KERATOPLASTY
PRESENTER: SIVARAMAN.G
DISCUSSANT :Dr. SHANTHA
CHAIRMAN: Dr. SRINIVAS PRASAD
 DEFINITION
 TYPES
 PREOP EVALUATION
 PROCEDURE
 INDICATIONS, ADVANTAGE, DISADVANTAGE
 COMPLICATIONS
 CORNEAL GRAFT REJECTION AND FAILURE
 MANAGEMENT OF COMPLICATIONS
DEFINITION
 Keratoplasty refers to replacement of diseased host
corneal tissue by healthy donor cornea.
 Full thickness (Penetrating keratoplasty)
 Partial thickness (Anterior and Posterior Lamellar
keratoplasty
GENERAL INDICATIONS
 Optical
 To restore vision by obtaining clear visual axis
 Tectonic
 To restore corneal integrity and tectonic support in
severe structural changes
 Therapautic
 To remove the infected corneal tissue who are
unresponsive to antimicrobial therapy
 Cosmetic
 Rare
 To improve appearance of eye with whitish corneal scar
TYPES
 PENETRATING KERTOPLASTY
 LAMELLAR KERATOPLASTY
ANTERIOR
Anterior Lamellar
Keratoplaty(ALK)
Deep Anterior Lamellar
Keratoplasty(DALK
POSTERIOR
Deep Lamellar endothelial
keratoplaty(DLEK)
Descement Stripping Endothelial
Keratoplasty(DSEK)
Descement stripping Automated
Endothelial Keratoplasty(DSAEK)
Deep Membrance Endothelial
Keratoplasty(DMEK)
PREOP EVALUATION
 General systemic evaluation – HTN, DM , cardiac disease
 Patient socioeconomic status and compliance for follow up
 Ocular history of present & past illness and ocular
surgeries
 Ocular examination of eye and adnexa – slit lamp, details
of corneal vascularization, tear film assessment, IOP,
presence of cataract
 If anterior segment details are not visible-
Ant-seg OCT
 Posterior segment evaluation – Bscan
PREOPERATIVE PREPARATION
 Antiinfective agent – reduce the risk of endophthalmitis,
appropriate lid care
 IOP control – good lid and extaocular akinesia, use of
mannitol preoperatively
 Pupil –not dilated, constricting the pupil with 2% pilocarpine
intraoperatively maybe done to reduce lens damage during
trephining of phakic eye
PENETRATING KERATOPLASTY
 Full thickness Replacement of corneal tissue with healthy
donor graft
INDICATIONS(Optical & Therapeutic)
 Pseudo/aphakic corneal decompensation
 Stromal corneal dystrophy
 Granular, lattice, macular, Schnyder central crystallin,
central cloudy dystrophy
 Primary corneal endotheliopathies
 Fuchs endothelial dystrophy, congenital hereditary
endothelial dystrophy, posterior polymorphous
dystrophy, ICE syndrome.
 Corneal ectasia and thinning
 Keratoconus. Keratoglobus
 Congenital corneal opacity
 Peters anomaly, sclero-cornea, congenital glaucoma
 Acquired corneal scars
 Post viral keratitis, healed keratomalacia, post traumatic
corneal scar
 Non infectious ulcerative keratitis
 Posterior Rheumatoid corneal melting
 Exposure keratopathy
 Immune corneal melt d/t systemic vasculitis,
keratoconjunctivitis sicca, mooren’s ulcer
 Corneal degeneration
 Failed corneal graft
 Non healing infectious keratitis,
 Infectious keratitis with perforation,
 Post chemical injury and melt
CONTRAINDICATIONS
 Epithelial dysfunction – limbal stem cell deficiency
 Stromal vascularization – more than 2 quadrants
 Multiple graft failures
ADVANTAGE
 Full thickness transplant
 No interface related visual problem
 Ability to treat all layers
 Anterior segment reconstruction in single procedure
DISADVANTAGE
 Corneal surface disease or neurotrophic cornea
leads to prolonged healing or persistent epithelial
defect.
 Irregular or significant regular astigmatism
 Difficulty in determining anterior corneal curvature
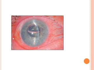
S/P OKP 2ND POD FOR RE CENTRAL CORNEAL
OPACITY
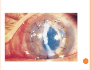
S/P OKP POD 2MONTHS IN 6 YR CHILD
S/P OKP 6MONTHS
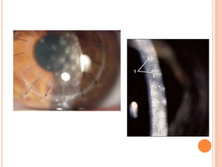
S/P TKP FOR FUNGAL CORNEAL ULCER
SUTURE INFILTRATE
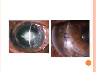
S/P TKP 3RD POD
COMPLICATIONS
 Intraoperative complication
 Scleral perforation d/t bridle suture or sclear fixation ring
Trephination problem
 Small size trephine of donor cornea leads to improper water
tight closure
 Flat cornea
 Hyperopia
 Angle compression leading to raised IOP.
 Eccentric trephination leads to increased astigmatism and
rejection
 Improper trephination leads to endothelial damage d/t
repunching
 Iridolenticular damage – avoided by globe hypotony, Ac
maintained with viscoelastics, miotics
 Endothelial damage d/t improper trephination, improper
tissue handling, iris,lens,IOL touch during surgery.
 Intra ocular haemorrage bleeding into AC d/t corneoiridic
scar in post infection, post traumatic case, Iol
explantation in case of PBK, iridodialysis or synechiolysis
at the the angle
 Vitreous loss in case of combined cataract extraction and
keratoplasty
 Postoperative complication
 Immediate
 Wound leak leads to shallow AC with low IOP.
 Persistent epithelial defect and filamentary keratitis
 Postoperative inflammation
 Suture related infiltrates suture induced vascularization
 Raised IOP
 Pupillary block
 Anterior synechiae formation
 Choroidal detachment /haemorrhage
 Late postoperative complications
 Post PK astigmatism
 Graft infection
 Graft rejection
 Post PK glaucoma
 Retrocorneal membrane formation
 Late wound dehiscence
DEEP ANTERIOR LAMELLAR KERATOPLASTY
 DALK – corneal tissue is removed almost to level of
Descemet membrane and replaced with donor
corneal tissue.
INDICATIONS
 Degenerative – keratoconus, pellucid marginal. Terriens
, spheroidal salzman nodular, band shaped keratopathy
 Dystrophies( epithelial and stromal)
 Corneal thinning
 Corneal stromal melts
 Infective keratitis upto anterior stromal layer
 Corneal ectasia secondary to lasik
CONTRAINDICATIONS
 Absolute:
 Endothelial dysfunction – posterior dystrophies, corneal
edema(pseudophakic and aphakic), ICE syndrome
 Relative:
 Epithelial dysfunction- limbal stem cell deficiency, chronic
surface disease
 The big-bubble technique is contraindicated if there is
 a pre-existing break in the Descemet’s membrane (post
hydrops) or
 there are deep scars (however small) involving the
Descemet’s membrane
ADVANTAGE
 Non penetrating surgery –less risk of Intraocular
complications
 Selective removal of pathology
 More rapid visual rehabilitation
 Early removal of suture, Less need of suture and wound
induced astigmatism
 Minimal requirement of donor tissue
 Reduced incidence of graft rejection retains normal recipient
endothelial layer
 Preservation of globe integrity
DISADVANTAGE
 Irregular or significant regular astigimatism
 Irregular interface
 Ocular surface disease leads to persistent epithelial
defect
 Stromal opacification
 Interface debris
 DALK is technically demanding and time consuming.
S/P DALK FOR KERATOCONUS IN 7YR CHILD
S/P DALK 1 WEEK POSTOP
COMPLICATION
 Intraoperative
 Irregular lamellar bed
 Perforation of posterior stroma/DM
 Graft host malposition/edge irregularities
 Interface debris
 Post operative complication
 Pseudoanterior chambers
 Persistent epithelial defect
 Infection – suture related , inferface infection.
postkeratoplasty atopic sclerokeratitis
lid adnexal abnormalities
poor ocular surface
 Recurrence of HSV, corneal dystrophy
 Graft rejection less common
 Graft vascularization of lamellar bed in SJS, trachoma,
chemical burns
POSTERIOR LAMELLAR/ ENDOTHELIAL
KERATOPLASTY(DLEK/DSEK/DSAEK)
 Replacement of diseased posterior corneal layers &
endothelium with donor corneal tissue while the
host anterior corneal stroma is retained
INDICATIONS:
 Fuch’s endothelial dystrophy
 Pseudophakic/aphakic bullous keratopathy
 Failed graft
 Iridocorneal endothelial syndrome
 Argon laser iridotomy induced bullous keratopathy
 Congenital hereditary endothelial dystrophy
 Posteriod polymorphous corneal dystrophy
CONTRAINDICATIONS
 Corneal ectasia
 Stromal dystrophies
 Stromal scarring or opacification – infection,
interstitial keratitis
 Anterior corneal dystrophies
ADVANTAGE
 Rapid vision rehabilitation
 Preservation of ocular surface
 Less incidence of astigmatism
 Stronger wound
 Reduced graft rejection
 Smaller incision with preservation of globe integrity
DISADVANTAGE
 Significant stromal haze, subepithelial fibrosis requiring
second procedure
 Increased incidence of primary graft failure during
surgical learning curve
 Post operative donor dislocation
 Pupillary block d/t air bubble
POST DSEK
COMPLICATIONS
 Intraoperative complications
 Poor microkeratome dissection of donor tissue in DSEK
 Inability to strip host DM & endothelium in DMEK
Retained DM.
 Excessive manipulation of donor tissue leading to cell
loss and possible primary graft failure
 Tearing of donor tissue
 Interface debris or blood
 Choroidal hemorrhage (lower than PK)
 Inversion of donor lenticule
 Postoperative complication
 Pupillary block glaucoma (Urrets-Zavalia syndrome)
 Dislocation/discontinuation of lenticle
 Primary graft failure
 Epithelial ingrowth
 Interface opacification, Infection at interface
 Graft rejection (lower than PK)
 Reduced endothelial count
 CME
DSEK DSAEK
Manual dissection- Increased donar
tissue perforation
Automated dissection – less risk of
perforation
Do not yield smooth anterior surface of
donor posterior lamella
Yields good post donor lamella of
superior optical quality
More time consuming and visual
recovery is slow
Less time consuming and visual
recovery is rapid
Adhesion is better because of greater
thickness& irregular anterior surface
Adhesion is not easy because of thin
and smooth anterior surface
Donor lenticule dislocation is less more
CORNEAL GRAFT FAILURE
 Corneal graft is considered failed
 if it fails to retain optical clarity,
 if there is no impact on therapeutic attempts,
 if there is severe astigmatism that could not be optically
corrected -resulting in regraft
CAUSES OF GRAFT FAILURE
 Allograft rejection 29.2%
 Post pk glaucoma 16.9%
 Infection excluding endophthalmitis 15.4%
 Surface problem 12.7%
 Primary graft failure 6.6%
 Endothelial decompensation 3.8%
 Endophthalmitis 2.7%
 Recurrence of host disease 2.0%
 Severe astigmatism 0.6%
GRAFT FAILURE (2 TO 45%)
 It should be differentiated from graft rejection
 Significant edema of donor tissue in Non-inflamed eye
present in 1st postoperative day and does not resolve
by 2-4 weeks d/t usually not followed by period of
clear cornea
 Prolonged death or prolonged preservation > 7days
 Poor endothelial function
 Elderly donor > 70 years
 Iatrogenic damage to donor tissue during PKP
 Defective preservation media or Intraocular fluids
RISK FACTORS
MECHANISM
 Hyposecretion of aqueous after PK result in corneal
edema d/t decreased supply of metabolites to
endothelium
 Increased positive pressure increases the chance
of contact between endothelium and other
intraocular structure– so preoperative hypotony with
digital massage or IV mannitol is mandatory.
 Primary and secondary failure
 Primary
 Eye with well apposed grafts after surgery but with
persistent corneal edema
 d/t inadequate endothelial function, traumatic pre or
intra operative technique
 To prevent PGF, donor cornea should have atleast
200 cells/mm2 for better chance of graft survivial
 Secondary graft failure
 Donor endothelial tissue is detached from recipient
stromal cornea preventing the cornea from clearing
 Causes- residual fluid or viscoelastic in the interface or
retained DM and graft rejection
 Management –unresponsive to hypertonic saline or
steriods.
 1.Observation for atleast 3 weeks prior to regraft
 2. Regraft
GRAFT REJECTION
 Specific immunologically mediated that may be
irreversible/reversible in which corneal graft is clear
for at least 2 weeks, suddenly succumbs to graft
edema in conjunction with anterior segment
inflammation sign
CHARACTERISTICS
 Immune mediated resulting in decompensation of
transplanted cornea
 3 or more weeks
 Inflammatory process limited to graft
 Starts at graft margin nearest to proximal blood vessels
 Movement of inflammatory reaction towards centre to
involve the entire graft
 Increase in corneal thickness( edema) in previously
clear compact graft
PATHOLOGY
 Cell mediated by CD4+ and CD8+ cells
 Delayed Hypersensitivity reaction
 Inflammation induce vessels, lymphatics growth into
cornea and attracts APC into central cornea
 MHC antigen expression on corneal cells are
upregulated
 Recognition of foreign Histocompatiblity antigens leads
to immune cascade afferent immune response
Donar antigen processed by host APC
(afferent rejection cascade)
Presented to host immune sytem in
conjunction with HLA II & IL 1
Host mounts immune response
against foreign antigen
(efferent rejection cascade)
Activated Thcells release IL2,
IFN macrophages
Lymphokines cytokines
migration inhibition factor
 Anterior chamber associated immune deviation
 Corneal lymph angiogenesis and ham-
angiogenesis
 Lymphocytotoxic antibodies directed against HLA 1
 Donor derived Langerhans cells also mediate
rejection
CLASSIFICATION
 Epithelial rejection
 Chronic stromal rejection
 Hyperacute stromal rejection
 Chronic focal rejection/endothelial rejection
EPITHELIAL REJECTION (10 – 14%)
 Quiet, asymptomatic subsides in 6to 10 days
 Linear pattern from graft host junction at the site of
vascularization with gradual progression towards
center
 Elevated undulating line with positive FS and rose
Bengal stain
 A/w persistent epithelial defect or epithelial ring
presentation
Epithelial downgrowth-
Scalloped leading edge advancing
from periphery towards central
cornea DD from endothelial
rejection line
CHRONIC STROMAL REJECTION (2.4 – 15%)
 Low grade rejection- risk of development of other
severe Rejection
 Subepithelial infiltrate - Krachmer spots for 6
weeks to 21 months
 0.2 to 1 mm in diameter either in or immediately
below bowman’s layer
HYPERACUTE STROMAL REJECTION
 Occurs simultaneously with / immediately following
endothelial rejection
 Sudden onset of peripheral full thickness stromal haze in
previously clear graft adjacent to area of vascularization
with rapid progression to center in 24 to 48 hrs
 An abscess like picture without hypopyon in early stage
 Ciliary congestion a/w epithelial defect
CHARACTERISTICS
 Migrates away from vascularized part of graft
 Growth of vessels into stroma
 Mimics corneal abscess in heavily vascularized cornea
 Haze may invade adjacent host cornea proximity to
vascularization
 Complicated by persistent epithelial defect leading to
stromal necrosis, descemetocele and perforation
CHRONIC FOCAL REJECTION/
ENDOTHELIAL REJECTION (2 – 40%)
 Most common, severe form which leads to graft failure d/t
significant loss of endothelial cells
 Onset within month
RISK FACTORS
 Direct correlation with degree of vascularization
 Young individual with active immune system
 Large size /eccentric graft
 No of quadrants of anterior synechiae
 Preoperative glaucoma
 Previous corneal transplant
 Reversible – responds to corticosteroids, reduction
in edema , restoration of clarity, resolution of
inflammation
 Irreversible- endothelial decompensation – graft
failure
SIGNS AND SYMPTOMS
 Redness, photophobia, irritation, halos around of light and
dimension of vision
 Conjuctival hyperemia, Ac reaction
 KPs – Diffuse scattered/ lined up in a chain like fashion
forming pathognomonic endothelial rejection line of
khodadoust.
 Graft edema, Stromal edema & DM folds
MANAGEMENT
 Prevention
 Treatment
Early detection and aggressive therapy
PREVENTION
 Preoperative measures to minimize antigenic difference by
steroids prophylaxis
 Intraoperative – meticulous surgical technique, avoiding
decentration of recipient bed trephination, optimal suturing,
good graft host apposition
 Followup, timely suture management- decreases suture
related vascularization and rejection
TREATMENT
 Corticosteroids – prednisolone acetate / prednisolone
sodium phosphate 1%
 Preoperatively- 4times/ 1 week
 Post operatively- hrly 3days, 2hrsly 15 days,
4 times for 3 months then tapered 1drop for every 2
months
For acute rejection hourly steroids
Systemic steroid either by oral (60 to 80 mg) or
intravenous route (500mg in 150ml of IV fluid)
 Cytotoxic agents
 Azathioprine
 Cyclosporin – topical 1% in artificial tears.
 Immunoregulatory agent
 Tacrolimus
 Rapamycin
 Mycophenolate mofetil
CORNEAL GRAFT INFECTION
 Predisposing factor
 Suture related problem
 Persistent epithelial defect
 Recurrence of HSV keratitis
 Ocular surface disorder
 Graft failure
 Use of soft contact lens
 Lid abnormalities
 Donor tissue contamination
 Incomplete excision of infected tissue
CLINICAL FEATURES
 Peripheral keratitis, ulceration in suture related
 Central or paracentral keratitis, ulceration in epithelial
defect
 Stromal infiltrate, Ac inflammation
 Inferior part is affected – tear film insufficiency/ exposure
keratitis
 Herpetic keratitis – dendritic keratitis / non healing epithelial
defect
 Infectious crystalline keratopathy
INFECTIOUS CRYSTALLINE KERATOPATHY
• Noninflammatory, intrastromal bacterial colonization of a
corneal graft
• α-hemolytic streptococci of the viridans
• Bacteria are thought to gain access to the corneal stroma via
epithelial ingrowth into a suture track or by direct access
through an epithelial defect.
• A pauci-inflammatory response is characteristic, and corneal
thinning and necrosis are not seen
 Corneal scraping –gram staining & KOH
 Blood agar chocolate agar and sabauraud’s agar
 Confocal microscopy
CAUSATIVE ORGANISM
INVESTIGATION
 Gram positive- Coagulase negative staph aureus
 Aspergillus
 Strep pneumoniae, viridians
 Pseudomonas aeruginosa- gram negative
MANAGEMENT
 Intensive topical fortified antibiotics(cefazolin,
ceftazidime, vancomycin, gentamycin)
 Acylovir 3% for herpetic infection
POST PK GLAUCOMA
 Elevated pressure >21 mg after keratoplasty with or
without visual field loss/ optic nerve head damage
 Risk factors:
 Preexisting glaucoma
 Adherent leucoma
 ICE syndrome
 Aphakic / pseudophakic bullous keratopathy
 Ac inflammation
 Perforated corneal ulcer
 Early onset:
 Preexisting glaucoma
 Inflammation
 Hyphema
 Viscoelastic induced
 Wound leak and angle closure
 Pupillary block d/t air bubble
 Intermediate onset
 Inflammation
 Vitreous in AC
 Graft rejection
 Steroid induced
 Ghost cells
 Late onset
 PAOG
 Epithelial ingrowth
 Steroid induced
 Rejection/inflammation sequelae
 Pupillary block
 Malignant glaucoma
 Synechial closure
INVESTIGATION
 If corneal surface is intact- goldmann applanation
tonometer
 If corneal surface is irregular- pneumatic applanation
tonometer, tonopen, dynamic contour tonometer
 Gonioscopy
 Anterior segment OCT- when anterior segment not visible.
 Posterior segment evaluation
MANAGEMENT
 Medical
 Timolol 0.5%, betaxolol 0.5%
 Brimonidine 0.1%
 Lantanaprost, bimatoprost, travoprost
 Acetazolamide, methazolamide
 Topical use of dorzolamide and brinzolamide not
recommended as they block CA enzyme in corneal
endothelium – graft decompensation
 Surgical
 Laser trabeculoplasty argon, NdYag
 Glaucoma drainage devices
 Cyclodestructive procedure- cryotherpathy
cyclophotocoagulation
 Trabeculectomy
POST PK ASTIGMATISM
 Most common complication in successful graft
 4 to 5D
 Risk factor
 Preoperative astigmatism
 Vascularized severe corneoiridic scar
 Peripheral thinning, keratoconus, scleral ectasia
 Pellucid marginal degeneration,
 Aphakic bullous keratopathy
 Trephination technique
 Anterior trephination- ballooning –large tissue- ovalization
 Trephination tilt
 Graft size, placement, host graft apposition
 Small graft- higher astigmatism
 Large graft- lesser astigmatism
 Eccentric placement
 Disparity in shape of donor and recipient cornea
 Disparity in tissue thickness at graft host junction
 Suture related
 Suture technique, placement, depth, length, timing of suture
removal
 Interrupted suture or combined suture is associated
irregular astigmatism than continuous suture
 Proper placement of cardinal suture to avoid unequal tissue
distribution
 Tight or loose suture or breakage or chesse wiring
 Infectious abscesses and immune infiltrate
 Toxic suture infiltrate
 Kaye dots
 Vascularization
 Increased IOP in early post op period
 Impaired wound healing
 Epithelial irregularities
Suture related Immune
infiltrate
Infectious suture infiltrate
multiple solitary
Occurs on host side Occur on graft or host side
No epithelial defect Epithelial defect
KAYE DOTS
 Discrete white dots in the donor corneal epithelium in a 1–
2-mm region central to the graft sutures.
 Not associated with erosions or fluorescein staining,
rejection or infection, not altered or caused by drug
therapy,
 onset is at 6.5 weeks postoperatively
 Histologically, the dots correspond to epithelial cells in
various stages of degeneration.
 After suture removal, the dots typically shift centrally and
gradually disappear over a period of 30 days
MANAGEMENT
 Low astigmatism- glasses, RGP contact lens
 High astigmatism-
 Wound recession keratotomy
 incision
 Suture enhancement
 Wedge resection
 Laser ablation
 Surface ablation
 regraft
THANK YOU!!

Keratoplasty

  • 1.
    KERATOPLASTY PRESENTER: SIVARAMAN.G DISCUSSANT :Dr.SHANTHA CHAIRMAN: Dr. SRINIVAS PRASAD
  • 2.
     DEFINITION  TYPES PREOP EVALUATION  PROCEDURE  INDICATIONS, ADVANTAGE, DISADVANTAGE  COMPLICATIONS  CORNEAL GRAFT REJECTION AND FAILURE  MANAGEMENT OF COMPLICATIONS
  • 3.
    DEFINITION  Keratoplasty refersto replacement of diseased host corneal tissue by healthy donor cornea.  Full thickness (Penetrating keratoplasty)  Partial thickness (Anterior and Posterior Lamellar keratoplasty
  • 4.
    GENERAL INDICATIONS  Optical To restore vision by obtaining clear visual axis  Tectonic  To restore corneal integrity and tectonic support in severe structural changes  Therapautic  To remove the infected corneal tissue who are unresponsive to antimicrobial therapy  Cosmetic  Rare  To improve appearance of eye with whitish corneal scar
  • 5.
  • 6.
     PENETRATING KERTOPLASTY LAMELLAR KERATOPLASTY ANTERIOR Anterior Lamellar Keratoplaty(ALK) Deep Anterior Lamellar Keratoplasty(DALK POSTERIOR Deep Lamellar endothelial keratoplaty(DLEK) Descement Stripping Endothelial Keratoplasty(DSEK) Descement stripping Automated Endothelial Keratoplasty(DSAEK) Deep Membrance Endothelial Keratoplasty(DMEK)
  • 7.
    PREOP EVALUATION  Generalsystemic evaluation – HTN, DM , cardiac disease  Patient socioeconomic status and compliance for follow up  Ocular history of present & past illness and ocular surgeries
  • 8.
     Ocular examinationof eye and adnexa – slit lamp, details of corneal vascularization, tear film assessment, IOP, presence of cataract  If anterior segment details are not visible- Ant-seg OCT  Posterior segment evaluation – Bscan
  • 9.
    PREOPERATIVE PREPARATION  Antiinfectiveagent – reduce the risk of endophthalmitis, appropriate lid care  IOP control – good lid and extaocular akinesia, use of mannitol preoperatively  Pupil –not dilated, constricting the pupil with 2% pilocarpine intraoperatively maybe done to reduce lens damage during trephining of phakic eye
  • 10.
    PENETRATING KERATOPLASTY  Fullthickness Replacement of corneal tissue with healthy donor graft INDICATIONS(Optical & Therapeutic)  Pseudo/aphakic corneal decompensation  Stromal corneal dystrophy  Granular, lattice, macular, Schnyder central crystallin, central cloudy dystrophy
  • 11.
     Primary cornealendotheliopathies  Fuchs endothelial dystrophy, congenital hereditary endothelial dystrophy, posterior polymorphous dystrophy, ICE syndrome.  Corneal ectasia and thinning  Keratoconus. Keratoglobus  Congenital corneal opacity  Peters anomaly, sclero-cornea, congenital glaucoma
  • 12.
     Acquired cornealscars  Post viral keratitis, healed keratomalacia, post traumatic corneal scar  Non infectious ulcerative keratitis  Posterior Rheumatoid corneal melting  Exposure keratopathy  Immune corneal melt d/t systemic vasculitis, keratoconjunctivitis sicca, mooren’s ulcer
  • 13.
     Corneal degeneration Failed corneal graft  Non healing infectious keratitis,  Infectious keratitis with perforation,  Post chemical injury and melt
  • 14.
    CONTRAINDICATIONS  Epithelial dysfunction– limbal stem cell deficiency  Stromal vascularization – more than 2 quadrants  Multiple graft failures
  • 15.
    ADVANTAGE  Full thicknesstransplant  No interface related visual problem  Ability to treat all layers  Anterior segment reconstruction in single procedure
  • 16.
    DISADVANTAGE  Corneal surfacedisease or neurotrophic cornea leads to prolonged healing or persistent epithelial defect.  Irregular or significant regular astigmatism  Difficulty in determining anterior corneal curvature
  • 17.
    S/P OKP 2NDPOD FOR RE CENTRAL CORNEAL OPACITY
  • 18.
    S/P OKP POD2MONTHS IN 6 YR CHILD
  • 19.
  • 20.
    S/P TKP FORFUNGAL CORNEAL ULCER
  • 21.
  • 22.
  • 23.
  • 24.
     Intraoperative complication Scleral perforation d/t bridle suture or sclear fixation ring Trephination problem  Small size trephine of donor cornea leads to improper water tight closure  Flat cornea  Hyperopia  Angle compression leading to raised IOP.  Eccentric trephination leads to increased astigmatism and rejection  Improper trephination leads to endothelial damage d/t repunching
  • 25.
     Iridolenticular damage– avoided by globe hypotony, Ac maintained with viscoelastics, miotics  Endothelial damage d/t improper trephination, improper tissue handling, iris,lens,IOL touch during surgery.  Intra ocular haemorrage bleeding into AC d/t corneoiridic scar in post infection, post traumatic case, Iol explantation in case of PBK, iridodialysis or synechiolysis at the the angle  Vitreous loss in case of combined cataract extraction and keratoplasty
  • 26.
     Postoperative complication Immediate  Wound leak leads to shallow AC with low IOP.  Persistent epithelial defect and filamentary keratitis  Postoperative inflammation  Suture related infiltrates suture induced vascularization  Raised IOP  Pupillary block  Anterior synechiae formation  Choroidal detachment /haemorrhage
  • 28.
     Late postoperativecomplications  Post PK astigmatism  Graft infection  Graft rejection  Post PK glaucoma  Retrocorneal membrane formation  Late wound dehiscence
  • 29.
    DEEP ANTERIOR LAMELLARKERATOPLASTY  DALK – corneal tissue is removed almost to level of Descemet membrane and replaced with donor corneal tissue.
  • 30.
    INDICATIONS  Degenerative –keratoconus, pellucid marginal. Terriens , spheroidal salzman nodular, band shaped keratopathy  Dystrophies( epithelial and stromal)  Corneal thinning  Corneal stromal melts  Infective keratitis upto anterior stromal layer  Corneal ectasia secondary to lasik
  • 31.
    CONTRAINDICATIONS  Absolute:  Endothelialdysfunction – posterior dystrophies, corneal edema(pseudophakic and aphakic), ICE syndrome  Relative:  Epithelial dysfunction- limbal stem cell deficiency, chronic surface disease  The big-bubble technique is contraindicated if there is  a pre-existing break in the Descemet’s membrane (post hydrops) or  there are deep scars (however small) involving the Descemet’s membrane
  • 32.
    ADVANTAGE  Non penetratingsurgery –less risk of Intraocular complications  Selective removal of pathology  More rapid visual rehabilitation  Early removal of suture, Less need of suture and wound induced astigmatism  Minimal requirement of donor tissue  Reduced incidence of graft rejection retains normal recipient endothelial layer  Preservation of globe integrity
  • 33.
    DISADVANTAGE  Irregular orsignificant regular astigimatism  Irregular interface  Ocular surface disease leads to persistent epithelial defect  Stromal opacification  Interface debris  DALK is technically demanding and time consuming.
  • 34.
    S/P DALK FORKERATOCONUS IN 7YR CHILD
  • 35.
    S/P DALK 1WEEK POSTOP
  • 36.
    COMPLICATION  Intraoperative  Irregularlamellar bed  Perforation of posterior stroma/DM  Graft host malposition/edge irregularities  Interface debris
  • 37.
     Post operativecomplication  Pseudoanterior chambers  Persistent epithelial defect  Infection – suture related , inferface infection. postkeratoplasty atopic sclerokeratitis lid adnexal abnormalities poor ocular surface  Recurrence of HSV, corneal dystrophy  Graft rejection less common  Graft vascularization of lamellar bed in SJS, trachoma, chemical burns
  • 40.
    POSTERIOR LAMELLAR/ ENDOTHELIAL KERATOPLASTY(DLEK/DSEK/DSAEK) Replacement of diseased posterior corneal layers & endothelium with donor corneal tissue while the host anterior corneal stroma is retained
  • 41.
    INDICATIONS:  Fuch’s endothelialdystrophy  Pseudophakic/aphakic bullous keratopathy  Failed graft  Iridocorneal endothelial syndrome  Argon laser iridotomy induced bullous keratopathy  Congenital hereditary endothelial dystrophy  Posteriod polymorphous corneal dystrophy
  • 42.
    CONTRAINDICATIONS  Corneal ectasia Stromal dystrophies  Stromal scarring or opacification – infection, interstitial keratitis  Anterior corneal dystrophies
  • 43.
    ADVANTAGE  Rapid visionrehabilitation  Preservation of ocular surface  Less incidence of astigmatism  Stronger wound  Reduced graft rejection  Smaller incision with preservation of globe integrity
  • 44.
    DISADVANTAGE  Significant stromalhaze, subepithelial fibrosis requiring second procedure  Increased incidence of primary graft failure during surgical learning curve  Post operative donor dislocation  Pupillary block d/t air bubble
  • 45.
  • 46.
  • 47.
     Intraoperative complications Poor microkeratome dissection of donor tissue in DSEK  Inability to strip host DM & endothelium in DMEK Retained DM.  Excessive manipulation of donor tissue leading to cell loss and possible primary graft failure  Tearing of donor tissue  Interface debris or blood  Choroidal hemorrhage (lower than PK)  Inversion of donor lenticule
  • 48.
     Postoperative complication Pupillary block glaucoma (Urrets-Zavalia syndrome)  Dislocation/discontinuation of lenticle  Primary graft failure  Epithelial ingrowth  Interface opacification, Infection at interface  Graft rejection (lower than PK)  Reduced endothelial count  CME
  • 53.
    DSEK DSAEK Manual dissection-Increased donar tissue perforation Automated dissection – less risk of perforation Do not yield smooth anterior surface of donor posterior lamella Yields good post donor lamella of superior optical quality More time consuming and visual recovery is slow Less time consuming and visual recovery is rapid Adhesion is better because of greater thickness& irregular anterior surface Adhesion is not easy because of thin and smooth anterior surface Donor lenticule dislocation is less more
  • 54.
    CORNEAL GRAFT FAILURE Corneal graft is considered failed  if it fails to retain optical clarity,  if there is no impact on therapeutic attempts,  if there is severe astigmatism that could not be optically corrected -resulting in regraft
  • 55.
    CAUSES OF GRAFTFAILURE  Allograft rejection 29.2%  Post pk glaucoma 16.9%  Infection excluding endophthalmitis 15.4%  Surface problem 12.7%  Primary graft failure 6.6%  Endothelial decompensation 3.8%  Endophthalmitis 2.7%  Recurrence of host disease 2.0%  Severe astigmatism 0.6%
  • 56.
    GRAFT FAILURE (2TO 45%)  It should be differentiated from graft rejection  Significant edema of donor tissue in Non-inflamed eye present in 1st postoperative day and does not resolve by 2-4 weeks d/t usually not followed by period of clear cornea
  • 57.
     Prolonged deathor prolonged preservation > 7days  Poor endothelial function  Elderly donor > 70 years  Iatrogenic damage to donor tissue during PKP  Defective preservation media or Intraocular fluids RISK FACTORS
  • 58.
    MECHANISM  Hyposecretion ofaqueous after PK result in corneal edema d/t decreased supply of metabolites to endothelium  Increased positive pressure increases the chance of contact between endothelium and other intraocular structure– so preoperative hypotony with digital massage or IV mannitol is mandatory.
  • 59.
     Primary andsecondary failure  Primary  Eye with well apposed grafts after surgery but with persistent corneal edema  d/t inadequate endothelial function, traumatic pre or intra operative technique  To prevent PGF, donor cornea should have atleast 200 cells/mm2 for better chance of graft survivial
  • 60.
     Secondary graftfailure  Donor endothelial tissue is detached from recipient stromal cornea preventing the cornea from clearing  Causes- residual fluid or viscoelastic in the interface or retained DM and graft rejection  Management –unresponsive to hypertonic saline or steriods.  1.Observation for atleast 3 weeks prior to regraft  2. Regraft
  • 62.
    GRAFT REJECTION  Specificimmunologically mediated that may be irreversible/reversible in which corneal graft is clear for at least 2 weeks, suddenly succumbs to graft edema in conjunction with anterior segment inflammation sign
  • 63.
    CHARACTERISTICS  Immune mediatedresulting in decompensation of transplanted cornea  3 or more weeks  Inflammatory process limited to graft  Starts at graft margin nearest to proximal blood vessels  Movement of inflammatory reaction towards centre to involve the entire graft  Increase in corneal thickness( edema) in previously clear compact graft
  • 64.
    PATHOLOGY  Cell mediatedby CD4+ and CD8+ cells  Delayed Hypersensitivity reaction  Inflammation induce vessels, lymphatics growth into cornea and attracts APC into central cornea  MHC antigen expression on corneal cells are upregulated  Recognition of foreign Histocompatiblity antigens leads to immune cascade afferent immune response
  • 65.
    Donar antigen processedby host APC (afferent rejection cascade) Presented to host immune sytem in conjunction with HLA II & IL 1 Host mounts immune response against foreign antigen (efferent rejection cascade) Activated Thcells release IL2, IFN macrophages Lymphokines cytokines migration inhibition factor
  • 66.
     Anterior chamberassociated immune deviation  Corneal lymph angiogenesis and ham- angiogenesis  Lymphocytotoxic antibodies directed against HLA 1  Donor derived Langerhans cells also mediate rejection
  • 67.
    CLASSIFICATION  Epithelial rejection Chronic stromal rejection  Hyperacute stromal rejection  Chronic focal rejection/endothelial rejection
  • 68.
    EPITHELIAL REJECTION (10– 14%)  Quiet, asymptomatic subsides in 6to 10 days  Linear pattern from graft host junction at the site of vascularization with gradual progression towards center  Elevated undulating line with positive FS and rose Bengal stain  A/w persistent epithelial defect or epithelial ring presentation
  • 69.
    Epithelial downgrowth- Scalloped leadingedge advancing from periphery towards central cornea DD from endothelial rejection line
  • 70.
    CHRONIC STROMAL REJECTION(2.4 – 15%)  Low grade rejection- risk of development of other severe Rejection  Subepithelial infiltrate - Krachmer spots for 6 weeks to 21 months  0.2 to 1 mm in diameter either in or immediately below bowman’s layer
  • 73.
    HYPERACUTE STROMAL REJECTION Occurs simultaneously with / immediately following endothelial rejection  Sudden onset of peripheral full thickness stromal haze in previously clear graft adjacent to area of vascularization with rapid progression to center in 24 to 48 hrs  An abscess like picture without hypopyon in early stage  Ciliary congestion a/w epithelial defect
  • 74.
    CHARACTERISTICS  Migrates awayfrom vascularized part of graft  Growth of vessels into stroma  Mimics corneal abscess in heavily vascularized cornea  Haze may invade adjacent host cornea proximity to vascularization  Complicated by persistent epithelial defect leading to stromal necrosis, descemetocele and perforation
  • 77.
    CHRONIC FOCAL REJECTION/ ENDOTHELIALREJECTION (2 – 40%)  Most common, severe form which leads to graft failure d/t significant loss of endothelial cells  Onset within month
  • 78.
    RISK FACTORS  Directcorrelation with degree of vascularization  Young individual with active immune system  Large size /eccentric graft  No of quadrants of anterior synechiae  Preoperative glaucoma  Previous corneal transplant
  • 79.
     Reversible –responds to corticosteroids, reduction in edema , restoration of clarity, resolution of inflammation  Irreversible- endothelial decompensation – graft failure
  • 80.
    SIGNS AND SYMPTOMS Redness, photophobia, irritation, halos around of light and dimension of vision  Conjuctival hyperemia, Ac reaction  KPs – Diffuse scattered/ lined up in a chain like fashion forming pathognomonic endothelial rejection line of khodadoust.  Graft edema, Stromal edema & DM folds
  • 83.
    MANAGEMENT  Prevention  Treatment Earlydetection and aggressive therapy
  • 84.
    PREVENTION  Preoperative measuresto minimize antigenic difference by steroids prophylaxis  Intraoperative – meticulous surgical technique, avoiding decentration of recipient bed trephination, optimal suturing, good graft host apposition  Followup, timely suture management- decreases suture related vascularization and rejection
  • 85.
    TREATMENT  Corticosteroids –prednisolone acetate / prednisolone sodium phosphate 1%  Preoperatively- 4times/ 1 week  Post operatively- hrly 3days, 2hrsly 15 days, 4 times for 3 months then tapered 1drop for every 2 months For acute rejection hourly steroids Systemic steroid either by oral (60 to 80 mg) or intravenous route (500mg in 150ml of IV fluid)
  • 86.
     Cytotoxic agents Azathioprine  Cyclosporin – topical 1% in artificial tears.  Immunoregulatory agent  Tacrolimus  Rapamycin  Mycophenolate mofetil
  • 87.
    CORNEAL GRAFT INFECTION Predisposing factor  Suture related problem  Persistent epithelial defect  Recurrence of HSV keratitis  Ocular surface disorder
  • 88.
     Graft failure Use of soft contact lens  Lid abnormalities  Donor tissue contamination  Incomplete excision of infected tissue
  • 89.
    CLINICAL FEATURES  Peripheralkeratitis, ulceration in suture related  Central or paracentral keratitis, ulceration in epithelial defect  Stromal infiltrate, Ac inflammation  Inferior part is affected – tear film insufficiency/ exposure keratitis  Herpetic keratitis – dendritic keratitis / non healing epithelial defect  Infectious crystalline keratopathy
  • 91.
    INFECTIOUS CRYSTALLINE KERATOPATHY •Noninflammatory, intrastromal bacterial colonization of a corneal graft • α-hemolytic streptococci of the viridans • Bacteria are thought to gain access to the corneal stroma via epithelial ingrowth into a suture track or by direct access through an epithelial defect. • A pauci-inflammatory response is characteristic, and corneal thinning and necrosis are not seen
  • 93.
     Corneal scraping–gram staining & KOH  Blood agar chocolate agar and sabauraud’s agar  Confocal microscopy CAUSATIVE ORGANISM INVESTIGATION  Gram positive- Coagulase negative staph aureus  Aspergillus  Strep pneumoniae, viridians  Pseudomonas aeruginosa- gram negative
  • 94.
    MANAGEMENT  Intensive topicalfortified antibiotics(cefazolin, ceftazidime, vancomycin, gentamycin)  Acylovir 3% for herpetic infection
  • 95.
    POST PK GLAUCOMA Elevated pressure >21 mg after keratoplasty with or without visual field loss/ optic nerve head damage  Risk factors:  Preexisting glaucoma  Adherent leucoma  ICE syndrome  Aphakic / pseudophakic bullous keratopathy  Ac inflammation  Perforated corneal ulcer
  • 96.
     Early onset: Preexisting glaucoma  Inflammation  Hyphema  Viscoelastic induced  Wound leak and angle closure  Pupillary block d/t air bubble
  • 97.
     Intermediate onset Inflammation  Vitreous in AC  Graft rejection  Steroid induced  Ghost cells
  • 98.
     Late onset PAOG  Epithelial ingrowth  Steroid induced  Rejection/inflammation sequelae  Pupillary block  Malignant glaucoma  Synechial closure
  • 99.
    INVESTIGATION  If cornealsurface is intact- goldmann applanation tonometer  If corneal surface is irregular- pneumatic applanation tonometer, tonopen, dynamic contour tonometer  Gonioscopy  Anterior segment OCT- when anterior segment not visible.  Posterior segment evaluation
  • 100.
    MANAGEMENT  Medical  Timolol0.5%, betaxolol 0.5%  Brimonidine 0.1%  Lantanaprost, bimatoprost, travoprost  Acetazolamide, methazolamide  Topical use of dorzolamide and brinzolamide not recommended as they block CA enzyme in corneal endothelium – graft decompensation
  • 101.
     Surgical  Lasertrabeculoplasty argon, NdYag  Glaucoma drainage devices  Cyclodestructive procedure- cryotherpathy cyclophotocoagulation  Trabeculectomy
  • 102.
    POST PK ASTIGMATISM Most common complication in successful graft  4 to 5D  Risk factor  Preoperative astigmatism  Vascularized severe corneoiridic scar  Peripheral thinning, keratoconus, scleral ectasia  Pellucid marginal degeneration,  Aphakic bullous keratopathy
  • 103.
     Trephination technique Anterior trephination- ballooning –large tissue- ovalization  Trephination tilt  Graft size, placement, host graft apposition  Small graft- higher astigmatism  Large graft- lesser astigmatism  Eccentric placement  Disparity in shape of donor and recipient cornea  Disparity in tissue thickness at graft host junction
  • 104.
     Suture related Suture technique, placement, depth, length, timing of suture removal  Interrupted suture or combined suture is associated irregular astigmatism than continuous suture  Proper placement of cardinal suture to avoid unequal tissue distribution  Tight or loose suture or breakage or chesse wiring  Infectious abscesses and immune infiltrate  Toxic suture infiltrate  Kaye dots  Vascularization
  • 105.
     Increased IOPin early post op period  Impaired wound healing  Epithelial irregularities
  • 106.
    Suture related Immune infiltrate Infectioussuture infiltrate multiple solitary Occurs on host side Occur on graft or host side No epithelial defect Epithelial defect
  • 107.
    KAYE DOTS  Discretewhite dots in the donor corneal epithelium in a 1– 2-mm region central to the graft sutures.  Not associated with erosions or fluorescein staining, rejection or infection, not altered or caused by drug therapy,  onset is at 6.5 weeks postoperatively  Histologically, the dots correspond to epithelial cells in various stages of degeneration.  After suture removal, the dots typically shift centrally and gradually disappear over a period of 30 days
  • 110.
    MANAGEMENT  Low astigmatism-glasses, RGP contact lens  High astigmatism-  Wound recession keratotomy  incision  Suture enhancement  Wedge resection  Laser ablation  Surface ablation  regraft
  • 111.