BAKTERI
1. Apakah Bakteri
2. Mengapa harus mempelajari
bakteri
1. Apakah Bakteri
 Bakteri adalah mikroorganisme berukuran
kecil, uni seluler / bersel satu
 Hanya dapat dilihat dengan mikroskop
 Penampakannya sering kali terlihat karena
aktivitasnya, seperti infeksi pada luka, susu /
daging membusuk,
 Fosil bakteri yang ditemukan dari gol.
Cyanobacteri 2500 juta th, makhluk pionir di
muka bumi, pemberi Oxygen ke atm.
2. Mengapa harus
mempelajari bakteri
 Bakteri ada yang merugikan, misalnya
sebagai penyebab penyakit / patogen pada
manusia, hewan, tanaman
 Untuk melawan atau mencegah dan
mengontrol penyakit tsb diperlukan
kemampuan ahli bakteriologi
 Bakteri juga ada yang menguntungkan,
penghasil antibiotik, enzym, biopestisida,
biofertilizer, biomining, fermentasi makanan
yoghurt, keju, nata de coco,
 Kesimpulan mempelari bakteri :
• memanfaatkan bakteri sebesar-besarnya
untuk bakteri yang menguntungkan
• sedangkan untuk bakteri yang merugikan
bagaimana mengontrol dan membasmi
bakteri tsb sebaik-baiknya
SEL BAKTERI
 Ukuran bakteri
 Morfologi / bentuk bakteri
 Susunan sel bakteri
1. Ukuran Bakteri
 Ukuran bakteri adalah mikrometer (m), atau
mikron (m = 0,001 mm
 Ukuran terkecil : panjang 0,2 m Chlamydia,
0,15-0,3 m Dialister pneumosintes
 Ukuran terbesar : 250 m Spirohaeta, 13-15
m Spirillum volutanas
 Diameter berkisar antara 1 – 10 m
• Bulat : 0,7 – 1,3 m
• Batang : 0,2 – 2 m
2. Bentuk bakteri
 Bakteri dapat terlihat dalam bentuk uni
seluler, atau dalam bentuk grup : dua,
empat, delapan, berrantai, kubus, anggur
 Bentuknya : coccus, basil, koma, spiral,
jarum, botol, pipih, berflagel, berhifa,
4
Vibrio
3. Spiral
Vibrio
Staphylococcus aureus
2. Other
shapes
Streptomyces (filamentous)
Leptothrix
(sheathed)
Prosthecomicrobium
(star-shaped)
Yersinia pestis
(pleumorfic)
Alysiella filiformis
(tricome-shaped)
Galionella
Square
bacteria
3. Susunan sel bakteri
 Nukleoid / Inti sel
 Sitoplasma
 Membran sitoplasma
 Dinding sel bakteri
 Kapsul
 Flagel
 Pili
 Spora
 Struktur Sel Bakteri
External structure (di luar dd sel
1. Flagella
2. Axial filaments
3. Pili
4. Glycocalix
a. Capsule
b. Slime layer
Dinding sel
Internal structure (di dlm dd sel)
1. Cytoplasma
2. Ribosomes
3. Nuclear regeon
4. Internal membrane systems
5. Inclusions
a. Granules
b. Vesicles
5. Endosperms
a. Sporulation
b. Germination
1. Nukleoid / Inti sel
 Bakteri tidak mempunyai membran inti / tidak
mempunyai inti sejati
 Inti bakteri merupakan benang sirkuler
chromosom, gabungan 2 untai DNA (Dioksiribo
Nukleic Acid)
 Inti bakteri melekat pada membran sitoplasma
 Panjangnya : 1,3 mm (1300 m)
 Bakteri dapat mempunyai lebih dari 1 copy
chromosom
2. Sitoplasma
 Merupakan zat cair kental yang diliputi oleh
membrane sitoplasma
 Tempat berlangsungnya semua metabolisme/
semua bioenergi bakteri
 Cairan sitoplasma tsb meliputi : inti sel, protein,
ribosom, enzym, granul, ion-ion, molekul2
 Protein terdiri dari asam amino bersambungan,
rantai polipeptida yang diikat oleh 3 ikatan :
ikatan kovalen, non kovalen, dan jembatan
hidrogen
3. Membran Sitoplasma
 Terdiri dari lipida lapis rangkap
• Lapis hidrofob : fosfolipid
• Lapis hidrofil : trigliserida
 Berat kering membran = 10% B.K. sel
 75% protein
 20-30% fosfolipid
 <2 % Karbo hidrat
Fungsi Membran Sitoplasma
 Memelihara gradien osmosis dan
transport larutan makanan
 Mengorganisir sintetis dinding sel
 Tempat pelekatan dan pemisahan
DNA/inti sel selama pembelahan sel
 Tempat berlangsungnya sebagian
proses bioenergi
 Tempat pelekatan pangkal flagel
4. Dinding sel bakteri
 Tipis dan lentur
 Tekanan turgor ditentukan secara osmotik
 Tebal dinding sel 10-23 n
 Beratnya : 20% BK. Sel
 Susunan kimianya : Makromol. peptidoglikan
/ rantai peptidoglikan jala peptidoglikan
 2 tipe dinding sel : bakt. gram + dan gram -
Fungsi dinding sel
 Memberi bentuk sel
 Memberi kekuatan dan perlindungan
 Mengatur pertukaran zat dari luar & dalam sel
 Tempat masuknya zat2 nutrisi / garam2
mineral yang BM. Kecil
 Berfungsi sebagai saringan untuk keluar dan
masuknya zat2
Perbedaan bakteri gram + dan -
 Gram pos.
• rantai peptidoglikan : tebal (40-
50%)
• Asam teikoat : +
• Lipo polisakarida : -
• Protein : 10%
• Lipid : 2%
• Pewarna gram :
Ungu/biru
 Gram neg.
• Tipis (5-20%)
• -
• +
• 60%
• 20%
• merah
Gram positive Wall Structure
CELL WALL components : Peptidoglycan, Teichoid acid,
outer membrane, lipopolysacaride, periplasmic space
 Terletak antara
substansi
ekstrakseluler
&membran
sitoplasma
 kaku  memberi
bentuk sel
 Tebal 10 -35 nm
 Bagian terbesar
komp sel bakteri
(10 – 40 % ) berat
kering bakteri
 Penting 
pembelahan &
pertumbuhan
Gram negative
Wall Structure
 Komposisi dinding
sel bakteri penting
untuk :
• Membedakan
bakteri dari
prokariotik
lainnya
• Membedakan
satu kelompok
bakteri dengan
kelompok
lainnya
Komp dd sel bak bervariasi
Komp dd sel bak bervariasi
bergantung
bergantung 
 spesies bak
spesies bak
* Komp konstan (1& 2)
* Komp konstan (1& 2)
* Keragaman terletak
* Keragaman terletak
pada asam amino yang
pada asam amino yang
ada dan sifat ikatan antar
ada dan sifat ikatan antar
asam amino
asam amino
Summary pictures gram
positive & gram negative
Berdasar perbedaan komposisi dd
sel  pengelompokan bakteri 
Gram +/-  pewarnaan Gram
Hasil
pengecatan
Gram
5. Kapsul
 Menyelubungi bagian luar dinding sel
 Berupa cairan kental, hasil sekresi sel
 Tidak mempunyai bentuk teratur
 Dapat dilihat dengan pewarnaan kapsul
 Unsur penyusun kapsul : polisakarida,
polipeptida, protein polisakarida, asam amino,
as. Uronat, pentosa, fosfat, asetat, format,
piruvat
Kapsul
6. Flagel / Cemeti
 Alat bantu mobilitas bakteri
 Ukuran flagel : 5-20 x 0,02 m
 Bahan penyusunnya : protein “flagelin”
 Pergerakan/mobilitas bakteri dipengaruhi oleh
lingkungan, seperti :
• Khemotaksis : oleh rangsangan kimia (nutrisi)
• Aerotaksis : ada/tidaknya oksigen (aerob/anaerob)
• Fototaksis : bergerak ke arah cahaya
• Magnetotaksis : medan magnet (bakt kutub utara
akan mati jika dipindah di kutub selatan
Sistem pelekatan flagel
 Melekat pada membran sel,
 Kecepatan berputar : 3000 putaran/menit
 Bacillus megatorium 1,6 mm/mt
 Vibrio colerae 12 mm/mt
 Tipe flagel dan gerakannya :
• Monopolar – monotrik
• Monopolar – politrik
• Dipolar – monotrik
• Dipolar -- politrik
• Proteus
7. Pili
 Merupakan rambut halus yang mengitari
bakteri
 Hanya pada bakt. gram negatif
 Fungsinya melekatkan bakt. satu dan lainnya
memungkinkan terjadinya perpindahan DNA
(konjugasi)
 Menempel pada dinding luar sel
8. Zat simpanan / inklusi sel
 Berfungsi sebagai cadangan nutrisi
 Mengandung : polisakarida, lemak,
polifosfat, belerang
 Bentuk lain inklusi sel : protoksin,
vakuola (gas), karbosilom (sedikit DNA,
enzym, karboksilase dll), ribosom
Ribosom
 Tempat terjadinya sintesis protein
 Ukurannya : 16 x 18 mm
 Berbentuk partikel
 Sel bakteri mengandung 5000-50.000 rbsm
 Terdiri dari RNA 80-85%
 Ribosom 70S (Svendberg) terdiri dari :
• 50S : 235 rRNA, 30-50% protein ribosom
• 30S : 168 rRNA, 21% protein ribosom
9. Spora
 Terbentuk pada keadaan lingkungan
yang ekstrim, misal: temp. tinggi, ph,
tekanan osmosis, nutrisi berkurang
 Terbentuk hanya pada bakteri gol.
Bacillus (batang), gram negatif
 Bentuk spora : endospora, eksospora,
 Dapat dilihat dengan pewarna spora :
green malachite, karbol fukhsin
 1/10 volume sel induk
Proses pembentukan spora
 8 stadium
 Dimulai dengan penimbunan bahan pt
 Membentuk zat khusus spora yaitu
Asam dipikolimat, asam piridin 2,6
dikarbonat
 Terjadi asupan Ca : Ca khelat 10-15%
 Anatomi spora
Perkecambahan spora
 Diaktifkan pada Media/nutrisi yang cocok
: glukosa, zat nutrisi (C dan N)
 Bacillus : 7 hari, t. 60o
C
 Bakteri lain : 10’, 100o
C
 Spora berkecambah secara polar, lateral
 Aktivitas spora berkecambah dicirikan :
• Meningkatnya aktifitas enzim, pernafasan
• Ekskresi as.dipikolinat, peptida dan as.amino
Endospore Production Spora : bag sel bak yg sec
metabolik
dorman,dihasilkan pada
fase lanjut dari pertumb
sel
Pada kon yg sesuai
berkecambah &
menghasilkan sel yg =
aslinya (sel vegetatif)
Spora tahan terhadap banyak
bahan fisik dan kimiawi
Bentuk spora :
• 1. Eksospora :
Streptomyces
• 2. Endospora :
Bacillus
Ketahanan hidup spora
 Spora bakteri tahan hidup laten
 Pada umumnya >50 th, 90% spora bakt.
kehilangan kemampuan hidupnya
 Di Kew Garden Inggris ditemukan spora
berumur :
• 200-300 th : Bacillus subtilis, B.icheniformis
• 50 – 100 th : B. coagulans, B. circulans
Struktur Endospora
 Hanya pada baketri
 Merpkn tubuh berdinding tebal,
refraktif, & resisten
 Dihasilkan : semua spesies Bacillus,
Chlostridium, dan Sporosarcina
 Semua endospora bakteri mengandung
as.dipikolinat  suatu subs yg tdk
terdet pd sel2 vegetatif, & kalsium
 Kadar as. dipikolinat 5 -10 % dari berat
kering endospora
 Diduga lapisan korteks endospora 
kompleks Ca-as. dipikolinat-
peptidoglikan
 Letak & ukurannya selama pembentukannya
tdk sama bagi semua spesies.
 Contoh :
• Bacillus cereus ( spora eliptical, sentral)
• Chlostridium tetani (spora bola, terminal)
• Chlostridium subterminal (ovoid, subterminal)
Various types endospore in
bacteria 1.Round; 2. Ellipsoidal;
3. Ova; 4.Cylindrical; 5. Kidney
shaped 6. Banana
shaped
Penggolongan Bakteri berdasarkan
lingkungannya
 1. Gol. Bakteria : Bakteri yang hidup di
lingkkungan optimal/baik.
• Ciri-cirinya : mempunyai dinding sel yang
sempurna
• Terdiri dari : grup Spirohaetes, Chlamides,
Bakteri gram +, Cyanobakteri, Proteo bakteri
 2. Gol. Archaea : Bakteri yang hidup di
lingkungan yang ekstrim
• Ciri-cirinya : mempunyai dinding sel yang rigid
• Terdiri dari : grup Methanogenesis, Extrim
halophiles, Extrim thermophiles
BAKTERI
 BAKTERI
• Bakteri
• Archaea
 ACTOMYCETES
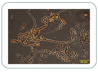
BAKTERI
ACTINOMYCETES
 Bakteri berbentuk filamen / benang
 Pada umumnya penghasil antibiotik
 Actynomycetes terdiri dari :
• Streptomyces: streptomisin
• Actinomyces
powerpoint kingdom eubacteria dan archaebacteria -3.ppt
powerpoint kingdom eubacteria dan archaebacteria -3.ppt
powerpoint kingdom eubacteria dan archaebacteria -3.ppt
powerpoint kingdom eubacteria dan archaebacteria -3.ppt
powerpoint kingdom eubacteria dan archaebacteria -3.ppt

powerpoint kingdom eubacteria dan archaebacteria -3.ppt

  • 1.
    BAKTERI 1. Apakah Bakteri 2.Mengapa harus mempelajari bakteri
  • 2.
    1. Apakah Bakteri Bakteri adalah mikroorganisme berukuran kecil, uni seluler / bersel satu  Hanya dapat dilihat dengan mikroskop  Penampakannya sering kali terlihat karena aktivitasnya, seperti infeksi pada luka, susu / daging membusuk,  Fosil bakteri yang ditemukan dari gol. Cyanobacteri 2500 juta th, makhluk pionir di muka bumi, pemberi Oxygen ke atm.
  • 3.
    2. Mengapa harus mempelajaribakteri  Bakteri ada yang merugikan, misalnya sebagai penyebab penyakit / patogen pada manusia, hewan, tanaman  Untuk melawan atau mencegah dan mengontrol penyakit tsb diperlukan kemampuan ahli bakteriologi  Bakteri juga ada yang menguntungkan, penghasil antibiotik, enzym, biopestisida, biofertilizer, biomining, fermentasi makanan yoghurt, keju, nata de coco,
  • 4.
     Kesimpulan mempelaribakteri : • memanfaatkan bakteri sebesar-besarnya untuk bakteri yang menguntungkan • sedangkan untuk bakteri yang merugikan bagaimana mengontrol dan membasmi bakteri tsb sebaik-baiknya
  • 5.
    SEL BAKTERI  Ukuranbakteri  Morfologi / bentuk bakteri  Susunan sel bakteri
  • 6.
    1. Ukuran Bakteri Ukuran bakteri adalah mikrometer (m), atau mikron (m = 0,001 mm  Ukuran terkecil : panjang 0,2 m Chlamydia, 0,15-0,3 m Dialister pneumosintes  Ukuran terbesar : 250 m Spirohaeta, 13-15 m Spirillum volutanas  Diameter berkisar antara 1 – 10 m • Bulat : 0,7 – 1,3 m • Batang : 0,2 – 2 m
  • 7.
    2. Bentuk bakteri Bakteri dapat terlihat dalam bentuk uni seluler, atau dalam bentuk grup : dua, empat, delapan, berrantai, kubus, anggur  Bentuknya : coccus, basil, koma, spiral, jarum, botol, pipih, berflagel, berhifa,
  • 8.
  • 9.
    2. Other shapes Streptomyces (filamentous) Leptothrix (sheathed) Prosthecomicrobium (star-shaped) Yersiniapestis (pleumorfic) Alysiella filiformis (tricome-shaped) Galionella Square bacteria
  • 10.
    3. Susunan selbakteri  Nukleoid / Inti sel  Sitoplasma  Membran sitoplasma  Dinding sel bakteri  Kapsul  Flagel  Pili  Spora
  • 11.
     Struktur SelBakteri External structure (di luar dd sel 1. Flagella 2. Axial filaments 3. Pili 4. Glycocalix a. Capsule b. Slime layer Dinding sel Internal structure (di dlm dd sel) 1. Cytoplasma 2. Ribosomes 3. Nuclear regeon 4. Internal membrane systems 5. Inclusions a. Granules b. Vesicles 5. Endosperms a. Sporulation b. Germination
  • 12.
    1. Nukleoid /Inti sel  Bakteri tidak mempunyai membran inti / tidak mempunyai inti sejati  Inti bakteri merupakan benang sirkuler chromosom, gabungan 2 untai DNA (Dioksiribo Nukleic Acid)  Inti bakteri melekat pada membran sitoplasma  Panjangnya : 1,3 mm (1300 m)  Bakteri dapat mempunyai lebih dari 1 copy chromosom
  • 13.
    2. Sitoplasma  Merupakanzat cair kental yang diliputi oleh membrane sitoplasma  Tempat berlangsungnya semua metabolisme/ semua bioenergi bakteri  Cairan sitoplasma tsb meliputi : inti sel, protein, ribosom, enzym, granul, ion-ion, molekul2  Protein terdiri dari asam amino bersambungan, rantai polipeptida yang diikat oleh 3 ikatan : ikatan kovalen, non kovalen, dan jembatan hidrogen
  • 14.
    3. Membran Sitoplasma Terdiri dari lipida lapis rangkap • Lapis hidrofob : fosfolipid • Lapis hidrofil : trigliserida  Berat kering membran = 10% B.K. sel  75% protein  20-30% fosfolipid  <2 % Karbo hidrat
  • 16.
    Fungsi Membran Sitoplasma Memelihara gradien osmosis dan transport larutan makanan  Mengorganisir sintetis dinding sel  Tempat pelekatan dan pemisahan DNA/inti sel selama pembelahan sel  Tempat berlangsungnya sebagian proses bioenergi  Tempat pelekatan pangkal flagel
  • 17.
    4. Dinding selbakteri  Tipis dan lentur  Tekanan turgor ditentukan secara osmotik  Tebal dinding sel 10-23 n  Beratnya : 20% BK. Sel  Susunan kimianya : Makromol. peptidoglikan / rantai peptidoglikan jala peptidoglikan  2 tipe dinding sel : bakt. gram + dan gram -
  • 18.
    Fungsi dinding sel Memberi bentuk sel  Memberi kekuatan dan perlindungan  Mengatur pertukaran zat dari luar & dalam sel  Tempat masuknya zat2 nutrisi / garam2 mineral yang BM. Kecil  Berfungsi sebagai saringan untuk keluar dan masuknya zat2
  • 19.
    Perbedaan bakteri gram+ dan -  Gram pos. • rantai peptidoglikan : tebal (40- 50%) • Asam teikoat : + • Lipo polisakarida : - • Protein : 10% • Lipid : 2% • Pewarna gram : Ungu/biru  Gram neg. • Tipis (5-20%) • - • + • 60% • 20% • merah
  • 20.
    Gram positive WallStructure CELL WALL components : Peptidoglycan, Teichoid acid, outer membrane, lipopolysacaride, periplasmic space  Terletak antara substansi ekstrakseluler &membran sitoplasma  kaku  memberi bentuk sel  Tebal 10 -35 nm  Bagian terbesar komp sel bakteri (10 – 40 % ) berat kering bakteri  Penting  pembelahan & pertumbuhan
  • 21.
    Gram negative Wall Structure Komposisi dinding sel bakteri penting untuk : • Membedakan bakteri dari prokariotik lainnya • Membedakan satu kelompok bakteri dengan kelompok lainnya Komp dd sel bak bervariasi Komp dd sel bak bervariasi bergantung bergantung   spesies bak spesies bak * Komp konstan (1& 2) * Komp konstan (1& 2) * Keragaman terletak * Keragaman terletak pada asam amino yang pada asam amino yang ada dan sifat ikatan antar ada dan sifat ikatan antar asam amino asam amino
  • 22.
    Summary pictures gram positive& gram negative Berdasar perbedaan komposisi dd sel  pengelompokan bakteri  Gram +/-  pewarnaan Gram
  • 23.
  • 24.
    5. Kapsul  Menyelubungibagian luar dinding sel  Berupa cairan kental, hasil sekresi sel  Tidak mempunyai bentuk teratur  Dapat dilihat dengan pewarnaan kapsul  Unsur penyusun kapsul : polisakarida, polipeptida, protein polisakarida, asam amino, as. Uronat, pentosa, fosfat, asetat, format, piruvat
  • 25.
  • 26.
    6. Flagel /Cemeti  Alat bantu mobilitas bakteri  Ukuran flagel : 5-20 x 0,02 m  Bahan penyusunnya : protein “flagelin”  Pergerakan/mobilitas bakteri dipengaruhi oleh lingkungan, seperti : • Khemotaksis : oleh rangsangan kimia (nutrisi) • Aerotaksis : ada/tidaknya oksigen (aerob/anaerob) • Fototaksis : bergerak ke arah cahaya • Magnetotaksis : medan magnet (bakt kutub utara akan mati jika dipindah di kutub selatan
  • 27.
    Sistem pelekatan flagel Melekat pada membran sel,  Kecepatan berputar : 3000 putaran/menit  Bacillus megatorium 1,6 mm/mt  Vibrio colerae 12 mm/mt  Tipe flagel dan gerakannya : • Monopolar – monotrik • Monopolar – politrik • Dipolar – monotrik • Dipolar -- politrik • Proteus
  • 29.
    7. Pili  Merupakanrambut halus yang mengitari bakteri  Hanya pada bakt. gram negatif  Fungsinya melekatkan bakt. satu dan lainnya memungkinkan terjadinya perpindahan DNA (konjugasi)  Menempel pada dinding luar sel
  • 31.
    8. Zat simpanan/ inklusi sel  Berfungsi sebagai cadangan nutrisi  Mengandung : polisakarida, lemak, polifosfat, belerang  Bentuk lain inklusi sel : protoksin, vakuola (gas), karbosilom (sedikit DNA, enzym, karboksilase dll), ribosom
  • 32.
    Ribosom  Tempat terjadinyasintesis protein  Ukurannya : 16 x 18 mm  Berbentuk partikel  Sel bakteri mengandung 5000-50.000 rbsm  Terdiri dari RNA 80-85%  Ribosom 70S (Svendberg) terdiri dari : • 50S : 235 rRNA, 30-50% protein ribosom • 30S : 168 rRNA, 21% protein ribosom
  • 33.
    9. Spora  Terbentukpada keadaan lingkungan yang ekstrim, misal: temp. tinggi, ph, tekanan osmosis, nutrisi berkurang  Terbentuk hanya pada bakteri gol. Bacillus (batang), gram negatif  Bentuk spora : endospora, eksospora,  Dapat dilihat dengan pewarna spora : green malachite, karbol fukhsin  1/10 volume sel induk
  • 34.
    Proses pembentukan spora 8 stadium  Dimulai dengan penimbunan bahan pt  Membentuk zat khusus spora yaitu Asam dipikolimat, asam piridin 2,6 dikarbonat  Terjadi asupan Ca : Ca khelat 10-15%  Anatomi spora
  • 35.
    Perkecambahan spora  Diaktifkanpada Media/nutrisi yang cocok : glukosa, zat nutrisi (C dan N)  Bacillus : 7 hari, t. 60o C  Bakteri lain : 10’, 100o C  Spora berkecambah secara polar, lateral  Aktivitas spora berkecambah dicirikan : • Meningkatnya aktifitas enzim, pernafasan • Ekskresi as.dipikolinat, peptida dan as.amino
  • 36.
    Endospore Production Spora: bag sel bak yg sec metabolik dorman,dihasilkan pada fase lanjut dari pertumb sel Pada kon yg sesuai berkecambah & menghasilkan sel yg = aslinya (sel vegetatif) Spora tahan terhadap banyak bahan fisik dan kimiawi Bentuk spora : • 1. Eksospora : Streptomyces • 2. Endospora : Bacillus
  • 37.
    Ketahanan hidup spora Spora bakteri tahan hidup laten  Pada umumnya >50 th, 90% spora bakt. kehilangan kemampuan hidupnya  Di Kew Garden Inggris ditemukan spora berumur : • 200-300 th : Bacillus subtilis, B.icheniformis • 50 – 100 th : B. coagulans, B. circulans
  • 38.
    Struktur Endospora  Hanyapada baketri  Merpkn tubuh berdinding tebal, refraktif, & resisten  Dihasilkan : semua spesies Bacillus, Chlostridium, dan Sporosarcina  Semua endospora bakteri mengandung as.dipikolinat  suatu subs yg tdk terdet pd sel2 vegetatif, & kalsium  Kadar as. dipikolinat 5 -10 % dari berat kering endospora  Diduga lapisan korteks endospora  kompleks Ca-as. dipikolinat- peptidoglikan  Letak & ukurannya selama pembentukannya tdk sama bagi semua spesies.  Contoh : • Bacillus cereus ( spora eliptical, sentral) • Chlostridium tetani (spora bola, terminal) • Chlostridium subterminal (ovoid, subterminal) Various types endospore in bacteria 1.Round; 2. Ellipsoidal; 3. Ova; 4.Cylindrical; 5. Kidney shaped 6. Banana shaped
  • 39.
    Penggolongan Bakteri berdasarkan lingkungannya 1. Gol. Bakteria : Bakteri yang hidup di lingkkungan optimal/baik. • Ciri-cirinya : mempunyai dinding sel yang sempurna • Terdiri dari : grup Spirohaetes, Chlamides, Bakteri gram +, Cyanobakteri, Proteo bakteri  2. Gol. Archaea : Bakteri yang hidup di lingkungan yang ekstrim • Ciri-cirinya : mempunyai dinding sel yang rigid • Terdiri dari : grup Methanogenesis, Extrim halophiles, Extrim thermophiles
  • 40.
    BAKTERI  BAKTERI • Bakteri •Archaea  ACTOMYCETES
  • 42.
  • 43.
    ACTINOMYCETES  Bakteri berbentukfilamen / benang  Pada umumnya penghasil antibiotik  Actynomycetes terdiri dari : • Streptomyces: streptomisin • Actinomyces