The International Federation
            of Head and Neck Oncologic Societies
  Current Concepts in Head and Neck Surgery and Oncology 2012




Хирургия основания черепа


                 Джатин П. Ша
Полость носа
       и околоносовые пазухи




2012
Опухоли полости носа и
        околоносовых пазух




       локализация     Гистология
2012
Опухоли верхнечелюстной пазухи
       Направления роста




2012
         Линия Онгрена
Опухоли решетчатой пазухи
          Направления роста




2012
Опухоли лобной и основной пазух
      Направления роста




2012
Рак полости носа и околоносовых
              пазух




2012       Patterns of Failure
Опухоли полости носа и
        околоносовых пазух




2012
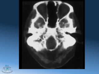
Хондросаркома
              CT Scan- Axial View
       режим мягких тканей и костный режим




2012
Хондросаркома
           C T Scan- Coronal View
       режим мягких тканей и костный режим




2012
Аденокарцинома
       решетчатой пазухи
             МРТ с контрастированием
                Axial, Sagittal
                 and Coronal Views




2012
Сложная анатомия основания
                 черепа

•  Страх подтекания
   СМЖ
•  Страх
   кровотечения
•  Неадекватный
   доступ
•  Неполные
   резекции
2012
Показания для хирургии

•  Доброкачественные и злокачественные опухоли
с распространением на основание черепа
•  Внутричерепные опухоли с экстракраниальным
распространением

•  Нейроваскулярные опухоли

2012
Преимущества наружного
               доступа
       •  Широкий доступ
       •  Широкие резекции( твердая мозговая
          оболочка, мозг, орбита, кость)
       •  Моноблочная резекция
       •  Чистые границы резекции
       •  Восстановление твердой моз-й об-
          ки / лоскут
       •  Реконструкция свободными лоскутами
       •  Техника проверенная временем
2012
       •  Имеются данные о результатах
Мукоэпидермаоидная карцинома слезного
               мешочка
       Моноблочная резекция




2012
Опухоли с распространением на основание
                 черепа
              локализации
  •  Слизистая полости носа и околоносовых
       пазух
       •  Эпителий и железистая ткань
       •  Кожа лица и волосистой части головы
       •  кость / хрящь
       •  твердая мозговая оболочка
       •  Кровеносные сосуды / нервы
       •  Орбита
2012   •  Нотохорд
2012
2012
2012
2012
Аденокарцинома решетчатой пазухи




2012
Злокачественная фиброзная гистиоцитома




2012
Рак лобной пазухи




2012
Рак лобной пазухи




2012
Внедрение	
  




2012
       1960	
  
                   скептицизм	
  



                  Энтузиазм	
  




       1970	
  
                  Аггресивность	
  




       1980	
  
                  техника	
  




                    Опыт	
  
                    техника-­‐	
  


       1990	
  
                    усложнение	
  
                                                                            черепа	
  




                  Реалии	
  
                  результат-­‐	
  качество	
  жизни	
  
                  Ценовая	
  эффективность	
  
       2000	
  


                  этичность	
  


                  Эндоскопический	
  
       2005	
  




                  подход	
  
                                                          Прогресс	
  в	
  хирургии	
  основания	
  	
  




       2012	
  




                  Куда	
  мы	
  придем	
  далее	
  
Смертность/осложнения     	
  
          Наружный	
  доступ	
  
       Осложнения	
  	
  	
  	
  	
  	
  	
  +40%	
  
       	
  	
  Общие	
  
       Большие 	
  	
  	
  	
  	
  	
  	
  	
  +25%	
  
       осложнения	
  
       Малые	
  +15%	
  	
  
       осложнения	
  

       Смертность	
  
2012
       <	
  10%	
  
Технические варианты
       Для уменьшения осложнений и улучшения
            косметического вида и функции


                •    Разрез
                •    Краниотомия
                •    Краниэктомия
                •    Тв мозговая оболочка
                •    Головной мозг
                •    Орбита
2012            •    Реконструкция
2012
2012
Эстетические разрезы




2012
Хондросаркома решетчатой пазухи




2012
Реконструкция основания
               черепа

       •  Перикраниальный лоскут
       •  Лоскут из галеи
       •  Кожнофасциальный
          свободный лоскут
2012
       •  Кожномышечный
          свободный лоскут
2012
Экзентерация носа и пластика
            лучевым лоскутом




2012
Трехсторонний дефект
         большого размера




2012
Реконструкция свободным
       лоскутом из прямых мышц
                живота




2012
Минимально инвазивная
             хирургия

       Эндоскопические резекции




           ЛТ или Химио/ЛТ
2012
Минимально инвазивная хирургия


       Проблемы:

           •  Четкий отбор

           •  Гистологич

           •  Опыт

           •  Строгие критерии

           •  Строгие данные
2012
Улучшение локального контроля


       Четкий отбор:

          •  Гистологич

          •  Распространенность

          •  Границы?

          •  Адъювантная ХТ/ЛТ
2012
Результаты хирургии основания черепа
    при злокачественных опухолях
             1960 - 2000
время     1960-1970   1970-1980        1980-1990             1990-2000


Авторы    Ketcham     Sisson           Shah                  International
                      Cheesman         Janecka                 Study
                      Gussack


Выж-сть   49%         49%              56-70%                59% cause
                                                              specific


 2012


                                 Adapted from O’Malley BV, Janecka IP: Seminars in Surg
                                                                 Onc 1995; 11:221-227
Международное исследование хирургии
         основания черепа




 2012            Обратились
                 Участвовали
ICSG for CFS Survival
                       1.0
                       0.9
                       0.8
Proportion Surviving




                       0.7                             5 летняя опухоле-зависимая выживаемость
                                                                 60%
                       0.6
                       0.5
                       0.4
                       0.3
                       0.2
                       0.1
                       0.0
      2012                   0    12   24   36   48   60   72     84      96 108 120
                                       Длительность наблюдения (месяцы)
ICSG for CFS DSS: Влияние
                                     гистологии
                       1.0
                       0.9
                                                                  Group I:      ENB, Skin,
                       0.8                                        79%    Low grade sarcoma
Proportion Surviving




                       0.7
                       0.6
                       0.5
                       0.4                                  Group 2:Hi grade sarcoma, SCC,
                                                            57%    Salivary, Other malignancies
                       0.3
                       0.2
                                                             Group 3:Mucosal melanoma,
                       0.1            p<.0001                30%    Undifferentiated/anaplastic
                       0.0
                             0   12    24    36   48   60    72   84   96 108 120
      2012

                                            Follow-up Interval (Months)
ICSG for CFS DSS: Влияние
внутричерепного расрпостранения
                       1.0
                       0.9
                       0.8
Proportion Surviving




                       0.7                                                   Нет 66%
                       0.6                                                   Кость 59%
                       0.5
                                                                             Dura 54%
                       0.4
                       0.3
                       0.2                                                   Мозг 29%

                       0.1       p<.0001
                       0.0
2012                         0   12   24   36   48   60   72   84   96 108 120
                                           Follow-up Interval (месяцы)
ICSG for CFS
 DSS: Влияние границ резекции
                          1.0
                          0.9
   Proportion Surviving




                          0.8                                             Отрицательные
                          0.7                                             74%
                          0.6
                          0.5
                                                                          Пол –е 38%
                          0.4
                          0.3
                          0.2
                          0.1
                          0.0
2012                            0   12 24   36 48    60   72 84   96 108 120
                                            Follow-up Interval (месяцы)
ICSG for CFS
       Факторы влияющие на опухоле-зависимую
                   выживаемость
Prognostic covariate         RFS               DSS              OS
                       Uni     Multi     Uni     Multi    Uni        Multi
Возраст                NS           -    NS          -    NS           -
ПОл                    NS           -    NS          -    NS           -
Сопут-я патология      NS           -    NS          -    SIG        SIG
Расположение           SIG         NS    SIG         NS   SIG        NS
Гистологич             SIG         SIG   SIG     SIG      SIG        SIG
Вовлечение орбиты      SIG         NS    SIG         NS   SIG        NS
Внутричерепное         SIG         SIG   SIG     SIG      SIG        SIG
распространением
Границы резекции       SIG         SIG   SIG     SIG      SIG        SIG
2012
Эстезионейробластома
       Местный рецидив




2012
Краниофасциальная	
  хирургия:	
  1973	
  –	
  
                          2000	
  
                   Места	
  рецидивов	
  

     Местный	
                                                           Регио-­‐й	
  
                         39	
              3	
              2	
  
                                           3	
  
                                  11	
              6	
  

No	
  failure	
  =	
  
86	
  (51%)	
                              19	
                     отдаленный	
  
   2012
2012
Прогресс хирургии основания
           черепа

       Приостановлен из за



Биологической
особенности        Физиологии
опухоли            цереброваскуля
                   рной системы
2012
Как улучшить результат хирургии
  переднего отдела основания
            черепа
        •  Уменьшить смертность/осложнения

        •  Улучшить локальный контроль

        •  Улучшить выживаеомостьl

        •  Улучшить качество жизни
 2012
Улучшить выживаемость

       Четкий отбор:

         •  Гистология

         •  распространенность

         •  Индукционная ХТ

         •  Паралельная химиолучевая
2012
         терапия
Для улучшения результатов
       хирургии основания черепа
          В будущем мы должны:
•  Интегрировать технологические инновации
•  Интегрировать биологические открытия
•  Уменьшить смертность и осложнения
•  Минимизировать осложнения хирургии
•  Улучшить ценовую эффективность
•  Улучшить выживаемость
2012

Хирургия основания черепа, J. Shah

  • 1.
    The International Federation of Head and Neck Oncologic Societies Current Concepts in Head and Neck Surgery and Oncology 2012 Хирургия основания черепа Джатин П. Ша
  • 2.
    Полость носа и околоносовые пазухи 2012
  • 3.
    Опухоли полости носаи околоносовых пазух локализация Гистология 2012
  • 4.
    Опухоли верхнечелюстной пазухи Направления роста 2012 Линия Онгрена
  • 5.
    Опухоли решетчатой пазухи Направления роста 2012
  • 6.
    Опухоли лобной иосновной пазух Направления роста 2012
  • 7.
    Рак полости носаи околоносовых пазух 2012 Patterns of Failure
  • 8.
    Опухоли полости носаи околоносовых пазух 2012
  • 9.
    Хондросаркома CT Scan- Axial View режим мягких тканей и костный режим 2012
  • 10.
    Хондросаркома C T Scan- Coronal View режим мягких тканей и костный режим 2012
  • 11.
    Аденокарцинома решетчатой пазухи МРТ с контрастированием Axial, Sagittal and Coronal Views 2012
  • 12.
    Сложная анатомия основания черепа •  Страх подтекания СМЖ •  Страх кровотечения •  Неадекватный доступ •  Неполные резекции 2012
  • 13.
    Показания для хирургии • Доброкачественные и злокачественные опухоли с распространением на основание черепа •  Внутричерепные опухоли с экстракраниальным распространением •  Нейроваскулярные опухоли 2012
  • 14.
    Преимущества наружного доступа •  Широкий доступ •  Широкие резекции( твердая мозговая оболочка, мозг, орбита, кость) •  Моноблочная резекция •  Чистые границы резекции •  Восстановление твердой моз-й об- ки / лоскут •  Реконструкция свободными лоскутами •  Техника проверенная временем 2012 •  Имеются данные о результатах
  • 15.
    Мукоэпидермаоидная карцинома слезного мешочка Моноблочная резекция 2012
  • 16.
    Опухоли с распространениемна основание черепа локализации •  Слизистая полости носа и околоносовых пазух •  Эпителий и железистая ткань •  Кожа лица и волосистой части головы •  кость / хрящь •  твердая мозговая оболочка •  Кровеносные сосуды / нервы •  Орбита 2012 •  Нотохорд
  • 17.
  • 18.
  • 19.
  • 20.
  • 21.
  • 22.
  • 23.
  • 24.
  • 25.
    Внедрение   2012 1960   скептицизм   Энтузиазм   1970   Аггресивность   1980   техника   Опыт   техника-­‐   1990   усложнение   черепа   Реалии   результат-­‐  качество  жизни   Ценовая  эффективность   2000   этичность   Эндоскопический   2005   подход   Прогресс  в  хирургии  основания     2012   Куда  мы  придем  далее  
  • 26.
    Смертность/осложнения   Наружный  доступ   Осложнения              +40%      Общие   Большие                +25%   осложнения   Малые  +15%     осложнения   Смертность   2012 <  10%  
  • 27.
    Технические варианты Для уменьшения осложнений и улучшения косметического вида и функции •  Разрез •  Краниотомия •  Краниэктомия •  Тв мозговая оболочка •  Головной мозг •  Орбита 2012 •  Реконструкция
  • 28.
  • 29.
  • 30.
  • 31.
  • 32.
    Реконструкция основания черепа •  Перикраниальный лоскут •  Лоскут из галеи •  Кожнофасциальный свободный лоскут 2012 •  Кожномышечный свободный лоскут
  • 33.
  • 34.
    Экзентерация носа ипластика лучевым лоскутом 2012
  • 35.
    Трехсторонний дефект большого размера 2012
  • 36.
    Реконструкция свободным лоскутом из прямых мышц живота 2012
  • 37.
    Минимально инвазивная хирургия Эндоскопические резекции ЛТ или Химио/ЛТ 2012
  • 38.
    Минимально инвазивная хирургия Проблемы: •  Четкий отбор •  Гистологич •  Опыт •  Строгие критерии •  Строгие данные 2012
  • 39.
    Улучшение локального контроля Четкий отбор: •  Гистологич •  Распространенность •  Границы? •  Адъювантная ХТ/ЛТ 2012
  • 40.
    Результаты хирургии основаниячерепа при злокачественных опухолях 1960 - 2000 время 1960-1970 1970-1980 1980-1990 1990-2000 Авторы Ketcham Sisson Shah International Cheesman Janecka Study Gussack Выж-сть 49% 49% 56-70% 59% cause specific 2012 Adapted from O’Malley BV, Janecka IP: Seminars in Surg Onc 1995; 11:221-227
  • 41.
    Международное исследование хирургии основания черепа 2012 Обратились Участвовали
  • 42.
    ICSG for CFSSurvival 1.0 0.9 0.8 Proportion Surviving 0.7 5 летняя опухоле-зависимая выживаемость 60% 0.6 0.5 0.4 0.3 0.2 0.1 0.0 2012 0 12 24 36 48 60 72 84 96 108 120 Длительность наблюдения (месяцы)
  • 43.
    ICSG for CFSDSS: Влияние гистологии 1.0 0.9 Group I: ENB, Skin, 0.8 79% Low grade sarcoma Proportion Surviving 0.7 0.6 0.5 0.4 Group 2:Hi grade sarcoma, SCC, 57% Salivary, Other malignancies 0.3 0.2 Group 3:Mucosal melanoma, 0.1 p<.0001 30% Undifferentiated/anaplastic 0.0 0 12 24 36 48 60 72 84 96 108 120 2012 Follow-up Interval (Months)
  • 44.
    ICSG for CFSDSS: Влияние внутричерепного расрпостранения 1.0 0.9 0.8 Proportion Surviving 0.7 Нет 66% 0.6 Кость 59% 0.5 Dura 54% 0.4 0.3 0.2 Мозг 29% 0.1 p<.0001 0.0 2012 0 12 24 36 48 60 72 84 96 108 120 Follow-up Interval (месяцы)
  • 45.
    ICSG for CFS DSS: Влияние границ резекции 1.0 0.9 Proportion Surviving 0.8 Отрицательные 0.7 74% 0.6 0.5 Пол –е 38% 0.4 0.3 0.2 0.1 0.0 2012 0 12 24 36 48 60 72 84 96 108 120 Follow-up Interval (месяцы)
  • 46.
    ICSG for CFS Факторы влияющие на опухоле-зависимую выживаемость Prognostic covariate RFS DSS OS Uni Multi Uni Multi Uni Multi Возраст NS - NS - NS - ПОл NS - NS - NS - Сопут-я патология NS - NS - SIG SIG Расположение SIG NS SIG NS SIG NS Гистологич SIG SIG SIG SIG SIG SIG Вовлечение орбиты SIG NS SIG NS SIG NS Внутричерепное SIG SIG SIG SIG SIG SIG распространением Границы резекции SIG SIG SIG SIG SIG SIG 2012
  • 47.
    Эстезионейробластома Местный рецидив 2012
  • 48.
    Краниофасциальная  хирургия:  1973  –   2000   Места  рецидивов   Местный   Регио-­‐й   39   3   2   3   11   6   No  failure  =   86  (51%)   19   отдаленный   2012
  • 49.
  • 50.
    Прогресс хирургии основания черепа Приостановлен из за Биологической особенности Физиологии опухоли цереброваскуля рной системы 2012
  • 51.
    Как улучшить результатхирургии переднего отдела основания черепа •  Уменьшить смертность/осложнения •  Улучшить локальный контроль •  Улучшить выживаеомостьl •  Улучшить качество жизни 2012
  • 52.
    Улучшить выживаемость Четкий отбор: •  Гистология •  распространенность •  Индукционная ХТ •  Паралельная химиолучевая 2012 терапия
  • 53.
    Для улучшения результатов хирургии основания черепа В будущем мы должны: •  Интегрировать технологические инновации •  Интегрировать биологические открытия •  Уменьшить смертность и осложнения •  Минимизировать осложнения хирургии •  Улучшить ценовую эффективность •  Улучшить выживаемость 2012