Aterogénesis y Enfermedad Coronaria DR ALEJANDRO FLEMING MEZA CARDIOLOGO HCVB VALPARAISO
Lípidos Hipertensión Edad Enfermedad Vascular Tabaquismo Obesidad Diabetes Dieta Historia familiar Sedentarismo AMBIENTAL GENETIC A Sexo Factores  Trombogénicos
 
 
Chronology of the interface between the patient and the clinician through the progression of plaque formation and the onset of complications of STEMI. Management Before STEMI 4 1 2 3 4 5 6 Onset of STEMI - Prehospital issues - Initial recognition and management  in the Emergency Department (ED) - Reperfusion Hospital Management -  Medications -  Arrhythmias -  Complications -  Preparation for discharge Secondary Prevention/ Long-Term Management Presentation Working Dx ECG Cardiac Biomarker Final Dx UA NQMI QwMI No ST Elevation NSTEMI Ischemic Discomfort Acute Coronary Syndrome Unstable Angina Myocardial Infarction ST Elevation Modified from Libby. Circulation 2001;104:365, Hamm et al. The Lancet 2001;358:1533 and Davies. Heart 2000;83:361.
Aterotrombosis: un Proceso Generalizado y Progresivo Normal Estría lipídica Placa fibrosa Placa ateros- clerótica Ruptura/fisura/ de la placa & trombosis IM Isquemia crítica  m.inferior Clínicamente silente Muerte cardiovascular Aumento de la edad Angina estable Claudicación intermitente Angina inestable SCA SCA, síndrome coronario agudo; TIA, “transient ischemic attack” isquemia cerebral transitoria ACV isquémico/ TIA
 
 
 
‘ Significant’ (> 70%) stenosis ‘ Insignificant’ (< 70%)  stenosis CORONARY ANGIOGRAPHY
Angiographically unrecognised coronary artery disease Nissen et al. In: Topol (ed.)  Interventional Cardiology Update  14;1995. Ultrasound reveals a large crescent-shaped atheroma (arrow) that narrows the lumen by about 50% Arrow indicates a site in the left main coronary artery where the intravascular ultrasound catheter was positioned
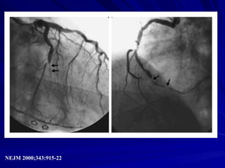
Angiografía de la Angina Inestable
Different Types of Vulnerable Plaque CP1130695-18 Circ 108:1666, 2003 A B C D E F G Rupture- prone vulnerable plaque Ruptured/ healing vulnerable plaque Erosion- prone vulnerable plaque Eroded vulnerable plaque Vulnerable plaque with intra-plaque hemorrhage Vulnerable plaque with calcified nodule Critically stenotic vulnerable plaque Normal Macrophage Thin cap Large lipid core Collagen Ruptured cap Non-occlusive clot Smooth muscle cells Dysfunctional endothelium Platelets Proteoglycans Non-occlusive mural thrombus/ fibrin Intact cap Leaking vasa vasorum/ angiogenesis Calcium node Extensive calcification Old thrombus
Ruptura de placa
Characteristics of Unstable and Stable Plaques Thin  Fibrous Cap Inflammatory  Cells Few SMCs Unstable Eroded Endothelium Activated Macrophages Thick Fibrous Cap Lack of Inflammatory  Cells Foam Cells Intact Endothelium  More SMCs Stable Libby et al. Circulation 1995; 91:2844-50
CP1130695-22 Circ 108:1667, 2003
NEJM 2000;343:915-22
CP1157202-12 Method of Intravascular Ultrasound Interrogation JAMA 290(17):2292, 2003
FISIOPATOLOGIA DE PLACA VULNERABLE Lumen EROSION O FISURA DE CAPSULA FIBROSA GRAN NUCLEO LIPIDICO PRESENCIA CELS.INFLAMATORIAS REMODELACION ARTERIAL EXCENTRICA MAS CALCIFICACION ALTO STRESS DE PARED INCREMENTO DE NEOVASCULARIZACION
Biochemical Profile:  Foam cell to Plaque Rupture 1 °  & Messenger Inflamm Chemokines IL-1 TNF-  IL-6 IL-18 MCP-1 Cellular Adhesion Molecules sICAM sVCAM sSelectins Acute Phase Reactants hs-CRP, SAA, Fibrinogen, WBC Plaque  Destabilization MMPs IL-18 MPO PAPP-A PGIF Plaque  Rupture CD40L
Fern á ndez-Real and Ricart:  Endocrine Reviews 24:278, 2003 Possible Pathways Leading to Chronic Inflammation, Resulting in Atherosclerosis Aterosclerosis Inflamacion intrarterial Vejez Estimulo extravascular Inflamacion cronica subclinica Tabaco Obesidad    Citoquinas proinflamatorias  infecciones mucosa oral CP1158202-69 Sd. Resistencia Insulina HTA  Hiperinsulinemia  Dislipidemia Intolerancia Glucosa  Obesidad abdominal
adventitia lipid core lipid core Site of previous plaque rupture Resolving thrombus Recruitment of new smooth muscle cells PLAQUE GROWTH Weissberg PL Eur Heart J. 1999 Courtesy of P Weissberg
Plaque Rupture Type 1 – Lipid Rich plaque Type 2 – Lipid Poor Plaque Younger victims Women Smokers JACC 2003;41:15s-22s
Lipid Rich Plaque Rupture Theory 1 Fibrillar Collagen Collagen Synthesis Collagen Breakdown “ thinning of cap” Proteolysis + MMP3 MMP-9 i-MMP3 i-MMP-9 ox-LDL IL-1b IL-6 O2- CD-40L sheer stress + Smc’s - Interferon gamma Tissue macrophages JACC 2003;41:15s-22s
Lipid Rich Plaque Rupture Theory 2 1. Exposure or secretion of pro-thrombotic substances Lumen 2. Alteration of rheology By SMC’s  3. Sheer-induced Platelet Aggregation  4. Changes in thrombogenecity and fibrinolytic activity  JACC 2003;41:15s-22s Tissue macrophages Lipid Core Lipid Core Lipid Core
CP1158202-24 Kereiakes:  Circ 107:2076, 2003 Vulnerable plaque Unstable plaque High-risk blood High-risk plaque
CD40 Ligand: An important player Smitko P et al. Circulation 2003; 108: 1917-1923
Placa Alto riesgo Inflamacion en  curso Placa/radio lumen Grado remodelacion excentrica Ubicacion Plasma Alto riesgo Sheer Stress Infeccion Diabetes/ Insulina Fibrinogen PAI-1 Interleukina PCR Celulas activadas Paciente Alto riesgo Mal control HTA Mal control DM Dislipiodemia Obesidad Insuficiencia Renal Lumen Estrategias  Terapia integrada
CP1158202-24 Kereiakes:  Circ 107:2076, 2003 Vulnerable plaque Unfavorable Plasma Acute Coronary Syndrome High-risk patient
Strategies to Treat   Plaque Inhibit Platelet  Aggregation Stabilize the Plaque Passivate the Plaque LDL-C  HDL-C TG Reduce Sheer  Stress Endothelial function Suppress  Inflammation Stent the Vessel
4.  Plaque rupture, Cholesterol content, inflammation (hs-CRP) infection (statins, antibiotics) 3.  Platelet adhesion/ activation/aggregation (ASA,clopidogrel, GPIIb/IIIa inhibitors) 2.  Activation of clotting  cascade – thrombin (heparin/LMWH) 1. Downstream from thrombus myocardial ischaemia/necrosis (  -blockers, Nitrates etc) Platelet GPIIb/IIIa Receptor  Fibrinogen Thrombin Fibrin  clot Pathophysiology of Acute Coronary Syndromes and Potential Pharmacologic Interventions
Lumen Statins LDL-C reduction Reduction in chylomicron and  VLDL-C remnants, IDL-C, LDL-C Lipid  Core Macrophages SMCs Restore endothelial function Anti-inflammatory effects Maintain SMC function  Decreased thrombosis Potential Mechanisms of Benefit of Statins in Acute Coronary Syndromes
STATINS STABILIZE PLAQUES lipid core adventitia adventitia lipid core STATIN THERAPY

Aterogenesis Dr Fleming

  • 1.
    Aterogénesis y EnfermedadCoronaria DR ALEJANDRO FLEMING MEZA CARDIOLOGO HCVB VALPARAISO
  • 2.
    Lípidos Hipertensión EdadEnfermedad Vascular Tabaquismo Obesidad Diabetes Dieta Historia familiar Sedentarismo AMBIENTAL GENETIC A Sexo Factores Trombogénicos
  • 3.
  • 4.
  • 5.
    Chronology of theinterface between the patient and the clinician through the progression of plaque formation and the onset of complications of STEMI. Management Before STEMI 4 1 2 3 4 5 6 Onset of STEMI - Prehospital issues - Initial recognition and management in the Emergency Department (ED) - Reperfusion Hospital Management - Medications - Arrhythmias - Complications - Preparation for discharge Secondary Prevention/ Long-Term Management Presentation Working Dx ECG Cardiac Biomarker Final Dx UA NQMI QwMI No ST Elevation NSTEMI Ischemic Discomfort Acute Coronary Syndrome Unstable Angina Myocardial Infarction ST Elevation Modified from Libby. Circulation 2001;104:365, Hamm et al. The Lancet 2001;358:1533 and Davies. Heart 2000;83:361.
  • 6.
    Aterotrombosis: un ProcesoGeneralizado y Progresivo Normal Estría lipídica Placa fibrosa Placa ateros- clerótica Ruptura/fisura/ de la placa & trombosis IM Isquemia crítica m.inferior Clínicamente silente Muerte cardiovascular Aumento de la edad Angina estable Claudicación intermitente Angina inestable SCA SCA, síndrome coronario agudo; TIA, “transient ischemic attack” isquemia cerebral transitoria ACV isquémico/ TIA
  • 7.
  • 8.
  • 9.
  • 10.
    ‘ Significant’ (>70%) stenosis ‘ Insignificant’ (< 70%) stenosis CORONARY ANGIOGRAPHY
  • 11.
    Angiographically unrecognised coronaryartery disease Nissen et al. In: Topol (ed.) Interventional Cardiology Update 14;1995. Ultrasound reveals a large crescent-shaped atheroma (arrow) that narrows the lumen by about 50% Arrow indicates a site in the left main coronary artery where the intravascular ultrasound catheter was positioned
  • 12.
    Angiografía de laAngina Inestable
  • 13.
    Different Types ofVulnerable Plaque CP1130695-18 Circ 108:1666, 2003 A B C D E F G Rupture- prone vulnerable plaque Ruptured/ healing vulnerable plaque Erosion- prone vulnerable plaque Eroded vulnerable plaque Vulnerable plaque with intra-plaque hemorrhage Vulnerable plaque with calcified nodule Critically stenotic vulnerable plaque Normal Macrophage Thin cap Large lipid core Collagen Ruptured cap Non-occlusive clot Smooth muscle cells Dysfunctional endothelium Platelets Proteoglycans Non-occlusive mural thrombus/ fibrin Intact cap Leaking vasa vasorum/ angiogenesis Calcium node Extensive calcification Old thrombus
  • 14.
  • 15.
    Characteristics of Unstableand Stable Plaques Thin Fibrous Cap Inflammatory Cells Few SMCs Unstable Eroded Endothelium Activated Macrophages Thick Fibrous Cap Lack of Inflammatory Cells Foam Cells Intact Endothelium More SMCs Stable Libby et al. Circulation 1995; 91:2844-50
  • 16.
  • 17.
  • 18.
    CP1157202-12 Method ofIntravascular Ultrasound Interrogation JAMA 290(17):2292, 2003
  • 19.
    FISIOPATOLOGIA DE PLACAVULNERABLE Lumen EROSION O FISURA DE CAPSULA FIBROSA GRAN NUCLEO LIPIDICO PRESENCIA CELS.INFLAMATORIAS REMODELACION ARTERIAL EXCENTRICA MAS CALCIFICACION ALTO STRESS DE PARED INCREMENTO DE NEOVASCULARIZACION
  • 20.
    Biochemical Profile: Foam cell to Plaque Rupture 1 ° & Messenger Inflamm Chemokines IL-1 TNF-  IL-6 IL-18 MCP-1 Cellular Adhesion Molecules sICAM sVCAM sSelectins Acute Phase Reactants hs-CRP, SAA, Fibrinogen, WBC Plaque Destabilization MMPs IL-18 MPO PAPP-A PGIF Plaque Rupture CD40L
  • 21.
    Fern á ndez-Realand Ricart: Endocrine Reviews 24:278, 2003 Possible Pathways Leading to Chronic Inflammation, Resulting in Atherosclerosis Aterosclerosis Inflamacion intrarterial Vejez Estimulo extravascular Inflamacion cronica subclinica Tabaco Obesidad  Citoquinas proinflamatorias infecciones mucosa oral CP1158202-69 Sd. Resistencia Insulina HTA Hiperinsulinemia Dislipidemia Intolerancia Glucosa Obesidad abdominal
  • 22.
    adventitia lipid corelipid core Site of previous plaque rupture Resolving thrombus Recruitment of new smooth muscle cells PLAQUE GROWTH Weissberg PL Eur Heart J. 1999 Courtesy of P Weissberg
  • 23.
    Plaque Rupture Type1 – Lipid Rich plaque Type 2 – Lipid Poor Plaque Younger victims Women Smokers JACC 2003;41:15s-22s
  • 24.
    Lipid Rich PlaqueRupture Theory 1 Fibrillar Collagen Collagen Synthesis Collagen Breakdown “ thinning of cap” Proteolysis + MMP3 MMP-9 i-MMP3 i-MMP-9 ox-LDL IL-1b IL-6 O2- CD-40L sheer stress + Smc’s - Interferon gamma Tissue macrophages JACC 2003;41:15s-22s
  • 25.
    Lipid Rich PlaqueRupture Theory 2 1. Exposure or secretion of pro-thrombotic substances Lumen 2. Alteration of rheology By SMC’s 3. Sheer-induced Platelet Aggregation 4. Changes in thrombogenecity and fibrinolytic activity JACC 2003;41:15s-22s Tissue macrophages Lipid Core Lipid Core Lipid Core
  • 26.
    CP1158202-24 Kereiakes: Circ 107:2076, 2003 Vulnerable plaque Unstable plaque High-risk blood High-risk plaque
  • 27.
    CD40 Ligand: Animportant player Smitko P et al. Circulation 2003; 108: 1917-1923
  • 28.
    Placa Alto riesgoInflamacion en curso Placa/radio lumen Grado remodelacion excentrica Ubicacion Plasma Alto riesgo Sheer Stress Infeccion Diabetes/ Insulina Fibrinogen PAI-1 Interleukina PCR Celulas activadas Paciente Alto riesgo Mal control HTA Mal control DM Dislipiodemia Obesidad Insuficiencia Renal Lumen Estrategias Terapia integrada
  • 29.
    CP1158202-24 Kereiakes: Circ 107:2076, 2003 Vulnerable plaque Unfavorable Plasma Acute Coronary Syndrome High-risk patient
  • 30.
    Strategies to Treat Plaque Inhibit Platelet Aggregation Stabilize the Plaque Passivate the Plaque LDL-C HDL-C TG Reduce Sheer Stress Endothelial function Suppress Inflammation Stent the Vessel
  • 31.
    4. Plaquerupture, Cholesterol content, inflammation (hs-CRP) infection (statins, antibiotics) 3. Platelet adhesion/ activation/aggregation (ASA,clopidogrel, GPIIb/IIIa inhibitors) 2. Activation of clotting cascade – thrombin (heparin/LMWH) 1. Downstream from thrombus myocardial ischaemia/necrosis (  -blockers, Nitrates etc) Platelet GPIIb/IIIa Receptor Fibrinogen Thrombin Fibrin clot Pathophysiology of Acute Coronary Syndromes and Potential Pharmacologic Interventions
  • 32.
    Lumen Statins LDL-Creduction Reduction in chylomicron and VLDL-C remnants, IDL-C, LDL-C Lipid Core Macrophages SMCs Restore endothelial function Anti-inflammatory effects Maintain SMC function Decreased thrombosis Potential Mechanisms of Benefit of Statins in Acute Coronary Syndromes
  • 33.
    STATINS STABILIZE PLAQUESlipid core adventitia adventitia lipid core STATIN THERAPY