1Copyright © 2006-2011 Marshall Cavendish International (Singapore) Pte. Ltd.
Heredity I
2Copyright © 2006-2011 Marshall Cavendish International (Singapore) Pte. Ltd.
LEARNING OBJECTIVES
3Copyright © 2006-2011 Marshall Cavendish International (Singapore) Pte. Ltd.
Hereditary traits
• Hair type
• Skin colour
• Ear shape (lobed or attached)
• Widow’s peak
• Face shape
• Chin (with or without cleft)
• Tongue (roller or non-roller)
• Blood type
• Ability to taste a bitter chemical known as
phenylthiocarbamide (PTC).
4Copyright © 2006-2011 Marshall Cavendish International (Singapore) Pte. Ltd.
Can you roll your tongue?
Rollers Non-Rollers
Boys Girls Boys Girls
S402
S404
5Copyright © 2006-2011 Marshall Cavendish International (Singapore) Pte. Ltd.
Introduction to some terms
• Genetics is the scientific study
of heredity.
• Inheritance involving a pair of
contrasting traits is known as
monohybrid inheritance.
• Chromosomes are structures
containing DNA (spelling?)
which is condensed DNA prior
and is visible prior to nuclear
division.
gene locus
Paternal
chromosome
Maternal
chromosome
6Copyright © 2006-2011 Marshall Cavendish International (Singapore) Pte. Ltd.
Introduction to some terms
• Gene is a unit of inheritance
which occupies a small
segment of DNA within the
chromosome.
• Each gene codes for a specific
polypeptide and perform a
specific function.
• The gene locus (plural: is the
place on the chromosome
where a gene is located. Loci
is the singular form)
gene locus
Paternal
chromosome
Maternal
chromosome
7Copyright © 2006-2011 Marshall Cavendish International (Singapore) Pte. Ltd.
Chromosomes
• Chromosomes occur in
pairs : one of each pair
comes from the father and
the other from the mother.
• The 2 chromosomes in a pair
are exactly alike in shape
and size
(Homologous
chromosomes).
Define homologous chromosomes?
8Copyright © 2006-2011 Marshall Cavendish International (Singapore) Pte. Ltd.
Alleles on chromosomes
Allele is referring to alternative forms of a gene.
9Copyright © 2006-2011 Marshall Cavendish International (Singapore) Pte. Ltd.
• Has many genes in a fixed order along
the length of the chromosome.
• As chromosomes occur in pairs, genes
also occur in pairs.
Chromosomes
Before
Mitosis/
Meiosis
10Copyright © 2006-2011 Marshall Cavendish International (Singapore) Pte. Ltd.
Each gene can contain different forms coding
for slight variations.
Alleles determine the same or different
forms of a particular characteristic.
11Copyright © 2006-2011 Marshall Cavendish International (Singapore) Pte. Ltd.
• Alleles (for example, T or t) are different forms
of the same gene. They occupy the same
relative positions on a pair of homologous
chromosomes.
• Homologous chromosomes exist in pairs, are
similar in size and shape (except for sex
chromosomes) and have the same
sequence of gene loci.
• However, each chromosome can have
different alleles in a gene loci.
Introduction to some terms
12Copyright © 2006-2011 Marshall Cavendish International (Singapore) Pte. Ltd.
• Alleles (for example, T or t) are different forms of the same gene.
They occupy the same relative positions on a pair of homologous
chromosomes.
• Homologous chromosomes exist in pairs, are similar in size
and shape (except for sex chromosomes) and have the same
sequence of gene loci. However, each chromosome can have
different alleles in a gene loci.
• Phenotype refers to a trait which can be seen.
• Genotype is the genetic make-up of an organism, i.e. of genes
in an organism.
• Dominant allele (T) is expressed which results in the same
phenotype in both homozygous and heterozygous organisms
• Recessive allele (t) is not expressed in the heterozygous
condition, which expressing itself only in the homozygous
condition
Introduction to some terms
13Copyright © 2006-2011 Marshall Cavendish International (Singapore) Pte. Ltd.
Representation of genes by symbols
14Copyright © 2006-2011 Marshall Cavendish International (Singapore) Pte. Ltd.
Genotype and phenotype
• Genotype is the genetic
constitution of an organism.
E.g. FF, ff, Ff
• Phenotype is the characteristic
that is expressed in an individual . It
is determined by the genotype and
may be affected by the
environment.
15Copyright © 2006-2011 Marshall Cavendish International (Singapore) Pte. Ltd.
Genotype expresses in the
phenotype
16Copyright © 2006-2011 Marshall Cavendish International (Singapore) Pte. Ltd.
Representation of genes by letters
17Copyright © 2006-2011 Marshall Cavendish International (Singapore) Pte. Ltd.
Heterozygous and
Homozygous Organisms
• These terms are used in reference to a specific
trait/characteristic represented by a gene (letter)/
• A heterozygous individual has different
alleles for a particular trait (characteristic).
Maternal copy and Paternal copy are
different. E.g Aa, Tt, Ww.
• A homozygous individual has identical
alleles for a particular trait. e.g AA, aa, tt,
TT, SS
18Copyright © 2006-2011 Marshall Cavendish International (Singapore) Pte. Ltd.
Homozygous & heterozygous individuals
F
F
ff Ff
19Copyright © 2006-2011 Marshall Cavendish International (Singapore) Pte. Ltd.
Dominant and recessive alleles
• A dominant allele is a gene that produces its
effect (expresses itself) in the presence of the
other (recessive) allele.
• A recessive allele is a gene whose effect is not
expressed unless it is present as a homozygous
form in the organism. Both alleles must be the
identical for the gene to express its effect in the
organism.
• Examples:
• Mabeylln: recessive gene for attached
earlobes.
Eryue : dominant gene for free earlobes.
20Copyright © 2006-2011 Marshall Cavendish International (Singapore) Pte. Ltd.
Dominant & recessive alleles
21Copyright © 2006-2011 Marshall Cavendish International (Singapore) Pte. Ltd.
Dominant & recessive alleles
F
F
ff Ff
22Copyright © 2006-2011 Marshall Cavendish International (Singapore) Pte. Ltd.
Free and attached earlobes
23Copyright © 2006-2011 Marshall Cavendish International (Singapore) Pte. Ltd.
Mendel’s monohybrid
experiment
• Pure-bred plants are plants which, whcn self-fertilised, produce
offspring (progeny) that resemble their parent.
• A hybrid is the offspring from two different varieties or species.
• Mendel crossed or cross-pollinated tall pea plants with dwarf plants.
• Mendel planted the seeds from the cross and observed the resulting
hybrids. These hybrids are the F1 generation (first filial generation).
• He allowed the F1 offspring to self-fertilise and produce seeds.
• The seeds from the F1 offspring gave rise to the F2 (second filial)
generation, which produced a ratio of three tall plants to one dwarf
plant.
• Mendel concluded that the trait that always appeared in the F1
hybrids (long stems) is dominant while the other trait (short stems) is
recessive.
• The recessive trait reappeared in about 1/4 of the total number of F2
offspring.
1
2
3
4
5
24Copyright © 2006-2011 Marshall Cavendish International (Singapore) Pte. Ltd.
Mendel’s model of heredity
• Hereditary factors (alleles) are
responsible for the transmission of
characteristics.
• Each characteristic is controlled by a
pair of alleles in the cells of the
organism.
• If two alleles are different, only the
effect of the dominant allele is shown.
• The two alleles separate (segregate)
during gamete formation. Each
gamete will only contain one factor
(Law of Segregation).
• Fusion of gametes restores the
diploid number of chromosomes in
the zygote.
• Gametes will unite at random so that
the ratio of characteristics among
offspring can be predicted.
dwarf plant
gametes
segregate
tall plant
gametes unite at random
Mendel’s Law of Segregation
25Copyright © 2006-2011 Marshall Cavendish International (Singapore) Pte. Ltd.
Monohybrid Inheritance
• inheritance of a single characteristic
• Crossing homozygous dominant parent with
homozygous recessive parent.
• F1 generation has dominant trait.
• Self crossing of F1 individuals results in F2.
• 3:1 ratio expected in the F2 generation.
26Copyright © 2006-2011 Marshall Cavendish International (Singapore) Pte. Ltd.
Modelling genetic crosses
TT
× tt
Meiosis
Tall (pure-bred) Dwarf (Pure-bred)
Meiosis
T T t t
Tt Tt
Meiosis
T t
Tall
Meiosis
T t
TT Tt Tt tt
Dwarf
Ratio of
F2 phenotypes:
3 tall (1TT + 2 Tt)
: 1 dwarf (1 tt)
Phenotypes
and genotypes
of parents homozygous dominant homozygous recessive
Gametes
Fertilisation
Phenotypes
and genotypes of F1 generation
×
Tall(self-cross)
TallTall Tall
Gametes
Random fertilisation
Phenotypes
and genotypes of F2 generation
1
2
3
4
5
27Copyright © 2006-2011 Marshall Cavendish International (Singapore) Pte. Ltd.
How to do a genetic cross
Phenotypes of Parents
Genotypes of Parents
Gametes formed
Random Fertilisation
Genotypes of offspring
(F1)
Remark
Phenotypes of offspring
F1
Genotypes of F1 parents
(self cross)
Gametes formed
Random fertilisation
F2 genotype and
phenotype
Ratio of F2 phenotypes
28Copyright © 2006-2011 Marshall Cavendish International (Singapore) Pte. Ltd.
29Copyright © 2006-2011 Marshall Cavendish International (Singapore) Pte. Ltd.
PRACTICE
30Copyright © 2006-2011 Marshall Cavendish International (Singapore) Pte. Ltd.
RULES in choosing the letters
for your genetic crosses
• Look at the dominant trait
• Dominant allele = use the uppercase
letter of the name of the characteristic.
(e.g T)
• The small letter will be the recessive
allele.
(e.g t)
31Copyright © 2006-2011 Marshall Cavendish International (Singapore) Pte. Ltd.
Using the Punnett square
Gametes T T
t Tt Tt
t Tt Tt
Parents: TT tt×
F1 hybrid self-
cross: Gametes T t
T TT Tt
t Tt tt
Tt Tt×
32Copyright © 2006-2011 Marshall Cavendish International (Singapore) Pte. Ltd.
Observed ratio can be different
from expected ratio.
• Large number of sample used, will
approach the theoretical ratio.
• Applies easily to only organisms what have
a large productive capacity.
33Copyright © 2006-2011 Marshall Cavendish International (Singapore) Pte. Ltd.
Determining genotypes
• You can tell the genotype of an organism that shows
the recessive trait. The organism is homozygous
recessive.
• However, it may not be possible to tell the genotype
of an organism with the dominant trait. The organism
can be heterozygous or homozygous for the
dominant allele.
• Breeding experiments are used to identify the
genotype of an organism.
34Copyright © 2006-2011 Marshall Cavendish International (Singapore) Pte. Ltd.
Test cross
The genotype of an organism showing the dominant trait can be
determined by crossing it with an organism that is homozygous recessive.
TT × tt
T t
Homozygous dominant Homozygous recessive
a) If the organism is homozygous dominant, then all the offspring
should show the dominant trait.
Tall Dwarf
Tt
All tall
only one kind of
gamete from
each parent
Phenotypes
and genotypes
of parents
Gametes
Phenotypes
and genotypes
of offspring
35Copyright © 2006-2011 Marshall Cavendish International (Singapore) Pte. Ltd.
b) If the organism is heterozygous, then half the total number of
offspring should show the dominant trait. The remaining half
should show the recessive trait.
Test cross
Tt × tt
T t
Heterozygous dominant Homozygous recessive
Tall Dwarf
Tt
1 Tall : 1 Dwarf
two kinds of
gametes
Phenotypes
and genotypes
of parents
Gametes
Genotypes of offspring
t
tt
Ratio of phenotypes
36Copyright © 2006-2011 Marshall Cavendish International (Singapore) Pte. Ltd.
37Copyright © 2006-2011 Marshall Cavendish International (Singapore) Pte. Ltd.
• Phenotype expressed is through the
interaction between the genotype and the
environment.
38Copyright © 2006-2011 Marshall Cavendish International (Singapore) Pte. Ltd.
Determining phenotypes
• The phenotype is the result of the combined effects
of the gene and the environment.
• The environment can play a part in the expression of
certain traits.
• Example: Himalayan rabbit has an allele for making
black fur, but this trait is only expressed under cool
conditions.
39Copyright © 2006-2011 Marshall Cavendish International (Singapore) Pte. Ltd.
Incomplete dominance
• Neither allele is dominant over the other
• Both alleles express themselves , resulting in
intermediate type.
• Example: The F1 hybrid of a four o’clock plant has a
phenotype that is intermediate between that found in
its homozygous parents.
• Self-fertilisation in the F1 hybrids produces an F2
generation with a phenotypic ratio of 1:2:1.
40Copyright © 2006-2011 Marshall Cavendish International (Singapore) Pte. Ltd.
Incomplete dominance
41Copyright © 2006-2011 Marshall Cavendish International (Singapore) Pte. Ltd.
Gametes R R
W RW RW
W RW RW
Red
White
F1 generation: All pink
Incomplete dominance
Example: Co-dominance in a four o’clock plant
Parents: RR WW× F1 generation: RW RW×
Gametes R W
R RR RW
W RW WW
Pink
Pink
F2 generation: 1 red : 2 pink : 1 white
42Copyright © 2006-2011 Marshall Cavendish International (Singapore) Pte. Ltd.
Incomplete dominance
43Copyright © 2006-2011 Marshall Cavendish International (Singapore) Pte. Ltd.
Co-dominance – alleles
expressed dominantly
44Copyright © 2006-2011 Marshall Cavendish International (Singapore) Pte. Ltd.
True or false
• In co-dominance, the self-fertilisation of the heterozygous
F1 generation of plants yields offspring with three different
characteristics.
• When a homozygous dominant organism is crossed with
another organism that is homozygous recessive, all the
offspring have the dominant phenotype.
• The ratio of F2 phenotypes will always be 3:1, regardless of
the genotype of the parents.
• In a test cross, a heterozygous organism will produce
offspring with a 1:1 phenotypic ratio
• In a test cross, a homozygous parent will produce offspring
with the same phenotype.
45Copyright © 2006-2011 Marshall Cavendish International (Singapore) Pte. Ltd.
Mutations
46Copyright © 2006-2011 Marshall Cavendish International (Singapore) Pte. Ltd.
Sex determination
• Sex chromosomes are chromosomes that
determine the sex of an organism.
• Autosomes are chromosomes in a cell other
than the sex chromosome.
• There are two types of sex chromosome – the
X chromosome and the Y chromosome in
humans
47Copyright © 2006-2011 Marshall Cavendish International (Singapore) Pte. Ltd.
Sex Chromosomes
• SEX CHROMOSOMES ARE FOUND IN
EVERY CELL!
• THE SPERM AND EGG can only carry:
• 1 chromosome out of each homologous
pair + either X or Y.
48Copyright © 2006-2011 Marshall Cavendish International (Singapore) Pte. Ltd.
49Copyright © 2006-2011 Marshall Cavendish International (Singapore) Pte. Ltd.
Sex determination
• Sex chromosomes are chromosomes that
determine the sex of an organism.
• Autosomes are chromosomes in a cell other
than the sex chromosome.
• There are two types of sex chromosome – the
X chromosome and the Y chromosome.
• Human females have two X chromosomes
while males have one X chromosome and a
shorter Y chromosome in each normal body
cell.
50Copyright © 2006-2011 Marshall Cavendish International (Singapore) Pte. Ltd.
Y chromosomes will have fewer
genes on the them compared to
their X counterpart
51Copyright © 2006-2011 Marshall Cavendish International (Singapore) Pte. Ltd.
Sex determination
• Cells that produce gametes by meiosis are
known as sex cells.
• Other cells in the body are known as somatic
cells.
• These cells contain 22 pairs of autosomal
chromosomes and a pair of sex
chromosomes.
• Gametes of human males contain either the
X chromosome or Y chromosome. Gametes
of human females contain only one X
chromosome each.
52Copyright © 2006-2011 Marshall Cavendish International (Singapore) Pte. Ltd.
• In the testis, each sperm mother cell (germ
cell) will generate 4 daughter cells – sperm
cells in meiosis.
53Copyright © 2006-2011 Marshall Cavendish International (Singapore) Pte. Ltd.
Chromosomes of cells in males
54Copyright © 2006-2011 Marshall Cavendish International (Singapore) Pte. Ltd.
Chromosomes of cells in females
55Copyright © 2006-2011 Marshall Cavendish International (Singapore) Pte. Ltd.
56Copyright © 2006-2011 Marshall Cavendish International (Singapore) Pte. Ltd.
Sex determination in humans
When male and female gametes fuse during fertilisation, there is 50%
chance that the offspring could be male and a 50% chance that it
could be female.
XY
× XX
Meiosis
Male Female
Meiosis
X Y X X
XX XX XYXY
Parents
Gametes
Females
Offspring
Males
57Copyright © 2006-2011 Marshall Cavendish International (Singapore) Pte. Ltd.
COLOR BLINDNESS
58Copyright © 2006-2011 Marshall Cavendish International (Singapore) Pte. Ltd.
Haemophilia
59Copyright © 2006-2011 Marshall Cavendish International (Singapore) Pte. Ltd.
Multiple alleles
• If a gene exists in more than two alleles, it is said to
have multiple alleles.
• Example: a) Coat colours in rabbits
Phenotype Genotype
Full colour CC, Cch
,
Cca
Himalayan ch
ch
, ch
ca
Albino ca
ca
C: Allele for full colour (grey coat)
ch
: Allele for Himalayan (white
coat,with black or dark brown
feet, ears, tail and tip of nose
ca
: Allele for albino (white coat)
60Copyright © 2006-2011 Marshall Cavendish International (Singapore) Pte. Ltd.
ALBINISM
61Copyright © 2006-2011 Marshall Cavendish International (Singapore) Pte. Ltd.
FAMILY TREE / PEDIGREE TREE
62Copyright © 2006-2011 Marshall Cavendish International (Singapore) Pte. Ltd.
Example: b) Human blood groups – 4 types
• Human blood group is determined by three alleles –
IA
, IB
and IO
.
• IA
and IB
are both co-dominant, while IO
is recessive to
both IA
and IB
.
Multiple alleles – Blood Groups
Blood group Genotype
A IA
IA
or IA
IO
B IB
IB
or IB
IO
AB IA
IB
O IO
IO
(The genotype IO
IO
is a
homozygous recessive)
63Copyright © 2006-2011 Marshall Cavendish International (Singapore) Pte. Ltd.
64Copyright © 2006-2011 Marshall Cavendish International (Singapore) Pte. Ltd.
65Copyright © 2006-2011 Marshall Cavendish International (Singapore) Pte. Ltd.
66Copyright © 2006-2011 Marshall Cavendish International (Singapore) Pte. Ltd.
Check your
understanding!
• Can multiple alleles of the same
gene be found on the same
chromosome at the same time?
67Copyright © 2006-2011 Marshall Cavendish International (Singapore) Pte. Ltd.
Question
• A homozygous Group B male impregnates a
Group O female.
• List down the various blood groups that can arise in
the offspring from their union.
• Draw out a genetic cross diagram.
• What is the percentage that a child born will be blood
group O?
• What will be the percentage that the two children
born consecutively will be of blood groups
68Copyright © 2006-2011 Marshall Cavendish International (Singapore) Pte. Ltd.
True or false
• The sex of an offspring is determined by the mother’s
gamete.
• Sperms produced by males contain either the X or Y
chromosome.
• Eggs produced by females contain the X chromosome
only.
• Parents who are both heterozygous for the blood group
A (IA
IO
) can produce a child with the blood group AB.
• If the father with blood group A and the mother with
blood group B produce a child with blood group O, it is
likely that both parents are heterozygous for blood
groups A and B respectively.
69Copyright © 2006-2011 Marshall Cavendish International (Singapore) Pte. Ltd.
Learning Objectives
70Copyright © 2006-2011 Marshall Cavendish International (Singapore) Pte. Ltd.
Mutations
1. Mutation occurs as a result of errors during the
replication of the gene or chromosome.
2. If a mutation occurs during gamete production on
the germ line, the resulting genetic change can be
inherited by the offspring.
3. Mutation that occur in normal body cells are known
as somatic mutations. This form of mutation cannot
be inherited e.g skin cancer.
4. Gene mutation produces variation between
individuals as it results in new alleles of genes.
5. Dominant mutations are easily detected, recessive
mutations may not be detectable for generations.
71Copyright © 2006-2011 Marshall Cavendish International (Singapore) Pte. Ltd.
Mutations
• Gene mutations
• Chromosome mutations
72Copyright © 2006-2011 Marshall Cavendish International (Singapore) Pte. Ltd.
Gene mutation
Albinism
• Caused by a mutation in the recessive allele
• Characterised by the absence of pigments in the
skin, hair and eyes
• Albinos are very sensitive to sunlight and their skin
is easily sunburnt
• Rate of mutation for albinism is around 28 per
million gametes produced — a probability of
2.8 × 10-5
.
73Copyright © 2006-2011 Marshall Cavendish International (Singapore) Pte. Ltd.
Gene mutation
Sickle-cell anaemia
• Mutated gene produces haemoglobin S (HbS), which is
almost the same as normal haemoglobin A (HbA), except in
one amino acid
• HbS molecules clump together, making the red blood cell
sickle-shaped, which interferes with the oxygen-carrying
property of the cell.
• The mutated gene is recessive and its severe effects is only
expressed clearly when the person has both alleles as HbS.
(homozygous recessive condition)
Individuals who are heterozygous for the sickle-cell allele are
more resistant to malaria because a small percentage of their
red blood cells that are sickle-shaped.
74Copyright © 2006-2011 Marshall Cavendish International (Singapore) Pte. Ltd.
Sickle cell trait
• describes a condition in which a person has one
abnormal allele of the hemoglobin.
• Heterozygous for the allele
• produce both normal and abnormal hemoglobin (the
two alleles are co-dominant)
• Red blood cells are not fully sickle-celled shaped in
low oxygen areass
• No severe symptoms; different from the people who
are homozygous for this allele.
75Copyright © 2006-2011 Marshall Cavendish International (Singapore) Pte. Ltd.
Sickle Cell Anaemia
• Inherited blood disorder
• Mutation in gene controlling
haemoglobin production
• Incorrect amino acid
• Affected red blood cells
– Low binding capacity
– Decreased elasticity
(cannot squeeze through
fine capillaries)
– Fragile and break easily,
leading to clots.
76Copyright © 2006-2011 Marshall Cavendish International (Singapore) Pte. Ltd.
77Copyright © 2006-2011 Marshall Cavendish International (Singapore) Pte. Ltd.
++ Oxygen Availability --
78Copyright © 2006-2011 Marshall Cavendish International (Singapore) Pte. Ltd.
• HbS (Haemoglobin S) produced rather than the
normal HbA (Haemoglobin A)
• HbS molecules clump together at low oxygen
concentrations.
• Homozygous for HbS will have much reduced life
span
• Heterozygous (HbS and HbA) – carrier, trait
conferred advantage in malaria prone areas as
the parasite cannot breed in the sickle shaped
red blood cells.
Hence, this allele didn’t get
eliminated from the human
population as it confers some advantage..
79Copyright © 2006-2011 Marshall Cavendish International (Singapore) Pte. Ltd.
Malaria parasites requires RBCs to breed.
Parasites
larvae
forms.
80Copyright © 2006-2011 Marshall Cavendish International (Singapore) Pte. Ltd.
What is a carrier?
• describes an organism/individual that
carries two different forms (alleles) of a
recessive gene
• Is hence heterozygous for that the
recessive gene.
• Phenotype expressed is normal (that of
the dominant allele).
81Copyright © 2006-2011 Marshall Cavendish International (Singapore) Pte. Ltd.
If any of the
child is rr.
Then he/she
will be
affected by the
disease.
On the figure
on the right,
the children
(Rr) will
exhibit normal
phenotype but
will still carry
the recessive
allele.
82Copyright © 2006-2011 Marshall Cavendish International (Singapore) Pte. Ltd.
Sickle Cell trait expression
Both parents are
heterozygotes
Children:
•25% chance of
being normal
•50% chance of
being carrier (sickle
cell trait)
•25% of
developing sickle
cell anaemia.
83Copyright © 2006-2011 Marshall Cavendish International (Singapore) Pte. Ltd.
Can you predict what are the chances
of a female child born to a
homozygous HbS father and a
heterozygous mother to be suffering
from the full blown effects of sickle
cell diease?
84Copyright © 2006-2011 Marshall Cavendish International (Singapore) Pte. Ltd.
CHROMOSOME MUTATIONS
• Mutations caused by change in i) chromosome
number or ii)structure.
85Copyright © 2006-2011 Marshall Cavendish International (Singapore) Pte. Ltd.
Chromosome mutations
• Changes to the structure of the chromosomes –
addition/deletions/inversions of genes.
• Getting addition or minus chromosomes from
the full set.
– Person no longer has the full set of 46
chromosomes.
• (45 or less): deadly.
• 47 or more chromosomes
TRISOMY 13 – inheritance of one
extra chromosome leads to cylopic
babies - deadly
86Copyright © 2006-2011 Marshall Cavendish International (Singapore) Pte. Ltd.
Chromosome mutation
Down’s syndrome
• People with Down’s syndrome have one extra chromosome
21 — they have 47 chromosomes in all their body cells
• The older the mother, the higher the chance that copies of
chromosome 21 will not separate during gamete formation.
Male Female
×
Each normal body
cell has two copies
of chromosome 21
mutationmutation
fertilisationEach sperm has one
copy of chromosome
21.
The egg has two copies of
chromosome 21
The zygote has three copies of
chromosome 21
Parents
Gametes
87Copyright © 2006-2011 Marshall Cavendish International (Singapore) Pte. Ltd.
• failure of a homologous chromosome pair to separate during meiosis.
• Half of the gametes receive an extra chromosome (both members of a homologous
pair). The other half of the gametes are missing a chromosome (no members of a
homologous pair).
• The normal gamete should have one member of each homologous chromosome pair.
88Copyright © 2006-2011 Marshall Cavendish International (Singapore) Pte. Ltd.
Down’s Syndrome
• extra genetic material causes delays in the way a
child develops, both mentally and physically.
• Inheritance of one extra chromosome 21 (extra
genetic material) causes the physical features and
developmental delays associated with Down
syndrome.
• women age 35 and older have a significantly higher
risk of having a child with the condition.
Woman at age 30: 1 in 900 chance
Women by age 40. 1 in100 chance
MARRY EARLY AND HAVE KIDS EARLY!!
89Copyright © 2006-2011 Marshall Cavendish International (Singapore) Pte. Ltd.
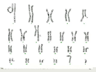
Chromosome mutation
Chromosomes of a person with Down’s syndrome
extra chromosome 21
90Copyright © 2006-2011 Marshall Cavendish International (Singapore) Pte. Ltd.
91Copyright © 2006-2011 Marshall Cavendish International (Singapore) Pte. Ltd.
Klinefelter’s syndrome
• XXY in all cells
• Notice the breast enlargement
and small testicular size.
• Sterile
92Copyright © 2006-2011 Marshall Cavendish International (Singapore) Pte. Ltd.
Mutations to transfer to offspring:
• Those that occurs in the somatic cells (body cells)
will not be transferred to the next generation
• Mutations that occurs in the germ cells for gamete
formation will result in these mutations being
carried forward in the next generation.
93Copyright © 2006-2011 Marshall Cavendish International (Singapore) Pte. Ltd.
Mutation and selection
• Some mutations will disrupt the normal functions of a cell
while some mutations can be beneficial to individual plants
or animals.
• Individuals with beneficial mutation may leave more
offspring that individiuals without.
• Nature ‘selects’ organisms with more favourable
characteristics to survive and reproduce.
• The rate of spontaneous mutation, which is usually very low,
can be greatly increased with the presence of mutagens.
• Examples of mutagens are ultraviolet light, alpha, beta and
gamma radiations, and chemicals such as mustard gas,
formaldehyde and lysergic acid diethylamide (LSD).
94Copyright © 2006-2011 Marshall Cavendish International (Singapore) Pte. Ltd.
NEW
SPECIES
• Favourable mutations will lead to better survival of the
organisms.
• Can mature and reproduce
• Passes the genes to the next generation
• More mutations accumulated lead to new species
eventually forming.
95Copyright © 2006-2011 Marshall Cavendish International (Singapore) Pte. Ltd.
Natural Selection
Artificial Selection
Evolution
96Copyright © 2006-2011 Marshall Cavendish International (Singapore) Pte. Ltd.
Variations
• Variations are differences in characteristics
between individuals of the same species
• Types of traits :
- Traits that are clear-cut without any intermediate forms
between them, such as the pea plants in Mendel’s
experiments.
Easily distinguishable traits that are not affected by the
environment, such as ABO blood type, ability to
roll the tongue, normal and vestigial wings in
Drosophila
97Copyright © 2006-2011 Marshall Cavendish International (Singapore) Pte. Ltd.
• Discontinuous variation is brought about one or a few genes.
• Continuous variation is brought about by the combined or
additive effect of many genes.
Discontinuous and
continuous variation
Number of individuals
in a population
able to roll
tongue
unable to
roll tongue
Discontinuous variation
Number of individuals
in a population
Continuous variation
Dark skin Fair skin
98Copyright © 2006-2011 Marshall Cavendish International (Singapore) Pte. Ltd.
Height
• Height is a continous variation
• Interaction of many genes.
Each gene controls a little bit of
the proteins involved in bone
formation.
99Copyright © 2006-2011 Marshall Cavendish International (Singapore) Pte. Ltd.
100Copyright © 2006-2011 Marshall Cavendish International (Singapore) Pte. Ltd.
Discontinuous variation Continuous variation
Deals with a few clear-cut
phenotypes
Deals with a range of
phenotypes, ranging from one
extreme to another
Controlled by one or a few
genes
Controlled by many genes
Genes do not show additive
effect
Genes show additive effects
Not affected by environmental
conditions
Affected by environmental
conditions
Discontinuous and
continuous variation
101Copyright © 2006-2011 Marshall Cavendish International (Singapore) Pte. Ltd.
***Genetic Factors that can cause
Variation
• Independent assortment of homologus
chromosomes during metaphase I
• Genetic recombination caused by
crossing over during prophase I
(meiosis)
• Random fertilisation of gametes leading
to new grouping of alleles in the
individual.
• Spontaneous mutations
102Copyright © 2006-2011 Marshall Cavendish International (Singapore) Pte. Ltd.
Natural selection
• Variations in organisms may arise due to
mutation.
• Natural Selection: Nature selects varieties of
organisms that are
– more competitive (availability of food and mates)
– more resistant to diseases and
– better adapted to changes in the environment (climate)
Mutation provides new genes or alleles for
natural selection to operate on.
Nature is the driving force that selects which
organisms will survive, mature and
reproduce.
103Copyright © 2006-2011 Marshall Cavendish International (Singapore) Pte. Ltd.
• More beneficial qualities
accummulate in a species
over a long time.
• New breed of organisms can
be better adapted to their
new environment.
• This breed can no longer
breed with its ancestors
results in new species
forming.
104Copyright © 2006-2011 Marshall Cavendish International (Singapore) Pte. Ltd.
Importance of mutations in
natural selection and
evolution
• Mutations happen
spontaneously.
• Only mutations that occurs at
the germ layer that create
gametes can passed on
these mutations.
• Some mutations are harmful
but others are beneficial.
• Harmful mutations usually
lead to deaths or make it
unfavourable to be passed
onto the offspring.
• Natural selection =
environment acts as the
driving force that allows
better adapted organisms to
survive and have offspring
105Copyright © 2006-2011 Marshall Cavendish International (Singapore) Pte. Ltd.
Importance of mutations in
natural selection and
evolution
• These mutations can accumulate
over many generations
• Eventually, the organsim may
accumulate so many mutations
that it appear to be a different
species
• This new species can no longer
breed with the original stock.
• A new species is hence evolved.
• The picture shows how 2
populations (originally from the
same species) has evolved
differently to form 2 distinct
species
• Species A and B cannot
interbreed.
106Copyright © 2006-2011 Marshall Cavendish International (Singapore) Pte. Ltd.
Evolution =
change over time in one or
more inherited traits found in
populations of organisms
resulting in new species.
107Copyright © 2006-2011 Marshall Cavendish International (Singapore) Pte. Ltd.
Natural selection
• One piece of evidence for natural selection is seen in Darwin’s finches
on the Galapagos Islands.
• It was observed that finches on the Galapagos Islands had six types of
beaks, each suited to a particular diet.
large ground
finch
cactus
ground finch
warbler
finch
insectivorous
tree finch
vegetarian
tree finch
woodpecker
finch
Typical mainland type (ancestral)
short, straight
beak for crushing
seeds
long, slender
beak for
collecting
nectar
slender beak
for feeding on
small insects in
mid-air
parrot-like
beak to feed
on insects
curved parrot-like
beak to feed on
buds and fruits
large straight beak
to bored holes in
tree trunk
large seeds cactus flower flying insects large insects buds and fruit insect larvae
108Copyright © 2006-2011 Marshall Cavendish International (Singapore) Pte. Ltd.
Explanation of Darwin’s
observations at the Galapagos
Islands
• It was observed that finches on the Galapagos islands had six types of
beaks
• Ancestor finches came from the South American mainland.
• The finches reproduced rapidly, resulting in keen competition.
• Variations occurred and finches with beaks suited for a particular diet in
the islands are at a selective advantage.
• Eventually, six major types of finches evolved, each of which is adapted
to a particular food source.
• This process whereby a common ancestor has evolved into six different
species of finches, each adapted to a particular diet, is known as
adaptive radiation.
109Copyright © 2006-2011 Marshall Cavendish International (Singapore) Pte. Ltd.
110Copyright © 2006-2011 Marshall Cavendish International (Singapore) Pte. Ltd.
Adaptive Radiation
• One common ancestor evolving to many species.
111Copyright © 2006-2011 Marshall Cavendish International (Singapore) Pte. Ltd.
Convergent Radiation (not required in syllabus)
Flying animals
similar shapes in wing
structures.
Nature produces a
selection pressure
that acts on what
structures will be
suitable for the
environment leading
to animals to evolve
similar structures
112Copyright © 2006-2011 Marshall Cavendish International (Singapore) Pte. Ltd.
Mechanism of evolution = new species
Organisms reproduce rapidly
as food supply is abundant
Spontaneous mutation takes place, resulting in variation in the
organisms. Favorable traits will confer a selective advantage
and such organisms will survive, reproduce and pass on their
favourable genes to their offspring.
These organisms become the
predominant species in their environment
Organisms migrate to different environments
113Copyright © 2006-2011 Marshall Cavendish International (Singapore) Pte. Ltd.
Formation of new species
114Copyright © 2006-2011 Marshall Cavendish International (Singapore) Pte. Ltd.
Artificial selection
Selective breeding is used to produce plants and
animals with desirable traits.
a) Improving plants by selection
Analyse and select
plants that produce
seeds with high oil
content.
Allow the selected seeds to grow
into new plants. Let these plants
self-fertilise or cross them with
other plants showing the desired
characteristics.
Select the seeds produced
by the new plants. These
seeds are used again as
parents for the next
generation.
After many generations, you
may obtain plants that
produce seeds with desired
qualities. The plants can then
be self-pollinated.
115Copyright © 2006-2011 Marshall Cavendish International (Singapore) Pte. Ltd.
Artificial selection
• Different varieties of plants and animals, each with their
own favorable traits, may be crossed to create a superior
variety. This process is known as hybridisation.
a) PLANTS Improving plants by selection (resistance to
disease and pests, better flavour.
• For example, a crop that produces food of a high nutrition
content may be crossed with another crop that is resistant
to pests to produce a hybrid that is both resistant to pests
and high in nutrition content.
• Hybrids do not produce offspring identical to the parents.
• Cannot reproduce to form new offspring – no flowers or
seeds.
• Therefore, the hybrid has to be propagated either by
vegetative means, such as by cutting, or the hybridisation
process has to be repeated every generation.
116Copyright © 2006-2011 Marshall Cavendish International (Singapore) Pte. Ltd.
Selective Breeding= Artificial selection by MAN
117Copyright © 2006-2011 Marshall Cavendish International (Singapore) Pte. Ltd.
• Cannot reproduce to form new offspring – no flowers or seeds.
118Copyright © 2006-2011 Marshall Cavendish International (Singapore) Pte. Ltd.
Plant Tissue culture
• You can create a new
individuals using the
existing parts.
• All the cells contain the
essential genes
• Just that the parent
plant cannot form
proper gametes through
meiosis.
119Copyright © 2006-2011 Marshall Cavendish International (Singapore) Pte. Ltd.
Vegetables you consumed arises from the
same ancestor plant?
120Copyright © 2006-2011 Marshall Cavendish International (Singapore) Pte. Ltd.
• Breeders breed animals with desirable traits with another
animal that has known required traits.
• Hybridisation is also practiced between different breeds of
animals. After rounds of hybridisation, breeders achieve a
desirable outcome of a livestock with a desirable trait
• The improved breed of livestock is maintained by
inbreeding.
• Inbreeding has dangers of its own, such as the
accumulation of recessive alleles in a population, which
could result in the inheritance of some genetic diseases.
Artificial selection
b) Improving animals by selection
(resistance to disease and pests)
121Copyright © 2006-2011 Marshall Cavendish International (Singapore) Pte. Ltd.
Breeding of Animals (Video?)
122Copyright © 2006-2011 Marshall Cavendish International (Singapore) Pte. Ltd.
• Liger is a hybrid cross between
a male lion (Panthera leo) and
a tigress (Panthera tigris),
hence has parents with the
same genus but of different
species.
• Ligers generally grow larger
than both its parents put
together.
• Ligers enjoy swimming which is
a characteristic of tigers and
are very sociable like lions, but
unlike tigons, ligers are more
likely to live past birth
123Copyright © 2006-2011 Marshall Cavendish International (Singapore) Pte. Ltd.
• Zorse is a hybrid between zebra and horse. Awesome creature with horrible temper.
Zebras are aggressive animals, and zorse gets the best out of that trait. It is also
naturally sterile
124Copyright © 2006-2011 Marshall Cavendish International (Singapore) Pte. Ltd.
Comparing natural selection
and artificial selection
Natural selection Artificial selection
Selection occurs
when natural
environmental
conditions
change.
Humans select the
varieties of
organisms that suit
their needs.
Varieties
produced by
mutations.
Varieties are
produced by
selective breeding.
125Copyright © 2006-2011 Marshall Cavendish International (Singapore) Pte. Ltd.
126Copyright © 2006-2011 Marshall Cavendish International (Singapore) Pte. Ltd.
Industralisation acts as driving force
127Copyright © 2006-2011 Marshall Cavendish International (Singapore) Pte. Ltd.
Industralisation acts as
selection force that cause
the darker colored moths to
better survive
128Copyright © 2006-2011 Marshall Cavendish International (Singapore) Pte. Ltd.
Why do you need to
finish off the total
course of antibiotic
treatment given to you?
Bacterial Population:
Drug resistant
Non-drug resistant
Numbers are usually
balanced as they keep each
other in check due to
competition for space, food
etc.
Antibiotic administered:
What happened?
129Copyright © 2006-2011 Marshall Cavendish International (Singapore) Pte. Ltd.
True or false
• Inbreeding will likely result in organisms that are
homozygous for a particular recessive allele.
• All mutations are harmful and bring no benefit to
organisms.
• A particular mutation may confer a selective
advantage on an organism when environmental
conditions change.
• It is possible for an ancestral species of an organism
to evolve into a number of newer species.
• Hybrid plants can be propagated by vegetative
means only.
130Copyright © 2006-2011 Marshall Cavendish International (Singapore) Pte. Ltd.
Do you know?
• Each corn kernel
that you find on a
corn cob is
produced through
a union of a pollen
grain and a ovule
(egg)?
• If 2 of the corn
kernels of the F1
generation is self
fertilised. See what
your F2 kernels will
be like?
131Copyright © 2006-2011 Marshall Cavendish International (Singapore) Pte. Ltd.
132Copyright © 2006-2011 Marshall Cavendish International (Singapore) Pte. Ltd.
Genetic Engineering
As the nucleus already contains all the genes
required for the normal functions of the
organism.
We can implant a nucleus from a somatic cell
into a egg cell (with its nucleus removed) and
then implant it back into the lamb.
The lamb has now become the surrogate
mother.
133Copyright © 2006-2011 Marshall Cavendish International (Singapore) Pte. Ltd.
Question
A species, predatory to this species of fish is introduced into the river.
Which variety , (P,Q or R) would be most likely to decrease in number?
Explain your answer.
134Copyright © 2006-2011 Marshall Cavendish International (Singapore) Pte. Ltd.
135Copyright © 2006-2011 Marshall Cavendish International (Singapore) Pte. Ltd.
Answers
Variety R
•no patterns on body
•Cannot blend into the environment
•Lacks camouflage
•easily seen by predators
•And attacked
•Leading to decrease in numbers
136Copyright © 2006-2011 Marshall Cavendish International (Singapore) Pte. Ltd.
137Copyright © 2006-2011 Marshall Cavendish International (Singapore) Pte. Ltd.
Sickleback fishes
Different
selection
pressures
offered by
different
environments
leads to the
different
patterns and
formation of
bony plates on
the fish body.
138Copyright © 2006-2011 Marshall Cavendish International (Singapore) Pte. Ltd.
The diagram below shows the stages by which evolution might occur when
2 different types of animals evolve from a common ancestor over many
thousands of years.
By reference to each of the lettered stages, suggest how the diagram
illustrates the process
139Copyright © 2006-2011 Marshall Cavendish International (Singapore) Pte. Ltd.
What
characteristics
should an
organism have to
thrive in these
environments?
• Colour
• Height of
organisms
• Patterns for
camouflage
140Copyright © 2006-2011 Marshall Cavendish International (Singapore) Pte. Ltd.
Answers
• Different and isolated habitats – they only interbreed within the population in
their location. No interbreeding between individuals occur between 2
populations.
• Genetic variation occur spontaneously in A leading to variations.
– Natural mutation
– Variation during sexual reproduction – meiosis e.g independent
assortment and crossing over
– Random fertilisation of gametes
• Environment = Natural selection.
• Survival of the fittest.
Advantages are selected
– Animals that are better adapted, more resistant to diseases can survive and reproduce.
Favourable characteristics defined by these genes are then passed via gametes to form the
next generation/offspring.
141Copyright © 2006-2011 Marshall Cavendish International (Singapore) Pte. Ltd.
B thrives in dense vegetation.
•Spots
•B has more spots than C
•Continuous variation = Number of spots on the coat of animal B > C
•B – shorter hind legs
– Vertebral column/spine develops horizontally.
– 4 limbs on the ground
– Lowers the centre of gravity – improving the stability
– Moves rapidly in the undergrowth
• B - camouflage/foliage - Smaller, darker spotted body.
– non easily seen by predators in dense undergrowth.
C thrives in open plain habitat
•Develops longer ears – can sharper sense of hearing, more alert to potential dangers.
•Longer and muscular hind legs – greater agility and mobility to escape from predators
•Taller – reach out and feed on leaves of shrubs and trees in the open plains.
•Lighter body colour with fewer spots, blend into the open grassland.
•Surives hot climate due to body colour reduces absorption of heat.

Bio matters ch19 heredity 1

  • 1.
    1Copyright © 2006-2011Marshall Cavendish International (Singapore) Pte. Ltd. Heredity I
  • 2.
    2Copyright © 2006-2011Marshall Cavendish International (Singapore) Pte. Ltd. LEARNING OBJECTIVES
  • 3.
    3Copyright © 2006-2011Marshall Cavendish International (Singapore) Pte. Ltd. Hereditary traits • Hair type • Skin colour • Ear shape (lobed or attached) • Widow’s peak • Face shape • Chin (with or without cleft) • Tongue (roller or non-roller) • Blood type • Ability to taste a bitter chemical known as phenylthiocarbamide (PTC).
  • 4.
    4Copyright © 2006-2011Marshall Cavendish International (Singapore) Pte. Ltd. Can you roll your tongue? Rollers Non-Rollers Boys Girls Boys Girls S402 S404
  • 5.
    5Copyright © 2006-2011Marshall Cavendish International (Singapore) Pte. Ltd. Introduction to some terms • Genetics is the scientific study of heredity. • Inheritance involving a pair of contrasting traits is known as monohybrid inheritance. • Chromosomes are structures containing DNA (spelling?) which is condensed DNA prior and is visible prior to nuclear division. gene locus Paternal chromosome Maternal chromosome
  • 6.
    6Copyright © 2006-2011Marshall Cavendish International (Singapore) Pte. Ltd. Introduction to some terms • Gene is a unit of inheritance which occupies a small segment of DNA within the chromosome. • Each gene codes for a specific polypeptide and perform a specific function. • The gene locus (plural: is the place on the chromosome where a gene is located. Loci is the singular form) gene locus Paternal chromosome Maternal chromosome
  • 7.
    7Copyright © 2006-2011Marshall Cavendish International (Singapore) Pte. Ltd. Chromosomes • Chromosomes occur in pairs : one of each pair comes from the father and the other from the mother. • The 2 chromosomes in a pair are exactly alike in shape and size (Homologous chromosomes). Define homologous chromosomes?
  • 8.
    8Copyright © 2006-2011Marshall Cavendish International (Singapore) Pte. Ltd. Alleles on chromosomes Allele is referring to alternative forms of a gene.
  • 9.
    9Copyright © 2006-2011Marshall Cavendish International (Singapore) Pte. Ltd. • Has many genes in a fixed order along the length of the chromosome. • As chromosomes occur in pairs, genes also occur in pairs. Chromosomes Before Mitosis/ Meiosis
  • 10.
    10Copyright © 2006-2011Marshall Cavendish International (Singapore) Pte. Ltd. Each gene can contain different forms coding for slight variations. Alleles determine the same or different forms of a particular characteristic.
  • 11.
    11Copyright © 2006-2011Marshall Cavendish International (Singapore) Pte. Ltd. • Alleles (for example, T or t) are different forms of the same gene. They occupy the same relative positions on a pair of homologous chromosomes. • Homologous chromosomes exist in pairs, are similar in size and shape (except for sex chromosomes) and have the same sequence of gene loci. • However, each chromosome can have different alleles in a gene loci. Introduction to some terms
  • 12.
    12Copyright © 2006-2011Marshall Cavendish International (Singapore) Pte. Ltd. • Alleles (for example, T or t) are different forms of the same gene. They occupy the same relative positions on a pair of homologous chromosomes. • Homologous chromosomes exist in pairs, are similar in size and shape (except for sex chromosomes) and have the same sequence of gene loci. However, each chromosome can have different alleles in a gene loci. • Phenotype refers to a trait which can be seen. • Genotype is the genetic make-up of an organism, i.e. of genes in an organism. • Dominant allele (T) is expressed which results in the same phenotype in both homozygous and heterozygous organisms • Recessive allele (t) is not expressed in the heterozygous condition, which expressing itself only in the homozygous condition Introduction to some terms
  • 13.
    13Copyright © 2006-2011Marshall Cavendish International (Singapore) Pte. Ltd. Representation of genes by symbols
  • 14.
    14Copyright © 2006-2011Marshall Cavendish International (Singapore) Pte. Ltd. Genotype and phenotype • Genotype is the genetic constitution of an organism. E.g. FF, ff, Ff • Phenotype is the characteristic that is expressed in an individual . It is determined by the genotype and may be affected by the environment.
  • 15.
    15Copyright © 2006-2011Marshall Cavendish International (Singapore) Pte. Ltd. Genotype expresses in the phenotype
  • 16.
    16Copyright © 2006-2011Marshall Cavendish International (Singapore) Pte. Ltd. Representation of genes by letters
  • 17.
    17Copyright © 2006-2011Marshall Cavendish International (Singapore) Pte. Ltd. Heterozygous and Homozygous Organisms • These terms are used in reference to a specific trait/characteristic represented by a gene (letter)/ • A heterozygous individual has different alleles for a particular trait (characteristic). Maternal copy and Paternal copy are different. E.g Aa, Tt, Ww. • A homozygous individual has identical alleles for a particular trait. e.g AA, aa, tt, TT, SS
  • 18.
    18Copyright © 2006-2011Marshall Cavendish International (Singapore) Pte. Ltd. Homozygous & heterozygous individuals F F ff Ff
  • 19.
    19Copyright © 2006-2011Marshall Cavendish International (Singapore) Pte. Ltd. Dominant and recessive alleles • A dominant allele is a gene that produces its effect (expresses itself) in the presence of the other (recessive) allele. • A recessive allele is a gene whose effect is not expressed unless it is present as a homozygous form in the organism. Both alleles must be the identical for the gene to express its effect in the organism. • Examples: • Mabeylln: recessive gene for attached earlobes. Eryue : dominant gene for free earlobes.
  • 20.
    20Copyright © 2006-2011Marshall Cavendish International (Singapore) Pte. Ltd. Dominant & recessive alleles
  • 21.
    21Copyright © 2006-2011Marshall Cavendish International (Singapore) Pte. Ltd. Dominant & recessive alleles F F ff Ff
  • 22.
    22Copyright © 2006-2011Marshall Cavendish International (Singapore) Pte. Ltd. Free and attached earlobes
  • 23.
    23Copyright © 2006-2011Marshall Cavendish International (Singapore) Pte. Ltd. Mendel’s monohybrid experiment • Pure-bred plants are plants which, whcn self-fertilised, produce offspring (progeny) that resemble their parent. • A hybrid is the offspring from two different varieties or species. • Mendel crossed or cross-pollinated tall pea plants with dwarf plants. • Mendel planted the seeds from the cross and observed the resulting hybrids. These hybrids are the F1 generation (first filial generation). • He allowed the F1 offspring to self-fertilise and produce seeds. • The seeds from the F1 offspring gave rise to the F2 (second filial) generation, which produced a ratio of three tall plants to one dwarf plant. • Mendel concluded that the trait that always appeared in the F1 hybrids (long stems) is dominant while the other trait (short stems) is recessive. • The recessive trait reappeared in about 1/4 of the total number of F2 offspring. 1 2 3 4 5
  • 24.
    24Copyright © 2006-2011Marshall Cavendish International (Singapore) Pte. Ltd. Mendel’s model of heredity • Hereditary factors (alleles) are responsible for the transmission of characteristics. • Each characteristic is controlled by a pair of alleles in the cells of the organism. • If two alleles are different, only the effect of the dominant allele is shown. • The two alleles separate (segregate) during gamete formation. Each gamete will only contain one factor (Law of Segregation). • Fusion of gametes restores the diploid number of chromosomes in the zygote. • Gametes will unite at random so that the ratio of characteristics among offspring can be predicted. dwarf plant gametes segregate tall plant gametes unite at random Mendel’s Law of Segregation
  • 25.
    25Copyright © 2006-2011Marshall Cavendish International (Singapore) Pte. Ltd. Monohybrid Inheritance • inheritance of a single characteristic • Crossing homozygous dominant parent with homozygous recessive parent. • F1 generation has dominant trait. • Self crossing of F1 individuals results in F2. • 3:1 ratio expected in the F2 generation.
  • 26.
    26Copyright © 2006-2011Marshall Cavendish International (Singapore) Pte. Ltd. Modelling genetic crosses TT × tt Meiosis Tall (pure-bred) Dwarf (Pure-bred) Meiosis T T t t Tt Tt Meiosis T t Tall Meiosis T t TT Tt Tt tt Dwarf Ratio of F2 phenotypes: 3 tall (1TT + 2 Tt) : 1 dwarf (1 tt) Phenotypes and genotypes of parents homozygous dominant homozygous recessive Gametes Fertilisation Phenotypes and genotypes of F1 generation × Tall(self-cross) TallTall Tall Gametes Random fertilisation Phenotypes and genotypes of F2 generation 1 2 3 4 5
  • 27.
    27Copyright © 2006-2011Marshall Cavendish International (Singapore) Pte. Ltd. How to do a genetic cross Phenotypes of Parents Genotypes of Parents Gametes formed Random Fertilisation Genotypes of offspring (F1) Remark Phenotypes of offspring F1 Genotypes of F1 parents (self cross) Gametes formed Random fertilisation F2 genotype and phenotype Ratio of F2 phenotypes
  • 28.
    28Copyright © 2006-2011Marshall Cavendish International (Singapore) Pte. Ltd.
  • 29.
    29Copyright © 2006-2011Marshall Cavendish International (Singapore) Pte. Ltd. PRACTICE
  • 30.
    30Copyright © 2006-2011Marshall Cavendish International (Singapore) Pte. Ltd. RULES in choosing the letters for your genetic crosses • Look at the dominant trait • Dominant allele = use the uppercase letter of the name of the characteristic. (e.g T) • The small letter will be the recessive allele. (e.g t)
  • 31.
    31Copyright © 2006-2011Marshall Cavendish International (Singapore) Pte. Ltd. Using the Punnett square Gametes T T t Tt Tt t Tt Tt Parents: TT tt× F1 hybrid self- cross: Gametes T t T TT Tt t Tt tt Tt Tt×
  • 32.
    32Copyright © 2006-2011Marshall Cavendish International (Singapore) Pte. Ltd. Observed ratio can be different from expected ratio. • Large number of sample used, will approach the theoretical ratio. • Applies easily to only organisms what have a large productive capacity.
  • 33.
    33Copyright © 2006-2011Marshall Cavendish International (Singapore) Pte. Ltd. Determining genotypes • You can tell the genotype of an organism that shows the recessive trait. The organism is homozygous recessive. • However, it may not be possible to tell the genotype of an organism with the dominant trait. The organism can be heterozygous or homozygous for the dominant allele. • Breeding experiments are used to identify the genotype of an organism.
  • 34.
    34Copyright © 2006-2011Marshall Cavendish International (Singapore) Pte. Ltd. Test cross The genotype of an organism showing the dominant trait can be determined by crossing it with an organism that is homozygous recessive. TT × tt T t Homozygous dominant Homozygous recessive a) If the organism is homozygous dominant, then all the offspring should show the dominant trait. Tall Dwarf Tt All tall only one kind of gamete from each parent Phenotypes and genotypes of parents Gametes Phenotypes and genotypes of offspring
  • 35.
    35Copyright © 2006-2011Marshall Cavendish International (Singapore) Pte. Ltd. b) If the organism is heterozygous, then half the total number of offspring should show the dominant trait. The remaining half should show the recessive trait. Test cross Tt × tt T t Heterozygous dominant Homozygous recessive Tall Dwarf Tt 1 Tall : 1 Dwarf two kinds of gametes Phenotypes and genotypes of parents Gametes Genotypes of offspring t tt Ratio of phenotypes
  • 36.
    36Copyright © 2006-2011Marshall Cavendish International (Singapore) Pte. Ltd.
  • 37.
    37Copyright © 2006-2011Marshall Cavendish International (Singapore) Pte. Ltd. • Phenotype expressed is through the interaction between the genotype and the environment.
  • 38.
    38Copyright © 2006-2011Marshall Cavendish International (Singapore) Pte. Ltd. Determining phenotypes • The phenotype is the result of the combined effects of the gene and the environment. • The environment can play a part in the expression of certain traits. • Example: Himalayan rabbit has an allele for making black fur, but this trait is only expressed under cool conditions.
  • 39.
    39Copyright © 2006-2011Marshall Cavendish International (Singapore) Pte. Ltd. Incomplete dominance • Neither allele is dominant over the other • Both alleles express themselves , resulting in intermediate type. • Example: The F1 hybrid of a four o’clock plant has a phenotype that is intermediate between that found in its homozygous parents. • Self-fertilisation in the F1 hybrids produces an F2 generation with a phenotypic ratio of 1:2:1.
  • 40.
    40Copyright © 2006-2011Marshall Cavendish International (Singapore) Pte. Ltd. Incomplete dominance
  • 41.
    41Copyright © 2006-2011Marshall Cavendish International (Singapore) Pte. Ltd. Gametes R R W RW RW W RW RW Red White F1 generation: All pink Incomplete dominance Example: Co-dominance in a four o’clock plant Parents: RR WW× F1 generation: RW RW× Gametes R W R RR RW W RW WW Pink Pink F2 generation: 1 red : 2 pink : 1 white
  • 42.
    42Copyright © 2006-2011Marshall Cavendish International (Singapore) Pte. Ltd. Incomplete dominance
  • 43.
    43Copyright © 2006-2011Marshall Cavendish International (Singapore) Pte. Ltd. Co-dominance – alleles expressed dominantly
  • 44.
    44Copyright © 2006-2011Marshall Cavendish International (Singapore) Pte. Ltd. True or false • In co-dominance, the self-fertilisation of the heterozygous F1 generation of plants yields offspring with three different characteristics. • When a homozygous dominant organism is crossed with another organism that is homozygous recessive, all the offspring have the dominant phenotype. • The ratio of F2 phenotypes will always be 3:1, regardless of the genotype of the parents. • In a test cross, a heterozygous organism will produce offspring with a 1:1 phenotypic ratio • In a test cross, a homozygous parent will produce offspring with the same phenotype.
  • 45.
    45Copyright © 2006-2011Marshall Cavendish International (Singapore) Pte. Ltd. Mutations
  • 46.
    46Copyright © 2006-2011Marshall Cavendish International (Singapore) Pte. Ltd. Sex determination • Sex chromosomes are chromosomes that determine the sex of an organism. • Autosomes are chromosomes in a cell other than the sex chromosome. • There are two types of sex chromosome – the X chromosome and the Y chromosome in humans
  • 47.
    47Copyright © 2006-2011Marshall Cavendish International (Singapore) Pte. Ltd. Sex Chromosomes • SEX CHROMOSOMES ARE FOUND IN EVERY CELL! • THE SPERM AND EGG can only carry: • 1 chromosome out of each homologous pair + either X or Y.
  • 48.
    48Copyright © 2006-2011Marshall Cavendish International (Singapore) Pte. Ltd.
  • 49.
    49Copyright © 2006-2011Marshall Cavendish International (Singapore) Pte. Ltd. Sex determination • Sex chromosomes are chromosomes that determine the sex of an organism. • Autosomes are chromosomes in a cell other than the sex chromosome. • There are two types of sex chromosome – the X chromosome and the Y chromosome. • Human females have two X chromosomes while males have one X chromosome and a shorter Y chromosome in each normal body cell.
  • 50.
    50Copyright © 2006-2011Marshall Cavendish International (Singapore) Pte. Ltd. Y chromosomes will have fewer genes on the them compared to their X counterpart
  • 51.
    51Copyright © 2006-2011Marshall Cavendish International (Singapore) Pte. Ltd. Sex determination • Cells that produce gametes by meiosis are known as sex cells. • Other cells in the body are known as somatic cells. • These cells contain 22 pairs of autosomal chromosomes and a pair of sex chromosomes. • Gametes of human males contain either the X chromosome or Y chromosome. Gametes of human females contain only one X chromosome each.
  • 52.
    52Copyright © 2006-2011Marshall Cavendish International (Singapore) Pte. Ltd. • In the testis, each sperm mother cell (germ cell) will generate 4 daughter cells – sperm cells in meiosis.
  • 53.
    53Copyright © 2006-2011Marshall Cavendish International (Singapore) Pte. Ltd. Chromosomes of cells in males
  • 54.
    54Copyright © 2006-2011Marshall Cavendish International (Singapore) Pte. Ltd. Chromosomes of cells in females
  • 55.
    55Copyright © 2006-2011Marshall Cavendish International (Singapore) Pte. Ltd.
  • 56.
    56Copyright © 2006-2011Marshall Cavendish International (Singapore) Pte. Ltd. Sex determination in humans When male and female gametes fuse during fertilisation, there is 50% chance that the offspring could be male and a 50% chance that it could be female. XY × XX Meiosis Male Female Meiosis X Y X X XX XX XYXY Parents Gametes Females Offspring Males
  • 57.
    57Copyright © 2006-2011Marshall Cavendish International (Singapore) Pte. Ltd. COLOR BLINDNESS
  • 58.
    58Copyright © 2006-2011Marshall Cavendish International (Singapore) Pte. Ltd. Haemophilia
  • 59.
    59Copyright © 2006-2011Marshall Cavendish International (Singapore) Pte. Ltd. Multiple alleles • If a gene exists in more than two alleles, it is said to have multiple alleles. • Example: a) Coat colours in rabbits Phenotype Genotype Full colour CC, Cch , Cca Himalayan ch ch , ch ca Albino ca ca C: Allele for full colour (grey coat) ch : Allele for Himalayan (white coat,with black or dark brown feet, ears, tail and tip of nose ca : Allele for albino (white coat)
  • 60.
    60Copyright © 2006-2011Marshall Cavendish International (Singapore) Pte. Ltd. ALBINISM
  • 61.
    61Copyright © 2006-2011Marshall Cavendish International (Singapore) Pte. Ltd. FAMILY TREE / PEDIGREE TREE
  • 62.
    62Copyright © 2006-2011Marshall Cavendish International (Singapore) Pte. Ltd. Example: b) Human blood groups – 4 types • Human blood group is determined by three alleles – IA , IB and IO . • IA and IB are both co-dominant, while IO is recessive to both IA and IB . Multiple alleles – Blood Groups Blood group Genotype A IA IA or IA IO B IB IB or IB IO AB IA IB O IO IO (The genotype IO IO is a homozygous recessive)
  • 63.
    63Copyright © 2006-2011Marshall Cavendish International (Singapore) Pte. Ltd.
  • 64.
    64Copyright © 2006-2011Marshall Cavendish International (Singapore) Pte. Ltd.
  • 65.
    65Copyright © 2006-2011Marshall Cavendish International (Singapore) Pte. Ltd.
  • 66.
    66Copyright © 2006-2011Marshall Cavendish International (Singapore) Pte. Ltd. Check your understanding! • Can multiple alleles of the same gene be found on the same chromosome at the same time?
  • 67.
    67Copyright © 2006-2011Marshall Cavendish International (Singapore) Pte. Ltd. Question • A homozygous Group B male impregnates a Group O female. • List down the various blood groups that can arise in the offspring from their union. • Draw out a genetic cross diagram. • What is the percentage that a child born will be blood group O? • What will be the percentage that the two children born consecutively will be of blood groups
  • 68.
    68Copyright © 2006-2011Marshall Cavendish International (Singapore) Pte. Ltd. True or false • The sex of an offspring is determined by the mother’s gamete. • Sperms produced by males contain either the X or Y chromosome. • Eggs produced by females contain the X chromosome only. • Parents who are both heterozygous for the blood group A (IA IO ) can produce a child with the blood group AB. • If the father with blood group A and the mother with blood group B produce a child with blood group O, it is likely that both parents are heterozygous for blood groups A and B respectively.
  • 69.
    69Copyright © 2006-2011Marshall Cavendish International (Singapore) Pte. Ltd. Learning Objectives
  • 70.
    70Copyright © 2006-2011Marshall Cavendish International (Singapore) Pte. Ltd. Mutations 1. Mutation occurs as a result of errors during the replication of the gene or chromosome. 2. If a mutation occurs during gamete production on the germ line, the resulting genetic change can be inherited by the offspring. 3. Mutation that occur in normal body cells are known as somatic mutations. This form of mutation cannot be inherited e.g skin cancer. 4. Gene mutation produces variation between individuals as it results in new alleles of genes. 5. Dominant mutations are easily detected, recessive mutations may not be detectable for generations.
  • 71.
    71Copyright © 2006-2011Marshall Cavendish International (Singapore) Pte. Ltd. Mutations • Gene mutations • Chromosome mutations
  • 72.
    72Copyright © 2006-2011Marshall Cavendish International (Singapore) Pte. Ltd. Gene mutation Albinism • Caused by a mutation in the recessive allele • Characterised by the absence of pigments in the skin, hair and eyes • Albinos are very sensitive to sunlight and their skin is easily sunburnt • Rate of mutation for albinism is around 28 per million gametes produced — a probability of 2.8 × 10-5 .
  • 73.
    73Copyright © 2006-2011Marshall Cavendish International (Singapore) Pte. Ltd. Gene mutation Sickle-cell anaemia • Mutated gene produces haemoglobin S (HbS), which is almost the same as normal haemoglobin A (HbA), except in one amino acid • HbS molecules clump together, making the red blood cell sickle-shaped, which interferes with the oxygen-carrying property of the cell. • The mutated gene is recessive and its severe effects is only expressed clearly when the person has both alleles as HbS. (homozygous recessive condition) Individuals who are heterozygous for the sickle-cell allele are more resistant to malaria because a small percentage of their red blood cells that are sickle-shaped.
  • 74.
    74Copyright © 2006-2011Marshall Cavendish International (Singapore) Pte. Ltd. Sickle cell trait • describes a condition in which a person has one abnormal allele of the hemoglobin. • Heterozygous for the allele • produce both normal and abnormal hemoglobin (the two alleles are co-dominant) • Red blood cells are not fully sickle-celled shaped in low oxygen areass • No severe symptoms; different from the people who are homozygous for this allele.
  • 75.
    75Copyright © 2006-2011Marshall Cavendish International (Singapore) Pte. Ltd. Sickle Cell Anaemia • Inherited blood disorder • Mutation in gene controlling haemoglobin production • Incorrect amino acid • Affected red blood cells – Low binding capacity – Decreased elasticity (cannot squeeze through fine capillaries) – Fragile and break easily, leading to clots.
  • 76.
    76Copyright © 2006-2011Marshall Cavendish International (Singapore) Pte. Ltd.
  • 77.
    77Copyright © 2006-2011Marshall Cavendish International (Singapore) Pte. Ltd. ++ Oxygen Availability --
  • 78.
    78Copyright © 2006-2011Marshall Cavendish International (Singapore) Pte. Ltd. • HbS (Haemoglobin S) produced rather than the normal HbA (Haemoglobin A) • HbS molecules clump together at low oxygen concentrations. • Homozygous for HbS will have much reduced life span • Heterozygous (HbS and HbA) – carrier, trait conferred advantage in malaria prone areas as the parasite cannot breed in the sickle shaped red blood cells. Hence, this allele didn’t get eliminated from the human population as it confers some advantage..
  • 79.
    79Copyright © 2006-2011Marshall Cavendish International (Singapore) Pte. Ltd. Malaria parasites requires RBCs to breed. Parasites larvae forms.
  • 80.
    80Copyright © 2006-2011Marshall Cavendish International (Singapore) Pte. Ltd. What is a carrier? • describes an organism/individual that carries two different forms (alleles) of a recessive gene • Is hence heterozygous for that the recessive gene. • Phenotype expressed is normal (that of the dominant allele).
  • 81.
    81Copyright © 2006-2011Marshall Cavendish International (Singapore) Pte. Ltd. If any of the child is rr. Then he/she will be affected by the disease. On the figure on the right, the children (Rr) will exhibit normal phenotype but will still carry the recessive allele.
  • 82.
    82Copyright © 2006-2011Marshall Cavendish International (Singapore) Pte. Ltd. Sickle Cell trait expression Both parents are heterozygotes Children: •25% chance of being normal •50% chance of being carrier (sickle cell trait) •25% of developing sickle cell anaemia.
  • 83.
    83Copyright © 2006-2011Marshall Cavendish International (Singapore) Pte. Ltd. Can you predict what are the chances of a female child born to a homozygous HbS father and a heterozygous mother to be suffering from the full blown effects of sickle cell diease?
  • 84.
    84Copyright © 2006-2011Marshall Cavendish International (Singapore) Pte. Ltd. CHROMOSOME MUTATIONS • Mutations caused by change in i) chromosome number or ii)structure.
  • 85.
    85Copyright © 2006-2011Marshall Cavendish International (Singapore) Pte. Ltd. Chromosome mutations • Changes to the structure of the chromosomes – addition/deletions/inversions of genes. • Getting addition or minus chromosomes from the full set. – Person no longer has the full set of 46 chromosomes. • (45 or less): deadly. • 47 or more chromosomes TRISOMY 13 – inheritance of one extra chromosome leads to cylopic babies - deadly
  • 86.
    86Copyright © 2006-2011Marshall Cavendish International (Singapore) Pte. Ltd. Chromosome mutation Down’s syndrome • People with Down’s syndrome have one extra chromosome 21 — they have 47 chromosomes in all their body cells • The older the mother, the higher the chance that copies of chromosome 21 will not separate during gamete formation. Male Female × Each normal body cell has two copies of chromosome 21 mutationmutation fertilisationEach sperm has one copy of chromosome 21. The egg has two copies of chromosome 21 The zygote has three copies of chromosome 21 Parents Gametes
  • 87.
    87Copyright © 2006-2011Marshall Cavendish International (Singapore) Pte. Ltd. • failure of a homologous chromosome pair to separate during meiosis. • Half of the gametes receive an extra chromosome (both members of a homologous pair). The other half of the gametes are missing a chromosome (no members of a homologous pair). • The normal gamete should have one member of each homologous chromosome pair.
  • 88.
    88Copyright © 2006-2011Marshall Cavendish International (Singapore) Pte. Ltd. Down’s Syndrome • extra genetic material causes delays in the way a child develops, both mentally and physically. • Inheritance of one extra chromosome 21 (extra genetic material) causes the physical features and developmental delays associated with Down syndrome. • women age 35 and older have a significantly higher risk of having a child with the condition. Woman at age 30: 1 in 900 chance Women by age 40. 1 in100 chance MARRY EARLY AND HAVE KIDS EARLY!!
  • 89.
    89Copyright © 2006-2011Marshall Cavendish International (Singapore) Pte. Ltd. Chromosome mutation Chromosomes of a person with Down’s syndrome extra chromosome 21
  • 90.
    90Copyright © 2006-2011Marshall Cavendish International (Singapore) Pte. Ltd.
  • 91.
    91Copyright © 2006-2011Marshall Cavendish International (Singapore) Pte. Ltd. Klinefelter’s syndrome • XXY in all cells • Notice the breast enlargement and small testicular size. • Sterile
  • 92.
    92Copyright © 2006-2011Marshall Cavendish International (Singapore) Pte. Ltd. Mutations to transfer to offspring: • Those that occurs in the somatic cells (body cells) will not be transferred to the next generation • Mutations that occurs in the germ cells for gamete formation will result in these mutations being carried forward in the next generation.
  • 93.
    93Copyright © 2006-2011Marshall Cavendish International (Singapore) Pte. Ltd. Mutation and selection • Some mutations will disrupt the normal functions of a cell while some mutations can be beneficial to individual plants or animals. • Individuals with beneficial mutation may leave more offspring that individiuals without. • Nature ‘selects’ organisms with more favourable characteristics to survive and reproduce. • The rate of spontaneous mutation, which is usually very low, can be greatly increased with the presence of mutagens. • Examples of mutagens are ultraviolet light, alpha, beta and gamma radiations, and chemicals such as mustard gas, formaldehyde and lysergic acid diethylamide (LSD).
  • 94.
    94Copyright © 2006-2011Marshall Cavendish International (Singapore) Pte. Ltd. NEW SPECIES • Favourable mutations will lead to better survival of the organisms. • Can mature and reproduce • Passes the genes to the next generation • More mutations accumulated lead to new species eventually forming.
  • 95.
    95Copyright © 2006-2011Marshall Cavendish International (Singapore) Pte. Ltd. Natural Selection Artificial Selection Evolution
  • 96.
    96Copyright © 2006-2011Marshall Cavendish International (Singapore) Pte. Ltd. Variations • Variations are differences in characteristics between individuals of the same species • Types of traits : - Traits that are clear-cut without any intermediate forms between them, such as the pea plants in Mendel’s experiments. Easily distinguishable traits that are not affected by the environment, such as ABO blood type, ability to roll the tongue, normal and vestigial wings in Drosophila
  • 97.
    97Copyright © 2006-2011Marshall Cavendish International (Singapore) Pte. Ltd. • Discontinuous variation is brought about one or a few genes. • Continuous variation is brought about by the combined or additive effect of many genes. Discontinuous and continuous variation Number of individuals in a population able to roll tongue unable to roll tongue Discontinuous variation Number of individuals in a population Continuous variation Dark skin Fair skin
  • 98.
    98Copyright © 2006-2011Marshall Cavendish International (Singapore) Pte. Ltd. Height • Height is a continous variation • Interaction of many genes. Each gene controls a little bit of the proteins involved in bone formation.
  • 99.
    99Copyright © 2006-2011Marshall Cavendish International (Singapore) Pte. Ltd.
  • 100.
    100Copyright © 2006-2011Marshall Cavendish International (Singapore) Pte. Ltd. Discontinuous variation Continuous variation Deals with a few clear-cut phenotypes Deals with a range of phenotypes, ranging from one extreme to another Controlled by one or a few genes Controlled by many genes Genes do not show additive effect Genes show additive effects Not affected by environmental conditions Affected by environmental conditions Discontinuous and continuous variation
  • 101.
    101Copyright © 2006-2011Marshall Cavendish International (Singapore) Pte. Ltd. ***Genetic Factors that can cause Variation • Independent assortment of homologus chromosomes during metaphase I • Genetic recombination caused by crossing over during prophase I (meiosis) • Random fertilisation of gametes leading to new grouping of alleles in the individual. • Spontaneous mutations
  • 102.
    102Copyright © 2006-2011Marshall Cavendish International (Singapore) Pte. Ltd. Natural selection • Variations in organisms may arise due to mutation. • Natural Selection: Nature selects varieties of organisms that are – more competitive (availability of food and mates) – more resistant to diseases and – better adapted to changes in the environment (climate) Mutation provides new genes or alleles for natural selection to operate on. Nature is the driving force that selects which organisms will survive, mature and reproduce.
  • 103.
    103Copyright © 2006-2011Marshall Cavendish International (Singapore) Pte. Ltd. • More beneficial qualities accummulate in a species over a long time. • New breed of organisms can be better adapted to their new environment. • This breed can no longer breed with its ancestors results in new species forming.
  • 104.
    104Copyright © 2006-2011Marshall Cavendish International (Singapore) Pte. Ltd. Importance of mutations in natural selection and evolution • Mutations happen spontaneously. • Only mutations that occurs at the germ layer that create gametes can passed on these mutations. • Some mutations are harmful but others are beneficial. • Harmful mutations usually lead to deaths or make it unfavourable to be passed onto the offspring. • Natural selection = environment acts as the driving force that allows better adapted organisms to survive and have offspring
  • 105.
    105Copyright © 2006-2011Marshall Cavendish International (Singapore) Pte. Ltd. Importance of mutations in natural selection and evolution • These mutations can accumulate over many generations • Eventually, the organsim may accumulate so many mutations that it appear to be a different species • This new species can no longer breed with the original stock. • A new species is hence evolved. • The picture shows how 2 populations (originally from the same species) has evolved differently to form 2 distinct species • Species A and B cannot interbreed.
  • 106.
    106Copyright © 2006-2011Marshall Cavendish International (Singapore) Pte. Ltd. Evolution = change over time in one or more inherited traits found in populations of organisms resulting in new species.
  • 107.
    107Copyright © 2006-2011Marshall Cavendish International (Singapore) Pte. Ltd. Natural selection • One piece of evidence for natural selection is seen in Darwin’s finches on the Galapagos Islands. • It was observed that finches on the Galapagos Islands had six types of beaks, each suited to a particular diet. large ground finch cactus ground finch warbler finch insectivorous tree finch vegetarian tree finch woodpecker finch Typical mainland type (ancestral) short, straight beak for crushing seeds long, slender beak for collecting nectar slender beak for feeding on small insects in mid-air parrot-like beak to feed on insects curved parrot-like beak to feed on buds and fruits large straight beak to bored holes in tree trunk large seeds cactus flower flying insects large insects buds and fruit insect larvae
  • 108.
    108Copyright © 2006-2011Marshall Cavendish International (Singapore) Pte. Ltd. Explanation of Darwin’s observations at the Galapagos Islands • It was observed that finches on the Galapagos islands had six types of beaks • Ancestor finches came from the South American mainland. • The finches reproduced rapidly, resulting in keen competition. • Variations occurred and finches with beaks suited for a particular diet in the islands are at a selective advantage. • Eventually, six major types of finches evolved, each of which is adapted to a particular food source. • This process whereby a common ancestor has evolved into six different species of finches, each adapted to a particular diet, is known as adaptive radiation.
  • 109.
    109Copyright © 2006-2011Marshall Cavendish International (Singapore) Pte. Ltd.
  • 110.
    110Copyright © 2006-2011Marshall Cavendish International (Singapore) Pte. Ltd. Adaptive Radiation • One common ancestor evolving to many species.
  • 111.
    111Copyright © 2006-2011Marshall Cavendish International (Singapore) Pte. Ltd. Convergent Radiation (not required in syllabus) Flying animals similar shapes in wing structures. Nature produces a selection pressure that acts on what structures will be suitable for the environment leading to animals to evolve similar structures
  • 112.
    112Copyright © 2006-2011Marshall Cavendish International (Singapore) Pte. Ltd. Mechanism of evolution = new species Organisms reproduce rapidly as food supply is abundant Spontaneous mutation takes place, resulting in variation in the organisms. Favorable traits will confer a selective advantage and such organisms will survive, reproduce and pass on their favourable genes to their offspring. These organisms become the predominant species in their environment Organisms migrate to different environments
  • 113.
    113Copyright © 2006-2011Marshall Cavendish International (Singapore) Pte. Ltd. Formation of new species
  • 114.
    114Copyright © 2006-2011Marshall Cavendish International (Singapore) Pte. Ltd. Artificial selection Selective breeding is used to produce plants and animals with desirable traits. a) Improving plants by selection Analyse and select plants that produce seeds with high oil content. Allow the selected seeds to grow into new plants. Let these plants self-fertilise or cross them with other plants showing the desired characteristics. Select the seeds produced by the new plants. These seeds are used again as parents for the next generation. After many generations, you may obtain plants that produce seeds with desired qualities. The plants can then be self-pollinated.
  • 115.
    115Copyright © 2006-2011Marshall Cavendish International (Singapore) Pte. Ltd. Artificial selection • Different varieties of plants and animals, each with their own favorable traits, may be crossed to create a superior variety. This process is known as hybridisation. a) PLANTS Improving plants by selection (resistance to disease and pests, better flavour. • For example, a crop that produces food of a high nutrition content may be crossed with another crop that is resistant to pests to produce a hybrid that is both resistant to pests and high in nutrition content. • Hybrids do not produce offspring identical to the parents. • Cannot reproduce to form new offspring – no flowers or seeds. • Therefore, the hybrid has to be propagated either by vegetative means, such as by cutting, or the hybridisation process has to be repeated every generation.
  • 116.
    116Copyright © 2006-2011Marshall Cavendish International (Singapore) Pte. Ltd. Selective Breeding= Artificial selection by MAN
  • 117.
    117Copyright © 2006-2011Marshall Cavendish International (Singapore) Pte. Ltd. • Cannot reproduce to form new offspring – no flowers or seeds.
  • 118.
    118Copyright © 2006-2011Marshall Cavendish International (Singapore) Pte. Ltd. Plant Tissue culture • You can create a new individuals using the existing parts. • All the cells contain the essential genes • Just that the parent plant cannot form proper gametes through meiosis.
  • 119.
    119Copyright © 2006-2011Marshall Cavendish International (Singapore) Pte. Ltd. Vegetables you consumed arises from the same ancestor plant?
  • 120.
    120Copyright © 2006-2011Marshall Cavendish International (Singapore) Pte. Ltd. • Breeders breed animals with desirable traits with another animal that has known required traits. • Hybridisation is also practiced between different breeds of animals. After rounds of hybridisation, breeders achieve a desirable outcome of a livestock with a desirable trait • The improved breed of livestock is maintained by inbreeding. • Inbreeding has dangers of its own, such as the accumulation of recessive alleles in a population, which could result in the inheritance of some genetic diseases. Artificial selection b) Improving animals by selection (resistance to disease and pests)
  • 121.
    121Copyright © 2006-2011Marshall Cavendish International (Singapore) Pte. Ltd. Breeding of Animals (Video?)
  • 122.
    122Copyright © 2006-2011Marshall Cavendish International (Singapore) Pte. Ltd. • Liger is a hybrid cross between a male lion (Panthera leo) and a tigress (Panthera tigris), hence has parents with the same genus but of different species. • Ligers generally grow larger than both its parents put together. • Ligers enjoy swimming which is a characteristic of tigers and are very sociable like lions, but unlike tigons, ligers are more likely to live past birth
  • 123.
    123Copyright © 2006-2011Marshall Cavendish International (Singapore) Pte. Ltd. • Zorse is a hybrid between zebra and horse. Awesome creature with horrible temper. Zebras are aggressive animals, and zorse gets the best out of that trait. It is also naturally sterile
  • 124.
    124Copyright © 2006-2011Marshall Cavendish International (Singapore) Pte. Ltd. Comparing natural selection and artificial selection Natural selection Artificial selection Selection occurs when natural environmental conditions change. Humans select the varieties of organisms that suit their needs. Varieties produced by mutations. Varieties are produced by selective breeding.
  • 125.
    125Copyright © 2006-2011Marshall Cavendish International (Singapore) Pte. Ltd.
  • 126.
    126Copyright © 2006-2011Marshall Cavendish International (Singapore) Pte. Ltd. Industralisation acts as driving force
  • 127.
    127Copyright © 2006-2011Marshall Cavendish International (Singapore) Pte. Ltd. Industralisation acts as selection force that cause the darker colored moths to better survive
  • 128.
    128Copyright © 2006-2011Marshall Cavendish International (Singapore) Pte. Ltd. Why do you need to finish off the total course of antibiotic treatment given to you? Bacterial Population: Drug resistant Non-drug resistant Numbers are usually balanced as they keep each other in check due to competition for space, food etc. Antibiotic administered: What happened?
  • 129.
    129Copyright © 2006-2011Marshall Cavendish International (Singapore) Pte. Ltd. True or false • Inbreeding will likely result in organisms that are homozygous for a particular recessive allele. • All mutations are harmful and bring no benefit to organisms. • A particular mutation may confer a selective advantage on an organism when environmental conditions change. • It is possible for an ancestral species of an organism to evolve into a number of newer species. • Hybrid plants can be propagated by vegetative means only.
  • 130.
    130Copyright © 2006-2011Marshall Cavendish International (Singapore) Pte. Ltd. Do you know? • Each corn kernel that you find on a corn cob is produced through a union of a pollen grain and a ovule (egg)? • If 2 of the corn kernels of the F1 generation is self fertilised. See what your F2 kernels will be like?
  • 131.
    131Copyright © 2006-2011Marshall Cavendish International (Singapore) Pte. Ltd.
  • 132.
    132Copyright © 2006-2011Marshall Cavendish International (Singapore) Pte. Ltd. Genetic Engineering As the nucleus already contains all the genes required for the normal functions of the organism. We can implant a nucleus from a somatic cell into a egg cell (with its nucleus removed) and then implant it back into the lamb. The lamb has now become the surrogate mother.
  • 133.
    133Copyright © 2006-2011Marshall Cavendish International (Singapore) Pte. Ltd. Question A species, predatory to this species of fish is introduced into the river. Which variety , (P,Q or R) would be most likely to decrease in number? Explain your answer.
  • 134.
    134Copyright © 2006-2011Marshall Cavendish International (Singapore) Pte. Ltd.
  • 135.
    135Copyright © 2006-2011Marshall Cavendish International (Singapore) Pte. Ltd. Answers Variety R •no patterns on body •Cannot blend into the environment •Lacks camouflage •easily seen by predators •And attacked •Leading to decrease in numbers
  • 136.
    136Copyright © 2006-2011Marshall Cavendish International (Singapore) Pte. Ltd.
  • 137.
    137Copyright © 2006-2011Marshall Cavendish International (Singapore) Pte. Ltd. Sickleback fishes Different selection pressures offered by different environments leads to the different patterns and formation of bony plates on the fish body.
  • 138.
    138Copyright © 2006-2011Marshall Cavendish International (Singapore) Pte. Ltd. The diagram below shows the stages by which evolution might occur when 2 different types of animals evolve from a common ancestor over many thousands of years. By reference to each of the lettered stages, suggest how the diagram illustrates the process
  • 139.
    139Copyright © 2006-2011Marshall Cavendish International (Singapore) Pte. Ltd. What characteristics should an organism have to thrive in these environments? • Colour • Height of organisms • Patterns for camouflage
  • 140.
    140Copyright © 2006-2011Marshall Cavendish International (Singapore) Pte. Ltd. Answers • Different and isolated habitats – they only interbreed within the population in their location. No interbreeding between individuals occur between 2 populations. • Genetic variation occur spontaneously in A leading to variations. – Natural mutation – Variation during sexual reproduction – meiosis e.g independent assortment and crossing over – Random fertilisation of gametes • Environment = Natural selection. • Survival of the fittest. Advantages are selected – Animals that are better adapted, more resistant to diseases can survive and reproduce. Favourable characteristics defined by these genes are then passed via gametes to form the next generation/offspring.
  • 141.
    141Copyright © 2006-2011Marshall Cavendish International (Singapore) Pte. Ltd. B thrives in dense vegetation. •Spots •B has more spots than C •Continuous variation = Number of spots on the coat of animal B > C •B – shorter hind legs – Vertebral column/spine develops horizontally. – 4 limbs on the ground – Lowers the centre of gravity – improving the stability – Moves rapidly in the undergrowth • B - camouflage/foliage - Smaller, darker spotted body. – non easily seen by predators in dense undergrowth. C thrives in open plain habitat •Develops longer ears – can sharper sense of hearing, more alert to potential dangers. •Longer and muscular hind legs – greater agility and mobility to escape from predators •Taller – reach out and feed on leaves of shrubs and trees in the open plains. •Lighter body colour with fewer spots, blend into the open grassland. •Surives hot climate due to body colour reduces absorption of heat.