RADIOLOŠKA ANATOMIJA I PATOLOGIJA Glava 
SVEUČILIŠTE U SPLITU SVEUČILIŠNI ODJEL ZDRAVSTVENIH STUDIJA STUDIJ RADIOLOŠKE TEHNOLOGIJE
Radiološka anatomija: 
•Radiološke metode u prikazu a/p 
•Kosti glave 
•Moždani parenhim 
•Orbite 
•Hipofiza 
•Paranazalni sinusi 
•Krvne žile glave i vrata
Metode u radiologiji 
•Morfološki prikaz rtg, CT, CTA, MR, DSA, mijelografija, 
•Funkcijski prikaz UZ, fMRI , MRS, SPECT, PET 
•Kombinacija MRA
Sagitalni presjek 
Koronarni presjek
Osjetljivost CT MR
Prostorna rezolucija
FUNKCIJSKI MR 
PI 
DWI
BOLD 
FUNKCIJSKI MR
MRS
MOŽDANE OVOJNICE
CEREBRPOSPINALNI LIKVOR
NEURORADIOLOŠKA OBRADA ZAPOČINJE VEĆ INTRAUTERINO 
UZV
MR
KOSTI GLAVE
Kosti lubanje – rtg.
SINUSI PA snimka 
1.Nosna pregrada 
2.Frontalni sinus 
3.Maksilarni sinus 
4.Etmoidni sinus 
2 
1 
4 
3 
7
1- Fisura orbitalis superior 2- Foramen orbitalis inferior 3- Foramen mentalis 
1 
2 
3 
1 
2 
3
KOSTI LICA 1. Frontalni sinus 2. Etmoidni sinus 3. Koštani dio nosne pregrade 4. zigomatično-frontalna sutura 5. Maksilarni sinus 6. Zigomatična kost 7. Zigomatični luk 8. Mandibula 9. Donji rub orbite 10. Lijeva orbita 
8 
1 
2 
5 
7 
9 
10 
3 
4 
6
Otvor optičkog živca
1. Frontalni sinu 
2. Maksilarni sinus 
3. Etmoidni sinus 
4. Sfenoidni sinus 
5. Sella turcica 
6. Okcipitalna kost 
7. Mastoidne stanice 
8. Dno stražnje lubanjske jame 
9. Nazofarinks (zrak) 
10. Kondili mandibule 
11.Koronarni šav 
10 
9 
1 
2 
3 
4 
5 
6 
7 
8 
11 
PROFILNA SNIMKA GLAVE
LUBANJA Baza 1. Parijetalna kost 2. Lambdoidna sutura 3. Foramen magnum 4. Petrozni dio temporalne kosti 5. Mandibula 6. Mastoidne stanice 
4 
5 
1 
1 
2 
3 
6
3 
2 
4 
6 
1. Pterigoidna ploča 2. Etmoidni sinus 3. Odontoidni procesus 4. Sfenoidni sinus 5. Foramen ovale 6. Maksilarni sinus 7. Mastoidne stanice 8. Luk C! kralješka 9. Foramen ovale 10. Kanal vanjskog zvukovoda 
7 
9 
1 
5 
8 
10 
BAZA LUBANJE
SNIMKA ORBITA
TEMPOROMANDIBULARNI ZGLOBOVI
SNIMKA TMZ
SNIMKA TMZ
SNIMKA PIRAMIDA
SNIMKA ORBITA
SNIMKA SINUSA
SNIMKA MASTOIDA
SNIMKA MASTOIDA
SNIMKA OPTIČKOG KANALA
UZV - CT - MR
Sagitalni presjek 
Koronarni presjek
KOSTI GLAVE - CT
BAZA LUBANJE - CT 
KAROTIDNI KANAL 
FORAMEN JUGULARE
MANDIBULARNI 
KONDILI 
MASTOIDNE STANICE 
UŠKA 
BAZA LUBANJE - CT
ZIGOMATIČNI LUK 
KANAL VANJSKOG ZVUKOVODA 
BAZA LUBANJE - CT
FORAMEN OVALE 
FORAMEN SPINOSUM 
BAZA LUBANJE - CT
KAROTIDNI KANAL 
SLUŠNE KOŠĆICE 
MALLEUS 
INCUS 
BAZA LUBANJE - CT
KANAL UNUTARNJEG ZVUKOVODA 
KAROTIDNI KANAL 
MALLEUS INCUS 
BAZA LUBANJE - CT
Ramus of mandible 
Lateral pterigoid m 
Lateral pterigoid plate 
Medial pterigoid plate 
Maxillary sinus 
Nasal septum 
Mastoid process 
Spinal card 
Styloid process
Ramus of mandible 
Lateral pterigoid m 
Lateral pterigoid plate 
Medial pterigoid plate 
Maxillary sinus 
Nasal septum 
Mastoid air cells 
Spinal card 
Styloid process
Coronoid process 
Neck of mandible 
Lateral pterigoid m 
Lateral pterigoid plate 
Medial pterigoid plate 
Maxillary sinus 
Nasal septum 
Mastoid air cells 
Styloid process 
Spinal card 
Foraman magnum 
Vertebral a
Coronoid process 
Neck of mandible 
Mastoid air cells 
Lateral pterigoid m 
Lateral pterigoid plate 
Medial pterigoid plate 
Maxillary sinus 
Nasal septum 
Spinal cord 
Foraman magnum 
Vertebral a
Coronoid process 
Neck of mandible 
Lateral pterigoid m 
Lateral pterigoid plate 
Medial pterigoid plate 
Maxillary sinus 
Nasal septum 
Mastoid air cells 
Foraman magnum 
Vertebral a
External auditory meatus 
Mastoid air cells 
Medulla oblangata 
Nasal septum 
Temporalis m 
Trapezius m 
Coronoid process 
Head of mandible 
Temporo- madibular joint 
Globe 
Vertebral a
External auditory meatus 
Lacrimal gland 
Mastoid air cells 
Medulla oblongata 
Nasal septum 
Globe 
Temporalis m 
Cerebellar hemisphere 
Trapezius m
Auditory tube 
External auditory meatus 
Lacrimal gland 
Mastoid air cells 
Medulla oblongata 
Temporalis m 
Cerebellar hemisphere 
Trapezius m 
Sigmoid sinus 
Lens 
Globe
Auditory tube 
Lacrimal gland 
Mastoid air cells 
Medulla oblangata 
Rectus medialis 
Temporalis m 
Cerebellar hemisphere 
Trapezius m 
Sigmoid sinus 
Lens 
Globe 
Basilar a
Auditory tube 
Internal occipital protuberance 
Lacrimal gland 
Mastoid air cells 
Medulla oblangata 
Rectus medialis 
Temporalis m 
Cerebellar hemisphere 
Trapezius m 
Sigmoid sinus 
Lens 
Globe 
Basilar a
Internal occipital protuberance 
Frontal sinus 
Lacrimal gland 
Mastoid air cells 
Medulla oblangata 
Petrous bone 
Rectus lateralis 
Crista galli 
Temporalis m 
Temporal lobe 
Cerebellar hemisphere 
Trapezius m 
Sigmoid sinus 
Rectus medialis 
Globe 
Basillar a
Internal occipital protuberance 
Frontal sinus 
Lacrimal gland 
Mastoid air cells 
Medulla oblangata 
Petrous bone 
Rectus lateralis 
Optic nerve 
Crista galli 
Temporalis m 
Temporal lobe 
Cerebellar hemisphere 
Trapezius m 
Sigmoid sinus 
Globe 
Basillar a
Internal occipital protuberance 
Frontal sinus 
Lacrimal gland 
Pons 
Mastoid air cells 
Petrous bone 
Rectus lateralis 
Optic nerve 
Crista galli 
Temporalis m 
Temporal lobe 
Cerebellar hemisphere 
Trapezius m 
Sigmoid sinus 
Globe
Internal occipital protuberance 
Frontal sinus 
Lacrimal gland 
Pons 
Mastoid air cells 
Nasal septum 
Petrous bone 
Optic nerve 
Crista galli 
Temporalis m 
Temporal lobe 
Cerebellar hemisphere 
Trapezius m 
Sigmoid sinus 
Globe
Crista galli 
Internal occipital protuberance 
Frontal sinus 
Pons 
Mastoid air cells 
Petrous bone 
Sphenoidal sinus 
Temporalis m 
Temporal lobe 
Cerebellar hemisphere 
Trapezius m 
Sigmoid sinus 
Globe
Crista galli 
Frontal sinus 
Pons 
Mastoid air cells 
Sphenoidal sinus 
Temporalis m 
Temporal lobe 
Cerebellar hemisphere 
Sigmoid sinus 
Dorsum sellae 
Internal occipital protuberance 
Tentorium cerebelli
Crista galli 
Frontal sinus 
Pons 
Mastoid air cells 
Sella tursica 
Temporalis m 
Temporal lobe 
Cerebellar hemisphere 
Sigmoid sinus 
Dorsum sellae 
Internal occipital protuberance 
Tentorium cerebelli
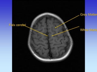
Grey Matter 
White Matter
White Matter 
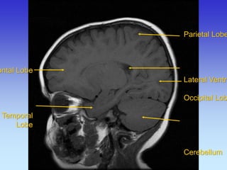
Occipital Lobe 
Cerebellum 
Grey Matter 
Frontal Lobe Lateral Sulcus 
Parietal Lobe 
Temporal Lobe
Gyri of cerebral cortex 
Sulci of cerebral Cortex 
Cerebellum 
Frontal Lobe 
Temporal 
Lobe
Frontal Lobe 
Temporal 
Lobe 
Parietal Lobe 
Occipital 
Lobe 
Cerebellum
Frontal Lobe Eye Ball 
Parietal Lobe Occipital Lobe Transverse Sinus Cerebellar Hemisphere
Optic Nerve Maxillary Sinus 
Precentral Sulcus 
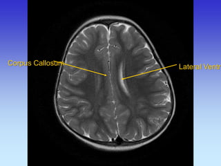
Lateral Ventricle 
Occipital Lobe
Caudate 
Nucleus 
Tongue 
Corpus callosum 
Thalamus 
Tentorium 
Cerebelli 
Pons
Thalamus 
Splenium of Corpus callosum 
Pons 
Ethmoid air Cells Inferior nasal Concha 
Mesencephalon 
Fourth Ventricle 
Genu of Corpus 
Callosum 
Hypophysis
Body of corpus callosum Thalamus 
Splenium of Corpus callosum 
Genu of corpus callosum 
Pons 
Superior Colliculus 
Inferior 
Colliculus 
Nasal 
Septuml 
Medulla
Cingulate Gyrus 
Genu of corpus callosum 
Ethmoid air cells 
Oral cavity 
Splenium of Corpus callosum 
Fourth Ventricle
Frontal 
Lobe 
Maxillary 
Sinus 
Parietal Lobe Occipital Lobe 
Corpus Callosum 
Thalamus 
Cerebellum
Frontal Lobe 
Temporal 
Lobe 
Parietal Lobe Lateral Ventricle Occipital Lobe Cerebellum
Parietal Lobe 
Occipital Lobe 
Cerebellum 
Frontal Lobe Temporal Lobe
Frontal Lobe 
Lateral Sulcus 
Superior Temporal 
Gyrus 
Inferior Temporal 
Gyrus 
Parietal Lobe Middle Temporal Gyrus External Auditory Meatus
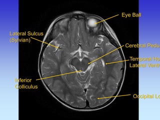
Eye Ball 
Cerebral Peduncle 
Temporal Horn Lateral Ventricle 
Occipital Lobe 
Lateral Sulcus (Sylvian) 
Inferior Colliculus
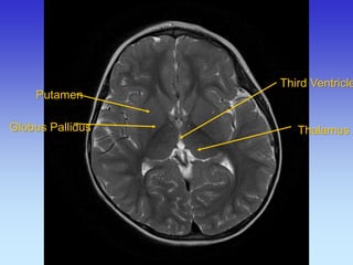
Putamen 
Globus Pallidus 
Third Ventricle 
Thalamus
Frontal Horn 
Lateral Ventricle 
Anterior Limb Internal Capsule 
Posterior Limb 
Internal Capsule 
Thalamus 
Head of the 
Caudate Nucleus
Frontal Lobe 
Anterior Limb 
Internal Capsule 
Lentiform Nucleus 
Posterior Limb 
Internal Capsule 
Splenium of Corpus Callosum 
Genu of 
Corpus Callosum 
Head of the Caudate Nucleus 
Thalamus 
Lateral Ventricle
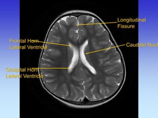
Longitudinal Fissure 
Caudate Nucleus 
Frontal Horn Lateral Ventricle 
Occipital Horn 
Lateral Ventricle
Lateral Ventricle 
Corpus Callosum
Cingulate Gyrus 
Corona Radiata
Gyri 
Sulci 
Falx cerebri
Calvarium
Superior Sagittal Sinus 
Straight Sinus
Transverse Sinus 
Superior Sagittal Straight Sinus
Cerebellum 
Superior Sagittal Sinus
Cerebellum 
Occipital Lobe
Longitudinal 
Fissure 
Sigmoid 
Sinus 
Straight Sinus Vermis of Cerebellum
Straight Sinus Cerebellum 
Lateral Ventricle, Occipital Horn
Arachnoid Villi 
Great Cerebral 
Vein 
Tentorium 
Cerebelli 
Falx Cerebri Lateral Ventricle Vermis of Cerebellum Cerebellum
Splenium of Corpus callosum Posterior Cerebral Artery Superior Cerebellar Artery Foramen Lateral Ventricle 
Internal Cerebral 
Vein 
Tentorium 
Cerebelli 
Fourth Ventricle
Cingulate Gyrus Choroid Plexus Superior Colliculus Cerebral Aqueduct 
Corpus Callosum Thalamus Pineal Gland Vertebral Artery
Insula Lateral Sulcus Cerebral Peduncle Olive 
Crus of Fornix 
Middle Cerebellar 
Peduncle
Caudate Nucleus 
Third Ventricle 
Hippocampus 
Pons 
Corpus Callosum Thalamus Cerebral Peduncle Parahippocampal gyrus
Lateral Ventricle Uncus Of Temporal Lobe Lateral Ventricle, Temporal Horn 
Body of Fornix 
Third Ventricle 
Hippocampus
Internal Capsule Insula Optic Tract 
Caudate Nucleus Lentiform Nucleus Hypothalamus Amygdala Parotid Gland
Internal Capsule Optic Nerve Nasal part of Pharynx 
Cingulate Gyrus 
Caudate Nucleus 
Lentiform Nucleus 
Internal Carotid 
Artery
Longitudinal Fissure Lateral Sulcus Superior Sagittal 
Sinus 
Genu of Corpus 
Callosum 
Temporal Lobe
Ethmoid Sinus Nasal Septum Nasal Cavity Tongue 
Frontal Lobe Nasal Turbinate Masseter Muscle
Rectus Medialis 
Rectus Lateralis 
Inferior Turbinate 
Frontal Lobe Rectus Superior Rectus Inferior Maxillary Sinus Tooth
Grey Matter 
Superior Sagittal Sinus 
White Matter 
Eye Ball 
Maxillary Sinus 
Tongue
Superior Sagittal Sinus Nasal Septum
Eye Ball 
Frontal Lobe Oral Cavity
Nasal Turbinate Medulla Oblongata Vermis of Cerebellum 
External Auditory Meatus Auricle
Maxillary Sinus 
Trigeminal Nerve 
Fourth Ventricle 
Cerebellum 
Rhombencephalon (Hindbrain) Inferior Cerebellar Peduncle
Temporal Lobe 
Pons 
Fourth Ventricle 
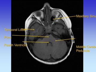
Maxillary Sinus Middle Cerebellar Peduncle
Temporal Lobe 
Pons 
Fourth Ventricle 
Ethmoid sinus 
Cerebellar 
Hemisphere 
Pituitary Gland
Lens 
Cerebral aqueduct 
Eye Ball 
Optic Nerve 
Optic Chiasm 
Pons 
Cerebellum 
Temporal lobe 
Lateral Rectus 
muscle
Nasal Septum 
Cerebral Peduncle 
Inferior colliculus 
Eye Ball Cerebellum
Eye Ball Third Ventricle Cerebral Peduncle Vermis of Cerebellum Cerebellum 
Hypothalamus Inferior Colliculus
Third Ventricle Superior colliculus Cerebellum 
Lateral Sulcus (Sylvian) Lateral Ventricle
Head of Caudate Nucleus Posterior Limb, Internal Capsule 
Genu, 
Corpus Callosum 
Anterior Limb, 
Internal Capsule 
Thalamus 
Lateral Ventricle
Choroid Plexus 
Lateral Ventricle 
Anterior Limb, Internal Capsule 
Thalamus 
Head of Caudate Nucleus Third Ventricle Lateral Ventricle
Longitudinal Fissure 
Genu of corpus callosum 
Internal capsule 
Falx cerebri 
Lateral ventricle, 
Frontal horn 
Head of Caudate Nucleus 
Lateral Ventricle, 
Occipital horn
Cingulate gyrus 
Corona radiata
Calvarium 
Falx cerebri
Grey Matter White Matter 
Falx cerebri
Sulcus 
Gyri
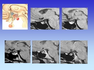
HIPOFIZA
Normalno 
Tvorba selarnog područja
PARANAZALNI SINUSI i ORBITE
1 
1. Frontalni sinus 
CT- SINUSA 
TRANSVERZALNI SLOJ
1. Etmoidni sinus 2. Sfenoidni sinus 
1 
2 
CT- SINUSA 
TRANSVERZALNI SLOJ
1.Maksilarni sinus 
2.Pterigoidne ploče 
3.Nazofrinks 
4.Nosna pregrada 
1 
2 
3 
4 
CT- SINUSA TRANSVERZALNI SLOJ
1.Maksilarni sinus 
2.Tvrdo nepce 
3.Mandibula 
4.M. maseter 
3 
2 
1 
3 
4 
4 
CT- SINUSA TRANSVERZALNI SLOJ
1.Fronto-nasalna sutura 
2.Frontalni sinus 
3.Nosna kost 
4. Leća 
1 
2 
3 
4 
CT- SINUSA KORONARNI SLOJ (od naprijed prema straga)
1. Etmoidni sinus 
2. Donja nosna školjka 
3. Srednjanosna školjka 
1 
2 
3 
CT- SINUSA KORONARNI SLOJ
1.Maksilarni sinus 
2.Septum nasi 
3.Orbita 
1 
2 
3 
CT- SINUSA KORONARNI SLOJ
1.Sfenoidni sinus 
2.Tvrdo nepce 
3.Prednji klinoid 
1 
2 
3 
CT- SINUSA 
KORONARNI SLOJ
1.Retroorbitalna mast 
2.M. Rectus medialis 
3.Leća 
4.M. Rectus lateralis 
5.Optički živac 
5 
1 
3 
2 
4 
CT- ORBITA 
TRANSVERZALNI SLOJ
Upala sinusa
CT SINUSA 
Upala sinusa 
MMAKSILARNI SINUSI 
ETMOIDINI SINUS
CT SINUSA 
Posttoperativno: Trepanacija medijalnog zida maksilarnog sinusa
ORBITE
PRIJELOM DNA ORBITE
KORONARNI SLOJ 
CT ORBITA
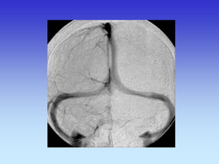
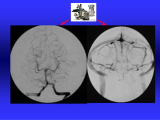
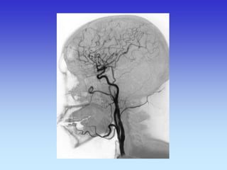
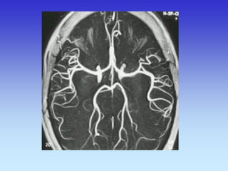
METODE PRIKAZA KRVNIH ŽILA 
•UZ-DOPPLER 
•DSA 
•CTA 
•MRA
B-mod i obojeni Doppler karotidne arterije
VASKULARNA OPSKRBA WILLIS-ijev prsten
a. cerebri ant. 
a. cerebri media 
a. cerebri post. 
VASKULARNA OPSKRBNA PODRUČJA
A-V MALFORMACIJA
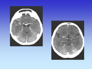
INFARKT
INFARKT
INTRACEREBRALNO KRVARENJE
SUBARAHNOIDALNO KRVARENJE
EPIDURALNO KRVARENJE
SUBDURALNO KRVARENJE 
akutno 
kronično
DIFUZNA AKSONALANA OZLJEDA

5. glava