Abnormal Uterine Bleeding
Presenter :
Muhammad Eimaduddin bin Sapiee @
Muhammad Syafiei
Iffah
Supervisor :
Dr Nazihah
Dr Sumayyah
Menstrual Cycle
●Definition : cyclic uterine bleeding caused by
shedding of secretory endometrium
●Characteristics
●Menarche : the first menstrual period of
female(10-16 years old)
●Duration : 2-7 days
●Amount : 20-80ml
●Length : 3-5 weeks
●Cycle : 21-35 days
Abnormal Bleeding from Genital
Tract
●Duration
●Menorrhagia - prolonged or excessive
uterine bleeding
●Hypomenorrhea - short or scanty uterine
bleeding
●Length of cycle
●Polymenorrhea - menstrual cycles < 21 days
●Oligomenorrhea - menstrual cycles > 35 days
AUB Classification by FIGO(PALM-
COEIN)
●Polyp
●Adenomyosis
●Leiomyoma
●Malignancy and hyperplasia
●Coagulopathy
●Ovulatory dysfunction
●Endometrial
●Iatrogenic
●Not yet classified
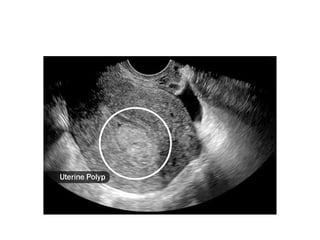
Endometrial polyps
●Localized overgrowth tissue, containing glands,
stroma, and blood vessels, covered with
epithelium
●Stimulated by estrogen
●Diagnosed by visualization and removal by
hysteroscopy
●Send for HPE to exclude malignancy
Adenomyosis
●Extension of endometrial glands and stroma in
the uterine myometrium
●Common in patient with multipara and history of
LSCS, D&C, and spontaneuous abortion
●Patient came with menorrhagia, secondary
dysmenorrhea and pressure symptoms
●Enlarged asymmetrical uterus on TAS
●Definite treatment by surgical intervention ie :
total abdominal hysterectomy
Leiomyoma (Fibroids)
●Benign tumors of the uterine myometrium
●Estrogen dependent
●Common in child bearing age, black, and
nulliparous
●Classified according to site : submucous,
intramural and subserous fibroids
●Can cause bleeding by increased vascularity of
uterus(red degeneration in pregnancy),
endometrial hyperplasia, ovarian congestion or
malignant changes
●Most of fibroids are asymptomatic that need no
intervention
●Intervention needed if give rise to symptoms
like bleeding, pain, infertility, and huge size that
lead to compressive symptoms
●Investigation by ultrasonography, HSG,
hysteroscopy and CT/MRI
●Definitine treatment are surgical intervention
●Myomectomy -want to keep uterus
●Hysterectomy -when myomectomy
contraindicated
Malignancy
●Most common cancers in woman are cervical
and endometrial cancers
●Usually presented with painless PV bleed(coital
bleed or intermenstrual bleeding)
●Risk factors : prolonged exposure to
hyperestrogenic state
●Chronic anovulation
●PCOS
●Obesity
●Nulliparity
●Iatrogenic (on HRT)
●Opportunistic screening by pap smear and
endometrial sampling in risky groups
●In highly suspicion of malignancy, for tumor
markers and imaging investigations
●Definite diagnosis by HPE
●Treatment by surgical, radiotherapy or
chemotherapy
Coagulopathy
●Presence of blood coagulation disorder in
patients that lead to heavy menses
●Examples like von Willebrand disease,
prothrombin deficiency, leukemia, idiopathy
thrombocytopenic purpura, and hypersplenism
●May presented with epistaxis, bleeding gum or
ecchymosis
●Treat according to symptoms and causes
●Referral to hematologists
Ovulatory dysfunction
●Alteration in neuroendocrine function
●Continuous estradiol production without corpus
luteum formation and progesterone production
thus causing excessive proliferation of
endometrium lead to necrosis
●Anovulatory bleeding commons in early years
after menarche due to immaturity of HPO axis
and perimenopausal woman due to lack of
synchronization of HPO
●Anovulation causes by
●Extremes of reproductive life
●PCOS
●Hypothalamic dysfunction
●Abnormalities of other hormones(thyroid, prolactin,
and cortisol)
Iatrogenic
●Abnormal uterine bleeding from medication
●Hyperprolactinemia from CNS dopamine
antagonism of drugs like risperidone
●COC and POP can cause breakthrough
bleeding
●Common meds like
●Selective estrogen receptor modulators(Tamoxifen)
●Gonadotropin releasing hormone agonists and
antagonists
Endometrial
●Previously known as dysfunctional uterine
bleeding (DUB)
●Abnormal uterine bleeding not attributable to
any systemic cause or organic lesion in genital
tract
●Diagnosis of exclusion
●Classified into cyclic and acyclic
●Dysfunctional polymenorrhea due to short
proliferative or secretory phase
●Dysfunctional menorrhagia due to irregular ripening
or regular shedding
Not Otherwise Specified
●Abnormal bleeding not in other classification
●Examples like foreign bodies or trauma
●Treatments are according to causes
History
●Menstrual history like frequency, duration and
amount of bleeding
●Pattern of menstruation
●Menstrual calendar to properly characterize
type of bleeding
●Ask about menarche, cycle length, menstrual
product, first day of LMP, contraceptives and
dysmenorrhea
●Inquire the bleeding of other systems like
epistaxis and gum bleeding
Physical Examination
●General
●Pallor
●Obesity, acne, hirsutism
●Petechiae or bruises
●Vital sign(tachycardia,hypotension)
●Auscultate for murmur
●Local
●Palpation of abdomen
●Speculum and bimanual exams
Laboratory
●UPT
●FBC – hb level and platelet
●Iron studies
●Coagulation profile
●Thyroid function test
●Specific test
●For blood diseases (von Willebrand studies, factor
antigen)
●FSH and LH
●Total and free testosterone levels
●Prolactin levels
●HPE
●Pap smear and endometrial sampling
●Tumor markers
●CA 125, CEA, AFP, BHCG
Imaging
●Pelvic ultrasonography
●Hysteroscopy
●Colposcopy
●Laparoscopy
●CT scan
●MRI
Management
●General management by ABCD
●Correct anemia either by medication or blood
transfusion
●Maintain hemodynamic stability
●Correct the menstruation
●Prevent recurrence
●Prevent long term damage in anovulation
●Anemia, infertility, cancer
Medical therapy
●High dose estrogen(temporary measure to stop
bleeding)
●Androgen(Danazol)
●Mirena(levonorgestrel intrauterine system)
●Progestin therapy
●Tranexamic acid
●NSAIDs
●COCP
Reference
●Abnormal Uterine Bleeding in Comprehensive
Gynecology, 7th
edition
●Zagazig Textbook of Gynecology
●Obstetrics and Gynecology Malaysian Protocol
THANK YOU

Abnormal Uterine Bleeding.pptxAbnormal Uterine Bleeding.pptx

  • 1.
    Abnormal Uterine Bleeding Presenter: Muhammad Eimaduddin bin Sapiee @ Muhammad Syafiei Iffah Supervisor : Dr Nazihah Dr Sumayyah
  • 2.
    Menstrual Cycle ●Definition :cyclic uterine bleeding caused by shedding of secretory endometrium ●Characteristics ●Menarche : the first menstrual period of female(10-16 years old) ●Duration : 2-7 days ●Amount : 20-80ml ●Length : 3-5 weeks ●Cycle : 21-35 days
  • 4.
    Abnormal Bleeding fromGenital Tract ●Duration ●Menorrhagia - prolonged or excessive uterine bleeding ●Hypomenorrhea - short or scanty uterine bleeding ●Length of cycle ●Polymenorrhea - menstrual cycles < 21 days ●Oligomenorrhea - menstrual cycles > 35 days
  • 7.
    AUB Classification byFIGO(PALM- COEIN) ●Polyp ●Adenomyosis ●Leiomyoma ●Malignancy and hyperplasia ●Coagulopathy ●Ovulatory dysfunction ●Endometrial ●Iatrogenic ●Not yet classified
  • 11.
    Endometrial polyps ●Localized overgrowthtissue, containing glands, stroma, and blood vessels, covered with epithelium ●Stimulated by estrogen ●Diagnosed by visualization and removal by hysteroscopy ●Send for HPE to exclude malignancy
  • 14.
    Adenomyosis ●Extension of endometrialglands and stroma in the uterine myometrium ●Common in patient with multipara and history of LSCS, D&C, and spontaneuous abortion ●Patient came with menorrhagia, secondary dysmenorrhea and pressure symptoms ●Enlarged asymmetrical uterus on TAS ●Definite treatment by surgical intervention ie : total abdominal hysterectomy
  • 16.
    Leiomyoma (Fibroids) ●Benign tumorsof the uterine myometrium ●Estrogen dependent ●Common in child bearing age, black, and nulliparous ●Classified according to site : submucous, intramural and subserous fibroids ●Can cause bleeding by increased vascularity of uterus(red degeneration in pregnancy), endometrial hyperplasia, ovarian congestion or malignant changes
  • 20.
    ●Most of fibroidsare asymptomatic that need no intervention ●Intervention needed if give rise to symptoms like bleeding, pain, infertility, and huge size that lead to compressive symptoms ●Investigation by ultrasonography, HSG, hysteroscopy and CT/MRI ●Definitine treatment are surgical intervention ●Myomectomy -want to keep uterus ●Hysterectomy -when myomectomy contraindicated
  • 21.
    Malignancy ●Most common cancersin woman are cervical and endometrial cancers ●Usually presented with painless PV bleed(coital bleed or intermenstrual bleeding) ●Risk factors : prolonged exposure to hyperestrogenic state ●Chronic anovulation ●PCOS ●Obesity ●Nulliparity ●Iatrogenic (on HRT)
  • 22.
    ●Opportunistic screening bypap smear and endometrial sampling in risky groups ●In highly suspicion of malignancy, for tumor markers and imaging investigations ●Definite diagnosis by HPE ●Treatment by surgical, radiotherapy or chemotherapy
  • 28.
    Coagulopathy ●Presence of bloodcoagulation disorder in patients that lead to heavy menses ●Examples like von Willebrand disease, prothrombin deficiency, leukemia, idiopathy thrombocytopenic purpura, and hypersplenism ●May presented with epistaxis, bleeding gum or ecchymosis ●Treat according to symptoms and causes ●Referral to hematologists
  • 29.
    Ovulatory dysfunction ●Alteration inneuroendocrine function ●Continuous estradiol production without corpus luteum formation and progesterone production thus causing excessive proliferation of endometrium lead to necrosis ●Anovulatory bleeding commons in early years after menarche due to immaturity of HPO axis and perimenopausal woman due to lack of synchronization of HPO
  • 31.
    ●Anovulation causes by ●Extremesof reproductive life ●PCOS ●Hypothalamic dysfunction ●Abnormalities of other hormones(thyroid, prolactin, and cortisol)
  • 33.
    Iatrogenic ●Abnormal uterine bleedingfrom medication ●Hyperprolactinemia from CNS dopamine antagonism of drugs like risperidone ●COC and POP can cause breakthrough bleeding ●Common meds like ●Selective estrogen receptor modulators(Tamoxifen) ●Gonadotropin releasing hormone agonists and antagonists
  • 34.
    Endometrial ●Previously known asdysfunctional uterine bleeding (DUB) ●Abnormal uterine bleeding not attributable to any systemic cause or organic lesion in genital tract ●Diagnosis of exclusion ●Classified into cyclic and acyclic ●Dysfunctional polymenorrhea due to short proliferative or secretory phase ●Dysfunctional menorrhagia due to irregular ripening or regular shedding
  • 35.
    Not Otherwise Specified ●Abnormalbleeding not in other classification ●Examples like foreign bodies or trauma ●Treatments are according to causes
  • 36.
    History ●Menstrual history likefrequency, duration and amount of bleeding ●Pattern of menstruation ●Menstrual calendar to properly characterize type of bleeding ●Ask about menarche, cycle length, menstrual product, first day of LMP, contraceptives and dysmenorrhea ●Inquire the bleeding of other systems like epistaxis and gum bleeding
  • 38.
    Physical Examination ●General ●Pallor ●Obesity, acne,hirsutism ●Petechiae or bruises ●Vital sign(tachycardia,hypotension) ●Auscultate for murmur ●Local ●Palpation of abdomen ●Speculum and bimanual exams
  • 39.
    Laboratory ●UPT ●FBC – hblevel and platelet ●Iron studies ●Coagulation profile ●Thyroid function test ●Specific test ●For blood diseases (von Willebrand studies, factor antigen)
  • 40.
    ●FSH and LH ●Totaland free testosterone levels ●Prolactin levels ●HPE ●Pap smear and endometrial sampling ●Tumor markers ●CA 125, CEA, AFP, BHCG
  • 44.
  • 48.
    Management ●General management byABCD ●Correct anemia either by medication or blood transfusion ●Maintain hemodynamic stability ●Correct the menstruation ●Prevent recurrence ●Prevent long term damage in anovulation ●Anemia, infertility, cancer
  • 49.
    Medical therapy ●High doseestrogen(temporary measure to stop bleeding) ●Androgen(Danazol) ●Mirena(levonorgestrel intrauterine system) ●Progestin therapy ●Tranexamic acid ●NSAIDs ●COCP
  • 50.
    Reference ●Abnormal Uterine Bleedingin Comprehensive Gynecology, 7th edition ●Zagazig Textbook of Gynecology ●Obstetrics and Gynecology Malaysian Protocol
  • 51.