2016 revision of WHO
classification of Lymphoid and
Plasma cell neoplasms- The
major changes
Dr. Libin babu Cherian
Moderator- Dr. Saumya Ranjan Mallick
Introduction
• A major revision is published which is an update of the current 4th
edition
• It was not truly 5th edition
• They were still other volumes that were pending in the 4th edition of
WHO tumor monograph series
• Only limited alterations compared to 4th edition
• Mainly it was revision of the names, rather than introduction of new
entities
• DLBCL(& variants) and FL & MCL has been accounted for the
maximum change
Chronic lymphocytic leukaemia/small lymphocytic lymphoma-2008
• Low grade neoplasm composed of monomorphic small, round B lymphocytes
with proliferation centres in PS, BM and LN
• TLC >50,000, DLC: lymphocytes >80% BM lymphocytosis >30%
• In the absence of extramedullary tissue involvement there must be >5000
cells/microlitre monoclonal lymphocytes with a CLL phenotype in the PB
• The international Workshop on Chronic Lymphocytic Leukemia (IWCLL) report
requires that the lymphocytosis be present for at least 3 months
• Cells are positive for CD5,CD23,CD19,CD20(weak), sIg (dim),absent FMC7&CD2
• Atypical CLL- CD5-, CD23-
• Seen in persons more than 50 years
• M:F 2:1;generalised lymphadenopathy- most common presenting symptom
• Mild to moderate splenomegaly
• Smudge/basket cells-characteristic feature of CLL
• Kappa/ lamda restriction is seen in CLL cells
• Hypogammaglobulinemia- seen in 2/3rd of CLL patient- can cause infections
• In addition to small mature looking lymphocytes, 10-55% prolymphocytes are seen
• >55% prolymphocytes- prolymphocytic leukaemia
Nodular pattern- favourable prognosis
Mixed pattern
Diffuse pattern - worst prognosis
Interstitial pattern- favourable prognosis
CLL- Genetics
Aberration Mutated IGHV (50-60%) Unmutated IGHV (40-50%)
13 q deletion 80% 84%
Trisomy 12 15% 19%
11 q deletion 4% 27%
17 p deletion 3% 10%
Prognosis Good prognosis Bad prognosis
Expression of ZAP-70 and CD38- associated with worse prognosis
CLL/SLL- faint small uniform proliferation centres
dispersed in a dark background of small lymphocytes
Proliferation centre composed of
prolymphocytes and
paraimmunoblast
Prolymphocyte- small to medium
sized, relatively clumped chromatin
and small nucleoli
Paraimmunoblast- larger cells with
dispersed chromatin and central
eosinophilic nucleoli
CLL/SLL
WHO, 2008
The concept of monoclonal B- cell
lymphocytosis (MBL) as a precursor lesion of
CLL was not elucidated with clarity
Does not mention about tissue based MBL of
CLL type
WHO, 2016
Clarifies the concept of monoclonal B cell
lymphocytosis as a precursor lesion of CLL
Low count MBL- <500 cells/ microlitre PB
CLL- extremely low risk of progression to CLL
High count MBL- 500-5000 cells/ microlitre
PB CLL- high risk of progression to CLL
PB cells can be CLL/atypical CLL(CD5- CD23-
FMC7+)
Non-CLL type MBL, at least some of which
may be closely related to splenic marginal
zone lymphoma
Lymph node equivalent of MBL exist which is
indolent and non progressive but diagnostic
criteria is still not established
CLL/SLL
WHO, 2008
Mutated VH genes have better prognosis
compared to unmutated VH genes
Coexpression of ZAP 70 and CD 38 is
associated with worst prognosis
11q and 17p deletion- worst prognosis
13q deletion- favourable prognosis
Lymphocyte doubling time in less than 12
months, with serum markers of thymidine
kinase, sCD23 and beta 2 microglobulin – bad
prognosis
WHO, 2016
Retained all the previous prognostic factors
Large and confluent proliferation centres
with high Ki67 index >30% in the
proliferation centres- associated with bad
prognosis
Newer mutations- TP53, NOTCH1,
SF3B1,BIRC3
Binet staging system Rai staging system
A: <3 lymphoid areas enlarged 0: lymphocytosis only
B: >=3 lymphoid areas enlarged I: lymphadenopathy
C: Anaemia (Hb<10g/dl) and/or
thrombocytopenia (platelet
count<1lakh)
II: hepatomegaly and/or splenomegaly
+/- lymphadenopathy
III: <11g/dl
IV: platelet count <1,00,000
Lymphoid areas- cervical, axillary, and inguinal
Low risk High risk
Early stage disease (Binet: A, Rai:0,1) Advanced stage (Binet:B,C. Rai:II,III,IV)
Predominance of small lymphocytes Prolymphocytes >10%
Interstitial and nodular marrow pattern Diffuse pattern
Normal karyotype, 13q deletion 11q-,17p-, trisomy 12
CD38-, ZAP70- CD38+ ZAP70+
Normal beta 2 microglobulin Elevated beta microglobulin
Mutated IGHV Non mutated IGHV
LDT: more than 12 months LDT: less than 12 months
Females Males
Thymidine kinase, sCD23- low/normal Thymidine kinase,sCD23- high
Anaemia in CLL- causes
• Due to bone marrow infiltration
• Warm type AIHA-10% patients with CLL (positive coombs test,
spherocytes, reticulocytosis)
• Hypersplenism
• Folate deficiency
• Red cell aplasia
• Presence of monoclonal bands may depict transformation to richters
syndrome
• CLL transforms into prolymphocytic leukaemia(most common) and
DLBCL( Richter's transformation) in due course
Matutes score for CLL
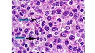
Follicular lymphoma
• Neoplasm of follicular germinal centre B cells composed of both centroblasts
and centrocytes
• Affects adults predominantly 6th decade with a slight female preponderance,
paediatric lymphomas are predominantly males
• FL can occur in extranodal sites like skin, GIT( duodenum), ocular adnexa,
breast and testis
• Presents with widespread lymphadenopathy (thoracic & abdominal) and
splenomegaly
Follicular lymphoma
• Mann and Berard grading system is used to grade lymphoma
Grade 1: 0-5 centroblasts per hpf
Grade 2 : 6-15 centroblasts per hpf
Grade 3 : >15 centroblasts per hpf
3A : centrocytes present
3B: solid sheets of centroblast
Reporting of pattern: follicular: >75%, follicular and diffuse: 25-75%, focally
follicular: <25% diffuse: 0%
• BCL-2, CD10, BCL-6 positive
Follicular lymphoma Even distribution of closely packed enlarged
uniform follicles that completely efface nodal
architecture
Follicles are distributed throughout cortex
and medulla
Slight or moderate variation in the size and
shape of follicles
Massive infiltration of capsule and
pericapsular fat
Fading of follicles( lack of sharply
demarcated germinal centres)
Condensation of reticulin fibres at the
periphery of the follicles
Tingible body macrophages are absent
Random distribution of centrocyte and
centroblast within follicles
Sparse follicular dendritic cell meshwork
Diffuse areas may be seen- composed of
centroblast
centroblast
centrocyte
Cytogenetic abnormalities & Oncogenic abnormalities
t(14,18)(q32;q21)/bcl-2 rearrangement 80%
+7 20%
+18 20%
3q27-28 15%
6q23-26 (bad prognosis) 15%
17p (bad prognosis) 15%
Bcl-6 rearrangement 15%
Bcl-6 5’ rearrangement 40%
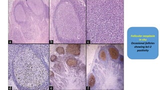
Follicular lymphoma
WHO, 2008
In situ follicular lymphoma
architecturally normal appearing lymph
node having one or two follicles that have
intense patchy or diffuse bcl-2, cd10
overexpressing centrocyte and centroblast in
a normal reactive follicular hyperplasia in the
absence of Interfollicular infiltration
These patients might have synchronous
follicular lymphoma or other types of
lymphoma(HL or NHL) at other sites
The risk of progression to overt lymphoma is
low- 5%
No treatment is recommended for FLIS
Important DD- partial involvement by FL
WHO, 2016
Terminology changed to In Situ Follicular
Neoplasia (IFSN) with retention of the same
definition
Follicular neoplasia
in situ
Occasional follicles
showing bcl-2
positivity
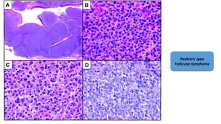
Paediatric Follicular lymphoma
WHO, 2008
Paediatric type follicular lymphoma was not
established a terminology in WHO 2008
WHO, 2016
Terminology of Paediatric type of FL has
emerged in the list of classification
It is a nodal disease characterized by large
expansile highly proliferative follicles that
often have prominent blastoid follicular
centre cells
BCL2 rearrangements must not be present,
but can be overexpressed. They also lack
BCL6 and MYC rearrangements
Nearly all cases are localized and may not
require treatment other than excision
Better prognosis compared to FL
Paediatric type follicular lymphoma
• Salient features include
• Marked male predominance
• Most patients are stage I/II disease
• Involvement of head and neck region is more common (cervical LN and tonsils)
• Most patients are mixed or large cell type (grade 2/3) with high ki-67 >30%
• Bcl-2 staining is negative; bcl-2 rearrangement is absent
• Prognosis is excellent, disease is curable, recurrence and progression is rare
Pediatric type
Follicular lymphoma
Large B cell lymphoma with IRF4/MUM-1
rearrangement
WHO, 2008
Large B cell lymphoma with IRF4
rearrangement is not a terminology
in WHO 2008
WHO, 2016
Occurs most commonly in children and young adults
These lymphomas typically occur in Waldeyers ring
and/or cervical lymph nodes and are low stage.
They may have a follicular, follicular and diffuse, or pure
diffuse growth pattern resembling FL grade 3B or a
DLBCL
Strong IRF4/MUM1 expression is seen with BCL6 and a
high proliferative fraction
BCL2 and CD10 are also expressed in more than half of
the cases with a minority CD5+.
This lymphoma is considered to be more aggressive than
pediatric-type FL but patients, at least when treated,
have done very well
Duodenal type Follicular lymphoma
WHO, 2008
Duodenal type follicular and diffuse
appearing FL not elucidated with clarity
WHO, 2016
Duodenal type follicular lymphoma- Localized
overt low grade lymphoma
Excellent outcome including some patients
managed with wait and watch strategy
Duodenal follicular lymphoma
• Isolated or multiple tiny polyps in second part of duodenum
• Jejunum and ileum can also be affected
• Middle aged adults without symptoms ,usually incidentally detected
• Usually grade 1 or grade 2
• It is positive for all conventional markers of follicular lymphoma (bcl-2,
CD10) and germinal centre marker bcl-6
• Show t(14,18) with bcl-2 rearrangement
• Localised disease, excellent outcome, no extraintestinal dissemination at all
• Treatment with limited chemotherapy with rituximab/localized
radiation/observation
Duodenal follicular lymphoma- histopathology and
bcl-2 immunostaining
Diffuse appearing Follicular lymphoma
WHO, 2008
Diffuse appearing FL not elucidated with
clarity
WHO, 2016
Diffuse appearing follicular lymphoma
resembles a Grade 1/2 diffuse follicular
lymphoma
Lacks bcl-2 rearrangement
Characteristic 1p36 deletions
Follicular lymphoma
• Mutations in chromatin regulator/modifier genes, such as CREBBP
and KMT2D (MLL2), are extremely common early events and may be
potential therapeutic targets
• EZH2 mutations, present in about 20% to 25% of FL, are another early
event and potential therapeutic target
Mantle cell lymphoma
• Neoplasm of B cells composed of monomorphic small to medium sized
lymphoid cells with irregular nuclear contours and CCND1 translocation
• Affects adults predominantly 6th decade with a marked male preponderance
• Most patients present with stage III/IV disease
• In situ mantle cell lymphoma (replaced by “in situ mantle cell neoplasia” WHO
2016)- involvement by atypical cyclin D1 positive cells restricted to inner
mantle without spread to germinal centre of inter follicular zone
Mantle cell lymphoma
• Aggressive variants
• Blastoid: cells resembling lymphoblasts with dispersed chromatin and high
mitotic rate 20-30/10 hpf
• Pleomorphic: cells are pleomorphic with pale cytoplasm, irregular nuclei and
prominent nucleoli
• Other variants- small cell like, marginal zone like
• Translocation: t(11,14)
• Cyclin D1 negative MCL- have high expression of cyclin D2 {t(2,12)} and cyclin
D3
Classical variant- centrocyte like cells with cleaved nuclei with
hyalinised vessels
Blastoid variant- lymphoblast like cells with opened up
chromatin and a conspicuous nucleoli, hyalinised vessels seen
Cyclin D1 positivity in mantle cell lymphoma
Mantle cell lymphoma
Previously(WHO 2008) described molecular
pathogenesis in the development and
progression of MCL
Mantle cell lymphoma
t(11,14)
Cyclin D1
P16,CDK4,RB,ARF,
MDM2
Current (WHO 2016) described molecular
pathogenesis in the development and
progression of MCL
SOX-11
• The SRY (sex-determining region Y)-box11 (SOX11) gene at 2p25.2 locus
belongs to the SRY-related high-mobility group box gene family of 20
transcription factors
• Play a very important role in embryonic neurogenesis and organogenesis
• SOX11 upregulation has been detected in various types of solid tumors
including medulloblastomas, gliomas and epithelial ovarian tumors
Epigenetics like
histone methylation
play an important
role in SOX11
overexpression
SOX-11 is
neither
amplified,
mutated or
rearranged
SOX11 overexpression in conventional MCL may block the cells in a mature B-cell
stage, preventing their further differentiation through the PAX5-PRDM1/BLIMP
regulatory axis
• It has also been learned that about half of MCL that lack cyclin D1
expression/CCND1 rearrangements have CCND2 translocations, often
with IGK or IGL as a partner locus, a finding that can be of diagnostic
utility
Diffuse Large B cell lymphoma ,NOS
• A neoplasm of large B lymphoid cells with nuclear size equal to or exceeding
normal macrophage nuclei or more than twice the size of a normal lymphocyte
nuclei that has a diffuse growth pattern
• Median age- 7th decade
• More common in males
• Primary – arises de novo
• Secondary- arising from a low grade lymphoma (CLL/SLL, follicular lymphoma,
marginal zone lymphoma, NLPHL)- associated with overt immunodeficiency,
more EBV related than sporadic
DLBCL, NOS classification
• Morphology variants
• Centroblastic
• Immunoblastic
• Anaplastic
• Signet ring cell type
• DLBCL, NOS with myxoid stroma
• Spindled
• DLBCL with rosette like features
• Molecular sub- groups
• Activated B cell type
• Germinal Centre type
• Immunohistochemical types
• Non germinal centre type
• Germinal centre type
• CD5+ DLBCL
Centroblastic- vesicular chromatin, multiple nucleoli
Immunoblastic – vesicular chromatin, central prominent
nucleoli
DLBCL with rosette like features Anaplastic DLBCL
Signet ring DLBCL DLBCL with myxoid features
DLBCL, spindled cell variant
Diffuse Large B cell lymphoma ,NOS
• Immunophenotyping- positive for pan B cell markers- CD19,CD20,CD22 and
CD79
• CD30 is expressed in anaplastic variant
• Ki-67: 40-90%
• Uniform expression of FOXP1- DLBCL, non germinal centre type
• Hans classifier ( CD10, BCL-6, and MUM-1)
• Aberrant somatic hypermutations- PIMI, MYC,ARHH and PAX5- >50% DLBCL
• Treatment: R-CHOP (Rituximab/Cyclophosphamide/Hydroxyl daunorubucin/
Oncovin (Vincristine)/Prednisolone
Hans classifier
Immuno-phenotypic subdivision does not exactly correlate with gene expression based
subgrouping of DLBCL in around 10-15% cases
Genetic, molecular and clinical characteristics of
DLBCL
Characteristic Activated B cell like Germinal centre B cell like
t(14,18) 0 35%
3q gain/amplification 26% 0%
9p gain/ amplification 6% 0%
12q12 5% 20%
IG mutations No Yes
Bcl-2 rearrangement 0 20-25%
Rel amplification 0 15%
NF-kb activation Yes No
5 year survival 15-30% 50-60%
Prognosis Poor Better than ABC
Diffuse large B cell lymphoma, NOS
WHO, 2008
Diffuse large B cell lymphoma, NOS
Sub-classification of DLBCL was considered
optional in 2008 GEP was not available as a
routine clinical test and due to issues in
reproducibility and reliability of IHC
algorithms
WHO, 2016
Diffuse large B cell lymphoma, NOS
Sub- classification is considered mandatory in
the current WHO revision, the use of Hans
algorithm was considered acceptable and had
reasonable correlation with GEP. Also greatly
influenced prognosis. It is however
acknowledged that the IHC algorithms did not
recognize 10-15% of tumors classified by GEP,
have reproducibility issues and not uniformly
reported to have prognostic utility
EBV positive DLBCL of elderly (2008)
• In 2008 EBV positive DLBCL of elderly was exclusively considered to be an
elderly disease with aggressive behaviour and bad prognosis
• The patients are almost always immunocompetent, immunodeficiency rules
out the diagnosis of EBV positive DLBCL
• To diagnose this condition other EBV related tumors have to be excluded
namely plasmablastic lymphoma, primary effusion lymphoma, DLBCL
associated with chronic inflammation
• 70% patients- extranodal disease, 30%- nodal
EBV positive DLBCL of elderly (2008)
• Two morphological types are seen
• Polymorphous subtype- similar to HL
• Large cell lymphoma subtype
• Atypical cells- EBV-LMP and EBNA-2 positive
• Cells are variably CD30 positive, CD15 negative and MUM1/IRF positive
Polymorphous type- large immunoblast like cells, reactive
lymphocytes, plasma cells, histiocytes and epithelioid cells,
necrosis is a prominent feature
Large cell lymphoma type- large immunoblast like cells and
medium sized lymphoid cells, necrosis is a prominent feature
EBV positive DLBCL, NOS
WHO, 2008
EBV-positive DLBCL of the elderly
These tumors occur in apparently
immunocompetent patients usually more
than 50 years old and have a worse prognosis
with median survival of 2 years
WHO, 2016
EBV–positive DLBCL,NOS
however, have been increasingly recognized in
younger patients, with a broader morphological
spectrum and better survival than initially
thought
This new information has led to substitution of
the modifier “elderly” with “not otherwise
specified” EBV+ DLBCL, NOS in the updated
classification
EBV positive mucocutaneous ulcer
WHO, 2008
EBV-positive DLBCL of the elderly
These tumors occur in apparently
immunocompetent patients usually more
than 50 years old and have a worse prognosis
than Epstein-Barr virus–negative (EBV-)
tumors
WHO, 2016
EBV positive mucocutaneous ulcer
has been segregated from EBV positive DLBCL
as a provisional entity due to its self-limited
growth potential and response to conservative
management. These lesions may present in
advanced age or with iatrogenic
immunosuppression
Had similar histopathological features compared to EBV
positive DLBCL, NOS
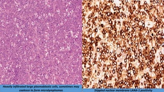
HHV8 positive plasmablastic lymphoma (2008)
• Monoclonal proliferation of HHV-8 infected plasmablastic cells expressing IgM
and usually arising in HIV and lack somatic hypermutation
• Activation of IL-6 receptor signalling pathway- thought to be the mechanism
• Mostly involves lymph node and spleen
• HHV latent nuclear antigen-1(LANA-1) is positive and shows stippled nuclear
staining
• Other markers are viral-lambda- interleukin-6
• Also positive for IgM, CD38 negative, CD138 negative
Heavily infiltrated large plasmablastic cells, sometimes may
coalesce to form microlymphomas Stippled nuclear membrane LANA-1 positivity
HHV 8 positive DLBCL
WHO, 2008
HHV-8 positive plasmablastic lymphoma
is an HHV-8 associated disease composed of
monoclonal proliferation of plasmablasts
expressing IgM arising in a setting of
Castleman disease. Also associated with HIV
infection. This lymphoma has to be
differentiated with other lymphomas
showing plasmablastic differentiation
WHO, 2016
Disease renamed as HHV-8 positive DLBCL NOS
Burkitt lymphoma
• Composed of monomorphic medium sized cells involving extranodal sites
• Three types have been described endemic, sporadic and immunodeficiency
associated
• Endemic type- always seen in extranodal sites like mandible seen in African
population
• Sporadic type- ileocecal region is the most common site
• Immunodeficiency associated- LN involvement is more common compared to
others
• EBV association: 95%- endemic, 30%- sporadic, 25-40%- immunodeficiency
• t(8,14): IGH-MYC ; t(8,22): IG lambda-MYC ; t(2,8): IG kappa-MYC
Burkitt lymphoma
• Endemic- location of breakpoint of chromosome 8 is 100 kb upstream of c-myc exon 1
fused with IgH on chromosome 14
• Sporadic - location of breakpoint of chromosome 8 is between exon 1 and exon 2 of
c-myc fused with IgH on chromosome 14
• Uncommon sites involved- breast( usually bilateral and massive seen before puberty,
pregnancy and lactation), ovary and kidney
• Highly aggressive tumor
• Highly responsive to chemotherapy
• 90% cure rates- low stage disease
• 60-80% cure rates- advanced stage disease
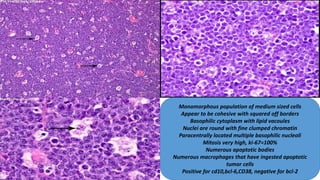
Monomorphous population of medium sized cells
Appear to be cohesive with squared off borders
Basophilic cytoplasm with lipid vacoules
Nuclei are round with fine clumped chromatin
Paracentrally located multiple basophilic nucleoli
Mitosis very high, ki-67=100%
Numerous apoptotic bodies
Numerous macrophages that have ingested apoptotic
tumor cells
Positive for cd10,bcl-6,CD38, negative for bcl-2
Burkitt lymphoma
WHO, 2008
Three types have been described endemic,
sporadic and immunodeficiency associated,
endemic always seen in extranodal sites like
mandible seen in African population, in
sporadic cases ileocecal region is the most
common site, and in immunodeficiency
associated, LN involvement is more common.
Myc translocation is seen both in endemic
and sporadic
WHO, 2016
Burkitt-like lymphoma with 11q aberration
(proximal gains/ telomeric losses)
Morphology looks similar to Burkitt’s
lymphoma
lack MYC rearrangements
certain degree of cytological pleomorphism,
occasionally a follicular pattern
frequently a nodal presentation
The clinical course seems to be similar to BL
But the number of cases reported is still limited
Burkitt lymphoma
WHO, 2008
Three types have been described endemic,
sporadic and immunodeficiency associated,
endemic always seen in extranodal sites like
mandible seen in African population, in
sporadic cases ileocecal region is the most
common site, and in immunodeficiency
associated, LN involvement is more common.
Myc translocation is seen both in endemic
and sporadic
WHO, 2016
Transcription factor TCF3 or its negative
regulator ID3 occur in about 70% of sporadic
and immunodeficiency-related BL and 40% of
endemic case
expression of cyclin D3 ,which is mutated in
30% of BL
HGBL with MYC,
BCL-2 and/or BCL-6
rearrangement
High-grade B-cell lymphomas, with and without
MYC and BCL2 or BCL6 translocations & High
grade B cell lymphoma NOS
• B cell lymphoma Unclassifiable (BCLU-DLBCL/BL)- features
intermediate between BL and DLBCL
• High-grade B-cell lymphomas, with and without MYC and BCL2 or
BCL6 translocations
• All LBCL with MYC and BCL2 and/or BCL6 rearrangements will be
included in a single category (BL, DLBCL, BCLU, TdT- Cyclin D1-
blastoid morphology)
High-grade B-cell lymphomas, with and without
MYC and BCL2 or BCL6 translocations/ High grade
B cell lymphoma NOS
High-grade B-cell lymphomas, with and without
MYC and BCL2 or BCL6 translocations/ High grade
B cell lymphoma NOS
• Double hit- 2/3; triple hit- 3/3
• Double expressor lymphoma- DLBCL which co-expresses >40% MYC-2 and
>50% BCL-2 protein expression, triple expressor - 3/3
• High grade B cell lymphoma, NOS
• Includes BCLU negative for MYC, BCL2 and BCL-6
• Includes blastoid morphology negative for MYC, BCL-2,BCL-6, TDT and
Cyclin D1
MYC translocation in Double hit/triple hit
lymphoma
• MYC translocations in 10–15 % of cases of double hit/triple hit lymphomas.
• In 40–50 % of Double/triple hit lymphomas , the MYC translocation partner is a non-
IG gene
• PAX5 t(8;9)(q24;p13).
• The IG light chain genes are also more often involved in MYC translocation
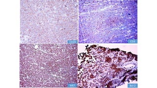
H&E 40x
CD20 CD3
ki67 Bcl-2
cd10
MUM-1tdt
BCL6
Hairy cell leukaemia
• Indolent neoplasm of small mature B cells
• Median age- 50 years, M:F -5:1
• Tumor predominantly involves bone marrow and spleen
• Do not usually affect LNs(down regulation of chemokine receptor CCR7 and
CXCR5)
• Presents with splenomegaly and pancytopenia
• Indolent lymphoma- dramatic response to cladribine and pentostatin
Bone marrow aspirate
Hairy cells- medium sized lymphoid cells with bean shaped
nucleus and spongy chromatin, nucleoli are absent
pale blue cytoplasm with circumferential hairy projections.
Occasional cytoplasm contains vacoules and rod shaped
inclusions of ribosome lamellar complexes (Gas7 and Rho
family GTP ases causes hairy projections)
Cytochemical stain: strong granular cytoplasmic TRAP
positivity
Bone marrow biopsy
Interstitial or patchy pattern of cells with widely spaced
indented or oval nuclei, abundant cytoplasm with
prominent cytoplasmic borders resembling fried egg
appearance
Mitotic figures are virtually absent
There is some preservation of hematopoietic elements
IHC: Annexin A1( most specific marker), CD11c, CD103,
CD25, DBA.44, T-bet
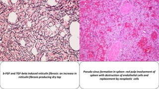
b-FGF and TGF-beta induced reticulin fibrosis: an increase in
reticulin fibrosis producing dry tap
Pseudo-sinus formation in spleen- red pulp involvement of
spleen with destruction of endothelial cells and
replacement by neoplastic cells
Grossly enlarged spleen with massive expansion of red pulp. White pulp not
discernible. Numerous blood lake formation is seen
Hairy cell leukaemia
WHO, 2008
2008 monograph noted that “no specific
chromosomal or oncogene abnormalities are
recognized” in HCL
WHO, 2016
In 2016, BRAF V600E mutations are found in
almost all cases of hairy cell leukemia (HCL) but
not in HCL-variant (HCL-v) and IGHV4-34
mutated cases.
Hairy cell leukaemia- variant
Salient features-
Usually present with leucocytosis
Cell morphology is different- no circumferential hair
like projections, prominent nucleoli
BM does not have significant reticulin fibrosis
Absent CD25, Annexin A1, or TRAP staining (CAT)
Positive staining for DBA.44, CD11c and CD103
Lack of dramatic response to cladribine
Still has an indolent course
Responds well to rituximab
Hairy cell leukaemia- variant
WHO, 2008
2008 monograph noted that “no specific
chromosomal or oncogene abnormalities are
recognized” in HCL- variant
WHO, 2016
Recently, mutations in MAP2K1 which encodes
MEK1 (which is downstream of BRAF) have
been reported in almost half of HCL-v and in
the majority Of HCL that use IGHV4-34 and
which, like HCL-v, lack BRAFV600E mutations
Lymphoplasmacytic lymphoma
• Indolent neoplasm of small mature B lymphocytes, Plasmacytoid B cells and
plasma cells
• Usually involves bone marrow, sometimes involves LN and spleen
• Often associated with Waldenström macroglobulinemia, IgM paraproteinemia
and hepatitis C
• Median age-60 years, male predominance
• Presents with weakness and fatigue(anaemia) and neuropathy( destruction of
myelin by IgM paraproteins
• Distinction between LPL and MZL- not clear cut and extremely difficult
Proliferation of plasma cells, small lymphocytes and Plasmacytoid lymphocytes
Dilated sinusoids containing PAS positive material
Lymphoplasmacytic lymphoma
WHO, 2008
2008 monograph noted that “no specific
chromosomal or oncogene abnormalities are
recognized” in lymphoplasmacytic lymphoma
(LPL)
WHO, 2016
90% of LPL have MYD88 L265P mutations
Also seen in
30% of non–germinal centre -type DLBCL
>/=50% of primary cutaneous DLBCL, leg type,
IgM MGUS
Extranodal marginal zone lymphoma of mucosal
associated lymphoid tissue (MALT lymphoma)
• MALT lymphoma comprises 7- 8% of all B-cell lymphomas and up 50% of primary gastric lymphoma
• Immunoproliferative small intestinal disease (IPSID) is a marginal zone lymphoma of small intestine
• Median age- 61 years
• Slight female preponderance
• H. pylori thought to play a role, secondary to atrophic gastritis
• Chlamydia psittaci, campylobacter jejuni and borrelia burgdorferi has been proposed for some cases of ocular
adnexal MALT lymphomas, IPSID and cutaneous MALTomas
• Marginal zone lymphoma appears secondary to sjogrens syndrome/lymphoepithelial sialadenitis and hashimotos
thyroiditis in salivary gland and thyroid respectively
• Other uncommon sites are lung head and neck
• Most patients present with stage 1/2
• Bone marrow involvement is very rare
• BM involvement is less common in gastric MALT omas compared to
salivary gland and ocular adnexa
• Morphologically composed of centrocyte like cells, monocytoid cells
and small lymphocytes with plasma cell differentiation and
characteristic lymphoepithelial lesions
• Histological features of IPSID are similar to those of MALT omas
except that IPSID show more plasmacytic differentiation
Immunohistochemistry and cytogenetics
• Tumor cells show IgM and less often IgA and IgG with light chain
restriction
• CD5- CD23-
• In IPSID, both plasma cells and marginal zone cells show alpha heavy
chain without any light chain
• t(11,18)- pulmonary and gastric MZL
• t(14,18)- ocular adnexa/orbit and salivary gland MZL
• t(3,14)- thyroid, skin and ocular adnexa/orbit MZL
• Trisomy 3- IPSID, salivary gland, ocular adnexa/orbit MZL
• Trisomy 18- IPSID
Prognosis
• MALT lymphomas have an indolent natural course and are slow to
disseminate
• Recurrences occur more often in patients with extragastric MALT
lymphomas than in patients with primary gastric disease
• The tumours are sensitive to radiation therapy, and local treatment may be
followed by prolonged disease-free intervals
• Involvement of multiple extranodal sites and even BM involvement do not
appear to confer a worse prognosis
• Protracted remissions may be induced in by antibiotic therapy for H. pylori
• Transformation to DLBCL may occur
Nodal marginal zone lymphoma
• Hepatitis C is associated 20-24% cases
• Similar proportion in males and females
• Median age is 60 years
• This lymphoma can occur in children where there is male
preponderance (20:1)
• Pediatric nodal MZL typically exhibits PTGC of germinal follicles in the
outer border by neoplastic cells, which is not seen in adult nodal MZL
Lymphomatoid granulomatosis
• lymphomatoid granulomatosis (LYG) is an angiocentric and
angiodestructive lymphoproliferative disease involving extranodal
sites composed of Epstein-Barr virus (EBV)-positive cells admixed with
reactive T cells
• Usually seen in adult life
• Commonly seen in males
• Commonest site- lung (90%)- bilateral, mid and lower lung fields
• Other sites- brain, kidney, liver and skin
• Lymph nodal involvement is rare
• Disease portends an aggressive course with bad prognosis
Grading system
• Grade 1- EBV positive cells detected by EBER in situ hybridization less than
5/ hpf in a polymorphous background composed of predominantly of CD3
positive T cells and other cells like plasma cells
• Grade 2- EBV positive transformed cells 5-20/hpf can extent upto 50/hpf in
a polymorphous background
• Grade 3- >50/hpf, EBV positive transformed cells in confluent sheets and
aggregates in a polymorphous background
• Grading of atmost importance, determines prognosis
• Grade 3 high chances of progressing to EBV positive DLBCL
• The background T cells are predominately CD4 T cells compared to CD8 T
cells
Plasma cell neoplasms
Chronic leukaemia myeloma
task force 1973
International working
group 2003
2016 MM
• Both criteria should be met :
• Serum monoclonal protein ≥3 g/dL and/or bone marrow
plasma cells 10-60% percent
• No end organ damage related to plasma cell dyscrasia
(see CRAB)
• Management :
• Does not require any intervention
• Close surveillance is necessary to ensure stability of the
disease ( SPEP, CBC, Creatinine and calcium every 3 to 4
month and Skeletal Survey annually to pick up
asymptomatic bone lesions)
Smoldering Myeloma
• Rare variant : About 1% of Myelomas
• May present with Bone lesions ( most common
presenting symptom bone pain)
• No serum or urine monoclonal protein ( diagnosis
can be missed if one is not aware of this entity,
NSMM)
• Renal failure and hypercalcemia are generally lacking
• Anemia may be present
• Bone marrow biopsy must be performed in suspected
cases
• Immunostaining for a monoclonal protein on bone
marrow sections may establish the diagnosis
• Must rule out IgD and IgE myeloma
Non-Secretory Myeloma
Plasma cell myeloma
• Both criteria has to be met
• Clonal bone marrow plasma cells >/= 10% or biopsy proven bony or
extramedullary plasmacytoma
• And any one of the following
• Evidence of end organ damage
• serum calcium >11mg/dl
• renal insufficiency- serum creatinine >2mgdl
• anaemia- Hb <10g/dl
• bone lesions- one or more osteolytic lesions on skeletal
radiography(CT/PETCT)
• Clonal bone marrow plasma cells >/=60%
• Involved :uninvolved free light chain >/=100
• >1 focal lesion on MRI at least 5mm size
IDEAL SCREENING PANEL FOR MONOCLONAL
GAMMOPATHY
• Serum Protein Electro Phoresis (SPEP) + Serum Immunofixation (SIFE)
• SPEP + SIFE + SFLC
• SPEP + SFLC
• SPEP + SIFE + SFLC + UPEP
• Most comprehensive
SCREENING FOR PLASMA CELL DISORDERS
Screening panels for detection of monoclonal gammopathies.
Katzmann JA et al Clin Chem. 2009 Aug;55(8):1517-22.
N
SPEP+
sIFE+
uIFE+
FLC
SPEP+
sIFE +
uIFE
SPEP+
sIFE+
FLC
SPEP+
FLC
sIFE FLC
N 1877 1851 1821 1828 1770 1632 1395
ALL 98.6 97 97.4 94.3 87 74.3
MM 467 100 98.7 100 100 94.4 96.8
sMM 191 100 100 100 99.5 98.4 81.2
MGUS 524 100 100 97.1 88.7 92.8 42.4
Amyloid 581 98.1 94.2 97.1 96.2 73.8 88.3
Macroglobulinemia 26 100 100 100 100 100 73.1
Plasmacytoma 29 89.7 89.7 89.7 86.2 72.4 55.2
Plasma cell neoplasms
WHO, 2008
t(11,14) & t(6,14)- good prognosis
t(4,14)- intermediate prognosis
t(14,16) and t(14,20)- worst prognosis
WHO, 2016
Long with previous cytogenetics with
Gain 1q21- intermediate risk
Deletion 17p- high risk
Enteropathy associated T cell lymphoma
• Enteropathy-associated T-cell lymphoma (EATL) is an intestinal tumour of
intraepithelial T lymphocytes
• Type I EATL(EATL,2016) is associated with refractory celiac disease and
adjacent mucosa shows villous atrophy with crypt hyperplasia
• This monomorphic variant (type II EATL) may occur sporadically without risk
factors for coeliac disease (WHO 2008)
• The lymphoma occurs most commonly in the jejunum or ileum
Enteropathy associated T cell lymphoma
• Patients present with abdominal pain, often associated with intestinal
perforation, ulceration, obstruction and haemorrrhage (both EATL 1 and 2)
• The tumour usually presents as multiple ulcerating raised mucosal masses that
invades the wall of the intestine
• Prognosis is poor
• Commonest cause of death- perforation coupled with malabsorption
EATL type 1 V/S EATL type 2(METCL)
EATL TYPE 1 EATL TYPE 2 (METCL)
Frequency 80-90% 10-20%
Morphology Variable Monomorphic small to medium
Immunophenotype
CD8 Mostly negative(20% shows
positivity)
Mostly positive(80%)
CD56 Negative >90% Positive >90%
HLADQ2/DQ8 Positive >90% Positive 30-40%
Genetics
+9q31.3/-16q12.1 86% 83%
+1q32.2-q41 73% 27%
+5q34-q35.2 80% 20%
+8q24 (MYC) 27% 73%
RCD/EATL in situ precursor Yes No
Refractory coeliac disease and EATL in situ
• Refractory celiac disease (RCD) is defined by persistent or recurrent
malabsorptive symptoms and villous atrophy despite strict adherence to a gluten-
free diet (GFD) for at least 6–12 months in the absence of other causes of non-
responsive treated celiac disease and overt malignancy
• RCD may or may not be present with ulcerative jejunitis
• EATL in situ: all those cases of RCD, if the IELs show monoclonal TRG- alpha
rearrangement and/or with loss of chromosome 1q
• IHC wise it correlates with loss of CD8,CD56 and alpha/beta TCR of IELs in type 1
EATL in situ
• Type 2 EATL in situ(METCL)- shows CD8+ CD56+ monoclonal T lymphocytes
Coeliac disease
CD8+ CD56+
RCD
CD8 + CD56+
EATL in situ
CD8- CD56-
EATL (WHO 2016)
CD8- CD56-
Enteropathy associated T cell lymphoma
WHO, 2008
Previously described as type 1 and type 2
EATL, refractory celiac disease is a precursor
of type 1 EATL while the monomorphic
variant (type 2 EATL) is less celiac disease
related
Both associated with bad prognosis and
prone for ulceration and perforation
EATL in situ- intraepithelial lymphocytes
which are CD3+ and CD8-, CD56-
WHO, 2016
Type 1 EATL retained as such
Type 2 EATL is now known as monomorphic
epitheliotropic T cell lymphoma commonly
occurring in jejunum and ileum
Concept of EATL in situ still holds
Both EATL and METCL has similar clinical course
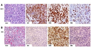
ALK positive ALCL
• 3% of adult non Hodgkin's lymphoma
• Most frequent in first three decades of life
• Involves LN and extranodal sites
• Extranodal sites: skin, bone, soft tissue, lung and liver
• Involvement of GIT and CNS is rare
• Bone marrow involvement:10%
• Mediastinal involvement less frequent than classical Hodgkin's
• Small cell variant- leukaemic presentation
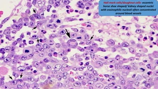
Hall mark cells/doughnut cells- eccentric
horse shoe shaped/ kidney shaped nuclei
with eosinophilic nucleoli often concentrated
around blood vessels
Patterns of ALK+ALCL
• Common pattern(60%)
• Lympho-histiocytic pattern(10%)
• Small cell pattern(5-10%)
• Signet ring cell pattern
• Hodgkin Nodular sclerosis like pattern(3%)
Immunohistochemistry
• CD30 membrane and Golgi region
• Strongest positivity in larger cells, Smaller cells may be weakly positive or negative
• ALK positive, EMA positive
• T cell phenotype positive/ null T cell phenotype
• CD3 is negative in more than 75% cases
• CD2,CD4,CD5 are more useful and are positive in significant number of cases
• Cytotoxic associated antigens- TIA1, Granzyme B and perforin positive
ALK+ IMT shows mostly
granular cytoplasmic
staining pertaining to ALK-
CLTC fusion
Epithelioid variant of IMT-
ALK- RANBP2 fusion
No changes in
ALK+ ALCL in
WHO 2016
Its worthwhile to
remember some of
the ALKomas at this
moment!!
Anaplastic large cell lymphoma, ALK negative
WHO, 2008
ALCL, ALK negative was a separate entity
which showed similar morphology to ALK+
except that cells were more cohesive and
sinusoidal pattern, showed diffuse uniform
CD30 membrane and golgi positivity
Bad prognosis compared to ALK positive ALCL
WHO, 2016
Breast implant associated ALCL is a new
provisional entity, variant of ALK-ALCL with a
median time from time of implant to
lymphoma is 10 years, usually presents as
seroma fluid enclosed in a capsule with
neoplastic elements in the fluid. conservative
management is enough with removal of
implant and seroma fluid. Excellent outcome
Breast implant associated ALCL/Seroma
associated ALCL
• Indolent type of ALK negative ALCL despite its alarming pleomorphic appearance of
neoplastic cells
• Patients usually present with breast swelling 4-20 years (median: 10 years) after insertion
of silicone or saline prosthesis
• Morphological appearance typical of ALCL
• A well defined capsule surrounding the lesion or implant
• Removal of the implant with capsuletomy is treatment of choice
• Excellent prognosis
Breast
implant
associated
ALCL
Anaplastic large cell lymphoma, ALK negative
WHO, 2008
ALCL, ALK negative was a separate entity
which showed similar morphology to ALK+
except that cells were more cohesive and
sinusoidal pattern, showed diffuse uniform
CD30 membrane and golgi positivity
Bad prognosis compared to ALK positive ALCL
WHO, 2016
Type 1 two important signature mutations
6p25 rearrangement- DUSP22 and IRF4
associated with good prognosis
TP63 mutations were considered aggressive
Nodal T cell lymphomas with TFH phenotype
WHO, 2008
Nodal T cell lymphomas with T follicular
helper (TFH) phenotype was not described
WHO, 2016
An umbrella category created to highlight the
spectrum of nodal lymphomas with a TFH
phenotype including angio immunoblastic T-cell
lymphoma, follicular T-cell lymphoma, and
other nodal PTCL with a TFH phenotype
(should have 2-3/ 7 markers positive- CD10,
PD1, BCL-6, CXCL13, ICOS, SAP, CCR5)
Overlapping recurrent molecular/cytogenetic
abnormalities recognized that potentially could
impact therapy.
Peripheral T cell lymphoma, NOS
WHO, 2008
TCR genes are clonally rearranged in most
cases. Deletions in 5q, 10q and 12q
associated with good prognosis
WHO, 2016
GATA A3 and TBX21 are two mutations
detected in PTCL, NOS associated with worse
outcome
T cell Large granular lymphocytic leukaemia
WHO, 2008
T cell large granular lymphocytic leukaemia is
a large heterogeneous disorder characterised
by persistent increase In large granular
lymphocytes in PB between 2-20 x 10^9/L for
more than 6 months. TRG alpha gene was
rearrangement is seen in almost all cases
WHO, 2016
New mutations has been described in T cell
large granular lymphocytic with STAT3 and
STAT5B – associated with a worse prognosis
Primary cutaneous acral CD8 positive T cell lymphoma
WHO, 2008
Primary cutaneous acral CD8 Positive T cell
lymphoma was not included in 2008
monograph
WHO, 2016
Primary cutaneous acral CD8 positive T cell
lymphoma is a new entity in the revised 2016,
associated with an indolent course unlike
primary cutaneous CD8 positive aggressive
epidermotropic cytotoxic T cell lymphoma. Its
characteristic location is in the Ear lobe
Primary cutaneous CD4 positive small/ medium T
cell lymphoproliferative disorder
WHO, 2008
Primary cutaneous CD4 positive small/
medium T cell lymphoma was the
terminology used in 2008. It is a lymphoma
characterised small to medium sized CD4
positive pleomorphic cells with focal/no
epidermotropism without evidence of
patches or plaques typical of mycosis
fungoides
WHO, 2016
Primary cutaneous CD4 positive small/
medium T cell lymphoma no longer called
lymphoma but called Primary cutaneous CD4
positive small/ medium T cell
lymphoproliferative disorder because of its
excellent prognosis
EBV positive T cell lymphoma of childhood
WHO, 2008
Old name was EBV positive T cell
lymphoproliferative disorder of childhood in
2008 monograph. It is a life threatening
illness characterised by clonal proliferation of
EBV infected T cells with an activated
cytotoxic phenotype. It can occur shortly
after primary acute EBV infection or in a
setting of chronic active EBV infection. It has
overlapping clinicopathological features of
NK cell leukaemia. Show characteristic CD2+
CD3+ TIA+ CD56-
WHO, 2016
Name changed to EBV positive T cell lymphoma
of childhood because of the aggressive nature
of the disease
Hydroa vacciniforme like lymphoproliferative disorder
Hydroa vacciniforme like lymphoma
is EBV positive cutaneous T cell lymphoma
occurring in children and associated with
insect bite and sun sensitivity. It commonly
affects sun exposed skin, particularly on
face. The cells have a cytotoxic phenotype
or less commonly a NK cell phenotype with
expression of CD56.
WHO, 2016
Name changed to Hydroa vacciniforme like
lymphoproliferative disorder because these
diseases follow a much more indolent course
compared to EBV positive
Lymphoproliferative disorder of childhood.
However the disease can progress to
systemic involvement in due course after 10-
15 years.
Indolent T cell lymphoproliferative disorder of GI tract
WHO, 2008
Not described in 2008
WHO, 2016
Indolent T cell lymphoma occurring in the GI
tract
Clonal CD8 positive T cell or less often CD4
The optimal management is not yet determined
Adult T cell leukaemia/lymphoma
• A peripheral T-cell neoplasm most often composed of highly pleomorphic lymphoid cells
• The disease is usually widely disseminated and is caused by the human retrovirus known as
human T-cell leukaemia virus type 1 (HTLV-l)
• Adult T-cell leukaemia/lymphoma is endemic in several regions of the world particular
Southwestern Japan, the Caribbean basin and parts of Central Africa
• The disease has a long latency, and affected individuals usually are exposed to the virus very
early in life
• The virus may be transmitted in breast milk and through exposure to peripheral blood and
blood products
• P40 tax viral protein and HTLV-1 basic leucine zipper plays an
important role in oncogenesis
• It has variable presentation
• Acute
• Chronic
• Smoldering
• Lymphomatous
• Acute variant
• most common pressentation
• leukaemic phase with a markedly elevated while blood cell count, skin rash and generalized lymphadenopathy
• Hypercalcaemia, with or without lytic bone lesions is a common feature
• Patients with acute ATLL have a systemic disease accompanied by hepatosplenomegaly, constitutional symptoms
and elevated lactic dehydrogenase
• Leukocytosis and eosinophilia are common
• Many patients have an associated T-cell immunodeficiency, with frequent opportunistic infections such as
Pneumocystis carinii pneumonia and Strongyloidiasis
• Lymphomatous variant
• Prominent lymphadenopathy without PB involvement
• Most patients present with advanced stage disease similar to the
acute form
• Hypercalcaemia is less often seen
• Cutaneous lesions are common in both the acute and lymphomatous
forms of ATLl
• They are clinically diverse, and include erythematous rashes, papules
and nodules
• Larger nodules may show ulceration.
• Chronic variant
• frequently associated with an exfoliative skin rash
• absolute lymphocytosis may be present
• atypical lymphocytes are not numerous in the PB
• Hypercalcaemia is absent
• Smoldering variant
• WBC count is normal with more than 5% atypical cells
• Frequently have skin or pulmonary lesions
• There is no hypercalcaemia
• Progression from the chronic or smoldering to the acute variant occurs in 25% of the cases, but usually after a long
duration
Morphological types and IHC
• Pleomorphic small cell like
• Pleomorphic medium/large cell type
• Anaplastic type
• Hodgkin lymphoma like
• Angioimmunoblastic lymphoma type
• The inflammatory background is usually sparse although eosinophilia may
be present
• The tumor cells are positive for CD2,CD3,CD5 but negative CD7
• They are either CD4+/CD8- or CD8+/CD4- or double positive
• They frequently express CCR4,CD25 and FOXP3, markers for T regulatory
cells
Prognosis
• Clinical subtypes, age, performance status, serum calcium and LDH levels are major
prognostic factors
• The survival time for the acute and lymphomatous variants ranges from two weeks to
more than one year
• Death is often caused by infectious complications including Pneumocystis carinii
pneumonia, Cryptococcus meningitis, disseminated herpes zoster and hypercalcaemia
• The chronic and smoldering forms have a more protracted clinical course and better
survival , but can progress to an acute phase with an aggressive course
Characteristics Nodular
sclerosis
Mixed cellularity Lymphocyte rich Lymphocyte depleted NLPHL
Frequency Most common
of HL.
Mediastinal
mass
Most common
in India
Associated with HIV
M:F Incidence
equal in males
and females
M>F M>F M>F M>F
RS cell Lacunar cell Classic RS cell,
maximum
number
Mononuclear RS
cell, lowest
number of RS
cell
Pleomorphic,
mummified,
necrobiotic
Popcorn cell/ L&H
cell
CD15/CD30 positive positive positive positive CD15- CD30- CD20+
EMA+ BCL6+ CD45+
Association
with EBV
No association Associated with
EBV
Associated with
EBV
Associated with EBV No association with
EBV
Prognosis Excellent Good Good to
excellent
Poor Excellent
Age group Adolescent
and young
Biphasic- young
and >55 years
Old age Old age Young males
To remember
Lymphomas with
polymorphous background
AITL
PTCL
HL
EBV+DLBCL NOS,
polymorphous variant
Lymphomatoid
granulomatosis
RS CELL
(B cell)
T cell T cell
T
cell
T
cell
T cell
T
cell
T
cell T
cell
T
cell
T
cell
B
cell
T
cell
T
cell
T
cell
T
cell
T
cell
T
cell
T
cell
T
cell
T
cell
T
cell
T
cell
T
cell
Classical Hodgkin
Concept
R S cell in Classical HL
has a background of T
cells only
Lymphocyte rich classical
HL can have NLPHL like
morphology some times
hence now considered
intermediate between
classical HL and NLPHL
RS
popcorn
CELL
(Bcell)
T cell T cell
T
cell
T
cell
T cell
T
cell
T
cell B
cell
B
cell
B
cell
B
cell
B
cell
B
cell
B
cell
B
cell
B
cell
B
cell
B
cell
B
cell
B
cell
B
cell
B
cell
B
cell
Nodular lymphocyte predominant
Hodgkin's lymphoma
Concept
R S cell in NLPHL is
surrounded by T cells
also called T cell
rosetting
Rest of the background
is composed of B cells
CD3/CD57+
T cell
rosetting
Hodgkin lymphoma- NLPHL
WHO, 2008
NLPHL, THRLBCL like was referred to those
diffuse areas of T cells were seen in NLPHL.
When these areas were present they still had
good prognosis although relapse rates was
high
WHO, 2016
New nomenclature, transformation to THRLBCL
is possible and it is associated with aggressive
clinical course and requires different
management, THRLBCL like transformation of
NLPHL
Lymphocyte rich Classical HL
had grade intermediate between classical HL
and NLPHL
Post transplant lympho-proliferative disorder
WHO, 2008
Post transplant lympho-proliferative
disorders mentioned under a separate
heading. It included
Plasmacytic hyperplasia
Infectious mononucleosis like PTLD
Polymorphic PTLD
Monomorphic PTLD
Classic HL like PTLD
WHO, 2016
New terminology introduced namely
Florid follicular hyperplasia PTLD
Indistinguishable from florid follicular
hyperplasia
Usually forms a mass lesion
Can be diagnosed by immunopositivity to EBV
Histiocytic disorders
WHO, 2008
Erdheim Chester disease was not included in
2008 under the histiocytic and dendritic cell
neoplasms (HDCN)
WHO, 2016
Erdheim Chester disease is included in 2016
classification
BRAFV600E has been reported in LCH,
Histiocytic sarcoma, Disseminated juvenile
xanthogranuloma, Erdheim Chester disease,
follicular dendritic cell sarcoma
HDCN can be preceded by neoplasms like
FL,CLL, lymphoblastic lymphoma or PTCL
Infectious Mononucleosis
• Benign self limiting lympho proliferative disorder of childhood
associated with pathogenesis of several tumors
• In developed countries- late adolescents or young adults
• In other countries- commonly asymptomatic, in childhood
• Usual presentation- fever, malaise, fatigue, sorethroat,
lymphadenopathy, splenomegaly
EBV transmitted through
close human contact
frequently through saliva
Infects epithelial
cells of oropharynx
Spreads to
underlying
lymphoid tissue
EBV envelope
protein binds to CR2
molecule (CD21,
receptor for C3d)
EBV induces
lysis of some
of B cells
Most of B cells EBV
establishes a latent infection
as an extrachromosomal
episome
Polyclonal
activation of B cells
Host cellular
immunity response
by production of
cytotoxic T cells and
NK cells- atypical
lymphocyte
EBNA-1
EBNA-2
EBV
LMP-1
vIL-10
• EBNA-1 : binds EBV genome to Host genome ensuring viral genome to be partitioned to
daughter cells of infected parent cells during cell division
• EBNA-2 : promotes B cell replication and activation by activating transcription of certain
host proteins like cyclins
• EBV LMP-1 : it is a mimicker of CD40 molecule binding to TNF receptor associated factors
(TRAFs) and adaptor proteins activating NF-kB and JAK-STAT pathway leading to B cell
activation. Also inhibits apoptosis by activating bcl-2
• vIL-10: inhibits macrophages and dendritic cells and suppresses antiviral T cell responses
Investigations
• Heterophil antibodies (antibodies to many specificities)- detected by Paul
Bunnell test/ Monospot test
• Peripheral smear: lymphocytosis of more than 60%, about 5-80% of which
are large characterised by abundant cytoplasm with multiple clear
vacoulation, oval indented or folded nucleus and scattered azurophilic
granules most of which are CD8 cells- Atypical Lymphocyte/Downy cells
• Rising titre of specific antibodies for EBV antigens (viral capsid antigen,
early antigen, EBV nuclear antigen)
Infectious mononucleosis
• Microscopy
• Effacement of lymph node architecture (partial/complete)
• Infiltration of capsule, trabeculae and perinodal fat
• Marked paracortical expansion- proliferation of immunoblast, immature plasma cells and mature
plasma cells
• Focal microfollicular hyperplasia with high mitotic activity
• Sinusal distribution of large lymphoid cells
• Sinusal pattern appears intact or focally accentuated
• Presence of graduated colonies of lymphocytes in sinuses
Complications
• Marked hepatic dysfunction
• Splenic rupture
• Meningoencephalitis
• Pneumonia
• Monoclonal B cell neoplasms (Burkitts Lymphoma, EBV+ DLBCL)
• Aggravation of diseases like X linked Lymph proliferation syndrome
(Duncan’s disease- mutation in SH2D1A gene)
IHC
Reactive proliferation of CD8 cells > CD4 cells
The RS like cells in IMN exhibit
• CD30 positive
• CD10-, BCL-6-, CD15-
• MUM-1/IRF4+ positive
• Polyclonal kappa-lambda light chains positive
• OCT-2 positivity, BOB-1 positivity
• The above 4 markers distinguishes IMN from classical Hodgkin's and polymorphous variant EBV
positive DLBCL, NOS
Progressive transformation of germinal
centres
• Less frequently encountered reactive change in lymph node
compared to follicular hyperplasia
• Usually presents as a localized lymphadenopathy
• Can rarely present as a systemic process involving multiple nodes
• It affects men more than women
• It affects young more than children or elderly
• Seen as a localized change in background of follicular hyperplasia
• Can be occasionally seen as a generalised or florid process
• Enlarged macro nodules of secondary follicles with expanded mantle
zones that show progressive and multifocal inward migration of
mantle zone cells into the germinal centre which leads to germinal
centre disruption and obliteration
• At the later stages there are only a few centroblast and centrocyte
scattered within the germinal centre
• Small mantle cells are positive for CD20,BCL-2,IgD and negative for
BCL-6 and CD-10
• Residual germinal centre cells positive for CD10 and BCL-6 and
negative for BCL-2
• PD1+CD57+ follicular T cells are present evenly distributed
throughout the germinal centre
• T cell rosettes are typically absent
• CD21 expression is seen representing expanded dendritic meshwork
• PTGC is a benign entity
• Known to be associated with NLPHL

The lymphoma update, 2016

  • 1.
    2016 revision ofWHO classification of Lymphoid and Plasma cell neoplasms- The major changes Dr. Libin babu Cherian Moderator- Dr. Saumya Ranjan Mallick
  • 2.
    Introduction • A majorrevision is published which is an update of the current 4th edition • It was not truly 5th edition • They were still other volumes that were pending in the 4th edition of WHO tumor monograph series • Only limited alterations compared to 4th edition • Mainly it was revision of the names, rather than introduction of new entities • DLBCL(& variants) and FL & MCL has been accounted for the maximum change
  • 5.
    Chronic lymphocytic leukaemia/smalllymphocytic lymphoma-2008 • Low grade neoplasm composed of monomorphic small, round B lymphocytes with proliferation centres in PS, BM and LN • TLC >50,000, DLC: lymphocytes >80% BM lymphocytosis >30% • In the absence of extramedullary tissue involvement there must be >5000 cells/microlitre monoclonal lymphocytes with a CLL phenotype in the PB • The international Workshop on Chronic Lymphocytic Leukemia (IWCLL) report requires that the lymphocytosis be present for at least 3 months • Cells are positive for CD5,CD23,CD19,CD20(weak), sIg (dim),absent FMC7&CD2 • Atypical CLL- CD5-, CD23-
  • 6.
    • Seen inpersons more than 50 years • M:F 2:1;generalised lymphadenopathy- most common presenting symptom • Mild to moderate splenomegaly • Smudge/basket cells-characteristic feature of CLL • Kappa/ lamda restriction is seen in CLL cells • Hypogammaglobulinemia- seen in 2/3rd of CLL patient- can cause infections • In addition to small mature looking lymphocytes, 10-55% prolymphocytes are seen • >55% prolymphocytes- prolymphocytic leukaemia
  • 7.
    Nodular pattern- favourableprognosis Mixed pattern Diffuse pattern - worst prognosis Interstitial pattern- favourable prognosis
  • 8.
    CLL- Genetics Aberration MutatedIGHV (50-60%) Unmutated IGHV (40-50%) 13 q deletion 80% 84% Trisomy 12 15% 19% 11 q deletion 4% 27% 17 p deletion 3% 10% Prognosis Good prognosis Bad prognosis Expression of ZAP-70 and CD38- associated with worse prognosis
  • 9.
    CLL/SLL- faint smalluniform proliferation centres dispersed in a dark background of small lymphocytes
  • 10.
    Proliferation centre composedof prolymphocytes and paraimmunoblast Prolymphocyte- small to medium sized, relatively clumped chromatin and small nucleoli Paraimmunoblast- larger cells with dispersed chromatin and central eosinophilic nucleoli
  • 12.
    CLL/SLL WHO, 2008 The conceptof monoclonal B- cell lymphocytosis (MBL) as a precursor lesion of CLL was not elucidated with clarity Does not mention about tissue based MBL of CLL type WHO, 2016 Clarifies the concept of monoclonal B cell lymphocytosis as a precursor lesion of CLL Low count MBL- <500 cells/ microlitre PB CLL- extremely low risk of progression to CLL High count MBL- 500-5000 cells/ microlitre PB CLL- high risk of progression to CLL PB cells can be CLL/atypical CLL(CD5- CD23- FMC7+) Non-CLL type MBL, at least some of which may be closely related to splenic marginal zone lymphoma Lymph node equivalent of MBL exist which is indolent and non progressive but diagnostic criteria is still not established
  • 13.
    CLL/SLL WHO, 2008 Mutated VHgenes have better prognosis compared to unmutated VH genes Coexpression of ZAP 70 and CD 38 is associated with worst prognosis 11q and 17p deletion- worst prognosis 13q deletion- favourable prognosis Lymphocyte doubling time in less than 12 months, with serum markers of thymidine kinase, sCD23 and beta 2 microglobulin – bad prognosis WHO, 2016 Retained all the previous prognostic factors Large and confluent proliferation centres with high Ki67 index >30% in the proliferation centres- associated with bad prognosis Newer mutations- TP53, NOTCH1, SF3B1,BIRC3
  • 14.
    Binet staging systemRai staging system A: <3 lymphoid areas enlarged 0: lymphocytosis only B: >=3 lymphoid areas enlarged I: lymphadenopathy C: Anaemia (Hb<10g/dl) and/or thrombocytopenia (platelet count<1lakh) II: hepatomegaly and/or splenomegaly +/- lymphadenopathy III: <11g/dl IV: platelet count <1,00,000 Lymphoid areas- cervical, axillary, and inguinal Low risk High risk Early stage disease (Binet: A, Rai:0,1) Advanced stage (Binet:B,C. Rai:II,III,IV) Predominance of small lymphocytes Prolymphocytes >10% Interstitial and nodular marrow pattern Diffuse pattern Normal karyotype, 13q deletion 11q-,17p-, trisomy 12 CD38-, ZAP70- CD38+ ZAP70+ Normal beta 2 microglobulin Elevated beta microglobulin Mutated IGHV Non mutated IGHV LDT: more than 12 months LDT: less than 12 months Females Males Thymidine kinase, sCD23- low/normal Thymidine kinase,sCD23- high
  • 15.
    Anaemia in CLL-causes • Due to bone marrow infiltration • Warm type AIHA-10% patients with CLL (positive coombs test, spherocytes, reticulocytosis) • Hypersplenism • Folate deficiency • Red cell aplasia • Presence of monoclonal bands may depict transformation to richters syndrome • CLL transforms into prolymphocytic leukaemia(most common) and DLBCL( Richter's transformation) in due course
  • 16.
  • 17.
    Follicular lymphoma • Neoplasmof follicular germinal centre B cells composed of both centroblasts and centrocytes • Affects adults predominantly 6th decade with a slight female preponderance, paediatric lymphomas are predominantly males • FL can occur in extranodal sites like skin, GIT( duodenum), ocular adnexa, breast and testis • Presents with widespread lymphadenopathy (thoracic & abdominal) and splenomegaly
  • 18.
    Follicular lymphoma • Mannand Berard grading system is used to grade lymphoma Grade 1: 0-5 centroblasts per hpf Grade 2 : 6-15 centroblasts per hpf Grade 3 : >15 centroblasts per hpf 3A : centrocytes present 3B: solid sheets of centroblast Reporting of pattern: follicular: >75%, follicular and diffuse: 25-75%, focally follicular: <25% diffuse: 0% • BCL-2, CD10, BCL-6 positive
  • 19.
    Follicular lymphoma Evendistribution of closely packed enlarged uniform follicles that completely efface nodal architecture Follicles are distributed throughout cortex and medulla Slight or moderate variation in the size and shape of follicles Massive infiltration of capsule and pericapsular fat Fading of follicles( lack of sharply demarcated germinal centres) Condensation of reticulin fibres at the periphery of the follicles Tingible body macrophages are absent Random distribution of centrocyte and centroblast within follicles Sparse follicular dendritic cell meshwork Diffuse areas may be seen- composed of centroblast
  • 20.
  • 21.
    Cytogenetic abnormalities &Oncogenic abnormalities t(14,18)(q32;q21)/bcl-2 rearrangement 80% +7 20% +18 20% 3q27-28 15% 6q23-26 (bad prognosis) 15% 17p (bad prognosis) 15% Bcl-6 rearrangement 15% Bcl-6 5’ rearrangement 40%
  • 23.
    Follicular lymphoma WHO, 2008 Insitu follicular lymphoma architecturally normal appearing lymph node having one or two follicles that have intense patchy or diffuse bcl-2, cd10 overexpressing centrocyte and centroblast in a normal reactive follicular hyperplasia in the absence of Interfollicular infiltration These patients might have synchronous follicular lymphoma or other types of lymphoma(HL or NHL) at other sites The risk of progression to overt lymphoma is low- 5% No treatment is recommended for FLIS Important DD- partial involvement by FL WHO, 2016 Terminology changed to In Situ Follicular Neoplasia (IFSN) with retention of the same definition
  • 24.
    Follicular neoplasia in situ Occasionalfollicles showing bcl-2 positivity
  • 25.
    Paediatric Follicular lymphoma WHO,2008 Paediatric type follicular lymphoma was not established a terminology in WHO 2008 WHO, 2016 Terminology of Paediatric type of FL has emerged in the list of classification It is a nodal disease characterized by large expansile highly proliferative follicles that often have prominent blastoid follicular centre cells BCL2 rearrangements must not be present, but can be overexpressed. They also lack BCL6 and MYC rearrangements Nearly all cases are localized and may not require treatment other than excision Better prognosis compared to FL
  • 26.
    Paediatric type follicularlymphoma • Salient features include • Marked male predominance • Most patients are stage I/II disease • Involvement of head and neck region is more common (cervical LN and tonsils) • Most patients are mixed or large cell type (grade 2/3) with high ki-67 >30% • Bcl-2 staining is negative; bcl-2 rearrangement is absent • Prognosis is excellent, disease is curable, recurrence and progression is rare
  • 27.
  • 28.
    Large B celllymphoma with IRF4/MUM-1 rearrangement WHO, 2008 Large B cell lymphoma with IRF4 rearrangement is not a terminology in WHO 2008 WHO, 2016 Occurs most commonly in children and young adults These lymphomas typically occur in Waldeyers ring and/or cervical lymph nodes and are low stage. They may have a follicular, follicular and diffuse, or pure diffuse growth pattern resembling FL grade 3B or a DLBCL Strong IRF4/MUM1 expression is seen with BCL6 and a high proliferative fraction BCL2 and CD10 are also expressed in more than half of the cases with a minority CD5+. This lymphoma is considered to be more aggressive than pediatric-type FL but patients, at least when treated, have done very well
  • 29.
    Duodenal type Follicularlymphoma WHO, 2008 Duodenal type follicular and diffuse appearing FL not elucidated with clarity WHO, 2016 Duodenal type follicular lymphoma- Localized overt low grade lymphoma Excellent outcome including some patients managed with wait and watch strategy
  • 30.
    Duodenal follicular lymphoma •Isolated or multiple tiny polyps in second part of duodenum • Jejunum and ileum can also be affected • Middle aged adults without symptoms ,usually incidentally detected • Usually grade 1 or grade 2 • It is positive for all conventional markers of follicular lymphoma (bcl-2, CD10) and germinal centre marker bcl-6 • Show t(14,18) with bcl-2 rearrangement • Localised disease, excellent outcome, no extraintestinal dissemination at all • Treatment with limited chemotherapy with rituximab/localized radiation/observation
  • 31.
    Duodenal follicular lymphoma-histopathology and bcl-2 immunostaining
  • 32.
    Diffuse appearing Follicularlymphoma WHO, 2008 Diffuse appearing FL not elucidated with clarity WHO, 2016 Diffuse appearing follicular lymphoma resembles a Grade 1/2 diffuse follicular lymphoma Lacks bcl-2 rearrangement Characteristic 1p36 deletions
  • 33.
    Follicular lymphoma • Mutationsin chromatin regulator/modifier genes, such as CREBBP and KMT2D (MLL2), are extremely common early events and may be potential therapeutic targets • EZH2 mutations, present in about 20% to 25% of FL, are another early event and potential therapeutic target
  • 34.
    Mantle cell lymphoma •Neoplasm of B cells composed of monomorphic small to medium sized lymphoid cells with irregular nuclear contours and CCND1 translocation • Affects adults predominantly 6th decade with a marked male preponderance • Most patients present with stage III/IV disease • In situ mantle cell lymphoma (replaced by “in situ mantle cell neoplasia” WHO 2016)- involvement by atypical cyclin D1 positive cells restricted to inner mantle without spread to germinal centre of inter follicular zone
  • 35.
    Mantle cell lymphoma •Aggressive variants • Blastoid: cells resembling lymphoblasts with dispersed chromatin and high mitotic rate 20-30/10 hpf • Pleomorphic: cells are pleomorphic with pale cytoplasm, irregular nuclei and prominent nucleoli • Other variants- small cell like, marginal zone like • Translocation: t(11,14) • Cyclin D1 negative MCL- have high expression of cyclin D2 {t(2,12)} and cyclin D3
  • 36.
    Classical variant- centrocytelike cells with cleaved nuclei with hyalinised vessels Blastoid variant- lymphoblast like cells with opened up chromatin and a conspicuous nucleoli, hyalinised vessels seen
  • 38.
    Cyclin D1 positivityin mantle cell lymphoma
  • 39.
    Mantle cell lymphoma Previously(WHO2008) described molecular pathogenesis in the development and progression of MCL
  • 40.
    Mantle cell lymphoma t(11,14) CyclinD1 P16,CDK4,RB,ARF, MDM2 Current (WHO 2016) described molecular pathogenesis in the development and progression of MCL
  • 41.
    SOX-11 • The SRY(sex-determining region Y)-box11 (SOX11) gene at 2p25.2 locus belongs to the SRY-related high-mobility group box gene family of 20 transcription factors • Play a very important role in embryonic neurogenesis and organogenesis • SOX11 upregulation has been detected in various types of solid tumors including medulloblastomas, gliomas and epithelial ovarian tumors
  • 42.
    Epigenetics like histone methylation playan important role in SOX11 overexpression SOX-11 is neither amplified, mutated or rearranged
  • 43.
    SOX11 overexpression inconventional MCL may block the cells in a mature B-cell stage, preventing their further differentiation through the PAX5-PRDM1/BLIMP regulatory axis
  • 44.
    • It hasalso been learned that about half of MCL that lack cyclin D1 expression/CCND1 rearrangements have CCND2 translocations, often with IGK or IGL as a partner locus, a finding that can be of diagnostic utility
  • 45.
    Diffuse Large Bcell lymphoma ,NOS • A neoplasm of large B lymphoid cells with nuclear size equal to or exceeding normal macrophage nuclei or more than twice the size of a normal lymphocyte nuclei that has a diffuse growth pattern • Median age- 7th decade • More common in males • Primary – arises de novo • Secondary- arising from a low grade lymphoma (CLL/SLL, follicular lymphoma, marginal zone lymphoma, NLPHL)- associated with overt immunodeficiency, more EBV related than sporadic
  • 46.
    DLBCL, NOS classification •Morphology variants • Centroblastic • Immunoblastic • Anaplastic • Signet ring cell type • DLBCL, NOS with myxoid stroma • Spindled • DLBCL with rosette like features • Molecular sub- groups • Activated B cell type • Germinal Centre type • Immunohistochemical types • Non germinal centre type • Germinal centre type • CD5+ DLBCL
  • 47.
    Centroblastic- vesicular chromatin,multiple nucleoli Immunoblastic – vesicular chromatin, central prominent nucleoli
  • 48.
    DLBCL with rosettelike features Anaplastic DLBCL Signet ring DLBCL DLBCL with myxoid features
  • 49.
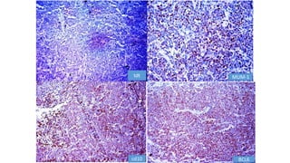
  • 50.
    Diffuse Large Bcell lymphoma ,NOS • Immunophenotyping- positive for pan B cell markers- CD19,CD20,CD22 and CD79 • CD30 is expressed in anaplastic variant • Ki-67: 40-90% • Uniform expression of FOXP1- DLBCL, non germinal centre type • Hans classifier ( CD10, BCL-6, and MUM-1) • Aberrant somatic hypermutations- PIMI, MYC,ARHH and PAX5- >50% DLBCL • Treatment: R-CHOP (Rituximab/Cyclophosphamide/Hydroxyl daunorubucin/ Oncovin (Vincristine)/Prednisolone
  • 51.
    Hans classifier Immuno-phenotypic subdivisiondoes not exactly correlate with gene expression based subgrouping of DLBCL in around 10-15% cases
  • 52.
    Genetic, molecular andclinical characteristics of DLBCL Characteristic Activated B cell like Germinal centre B cell like t(14,18) 0 35% 3q gain/amplification 26% 0% 9p gain/ amplification 6% 0% 12q12 5% 20% IG mutations No Yes Bcl-2 rearrangement 0 20-25% Rel amplification 0 15% NF-kb activation Yes No 5 year survival 15-30% 50-60% Prognosis Poor Better than ABC
  • 54.
    Diffuse large Bcell lymphoma, NOS WHO, 2008 Diffuse large B cell lymphoma, NOS Sub-classification of DLBCL was considered optional in 2008 GEP was not available as a routine clinical test and due to issues in reproducibility and reliability of IHC algorithms WHO, 2016 Diffuse large B cell lymphoma, NOS Sub- classification is considered mandatory in the current WHO revision, the use of Hans algorithm was considered acceptable and had reasonable correlation with GEP. Also greatly influenced prognosis. It is however acknowledged that the IHC algorithms did not recognize 10-15% of tumors classified by GEP, have reproducibility issues and not uniformly reported to have prognostic utility
  • 55.
    EBV positive DLBCLof elderly (2008) • In 2008 EBV positive DLBCL of elderly was exclusively considered to be an elderly disease with aggressive behaviour and bad prognosis • The patients are almost always immunocompetent, immunodeficiency rules out the diagnosis of EBV positive DLBCL • To diagnose this condition other EBV related tumors have to be excluded namely plasmablastic lymphoma, primary effusion lymphoma, DLBCL associated with chronic inflammation • 70% patients- extranodal disease, 30%- nodal
  • 56.
    EBV positive DLBCLof elderly (2008) • Two morphological types are seen • Polymorphous subtype- similar to HL • Large cell lymphoma subtype • Atypical cells- EBV-LMP and EBNA-2 positive • Cells are variably CD30 positive, CD15 negative and MUM1/IRF positive
  • 57.
    Polymorphous type- largeimmunoblast like cells, reactive lymphocytes, plasma cells, histiocytes and epithelioid cells, necrosis is a prominent feature Large cell lymphoma type- large immunoblast like cells and medium sized lymphoid cells, necrosis is a prominent feature
  • 58.
    EBV positive DLBCL,NOS WHO, 2008 EBV-positive DLBCL of the elderly These tumors occur in apparently immunocompetent patients usually more than 50 years old and have a worse prognosis with median survival of 2 years WHO, 2016 EBV–positive DLBCL,NOS however, have been increasingly recognized in younger patients, with a broader morphological spectrum and better survival than initially thought This new information has led to substitution of the modifier “elderly” with “not otherwise specified” EBV+ DLBCL, NOS in the updated classification
  • 59.
    EBV positive mucocutaneousulcer WHO, 2008 EBV-positive DLBCL of the elderly These tumors occur in apparently immunocompetent patients usually more than 50 years old and have a worse prognosis than Epstein-Barr virus–negative (EBV-) tumors WHO, 2016 EBV positive mucocutaneous ulcer has been segregated from EBV positive DLBCL as a provisional entity due to its self-limited growth potential and response to conservative management. These lesions may present in advanced age or with iatrogenic immunosuppression
  • 60.
    Had similar histopathologicalfeatures compared to EBV positive DLBCL, NOS
  • 61.
    HHV8 positive plasmablasticlymphoma (2008) • Monoclonal proliferation of HHV-8 infected plasmablastic cells expressing IgM and usually arising in HIV and lack somatic hypermutation • Activation of IL-6 receptor signalling pathway- thought to be the mechanism • Mostly involves lymph node and spleen • HHV latent nuclear antigen-1(LANA-1) is positive and shows stippled nuclear staining • Other markers are viral-lambda- interleukin-6 • Also positive for IgM, CD38 negative, CD138 negative
  • 62.
    Heavily infiltrated largeplasmablastic cells, sometimes may coalesce to form microlymphomas Stippled nuclear membrane LANA-1 positivity
  • 63.
    HHV 8 positiveDLBCL WHO, 2008 HHV-8 positive plasmablastic lymphoma is an HHV-8 associated disease composed of monoclonal proliferation of plasmablasts expressing IgM arising in a setting of Castleman disease. Also associated with HIV infection. This lymphoma has to be differentiated with other lymphomas showing plasmablastic differentiation WHO, 2016 Disease renamed as HHV-8 positive DLBCL NOS
  • 64.
    Burkitt lymphoma • Composedof monomorphic medium sized cells involving extranodal sites • Three types have been described endemic, sporadic and immunodeficiency associated • Endemic type- always seen in extranodal sites like mandible seen in African population • Sporadic type- ileocecal region is the most common site • Immunodeficiency associated- LN involvement is more common compared to others • EBV association: 95%- endemic, 30%- sporadic, 25-40%- immunodeficiency • t(8,14): IGH-MYC ; t(8,22): IG lambda-MYC ; t(2,8): IG kappa-MYC
  • 65.
    Burkitt lymphoma • Endemic-location of breakpoint of chromosome 8 is 100 kb upstream of c-myc exon 1 fused with IgH on chromosome 14 • Sporadic - location of breakpoint of chromosome 8 is between exon 1 and exon 2 of c-myc fused with IgH on chromosome 14 • Uncommon sites involved- breast( usually bilateral and massive seen before puberty, pregnancy and lactation), ovary and kidney • Highly aggressive tumor • Highly responsive to chemotherapy • 90% cure rates- low stage disease • 60-80% cure rates- advanced stage disease
  • 67.
    Monomorphous population ofmedium sized cells Appear to be cohesive with squared off borders Basophilic cytoplasm with lipid vacoules Nuclei are round with fine clumped chromatin Paracentrally located multiple basophilic nucleoli Mitosis very high, ki-67=100% Numerous apoptotic bodies Numerous macrophages that have ingested apoptotic tumor cells Positive for cd10,bcl-6,CD38, negative for bcl-2
  • 69.
    Burkitt lymphoma WHO, 2008 Threetypes have been described endemic, sporadic and immunodeficiency associated, endemic always seen in extranodal sites like mandible seen in African population, in sporadic cases ileocecal region is the most common site, and in immunodeficiency associated, LN involvement is more common. Myc translocation is seen both in endemic and sporadic WHO, 2016 Burkitt-like lymphoma with 11q aberration (proximal gains/ telomeric losses) Morphology looks similar to Burkitt’s lymphoma lack MYC rearrangements certain degree of cytological pleomorphism, occasionally a follicular pattern frequently a nodal presentation The clinical course seems to be similar to BL But the number of cases reported is still limited
  • 70.
    Burkitt lymphoma WHO, 2008 Threetypes have been described endemic, sporadic and immunodeficiency associated, endemic always seen in extranodal sites like mandible seen in African population, in sporadic cases ileocecal region is the most common site, and in immunodeficiency associated, LN involvement is more common. Myc translocation is seen both in endemic and sporadic WHO, 2016 Transcription factor TCF3 or its negative regulator ID3 occur in about 70% of sporadic and immunodeficiency-related BL and 40% of endemic case expression of cyclin D3 ,which is mutated in 30% of BL
  • 72.
    HGBL with MYC, BCL-2and/or BCL-6 rearrangement
  • 73.
    High-grade B-cell lymphomas,with and without MYC and BCL2 or BCL6 translocations & High grade B cell lymphoma NOS • B cell lymphoma Unclassifiable (BCLU-DLBCL/BL)- features intermediate between BL and DLBCL • High-grade B-cell lymphomas, with and without MYC and BCL2 or BCL6 translocations • All LBCL with MYC and BCL2 and/or BCL6 rearrangements will be included in a single category (BL, DLBCL, BCLU, TdT- Cyclin D1- blastoid morphology)
  • 74.
    High-grade B-cell lymphomas,with and without MYC and BCL2 or BCL6 translocations/ High grade B cell lymphoma NOS
  • 75.
    High-grade B-cell lymphomas,with and without MYC and BCL2 or BCL6 translocations/ High grade B cell lymphoma NOS • Double hit- 2/3; triple hit- 3/3 • Double expressor lymphoma- DLBCL which co-expresses >40% MYC-2 and >50% BCL-2 protein expression, triple expressor - 3/3 • High grade B cell lymphoma, NOS • Includes BCLU negative for MYC, BCL2 and BCL-6 • Includes blastoid morphology negative for MYC, BCL-2,BCL-6, TDT and Cyclin D1
  • 76.
    MYC translocation inDouble hit/triple hit lymphoma • MYC translocations in 10–15 % of cases of double hit/triple hit lymphomas. • In 40–50 % of Double/triple hit lymphomas , the MYC translocation partner is a non- IG gene • PAX5 t(8;9)(q24;p13). • The IG light chain genes are also more often involved in MYC translocation
  • 77.
  • 78.
  • 79.
  • 81.
    Hairy cell leukaemia •Indolent neoplasm of small mature B cells • Median age- 50 years, M:F -5:1 • Tumor predominantly involves bone marrow and spleen • Do not usually affect LNs(down regulation of chemokine receptor CCR7 and CXCR5) • Presents with splenomegaly and pancytopenia • Indolent lymphoma- dramatic response to cladribine and pentostatin
  • 82.
    Bone marrow aspirate Hairycells- medium sized lymphoid cells with bean shaped nucleus and spongy chromatin, nucleoli are absent pale blue cytoplasm with circumferential hairy projections. Occasional cytoplasm contains vacoules and rod shaped inclusions of ribosome lamellar complexes (Gas7 and Rho family GTP ases causes hairy projections) Cytochemical stain: strong granular cytoplasmic TRAP positivity Bone marrow biopsy Interstitial or patchy pattern of cells with widely spaced indented or oval nuclei, abundant cytoplasm with prominent cytoplasmic borders resembling fried egg appearance Mitotic figures are virtually absent There is some preservation of hematopoietic elements IHC: Annexin A1( most specific marker), CD11c, CD103, CD25, DBA.44, T-bet
  • 83.
    b-FGF and TGF-betainduced reticulin fibrosis: an increase in reticulin fibrosis producing dry tap Pseudo-sinus formation in spleen- red pulp involvement of spleen with destruction of endothelial cells and replacement by neoplastic cells
  • 84.
    Grossly enlarged spleenwith massive expansion of red pulp. White pulp not discernible. Numerous blood lake formation is seen
  • 85.
    Hairy cell leukaemia WHO,2008 2008 monograph noted that “no specific chromosomal or oncogene abnormalities are recognized” in HCL WHO, 2016 In 2016, BRAF V600E mutations are found in almost all cases of hairy cell leukemia (HCL) but not in HCL-variant (HCL-v) and IGHV4-34 mutated cases.
  • 86.
    Hairy cell leukaemia-variant Salient features- Usually present with leucocytosis Cell morphology is different- no circumferential hair like projections, prominent nucleoli BM does not have significant reticulin fibrosis Absent CD25, Annexin A1, or TRAP staining (CAT) Positive staining for DBA.44, CD11c and CD103 Lack of dramatic response to cladribine Still has an indolent course Responds well to rituximab
  • 87.
    Hairy cell leukaemia-variant WHO, 2008 2008 monograph noted that “no specific chromosomal or oncogene abnormalities are recognized” in HCL- variant WHO, 2016 Recently, mutations in MAP2K1 which encodes MEK1 (which is downstream of BRAF) have been reported in almost half of HCL-v and in the majority Of HCL that use IGHV4-34 and which, like HCL-v, lack BRAFV600E mutations
  • 88.
    Lymphoplasmacytic lymphoma • Indolentneoplasm of small mature B lymphocytes, Plasmacytoid B cells and plasma cells • Usually involves bone marrow, sometimes involves LN and spleen • Often associated with Waldenström macroglobulinemia, IgM paraproteinemia and hepatitis C • Median age-60 years, male predominance • Presents with weakness and fatigue(anaemia) and neuropathy( destruction of myelin by IgM paraproteins • Distinction between LPL and MZL- not clear cut and extremely difficult
  • 89.
    Proliferation of plasmacells, small lymphocytes and Plasmacytoid lymphocytes Dilated sinusoids containing PAS positive material
  • 90.
    Lymphoplasmacytic lymphoma WHO, 2008 2008monograph noted that “no specific chromosomal or oncogene abnormalities are recognized” in lymphoplasmacytic lymphoma (LPL) WHO, 2016 90% of LPL have MYD88 L265P mutations Also seen in 30% of non–germinal centre -type DLBCL >/=50% of primary cutaneous DLBCL, leg type, IgM MGUS
  • 91.
    Extranodal marginal zonelymphoma of mucosal associated lymphoid tissue (MALT lymphoma) • MALT lymphoma comprises 7- 8% of all B-cell lymphomas and up 50% of primary gastric lymphoma • Immunoproliferative small intestinal disease (IPSID) is a marginal zone lymphoma of small intestine • Median age- 61 years • Slight female preponderance • H. pylori thought to play a role, secondary to atrophic gastritis • Chlamydia psittaci, campylobacter jejuni and borrelia burgdorferi has been proposed for some cases of ocular adnexal MALT lymphomas, IPSID and cutaneous MALTomas • Marginal zone lymphoma appears secondary to sjogrens syndrome/lymphoepithelial sialadenitis and hashimotos thyroiditis in salivary gland and thyroid respectively
  • 92.
    • Other uncommonsites are lung head and neck • Most patients present with stage 1/2 • Bone marrow involvement is very rare • BM involvement is less common in gastric MALT omas compared to salivary gland and ocular adnexa • Morphologically composed of centrocyte like cells, monocytoid cells and small lymphocytes with plasma cell differentiation and characteristic lymphoepithelial lesions • Histological features of IPSID are similar to those of MALT omas except that IPSID show more plasmacytic differentiation
  • 93.
    Immunohistochemistry and cytogenetics •Tumor cells show IgM and less often IgA and IgG with light chain restriction • CD5- CD23- • In IPSID, both plasma cells and marginal zone cells show alpha heavy chain without any light chain • t(11,18)- pulmonary and gastric MZL • t(14,18)- ocular adnexa/orbit and salivary gland MZL • t(3,14)- thyroid, skin and ocular adnexa/orbit MZL • Trisomy 3- IPSID, salivary gland, ocular adnexa/orbit MZL • Trisomy 18- IPSID
  • 94.
    Prognosis • MALT lymphomashave an indolent natural course and are slow to disseminate • Recurrences occur more often in patients with extragastric MALT lymphomas than in patients with primary gastric disease • The tumours are sensitive to radiation therapy, and local treatment may be followed by prolonged disease-free intervals • Involvement of multiple extranodal sites and even BM involvement do not appear to confer a worse prognosis • Protracted remissions may be induced in by antibiotic therapy for H. pylori • Transformation to DLBCL may occur
  • 95.
    Nodal marginal zonelymphoma • Hepatitis C is associated 20-24% cases • Similar proportion in males and females • Median age is 60 years • This lymphoma can occur in children where there is male preponderance (20:1) • Pediatric nodal MZL typically exhibits PTGC of germinal follicles in the outer border by neoplastic cells, which is not seen in adult nodal MZL
  • 96.
    Lymphomatoid granulomatosis • lymphomatoidgranulomatosis (LYG) is an angiocentric and angiodestructive lymphoproliferative disease involving extranodal sites composed of Epstein-Barr virus (EBV)-positive cells admixed with reactive T cells • Usually seen in adult life • Commonly seen in males • Commonest site- lung (90%)- bilateral, mid and lower lung fields • Other sites- brain, kidney, liver and skin • Lymph nodal involvement is rare • Disease portends an aggressive course with bad prognosis
  • 97.
    Grading system • Grade1- EBV positive cells detected by EBER in situ hybridization less than 5/ hpf in a polymorphous background composed of predominantly of CD3 positive T cells and other cells like plasma cells • Grade 2- EBV positive transformed cells 5-20/hpf can extent upto 50/hpf in a polymorphous background • Grade 3- >50/hpf, EBV positive transformed cells in confluent sheets and aggregates in a polymorphous background • Grading of atmost importance, determines prognosis • Grade 3 high chances of progressing to EBV positive DLBCL • The background T cells are predominately CD4 T cells compared to CD8 T cells
  • 98.
  • 99.
    Chronic leukaemia myeloma taskforce 1973 International working group 2003
  • 100.
  • 101.
    • Both criteriashould be met : • Serum monoclonal protein ≥3 g/dL and/or bone marrow plasma cells 10-60% percent • No end organ damage related to plasma cell dyscrasia (see CRAB) • Management : • Does not require any intervention • Close surveillance is necessary to ensure stability of the disease ( SPEP, CBC, Creatinine and calcium every 3 to 4 month and Skeletal Survey annually to pick up asymptomatic bone lesions) Smoldering Myeloma
  • 102.
    • Rare variant: About 1% of Myelomas • May present with Bone lesions ( most common presenting symptom bone pain) • No serum or urine monoclonal protein ( diagnosis can be missed if one is not aware of this entity, NSMM) • Renal failure and hypercalcemia are generally lacking • Anemia may be present • Bone marrow biopsy must be performed in suspected cases • Immunostaining for a monoclonal protein on bone marrow sections may establish the diagnosis • Must rule out IgD and IgE myeloma Non-Secretory Myeloma
  • 104.
    Plasma cell myeloma •Both criteria has to be met • Clonal bone marrow plasma cells >/= 10% or biopsy proven bony or extramedullary plasmacytoma • And any one of the following • Evidence of end organ damage • serum calcium >11mg/dl • renal insufficiency- serum creatinine >2mgdl • anaemia- Hb <10g/dl • bone lesions- one or more osteolytic lesions on skeletal radiography(CT/PETCT) • Clonal bone marrow plasma cells >/=60% • Involved :uninvolved free light chain >/=100 • >1 focal lesion on MRI at least 5mm size
  • 107.
    IDEAL SCREENING PANELFOR MONOCLONAL GAMMOPATHY • Serum Protein Electro Phoresis (SPEP) + Serum Immunofixation (SIFE) • SPEP + SIFE + SFLC • SPEP + SFLC • SPEP + SIFE + SFLC + UPEP • Most comprehensive
  • 108.
    SCREENING FOR PLASMACELL DISORDERS Screening panels for detection of monoclonal gammopathies. Katzmann JA et al Clin Chem. 2009 Aug;55(8):1517-22. N SPEP+ sIFE+ uIFE+ FLC SPEP+ sIFE + uIFE SPEP+ sIFE+ FLC SPEP+ FLC sIFE FLC N 1877 1851 1821 1828 1770 1632 1395 ALL 98.6 97 97.4 94.3 87 74.3 MM 467 100 98.7 100 100 94.4 96.8 sMM 191 100 100 100 99.5 98.4 81.2 MGUS 524 100 100 97.1 88.7 92.8 42.4 Amyloid 581 98.1 94.2 97.1 96.2 73.8 88.3 Macroglobulinemia 26 100 100 100 100 100 73.1 Plasmacytoma 29 89.7 89.7 89.7 86.2 72.4 55.2
  • 112.
    Plasma cell neoplasms WHO,2008 t(11,14) & t(6,14)- good prognosis t(4,14)- intermediate prognosis t(14,16) and t(14,20)- worst prognosis WHO, 2016 Long with previous cytogenetics with Gain 1q21- intermediate risk Deletion 17p- high risk
  • 114.
    Enteropathy associated Tcell lymphoma • Enteropathy-associated T-cell lymphoma (EATL) is an intestinal tumour of intraepithelial T lymphocytes • Type I EATL(EATL,2016) is associated with refractory celiac disease and adjacent mucosa shows villous atrophy with crypt hyperplasia • This monomorphic variant (type II EATL) may occur sporadically without risk factors for coeliac disease (WHO 2008) • The lymphoma occurs most commonly in the jejunum or ileum
  • 115.
    Enteropathy associated Tcell lymphoma • Patients present with abdominal pain, often associated with intestinal perforation, ulceration, obstruction and haemorrrhage (both EATL 1 and 2) • The tumour usually presents as multiple ulcerating raised mucosal masses that invades the wall of the intestine • Prognosis is poor • Commonest cause of death- perforation coupled with malabsorption
  • 116.
    EATL type 1V/S EATL type 2(METCL) EATL TYPE 1 EATL TYPE 2 (METCL) Frequency 80-90% 10-20% Morphology Variable Monomorphic small to medium Immunophenotype CD8 Mostly negative(20% shows positivity) Mostly positive(80%) CD56 Negative >90% Positive >90% HLADQ2/DQ8 Positive >90% Positive 30-40% Genetics +9q31.3/-16q12.1 86% 83% +1q32.2-q41 73% 27% +5q34-q35.2 80% 20% +8q24 (MYC) 27% 73% RCD/EATL in situ precursor Yes No
  • 117.
    Refractory coeliac diseaseand EATL in situ • Refractory celiac disease (RCD) is defined by persistent or recurrent malabsorptive symptoms and villous atrophy despite strict adherence to a gluten- free diet (GFD) for at least 6–12 months in the absence of other causes of non- responsive treated celiac disease and overt malignancy • RCD may or may not be present with ulcerative jejunitis • EATL in situ: all those cases of RCD, if the IELs show monoclonal TRG- alpha rearrangement and/or with loss of chromosome 1q • IHC wise it correlates with loss of CD8,CD56 and alpha/beta TCR of IELs in type 1 EATL in situ • Type 2 EATL in situ(METCL)- shows CD8+ CD56+ monoclonal T lymphocytes Coeliac disease CD8+ CD56+ RCD CD8 + CD56+ EATL in situ CD8- CD56- EATL (WHO 2016) CD8- CD56-
  • 119.
    Enteropathy associated Tcell lymphoma WHO, 2008 Previously described as type 1 and type 2 EATL, refractory celiac disease is a precursor of type 1 EATL while the monomorphic variant (type 2 EATL) is less celiac disease related Both associated with bad prognosis and prone for ulceration and perforation EATL in situ- intraepithelial lymphocytes which are CD3+ and CD8-, CD56- WHO, 2016 Type 1 EATL retained as such Type 2 EATL is now known as monomorphic epitheliotropic T cell lymphoma commonly occurring in jejunum and ileum Concept of EATL in situ still holds Both EATL and METCL has similar clinical course
  • 120.
    ALK positive ALCL •3% of adult non Hodgkin's lymphoma • Most frequent in first three decades of life • Involves LN and extranodal sites • Extranodal sites: skin, bone, soft tissue, lung and liver • Involvement of GIT and CNS is rare • Bone marrow involvement:10% • Mediastinal involvement less frequent than classical Hodgkin's • Small cell variant- leukaemic presentation
  • 121.
    Hall mark cells/doughnutcells- eccentric horse shoe shaped/ kidney shaped nuclei with eosinophilic nucleoli often concentrated around blood vessels
  • 122.
    Patterns of ALK+ALCL •Common pattern(60%) • Lympho-histiocytic pattern(10%) • Small cell pattern(5-10%) • Signet ring cell pattern • Hodgkin Nodular sclerosis like pattern(3%)
  • 123.
    Immunohistochemistry • CD30 membraneand Golgi region • Strongest positivity in larger cells, Smaller cells may be weakly positive or negative • ALK positive, EMA positive • T cell phenotype positive/ null T cell phenotype • CD3 is negative in more than 75% cases • CD2,CD4,CD5 are more useful and are positive in significant number of cases • Cytotoxic associated antigens- TIA1, Granzyme B and perforin positive
  • 124.
    ALK+ IMT showsmostly granular cytoplasmic staining pertaining to ALK- CLTC fusion Epithelioid variant of IMT- ALK- RANBP2 fusion
  • 126.
    No changes in ALK+ALCL in WHO 2016
  • 127.
    Its worthwhile to remembersome of the ALKomas at this moment!!
  • 129.
    Anaplastic large celllymphoma, ALK negative WHO, 2008 ALCL, ALK negative was a separate entity which showed similar morphology to ALK+ except that cells were more cohesive and sinusoidal pattern, showed diffuse uniform CD30 membrane and golgi positivity Bad prognosis compared to ALK positive ALCL WHO, 2016 Breast implant associated ALCL is a new provisional entity, variant of ALK-ALCL with a median time from time of implant to lymphoma is 10 years, usually presents as seroma fluid enclosed in a capsule with neoplastic elements in the fluid. conservative management is enough with removal of implant and seroma fluid. Excellent outcome
  • 130.
    Breast implant associatedALCL/Seroma associated ALCL • Indolent type of ALK negative ALCL despite its alarming pleomorphic appearance of neoplastic cells • Patients usually present with breast swelling 4-20 years (median: 10 years) after insertion of silicone or saline prosthesis • Morphological appearance typical of ALCL • A well defined capsule surrounding the lesion or implant • Removal of the implant with capsuletomy is treatment of choice • Excellent prognosis
  • 131.
  • 132.
    Anaplastic large celllymphoma, ALK negative WHO, 2008 ALCL, ALK negative was a separate entity which showed similar morphology to ALK+ except that cells were more cohesive and sinusoidal pattern, showed diffuse uniform CD30 membrane and golgi positivity Bad prognosis compared to ALK positive ALCL WHO, 2016 Type 1 two important signature mutations 6p25 rearrangement- DUSP22 and IRF4 associated with good prognosis TP63 mutations were considered aggressive
  • 133.
    Nodal T celllymphomas with TFH phenotype WHO, 2008 Nodal T cell lymphomas with T follicular helper (TFH) phenotype was not described WHO, 2016 An umbrella category created to highlight the spectrum of nodal lymphomas with a TFH phenotype including angio immunoblastic T-cell lymphoma, follicular T-cell lymphoma, and other nodal PTCL with a TFH phenotype (should have 2-3/ 7 markers positive- CD10, PD1, BCL-6, CXCL13, ICOS, SAP, CCR5) Overlapping recurrent molecular/cytogenetic abnormalities recognized that potentially could impact therapy.
  • 134.
    Peripheral T celllymphoma, NOS WHO, 2008 TCR genes are clonally rearranged in most cases. Deletions in 5q, 10q and 12q associated with good prognosis WHO, 2016 GATA A3 and TBX21 are two mutations detected in PTCL, NOS associated with worse outcome
  • 135.
    T cell Largegranular lymphocytic leukaemia WHO, 2008 T cell large granular lymphocytic leukaemia is a large heterogeneous disorder characterised by persistent increase In large granular lymphocytes in PB between 2-20 x 10^9/L for more than 6 months. TRG alpha gene was rearrangement is seen in almost all cases WHO, 2016 New mutations has been described in T cell large granular lymphocytic with STAT3 and STAT5B – associated with a worse prognosis
  • 136.
    Primary cutaneous acralCD8 positive T cell lymphoma WHO, 2008 Primary cutaneous acral CD8 Positive T cell lymphoma was not included in 2008 monograph WHO, 2016 Primary cutaneous acral CD8 positive T cell lymphoma is a new entity in the revised 2016, associated with an indolent course unlike primary cutaneous CD8 positive aggressive epidermotropic cytotoxic T cell lymphoma. Its characteristic location is in the Ear lobe
  • 137.
    Primary cutaneous CD4positive small/ medium T cell lymphoproliferative disorder WHO, 2008 Primary cutaneous CD4 positive small/ medium T cell lymphoma was the terminology used in 2008. It is a lymphoma characterised small to medium sized CD4 positive pleomorphic cells with focal/no epidermotropism without evidence of patches or plaques typical of mycosis fungoides WHO, 2016 Primary cutaneous CD4 positive small/ medium T cell lymphoma no longer called lymphoma but called Primary cutaneous CD4 positive small/ medium T cell lymphoproliferative disorder because of its excellent prognosis
  • 138.
    EBV positive Tcell lymphoma of childhood WHO, 2008 Old name was EBV positive T cell lymphoproliferative disorder of childhood in 2008 monograph. It is a life threatening illness characterised by clonal proliferation of EBV infected T cells with an activated cytotoxic phenotype. It can occur shortly after primary acute EBV infection or in a setting of chronic active EBV infection. It has overlapping clinicopathological features of NK cell leukaemia. Show characteristic CD2+ CD3+ TIA+ CD56- WHO, 2016 Name changed to EBV positive T cell lymphoma of childhood because of the aggressive nature of the disease
  • 139.
    Hydroa vacciniforme likelymphoproliferative disorder Hydroa vacciniforme like lymphoma is EBV positive cutaneous T cell lymphoma occurring in children and associated with insect bite and sun sensitivity. It commonly affects sun exposed skin, particularly on face. The cells have a cytotoxic phenotype or less commonly a NK cell phenotype with expression of CD56. WHO, 2016 Name changed to Hydroa vacciniforme like lymphoproliferative disorder because these diseases follow a much more indolent course compared to EBV positive Lymphoproliferative disorder of childhood. However the disease can progress to systemic involvement in due course after 10- 15 years.
  • 140.
    Indolent T celllymphoproliferative disorder of GI tract WHO, 2008 Not described in 2008 WHO, 2016 Indolent T cell lymphoma occurring in the GI tract Clonal CD8 positive T cell or less often CD4 The optimal management is not yet determined
  • 141.
    Adult T cellleukaemia/lymphoma • A peripheral T-cell neoplasm most often composed of highly pleomorphic lymphoid cells • The disease is usually widely disseminated and is caused by the human retrovirus known as human T-cell leukaemia virus type 1 (HTLV-l) • Adult T-cell leukaemia/lymphoma is endemic in several regions of the world particular Southwestern Japan, the Caribbean basin and parts of Central Africa • The disease has a long latency, and affected individuals usually are exposed to the virus very early in life • The virus may be transmitted in breast milk and through exposure to peripheral blood and blood products
  • 142.
    • P40 taxviral protein and HTLV-1 basic leucine zipper plays an important role in oncogenesis • It has variable presentation • Acute • Chronic • Smoldering • Lymphomatous
  • 143.
    • Acute variant •most common pressentation • leukaemic phase with a markedly elevated while blood cell count, skin rash and generalized lymphadenopathy • Hypercalcaemia, with or without lytic bone lesions is a common feature • Patients with acute ATLL have a systemic disease accompanied by hepatosplenomegaly, constitutional symptoms and elevated lactic dehydrogenase • Leukocytosis and eosinophilia are common • Many patients have an associated T-cell immunodeficiency, with frequent opportunistic infections such as Pneumocystis carinii pneumonia and Strongyloidiasis
  • 144.
    • Lymphomatous variant •Prominent lymphadenopathy without PB involvement • Most patients present with advanced stage disease similar to the acute form • Hypercalcaemia is less often seen • Cutaneous lesions are common in both the acute and lymphomatous forms of ATLl • They are clinically diverse, and include erythematous rashes, papules and nodules • Larger nodules may show ulceration.
  • 145.
    • Chronic variant •frequently associated with an exfoliative skin rash • absolute lymphocytosis may be present • atypical lymphocytes are not numerous in the PB • Hypercalcaemia is absent • Smoldering variant • WBC count is normal with more than 5% atypical cells • Frequently have skin or pulmonary lesions • There is no hypercalcaemia • Progression from the chronic or smoldering to the acute variant occurs in 25% of the cases, but usually after a long duration
  • 146.
    Morphological types andIHC • Pleomorphic small cell like • Pleomorphic medium/large cell type • Anaplastic type • Hodgkin lymphoma like • Angioimmunoblastic lymphoma type • The inflammatory background is usually sparse although eosinophilia may be present • The tumor cells are positive for CD2,CD3,CD5 but negative CD7 • They are either CD4+/CD8- or CD8+/CD4- or double positive • They frequently express CCR4,CD25 and FOXP3, markers for T regulatory cells
  • 147.
    Prognosis • Clinical subtypes,age, performance status, serum calcium and LDH levels are major prognostic factors • The survival time for the acute and lymphomatous variants ranges from two weeks to more than one year • Death is often caused by infectious complications including Pneumocystis carinii pneumonia, Cryptococcus meningitis, disseminated herpes zoster and hypercalcaemia • The chronic and smoldering forms have a more protracted clinical course and better survival , but can progress to an acute phase with an aggressive course
  • 149.
    Characteristics Nodular sclerosis Mixed cellularityLymphocyte rich Lymphocyte depleted NLPHL Frequency Most common of HL. Mediastinal mass Most common in India Associated with HIV M:F Incidence equal in males and females M>F M>F M>F M>F RS cell Lacunar cell Classic RS cell, maximum number Mononuclear RS cell, lowest number of RS cell Pleomorphic, mummified, necrobiotic Popcorn cell/ L&H cell CD15/CD30 positive positive positive positive CD15- CD30- CD20+ EMA+ BCL6+ CD45+ Association with EBV No association Associated with EBV Associated with EBV Associated with EBV No association with EBV Prognosis Excellent Good Good to excellent Poor Excellent Age group Adolescent and young Biphasic- young and >55 years Old age Old age Young males To remember Lymphomas with polymorphous background AITL PTCL HL EBV+DLBCL NOS, polymorphous variant Lymphomatoid granulomatosis
  • 150.
    RS CELL (B cell) Tcell T cell T cell T cell T cell T cell T cell T cell T cell T cell B cell T cell T cell T cell T cell T cell T cell T cell T cell T cell T cell T cell T cell Classical Hodgkin Concept R S cell in Classical HL has a background of T cells only Lymphocyte rich classical HL can have NLPHL like morphology some times hence now considered intermediate between classical HL and NLPHL
  • 151.
    RS popcorn CELL (Bcell) T cell Tcell T cell T cell T cell T cell T cell B cell B cell B cell B cell B cell B cell B cell B cell B cell B cell B cell B cell B cell B cell B cell B cell Nodular lymphocyte predominant Hodgkin's lymphoma Concept R S cell in NLPHL is surrounded by T cells also called T cell rosetting Rest of the background is composed of B cells CD3/CD57+ T cell rosetting
  • 152.
    Hodgkin lymphoma- NLPHL WHO,2008 NLPHL, THRLBCL like was referred to those diffuse areas of T cells were seen in NLPHL. When these areas were present they still had good prognosis although relapse rates was high WHO, 2016 New nomenclature, transformation to THRLBCL is possible and it is associated with aggressive clinical course and requires different management, THRLBCL like transformation of NLPHL Lymphocyte rich Classical HL had grade intermediate between classical HL and NLPHL
  • 154.
    Post transplant lympho-proliferativedisorder WHO, 2008 Post transplant lympho-proliferative disorders mentioned under a separate heading. It included Plasmacytic hyperplasia Infectious mononucleosis like PTLD Polymorphic PTLD Monomorphic PTLD Classic HL like PTLD WHO, 2016 New terminology introduced namely Florid follicular hyperplasia PTLD Indistinguishable from florid follicular hyperplasia Usually forms a mass lesion Can be diagnosed by immunopositivity to EBV
  • 156.
    Histiocytic disorders WHO, 2008 ErdheimChester disease was not included in 2008 under the histiocytic and dendritic cell neoplasms (HDCN) WHO, 2016 Erdheim Chester disease is included in 2016 classification BRAFV600E has been reported in LCH, Histiocytic sarcoma, Disseminated juvenile xanthogranuloma, Erdheim Chester disease, follicular dendritic cell sarcoma HDCN can be preceded by neoplasms like FL,CLL, lymphoblastic lymphoma or PTCL
  • 158.
    Infectious Mononucleosis • Benignself limiting lympho proliferative disorder of childhood associated with pathogenesis of several tumors • In developed countries- late adolescents or young adults • In other countries- commonly asymptomatic, in childhood • Usual presentation- fever, malaise, fatigue, sorethroat, lymphadenopathy, splenomegaly
  • 159.
    EBV transmitted through closehuman contact frequently through saliva Infects epithelial cells of oropharynx Spreads to underlying lymphoid tissue EBV envelope protein binds to CR2 molecule (CD21, receptor for C3d) EBV induces lysis of some of B cells Most of B cells EBV establishes a latent infection as an extrachromosomal episome Polyclonal activation of B cells Host cellular immunity response by production of cytotoxic T cells and NK cells- atypical lymphocyte EBNA-1 EBNA-2 EBV LMP-1 vIL-10
  • 160.
    • EBNA-1 :binds EBV genome to Host genome ensuring viral genome to be partitioned to daughter cells of infected parent cells during cell division • EBNA-2 : promotes B cell replication and activation by activating transcription of certain host proteins like cyclins • EBV LMP-1 : it is a mimicker of CD40 molecule binding to TNF receptor associated factors (TRAFs) and adaptor proteins activating NF-kB and JAK-STAT pathway leading to B cell activation. Also inhibits apoptosis by activating bcl-2 • vIL-10: inhibits macrophages and dendritic cells and suppresses antiviral T cell responses
  • 161.
    Investigations • Heterophil antibodies(antibodies to many specificities)- detected by Paul Bunnell test/ Monospot test • Peripheral smear: lymphocytosis of more than 60%, about 5-80% of which are large characterised by abundant cytoplasm with multiple clear vacoulation, oval indented or folded nucleus and scattered azurophilic granules most of which are CD8 cells- Atypical Lymphocyte/Downy cells • Rising titre of specific antibodies for EBV antigens (viral capsid antigen, early antigen, EBV nuclear antigen)
  • 163.
    Infectious mononucleosis • Microscopy •Effacement of lymph node architecture (partial/complete) • Infiltration of capsule, trabeculae and perinodal fat • Marked paracortical expansion- proliferation of immunoblast, immature plasma cells and mature plasma cells • Focal microfollicular hyperplasia with high mitotic activity • Sinusal distribution of large lymphoid cells • Sinusal pattern appears intact or focally accentuated • Presence of graduated colonies of lymphocytes in sinuses
  • 165.
    Complications • Marked hepaticdysfunction • Splenic rupture • Meningoencephalitis • Pneumonia • Monoclonal B cell neoplasms (Burkitts Lymphoma, EBV+ DLBCL) • Aggravation of diseases like X linked Lymph proliferation syndrome (Duncan’s disease- mutation in SH2D1A gene)
  • 166.
    IHC Reactive proliferation ofCD8 cells > CD4 cells The RS like cells in IMN exhibit • CD30 positive • CD10-, BCL-6-, CD15- • MUM-1/IRF4+ positive • Polyclonal kappa-lambda light chains positive • OCT-2 positivity, BOB-1 positivity • The above 4 markers distinguishes IMN from classical Hodgkin's and polymorphous variant EBV positive DLBCL, NOS
  • 167.
    Progressive transformation ofgerminal centres • Less frequently encountered reactive change in lymph node compared to follicular hyperplasia • Usually presents as a localized lymphadenopathy • Can rarely present as a systemic process involving multiple nodes • It affects men more than women • It affects young more than children or elderly • Seen as a localized change in background of follicular hyperplasia • Can be occasionally seen as a generalised or florid process
  • 168.
    • Enlarged macronodules of secondary follicles with expanded mantle zones that show progressive and multifocal inward migration of mantle zone cells into the germinal centre which leads to germinal centre disruption and obliteration • At the later stages there are only a few centroblast and centrocyte scattered within the germinal centre • Small mantle cells are positive for CD20,BCL-2,IgD and negative for BCL-6 and CD-10 • Residual germinal centre cells positive for CD10 and BCL-6 and negative for BCL-2
  • 169.
    • PD1+CD57+ follicularT cells are present evenly distributed throughout the germinal centre • T cell rosettes are typically absent • CD21 expression is seen representing expanded dendritic meshwork • PTGC is a benign entity • Known to be associated with NLPHL

Editor's Notes

  • #78 There is a diffuse infiltrate by medium to large sized cells with nuclear irregularities and single central prominent nucleoli. Brisk mitotic activity is seen.
  • #80 The atypical lymphocytes are positive for CD10, Bcl-6, Bcl-2(strong and patchy), MUM-1 and negative staining with TdT. Ki-67 labeling index is 100%.