Approach to vaginalApproach to vaginal
bleeding duringbleeding during
pregnancypregnancy
Basma mohamed abdel
aziz
Assistant lecture of
Family medicine ,Suez Canal University
Dr.Basma ,FM,SCU,2012-2013
Approach to vaginal bleedingApproach to vaginal bleeding
In early pregnancyIn early pregnancy
Dr.Basma ,FM,SCU,2012-2013
Causes of early bleeding in pregnancy
AbortionAbortion
Ectopic pregnancyEctopic pregnancy
Hydatidiform moleHydatidiform mole
Dr.Basma ,FM,SCU,2012-2013
Abortion
 pregnancy loss at less than 20 weeks' gestation
Dr.Basma ,FM,SCU,2012-2013
Types of abortion
 Threatened abortion.
 Inevitable abortion.
 Incomplete abortion.
 Complete abortion.
 Missed abortion
 Septic abortion: Any type of
abortion, which is complicated by
infection
 Recurrent abortion: 3 or more
successive spontaneous abortions
Dr.Basma ,FM,SCU,2012-2013
Dr.Basma ,FM,SCU,2012-2013
Hydatidform mole
Dr.Basma ,FM,SCU,2012-2013
Lab Studies:
 Suspect gestational trophoblastic neoplasia when a positive
pregnancy test result occurs in the absence of a fetus.
 A serum HCG greater than 100,000 mIU/mL should raise the
concern of gestational trophoblastic disease (GTD).
 A CBC count may help detect anemia secondary to vaginal
bleeding.
 Liver enzymes may become elevated in the presence of
metastasis to the liver.
Assessment:-
Dr.Basma ,FM,SCU,2012-2013
Snowstorm appearance
Dr.Basma ,FM,SCU,2012-2013
Ectopic pregnancyEctopic pregnancy
 The classic clinical triad of ectopic pregnancy is pain,
amenorrhea, and vaginal bleeding; only about 50% of patients
present with all 3 symptoms.
 clinicians should have a high index of suspicion for ectopic
pregnancy in any woman who presents with these symptoms
and who presents with physical findings of pelvic tenderness,
enlarged uterus, adnexal mass, or tenderness.
 Approximately 20% of patients with ectopic pregnancies are
hemodynamically compromised at initial presentation, which
is highly suggestive of rupture.
Dr.Basma ,FM,SCU,2012-2013
Case one
 27 years old , married from 6 month ,her
menses is regular , presented with vaginal
bleeding from one day , she had a history of
amenorrhea one week after the missed period
 What is your approach to mange such case?What is your approach to mange such case?
Dr.Basma ,FM,SCU,2012-2013
Dr.Basma ,FM,SCU,2012-2013
Ask your selfAsk your self
 Is she pregnant ?
 Intra uterine or ectopic pregnancy ?
 Viable or not viable fetus ?
 How to mange?
Dr.Basma ,FM,SCU,2012-2013
Is she pregnantIs she pregnant??
 History of amenorrheaHistory of amenorrhea
 LabLab
B hCG test
S.Progesterone
 UltrasoundUltrasound
Dr.Basma ,FM,SCU,2012-2013
Beta HCG
 hCG is detectable in the serum of
approximately :
 5% of patients 8 days after conception
 in more than 98% of patients by day 11.
Dr.Basma ,FM,SCU,2012-2013
 according to the American Pregnancy Association. Most urine tests have a
detection level of 25 mIU/mL to indicate pregnancy
 According to the National Women's Health Information Center,
 90 percent of women who were pregnant got a positive urine test on the
first day of a missed pregnancy.
 This goes up to 97 percent one weekone week after the first missed period.
Dr.Basma ,FM,SCU,2012-2013
Ask your selfAsk your self
 Is she pregnant ?
 Intra uterine or ectopic pregnancy ?
 Viable or not viable fetus ?
 If not vaible ……..which type?
Dr.Basma ,FM,SCU,2012-2013
Intra uterine or ectopic pregnancy ?
5 week embryo and yolk sac
Dr.Basma ,FM,SCU,2012-2013
When you find gestational sac??
Dr.Basma ,FM,SCU,2012-2013
Dr.Basma ,FM,SCU,2012-2013
True gestational sacTrue gestational sac must bemust be differentiated fromdifferentiated from
pseudo sacpseudo sac
 Embryonic Vesicle (Primary yolk sac
 Round or oval.
 Double ring )Ring of decidualized
endometrium.
 Fundal or mid-portion of the uterus.
 May occasionally implant low down in the
uterine cavity.
Dr.Basma ,FM,SCU,2012-2013
Double-decidual sign (5 weeks menstrual age). The decidua vera (dv) can be discerned
from the decidua capsularis (dc) and chorion laeve surrounding the gestational sac. A
small subchorionic hemorrhage(*) is present between the unapposed layers of
deciduvera.
Dr.Basma ,FM,SCU,2012-2013
 The "Double Decidual
Sign"consists of two
echogenic rings
surrounding the
hypoechoic gestational
sac.
 The inner ring represents
the chorion, embryonic
disc and decidua
capsularis (*). The outer
ring represents the
decidua parietalis (**).
Dr.Basma ,FM,SCU,2012-2013
Dr.Basma ,FM,SCU,2012-2013
Dr.Basma ,FM,SCU,2012-2013
Dr.Basma ,FM,SCU,2012-2013
Blighted
ovum
Dr.Basma ,FM,SCU,2012-2013
Single decidul ring ( pseudo sac)
This may be due to a decidual cast and fluid in the endometrial cavity. This appearance can be found in
the presence of an ectopic pregnancy
Dr.Basma ,FM,SCU,2012-2013
Double ring appearance
Dr.Basma ,FM,SCU,2012-2013
Dr.Basma ,FM,SCU,2012-2013
Dr.Basma ,FM,SCU,2012-2013
Dr.Basma ,FM,SCU,2012-2013
Dr.Basma ,FM,SCU,2012-2013
Dr.Basma ,FM,SCU,2012-2013
US at 5 wks,
intrauterine
Dr.Basma ,FM,SCU,2012-2013
US at 6 weeks shows
intrauterine
pregnancy
Dr.Basma ,FM,SCU,2012-2013
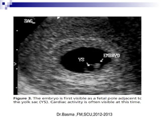
Gestational Sac 7wk Embryo and Yolk Sac
Dr.Basma ,FM,SCU,2012-2013
ExtrautrineExtrautrine
Dr.Basma ,FM,SCU,2012-2013
 If early pregnancy problems…. Urine B-hCG +
AScan
 Intra-uterine pregnancy …….GOOD
 No Intra-uterine gestation Seen…… serum B-
hCG + TVS.
 with serum B-hCG of 1500-2000 ml I.U/ml Intra
uterine gestation should be seen using TVS……
otherwise suspect Ectopic pregnancy
Dr.Basma ,FM,SCU,2012-2013
Serum Human Chorionic
Gonadotropin
 Discriminatory zone: B-hCG level at which
Gestational sac of IU pregnancy should be
seen with U/S confirming IU pregnancy and
essentially R/O EP.
 Intrauterine sac should be visulized:
TVUS  B-hCG level >= 1,000-2,000 IU/L
TAUS  B-hCG level >= 6,500 IU/L
 In Singleton pregnancy
Dr.Basma ,FM,SCU,2012-2013
Serum Human Chorionic
Gonadotropin
 Rise in B-hCG levels of at least 66% in 2 days or 100% in 3
days is consistent with normal pregnancy.
 Minimum increase is 53%
 A rise less than this(<53%) is inconclusive because it seen in:
1. 15 % of normal pregnancy
2. EP
3. Nonviable IU pregnancy
– Falling hCG level suggest  non viable IU pregnancy.
< 7 week
GA
Dr.Basma ,FM,SCU,2012-2013
ultrasonographic diagnosis
 Definitive ultrasonographic diagnosis of an ectopic pregnancy is made in
only about 20% of cases, when an extrauterine pregnancy is clearly
identified (ie, an extrauterine gestational sac with a yolk sac or fetal pole is
visualized).
 numerous findings that are highly suggestive of ectopic pregnancy,
including
1. an empty uterus in a patient with a β-hCG level above the discriminatory
zone,
2. an adnexal mass other than a simple cyst .
3. echogenic fluid in the cul-de-sac, or anything more than a small amount of
fluid in the cul-de-sac.
Dr.Basma ,FM,SCU,2012-2013
Dr.Basma ,FM,SCU,2012-2013
Ultrasound sign
 A tubal ring is a thick-walled cystic structure in the adnexa,
 independent of the ovary and uterus, and is highly predictive
of ectopic pregnancy
 It can sometimes be confused with a corpus luteum cyst when
the ovary is not well visualized.
 The corpus luteum cyst wall tends to be thinner and less
echogenic than the endometrium, and the cyst tends to contain
clear fluid
 When surrounded by free fluid, it can sometimes be confused
with a hemorrhagic ovarian cyst.[17]
Dr.Basma ,FM,SCU,2012-2013
Dr.Basma ,FM,SCU,2012-2013
Uterus outlined red, uterine lining green
Tubal ectopic pregnancy yellow
Fluid in uterus at blue circle is a "pseudosac"
Looks like early pregnancy sac, but is not
Dr.Basma ,FM,SCU,2012-2013
 The most definitive
sonographic sign of
ectopic pregnancy is the
visualization of an
extrauterine gestational
sac containing a yolk
sac, embryo or fetal
heart beat
ectopicUterus
Dr.Basma ,FM,SCU,2012-2013
balder
EctopicEctopic
uterusuterus
Dr.Basma ,FM,SCU,2012-2013
Dr.Basma ,FM,SCU,2012-2013
Normal US Findings
Embryo (black arrow); amnion (small arrow) does not fuse
with chorion (large arrow) until 12-16wks gestation.
Dr.Basma ,FM,SCU,2012-2013
Picture of uterus without a fetal pole and a complex
adnexal mass consistent with ectopic pregnancy
Dr.Basma ,FM,SCU,2012-2013
Ask your selfAsk your self
 Is she pregnant ?
 Intra uterine or ectopic pregnancy ?
 Viable or not viable fetus ?
 If not vaible ……..which type?
Dr.Basma ,FM,SCU,2012-2013
Viable or notViable or not
Dr.Basma ,FM,SCU,2012-2013
Viable or not
Dr.Basma ,FM,SCU,2012-2013
Signs suggestive of abnormal embryonic developmentSigns suggestive of abnormal embryonic development
 include a gestational sac greater than 10 mm10 mm in diameter without a visible
yolk sac
 gestational sac greater than 18 mm18 mm in diameter without a fetal pole
 a collapsed gestational sac
 Additionally, when the difference between the mean sac diameter and
crown rump length (CRL) is less than 5mm5mm, there is a significant risk of
spontaneous abortion.
 Other signs associated with a poor prognosis include the absence of a fetal
heart beat in an embryo with a CRL of at least 5 mm5 mm
 a fetal heart beat less than 90 beats90 beats per minute.
Dr.Basma ,FM,SCU,2012-2013
Serum Human Chorionic
Gonadotropin
 Rise in B-hCG levels of at least 66% in 2 days or 100% in 3
days is consistent with normal pregnancy.
 Minimum increase is 53%
 A rise less than this(<53%) is inconclusive because it seen in:
1. 15 % of normal pregnancy
2. EP
3. Nonviable IU pregnancy
– Falling hCG level suggest  non viable IU pregnancy.
< 7 week
GA
Dr.Basma ,FM,SCU,2012-2013
Serum Progesterone
Dr.Basma ,FM,SCU,2012-2013
 Transvaginal
ultrasound in a
longitudinal plane
showing a gestational
sac greater than 8
mm in diameter
without a yolk
Dr.Basma ,FM,SCU,2012-2013
 A gestational sac
greater than 18 mm
without a fetal pole
Dr.Basma ,FM,SCU,2012-2013
 Transvaginal
ultrasound in a
longitudinal plane
showing a collapsed
gestational sac
Dr.Basma ,FM,SCU,2012-2013
MangementMangement
Dr.Basma ,FM,SCU,2012-2013
Ask your selfAsk your self
 Is she pregnant ?
 Intra uterine or ectopic pregnancy ?
 Viable or not viable fetus ?
 Management ?
Dr.Basma ,FM,SCU,2012-2013
Dr.Basma ,FM,SCU,2012-2013
Dr.Basma ,FM,SCU,2012-2013
No ectopic or pregnancy sac
seen??
 Abortion
 Early preganancy
 ectopic
Dr.Basma ,FM,SCU,2012-2013
Dr.Basma ,FM,SCU,2012-2013
Dr.Basma ,FM,SCU,2012-2013
Management
 Expectant management (wait and see) is highly effective for
the treatment of incomplete abortion, follow up by b hcgincomplete abortion, follow up by b hcg 8080
percent drop in the β-hCG level one week following the
passage of tissue confirms completion.
 misoprostol and uterine aspiration are more effective for the
management of anembryonic gestationanembryonic gestation and embryonicembryonic
demise.demise.
Dr.Basma ,FM,SCU,2012-2013
 Misoprostol in a dose of 800 mcg administered vaginally is
effective and well-tolerated.
 Cramping and bleeding typically occur within two to six
hours of misoprostol insertion, with the most sever symptoms
resolving in about three to five hours.
 Pretreatment with a nonsteroidal anti-infammatory drug
before administering is helpful adverse effects of fever, chills,
and severe cramping
Dr.Basma ,FM,SCU,2012-2013
Ultrasound findings post-
abortion
“thin stripe” “thick strip”
Dr.Basma ,FM,SCU,2012-2013
SummarySummary
Dr.Basma ,FM,SCU,2012-2013
Dr.Basma ,FM,SCU,2012-2013
Affp, 2011
Dr.Basma ,FM,SCU,2012-2013
Dr.Basma ,FM,SCU,2012-2013
THANK YOUTHANK YOU

vaginal bleeding in early pregnancy

Editor's Notes

  • #71 &amp;lt;number&amp;gt; In the left-hand scan, we see a thin endometrial “stripe”. This ultrasound would tend to rule out retained products of conception as a cause of continued bleeding. Other causes could be infection or a hypotrophic endometrium. This contrasts with the ultrasound on the lower right, in which the endometrial “stripe” is thickened. Remember that after a medical abortion, a thickened “stripe” is a normal finding and intervention is only necessary if clinically indicated.