CHEST WALL TUMOR
TUMMARAT RUANGPRATYAKUL, MD
Incidence
majority are metastatic or local invasive

primary chest wall tumor 5% of all thoracic tumor

1% of all primary tumor

40-60% of primary chest wall tumor is malignancy

Rib cage is the most common site
Bone
Malignant

osteochondroma
fibrous dysplasia
chondroma
Desmoid tumor
Liposarcoma
Soft tissue
Bone
Rhabdomyosarcoma
Chondrosarcoma
Osteosarcoman
Ewing’s sarcoma
Most COMMON
Benign
Presentation
slowly enlarging mass

painless/painful

systemic manifestations; fever, leukocytosis,
eosinophilia
Diagnosis
CT (Gold standard)

MRI 

PET-CT

Tissue diagnosis: Needle biopsy, Excisional
biopsy, Incisional biopsy
Surgical Management
Surgical resection for cure is appropriate for Primary chest
wall neoplasms
En bloc resection
Margin for excision depended on type of neoplasms (at
least 4cm)
Reconstruction when defect >5cm, exposed vulnerable
structures
Aim of reconstruction are recreate stable, non-
paradoxically functioning chest wall during respiration
SPECIFIC TUMORS
Primary bone tumor
Benign
• Osteochondroma

• Chondroma

• Fibrous Dysplasia

• Eosinophilic
Granuloma
Malignant
• Chondrosarcoma

• Ewing’s Sarcoma

• Osteosarcoma

• Solitary
Plasmacytoma
Primary soft tissue tumor
Benign
• Hemangioma

• Neurofibroma

• Lipoma

• Fibroma
Malignant
• Desmoid

• Soft tissue sarcoma
Osteochondroma
most common benign bone neoplasm
(50% all benign rib tumors)

painless mass

arise from metaphyseal region of rib and
develops as stalked mass with
cartilaginous cap

male x3 > female

complete surgical resection of treatment of
choice
Chondroma
15% of all benign rib neoplasms

20-30 years, equal both sexes

costochondral junction

slowly enlarging a symptomatic mass

expansile medullary mass causes thinning of cortex

difficult to ddx chondroma and low grade chondrosarcoma

all chondroma must managed as malignant lesion, with wide
excision
Fibrous Dysplasia
benign, cystic lesions

30% of all benign chest wall tumor

most common present as a solitary mass in lateral of posterior
rib cage

male and female are equally

asymptomatic slow growing mass

multiple lesion can occur in Albright’s syndrome
a trabeculated, expansile lesion with a ground glass center and
thinning of the cortex

conservative
Albright’s syndrome

1multiple bone cyst, 

2skin pigmentation, cafe au lait spot

3precocious sexual maturity in
females
Eosinophilic Granuloma
lymphoreticular system disease, not a true bone
tumor

fever, malaise, wright loss, lymphadenopathy,
splenomegaly, leukocytosis, eosinophilia, anemia

expansile lesion with periosteal new bone
formation and uneven destruction of cortex

radiation, chemotherapy and corticosteroid
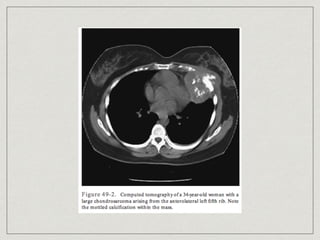
Chondrosarcoma
most common primary chest wall bone neoplasm

60% arises in costochondral arches or sternum

30-40 years old

cause is unknown

slow enlarging mass become painful

lobulated mass arising in medullary portion with
destruction of cortex and mineralization of tumor
matrix(mottled type of calcification)

treatment is complete resection, 5-yr survival of 64%
Ewing’s sarcoma
small round cell sarcoma

15% presented at chest wall, 17% all primary chest wall tumor

age >40 years old, male x2> female

painfull, enlarging mass associated with fever, malaise,
leukocytosis, anemia, increase ESR

mottled destruction containing lytic and blastic area, onion skin
appearance

medical treatment, surgical role to biopsy

5-year survival 48%
Osteosarcoma
10% of all primary chest wall tumor, poor prognosis

teenagers, and young adults

rapidly enlarging, painful mass, high ALP

bone destruction with indistinct borders merge into
adjacent normal bone, sunbrust appearance

chemotherapy with wide resection

5-year survival 15%
Solitary Plasmacytoma
6% of all primary chest wall tumor

50-70 years old

pain often without associated mass, anemia, high
ESR, abnormal protein electrophoresis, Bence
Jones protein and hypercalcemia

ostolytic lesion with cortical thinning

chemotherapy and radiation

5-year survival 38%
Desmoid
locally invasive tumors

most common chest wall sarcoma 21%

adolescence - 40yrs old, male=female 

associated with Gardner’s syndrome

asymptomatic, paresthesia, hyperesthesia, motor
weakness, progressive neural encasement

homogenous mass with indistinct border

treat with wide resection, radiation used in recurrent

5-year survival 93%, 5-year recurrent rate 29%
Gardner’s syndrome

familial colorectal polyposis, desmoid

osteoma, fibroma
Soft tissue sarcoma
one-half of primary malignant chest wall 

adult life except rhabdomyosarcoma(child and
young adult <45)

painless mass

wide surgical resection, multimodality therapy

overall 5-year survival 60%
Metastatic disease and
Recurrent breast carcinoma
metastatic disease 20-30% of all chest wall neoplasm

role of surgical resection is controversy

criteria for curative resection: 

1. chest wall is the only site of disease

2. locoregional disease is controlled

3. complete resection with negative margin is possible

5-year survival for chest wall metastasectomy 20%

10-12% stage II CA breast recur locally after mastectomy
THANK YOU

Chest wall tumor

  • 1.
    CHEST WALL TUMOR TUMMARATRUANGPRATYAKUL, MD
  • 2.
    Incidence majority are metastaticor local invasive primary chest wall tumor 5% of all thoracic tumor 1% of all primary tumor 40-60% of primary chest wall tumor is malignancy Rib cage is the most common site
  • 3.
    Bone Malignant osteochondroma fibrous dysplasia chondroma Desmoid tumor Liposarcoma Softtissue Bone Rhabdomyosarcoma Chondrosarcoma Osteosarcoman Ewing’s sarcoma Most COMMON Benign
  • 4.
    Presentation slowly enlarging mass painless/painful systemicmanifestations; fever, leukocytosis, eosinophilia
  • 5.
    Diagnosis CT (Gold standard) MRI PET-CT Tissue diagnosis: Needle biopsy, Excisional biopsy, Incisional biopsy
  • 6.
    Surgical Management Surgical resectionfor cure is appropriate for Primary chest wall neoplasms En bloc resection Margin for excision depended on type of neoplasms (at least 4cm) Reconstruction when defect >5cm, exposed vulnerable structures Aim of reconstruction are recreate stable, non- paradoxically functioning chest wall during respiration
  • 7.
  • 8.
    Primary bone tumor Benign •Osteochondroma • Chondroma • Fibrous Dysplasia • Eosinophilic Granuloma Malignant • Chondrosarcoma • Ewing’s Sarcoma • Osteosarcoma • Solitary Plasmacytoma
  • 9.
    Primary soft tissuetumor Benign • Hemangioma • Neurofibroma • Lipoma • Fibroma Malignant • Desmoid • Soft tissue sarcoma
  • 10.
    Osteochondroma most common benignbone neoplasm (50% all benign rib tumors) painless mass arise from metaphyseal region of rib and develops as stalked mass with cartilaginous cap male x3 > female complete surgical resection of treatment of choice
  • 11.
    Chondroma 15% of allbenign rib neoplasms 20-30 years, equal both sexes costochondral junction slowly enlarging a symptomatic mass expansile medullary mass causes thinning of cortex difficult to ddx chondroma and low grade chondrosarcoma all chondroma must managed as malignant lesion, with wide excision
  • 13.
    Fibrous Dysplasia benign, cysticlesions 30% of all benign chest wall tumor most common present as a solitary mass in lateral of posterior rib cage male and female are equally asymptomatic slow growing mass multiple lesion can occur in Albright’s syndrome a trabeculated, expansile lesion with a ground glass center and thinning of the cortex conservative Albright’s syndrome 1multiple bone cyst, 2skin pigmentation, cafe au lait spot 3precocious sexual maturity in females
  • 15.
    Eosinophilic Granuloma lymphoreticular systemdisease, not a true bone tumor fever, malaise, wright loss, lymphadenopathy, splenomegaly, leukocytosis, eosinophilia, anemia expansile lesion with periosteal new bone formation and uneven destruction of cortex radiation, chemotherapy and corticosteroid
  • 17.
    Chondrosarcoma most common primarychest wall bone neoplasm 60% arises in costochondral arches or sternum 30-40 years old cause is unknown slow enlarging mass become painful lobulated mass arising in medullary portion with destruction of cortex and mineralization of tumor matrix(mottled type of calcification) treatment is complete resection, 5-yr survival of 64%
  • 19.
    Ewing’s sarcoma small roundcell sarcoma 15% presented at chest wall, 17% all primary chest wall tumor age >40 years old, male x2> female painfull, enlarging mass associated with fever, malaise, leukocytosis, anemia, increase ESR mottled destruction containing lytic and blastic area, onion skin appearance medical treatment, surgical role to biopsy 5-year survival 48%
  • 20.
    Osteosarcoma 10% of allprimary chest wall tumor, poor prognosis teenagers, and young adults rapidly enlarging, painful mass, high ALP bone destruction with indistinct borders merge into adjacent normal bone, sunbrust appearance chemotherapy with wide resection 5-year survival 15%
  • 23.
    Solitary Plasmacytoma 6% ofall primary chest wall tumor 50-70 years old pain often without associated mass, anemia, high ESR, abnormal protein electrophoresis, Bence Jones protein and hypercalcemia ostolytic lesion with cortical thinning chemotherapy and radiation 5-year survival 38%
  • 24.
    Desmoid locally invasive tumors mostcommon chest wall sarcoma 21% adolescence - 40yrs old, male=female associated with Gardner’s syndrome asymptomatic, paresthesia, hyperesthesia, motor weakness, progressive neural encasement homogenous mass with indistinct border treat with wide resection, radiation used in recurrent 5-year survival 93%, 5-year recurrent rate 29% Gardner’s syndrome familial colorectal polyposis, desmoid osteoma, fibroma
  • 26.
    Soft tissue sarcoma one-halfof primary malignant chest wall adult life except rhabdomyosarcoma(child and young adult <45) painless mass wide surgical resection, multimodality therapy overall 5-year survival 60%
  • 28.
    Metastatic disease and Recurrentbreast carcinoma metastatic disease 20-30% of all chest wall neoplasm role of surgical resection is controversy criteria for curative resection: 1. chest wall is the only site of disease 2. locoregional disease is controlled 3. complete resection with negative margin is possible 5-year survival for chest wall metastasectomy 20% 10-12% stage II CA breast recur locally after mastectomy
  • 29.