BY Dr Nebyu Samuel
Radiologist
Introduction to Medical Imaging
Radiology
• Diagnostic Imaging
• Interventional Radiology
List of diagnostic imaging studies
 Plain x-rays
 Mammography
 Angiography
 Fluoroscopy
 CT scan
 Nuclear imaging/PET
 MRI
 Ultrasound
 Which of these modalities use
ionizing radiation?
Electromagnetic Spectrum(Radiation)
Diagnostic Imaging
• Electromagnetic Radiation
– Radiography & Computed Tomography (CT)
– Magnetic Resonance Imaging (MRI)
– Nuclear Scintigraphy
(Nuclear Medicine)
• Sound Waves (exception)
– Ultrasound
Types of Radiation
Electromagnetic Radiation (photons)
 Radio frequency – from coils used in MRI
 X-Rays - from xray tube
 Gamma rays - from nuclear decay
Xray
• Plain Radiography
– X RAY PRODUCTION
– inherent contrast
– film
– digital
• Contrast Radiography
– barium
– iodine
• Fluoroscopy
• CT (Computed Tomography)
 X-rays pass through patient to a
receptor (film, digital, fluorescent
screen, etc)
ELECTRONS
XRAYS
January 1896 - First x-ray made in
public
Routine x-ray current technology
Wilhelm Conrad Roentgen
1845-1923
 A diagnostic image is composed of
differences in contrast between tissues!
INHERENT CONTRAST
• Tissue Thickness &
• Tissue Type
Tissue thickness affects x-rays attenuation.
WHITE GRAY BLACK
Tissue Thickness
LESS GET THROUGH>>MORE GET THROUGH
The tissue type affects the attenuation of the x-rays
BLACK GRAY WHITE
Tissue type
MORE GET THROUGH >> LESS GET THROUGH
• Radiographs are summation of shadows created by differences in contrast
between tissues.
• Tissue thickness and tissue composition affect the attenuation and
therefore, the shade(s) of gray in the final shadow image.
Xray
• Plain Radiography
– X ray production
– INHERENT CONTRAST
– film
– digital / PACS
• Contrast Radiography
– barium
– iodine
• Fluoroscopy
• CT (Computed Tomography)
INHERENT CONTRAST
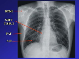
5 Basic Radiographic Densities
• Tissue
–
–
–
–
–
Air
Fat
Soft Tissues
Bone, Calcium
Metal
• Appearance on XRAY
–
–
–
–
–
Black
Dark Gray
Gray
White
Really White
5 Basic Radiographic Densities
 Air
 Fat
 Soft tissue/fluid
 Mineral
 Metal
1.
2.
3.
4.
5.
Name these radiographic densities.
TISSUE
BONE
SOFT
FAT
AIR
METAL
Xray
• Plain Radiography
– X ray production
– inherent contrast
– FILM
– digital / PACS
• Contrast Radiography
– barium
– iodine
• Fluoroscopy
• CT (Computed Tomography)
Film Radiography
FILM CASSETTE
Film Radiography
PHOTONS PRODUCED BY
XRAYS HITTING A SCREEN
IN FRONT OF THE FILM
INSIDE OF A CASSETTE
Xray
• Plain Radiography
– X ray production
– inherent contrast
– film Radiography
– DIGITAL Radiography
• Contrast Radiography
– barium
– iodine
• Fluoroscopy
• CT (Computed Tomography)
‘Digital’ Radiography
• Two types
– Computed radiography, called CR
• Film cassette is replaced with a charged metal plate
• After exposure, plate is ‘read’ in a special device
– Digital radiography, called DR
• Film cassette is replaced by a charged sensor (like in a
digital camera or video camera)
Computed Radiography (CR)
HERE ARE
THE PLATES
Film --> Computer Viewing
20TH CENTURY 21ST CENTURY
Contrast Agent
• Anything that enhances the differences between tissues
of similar densities
• For XRAY contrast agents :
– Barium
– Iodine
• Various ways they are introduced
–
–
–
–
Swallowed: barium swallow, upper GI
Per rectum: barium enema
In vein: Intravenous urogram
In artery: Arteriogram
PLAIN
RADIOGRAPH
OF THE CHEST
BARIUM
SWALLOW
PLAIN RADIOGRAPH
OF THE ABDOMEN
BARIUM ENEMA
Barium: upper GI
STOMACH
Iodine:
Intravenous urogram
Intravenous pyelogram
(IVU or IVP)
KIDNEYS
URETERS
BLADDER
Iodine:
Arteriogram through
a catheter (tube)
in the leg
RENAL ARTERY
AORTA
ILIAC ARTERY
Xray
• Plain Radiography
– X ray production
– inherent contrast
– film
– digital / PACS
• Contrast Radiography
– barium
– iodine
• FLUOROSCOPY
• CT (Computed Tomography)
Fluoroscopy relies on
image intensifiers to make
moving (real time) X-ray pictures
XRAYS IN LIGHT OUT
Diagram of
fluoroscopic unit
Photograph of a
fluoroscopic unit
Xray
• Plain Radiography
– X ray production
– inherent contrast
– film
– digital / PACS
• Contrast Radiography
– barium
– iodine
• Fluoroscopy
• CT (COMPUTED TOMOGRAPHY)
Computed Tomography (CT)
• Uses X-RAYS
• Tube & Detector spins together around the patient Computer performs
calculations to estimate density of tissues in each square of a ‘slice’
Computed Tomography (CT)
Brain Image 1974, Matrix 80 x 80
Computed Tomography (CT)
What is displayed in CT images?
 CT value; in honor of inventor of CT
(Hounsfeild unit)(HU) - CT numbers.
 Each pixel has a
number representing
the x -ray attenuation
in the corresponding
voxel
Cont…
 Water and water equivalent tissue (0HU)
 Air corresponds (-1000HU).
 Tissues denser than water are given positive CT
numbers.
 The Hounsfield scale has no upper limit.but; for
medical application (-1024HU to +3071HU)
Hounsfield Scale
Windowing
 4096 gray levels cannot be differentiated in
single view.
 Human eye can only distinguish max. of 60-80
gray levels.
CT value of interest - window!
 Values above the chosen window - white
 Values below the window - black
Cont…
Cont…
For display of very small attenuation
differences as given in;
e.g. Brain - Narrow Window is chosen.
For large differences as presented by the
lung or skeleton - Wide Window.
Windowing cont…
Windowing cont…
Contrast for CT
• Iodine injected into an arm vein
• Iodine or Barium diluted in water given orally
for abdomen scans
• There are some risks
– Allergic reaction
– Kidney damage
• Enhances the blood vessels and organs
CONTRAST
IODINE
Contrast
agents
The three orthogonal
views
 In principle slice image can
be generated in arbitrary
orientation.
 However; for CT mostly a
transverse (x/y plane) is
scanned directly
 Z-axis - perpendicular scan
plane
 Sagittal body sections (left /
right) & coronal sections
(ant /post).
Things we can do with CT
image processing
• CT Angiography
Scan rapidly during Iodine injection in vein
• Colonography
Scan colon after filling with air
• Bronchoscopy
Scan chest air is already in bronchi
• 3D Images
Computer reconstruction
CT Angiograms
CT Colonography
CT Bronchoscopy
Human Responses to Ionizing
Radiation
Human Radiation Response
 effect of x-rays is the result of interactions at the
atomic level
 atomic interactions take the form of ionization
or excitation of orbital electrons and result in
the deposition of energy in tissue
Cont…
Cont…
 The abnormal molecule in time
- function improperly
- cease to function or death of cell
 At each stage in the sequence, it is possible to
repair radiation damage and recover.
Cont…
 radiation response occurs within minutes or
days after exposure, it is classified as an early
effect of radiation.
 On the other hand, if the human injury is not
observed for months or years, it is called a late
effect of radiation.
Cont…
 Most human responses have been observed to
occur after exposure to rather large radiation
doses.
However, we are cautious and assume that
even small doses are harmful.
• Radio-sensitivity varies with age.
Experiments with animals have shown that the very young and the very old
are more sensitive to radiation.
EARLY EFFECTS OF RADIATION ON
HUMANS
1. Acute radiation syndrome
a.Hematologic syndrome
b.Gastrointestinal syndrome
c.Central nervous system syndrome
2. Local tissue damage
d.Skin
e.Gonads
3. Hematologic depression
LATE EFFECTS OF RADIATION
ON HUMANS
1. Leukemia
2. Other malignant disease
a.Bone cancer
b.Lung cancer
c.Thyroid cancer
d.Breast cancer
3. Local tissue damage
e.Skin
f. Gonads
g.Eyes
4. Shortening of life
span
5. Genetic mutation
Effects of Fetal Irradiation
1.Prenatal death
2.Neonatal death
3.Congenital malformation
4.Childhood malignancy
5.Diminished growth and
development
 The Commandments of Radiation Protection
1. Understand and apply the cardinal principles of
radiation control: time, distance, and shielding.
2. Do not allow familiarity to result in false security.
3. Never stand in the primary beam.
4. Always wear protective apparel when not behind a
protective barrier.
5. Always wear an occupational radiation monitor and
position it outside the protective apron at the collar.
6. Never hold a patient during radiographic examination.
Use mechanical restraining devices when possible.
Otherwise, have parents or friends hold the patient.
Cont…
7. The person who is holding the patient must always
wear a protective apron and, if possible, protective
gloves.
8. Use gonadal shields on all people of childbearing
age when such use will not interfere with the
examination.
9. Examination of the pelvis and lower abdomen of a
pregnant patient should be avoided whenever
possible especially during the first trimester.
10. Always collimate to the smallest field size
appropriate for the examination
• Comparisons of Effective Dose
Magnetic Resonance Imaging
(MRI)
Magnetic Resonance Imaging
• Starts with a really strong magnet
– Supercooled with Liquid Helium / Nitrogen
• Transmit radio wave pulses into patient
• Listen for return radio waves caused by
interaction with protons (water) in the
patient’s body
• Process the frequency and phase of the
returned signals by computer
Magnetic Resonance Imaging
 Starts with a really strong magnet
– Supercooled with Liquid Helium / Nitrogen
 Transmit radio wave pulses into patient
 Listen for return radio waves caused by interaction
with protons (water) in the patient’s body
 Process the frequency and phase of the returned
signals
 Coils
Sagital C-spine MRI
Brain MRI
MRI Contrast
 Gadolinium solution injected into vein
 Gadolinium alters the interaction of radio
waves with the protons in water so that it
gives MORE signal
 Shows up as white on images
Magnetic Resonance Angiography
 May be done after injecting contrast (Gadolinium) or
without(TOF)
 Flowing blood changes the way that radio waves
interact with the water in blood
– May give more signal (IN TOF)
– May give less signal (AS FLOW VOID)
TOF
 Ultrasound
Ultrasound
• Uses high frequency sound
– 2-15 MHz typically used
• The sound is produced and detected
with the same device: TRANSDUCER
• Transducer
– Speaker: sound into patient
– Microphone: sound coming back from
patient
Ultrasound uses sound
waves.
Audible 20Hz and 20
000Hz.
Infra sound < 20Hz
Ultrasound > 20 000Hz
Cont…
 The frequency affects the
image QUALITY
 The HIGHER the
frequency, the BETTER
the resolution
 The LOWER the frequency,
the LESS the resolution but
good penetration
Reflected Echo’s
Strong Reflections = ‘Echogenic’ - White
(Diaphragm, tendons, bone)
Reflected Echo’s
Weaker Reflections = Grey
Most solid organs,
thick fluid – ‘isoechoic’
Homogeneous
Reflected Echo’s
No Reflections = Black
(Fluid within a cyst, urine, blood)
‘Anechoic’ or echo-free
• Color Flow Imaging
• The direction of
blood flow is
indicated by the
display color
• Flow is from left to right on the image,
• It is directed toward the transducer on the left-
hand side of the image and away from the
transducer on the right-hand side.
Angiography And
Interventional Radiology
Interventional Radiology
• Needles for biopsy or fluid removal
• Catheters to make angiograms
• Catheters with balloons to open blood vessels
• Stents to hold blood vessels open
• Coils and material to block blood vessels
• Catheters to drain abscesses
• Tubes for feeding
Etc…
Angiogram of normal kidney
SPINE
THIS IS THE
CATHETER
COMING
UP FROM
THE LEG
ARTERY
11TH RIB
Angiogram of renal Cancer
THIS IS THE
MALIGNANT MASS
THIS IS THE
CANCER MASS
Angiogram of artery to mass
THIS IS THE
CATHETER
COMING
UP FROM
THE LEG
ARTERY
Angiogram after embolization
NO BLOOD
FLOW TO
THE MASS
NOW IT CAN
BE REMOVED
WITHOUT
EXCESSIVE
BLEEDING
Non Surgical Biopsy
Draining Abscess
Angioplasty Balloon
Vascular Stent
BEFORE
Angioplasty & Stent
AFTER
Thank you

Introduction to Medical Imaging-new gives a basic knowledge

  • 1.
    BY Dr NebyuSamuel Radiologist Introduction to Medical Imaging
  • 3.
    Radiology • Diagnostic Imaging •Interventional Radiology
  • 4.
    List of diagnosticimaging studies  Plain x-rays  Mammography  Angiography  Fluoroscopy  CT scan  Nuclear imaging/PET  MRI  Ultrasound  Which of these modalities use ionizing radiation?
  • 6.
  • 7.
    Diagnostic Imaging • ElectromagneticRadiation – Radiography & Computed Tomography (CT) – Magnetic Resonance Imaging (MRI) – Nuclear Scintigraphy (Nuclear Medicine) • Sound Waves (exception) – Ultrasound
  • 8.
    Types of Radiation ElectromagneticRadiation (photons)  Radio frequency – from coils used in MRI  X-Rays - from xray tube  Gamma rays - from nuclear decay
  • 9.
    Xray • Plain Radiography –X RAY PRODUCTION – inherent contrast – film – digital • Contrast Radiography – barium – iodine • Fluoroscopy • CT (Computed Tomography)
  • 11.
     X-rays passthrough patient to a receptor (film, digital, fluorescent screen, etc) ELECTRONS XRAYS
  • 12.
    January 1896 -First x-ray made in public Routine x-ray current technology Wilhelm Conrad Roentgen 1845-1923
  • 13.
     A diagnosticimage is composed of differences in contrast between tissues!
  • 14.
    INHERENT CONTRAST • TissueThickness & • Tissue Type
  • 15.
    Tissue thickness affectsx-rays attenuation. WHITE GRAY BLACK Tissue Thickness LESS GET THROUGH>>MORE GET THROUGH
  • 16.
    The tissue typeaffects the attenuation of the x-rays BLACK GRAY WHITE Tissue type MORE GET THROUGH >> LESS GET THROUGH
  • 17.
    • Radiographs aresummation of shadows created by differences in contrast between tissues. • Tissue thickness and tissue composition affect the attenuation and therefore, the shade(s) of gray in the final shadow image.
  • 18.
    Xray • Plain Radiography –X ray production – INHERENT CONTRAST – film – digital / PACS • Contrast Radiography – barium – iodine • Fluoroscopy • CT (Computed Tomography)
  • 19.
    INHERENT CONTRAST 5 BasicRadiographic Densities • Tissue – – – – – Air Fat Soft Tissues Bone, Calcium Metal • Appearance on XRAY – – – – – Black Dark Gray Gray White Really White
  • 20.
    5 Basic RadiographicDensities  Air  Fat  Soft tissue/fluid  Mineral  Metal 1. 2. 3. 4. 5. Name these radiographic densities.
  • 21.
  • 22.
  • 23.
    Xray • Plain Radiography –X ray production – inherent contrast – FILM – digital / PACS • Contrast Radiography – barium – iodine • Fluoroscopy • CT (Computed Tomography)
  • 24.
  • 25.
    Film Radiography PHOTONS PRODUCEDBY XRAYS HITTING A SCREEN IN FRONT OF THE FILM INSIDE OF A CASSETTE
  • 26.
    Xray • Plain Radiography –X ray production – inherent contrast – film Radiography – DIGITAL Radiography • Contrast Radiography – barium – iodine • Fluoroscopy • CT (Computed Tomography)
  • 27.
    ‘Digital’ Radiography • Twotypes – Computed radiography, called CR • Film cassette is replaced with a charged metal plate • After exposure, plate is ‘read’ in a special device – Digital radiography, called DR • Film cassette is replaced by a charged sensor (like in a digital camera or video camera)
  • 28.
  • 29.
    Film --> ComputerViewing 20TH CENTURY 21ST CENTURY
  • 30.
    Contrast Agent • Anythingthat enhances the differences between tissues of similar densities • For XRAY contrast agents : – Barium – Iodine • Various ways they are introduced – – – – Swallowed: barium swallow, upper GI Per rectum: barium enema In vein: Intravenous urogram In artery: Arteriogram
  • 31.
  • 32.
    PLAIN RADIOGRAPH OF THEABDOMEN BARIUM ENEMA
  • 33.
  • 34.
  • 35.
    Iodine: Arteriogram through a catheter(tube) in the leg RENAL ARTERY AORTA ILIAC ARTERY
  • 36.
    Xray • Plain Radiography –X ray production – inherent contrast – film – digital / PACS • Contrast Radiography – barium – iodine • FLUOROSCOPY • CT (Computed Tomography)
  • 37.
    Fluoroscopy relies on imageintensifiers to make moving (real time) X-ray pictures XRAYS IN LIGHT OUT
  • 38.
  • 39.
    Xray • Plain Radiography –X ray production – inherent contrast – film – digital / PACS • Contrast Radiography – barium – iodine • Fluoroscopy • CT (COMPUTED TOMOGRAPHY)
  • 40.
  • 41.
    • Uses X-RAYS •Tube & Detector spins together around the patient Computer performs calculations to estimate density of tissues in each square of a ‘slice’ Computed Tomography (CT) Brain Image 1974, Matrix 80 x 80
  • 42.
  • 43.
    What is displayedin CT images?  CT value; in honor of inventor of CT (Hounsfeild unit)(HU) - CT numbers.  Each pixel has a number representing the x -ray attenuation in the corresponding voxel
  • 44.
    Cont…  Water andwater equivalent tissue (0HU)  Air corresponds (-1000HU).  Tissues denser than water are given positive CT numbers.  The Hounsfield scale has no upper limit.but; for medical application (-1024HU to +3071HU)
  • 45.
  • 46.
    Windowing  4096 graylevels cannot be differentiated in single view.  Human eye can only distinguish max. of 60-80 gray levels. CT value of interest - window!  Values above the chosen window - white  Values below the window - black
  • 47.
  • 48.
    Cont… For display ofvery small attenuation differences as given in; e.g. Brain - Narrow Window is chosen. For large differences as presented by the lung or skeleton - Wide Window.
  • 51.
  • 52.
  • 53.
    Contrast for CT •Iodine injected into an arm vein • Iodine or Barium diluted in water given orally for abdomen scans • There are some risks – Allergic reaction – Kidney damage • Enhances the blood vessels and organs
  • 54.
  • 55.
  • 56.
    The three orthogonal views In principle slice image can be generated in arbitrary orientation.  However; for CT mostly a transverse (x/y plane) is scanned directly  Z-axis - perpendicular scan plane  Sagittal body sections (left / right) & coronal sections (ant /post).
  • 57.
    Things we cando with CT image processing • CT Angiography Scan rapidly during Iodine injection in vein • Colonography Scan colon after filling with air • Bronchoscopy Scan chest air is already in bronchi • 3D Images Computer reconstruction
  • 58.
  • 59.
  • 60.
  • 61.
    Human Responses toIonizing Radiation
  • 62.
    Human Radiation Response effect of x-rays is the result of interactions at the atomic level  atomic interactions take the form of ionization or excitation of orbital electrons and result in the deposition of energy in tissue
  • 63.
  • 64.
    Cont…  The abnormalmolecule in time - function improperly - cease to function or death of cell  At each stage in the sequence, it is possible to repair radiation damage and recover.
  • 65.
    Cont…  radiation responseoccurs within minutes or days after exposure, it is classified as an early effect of radiation.  On the other hand, if the human injury is not observed for months or years, it is called a late effect of radiation.
  • 66.
    Cont…  Most humanresponses have been observed to occur after exposure to rather large radiation doses. However, we are cautious and assume that even small doses are harmful.
  • 67.
    • Radio-sensitivity varieswith age. Experiments with animals have shown that the very young and the very old are more sensitive to radiation.
  • 68.
    EARLY EFFECTS OFRADIATION ON HUMANS 1. Acute radiation syndrome a.Hematologic syndrome b.Gastrointestinal syndrome c.Central nervous system syndrome 2. Local tissue damage d.Skin e.Gonads 3. Hematologic depression
  • 69.
    LATE EFFECTS OFRADIATION ON HUMANS 1. Leukemia 2. Other malignant disease a.Bone cancer b.Lung cancer c.Thyroid cancer d.Breast cancer 3. Local tissue damage e.Skin f. Gonads g.Eyes 4. Shortening of life span 5. Genetic mutation
  • 70.
    Effects of FetalIrradiation 1.Prenatal death 2.Neonatal death 3.Congenital malformation 4.Childhood malignancy 5.Diminished growth and development
  • 71.
     The Commandmentsof Radiation Protection 1. Understand and apply the cardinal principles of radiation control: time, distance, and shielding. 2. Do not allow familiarity to result in false security. 3. Never stand in the primary beam. 4. Always wear protective apparel when not behind a protective barrier. 5. Always wear an occupational radiation monitor and position it outside the protective apron at the collar. 6. Never hold a patient during radiographic examination. Use mechanical restraining devices when possible. Otherwise, have parents or friends hold the patient.
  • 72.
    Cont… 7. The personwho is holding the patient must always wear a protective apron and, if possible, protective gloves. 8. Use gonadal shields on all people of childbearing age when such use will not interfere with the examination. 9. Examination of the pelvis and lower abdomen of a pregnant patient should be avoided whenever possible especially during the first trimester. 10. Always collimate to the smallest field size appropriate for the examination
  • 73.
    • Comparisons ofEffective Dose
  • 74.
  • 75.
    Magnetic Resonance Imaging •Starts with a really strong magnet – Supercooled with Liquid Helium / Nitrogen • Transmit radio wave pulses into patient • Listen for return radio waves caused by interaction with protons (water) in the patient’s body • Process the frequency and phase of the returned signals by computer
  • 76.
    Magnetic Resonance Imaging Starts with a really strong magnet – Supercooled with Liquid Helium / Nitrogen  Transmit radio wave pulses into patient  Listen for return radio waves caused by interaction with protons (water) in the patient’s body  Process the frequency and phase of the returned signals
  • 77.
  • 78.
  • 79.
  • 80.
    MRI Contrast  Gadoliniumsolution injected into vein  Gadolinium alters the interaction of radio waves with the protons in water so that it gives MORE signal  Shows up as white on images
  • 82.
    Magnetic Resonance Angiography May be done after injecting contrast (Gadolinium) or without(TOF)  Flowing blood changes the way that radio waves interact with the water in blood – May give more signal (IN TOF) – May give less signal (AS FLOW VOID)
  • 83.
  • 84.
  • 85.
    Ultrasound • Uses highfrequency sound – 2-15 MHz typically used • The sound is produced and detected with the same device: TRANSDUCER • Transducer – Speaker: sound into patient – Microphone: sound coming back from patient Ultrasound uses sound waves. Audible 20Hz and 20 000Hz. Infra sound < 20Hz Ultrasound > 20 000Hz
  • 86.
    Cont…  The frequencyaffects the image QUALITY  The HIGHER the frequency, the BETTER the resolution  The LOWER the frequency, the LESS the resolution but good penetration
  • 87.
    Reflected Echo’s Strong Reflections= ‘Echogenic’ - White (Diaphragm, tendons, bone)
  • 88.
    Reflected Echo’s Weaker Reflections= Grey Most solid organs, thick fluid – ‘isoechoic’ Homogeneous
  • 89.
    Reflected Echo’s No Reflections= Black (Fluid within a cyst, urine, blood) ‘Anechoic’ or echo-free
  • 90.
    • Color FlowImaging • The direction of blood flow is indicated by the display color • Flow is from left to right on the image, • It is directed toward the transducer on the left- hand side of the image and away from the transducer on the right-hand side.
  • 91.
  • 92.
    Interventional Radiology • Needlesfor biopsy or fluid removal • Catheters to make angiograms • Catheters with balloons to open blood vessels • Stents to hold blood vessels open • Coils and material to block blood vessels • Catheters to drain abscesses • Tubes for feeding Etc…
  • 93.
    Angiogram of normalkidney SPINE THIS IS THE CATHETER COMING UP FROM THE LEG ARTERY 11TH RIB
  • 94.
    Angiogram of renalCancer THIS IS THE MALIGNANT MASS
  • 95.
    THIS IS THE CANCERMASS Angiogram of artery to mass THIS IS THE CATHETER COMING UP FROM THE LEG ARTERY
  • 96.
    Angiogram after embolization NOBLOOD FLOW TO THE MASS NOW IT CAN BE REMOVED WITHOUT EXCESSIVE BLEEDING
  • 97.
  • 98.
  • 99.
  • 100.
  • 101.