hôn,naèm vieändaøi hôn, NC töû vong caohôn.
7. Deã nhaàm, queân thuoác, K.soaùt Tr/ch  deã bò côn caáp.
8. Taäp luyeän chuù yù beänh tim maïch phoái hôïp.
27
III. ÑIEÀU TRÒ COPD OÅN ÑÒNH
Muïc ñích:
„ Ngaên ngöøa côn caáp, giaûm caùc trieäu chöùng
„ Caûi thieäân chöùc naêng phoåi & cô theå
Bao goàm:
1. Cai thuoác laù
2. O2
3. Thuoác
4. Taäp luyeän
5. Taêng cöôøng dinh döôõng
6. Phuïc hoài chöùc naêng phoåi
7. Phaãu thuaät
28
Ñieàu trò copd oån ñònh
Cai thuoác vaø giaûm caùc yeáu toá nguy cô
YTNC: T.Laù, Khoùi, buïi CN, oâ nhieãm KK.
 Cai thuoác coù hieäu quaû nhaát,  tieán trieån
COPD. ÑT thay theá nicotin (keïo gum, ngaäm
hoïng, xòt muõi - Bupropion)
 Giaùo duïc BN, nhoùm hoïp, trôï giuùp BN taêng
kieán thöùc, hieåu bieát veà COPD.
29
Ñieàu trò copd oån ñònh
Thuoác ÑT COPD oån ñònh
 Muïc ñích:
 Ngaên & kieåm soaùt Tr/ch
 ↓ taàn soá côn caáp
 Caûi thieän tình traïng söùc khoûe
 Caûi thieän dung naïp taäp luyeän
 ↓ Tr/ch, (khoâng giaûm ñöôïc phaù huûy chöùc naêng phoåi).
 Caùc thuoác:
 Giaõn PQ
 Corticoides
 Long Ñôøm
 Giaûm ho, KS, vaccin (caàn xem xeùt)
30
Ñieàu trò copd oån ñònh
Thuoác giaõn pheá quaûn
Bao goàm: Anticholinergics, 2-agonists, Theophylin.
Laø trung taâm quaûn lyù COPD, coù taùc duïng:
  Tr/ch côn caáp, dung tích taäp luyeän, Ko caûi thieän
FEV1
 Hít > uoáng: ít taùc duïng phuï, tieän ích, chi phí cao hôn.
 ÑT giaõn PQ keùo daøi hieäu quaû, tieän ích, chi phí cao.
 Hít > theophylin (theophylin coù ñoäc tính cao)…
 Phoái hôïp thuoác:  giaõn PQ ,  taùc duïng phuï so vôùi
lieàu thuoác giaõn PQ.
31
Ñieàu trò copd oån ñònh
VACCINE
+ Vaccin cuùm: taát caû BN COPD neân ñöôïc tieâm
phoøng haèng naêm, tröôùc muøa cuùm xaûy ra 1-2
thaùng.
+ Vaccin pheá caàu: chöa chöùng minh ñöôïc hieäu
quaû, neân söû duïng ngöôøi treân 65 tuoåi, 5 naêm
nhaéc laïi 1 laàn.
32
Ñieàu trò copd oån ñònh
OXY
Muïc tieâu: duy trì PaO2 >60mmHg, SaO2 >90%
„ O2 ñöa HCT veà bình thöôøng, caûi thieän taâm TK,
giaác nguû,  khaû naêng chòu ñöïng….
„ CÑ: gñ IV naëng PaO2 <55mmHg, SaO2 <88%
Hoaëc PaO2 55-60 mmHg, SaO2 89%
keøm daáu aùp phoåi, phuø ngoaïi vi, HCT
>55%.
„ Söû duïng O2 >15h/day % soáng soùt. Thôû 24h >12h.
„ BN phaûi ñöôïc höôùng daãn caùch SD O2:traùnh
löûa, ñi maùy bay…
33
Ñieàu trò copd oån ñònh
TAÄP THEÅ LÖÏC
„ BN COPD giaûm cô xöông do Ko hoaït ñoäng,
naèm vieän daøi.
„ Taäp cô hoâ haáp, ñi boä, xe ñaïp chaäm phuø hôïp
„ Taäp cô chi treân, taém lau nhaø…  caùc cô maïnh
 hôn bôùt khoù thôû khi hoaït ñoäng
„ Höôùng daãn caùch duy trì naêng löôïng trong khi taäp
luyeän, hoaït ñoäng tình duïc, töø toán, khoâng voäi vaõ.
34
Ñieàu trò copd oån ñònh
DINH DÖÔÕNG
 Nguy cô giaûm caân thieáu DD do 15-25% W luùc nghæ:
+ Khoù thôû maát söùc nhieàu do taêng coâng hoâ haáp.
+ Daï daøy caêng do cô hoaønh bò deït aên , calori
+ Taêng dò hoùa do caùc cytokin vieâm (TNF)
 Caân baèng calori vôùi taäp luyeän duy trì chæ soá khoái cô
theå:
+ AÊn nhieàu böõa, aên chaâm, khoâng uoáng nöôùc tröôùc aên
+ traùnh uoáng nöôùc coù gaz, taêng chaát xô…
+ thay ñoåi moùn aên
 Tuy nhieân traùnh beùo phì.
 Cung caáp dinh döôõng ñôn ñoäc Ko caûi thieän CN
phoåi vaø dung tích taäp luyeän.
35
Ñieàu trò copd oån ñònh
PHAÃU THUAÄT
+ Caét 1 thuøy phoåi; vuøng emphysema
Khi:PaO2 <50mmHg, Ko taêng aùp phoåi naëng
FEV1 20-40%.
+ Gheùp phoåi, töø 1989
Khi BN <60 tuoåi, FEV1 <25%
Taêng aùp phoåi naëng.
Tæ leä töû vong phaãu thuaät laø 5%
Tæ leä soáng soùt töông ñöông so vôùi ÑT thuoác.
36
Đôït caáp COPD
Ñònh nghóa ñôït kòch phaùt
„ Ñôït kòch phaùt BPTNMT laø tình huoáng xaûy ra
trong dieãn bieán töï nhieân cuûa beänh.
„ Ñaëc tröng bôûi söï thay ñoåi caùc trieäu chöùng caên
baûn cuûa beänh nhö khoù thôû, ho ± khaïc ñaøm, khaùc
nhöõng ñieãn bieán thöôøng ngaøy,
„ Khôûi phaùt caáp tính vaø coù theå ñoøi hoûi söï thay ñoåi
thuoác thöôøng ngaøy treân BN coù BPTNMT.
37
Đôït caáp COPD
Nguyeân nhaân ñôït caáp
Vi khuaån
 Vi ruùt
 OÂ nhieãm:
+ N02
+ Buïi
+ S02
+ Ozone
 Thôøi tieát laïnh
38
Đôït caáp COPD
TIEÂU CHUAÅN CHAÅN ÑOAÙN CÔN CAÁP
Coù 2 Trieäu chöùng chính, hoaëc 1 chính 2 phuï:
Trieäu chöùng chính Trieäu chöùng phuï
 Khoù thôû taêng „Khoø kheø „Suy nhöôïc
„Naëng ngöïc „Maát nguû
 Taêng löôïng ñaøm „Ho taêng „Buoàn nguû
„Ñau ngöïc „Moûi meät
Ñaøm ñoåi maøu
„Tim nhanh „Soát
„Thôû nhanh „Traàm caûm
„Luù laãn
39
Đôït caáp COPD
TRIEÄU CHÖÙNG CÔN CAÁP
 Tieàn söû ñöôïc chaån ñoaùn laø COPD.
 Laâm saøng: suy hoâ haáp caáp, Thôû >25/ph,
tim >110 l/ph, khoù thôû taêng, boùp ngheït ngöïc, ho taêng,
khaïc ñaøm, vaøng.
Soát; lôø ñôø, luù laãn, buoàøn nguû.
 ABG: Nhieãm toan HH caáp, PaO2 <50mmHg, PaCO2
>50mmHg.
 XQ ngöïc: vieâm phoåi, TKMP.
 XN ñaøm: vaøng, xanh, coù Neutrophile gôïi yù coù VK
thöôøng truù hoaëc NT. Coù Gr(+):thöôøng laøS.pneumoniae
(ít khi laø S.aureus), Coù Gr(-): thöôøng laø H.influenzae,
K.pneumoniae, Acinetobacter, P.aeruginosa.
40
Đôït caáp COPD
Ñieàu trò ñôït caáp
 Chaêm soùc hoâ haáp
+ Oxy coù kieåm soaùt
+ Daãn löu khí quaûn
+ Hoã trôï thoâng khí
- BiPAP
- Thôû maùy xaâm laán
 Ñieàu trò thuoác
+ Giaõn PQ
+ Corticoide
+ Khaùng sinh
41
Thuoác söû duïng trong côn caáp
„ Giaõn pheá quaûn:
 β2-agonist: hít, khí dung
 β2-agonist + anticholinergic
 Aminophylline: chuù yù ñoäc tính
„ Corticoides: (toaøn thaân) ngay laäp töùc, (hít ít hieäu quûa)
Prednisolone: 60mg/ngaøy x 7-14 ngaøy;
Methylprednisolone: 60mg/ngaøy x 7-10 ngaøy TMC.
„ Khaùng sinh: döï ñoaùn VK
 Tuoåi < 65, khoâng coù beänh cuøng maéc: H.influenzae, M.catarrhalis,
S.pneumoniae vaø C.pneumoniae, M.pneumoniae : β-lactam,
β lactam+ lactamase-inhibitor, FQ, Cef2 hoaëc Cef3 , Macrolides, FQ
 Tuoåi cao, nhaäp vieän nhieàu laàn: Tröïc khuaån Gr(-), C.pneumoniae,
M.pneumoniae : β lactam+ lactamase-inhibitor, Cef3, Macrolides, FQ.
 Nguy cô nhieãm P.aeruginosa:
FQ: CIP, LEV; Cef3: CAZ, CEP, CEF; Carbapenem: IMP, MEN
42
Đôït caáp COPD
PHOØNG NGÖØA ÑÔÏT CAÁP
„ Corticoides hít, LABA, Anticholinergics.
„ Long ñaøm, antioxydants
„ Chuûng ngöøa: Cuùm, pheá caàu, HI.
„ GP ñeå caûi thieän CNHH
„ Giaùo duïc BN kieán thöùc cô baûn veà BPTNMT:
 Ngöng thuoác laù, dinh döôõng toát, taäp luyeän ñeàu
 Töï chaêm soùc, bieát caùch duøng thuoác ñuùng caùch
 Töï nhaän bieát ñôït caáp
43
44
OÂ nhieãm
khoâng khí
trong nhaø
45
46
47

COPD _ BỆNH PHỔI TẮC NGHẼN MẠN TÍNH

  • 1.
    1 COPD Chronic Obstructive PulmonaryDisease (Y3) PGS. Lê Thị Kim Nhung
  • 2.
    2 Đaïi cương Ñònh nghóaCOPD „ COPD laø moät beänh coù theå döï phoøng vaø ñieàu trò ñöôïc, vôùi nhöõng aûnh höôûng ngoaøi phoåi ñaùng keå coù theå goùp phaàn vaøo möùc ñoä naëng cuûa beänh. „ Toån thöông ñaëc tröng ôû phoåi laø taéc ngheõn luoàng khí khoâng hoài phuïc hoaøn toaøn. „ Taéc ngheõn luoàng khí thöôøng tieán trieån daàn vaø keát hôïp vôùi ñaùp öùng vieâm baát thöôøng cuûa phoåi vôùi khí haït ñoäc haïi.
  • 3.
    3 Đaïi cương Dòch teãCOPD „ Khoaûng 6% daân soá TG, ¼ ngöôøi treân 40 tuoåi coù theå bò taéc ngheõn doøng khí. „ 12 nöôùc CA-TBD öôùc tính 6.3% >30 tuoåi maéc beänh „ Thaáp nhaát: Hoàng Koâng, Singapore: 3.5% „ Cao nhaát: Vieät Nam:6.3%
  • 4.
    4 Đaïi cương ÖÔÙC TÍNHBN MAÉC COPD ÔÛ VN DS 2006 TÆ LEÄ HUÙT THUOÁC TÆ LEÄ Ko HUÙT THUOÁC COPD COÙ HUÙT THUOÁC COPD Ko HUÙT THUOÁC TOÅNG SOÁ COPD ÖÔÙC TÍNHDS≥15 Tuoåi 32% 68% 4,2% 1,2% Soá ngöôøi öôùc tính 20.089.600 42.690.400 843.763 512.285 1.356.048
  • 5.
    5 Đaïi cương TÆ LEÄMAÉC COPD NHOÙM ≥ 40 TUOÅI ÔÛ VN 7.1 1.9 3.3 3.6 4.7 5.7 4.6 1.9 0 1 2 3 4 5 6 7 8 Nam Nöõ Thaønh thò Mieàn nuùi Noâng thoân Baéc Trung Nam
  • 6.
    6 Đaïi cương Tæ leämaéc beänh vaø tæ leä töû vong Tæ leä maéc beänh & tæ leä töû vong: taêng theo tuoåi.  Tæ leä maéc beänh: nam > nöõ, tæ leä töû vong: nam # nöõ.  Tæ leä maéc beänh  ôû gia ñình coù tình traïng khuyeát, thieáu 1 Antitrypsin.  COPD gia taêng toaøn caàu, nhaát laø khoùi coâng nghieäp cuûa caùc nöôùc ñang phaùt trieån.
  • 7.
    7 1990 2020 Thieáu maùucô tim Beänh maïch maùu naõo NT hoâ haáp döôùi Tieâu chaûy Beänh lyù chu sinh COPD Beänh lao Sôûi Tai naïn giao thoâng Ung thö phoåi Ung thö daï daøy HIV Töï töû 6th 3rd Murray & Lopez. Lancet 1997 Đaïi cương Töû vong trong töông lai 1990 2020 Thieáu maùu cô tim Beänh maïch maùu naõo NT hoâ haáp döôùi Tieâu chaûy Beänh lyù chu sinh COPD Beänh lao Sôûi Tai naïn giao thoâng Ung thö phoåi 1990 2020 Thieáu maùu cô tim Beänh maïch maùu naõo NT hoâ haáp döôùi Tieâu chaûy Beänh lyù chu sinh COPD Beänh lao Sôûi Tai naïn giao thoâng Ung thö phoåi 1990 2020 Thieáu maùu cô tim Beänh maïch maùu naõo NT hoâ haáp döôùi Tieâu chaûy Beänh lyù chu sinh COPD Beänh lao Sôûi Tai naïn giao thoâng Ung thö phoåi 1990 2020 Thieáu maùu cô tim Beänh maïch maùu naõo NT hoâ haáp döôùi Tieâu chaûy Beänh lyù chu sinh COPD Beänh lao Sôûi Tai naïn giao thoâng Ung thö phoåi 1990 2020 Thieáu maùu cô tim Beänh maïch maùu naõo NT hoâ haáp döôùi Tieâu chaûy Beänh lyù chu sinh COPD Beänh lao Sôûi Tai naïn giao thoâng Ung thö phoåi 1990 2020 Thieáu maùu cô tim Beänh maïch maùu naõo NT hoâ haáp döôùi Tieâu chaûy Beänh lyù chu sinh COPD Beänh lao Sôûi Tai naïn giao thoâng Ung thö phoåi 1990 2020 Thieáu maùu cô tim Beänh maïch maùu naõo NT hoâ haáp döôùi Tieâu chaûy Beänh lyù chu sinh COPD Beänh lao Sôûi Tai naïn giao thoâng Ung thö phoåi
  • 8.
    8 Đaïi cương YEÁU TOÁNGUY CÔ Khoùi Thuoác laù Buïi ngheà nghieäp Khoùi thuoác trong moâi tröôøng OÂ nhieãm trong vaø ngoaøi nhaø DAÂN SOÁ GIAØ Tình traïng dinh döôõng keùm Nhieãm truøng keùo daøi luùc treû Kinh teá xaõ hoäi thaáp „ Huùt thuoác laù ≥20goùi-naêm „ Naáu than cuûi ≥ 60 naêm „ Laøm noâng ≥ 40 naêm „ Tieàn caên lao phoåi
  • 9.
    9 Đaïi cương YEÁU TOÁNGUY CÔ  Khoùi thuoác: Laø yeáu toá nguy cô caên baûn cuûa moïi quoác gia, Tuy nhieân chæ <15% ngöôøi huùt thuoác phaùt sinh COPD. Huùt 40 goùi/naêm coù yù nghóa tieân ñoaùn  Khoùi chaát ñoát höõu cô: Naáu trong nhaø, khoâng khí oâ nhieãm, Buïi ngheà nghieäp: coâng nhaân moû kim loaïi, buïi boâng, cotton…  Yeáu toá gen: thieáu huït 1Antitypsin laø NN quan troïng gaây khí pheá thuõng ôû ngöôøi khoâng huùt thuoác laù, vaø taêng khaû naêng maéc beänh ôû ngöôøi coù caân naëng thaáp, treû em, huùt thuoác thuï ñoäng.
  • 10.
  • 11.
    11 HEN Yeáu toá nhaïycaûm COPD Yeáu toá ñoäc Vieâm ñöôøng thôû kieåu hen CD4+ T-lymphocytes Eosinophils COPD vieâm ñöôøng thôû kieåu COPD CD8+ T-lymphocytes Macrophages Neutrophils Giôùi haïn luoàng khíPhuïc hoài hoaøn toaøn Khoâng phuïc hoài hoaøn toaøn
  • 12.
    12 Đaïi cương -SINH BEÄNH HOÏC ÑAÙP ÖÙNG VIEÂM ÑÖÔØNG THÔÛ Ø& PHEÁ NANG  YT khôûi ñoäng: Phôi nhieãm khoùi thuoác & buïi… taêng hoaït tính cuûa protease & Antiprotease. Protease ôû phoåi hoaït tính (Neutrophile- elastase, Maltrix- metalloproteinase, cathepsins)phaù vôõ elastin, moâ lieân keát.  YT caân baèng:. Antiprotease caân baèng hieän töôïng treân (1 Antitrypsin).  COPD: Hoaït hoùa Neutrophil & macrophage (quaù möùc so vôùi Antiprotease):  moâ lieân keát bò phaù huûy   tieát nhaøy.  Tích luõy goác töï do & caùc Ion aâm(peroxide hydrogen)  öùc cheá Antiprotease  co thaét PQ, phuø maøng nhaøy &  tieát nhaøy  taéc ngheõn khí ñaïo.
  • 13.
    13 Đaïi cương SINH BEÄNHHOÏC  SBH chuû yeáu laø Giôùi haïn luoàng khí tieán trieån chaäm do khí pheá thuõng vaø vieâm pheá quaûn maõn tính.  Ñaùp öùng vieâm baát thöôøng: tieát nhaøy  nuùt nhaøy &/hoaëc co thaét pheá quaûn  söùc caûn doøng khí   coâng hoâ haáp.  Taêng coâng hoâ haáp   thoâng khí pheá nang - vôùi  O2 moâ,  CO2. COPD tieán trieån:  O2  CO2 maïn  Thay ñoåi moâ hoïc: thaâm nhieãm vieâm quanh PN, phì ñaïi cô trôn PQ & soaén vaën, maát vaùch PN tuùi khí ( 1mm), tuùi khí coù theå roãng, hoaëc coù sôïi cô vaét qua
  • 14.
    14 Đaïi cương SINH BEÄNHHOÏC  Ñaëc ñieåm cuûa vieâm trong COPD: „ TB vieâm: BCÑNTT, ÑTB pheá nang, LymphoTCD8 „ Taêng hoaït tính men protease  Huûy hoaïi caáu truùc  Haäu quaû cuûa vieâm trong COPD: „ Taêng tieát ñaøm, taéc ngheõn ñöôøng thôû, baãy khí, baát thöôøng trao ñoåi khí vaø taâm pheá maïn. „ Suy kieät, teo cô, thieáu maùu, loaõng xöông, traàm caûm, taêng nguy cô maéc beänh TM giaûm chaát löôïng soáng  Giới hạn luồng khí thở ra: ứ khí mạn tính  Phối hợp VPQ mạn và khí phế thũng  RL tuần hoàn phổi: tăng áp ĐM phổi
  • 15.
    15 Đaïi cương VAI TROØCUÛA VI KHUAÅN  30% BN COPD coù H. Influenzae thöôøng truù ôû ñöôøng hoâ haáp döôùi (bình thöôøng voâ truøng)  BN naëng, naèm vieän daøi thöôøng gaëp P.aeruginosa  Huùt thuoác & taéc ngheõn doøng khí  suy yeáu chöùc naêng laøm saïch maøng nhaøy bieåu moâ hoâ haáp.
  • 16.
    16 Chaån Đoaùn Trieäu chöùnglaâm saøng gôïi yù chaån ñoaùn COPD laø beänh tieán trieån nhieàu naêm/ngöôøi coù tieàn söû huùt thuoác laù 20 goùi-naêm/40-50 tuoåi:  HO KEÙO DAØI: ho laø daáu hieäu sôùm, buoåi saùng, ko lieân tuïc sau ñoù thöôøng xuyeân, ít gaëp ho maùu.  KHAÏC ÑAØM: khaïc đàm maïn tính→gôïi yù COPD, Ñaøm nhaøy, (vaøng hoaëc xanh: đợt cấp). Nếu >60ml ( ≠dãn PQ)  KHOÙ THÔÛ: Maïn tính taêng daàn theo thôøi gian. - Naëng leân khi gaéng söùc, keùo daøi dai daúng (moãi ngaøy), - Thôû ngaén, khoâng saâu, thôû moâi (thôû ra mím moâi), “huït hôi”,“thieáu khoâng khí”,“gaéng söùc maø thôû”,“khoø kheø”ø - khi coù nhieãm truøng, tieán trieån nhanh neáu coøn huùt thuoác  Tieàn caên tieáp xuùc(nguy cô):Thuoác laù, buïi,khoùi than cuûi
  • 17.
    17 Chaån Đoaùn Khaùm laâmsaøng gôïi yù chaån ñoaùn Khoù thôû: nhanh noâng >20 l/phuùt, co keùo cô lieân söôøn Khaùm phoåi: loàng ngöcï caêng phoàng, coá ñònh thì thôû vaøo, hình thuøng, guø treân, vai nhoâ, cöû ñoäng caû khoái. Hoâ haáp ñaûo nghòch, ran rít ngaùy, RRPN giaûm. Suy tim phaûi: TM coå noåi ôû tö theá 450, khoù thôû khi naèm ñaàu thaáp. Caùc trieäu chöùng khaùc:  Ñau ñaàu buoåi saùng (O2 & CO2), nguû gaät ban ngaøy, ngaùy  Suït caân do hao moøn coâng HH, O2 , HC trung gian vieâm   CHoùa
  • 18.
    CÁC TRIỆU CHỨNGTHƯỜNG GẶP • Tuổi TB: 68.3 ± 10.1 • Nam/nữ: 7.6/1 • Khó thở: 95.5 % • Ho: 92 % • Khạc đàm: 82.1 % • Đàm đục: 70.7 % • Ran rít/ ngáy: 53.6/66.1% • ALĐMP: 40.5 ± 12.2 18 Ngô Quý Châu –Nguyễn Thanh thủy (2013)
  • 19.
    19 Chaån Đoaùn XQ NGÖÏC Coùhình aûnh ñaëc tröng giuùp Δ() , nhöng khoâng ñeå Δ(+)  Khí pheá thuõng, taêng thaâm nhieãm, cô hoaønh deït, tim heïp,  tröôùc sau cuoáng phoåi, môû roäng khoaûng khoâng sau xöông öùc (ÑM ôû trung taâm roäng hôn do taêng aùp ôû phoåi). → Khí pheá thuõng aûnh höôûng tôùi ñaùy phoåi, taêng saùng ñeán maát nhu moâ  Taêng goùc xöông öùc & tröôùc cô hoaønh.  Daáu PQ-MM  Thaát phaûi lôùn (beänh lyù tim-phoåi)  CT scan ñaùnh giaù cöôøng ñoä vaø phaân boá khí pheá thuõng, caùc baát thöôøng khaùc.
  • 20.
    20 Chaån Đoaùn XN HOÃTRÔÏ 1. ABG (Arterial Blood Gas) khí maùu neân laøm trong côn caáp. 2. 1Antitrypsin (COPD ngöôøi treû<45t, beänh gan, treû em, ANCA(+), vieâm MM). 3. ECG: nhó phaûi lôùn (P pheá), phì ñaïi thaát phaûi (R,R, >S ôû V1, R<S ôû V6) truïc QRS phaûi(>110o), block nhaùnh phaûi, loaïn nhòp nhó, nhòp nhanh…) 4. ECHO tim chæ ñeå ñaùnh giaù chöùc naêng thaát P & taêng aùp phoåi. 5. CTM ít giaù trò, HCT, HC (giaûm O2 maïn)
  • 21.
    21 TRIEÄU CHÖÙNG Ho Khaïc ñaøm Khoùthôû TIEÁP XUÙC VÔÙI CAÙC YEÁU TOÁ NGUY CÔ Thuoác laù Ngheà nghieäp OÂ nhieãm trong nhaø HOÂ HAÁP KYÙ Hoâ haáp kyù Chaån ñoaùn xaùc ñònh COPD 
  • 22.
    22 Chaån Đoaùn Phaân möùcñoä naëng COPD theo hoâ haáp kyù BN coù: FEV1/FCV < 0.70: Giai ñoaïn I: FEV1 ≥ 80% döï ñoaùn. Giai ñoaïn II: 50% ≤ FEV1 < 80% döï ñoaùn Giai ñoaïn III: 30% ≤ FEV1 < 50% döï ñoaùn Giai ñoaïn IV: FEV1 < 30% döï ñoaùn (FEV1 < 50% DÑ + SHH maïn) „ FEV1 (Forcefully Expired Volume in 1 sec) theå tích thôû ra gaéng söùc trong giaây ñaàu tieân, sau khi ñaõ hít vaøo toái ña. „ FVC (Forced Vital Capacity) V thôû ra toaøn phaàn vôùi löïc lôùn nhaát „ FEV1 /FVC ñaùnh giaù möùc ñoä naëng & tæ leä töû vong. „ FEV1 , FEV1 /FVC  xaùc nhaän möùc ñoä taéêc ngheõn doøng khí, „ FEV1  coøn 1L BN khoù thôû trong sinh hoaït haèng ngaøy. „ FEV1  coøn 0.8L coù nguy cô  O2, CO2 & beänh lyù tim phoåi. - Nhieàu tröôøng hôïp COPD chöa ñöôïc chaån ñoaùn (taïi Anh: 3.5trieäu maéc COPD, chæ coù 835.000 ñöôïc chaån ñoaùn) boû soùt giai ñoaïn I & II. - COPD thöôøng chæ ñöôïc ñieàu trò gñ III vaø IV
  • 23.
    23 Chaån Đoaùn Chaån ñoaùnphaân bieät COPD -khôûi phaùt ôû ngöôøi >40t -Caùc Tr/ch tieán trieån töø töø -tieàn söû huùt thuoác laù laâu ngaøy -Khoù thôû khi vaän ñoäng -Taéc ngheõn luoàng khí khoâng hoài phuïc sau test daõn PQ Hen PQ -Khôûi phaùt ôû ngöôøi treû -Tr/ch thay ñoåi töøng ngaøy roõ veà ñeâm vaø saùng - ± Tieàn söû gia ñình coù hen -Hay coù vieâm muõi dò öùng, meà ñay, chaøm -Taéc ngheõn luoàng khí hoài phuïc sau test daõn PQ >12% Suy tim öù huyeát -± Tieàn söû beänh tim -X.quang: boùng tim to - Pheá dung kyù khoâng coù hoäi chöùng taéc ngheõn Daõn pheá quaûn -Khaïc ñaøm quanh naêm -hay bò nhieãm truøng hoâ haáp CT.scan coù hình aûnh daõn PQ
  • 24.
    GOLD 2011 C D AB 24 NguycơTiềnSửđợtcấp mMRC: 0-1 CAT: ≤ 10 mMRC: ≥ 2 CAT: >10 ≥2≤1 Triệu chứng CAT: (COPD Assessment Test): (câu 0-5đ) x 8 mMRC: (modified Medical Research Council): độ 0-4 GOLD 2011: đánh giá toàn diện hơn về tình trạng sức khỏe và nguy cơ
  • 25.
    25 Chaån Đoaùn Caùc beänhñoàng maéc trong COPD 1. Hoâ haáp K pheá quaûn (NC↑2-6 laàn), Vieâm phoåi, ngöng thôû khi nguû 2. Tuaàn hoaøn TMCT, NMCT, Xô cöùng ÑM ngoaïi bieân 3. Tieâu hoùa Vieâm thöïc quaûn, Vieâm loeùt daï daøy 4. Huyeát hoïc Thieáu maùu maïn tính 5. Noäi tieát ÑTÑ, Hoäi chöùng chuyeån hoùa 6. Cô xöông Loaõng xöông, teo cô, Suy kieät 7. Taâm thaàn kinh Traàm caûm, lo aâu TORCH: 84% có ít nhất 1 bệnh đồng mắc N.Q.Châu: 32.1% THA, ĐTĐ: 8.9%
  • 26.
    26 Chaån Đoaùn ÑAËC ÑIEÅMCOPD NGÖÔØI LÔÙN TUOÅI 1. Cöû ñoäng loàng ngöïc giaûm:voâi hoùa suïn, khôùp; teo cô HH 2. Theå tích phoåi giaûm:suïn PQ thoaùi hoùa, nhu moâ ñaøn hoài 3. Giaûm O2 vaøo pheá nang: bieåu moâ PQ daøy, bong ra, chaát nhaøy, xô quanh PQ taêng. 4. Taêng NC nhieãm truøng:nhung mao , ñeà khaùng , NT kín ñaùo, lan nhanh, deã SHH, phuïc hoài keùm. 5. RL noäi moâi, RL nhòp tim. 6. Ñôït caáp daøy hôn,naèm vieändaøi hôn, NC töû vong caohôn. 7. Deã nhaàm, queân thuoác, K.soaùt Tr/ch  deã bò côn caáp. 8. Taäp luyeän chuù yù beänh tim maïch phoái hôïp.
  • 27.
    27 III. ÑIEÀU TRÒCOPD OÅN ÑÒNH Muïc ñích: „ Ngaên ngöøa côn caáp, giaûm caùc trieäu chöùng „ Caûi thieäân chöùc naêng phoåi & cô theå Bao goàm: 1. Cai thuoác laù 2. O2 3. Thuoác 4. Taäp luyeän 5. Taêng cöôøng dinh döôõng 6. Phuïc hoài chöùc naêng phoåi 7. Phaãu thuaät
  • 28.
    28 Ñieàu trò copdoån ñònh Cai thuoác vaø giaûm caùc yeáu toá nguy cô YTNC: T.Laù, Khoùi, buïi CN, oâ nhieãm KK.  Cai thuoác coù hieäu quaû nhaát,  tieán trieån COPD. ÑT thay theá nicotin (keïo gum, ngaäm hoïng, xòt muõi - Bupropion)  Giaùo duïc BN, nhoùm hoïp, trôï giuùp BN taêng kieán thöùc, hieåu bieát veà COPD.
  • 29.
    29 Ñieàu trò copdoån ñònh Thuoác ÑT COPD oån ñònh  Muïc ñích:  Ngaên & kieåm soaùt Tr/ch  ↓ taàn soá côn caáp  Caûi thieän tình traïng söùc khoûe  Caûi thieän dung naïp taäp luyeän  ↓ Tr/ch, (khoâng giaûm ñöôïc phaù huûy chöùc naêng phoåi).  Caùc thuoác:  Giaõn PQ  Corticoides  Long Ñôøm  Giaûm ho, KS, vaccin (caàn xem xeùt)
  • 30.
    30 Ñieàu trò copdoån ñònh Thuoác giaõn pheá quaûn Bao goàm: Anticholinergics, 2-agonists, Theophylin. Laø trung taâm quaûn lyù COPD, coù taùc duïng:   Tr/ch côn caáp, dung tích taäp luyeän, Ko caûi thieän FEV1  Hít > uoáng: ít taùc duïng phuï, tieän ích, chi phí cao hôn.  ÑT giaõn PQ keùo daøi hieäu quaû, tieän ích, chi phí cao.  Hít > theophylin (theophylin coù ñoäc tính cao)…  Phoái hôïp thuoác:  giaõn PQ ,  taùc duïng phuï so vôùi lieàu thuoác giaõn PQ.
  • 31.
    31 Ñieàu trò copdoån ñònh VACCINE + Vaccin cuùm: taát caû BN COPD neân ñöôïc tieâm phoøng haèng naêm, tröôùc muøa cuùm xaûy ra 1-2 thaùng. + Vaccin pheá caàu: chöa chöùng minh ñöôïc hieäu quaû, neân söû duïng ngöôøi treân 65 tuoåi, 5 naêm nhaéc laïi 1 laàn.
  • 32.
    32 Ñieàu trò copdoån ñònh OXY Muïc tieâu: duy trì PaO2 >60mmHg, SaO2 >90% „ O2 ñöa HCT veà bình thöôøng, caûi thieän taâm TK, giaác nguû,  khaû naêng chòu ñöïng…. „ CÑ: gñ IV naëng PaO2 <55mmHg, SaO2 <88% Hoaëc PaO2 55-60 mmHg, SaO2 89% keøm daáu aùp phoåi, phuø ngoaïi vi, HCT >55%. „ Söû duïng O2 >15h/day % soáng soùt. Thôû 24h >12h. „ BN phaûi ñöôïc höôùng daãn caùch SD O2:traùnh löûa, ñi maùy bay…
  • 33.
    33 Ñieàu trò copdoån ñònh TAÄP THEÅ LÖÏC „ BN COPD giaûm cô xöông do Ko hoaït ñoäng, naèm vieän daøi. „ Taäp cô hoâ haáp, ñi boä, xe ñaïp chaäm phuø hôïp „ Taäp cô chi treân, taém lau nhaø…  caùc cô maïnh  hôn bôùt khoù thôû khi hoaït ñoäng „ Höôùng daãn caùch duy trì naêng löôïng trong khi taäp luyeän, hoaït ñoäng tình duïc, töø toán, khoâng voäi vaõ.
  • 34.
    34 Ñieàu trò copdoån ñònh DINH DÖÔÕNG  Nguy cô giaûm caân thieáu DD do 15-25% W luùc nghæ: + Khoù thôû maát söùc nhieàu do taêng coâng hoâ haáp. + Daï daøy caêng do cô hoaønh bò deït aên , calori + Taêng dò hoùa do caùc cytokin vieâm (TNF)  Caân baèng calori vôùi taäp luyeän duy trì chæ soá khoái cô theå: + AÊn nhieàu böõa, aên chaâm, khoâng uoáng nöôùc tröôùc aên + traùnh uoáng nöôùc coù gaz, taêng chaát xô… + thay ñoåi moùn aên  Tuy nhieân traùnh beùo phì.  Cung caáp dinh döôõng ñôn ñoäc Ko caûi thieän CN phoåi vaø dung tích taäp luyeän.
  • 35.
    35 Ñieàu trò copdoån ñònh PHAÃU THUAÄT + Caét 1 thuøy phoåi; vuøng emphysema Khi:PaO2 <50mmHg, Ko taêng aùp phoåi naëng FEV1 20-40%. + Gheùp phoåi, töø 1989 Khi BN <60 tuoåi, FEV1 <25% Taêng aùp phoåi naëng. Tæ leä töû vong phaãu thuaät laø 5% Tæ leä soáng soùt töông ñöông so vôùi ÑT thuoác.
  • 36.
    36 Đôït caáp COPD Ñònhnghóa ñôït kòch phaùt „ Ñôït kòch phaùt BPTNMT laø tình huoáng xaûy ra trong dieãn bieán töï nhieân cuûa beänh. „ Ñaëc tröng bôûi söï thay ñoåi caùc trieäu chöùng caên baûn cuûa beänh nhö khoù thôû, ho ± khaïc ñaøm, khaùc nhöõng ñieãn bieán thöôøng ngaøy, „ Khôûi phaùt caáp tính vaø coù theå ñoøi hoûi söï thay ñoåi thuoác thöôøng ngaøy treân BN coù BPTNMT.
  • 37.
    37 Đôït caáp COPD Nguyeânnhaân ñôït caáp Vi khuaån  Vi ruùt  OÂ nhieãm: + N02 + Buïi + S02 + Ozone  Thôøi tieát laïnh
  • 38.
    38 Đôït caáp COPD TIEÂUCHUAÅN CHAÅN ÑOAÙN CÔN CAÁP Coù 2 Trieäu chöùng chính, hoaëc 1 chính 2 phuï: Trieäu chöùng chính Trieäu chöùng phuï  Khoù thôû taêng „Khoø kheø „Suy nhöôïc „Naëng ngöïc „Maát nguû  Taêng löôïng ñaøm „Ho taêng „Buoàn nguû „Ñau ngöïc „Moûi meät Ñaøm ñoåi maøu „Tim nhanh „Soát „Thôû nhanh „Traàm caûm „Luù laãn
  • 39.
    39 Đôït caáp COPD TRIEÄUCHÖÙNG CÔN CAÁP  Tieàn söû ñöôïc chaån ñoaùn laø COPD.  Laâm saøng: suy hoâ haáp caáp, Thôû >25/ph, tim >110 l/ph, khoù thôû taêng, boùp ngheït ngöïc, ho taêng, khaïc ñaøm, vaøng. Soát; lôø ñôø, luù laãn, buoàøn nguû.  ABG: Nhieãm toan HH caáp, PaO2 <50mmHg, PaCO2 >50mmHg.  XQ ngöïc: vieâm phoåi, TKMP.  XN ñaøm: vaøng, xanh, coù Neutrophile gôïi yù coù VK thöôøng truù hoaëc NT. Coù Gr(+):thöôøng laøS.pneumoniae (ít khi laø S.aureus), Coù Gr(-): thöôøng laø H.influenzae, K.pneumoniae, Acinetobacter, P.aeruginosa.
  • 40.
    40 Đôït caáp COPD Ñieàutrò ñôït caáp  Chaêm soùc hoâ haáp + Oxy coù kieåm soaùt + Daãn löu khí quaûn + Hoã trôï thoâng khí - BiPAP - Thôû maùy xaâm laán  Ñieàu trò thuoác + Giaõn PQ + Corticoide + Khaùng sinh
  • 41.
    41 Thuoác söû duïngtrong côn caáp „ Giaõn pheá quaûn:  β2-agonist: hít, khí dung  β2-agonist + anticholinergic  Aminophylline: chuù yù ñoäc tính „ Corticoides: (toaøn thaân) ngay laäp töùc, (hít ít hieäu quûa) Prednisolone: 60mg/ngaøy x 7-14 ngaøy; Methylprednisolone: 60mg/ngaøy x 7-10 ngaøy TMC. „ Khaùng sinh: döï ñoaùn VK  Tuoåi < 65, khoâng coù beänh cuøng maéc: H.influenzae, M.catarrhalis, S.pneumoniae vaø C.pneumoniae, M.pneumoniae : β-lactam, β lactam+ lactamase-inhibitor, FQ, Cef2 hoaëc Cef3 , Macrolides, FQ  Tuoåi cao, nhaäp vieän nhieàu laàn: Tröïc khuaån Gr(-), C.pneumoniae, M.pneumoniae : β lactam+ lactamase-inhibitor, Cef3, Macrolides, FQ.  Nguy cô nhieãm P.aeruginosa: FQ: CIP, LEV; Cef3: CAZ, CEP, CEF; Carbapenem: IMP, MEN
  • 42.
    42 Đôït caáp COPD PHOØNGNGÖØA ÑÔÏT CAÁP „ Corticoides hít, LABA, Anticholinergics. „ Long ñaøm, antioxydants „ Chuûng ngöøa: Cuùm, pheá caàu, HI. „ GP ñeå caûi thieän CNHH „ Giaùo duïc BN kieán thöùc cô baûn veà BPTNMT:  Ngöng thuoác laù, dinh döôõng toát, taäp luyeän ñeàu  Töï chaêm soùc, bieát caùch duøng thuoác ñuùng caùch  Töï nhaän bieát ñôït caáp
  • 43.
  • 44.
  • 45.
  • 46.
  • 47.