The Definitions of Subcortical lesions, Lacunes, Microbleeds, and Subcortical White Matter Changeat CNUH
Subcortical lesions1. Perivascular spaces (etatcrible)2. Lacunes3. Subcortical white matter changes4. Microbleeds
1. Perivascular spaces (etatcrible) MRI definition (ref. 1): the punctiform dilatations of the perivascular spaces often seen by brain MRI in the white  matter and in the basal ganglia
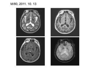
M/80, 2011. 10. 13
2. LacunesMRI definition(ref. 2): small hyperintense lesions on T2WI (ref. 2): corresponding distinctive low intensity area on T1WI: Maximum size of lacune (ref. 4)  - with a diameter of 5-10 mm: On CT (ref. 4)  - areas of more or less complete focal tissue destruction  - clearly defined borders with marked central hypodensity on CT: On MRI (ref. 4)  - low intensity on T1WI, proton-density and FLAIR scans  - high intensity on T2WI    -> isointense to CSF
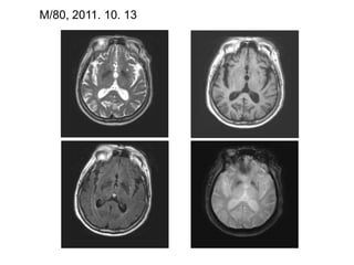
M/80, 2011. 10. 13
2. LacunesGrading of lacunes(ref. 2)Absent(2) Mild – 1-3(3) Moderate – 4-10(4) Severe - >10Locations of lacunes(ref. 2)Cortico-subcortical(2) Basal ganglia(3) Thalamus(4) Brain stem(5) Cerebellum
3. Subcortical white matter change Definition of ‘Periventricular’ and ‘Deep white matter’ –(3)    (ref. 6)(1) White matter lesions      0 = no lesions (including symmetrical, well-defined caps or bands)      1 = Focal lesions      2 = Beginning confluence of lesions      3 = Diffuse involvement of the entire region, with or without involvement of U fibers (2) Basal ganglia lesions      0 = No lesions      1 = 1 focal lesion (≥ 5 mm)      2 = > 1 focal lesion      3 = Confluent lesions
3. Subcortical white matter change(1) White matter lesions1 = Focal lesions
3. Subcortical white matter change(1)  White matter lesions   2 = Beginning confluence of lesions
3. Subcortical white matter change(1) White matter lesions   3 = Diffuse involvement of the entire region, with or without involvement of U fibers (M/75)
3. Subcortical white matter change(1) White matter lesions  3 = Diffuse involvement of the entire region, with or without involvement of U fibers (M/60)
3. Subcortical white matter change(2) Basal ganglia lesions   1 = 1 focal lesion (≥ 5 mm)
3. Subcortical white matter change(2) Basal ganglia lesions   2 = > 1 focal lesion
3. Subcortical white matter change(2) Basal ganglia lesions3 = Confluent lesions
4. Microbleeds MRI definition of microbleed (ref. 2, 19, 20, 21)(1) Homogeneous round signal loss lesion with a diameter of up to 5 mm (or <10 mm)     on gradient echo imageDistinct from      a. Vascular flow voids on subarachnoid space     b. Leptomeningealhemasiderosis     c. Non-hemorrhagic subcortical mineralization
4. Microbleeds MRI definition of microbleed (ref. 21)Intracranial vessel stenosis (ref. 7)1. Severity of stenosis1) Normal – 0% - 29% diameter stenosis2) Mildly stenotic – 30% - 49%3) Moderately stenotic – 50% - 79%4) Severely stenotic – 80%- 99%5) Occluded
Intracranial vessel stenosis (ref. 7)2. Location of stenosisMCA – 1 and 2ACA – 3 and 4PCA – 5 and 6Siphon ICA – 7 and 8Extracranial ICA - 9 and 10Vertebrobasilar artery – 11
Intracranial vessel stenosis (ref. 7)3. Measurement of stenosis
Extracranial vessels stenosis1) Severity of intracranial stenosis (ref. 11, 12)(1) Mild - <30%(2) Moderate – 30% - 69%(3) Severe – 70% - 99%  - in case of segmental signal void    -> the stenosis was graded as severe (>70%)(4) Occluded
Extracranial vessels stenosis2) Measurement of the carotid artery stenosis (ref. 12)(1) NASCET   : (1-md/C)x100%(2) ECST    : (1-md/B)x100%(3) CC   : (1-md/A)x100%
Subcortical lesion-classification-CNUH-definition-2011-10-10

Subcortical lesion-classification-CNUH-definition-2011-10-10

  • 1.
    The Definitions ofSubcortical lesions, Lacunes, Microbleeds, and Subcortical White Matter Changeat CNUH
  • 2.
    Subcortical lesions1. Perivascularspaces (etatcrible)2. Lacunes3. Subcortical white matter changes4. Microbleeds
  • 3.
    1. Perivascular spaces(etatcrible) MRI definition (ref. 1): the punctiform dilatations of the perivascular spaces often seen by brain MRI in the white matter and in the basal ganglia
  • 4.
  • 5.
    2. LacunesMRI definition(ref.2): small hyperintense lesions on T2WI (ref. 2): corresponding distinctive low intensity area on T1WI: Maximum size of lacune (ref. 4) - with a diameter of 5-10 mm: On CT (ref. 4) - areas of more or less complete focal tissue destruction - clearly defined borders with marked central hypodensity on CT: On MRI (ref. 4) - low intensity on T1WI, proton-density and FLAIR scans - high intensity on T2WI -> isointense to CSF
  • 6.
  • 7.
    2. LacunesGrading oflacunes(ref. 2)Absent(2) Mild – 1-3(3) Moderate – 4-10(4) Severe - >10Locations of lacunes(ref. 2)Cortico-subcortical(2) Basal ganglia(3) Thalamus(4) Brain stem(5) Cerebellum
  • 8.
    3. Subcortical whitematter change Definition of ‘Periventricular’ and ‘Deep white matter’ –(3) (ref. 6)(1) White matter lesions 0 = no lesions (including symmetrical, well-defined caps or bands) 1 = Focal lesions 2 = Beginning confluence of lesions 3 = Diffuse involvement of the entire region, with or without involvement of U fibers (2) Basal ganglia lesions 0 = No lesions 1 = 1 focal lesion (≥ 5 mm) 2 = > 1 focal lesion 3 = Confluent lesions
  • 9.
    3. Subcortical whitematter change(1) White matter lesions1 = Focal lesions
  • 10.
    3. Subcortical whitematter change(1) White matter lesions 2 = Beginning confluence of lesions
  • 11.
    3. Subcortical whitematter change(1) White matter lesions 3 = Diffuse involvement of the entire region, with or without involvement of U fibers (M/75)
  • 12.
    3. Subcortical whitematter change(1) White matter lesions 3 = Diffuse involvement of the entire region, with or without involvement of U fibers (M/60)
  • 13.
    3. Subcortical whitematter change(2) Basal ganglia lesions 1 = 1 focal lesion (≥ 5 mm)
  • 14.
    3. Subcortical whitematter change(2) Basal ganglia lesions 2 = > 1 focal lesion
  • 15.
    3. Subcortical whitematter change(2) Basal ganglia lesions3 = Confluent lesions
  • 16.
    4. Microbleeds MRIdefinition of microbleed (ref. 2, 19, 20, 21)(1) Homogeneous round signal loss lesion with a diameter of up to 5 mm (or <10 mm) on gradient echo imageDistinct from a. Vascular flow voids on subarachnoid space b. Leptomeningealhemasiderosis c. Non-hemorrhagic subcortical mineralization
  • 17.
    4. Microbleeds MRIdefinition of microbleed (ref. 21)Intracranial vessel stenosis (ref. 7)1. Severity of stenosis1) Normal – 0% - 29% diameter stenosis2) Mildly stenotic – 30% - 49%3) Moderately stenotic – 50% - 79%4) Severely stenotic – 80%- 99%5) Occluded
  • 18.
    Intracranial vessel stenosis(ref. 7)2. Location of stenosisMCA – 1 and 2ACA – 3 and 4PCA – 5 and 6Siphon ICA – 7 and 8Extracranial ICA - 9 and 10Vertebrobasilar artery – 11
  • 19.
    Intracranial vessel stenosis(ref. 7)3. Measurement of stenosis
  • 20.
    Extracranial vessels stenosis1)Severity of intracranial stenosis (ref. 11, 12)(1) Mild - <30%(2) Moderate – 30% - 69%(3) Severe – 70% - 99% - in case of segmental signal void -> the stenosis was graded as severe (>70%)(4) Occluded
  • 21.
    Extracranial vessels stenosis2)Measurement of the carotid artery stenosis (ref. 12)(1) NASCET : (1-md/C)x100%(2) ECST : (1-md/B)x100%(3) CC : (1-md/A)x100%