DR. NOOPUR S. PATIL
JR2,DEPT OF PATHOLOGY
MIMSR MEDICAL COLLEGE,LATUR
INTERPRETATION OF
MUSCLE BIOPSY
INTRODUCTION
 Microscopic examination of muscle provides
useful information for diagnosis, prognosis and
treatment of muscle diseases
 Duchenne in 1868 introduced muscle biopsy
 Evaluation of skeletal muscle biopsy needs to be
done in context of clinical history, examination of
patient and other tests including serum CK and
EMG.
INDICATIONS
A) GENERAL
 Weakness of uncertain cause – generalised,
proximal, floppy infant syndrome
 Muscle pain, cramps, stiffness
 Persistently elevated muscle enzymes
B) SPECIFIC
 Hereditary muscle disease in other family members
 Carrier detection
 Systemic connective tissue disease and vasculitis
 Storage diseases
 Suspicion of steroid myopathy in treated myositis
 To exclude drug induced myopathy
 Confirm/reinforce clinical diagnosis
 Conflicting clinical, EMG, laboratory findings
CONDITIONS IN WHICH MUSCLE BIOPSY IS LOW YIELD
OR CONTRAINDICATED PROCEDURE
 Electrolyte disturbances
 Most endocrine diseases
 Malignant hyperthermia
 Myasthenic syndromes
 Myotonic disorders
 Old age
 Poor nutrition
 Choose a moderately affected muscle MRC grade 3,4
 Medical research council grading of muscle power
Grade 0 – no movement
Grade 1 – flicker of contraction
Grade 2 – movement with gravity eliminated
Grade 3 – movement against gravity
Grade 4 – movement against moderate resistance
Grade 5 – movement against full resistance( full power)
COLLECTION AND PREPARATION OF MUSCLE
BIOPSY SPECIMEN
 Open biopsy/needle biopsy
 Advantages of needle biopsy
1) outpatient procedure
2) use of local anaesthesia
3) minimal scarring
4) ability to sample multiple sites
 Disadvantages of needle biopsy
1) limited sampling
• Specimen should be
representative of disease
obtained from a muscle in which disease is active
and evolving
taken from the belly of muscle
• Muscles subjected to prior trauma or affected by
unrelated disease – not sampled
• Two separate specimens are routinely requested
 Before excision first specimen is maintained in
isometric state by introducing it in muscle clamp
preventing contraction artifact. Acceptable sample
size is 1 x 0.5 cm. The fixed sample is used for
paraffin sections, 1-2 micron resin embedded
sections, EM studies
 Second fresh specimen measuring 1x0.5x0.5 cm is
used for frozen sections preparation,
immunofluorescence microscopy/biochemical
analysis along with H & E, rapid Gomori Trichrome,
ATPase, NADH-TR.
 Once specimen is obtained it should be transported
in saline moistened gauze in timely fashion
• The technique is safe and highly effective using a modified Bergström needle to
obtain skeletal muscle tissue samples from the vastus lateralis of human
subjects.
• The Bergström needle consists of an outer cannula with a small opening
('window') at the side of the tip and an inner trocar with a cutting blade at the
distal end.
• Under local anesthesia and aseptic conditions, the needle is advanced into the
skeletal muscle through an incision in the skin, subcutaneous tissue, and fascia.
• Next, suction is applied to the inner trocar, the outer trocar is pulled back,
skeletal muscle tissue is drawn into the window of the outer cannula by the
suction, and the inner trocar is rapidly closed, thus cutting or clipping the skeletal
muscle tissue sample.
• The needle is rotated 90° and another cut is made.
• This process may be repeated three more times.
• This multiple cutting technique typically produces a sample of 100-200 mg or
more in healthy subjects and can be done immediately before, during, and after a
bout of exercise or other intervention.
MODIFIED BERGSTROM NEEDLE
Weil-Blakelsley Cochotome
Percutaneous muscle biopsy using the Weil-Blakesley conchotome is well established in
both clinical and research practice. It is a safe, effective and well tolerated technique.
The Weil-Blakesley conchotome has a sharp biting tip with a 4 - 6 mm wide hollow. It is
inserted through a 5 - 10 mm skin incision and can be maneuvered for controlled tissue
penetration. The tip is opened and closed within the tissue and then rotated through 90 -
180° to cut the muscle. The amount of muscle obtained following repeated sampling can
vary from 20 mg to 290 mg which can be processed for both histology and molecular
studies.
CLASSIFICATION OF NEUROMUSCULAR
DISEASES
A) DENERVATING DISEASES
B) PRIMARY MUSCLE DISEASES
1) MUSCULAR DYSTROPHIES
 Duchenne’s muscular dystrophy
 Becker’s muscular dystrophy
 Facioscapulohumeral dystrophy
 Limb girdle muscular dystrophy
 Distal myopathy
 Oculopharyngeal muscular dystrophy
 Myotonic dystrophy
2) CONGENITAL MYOPATHIES
 Central core disease
 Multicore disease
 Nemaline myopathy
 centronuclear myopathy
 congenital fiber type disproportion
3) INFLAMMATORY & IMMUNE MEDIATED
MYOPATHIES
 Polymyositis
 Dermatomyositis
 Inclusion body myositis
 Viral myositis
4) METABOLIC MYOPATHIES
 Carbohydrate storage diseases
 Lipid storage diseases
 Mitochondrial myopathies
5) TOXIC AND DRUG INDUCED MYOPATHIES
C) NEUROMUSCULAR JUNCTION DISORDERS
 Eaton lambert syndrome
 Myasthenia gravis
INTERPRETATION OF MUSCLE BIOPSY
SPECIMEN
1) Normal muscle
 Fiber types are not evident by H & E
 Myofibrillar ATPase is considered to be most
reliable method for distinguishing fiber types.
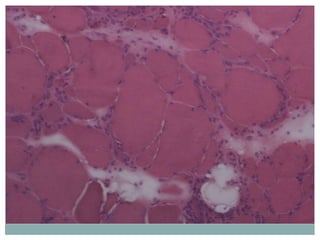
Transverse section of muscle fibres, typically polygonal, and
the sarcolemmal nuclei are located peripherally
HISTOLOGY
 Skeletal muscle is composed of extremely elongated,
multinucleate contractile cells(muscle fibers) bound
together by collagenous supporting tissue.
 Contraction is controlled by large motor
nerves,individual nerve fiber branches within the muscle
to supply a group of muscle fibers called motor unit.
 Every muscle fiber is a syncytium formed as a result of
fusion of several hundreds of component myoblasts
 Individual muscle fiber diameter 10-100 µm
 Adult muscle fibres on transverse section are polygonal
(round in infancy)
 Each muscle fibre is composed of numerous myofibrils
and myocyte cytoplasm(sarcoplasm)
 Each myocyte is multinucleated, nuclei are subsarcolemal
in location
 Normally only 3-5% of myocytes will have internally
placed nuclei
 Each myofibril consists of identical repeating
units(sarcomeres) composed of myofilaments (Actin and
Myosin)
 Arrangement of contractile proteins gives rise to
appearance of cross-striations
 Myofibril interacts with sarcolemma through cytoskeletal
protein dystrophin
 Epimyesium, perimyesium, endomyesium (connective
tissue sheath)
 Endomysium surrounds individual muscle fiber
 Perimysium envelopes groups of muscle fiber i.e fascicle
 Epimysium envelops many fascicles i.e. whole muscle
Normal histology
Type - 1 Type -2
Red /oxidative/slow glycolytic/fast/white
* ATPase Low High
*Oxidative enzyme High Low
*Glycogen Low High
*Phosphorylase Low High
*Lipid content High Low
Inc. Myoglobin. Dec myoglobin
Function Postural activity Sudden
intermittent activity
Metabolism Aerobic Anareobic
35- 40% 60-65%
TYPES OF MUSCLE FIBERS
GENERAL ABNORMALITIES OF
MUSCLE IN RESPONSE TO INJURY
ABNORMALITIES SEEN ON PARAFFIN /
FROZEN SECTIONS
Paraffin section
 Nuclear changes
 Fiber regeneration
 Fiber necrosis
 Hyaline fibers
 Inflammation
 Ring fibers
 Fibrosis & fatty
infiltration
Frozen section
 Fiber shape
 Changes in
histochemical profile
 Fiber spiltting
 Mottled fibers
 Cores & targets
 Nemaline rods
 Mitochondrial
abnormalities
 Vacuolar change
Artifacts Freezing artifact
Contraction artifact
NUCLEAR CHANGES
• Normal nuclei- peripheral
• Increase in internal nuclei –M/C abnormality
• Large no. of myofibers with central / paracentral
nuclei - S/o Myopathic diseases.
Internal nuclei are seen in:-
 Myotendinous insertion
 Fiber atrophy - multiple pyknotic nuclei forming
clusters.
 Fiber regeneration – vesicular nuclei with
prominent nucleoli.
 Centronuclear myopathy- Single central/
paracentral nucleus in almost all fibers-
 Myotonic dystrophy- randomly distributed nuclei
with active appearing nuclei (dispersed chromatin)
RING FIBERS
F
• Formed by peripheral bundle of myofibril.
• Directed circumferentially,
encircling inner portion of myofiber.
• Seen in transverse section.
• Striation are visible under PAS,
Resin & EM
• Normally seen in extraocular muscles.
• Seen in Limb girdle dystrophy & Myotonic dystrophy
• Large no. of ring fibers – S/O Myotonic dystrophy.
HYALINE FIBERS ( DEGENERATION)
 Degenerating round and enlarged
 More deeply stained than normal
 Sarcoplasm – smudged, homogenous
 Nuclei – Pyknotic in centre / periphery
 In DMD- Large no. of Hyaline fibers
c) Hyaline fibers
Hyaline opaque hypercontracted fibers (Masson
trichrome)
Loss of striation
Swelling of myofiber eosinophilia
(acute necrotic fibers)
Later pale color
Sarcoplasm striated to coarsely granular
Nucleus –Pyknotic,fragmented ,absent
Macrophage seen in surrounding
fibers
FIBER NECROSIS
Presence of degeneration & necrosis – definite sign of myopathy
Best seen in H&E section
Myophagocytosis
Pathological features Disease
Small groups of necrotic fibers Duchenne dystrophy
Perifascicular necrosis Dermatomyositis
Random fiber necrosis Polymyositis, inclusion body myositis
Infarcts with large areas of necrosis Polyarteritis nodosa
Extensive, diffuse necrosis Rhabdomyolysis in alcoholics, military
recruits
FIBER REGENERATION
Degeneration/ Necrosis
Compensatory regeneration
Increased basophilia
Source of regeneration:
1.Sprouts of remaining
sarcoplasm
2.Satellite cells – more
capacity to regenerate.
Regenerating fibers – increased basophilia
Nuclei in number, larger than normal
With vesicular chromatin, prominent
nucleoli.
 Presence of regenerating fibers even in
absence of necrotic fibers is indicator of
previous necrosis or fiber necrosis of
adjacent muscle
 Satellite cells with restorative capacity play
important role in regeneration
FIBER SPLITTING
 Hypertrophic fibers split into 2/>2 subunits.
 A split like space from invagination individual
segment.
Limb girdle dystrophy
Inclusion body myositis
 Mechanism- (A form of
Regeneration)-failure
to unite to form a
single fiber
Inflammation
 Interstitial inflammatory infiltrates most frequently
encountered in polymyositis, dermatomyositis,
inclusion body myositis
 Nodular infiltrates composed largely of plasma cells
highly suggestive of rheumatoid arthritis
 PAN and SLE associated with vasculitis
 Granulomatous inflammation indicative of
sarcoidosis or idiopathic granulomatous myositis
Fibrosis and fatty infiltration
 Bequest of chronic neuromuscular disease of both
myopathic and neurogenic origin
ATROPHY
 MC histological change
 Interpretation better in cross section & in frozen
section.
General causes of
atrophy( non
selective )-
1. Denervation- MC
2. Disuse
3. Ischemia
4. Aging
5. Poor nutrition.
SELECTIVE ATROPHY
Type 1 atrophy
 Myotonic dystrophy
 Nemaline myopathy
 Distal myopathy
 Centronuclear
myopathy
 Congenital fiber type
disproportion.
Type 2 atrophy
 Corticosteroid therapy
 MG
 Disuse atrophy
 Acute denervation
 Paraneoplatic
myopathy.
MORPHOMETRIC ANALYSIS OF ATROPHY
 Done either manually / computer assisted image
analyzer.
 At least 200 fibers should be present in the
sample.
Interpretation:
 Grouped atrophy- 5/>5 angular fibers –
pathognomonic for chronic neurogenic disease
 Panfascicular atrophy – Infantile spinomuscluar
atrophy
 Perifascicular atropy – DM
 Atrophic fibers randomly situated in the section
is non specific.
FIBER HYPERTROPHY
 Type 1:
 ISMA
 Type 2:
 Runners sprinters
 Congenital fiber type
disproportion
• Limb – girdle
dystrophy
• IBM
• Myotonia
congenita
• Acromegaly
Type-1 Type-2A Type 2B
1)ATPase reaction Light Dark Intermediate
at 9.4 pH
2)ATPase reaction Dark Light Intermediate
At acidic pH
3)NADH-TR Reac.
Tetrazolium reductase Dark Intermediate Light
Depend on conc.of
mitochondria
4)Antibodies
Slow +nt -nt -nt
Fast - nt +nt +nt
DIFF. BETWEEN MUSCLE TYPES DONE BY
HISTOCHEMICAL STAIN ON FROZEN
SECTION
ATPase stain pH 9.4
 On ATPase stain we can see normal checkboard pattern
of intermingled type 1 and type 2 fibers
ATPase at pH 4.6
2) Modified gomori trichrome
 Highlights ragged red fibers, rods, rimmed vacuoles
3) PAS – glycogen
4) Oil red O/Sudan black - lipid
5) NADH-TR
 Less specific than ATPase
 Type I darker than type II
 Useful stain in diagnosis of mitochondrial myopathy
and structural myopathy (central core disease)
 In denervation target and targetoid fibers are also
best demonstrated by this stain
NADH TR
6) Succinic dehydrogenase
 Type I darker than type II
 Ragged red fibers highlighted by SDH
7) Acid phosphatase
• Highlights lysosomal associated abnormalities such
as acid maltase deficiency
Changes in histochemical profile
Fiber splitting
It is
conspicious in
limb girdle
dystrophy and
in some cases
of denervation
and inclusion
body myositis
Mottled fibers
Demonstrated
in oxidative
enzyme
preparations
Numerous in
facioscapulohum
eral and limb
girdle dystrophy,
denervation
H&E SDH
CORE & TARGETS
Better seen in oxidative enzyme stain
Targets
Appear as central pallor s/by darkly stained rim, in turn s/by normal
appearing area.
Cores
Appear as a central pallor s/by normal appearing area without dark
zone.
Target Cores
Target Cores
Always single Single/multiple &
eccentric
Extends upto few sarcomere Extends throughout
the length
> diameter. < diameter
Pathognomonic for Neurogenic Central core disease
atrophy
CORES
TARGETS
Nemaline rods
Escape
detection in H &
E
Visualised in
RTC(Rapid
gomori
trichrome stains
on frozen
sections or in
resin sections
 Mitochondrial
abnormalities
They contain
accumulations
of
mitochondria
that are
enlarged and
deformed
Modified
gomori
trichrome
stain
Vacuolar degeneration
 1. Dilatation of the sarcotubular system
Vacoules may be empty or may contain PAS +ve staining
material
e.g hypo and hyperkalaemic periodic paralysis
 2. Autophagic vacoulation – represent membrane bound
areas of autodigestion of muscle fibre
e.g mytonic dystrophy, polymyositis, drug induced
myopathy due to chloroquine and vincristine
 3. storage vacoules – excessive accumulation of neutral
lipids and glycogen
Immunohistochemistry
 Sarcolemma-related proteins –Dystrophin.
 Absent dystrophin:
 Has specificity for Duchenne Muscular Dystrophy
 Reduced dystrophin:
 Patchy staining of sarcolemma of individual fibers
may occurs in Becker Muscular dystrophy
IHC - Dystrophin
DMD carrier
Small number of fibres show no reaction for dystrophin
 α-Dystroglycan
 Sarcoglycans
 Dysferlin
 Cytoplasmic proteins
 Desmin
 Actin
 Myosin
 Nuclear proteins- Emerin
 Absent staining in muscle & skin in Emery Dreifuss
muscular dystrophy
PATHOLOGY IN COMMON
NEUROMUSCULAR
DISEASES
NEUROGENIC ATROPHY (DENERVATION)
 Long standing denervation – fiber hypertrophy,
splitting, and even necrotic fibers giving rise to
pseudomyopathic picture
MUSCULAR DYSTROPHIES
Muscle Dystrophy
 Heterogenous group of inherited disorders beginning in
childhood
 Clinically – progressive muscle weakness and wasting
 Duchenne’s muscular dystrophy : X-linked
 Becker’s muscular dystrophy : X-linked
 Limb girdle muscle dystrophy : AD/AR
 Occulopharyngeal muscle dystrophy : AD
 Facioscapulohumeral muscle dystrophy : AD
 Emery-Dreifuss muscular dystrophy : X-linked
 Congenital muscle dystrophies : AR
Duchenne muscular dystrophy
 1 per 3500 live births. Most common muscular dystrophy
 Manifest by 5 years of age
 Boys frequently fall, difficulty in running, jumping
 On getting up from floor child uses his hands to climb up
(Gower’s sign), contracture of heel cords and ileotibial
bands
 By age of 12 child becomes wheel chair dependent,
scoliosis
 Predisposed to lung infections, aspiration of food, acute
gastric dilation, cardiomyopathy
 Lab findings : CK levels 20-100 times the normal, late in
course of disease the levels decrease due to inactivity and
loss of muscle mass
 EMG : features typical of myopathy
 Pathogenesis : Deletion affecting gene Xp21 that encodes
dystrophin, complete absence of dystrophin
 Dystrophin and dystrophin associated protein complex
form an interface b/w intracellular contractile apparatus
and extracellular connective tissue matrix
 Dystrophin is located adjacent to sarcolemmal membrane
in myocytes
 Microscopy : Both type1 and type 2 fibers are involved
 Variation in fiber size : presence of both small and large
fibers, fiber splitting
 Increased numbers of internalized nuclei(>3-5%)
 Enlarged rounded hyaline fibres that have lost their
normal cross striations – hypercontracted fibres
 Degeneration, necrosis and myophagocytosis
 Regeneration of muscle fibers
 Proliferation of endomysial connective tissue
 In later stages muscle eventually becomes almost totally
replaced by fat and connective tissue.
 Cardiac involvement : interstitial fibrosis in
subendocardial layers
 IHC : lack of dystrophin in DMD and decreased amount
in BMD
Duchenne’s dystrophy
Variation in fiber size, Increased endomysial connective tissue,
regenerating fibers
Regenerating muscle fiber
normal DMD
Dystrophin in normal & in DMD
Becker’s muscular dystrophy
 X-linked recessive condition
 Defect in the dystrophin gene – structural alteration or
decrease in size of the molecule
 Onset later as compared to DMD
 Child can walk past 15 years of age and survive till
adulthood
 Microscopy – Variability of fiber size, scattered large
hypercontracted fibres, endomysial fibrosis. Fiber necrosis
and regenerative changes are much less conspicuous than
Duchenne muscular dystrophy
Facioscapulohumeral muscle dystrophy
 7-27 years of age
 Associated with mental retardation and epilepsy
 Initial weakness is usually seen in facial muscles in
particular the zygomaticus, orbicularis oculi, orbicularis
oris. Masseter, temporalis and extraoccular muscle are
spared. Weakness of scapular muscle i.e latismus dorsi,
lower trapezius, rhomboids, serratus anterior
 M/S : Myopathic changes
variation in fiber size, increase frequency of central
nuclei, occasional necrotic fiber, increase in endomysial
and perimysial connective tissue.
 Lobulated fibers may be seen
MOTH EATEN FIBER
H&E SDH
Limb girdle muscle dystrophy
 Autosomal recessive / Autosomal dominant condition
Disease
Autosomal
dominant
Genetic loci Deficient/
defective gene
product
LGMD 1A 5q31 myotilin
LGMD 1B 1q11-21 lamin
LGMD 1C 3p25 Caveolin 3
Autosomal recessive Genetic loci Deficient/ defective
gene product
LGMD 2A 15q15-21 Capalin 3
LGMD 2B 2p13 Dysferlin
LGMD 2C 13q12 γ-sarcoglycan
LGMD 2D 17q21 Α-sarcoglycan
LGMD 2E 4q12 β-sarcoglycan
LGMD 2F 5q33 δ-sarcoglycan
LGMD 2G 17q11-12 telethonin
 Clinical features –proximal weakness of the shoulder and
pelvic girdles. Slowly progressive course
 M/S : nonspecific , variation in fiber size , increased
internal nuclei, fiber splitting, moth eaten and lobulated
fibers.
 IHC : antibodies against sarcoglycan, dysferlin
Lobulated fiber (SDH) Moth eaten fiber (SDH)
Distal myopathy
 Males, 40 – 60 yrs
 Weakness and wasting of acral muscles
 Atrophy of type I fibers
 Internal nuclei
 Rimmed vacuoles
Rimmed vacuoles showing basophilic
rimming. H&E
Rimmed vacuoles showing red granular
rimming. MGT
Occulopharyngeal muscle dystrophy
 Late onset 5th-6th decade, AD
 Two cardinal symptoms : Ptosis, dysphagia
 All muscle are affected but extraoccular, lingual,
pharyngeal and diaphragmatic muscle are selectively
more involved.
M/S : i. loss of muscle fiber
ii. Variation in fiber size,
iii.increase in number of internal nuclei ,
iv. Increased interstitial and fibrous connective tissue,
v. small angulated fiber,
vi. rimmed vacuole within muscle fiber.
vacuoles lined by a ring of material which appears
basophilic on H & E stain and red on Gomori’s trichrome
Myotonic dystrophy
 AD disease, increased CTG repeats at chromosome 19
 Clinically two forms : congenital & adult form
 Congenital form : infants, hypotonia and myotonia
 Adult form : slow onset with progressive weakness and
stiffness of the distal limbs. Muscle of the face, jaw and
eyelids are most frequently involved. Myotonia results in
marked delay in grip release.
 Male pattern of baldness, cataracts, testicular atrophy,
mental subnormality, cardiac arrythmias, cardiomyopathy
 M/S : type 1 fiber atrophy, type 2 fiber hypertrophy,
increase internal nuclei which in longitudnal section
forms conspicuous chains.
Ring fibers – subsarcolemmal band of cytoplasm that
appears distinct from the center of the fiber. The rim
contains myofibrils that are oriented circumferentially
around the longitudinally oriented fibrils in rest of fiber
Sarcoplasmic mass – ring fiber may be associated
with an irregular mass of sarcoplasm, extending outward
from the ring. These stain blue with H&E, red with MGT,
intensely blue with NADH-TR histochemical reaction
Of all the dystrophies only myotonic dystrophy shows
pathologic changes in the intrafusal fibers of muscle
spindles, with fiber splitting, necrosis and regeneration
 Ring fibers. Circumferentially oriented myofibers are
seen at the periphery of transversally sectioned fibers.
(Cryosection, modified Gomori trichrome).
Emery-Dreifuss muscular dystrophy
 X-linked , mutation in STA gene which encodes emerin,
inner nuclear membrane protein
 Muscle biospsy : variation in fiber size with abundant
small fibers, increase internal nuclei, mild regeneration,
some necrotic fibers, type 1 fiber predominance or type 2
predominance and type grouping .
 IHC : absence of Emerin
CONGENITAL MYOPATHIES
CENTRAL CORE DISEASE
 AD
 Chr.19q13.1
 Affects RYR1gene – inv. Ryanodine receptor prot.
 Type 1 fibers are affected
 Mild , proximal, non progressive muscle
weakness.
 Cores are seen as regions of depleted or absent
oxidative enzyme activity.
Biopsy –
1. Many fibers show single centrally located defect or core.
2. More than one core per fiber may be encountered.
Central core disease
MULTI CORE DISEASE
 Congenital, non progressive myopathy
 Known as Minicore disease
 Generalised weakness and hypotonia.
 Kyphosis, scoliosis and muscle contractures
 Type 1 fiber predominance.
Biopsy-
 Numerous , multiple core like structure in majority
of muscle fibers.
 PAS/ Trichrome/ NADH-TR – stains pale
Multicore
disease
Type 1 fiber
predominance
Nemaline rod myopathy
 Originally described by Shy et al. and canon et al in 1963
 Hypotonia, floppy infant, non-progressive myopathy
 Rods are composed of actin and myosin
 Rods are not visible on H&E or oxidative enzyme stains
 Best demonstrated on MGT stain – subsarcolemmal dark
red rods, measure 3-6 µ in length and 1-3 µ in width
 Exclusively seen in type 1 fibres, there is usually type 1 fiber
predominance
 EM – subsarcolemmal elongated or rectagular rods in
longitudnal section, polygonal in cross section
Thread-like subsarcolemmal aggregates are shown on
longitudinal sections. (Phoshphotungstic acid hematoxylin).
EM : elongated or rectangular rods
Centronuclear myopathy
 Myotubular myopathy, X-linked , AD, AR
 Slowly progressive or non-progressive hypotonia, proximal
or generalized weakness
 External ophthalmoplegia and facial weakness
 Microscopy : Many fibres with central nuclei more in type 1
fibers, type 1 fiber predominance and type 1 fiber atrophy,
central perinuclear clear zones may stain intensely with
PAS and oxidative enzymes (SDH)
 On longitudinal section nuclei appear to be in a single row
(rowing of nuclei)
 Radiating spoke pattern on NADH-TR stain
 Most fibers display central nucleus. Note a perinuclear
halo of abnormality of myofibrils. (Cryosection, H&E).
Congenital fiber type disproportion
 AD, AR or Sporadic
 Hypotonia , associated with joint contractures, Congenital
dislocation of hip, Skeletal deformities
 In ATPase stain (pH 9.6) type I fibers are 12% or more
smaller in size than type II fibers.
 Congenital
fiber type
disproportion
Atrophy of
type 1 fibers
Hypertrophy
of type 2
fibers
THANK YOU
INFLAMMATORY MYOPATHIES
Polymyositis
 Nonspecific histology, diagnosis of exclusion
 Necrotic and regenerating fibers are scattered within
fascicle
Dermatomyositis
 Perivascular inflammation, focally in perimysium
and less commonly in endomysial compartment
 Vasculopathic – endothelial hyperplasia, necrotising
vasculitis, fibrin thrombi, obliteration of small
vessels
Inclusion body myositis
 Endomysial chronic inflammatory infiltrate similar
to polymyositis
 Fiber hypertrophy and splitting, rare in other
inflammatory myopathies are typical features
 Small group atrophy of fibers mimics neurogenic
atrophy
 Most characteristic feature ultrastructurally is
presence of intranuclear, cytoplasmic
tubulofilaments
 HIV myositis
 Closely resembles polymyositis pathologically
 Nemaline rods in some patients
 Multinucleated giant cells similar to that described
in brains of AIDS patients
METABOLIC MYOPATHIES
Carbohydrate Storage
Diseases
1) Acid maltase
deficiency
PAS positive diastase
labile vacuoles of
varying sizes that replace
much of sarcoplasm
Electron microscope
shows membrane bound
glycogen filled vacuoles
2) Phosphofructokinase deficiency
 PAS positive crescents adjacent to sarcolemma
3)McArdle’s disease
 Myophosphorylase deficiency
 Crescentic PAS positive vacuoles in subsarcolemmal
location
 Lipid storage diseases
1) Carnitine deficiency
 Biopsy shows excessive lipid droplets
 Definitive diagnosis – muscle carnitine assay
2) Carnitine palmitoyl transferase deficiency
 Muscle is normal with light and electron microscopy
 Diagnosis depends on biochemical assay
Periodic paralysis
Fiber size variability,
fiber degeneration
Endomysial fibrosis,
increased internal nuclei
 Mitochondrial myopathy
 Abnormal sarcoplasmic accumulation of
mitochondria
 Mitochondria – increased number, size, abnormal
configuration, paracrystalline intermembranous
inclusions, abnormal cristae with excessive
branching
TOXIC AND DRUG INDUCED MYOPATHIES
Pattern of injury Drug/Agent
Necrotizing myopathy Alcohol, lovastatin, clofibrate,
gemfibrozil, etretinate,
organophosphates, snake venom
Type IIB atrophy steroids
Hypokalemic myopathy (necrosis,
regeneration, vacuolization)
Diuretics, laxative, licorice, alcohol,
amphotericin B ,toluene
Vacuolar myopathy Chloroquine, colchicine, vincristine,
steroids
Inflammatory myopathy penicillamine., procainamide
Vasculitis, fasciitis, perimyositis Eosinophilic myalgia syndrome (L-
tryptophan)
Mitochondrial myopathy Zidovudine, germanium
NEUROMUSCULAR JUNCTION DISORDERS
 Muscle biopsy is not helpful in these conditions
SUMMARY
• A skeletal muscle biopsy is important for the
diagnosis of diseases of motor unit, systemic diseases
such as vasculitis and disorders of metabolism such
as glycogenosis.
 When interpreting the biopsy, the pathologist must
have knowledge of patient’s clinical and family
history, physical examination findings, results of
EMG, nerve conduction and serum creatinine
phosphokinase.
 Light microscopic characteristics to be noted:
1) Size and shape of myofiber
2) Position of nuclei
3) Hyalinisation, necrosis, myophagocytosis
4) Vacuolar changes
5) Presence of intracytoplasmic inclusion bodies
6) Ring fibers
7) Regenerative activity
8) Increased endomysial and perimysial connective
tissue
 Histochemical features to be noted:
1) Fiber type distribution in fascicles
2) Involvement of particular fiber type
3) Predominance of any one fiber type
4) Grouping of fibers of one histochemical type
5) Abnormal mitochondria, cores, vacuoles, targets
6) Enzyme deficiencies can also be identified
 At ultrastructural level changes in sarcolemma,
myofilaments, mitochondria, Z bands have to be
documented.
 Commonly encountered muscle diseases like
Duchenne dystrophy, denervation atrophy and
inflammatory myopathies can be diagnosed by
routine histology.
 Metabolic myopathies, congenital myopathies need
additional procedures for identification
 Introduction of enzyme histochemistry and IHC has
revolutionalised the diagnostic efficacy in
myopathology enabling initiation of appropriate
treatment to patient and counselling to patient’s
relatives
 Though the procedures of muscle biopsies and the
laboratory techniques are elaborate and time
consuming, they are essential for diagnosis.
REFERENCES
1) Heffner RR Jr, Balos LL. Muscle Biopsy in
Neuromuscular Diseases. In: Mills, Carter,
Greenson, Oberman, Reuter, Stoler (eds.)
Sternberg’s Diagnostic Surgical Pathology. Vol.1.
4th ed. USA. Lippincott Williams and Wilkins;
2004. p111-36.
2) Ang LC. Skeletal Muscle. In: Rosai J (ed.) Rosai and
Ackerman’s Surgical Pathology. Vol.2. 9th ed. India.
Elsevier; 2009. p2663-82.
3) Prayson RA. Muscle and Peripheral Nerve
Pathology. In: Silverberg, Delellis, Frable, Livolsi,
Wick (eds.) Silverberg’s Principles and Practice of
Surgical Pathology and Cytopathology. Vol.2. 4th ed.
China. Churchill Livingstone; 2006. p2213-66.
4) Heffner RR Jr, Schochet SS Jr. Skeletal Muscle. In:
Damjanov I, Linder J (eds.) Anderson’s Pathology.
Vol.2. 10th ed. USA. Mosby-Year Book, Inc.; 1996.
p2653-92.
5) Anthony DC, Frosch MP, Girolami UD. Peripheral
Nerve and Skeletal Muscle. In: Kumar, Abbas,
Fausto, Aster (eds.) Robbins and Cotran Pathologic
Basis of Disease. 8th ed. Pennsylvania. Elsevier;
2010. p1257-78.
6) Workshop on Muscle Disorders conducted by
Department of Pathology, J.N. Medical College,
Belgaum on 12th June 1993.
THANK YOU
Muscle biopsy interpretation
Muscle biopsy interpretation
Muscle biopsy interpretation
Muscle biopsy interpretation
Muscle biopsy interpretation
Muscle biopsy interpretation

Muscle biopsy interpretation

  • 1.
    DR. NOOPUR S.PATIL JR2,DEPT OF PATHOLOGY MIMSR MEDICAL COLLEGE,LATUR INTERPRETATION OF MUSCLE BIOPSY
  • 2.
    INTRODUCTION  Microscopic examinationof muscle provides useful information for diagnosis, prognosis and treatment of muscle diseases  Duchenne in 1868 introduced muscle biopsy  Evaluation of skeletal muscle biopsy needs to be done in context of clinical history, examination of patient and other tests including serum CK and EMG.
  • 3.
    INDICATIONS A) GENERAL  Weaknessof uncertain cause – generalised, proximal, floppy infant syndrome  Muscle pain, cramps, stiffness  Persistently elevated muscle enzymes B) SPECIFIC  Hereditary muscle disease in other family members  Carrier detection  Systemic connective tissue disease and vasculitis
  • 4.
     Storage diseases Suspicion of steroid myopathy in treated myositis  To exclude drug induced myopathy  Confirm/reinforce clinical diagnosis  Conflicting clinical, EMG, laboratory findings
  • 5.
    CONDITIONS IN WHICHMUSCLE BIOPSY IS LOW YIELD OR CONTRAINDICATED PROCEDURE  Electrolyte disturbances  Most endocrine diseases  Malignant hyperthermia  Myasthenic syndromes  Myotonic disorders  Old age  Poor nutrition
  • 6.
     Choose amoderately affected muscle MRC grade 3,4  Medical research council grading of muscle power Grade 0 – no movement Grade 1 – flicker of contraction Grade 2 – movement with gravity eliminated Grade 3 – movement against gravity Grade 4 – movement against moderate resistance Grade 5 – movement against full resistance( full power)
  • 7.
    COLLECTION AND PREPARATIONOF MUSCLE BIOPSY SPECIMEN  Open biopsy/needle biopsy  Advantages of needle biopsy 1) outpatient procedure 2) use of local anaesthesia 3) minimal scarring 4) ability to sample multiple sites  Disadvantages of needle biopsy 1) limited sampling
  • 8.
    • Specimen shouldbe representative of disease obtained from a muscle in which disease is active and evolving taken from the belly of muscle • Muscles subjected to prior trauma or affected by unrelated disease – not sampled • Two separate specimens are routinely requested  Before excision first specimen is maintained in isometric state by introducing it in muscle clamp
  • 9.
    preventing contraction artifact.Acceptable sample size is 1 x 0.5 cm. The fixed sample is used for paraffin sections, 1-2 micron resin embedded sections, EM studies  Second fresh specimen measuring 1x0.5x0.5 cm is used for frozen sections preparation, immunofluorescence microscopy/biochemical analysis along with H & E, rapid Gomori Trichrome, ATPase, NADH-TR.  Once specimen is obtained it should be transported in saline moistened gauze in timely fashion
  • 11.
    • The techniqueis safe and highly effective using a modified Bergström needle to obtain skeletal muscle tissue samples from the vastus lateralis of human subjects. • The Bergström needle consists of an outer cannula with a small opening ('window') at the side of the tip and an inner trocar with a cutting blade at the distal end. • Under local anesthesia and aseptic conditions, the needle is advanced into the skeletal muscle through an incision in the skin, subcutaneous tissue, and fascia. • Next, suction is applied to the inner trocar, the outer trocar is pulled back, skeletal muscle tissue is drawn into the window of the outer cannula by the suction, and the inner trocar is rapidly closed, thus cutting or clipping the skeletal muscle tissue sample. • The needle is rotated 90° and another cut is made. • This process may be repeated three more times. • This multiple cutting technique typically produces a sample of 100-200 mg or more in healthy subjects and can be done immediately before, during, and after a bout of exercise or other intervention.
  • 12.
  • 13.
    Weil-Blakelsley Cochotome Percutaneous musclebiopsy using the Weil-Blakesley conchotome is well established in both clinical and research practice. It is a safe, effective and well tolerated technique. The Weil-Blakesley conchotome has a sharp biting tip with a 4 - 6 mm wide hollow. It is inserted through a 5 - 10 mm skin incision and can be maneuvered for controlled tissue penetration. The tip is opened and closed within the tissue and then rotated through 90 - 180° to cut the muscle. The amount of muscle obtained following repeated sampling can vary from 20 mg to 290 mg which can be processed for both histology and molecular studies.
  • 14.
    CLASSIFICATION OF NEUROMUSCULAR DISEASES A)DENERVATING DISEASES B) PRIMARY MUSCLE DISEASES 1) MUSCULAR DYSTROPHIES  Duchenne’s muscular dystrophy  Becker’s muscular dystrophy  Facioscapulohumeral dystrophy  Limb girdle muscular dystrophy  Distal myopathy  Oculopharyngeal muscular dystrophy  Myotonic dystrophy
  • 15.
    2) CONGENITAL MYOPATHIES Central core disease  Multicore disease  Nemaline myopathy  centronuclear myopathy  congenital fiber type disproportion 3) INFLAMMATORY & IMMUNE MEDIATED MYOPATHIES  Polymyositis  Dermatomyositis  Inclusion body myositis  Viral myositis
  • 16.
    4) METABOLIC MYOPATHIES Carbohydrate storage diseases  Lipid storage diseases  Mitochondrial myopathies 5) TOXIC AND DRUG INDUCED MYOPATHIES C) NEUROMUSCULAR JUNCTION DISORDERS  Eaton lambert syndrome  Myasthenia gravis
  • 17.
    INTERPRETATION OF MUSCLEBIOPSY SPECIMEN 1) Normal muscle  Fiber types are not evident by H & E  Myofibrillar ATPase is considered to be most reliable method for distinguishing fiber types.
  • 18.
    Transverse section ofmuscle fibres, typically polygonal, and the sarcolemmal nuclei are located peripherally
  • 21.
    HISTOLOGY  Skeletal muscleis composed of extremely elongated, multinucleate contractile cells(muscle fibers) bound together by collagenous supporting tissue.  Contraction is controlled by large motor nerves,individual nerve fiber branches within the muscle to supply a group of muscle fibers called motor unit.  Every muscle fiber is a syncytium formed as a result of fusion of several hundreds of component myoblasts  Individual muscle fiber diameter 10-100 µm  Adult muscle fibres on transverse section are polygonal (round in infancy)  Each muscle fibre is composed of numerous myofibrils and myocyte cytoplasm(sarcoplasm)
  • 22.
     Each myocyteis multinucleated, nuclei are subsarcolemal in location  Normally only 3-5% of myocytes will have internally placed nuclei  Each myofibril consists of identical repeating units(sarcomeres) composed of myofilaments (Actin and Myosin)  Arrangement of contractile proteins gives rise to appearance of cross-striations  Myofibril interacts with sarcolemma through cytoskeletal protein dystrophin  Epimyesium, perimyesium, endomyesium (connective tissue sheath)  Endomysium surrounds individual muscle fiber  Perimysium envelopes groups of muscle fiber i.e fascicle  Epimysium envelops many fascicles i.e. whole muscle
  • 23.
  • 24.
    Type - 1Type -2 Red /oxidative/slow glycolytic/fast/white * ATPase Low High *Oxidative enzyme High Low *Glycogen Low High *Phosphorylase Low High *Lipid content High Low Inc. Myoglobin. Dec myoglobin Function Postural activity Sudden intermittent activity Metabolism Aerobic Anareobic 35- 40% 60-65% TYPES OF MUSCLE FIBERS
  • 25.
    GENERAL ABNORMALITIES OF MUSCLEIN RESPONSE TO INJURY
  • 26.
    ABNORMALITIES SEEN ONPARAFFIN / FROZEN SECTIONS Paraffin section  Nuclear changes  Fiber regeneration  Fiber necrosis  Hyaline fibers  Inflammation  Ring fibers  Fibrosis & fatty infiltration Frozen section  Fiber shape  Changes in histochemical profile  Fiber spiltting  Mottled fibers  Cores & targets  Nemaline rods  Mitochondrial abnormalities  Vacuolar change
  • 27.
  • 28.
  • 29.
    NUCLEAR CHANGES • Normalnuclei- peripheral • Increase in internal nuclei –M/C abnormality • Large no. of myofibers with central / paracentral nuclei - S/o Myopathic diseases.
  • 30.
    Internal nuclei areseen in:-  Myotendinous insertion  Fiber atrophy - multiple pyknotic nuclei forming clusters.  Fiber regeneration – vesicular nuclei with prominent nucleoli.  Centronuclear myopathy- Single central/ paracentral nucleus in almost all fibers-  Myotonic dystrophy- randomly distributed nuclei with active appearing nuclei (dispersed chromatin)
  • 31.
    RING FIBERS F • Formedby peripheral bundle of myofibril. • Directed circumferentially, encircling inner portion of myofiber. • Seen in transverse section. • Striation are visible under PAS, Resin & EM • Normally seen in extraocular muscles. • Seen in Limb girdle dystrophy & Myotonic dystrophy • Large no. of ring fibers – S/O Myotonic dystrophy.
  • 32.
    HYALINE FIBERS (DEGENERATION)  Degenerating round and enlarged  More deeply stained than normal  Sarcoplasm – smudged, homogenous  Nuclei – Pyknotic in centre / periphery  In DMD- Large no. of Hyaline fibers
  • 33.
  • 34.
    Hyaline opaque hypercontractedfibers (Masson trichrome)
  • 35.
    Loss of striation Swellingof myofiber eosinophilia (acute necrotic fibers) Later pale color Sarcoplasm striated to coarsely granular Nucleus –Pyknotic,fragmented ,absent Macrophage seen in surrounding fibers FIBER NECROSIS Presence of degeneration & necrosis – definite sign of myopathy Best seen in H&E section Myophagocytosis
  • 37.
    Pathological features Disease Smallgroups of necrotic fibers Duchenne dystrophy Perifascicular necrosis Dermatomyositis Random fiber necrosis Polymyositis, inclusion body myositis Infarcts with large areas of necrosis Polyarteritis nodosa Extensive, diffuse necrosis Rhabdomyolysis in alcoholics, military recruits
  • 38.
    FIBER REGENERATION Degeneration/ Necrosis Compensatoryregeneration Increased basophilia Source of regeneration: 1.Sprouts of remaining sarcoplasm 2.Satellite cells – more capacity to regenerate. Regenerating fibers – increased basophilia Nuclei in number, larger than normal With vesicular chromatin, prominent nucleoli.
  • 41.
     Presence ofregenerating fibers even in absence of necrotic fibers is indicator of previous necrosis or fiber necrosis of adjacent muscle  Satellite cells with restorative capacity play important role in regeneration
  • 42.
    FIBER SPLITTING  Hypertrophicfibers split into 2/>2 subunits.  A split like space from invagination individual segment. Limb girdle dystrophy Inclusion body myositis  Mechanism- (A form of Regeneration)-failure to unite to form a single fiber
  • 44.
  • 45.
     Interstitial inflammatoryinfiltrates most frequently encountered in polymyositis, dermatomyositis, inclusion body myositis  Nodular infiltrates composed largely of plasma cells highly suggestive of rheumatoid arthritis  PAN and SLE associated with vasculitis  Granulomatous inflammation indicative of sarcoidosis or idiopathic granulomatous myositis
  • 46.
    Fibrosis and fattyinfiltration  Bequest of chronic neuromuscular disease of both myopathic and neurogenic origin
  • 47.
    ATROPHY  MC histologicalchange  Interpretation better in cross section & in frozen section. General causes of atrophy( non selective )- 1. Denervation- MC 2. Disuse 3. Ischemia 4. Aging 5. Poor nutrition.
  • 48.
    SELECTIVE ATROPHY Type 1atrophy  Myotonic dystrophy  Nemaline myopathy  Distal myopathy  Centronuclear myopathy  Congenital fiber type disproportion. Type 2 atrophy  Corticosteroid therapy  MG  Disuse atrophy  Acute denervation  Paraneoplatic myopathy.
  • 49.
    MORPHOMETRIC ANALYSIS OFATROPHY  Done either manually / computer assisted image analyzer.  At least 200 fibers should be present in the sample. Interpretation:  Grouped atrophy- 5/>5 angular fibers – pathognomonic for chronic neurogenic disease  Panfascicular atrophy – Infantile spinomuscluar atrophy  Perifascicular atropy – DM  Atrophic fibers randomly situated in the section is non specific.
  • 50.
    FIBER HYPERTROPHY  Type1:  ISMA  Type 2:  Runners sprinters  Congenital fiber type disproportion • Limb – girdle dystrophy • IBM • Myotonia congenita • Acromegaly
  • 51.
    Type-1 Type-2A Type2B 1)ATPase reaction Light Dark Intermediate at 9.4 pH 2)ATPase reaction Dark Light Intermediate At acidic pH 3)NADH-TR Reac. Tetrazolium reductase Dark Intermediate Light Depend on conc.of mitochondria 4)Antibodies Slow +nt -nt -nt Fast - nt +nt +nt DIFF. BETWEEN MUSCLE TYPES DONE BY HISTOCHEMICAL STAIN ON FROZEN SECTION
  • 52.
    ATPase stain pH9.4  On ATPase stain we can see normal checkboard pattern of intermingled type 1 and type 2 fibers
  • 53.
  • 54.
    2) Modified gomoritrichrome  Highlights ragged red fibers, rods, rimmed vacuoles 3) PAS – glycogen 4) Oil red O/Sudan black - lipid 5) NADH-TR  Less specific than ATPase  Type I darker than type II  Useful stain in diagnosis of mitochondrial myopathy and structural myopathy (central core disease)  In denervation target and targetoid fibers are also best demonstrated by this stain
  • 55.
  • 56.
    6) Succinic dehydrogenase Type I darker than type II  Ragged red fibers highlighted by SDH 7) Acid phosphatase • Highlights lysosomal associated abnormalities such as acid maltase deficiency
  • 57.
  • 58.
    Fiber splitting It is conspiciousin limb girdle dystrophy and in some cases of denervation and inclusion body myositis
  • 59.
    Mottled fibers Demonstrated in oxidative enzyme preparations Numerousin facioscapulohum eral and limb girdle dystrophy, denervation
  • 60.
  • 61.
    CORE & TARGETS Betterseen in oxidative enzyme stain Targets Appear as central pallor s/by darkly stained rim, in turn s/by normal appearing area. Cores Appear as a central pallor s/by normal appearing area without dark zone. Target Cores
  • 62.
    Target Cores Always singleSingle/multiple & eccentric Extends upto few sarcomere Extends throughout the length > diameter. < diameter Pathognomonic for Neurogenic Central core disease atrophy
  • 63.
  • 64.
  • 66.
    Nemaline rods Escape detection inH & E Visualised in RTC(Rapid gomori trichrome stains on frozen sections or in resin sections
  • 67.
     Mitochondrial abnormalities They contain accumulations of mitochondria thatare enlarged and deformed Modified gomori trichrome stain
  • 68.
    Vacuolar degeneration  1.Dilatation of the sarcotubular system Vacoules may be empty or may contain PAS +ve staining material e.g hypo and hyperkalaemic periodic paralysis  2. Autophagic vacoulation – represent membrane bound areas of autodigestion of muscle fibre e.g mytonic dystrophy, polymyositis, drug induced myopathy due to chloroquine and vincristine  3. storage vacoules – excessive accumulation of neutral lipids and glycogen
  • 69.
    Immunohistochemistry  Sarcolemma-related proteins–Dystrophin.  Absent dystrophin:  Has specificity for Duchenne Muscular Dystrophy  Reduced dystrophin:  Patchy staining of sarcolemma of individual fibers may occurs in Becker Muscular dystrophy
  • 70.
  • 71.
    DMD carrier Small numberof fibres show no reaction for dystrophin
  • 72.
  • 73.
     Cytoplasmic proteins Desmin  Actin  Myosin
  • 74.
     Nuclear proteins-Emerin  Absent staining in muscle & skin in Emery Dreifuss muscular dystrophy
  • 75.
  • 76.
  • 79.
     Long standingdenervation – fiber hypertrophy, splitting, and even necrotic fibers giving rise to pseudomyopathic picture
  • 80.
  • 81.
    Muscle Dystrophy  Heterogenousgroup of inherited disorders beginning in childhood  Clinically – progressive muscle weakness and wasting  Duchenne’s muscular dystrophy : X-linked  Becker’s muscular dystrophy : X-linked  Limb girdle muscle dystrophy : AD/AR  Occulopharyngeal muscle dystrophy : AD  Facioscapulohumeral muscle dystrophy : AD  Emery-Dreifuss muscular dystrophy : X-linked  Congenital muscle dystrophies : AR
  • 82.
    Duchenne muscular dystrophy 1 per 3500 live births. Most common muscular dystrophy  Manifest by 5 years of age  Boys frequently fall, difficulty in running, jumping  On getting up from floor child uses his hands to climb up (Gower’s sign), contracture of heel cords and ileotibial bands  By age of 12 child becomes wheel chair dependent, scoliosis  Predisposed to lung infections, aspiration of food, acute gastric dilation, cardiomyopathy  Lab findings : CK levels 20-100 times the normal, late in course of disease the levels decrease due to inactivity and loss of muscle mass  EMG : features typical of myopathy
  • 84.
     Pathogenesis :Deletion affecting gene Xp21 that encodes dystrophin, complete absence of dystrophin  Dystrophin and dystrophin associated protein complex form an interface b/w intracellular contractile apparatus and extracellular connective tissue matrix  Dystrophin is located adjacent to sarcolemmal membrane in myocytes
  • 85.
     Microscopy :Both type1 and type 2 fibers are involved  Variation in fiber size : presence of both small and large fibers, fiber splitting  Increased numbers of internalized nuclei(>3-5%)  Enlarged rounded hyaline fibres that have lost their normal cross striations – hypercontracted fibres  Degeneration, necrosis and myophagocytosis  Regeneration of muscle fibers  Proliferation of endomysial connective tissue  In later stages muscle eventually becomes almost totally replaced by fat and connective tissue.  Cardiac involvement : interstitial fibrosis in subendocardial layers  IHC : lack of dystrophin in DMD and decreased amount in BMD
  • 86.
  • 87.
    Variation in fibersize, Increased endomysial connective tissue, regenerating fibers
  • 88.
  • 90.
    normal DMD Dystrophin innormal & in DMD
  • 91.
    Becker’s muscular dystrophy X-linked recessive condition  Defect in the dystrophin gene – structural alteration or decrease in size of the molecule  Onset later as compared to DMD  Child can walk past 15 years of age and survive till adulthood  Microscopy – Variability of fiber size, scattered large hypercontracted fibres, endomysial fibrosis. Fiber necrosis and regenerative changes are much less conspicuous than Duchenne muscular dystrophy
  • 92.
    Facioscapulohumeral muscle dystrophy 7-27 years of age  Associated with mental retardation and epilepsy  Initial weakness is usually seen in facial muscles in particular the zygomaticus, orbicularis oculi, orbicularis oris. Masseter, temporalis and extraoccular muscle are spared. Weakness of scapular muscle i.e latismus dorsi, lower trapezius, rhomboids, serratus anterior  M/S : Myopathic changes variation in fiber size, increase frequency of central nuclei, occasional necrotic fiber, increase in endomysial and perimysial connective tissue.  Lobulated fibers may be seen
  • 93.
  • 94.
    Limb girdle muscledystrophy  Autosomal recessive / Autosomal dominant condition Disease Autosomal dominant Genetic loci Deficient/ defective gene product LGMD 1A 5q31 myotilin LGMD 1B 1q11-21 lamin LGMD 1C 3p25 Caveolin 3
  • 95.
    Autosomal recessive Geneticloci Deficient/ defective gene product LGMD 2A 15q15-21 Capalin 3 LGMD 2B 2p13 Dysferlin LGMD 2C 13q12 γ-sarcoglycan LGMD 2D 17q21 Α-sarcoglycan LGMD 2E 4q12 β-sarcoglycan LGMD 2F 5q33 δ-sarcoglycan LGMD 2G 17q11-12 telethonin
  • 96.
     Clinical features–proximal weakness of the shoulder and pelvic girdles. Slowly progressive course  M/S : nonspecific , variation in fiber size , increased internal nuclei, fiber splitting, moth eaten and lobulated fibers.  IHC : antibodies against sarcoglycan, dysferlin Lobulated fiber (SDH) Moth eaten fiber (SDH)
  • 97.
    Distal myopathy  Males,40 – 60 yrs  Weakness and wasting of acral muscles  Atrophy of type I fibers  Internal nuclei  Rimmed vacuoles
  • 98.
    Rimmed vacuoles showingbasophilic rimming. H&E Rimmed vacuoles showing red granular rimming. MGT
  • 99.
    Occulopharyngeal muscle dystrophy Late onset 5th-6th decade, AD  Two cardinal symptoms : Ptosis, dysphagia  All muscle are affected but extraoccular, lingual, pharyngeal and diaphragmatic muscle are selectively more involved. M/S : i. loss of muscle fiber ii. Variation in fiber size, iii.increase in number of internal nuclei , iv. Increased interstitial and fibrous connective tissue, v. small angulated fiber, vi. rimmed vacuole within muscle fiber. vacuoles lined by a ring of material which appears basophilic on H & E stain and red on Gomori’s trichrome
  • 100.
    Myotonic dystrophy  ADdisease, increased CTG repeats at chromosome 19  Clinically two forms : congenital & adult form  Congenital form : infants, hypotonia and myotonia  Adult form : slow onset with progressive weakness and stiffness of the distal limbs. Muscle of the face, jaw and eyelids are most frequently involved. Myotonia results in marked delay in grip release.  Male pattern of baldness, cataracts, testicular atrophy, mental subnormality, cardiac arrythmias, cardiomyopathy
  • 101.
     M/S :type 1 fiber atrophy, type 2 fiber hypertrophy, increase internal nuclei which in longitudnal section forms conspicuous chains. Ring fibers – subsarcolemmal band of cytoplasm that appears distinct from the center of the fiber. The rim contains myofibrils that are oriented circumferentially around the longitudinally oriented fibrils in rest of fiber Sarcoplasmic mass – ring fiber may be associated with an irregular mass of sarcoplasm, extending outward from the ring. These stain blue with H&E, red with MGT, intensely blue with NADH-TR histochemical reaction Of all the dystrophies only myotonic dystrophy shows pathologic changes in the intrafusal fibers of muscle spindles, with fiber splitting, necrosis and regeneration
  • 102.
     Ring fibers.Circumferentially oriented myofibers are seen at the periphery of transversally sectioned fibers. (Cryosection, modified Gomori trichrome).
  • 104.
    Emery-Dreifuss muscular dystrophy X-linked , mutation in STA gene which encodes emerin, inner nuclear membrane protein  Muscle biospsy : variation in fiber size with abundant small fibers, increase internal nuclei, mild regeneration, some necrotic fibers, type 1 fiber predominance or type 2 predominance and type grouping .  IHC : absence of Emerin
  • 105.
  • 106.
    CENTRAL CORE DISEASE AD  Chr.19q13.1  Affects RYR1gene – inv. Ryanodine receptor prot.  Type 1 fibers are affected  Mild , proximal, non progressive muscle weakness.  Cores are seen as regions of depleted or absent oxidative enzyme activity. Biopsy – 1. Many fibers show single centrally located defect or core. 2. More than one core per fiber may be encountered.
  • 107.
  • 108.
    MULTI CORE DISEASE Congenital, non progressive myopathy  Known as Minicore disease  Generalised weakness and hypotonia.  Kyphosis, scoliosis and muscle contractures  Type 1 fiber predominance. Biopsy-  Numerous , multiple core like structure in majority of muscle fibers.  PAS/ Trichrome/ NADH-TR – stains pale
  • 109.
  • 110.
    Nemaline rod myopathy Originally described by Shy et al. and canon et al in 1963  Hypotonia, floppy infant, non-progressive myopathy  Rods are composed of actin and myosin  Rods are not visible on H&E or oxidative enzyme stains  Best demonstrated on MGT stain – subsarcolemmal dark red rods, measure 3-6 µ in length and 1-3 µ in width  Exclusively seen in type 1 fibres, there is usually type 1 fiber predominance  EM – subsarcolemmal elongated or rectagular rods in longitudnal section, polygonal in cross section
  • 112.
    Thread-like subsarcolemmal aggregatesare shown on longitudinal sections. (Phoshphotungstic acid hematoxylin).
  • 113.
    EM : elongatedor rectangular rods
  • 114.
    Centronuclear myopathy  Myotubularmyopathy, X-linked , AD, AR  Slowly progressive or non-progressive hypotonia, proximal or generalized weakness  External ophthalmoplegia and facial weakness  Microscopy : Many fibres with central nuclei more in type 1 fibers, type 1 fiber predominance and type 1 fiber atrophy, central perinuclear clear zones may stain intensely with PAS and oxidative enzymes (SDH)  On longitudinal section nuclei appear to be in a single row (rowing of nuclei)  Radiating spoke pattern on NADH-TR stain
  • 115.
     Most fibersdisplay central nucleus. Note a perinuclear halo of abnormality of myofibrils. (Cryosection, H&E).
  • 116.
    Congenital fiber typedisproportion  AD, AR or Sporadic  Hypotonia , associated with joint contractures, Congenital dislocation of hip, Skeletal deformities  In ATPase stain (pH 9.6) type I fibers are 12% or more smaller in size than type II fibers.
  • 117.
     Congenital fiber type disproportion Atrophyof type 1 fibers Hypertrophy of type 2 fibers
  • 118.
  • 119.
  • 120.
  • 121.
     Nonspecific histology,diagnosis of exclusion  Necrotic and regenerating fibers are scattered within fascicle
  • 122.
  • 123.
     Perivascular inflammation,focally in perimysium and less commonly in endomysial compartment  Vasculopathic – endothelial hyperplasia, necrotising vasculitis, fibrin thrombi, obliteration of small vessels
  • 125.
  • 128.
     Endomysial chronicinflammatory infiltrate similar to polymyositis  Fiber hypertrophy and splitting, rare in other inflammatory myopathies are typical features  Small group atrophy of fibers mimics neurogenic atrophy  Most characteristic feature ultrastructurally is presence of intranuclear, cytoplasmic tubulofilaments
  • 129.
     HIV myositis Closely resembles polymyositis pathologically  Nemaline rods in some patients  Multinucleated giant cells similar to that described in brains of AIDS patients
  • 130.
  • 131.
    Carbohydrate Storage Diseases 1) Acidmaltase deficiency PAS positive diastase labile vacuoles of varying sizes that replace much of sarcoplasm Electron microscope shows membrane bound glycogen filled vacuoles
  • 132.
    2) Phosphofructokinase deficiency PAS positive crescents adjacent to sarcolemma 3)McArdle’s disease  Myophosphorylase deficiency  Crescentic PAS positive vacuoles in subsarcolemmal location
  • 133.
     Lipid storagediseases 1) Carnitine deficiency  Biopsy shows excessive lipid droplets  Definitive diagnosis – muscle carnitine assay
  • 134.
    2) Carnitine palmitoyltransferase deficiency  Muscle is normal with light and electron microscopy  Diagnosis depends on biochemical assay
  • 135.
    Periodic paralysis Fiber sizevariability, fiber degeneration Endomysial fibrosis, increased internal nuclei
  • 136.
     Mitochondrial myopathy Abnormal sarcoplasmic accumulation of mitochondria  Mitochondria – increased number, size, abnormal configuration, paracrystalline intermembranous inclusions, abnormal cristae with excessive branching
  • 138.
    TOXIC AND DRUGINDUCED MYOPATHIES Pattern of injury Drug/Agent Necrotizing myopathy Alcohol, lovastatin, clofibrate, gemfibrozil, etretinate, organophosphates, snake venom Type IIB atrophy steroids Hypokalemic myopathy (necrosis, regeneration, vacuolization) Diuretics, laxative, licorice, alcohol, amphotericin B ,toluene Vacuolar myopathy Chloroquine, colchicine, vincristine, steroids Inflammatory myopathy penicillamine., procainamide Vasculitis, fasciitis, perimyositis Eosinophilic myalgia syndrome (L- tryptophan) Mitochondrial myopathy Zidovudine, germanium
  • 139.
    NEUROMUSCULAR JUNCTION DISORDERS Muscle biopsy is not helpful in these conditions
  • 140.
    SUMMARY • A skeletalmuscle biopsy is important for the diagnosis of diseases of motor unit, systemic diseases such as vasculitis and disorders of metabolism such as glycogenosis.  When interpreting the biopsy, the pathologist must have knowledge of patient’s clinical and family history, physical examination findings, results of EMG, nerve conduction and serum creatinine phosphokinase.
  • 141.
     Light microscopiccharacteristics to be noted: 1) Size and shape of myofiber 2) Position of nuclei 3) Hyalinisation, necrosis, myophagocytosis 4) Vacuolar changes 5) Presence of intracytoplasmic inclusion bodies 6) Ring fibers 7) Regenerative activity 8) Increased endomysial and perimysial connective tissue
  • 142.
     Histochemical featuresto be noted: 1) Fiber type distribution in fascicles 2) Involvement of particular fiber type 3) Predominance of any one fiber type 4) Grouping of fibers of one histochemical type 5) Abnormal mitochondria, cores, vacuoles, targets 6) Enzyme deficiencies can also be identified
  • 143.
     At ultrastructurallevel changes in sarcolemma, myofilaments, mitochondria, Z bands have to be documented.
  • 144.
     Commonly encounteredmuscle diseases like Duchenne dystrophy, denervation atrophy and inflammatory myopathies can be diagnosed by routine histology.  Metabolic myopathies, congenital myopathies need additional procedures for identification  Introduction of enzyme histochemistry and IHC has revolutionalised the diagnostic efficacy in myopathology enabling initiation of appropriate treatment to patient and counselling to patient’s relatives
  • 145.
     Though theprocedures of muscle biopsies and the laboratory techniques are elaborate and time consuming, they are essential for diagnosis.
  • 146.
    REFERENCES 1) Heffner RRJr, Balos LL. Muscle Biopsy in Neuromuscular Diseases. In: Mills, Carter, Greenson, Oberman, Reuter, Stoler (eds.) Sternberg’s Diagnostic Surgical Pathology. Vol.1. 4th ed. USA. Lippincott Williams and Wilkins; 2004. p111-36. 2) Ang LC. Skeletal Muscle. In: Rosai J (ed.) Rosai and Ackerman’s Surgical Pathology. Vol.2. 9th ed. India. Elsevier; 2009. p2663-82.
  • 147.
    3) Prayson RA.Muscle and Peripheral Nerve Pathology. In: Silverberg, Delellis, Frable, Livolsi, Wick (eds.) Silverberg’s Principles and Practice of Surgical Pathology and Cytopathology. Vol.2. 4th ed. China. Churchill Livingstone; 2006. p2213-66. 4) Heffner RR Jr, Schochet SS Jr. Skeletal Muscle. In: Damjanov I, Linder J (eds.) Anderson’s Pathology. Vol.2. 10th ed. USA. Mosby-Year Book, Inc.; 1996. p2653-92.
  • 148.
    5) Anthony DC,Frosch MP, Girolami UD. Peripheral Nerve and Skeletal Muscle. In: Kumar, Abbas, Fausto, Aster (eds.) Robbins and Cotran Pathologic Basis of Disease. 8th ed. Pennsylvania. Elsevier; 2010. p1257-78. 6) Workshop on Muscle Disorders conducted by Department of Pathology, J.N. Medical College, Belgaum on 12th June 1993.
  • 149.

Editor's Notes