Embed presentation
Downloaded 56 times
























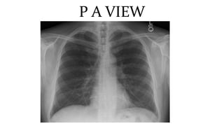
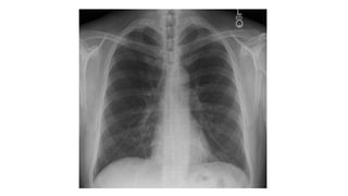
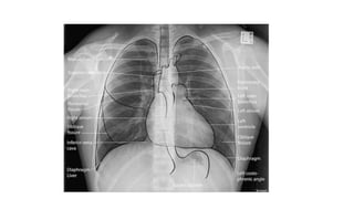
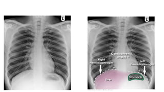
This document discusses key aspects of thorax radiology including positioning for PA and AP views, assessing heart size, visibility of anatomical structures like the scapulae, lungs zones, and measurements like cardiothoracic ratio. It provides guidance on evaluating rotation, inspiration, and penetration on chest x-rays as well as identifying structures like the lobe of azygos vein and aortic knuckle.






















