BRONCHIECTASIS
DR GOURI MOHAN
DEFINITION
Irreversible dilatation of airway that
involves lung in either Focal or Diffuse
manner and that classically has been
categorized as Cylindrical or Tubular (the
most common form), Varicose & Cystic.
PATTERN OF
LUNG
INVOLVEME
NT
FOCAL BRONCHIECTASIS
 Localised area
 Consequence of obstruction of airway
 Extrinsic : adjacent lymphadenopathy/tumour/mass
 Intrinsic : airway tumour, aspirated foreign body,
scarred / stenotic airway.
DIFFUSE BRONCHIECTASIS
 Widespread bronchiectasis changes throughout lung
&
 Often arises from an underlying systemic or
infectious disease process
CLASSICAL
CATEGORIES
Cylindrical or Tubular
Varicose
Cystic
Upper Lobe
Cystic Fibrosis
Tuberculosis
Central
ABPA
CongenitalTracheobronchomegaly
Lower Lobe
Chronic recurrent aspiration
End Stage fibrotic lung disease
Recurrent immune deficiency ass. infection
PATHOPHYSIOLO
GY
CLINICAL MANIFESTATION
CLINICAL
MANIFESTATIO
N
 Persistent productive cough with ongoing
production of thick tenacious sputum.
 O/E : Clubbing (+)
 Early and mid inspiratory coarse crackles
and Diffuse rhonchi
DIAGNOSIS
 Usually based on presentation +
radiographic findings
 Chest radiography lacks sensitivity
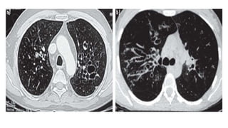
 CT – more specific
DIAGNOSIS
TREATMENT
Bronchial Hygiene : enhancing secretion
clearance – hydration and mucolytic
administration
Nebulisation with Hypertonic saline, Chest
Physiotherapy(postural drainage)
Pulmonary rehabilitation and a regular
exercise program to improve quality of life
Anti-inflammatory therapy
Antibiotics in case of acute exacerbations
Surgery – Refractory cases
Lung transplant – In advanced cases
COMPLICATION
S
Recurrent Infections
Massive hemoptysis
Antibiotic resistance
PROGNOSIS
Depends on underlying etiology and
frequency of exacerbation
PREVENTION
 Vaccination of patient with chronic respiratory conditions to
decrease risk of recurrent infections
 Smoking cessation
THANK YOU

Bronchiectasis.pptx