INTESTINAL OBSTRUCTION :
PATHOPHYSIOLOGY & CAUSES
DR A AHMAD KHAN
MBBS MS FMAS FALS
ASSISTANT PROF
RDAMC AYODHYA
INTRODUCTION
• Intestinal obstruction still is a challenging, commonly acute condition in surgical
practice.
• Adhesions are becoming the more common cause of intestinal obstruction
• Common causes for adhesions are gynecologic surgeries, appendicectomy,
colonic and pelvic surgeries.
• 20% cases of intestinal obstruction are due to malignancy or its peritoneal
carcinomatosis spread.
• More than 50% of intestinal obstruction in western countries are due to
adhesions
• 20% due to malignancies; 10-15% due to hernias.
• Crohn’s disease is also becoming a common cause of obstruction.
• Note:
• Adhesions and hernias are most common causes of intestinal obstruction
CLASSIFICATION
• 1> Classification I:
Depending on Aetiopathology
• A. Dynamic.
• B. Adynamic
• 2> Classification II:
• Depending on Type of Obstruction
• 1. Acute: Common in small bowel.
• 2. Chronic.
• 3. Acute on chronic: Common in large bowel.
• 4. Closed loop obstruction.
• Classification III: Depending on Site of Obstruction
DYNAMIC OBSTRUCTION
• It is mechanical blockage of normal propulsion and passage of
intestinal contents.
• Obstruction may be
• external/internal
• partial (incomplete or subacute)/complete;
• acute/acute on chronic/or chronic;
• simple/closed loop/strangulation;
• congenital/acquired;
• proximal/distal.
• Earlier, hernia was the commonest cause of intestinal
obstruction.
• Now adhesions (40%) are the commonest cause
• Recurrent obstruction is more common in adhesions.
• Adhesions commonly cause small bowel obstruction than
large bowel.
• 80% of intestinal obstruction occurs in small bowel; 20% in
colon.
• Colonic obstruction :
• 70% of colonic obstruction is due to malignancy.
• 30% is due to volvulus; diverticulitis, inflammatory cause
like tuberculosis, etc.
• Mortality
• 3% in obstruction without strangulation;
• 30% in obstruction with strangulation.
PATHOLOGY AND PATHOGENESIS
• Changes proximal to the bowel obstruction:
• Fluid collects just proximal to the obstruction which is derived from saliva,
stomach, pancreas and intestine.
• Because of oedema and inflammation absorption decreases,
• sequestration of fluid from the circulation into the lumen occurs and
bacteria (E. coli, Klebsiella, anaerobes, bacteroides and other organisms)
multiply,
• toxins are released—toxaemia occurs.
• This leads to severe dehydration, electrolyte imbalance.
• Proximal to the collected fluid, air accumulates (derived from swallowed air
(70%), diffusion from blood into the lumen (20%), from digested product
and bacterial action (10%))
• Main component is nitrogen (90%) and also hydrogen sulphide.
• During vigorous peristalsis air enters the distal fluid, results in churning,
( multiple air-fluid levels in plain X-ray abdomen)
• Defective absorption, decreased fluid intake, loss of fluid by vomiting,
sequestration of fluid into the bowel lumen—leads into severe
dehydration, fluid and electrolyte imbalance
• Inflammatory response in the bowel wall (intramural inflammation) causes accumulation of activated
neutrophils and macrophages in the muscle wall which release reactive enzymes and cytokines.
• These substances damage secretory and motor process of muscle leading into dilatation of the bowel.
• Increased release of nitric oxide in muscle wall and production of intramural reactive oxygen metabolites
alter gut motility and permeability.
• Intestinal wall hypoxia is also the cause for dilatation.
• In first 12 hours of obstruction, there is only decreased absorption which causes accumulation of fluid and
electrolytes in the lumen.
• After 12 hours, there is also increased intestinal secretion causing further accumulation of the fluid.
• Accumulation of bacterial toxins, bile salts, prostaglandins and mucosa derived free radicals, VIP—all
increases the luminal secretion of fluid in obstructed bowel.
• Dilatation of bowel wall increases intraluminal pressure which exceeds the bowel wall venous pressure
causing ischaemia which causes further dilatation and ischaemic injury.
• This leads into eventual blockage of arterial perfusion causing bowel wall necrosis/ gangrene.
• Increased bacterial colony in the bowel due to altered luminal content further leads to mucosa damage
• disrupted mucosal defence barrier & integrity
• translocation of bacteria across mucosa into submucosa and also absorption of bacterial and other toxins
into the circulation
• Bacteraemia / toxaemia / septicaemia/SIRS/MODS.
Closed loop obstruction
Clinical Features
• Abdominal pain:
• Initially colicky and intermittent: later continuous and
severe.
• Pain is the first symptom to develop which is sudden and
severe.
• Initial colicky pain suggests obstruction and eventual diffuse
persistent pain suggests strangulation.
• Pain begins usually around umbilicus in small bowel
obstruction.
• In small bowel obstruction, it is crampy, recurrent
paroxysms occurring as short crescendo/decrescendo
episodes (of 30 seconds).
• In large bowel obstruction, it is of longer episodes of
minutes (In paralytic/adynamic ileus, pain is diffuse and
mild).
• Vomiting:
• In jejunal obstruction, it is early and persistent.
• In ileal obstruction, it is recurrent occurring at an interval; initially bilious later faeculent.
• In large bowel obstruction, vomiting is a late feature.
• Distension:
• It is absent or minimal in case of jejunal obstruction
• ileal obstruction: Obvious with visible intestinal peristalsis (VIP) and borborygmi sounds —
Step ladder peristalsis.
• It is enormous in case of large bowel obstruction.
• Constipation:
• It is absolute, i.e. neither faeces nor flatus is passed.
• Dehydration:
• Leads to oliguria , renal failure.
• Features of toxemia and septicemia:
• Tachycardia, tachypnoea, fever, sunken eyes, cold periphery.
• Abdominal tenderness:
• It is initially localized but later becomes diffuse—is a feature of intestinal
obstruction.
• Rebound tenderness and guarding will not be present in simple obstruction
which are features of strangulation.
• Features of strangulation:
• Continuous severe pain, shock, tenderness, rebound tenderness (Blumberg’s
sign).
• Guarding and rigidity, absence of bowel sounds.
• In case of strangulated hernia, a swelling which is tense, tender, rigid,
irreducible, no expansile impulse on coughing and history of recent increase
in size is seen.
• Temperature:
• Fever signifies inflammation in the bowel wall/ ischaemia/perforation.
• Hypothermia can occur when septicemia develops due to lack of
pyrogenic response.
• It suggests poor prognosis.
• Bowel sounds:
• They are increased—high pitched metallic (rushes and groans) sounds
followed by metallic tinkling sounds of dilated bowel.
• Eventually once fatigue occurs or gangrene develops, bowel sounds are
not heard—silent abdomen of peritonitis develops
• (In paralytic ileus, there are only continuous metallic sounds of dilated
bowel).
• Per-rectal examination:
• Shows empty, dilated rectum, often with tenderness.
• If rectal growth is the cause for obstruction, it may be palpable.
INVESTIGATIONS
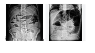
• Plain X-ray abdomen:
• (initially supine abdominal X-ray is taken; later if needed X-ray in erect posture is
taken if perforation is suspected).
• Multiple air-fl uid levels.
• Proximal the obstruction >>>>>>> Lesser the air fluid level.
• Distal the obstruction >>>>>>>>> More the air fluid level.
• Normally, three fluid levels can be seen in plain X-ray fIlm—at fundus of stomach, at
duodenum and often at caecum.
• Jejunum shows concertina effect due to valvulae conniventes (Herring bone pattern)
—by the valves of Kerckring.
• Ileum is smooth and characterless (by Wangensteen).
• Large bowel shows haustration.
• Pneumobilia (gas in biliary tree) may be due to gallstone ileus.
• Distended caecum is shown as round gas shadow in the right iliac
fossa. Dilated caecum signifies large bowel obstruction.
• Small bowel > 3 cm diameter;
• proximal large bowel > 9 cm;
• transverse colon > 5.5 cm; sigmoid colon > 5 cm are suggestive of
intestinal dilatation.
• But this increased diameter need not suggest intestinal obstruction
every time.
• Barium (micro bar solution) enema or gastrografiN contrast enema X-ray is useful in
intussusception.
• [Barium meal is usually contraindicated in acute intestinal obstruction. ]
• However dilute (micro bar) barium meal/ gastrografin meal follow through X-ray may be done with
caution in suspected subacute/partial intestinal obstruction under fluoroscopy,
• Otherwise it may precipitate complete obstruction or perforation and barium peritonitis which is very
dangerous
• US abdomen
• dilated bowel and fluid in the peritoneal cavity.
• It is better than X-ray but not as good as CT scan.
• It has got 95% sensitivity; 80% specificity; 80% accuracy.
• Doppler US is useful in detecting strangulation.
• CT scan
• It has got 93% sensitivity; 94% accuracy and 100% specificity.
• In CT scan small bowel loop > 2.5 cm suggests dilatation.
• It can show dilated loop, transition zone and collapsed part which are definitive features of intestinal
obstruction.
• It can also give idea of changes in the bowel wall, ischemia, strangulation, mesenteric oedema and
thickening.
• It also shows bowel wall gas, portal venous gas and mass lesion
TREATMENT
• Nasogastric aspiration:
• To reduce toxic effects
• to reduce bowel distension which indirectly improves pulmonary
ventilation and to reduce possibility of aspiration pneumonia.
• Replacement of fluid and electrolytes.
• Antibiotics: Ampicillin, gentamycin, metronidazole, cephalosporins.
• Blood transfusion: FFP or platelet transfusions are often needed in
critical patient.
• ICU critical care: Systemic management of complications like ARDS, DIC,
SIRS are important.
• If there is hypotension, dopamine/dobutamine are also needed.
• CVP for fluid and monitoring: PCWP (pulmonary capillary wedge
pressure) monitoring are often needed in haemo dynamically unstable
patient.
SURGERY
• Immediate laparotomy
• SITE OF OBSTRUCTION finding the junction of dilated proximal and collapsed distal bowel
• Cause of the obstruction is identified.
• The obstruction is relieved.
IMPORTANT POINTS IN SURGERY
• Warm saline soaked mop is placed over the doubtful area with 100%
oxygen inhalation for 20 minutes;
• if colour becomes normal with peristalsis then bowel is viable.
• On table Doppler study may be useful.
• Fluorescein fluorescence study may be helpful on table to check the
viability.
• If bowel is not viable resection and anastomosis is done.
• A good peritoneal wash is given and the abdominal cavity is drained.
• Abdomen is closed in layers using nonabsorbable sutures (polyethylene,
polypropylene, nylon).
• Often tension sutures are required.
• Small bowel can be decompressed using Savage’s decompressor.
• Right-sided colonic obstruction, right hemicolectomy with ileocolic anastomosis is done.
• Left-sided colonic obstruction, left hemicolectomy(resection) and colo-colic anastomosis is
done with a defunctioning colostomy (right-sided transverse) which is closed after 6 weeks.
• Obstruction due to rectosigmoid growth with patient .
• Hartmann’s operation
• distal stump , after removal of the growth is closed, proximal colon is brought out as end
colostomy.
• Second look operation may be needed in doubtful cases or multiple segment obstructions in
24-48 hours to confirm viability.
• Laparoscopic approach may be useful in partial obstruction, proximal obstruction,
obstruction due to band. Conversion when needed should be done without hesitation.
• Acute postoperative obstruction
• CT is very useful.
• Initially it is treated conservatively (90%)
• suspected ischaemic cases or persistent obstruction becomes an indication for surgery.
• Resection with exteriorization may be the choice.
POSTOPERATIVE COMPLICATIONS
• Pelvic abscess.
• Subphrenic abscess.
• Biliary or faecal fistulas.
• Burst abdomen.
• Bands and adhesions.
• Incisional hernias.

Intestinal obstruction . its pathophysiology and causes.

  • 1.
    INTESTINAL OBSTRUCTION : PATHOPHYSIOLOGY& CAUSES DR A AHMAD KHAN MBBS MS FMAS FALS ASSISTANT PROF RDAMC AYODHYA
  • 2.
    INTRODUCTION • Intestinal obstructionstill is a challenging, commonly acute condition in surgical practice. • Adhesions are becoming the more common cause of intestinal obstruction • Common causes for adhesions are gynecologic surgeries, appendicectomy, colonic and pelvic surgeries. • 20% cases of intestinal obstruction are due to malignancy or its peritoneal carcinomatosis spread. • More than 50% of intestinal obstruction in western countries are due to adhesions • 20% due to malignancies; 10-15% due to hernias. • Crohn’s disease is also becoming a common cause of obstruction. • Note: • Adhesions and hernias are most common causes of intestinal obstruction
  • 3.
    CLASSIFICATION • 1> ClassificationI: Depending on Aetiopathology • A. Dynamic. • B. Adynamic
  • 4.
    • 2> ClassificationII: • Depending on Type of Obstruction • 1. Acute: Common in small bowel. • 2. Chronic. • 3. Acute on chronic: Common in large bowel. • 4. Closed loop obstruction.
  • 5.
    • Classification III:Depending on Site of Obstruction
  • 7.
    DYNAMIC OBSTRUCTION • Itis mechanical blockage of normal propulsion and passage of intestinal contents. • Obstruction may be • external/internal • partial (incomplete or subacute)/complete; • acute/acute on chronic/or chronic; • simple/closed loop/strangulation; • congenital/acquired; • proximal/distal.
  • 8.
    • Earlier, herniawas the commonest cause of intestinal obstruction. • Now adhesions (40%) are the commonest cause • Recurrent obstruction is more common in adhesions. • Adhesions commonly cause small bowel obstruction than large bowel. • 80% of intestinal obstruction occurs in small bowel; 20% in colon. • Colonic obstruction : • 70% of colonic obstruction is due to malignancy. • 30% is due to volvulus; diverticulitis, inflammatory cause like tuberculosis, etc. • Mortality • 3% in obstruction without strangulation; • 30% in obstruction with strangulation.
  • 9.
    PATHOLOGY AND PATHOGENESIS •Changes proximal to the bowel obstruction:
  • 11.
    • Fluid collectsjust proximal to the obstruction which is derived from saliva, stomach, pancreas and intestine. • Because of oedema and inflammation absorption decreases, • sequestration of fluid from the circulation into the lumen occurs and bacteria (E. coli, Klebsiella, anaerobes, bacteroides and other organisms) multiply, • toxins are released—toxaemia occurs. • This leads to severe dehydration, electrolyte imbalance. • Proximal to the collected fluid, air accumulates (derived from swallowed air (70%), diffusion from blood into the lumen (20%), from digested product and bacterial action (10%)) • Main component is nitrogen (90%) and also hydrogen sulphide. • During vigorous peristalsis air enters the distal fluid, results in churning, ( multiple air-fluid levels in plain X-ray abdomen) • Defective absorption, decreased fluid intake, loss of fluid by vomiting, sequestration of fluid into the bowel lumen—leads into severe dehydration, fluid and electrolyte imbalance
  • 12.
    • Inflammatory responsein the bowel wall (intramural inflammation) causes accumulation of activated neutrophils and macrophages in the muscle wall which release reactive enzymes and cytokines. • These substances damage secretory and motor process of muscle leading into dilatation of the bowel. • Increased release of nitric oxide in muscle wall and production of intramural reactive oxygen metabolites alter gut motility and permeability. • Intestinal wall hypoxia is also the cause for dilatation. • In first 12 hours of obstruction, there is only decreased absorption which causes accumulation of fluid and electrolytes in the lumen. • After 12 hours, there is also increased intestinal secretion causing further accumulation of the fluid. • Accumulation of bacterial toxins, bile salts, prostaglandins and mucosa derived free radicals, VIP—all increases the luminal secretion of fluid in obstructed bowel. • Dilatation of bowel wall increases intraluminal pressure which exceeds the bowel wall venous pressure causing ischaemia which causes further dilatation and ischaemic injury. • This leads into eventual blockage of arterial perfusion causing bowel wall necrosis/ gangrene. • Increased bacterial colony in the bowel due to altered luminal content further leads to mucosa damage • disrupted mucosal defence barrier & integrity • translocation of bacteria across mucosa into submucosa and also absorption of bacterial and other toxins into the circulation • Bacteraemia / toxaemia / septicaemia/SIRS/MODS.
  • 13.
  • 15.
    Clinical Features • Abdominalpain: • Initially colicky and intermittent: later continuous and severe. • Pain is the first symptom to develop which is sudden and severe. • Initial colicky pain suggests obstruction and eventual diffuse persistent pain suggests strangulation. • Pain begins usually around umbilicus in small bowel obstruction. • In small bowel obstruction, it is crampy, recurrent paroxysms occurring as short crescendo/decrescendo episodes (of 30 seconds). • In large bowel obstruction, it is of longer episodes of minutes (In paralytic/adynamic ileus, pain is diffuse and mild).
  • 16.
    • Vomiting: • Injejunal obstruction, it is early and persistent. • In ileal obstruction, it is recurrent occurring at an interval; initially bilious later faeculent. • In large bowel obstruction, vomiting is a late feature. • Distension: • It is absent or minimal in case of jejunal obstruction • ileal obstruction: Obvious with visible intestinal peristalsis (VIP) and borborygmi sounds — Step ladder peristalsis. • It is enormous in case of large bowel obstruction. • Constipation: • It is absolute, i.e. neither faeces nor flatus is passed.
  • 17.
    • Dehydration: • Leadsto oliguria , renal failure. • Features of toxemia and septicemia: • Tachycardia, tachypnoea, fever, sunken eyes, cold periphery. • Abdominal tenderness: • It is initially localized but later becomes diffuse—is a feature of intestinal obstruction. • Rebound tenderness and guarding will not be present in simple obstruction which are features of strangulation. • Features of strangulation: • Continuous severe pain, shock, tenderness, rebound tenderness (Blumberg’s sign). • Guarding and rigidity, absence of bowel sounds. • In case of strangulated hernia, a swelling which is tense, tender, rigid, irreducible, no expansile impulse on coughing and history of recent increase in size is seen.
  • 18.
    • Temperature: • Feversignifies inflammation in the bowel wall/ ischaemia/perforation. • Hypothermia can occur when septicemia develops due to lack of pyrogenic response. • It suggests poor prognosis. • Bowel sounds: • They are increased—high pitched metallic (rushes and groans) sounds followed by metallic tinkling sounds of dilated bowel. • Eventually once fatigue occurs or gangrene develops, bowel sounds are not heard—silent abdomen of peritonitis develops • (In paralytic ileus, there are only continuous metallic sounds of dilated bowel). • Per-rectal examination: • Shows empty, dilated rectum, often with tenderness. • If rectal growth is the cause for obstruction, it may be palpable.
  • 19.
    INVESTIGATIONS • Plain X-rayabdomen: • (initially supine abdominal X-ray is taken; later if needed X-ray in erect posture is taken if perforation is suspected). • Multiple air-fl uid levels. • Proximal the obstruction >>>>>>> Lesser the air fluid level. • Distal the obstruction >>>>>>>>> More the air fluid level. • Normally, three fluid levels can be seen in plain X-ray fIlm—at fundus of stomach, at duodenum and often at caecum. • Jejunum shows concertina effect due to valvulae conniventes (Herring bone pattern) —by the valves of Kerckring. • Ileum is smooth and characterless (by Wangensteen). • Large bowel shows haustration. • Pneumobilia (gas in biliary tree) may be due to gallstone ileus.
  • 20.
    • Distended caecumis shown as round gas shadow in the right iliac fossa. Dilated caecum signifies large bowel obstruction. • Small bowel > 3 cm diameter; • proximal large bowel > 9 cm; • transverse colon > 5.5 cm; sigmoid colon > 5 cm are suggestive of intestinal dilatation. • But this increased diameter need not suggest intestinal obstruction every time.
  • 22.
    • Barium (microbar solution) enema or gastrografiN contrast enema X-ray is useful in intussusception. • [Barium meal is usually contraindicated in acute intestinal obstruction. ] • However dilute (micro bar) barium meal/ gastrografin meal follow through X-ray may be done with caution in suspected subacute/partial intestinal obstruction under fluoroscopy, • Otherwise it may precipitate complete obstruction or perforation and barium peritonitis which is very dangerous • US abdomen • dilated bowel and fluid in the peritoneal cavity. • It is better than X-ray but not as good as CT scan. • It has got 95% sensitivity; 80% specificity; 80% accuracy. • Doppler US is useful in detecting strangulation. • CT scan • It has got 93% sensitivity; 94% accuracy and 100% specificity. • In CT scan small bowel loop > 2.5 cm suggests dilatation. • It can show dilated loop, transition zone and collapsed part which are definitive features of intestinal obstruction. • It can also give idea of changes in the bowel wall, ischemia, strangulation, mesenteric oedema and thickening. • It also shows bowel wall gas, portal venous gas and mass lesion
  • 23.
    TREATMENT • Nasogastric aspiration: •To reduce toxic effects • to reduce bowel distension which indirectly improves pulmonary ventilation and to reduce possibility of aspiration pneumonia. • Replacement of fluid and electrolytes. • Antibiotics: Ampicillin, gentamycin, metronidazole, cephalosporins. • Blood transfusion: FFP or platelet transfusions are often needed in critical patient. • ICU critical care: Systemic management of complications like ARDS, DIC, SIRS are important. • If there is hypotension, dopamine/dobutamine are also needed. • CVP for fluid and monitoring: PCWP (pulmonary capillary wedge pressure) monitoring are often needed in haemo dynamically unstable patient.
  • 24.
    SURGERY • Immediate laparotomy •SITE OF OBSTRUCTION finding the junction of dilated proximal and collapsed distal bowel • Cause of the obstruction is identified. • The obstruction is relieved.
  • 26.
    IMPORTANT POINTS INSURGERY • Warm saline soaked mop is placed over the doubtful area with 100% oxygen inhalation for 20 minutes; • if colour becomes normal with peristalsis then bowel is viable. • On table Doppler study may be useful. • Fluorescein fluorescence study may be helpful on table to check the viability. • If bowel is not viable resection and anastomosis is done. • A good peritoneal wash is given and the abdominal cavity is drained. • Abdomen is closed in layers using nonabsorbable sutures (polyethylene, polypropylene, nylon). • Often tension sutures are required. • Small bowel can be decompressed using Savage’s decompressor.
  • 27.
    • Right-sided colonicobstruction, right hemicolectomy with ileocolic anastomosis is done. • Left-sided colonic obstruction, left hemicolectomy(resection) and colo-colic anastomosis is done with a defunctioning colostomy (right-sided transverse) which is closed after 6 weeks. • Obstruction due to rectosigmoid growth with patient . • Hartmann’s operation • distal stump , after removal of the growth is closed, proximal colon is brought out as end colostomy. • Second look operation may be needed in doubtful cases or multiple segment obstructions in 24-48 hours to confirm viability. • Laparoscopic approach may be useful in partial obstruction, proximal obstruction, obstruction due to band. Conversion when needed should be done without hesitation. • Acute postoperative obstruction • CT is very useful. • Initially it is treated conservatively (90%) • suspected ischaemic cases or persistent obstruction becomes an indication for surgery. • Resection with exteriorization may be the choice.
  • 28.
    POSTOPERATIVE COMPLICATIONS • Pelvicabscess. • Subphrenic abscess. • Biliary or faecal fistulas. • Burst abdomen. • Bands and adhesions. • Incisional hernias.