Interface dermatitis
Dr.Shanmathi Sethumadhavan , 2nd
year PG,
Dept of DVL , TVMCH
Moderator: Dr. P.Sivayadevi, Associate Professor
Indian Journal of Dermatology, Venereology, and Leprology | May-June 2013 | Vol 79 | Issue 3
Introduction
• Primary pathology involves the "interface“ –DEJ
• Components of the interface- single anatamico –physiological unit
 Basal layer of epidermis
 Dermoepidermal junction
 Adventitial dermis –papillary + periadnexal dermis
• Cell mediated immunologic reactions whose targets are basal
keratinocytes that reside above the dermoepidermal junction
• Pattern of inflammation in which lymphocytes aggregate around the
dermal-epidermal junction obscuring the junction at scanning
magnification.
• Vacuolar change , necrotic keratinocytes , spongiosis
• T-cell-mediated cytokine damage is most likely mechanism
• cytotoxic damage, or apoptosis of keratinocytes
• become detached from their neighbors,
• become round,
• undergo a sequence of events,
– degradation of nuclear DNA,
– lysis of nuclei
– coagulation of proteins in cytoplasm, without spilling enzymes
• Termed as dyskeratotic cells,
• When they find their way into papillary dermis, termed as
colloid, cytoid or Civatte bodies
Morphological changes
1.Primary changes
A)Basal cell
vacuolization (Vacuolar
alteration):
• Most prominent feature
• Expansion of cytoplasmPartial or
complete destruction of basal cells
produces tiny vacuoles along DEJ
• Total absence of basal cell with
spinous keratinocytes abutting
papillary dermis squamatization of
basal layer-polygonal shape and pink
cytoplasm
• Confluent basal cell damage clefts
and subepidermal vesicles.
Vacuolar changes of basal cells with sparse
perivascular lymphocytic infiltrate.
Morbilliform drug eruption (H and E, ×100)
B) Apoptotic keratinocytes
(Colloid or Civatte bodies) :
• Syn:
• Individually necrotic
keratinocytes
• Dyskertotic keratinocytes
• Seen as small, rounded, eosinophilic,
hyaline, anucleate structure,
• Are slightly smaller than basal
keratinocyte.
• May be seen in basal layer, in upper
papillary dermis, individually or in
clumps, or in mid- and upper
spinous layers
Figure 2: Colloid (Civatte) bodies at the dermo‐epidermal
junction with basal cell vacuolization with melanophages
in the upper papillary dermis. Lupus erythematosus (H
and E, ×400)
C) Obscuring of dermo-
epidermal junction by
inflammatory cells :
• Lymphocytes are M/C
• Eosinophils, neutrophils,mast
cells, and histiocytes may be seen.
• Obliterates clear distinction
between epidermis and
papillary dermis
• Density of inflammatory
infiltrate is variable
Figure 3: Several lymphocytes in the basal cell layer
obscuring the DEJ with basal cell vacuolization and few
apoptotic keratinocytes in the lower spinous zone.
Erythema multiforme (H and E, ×400)
2. Secondary changes
Epidermal changes:
 Depend on
 disease
 time of biopsy in course of evolution or devolution of disease
 site of biopsy
 Acanthosis, hypergranulosis -LP
 Thick compact orthokeratotic stratum corneum- LP
 Thin and atrophic epidermis –LE , atrophic LP
 Irregular epidermal hyperplasia- verrucous DLE
Papillary dermal
changes
• Secondary to basal cell damage
• Papillary dermis undergoes
expansion to accommodate
inflammatory infiltrate
• Fibrosis or sclerosis
• Melanin Incontinence into
papillary dermis
• Melanophages
Other changes
• Mucin deposits in reticular
dermis -LE
• Perivascular and periadnexal
infiltrates of lymphocytes in mid-
and deep reticular dermis
• lymphocytic lobular panniculitis –
lupus profundus
Sclerosis of thickened papillary dermis with
smudging of dermo-epidermal junction. Bluish-grey
mucin in upper reticular dermis. LE(100X)
Thickened papillary dermis with sparse lymphocytic
infiltrate and numerous melanophages. persisting basal
cell vacuolization. Lichen planus pigmentosus(100X)
Classification of Interface Dermatitis
b)Prominent infiltrate in papillary
dermis aligned in lichenoid pattern
(Lichenoid-interface dermatitis):
• Dense band-like infiltrate in
papillary dermis-Polycellular
infiltrate
•Basal cell vacuolization may
be
1. Histologically, classified as:
a) Prominent basal cell vacuolization
(Vacuolar-interface dermatitis):
• Basal cell vacuolization is most
prominent
• Variable perivascular and
interstitial infiltrates of
lymphocytes.
• Paucicellular infiltrate
 Parenthetically, a true lichenoid infiltrate is
 restricted to the papillary dermis
 seen typically in interface dermatitis,
 Band like infiltrate often extends into the reticular dermis without any interface
‐
changes
 Granulomatous conditions
 Tuberculosis verrucosa cutis (TBVC)
 Lupus vulgaris
 Benign, premalignant, and malignant conditions
 Lichenoid keratosis
 Paget’s disease (both mammary and extramammary)
 Bowen’s disease
 Resolving malignant melanoma
3. Le Boit’s classification depending on
epidermal changes
a) Acute cytotoxic type
• Basal cell vacuolization with Lymphocytes infiltrating lower epidermis
• Scattered necrotic keratinocytes at various levels in epidermis.
• Entire process is rapid Does not interfere with epidermal
keratinization
• Horny layer is unaffected -- maintains its normal basket weave
arrangement.
• EM is prototype.
• Few necrotic keratinocytes
• Early EM
• Morbilliform drug
• Morbilliform viral eruptions
• Eruption of lymphocyte recovery
• Acute GVHD*
Numerous necrotic keratinocytes
• Fully developed EM
• Acute LE
• TEN
• Radiation & chemotherapy-induced
skin damage
• FDE (eosinophils, neutrophils, &
melanophages)
• Pityriasis lichenoides et
varioliformis (parakeratosis).
Numerous necrotic keratinocytes scattered in lower spinous zone with lymphocytes
obscuring dermo-epidermal junction. Note normal basket weave stratum corneum. EM
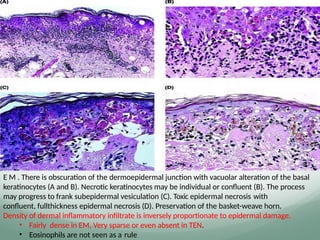
E M . There is obscuration of the dermoepidermal junction with vacuolar alteration of the basal
keratinocytes (A and B). Necrotic keratinocytes may be individual or confluent (B). The process
may progress to frank subepidermal vesiculation (C). Toxic epidermal necrosis with
confluent, fullthickness epidermal necrosis (D). Preservation of the basket-weave horn.
Density of dermal inflammatory infiltrate is inversely proportionate to epidermal damage.
• Fairly dense in EM, Very sparse or even absent in TEN.
• Eosinophils are not seen as a rule
Erythema multiforme
 acute nature orthokeratotic stratum corneum
 The earliest changes include
 vacuolization of the basal cell layer,
 tagging of lymphocytes along the dermoepidermal junction, and
 a sparse, superficial, perivascular lymphoid infiltrate.
 Mild spongiosis , papillary edema and RBC extravasation are seen.
 Necrosis of individual keratinocytes occurs in the basal unit is the
hallmark of erythema multiforme.
 Later –lichenoid lymphohistiocytic infiltrate +/- eosinophils
 Satellite-cell necrosis- intraepidermal lymphocytes in close
association with apoptotic keratinocytes, is frequently present.
 Drug-induced EM
 more widespread keratinocyte necrosis,
 microscopic blister formation, and
 more pigmentary incontinence
 Herpes simplex associated erythema multiforme
 more spongiosis, exocytosis, liquefaction
degeneration of the basal layer, and papillary dermal
edema.
 Nuclear dust may be identified in the papillary dermis
SJS and TEN
 in bullous lesions, and in the central portion of
target lesions,
 more epidermal necrosis -Full-thickness -numerous
necrotic keratinocytes
 A subepidermal bulla.
 Sparse dermal inflammatory infiltrate and exocytosis
 Extravasated erythrocytes within the blister cavity.
 Melanophages within the papillary dermis -late lesions
 Eccrine epithelium –basal cell apoptosis to duct
necrosis
Fixed drug eruption. There is obscuration of the dermoepidermal junction with a mixed
inflammatory cell infiltrate composed of lymphocytes
numerous eosinophils and neutrophils (A and B).
Necrotic keratinocytes can be identified throughout all levels of the epidermis (A)and
may tend toward confluence.
A mixed perivascular infiltrate can be present in the deep dermis (C).
 Acute GVHD
• typically occurs between 7 and 21 days after transplantation
but may be seen as late as 3 months;
• classic triad
• skin lesions,
• hepatic dysfunction, and
• diarrhea.
 Chronic GVHD
• generally arises after a mean of 4 months, but may occur as
soon as 40 days post transplantation
• usually generalized, rarely localized
• early lichenoid stage –
• cutaneous and oral lesions clinically similar to LP
• the skin may show extensive erythema and irregular
hyperpigmentation
• late sclerodermoid stage
• Each stage can occur without the other.
• A poikiloderma may precede the eventual sclerodermoid
stage
GVHD
Graft versus host disease, acute. Lymphocytes tagging at the
dermoepidermal junction and eliciting satellite-cell necrosis
(pathognomic)
Spongiosis
Satellite cell necrosis
Acute graft versus host reaction (GvHR). There is a sparse lymphocytic infiltrate obscuring the
dermoepidermal junction (A).
Lymphocytes are present in the epidermis (exocytosis) with adjacent 2 or more
individually necrotic keratinocytes in spinous layer (satellite cell necrosis) (B).
Chronic GvHR. There is acanthosis of the epidermis with hypergranulosis and a patchy
band-like
Grade 3 graft versus host reaction, subepithelial separation has
resulted from confluent vacuolar change.
Endothelial cell swelling and narrowing of endothelial
lumen
b) Premature terminal differentiation
• Refers to an early development of a thick granular layer and compact
stratum corneum
• A/w dense lichenoid infiltrates of lymphocytes.
• LP is prototype
• Mixed infiltrates:
• Lichenoid drug reaction(eosinophils)
• Keratosis lichenoides chronica (plasma cells)
• Few lymphocytes:
• Dermatomyositis
• Lichenoid GVHD
Dense lymphocytic infiltrates:
• LP
• Lichenoid keratosis
• Lichenoid drug reaction especially
• Photolichenoid
• Acute GVHD
• DLE
• Lichen striatus
c) Irregular epidermal hyperplasia
• variant of permature terminal differentiation
• Show marked irregular epidermal hyperplasia
• Seen in
• Hypertrophic LP
• Verrucous DLE
• Some long- standing lichenoid drug eruptions
d) Interface dermatitis with psoriasiform
hyperplasia
• Show interface changes as a secondary pathological feature
• Not classified as primary interface dermatitis.
• Lymphocytes and siderophages:
o Lichenoid variant of pigmented purpuric dermatoses
• Eosinophils predominant:
o Urticarial pemphigoid
o Some drug eruptions
• Lymphocytes mostly:
o Mycosis fungoides
o Lichen striatus (True interface dermatitis )
o Fully developed lesions of Pityriasis lichenoides (True interface dermatitis )
o Lichen sclerosus
o Center of porokeratosis
• Plasma cells:
o Secondary syphilis
o Early acrodermatitis chronica atrophicans
e) Interface dermatitis with epidermal
atrophy
• Represents late atrophic phase of several dermatoses
• Plasma cells:
o Late stage of acrodermatitis chronica atrophicans.
• Band of melanophages:
o Regressing malignant melanoma
o Late pigmented patches of FDE.
• Lymphocytic infiltrate:
o Atrophic LP
o Long-standing lesions of LE, dermatomyositis
o Poikiloderma
o Lichen sclerosus et atrophicus
o Center of old lesions of porokeratosis
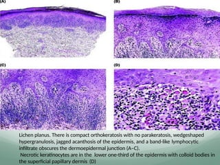
Lichen planus
Lichen planus. There is compact orthokeratosis with no parakeratosis, wedgeshaped
hypergranulosis, jagged acanthosis of the epidermis, and a band-like lymphocytic
infiltrate obscures the dermoepidermal junction (A–C).
Necrotic keratinocytes are in the lower one-third of the epidermis with colloid bodies in
the superficial papillary dermis (D)
Max Joseph Space/
Caspini Joseph space
artifactual separation between the
epidermis and the lichenoid infiltrate in
dermis
Lichen planus. Closer view shows
lymphocytes and melanophages in
the papillary dermis, vacuolar
alteration of the basal layer,
necrotic keratinocytes (Civatte
bodies), and enlarged
keratinocytes with eosinophilic
cytoplasm
Lichen planus
 Thick compact orthokeratosis
 Focal wedge-shaped hypergranulosis- tips of orifices of acrosyringia and base of
follicular infundibula
 Broad irregular jagged acanthosis
 Dome-shaped dermal papillae
 Pointed or saw- toothed rete ridges –angulated hyperplasia
 Basal cell -vacuolar degeneration and Squamatisation(pale glassy cytoplasm )
 Band-like dermal lymphocytic infiltrate -composed almost entirely of lymphocytes
intermingled with macrophages.
 Pigment incontinence – melanophages in upper dermis , near base of lichenoid
infiltrate
 Apoptotic ,dyskeratotic ,colloid, hyaline, cytoid, or Civatte bodies
 20 micron diameter
 Necrotic keratinocytes in lower epidermis and upper papillary dermis
 Homogenous round eosinophilic
 PAS positive , Diastase resistant
Colloid bodies
 Apoptotic ,dyskeratotic ,colloid, hyaline, cytoid, or Civatte bodies
 20 micron diameter
 Necrotic keratinocytes in lower epidermis and upper papillary dermis
 Homogenous round eosinophilic
 PAS positive , Diastase resistant
 Also seen in
 GVHD
 Lichen nitidus
 LE
 Drug reactions
 Inflammed keratoses
 Lichenoid acitinic keratoses
 Lichen planus like keratoses –focal parakeratosis and adjacent solar
lentigenes
 Normal epidermis
 Wickham's striae - focal increase in the thickness of the granular layer and of the total
epidermis.
 Max-Joseph spaces- Occasionally, small areas of artifactual separation between the
epidermis and the lichenoid infiltrate in dermis
 In some instances, the separation occurs in vivo and subepidermal blisters form -vesicular
LP-due to extensive damage to the basal cells.
 DIF : Necrotic keratinocytes - stain in about 87% of the cases
 mainly for IgM but often also for IgG, IgA, C3, and fibrin.”
 In old lesions the cellular infiltrate decreases in density, but the number of macrophages
increases.
 In areas in which a basal cell layer has reformed, the dermal infiltrate no longer lies in
close approximation to the epidermis.
 Chronic lesions may show considerable acanthosis, papillomatosis, and hyperkeratosis
(hypertrophic LP).
Oral LP
 Parakeratosis
 Absent granular layer
 Epithelium – atrophic
 Necrosis of epithelium –oral
ulcer
Lichenoid dermatitis involving contiguous
follicular infundibula(40X)
Orthokeratosis
Acanthosis
Papillomatosis
Wedge shaped hypergranulosis, lichenoid
lymphocytic infiltrate at base of
infundibulum, few colloid bodies at dermo-
epidermal junction(400X)
Hypertrophic LP
Lichen planopilaris.flask like dilated follicular
infuldibula with compact keratin - Follicular
plugging, hypergranulosis, and dense,
bandlike perifollicular lymphocytic infiltrate
(destroys bulge cells ) that obscures the
infundibular epithelium
Lichen planopilaris, developed lesion.
Perifollicular fibrosis and inflammation with
epithelial atrophy at the infundibuloisthmic
portion give rise to an hourglass
configuration.loss of follicles
Clumps of numerous colloid bodies in upper papillary dermis with numerous
Melanophages ,vacuolar interface dermatitis - Lichen planus pigmentosus
DD for LP
 Lichenoid drug eruptions
 Lichenoid GVHD -Langehans cells decreased , cytotoxic T infiltate in epidermis
 Early - perivascular sparse infiltrate
 Late –dermal sclerosis
 Lichenoid LE
 Lichen planus like keratoses -“Focal parakeratosis and adjacent solar lentigines ”
 Early SCC in situ – dysplastic keratinocytes
• Lichenoid drug eruption: histologic presentation can be identical to LP
• Differentiating features
• Focal pararkeratosis
• Absence of granular layer
• necrotic keratinocytes in all layers of the epidermis
• Deeper perivascular infiltate with numerous eosinophils ,sometimes
plasma cells
Lichenoid LE
 a) atrophy of the epidermis in addition to acanthosis,
 (b) absence of eosinophilia of the keratinocytes in the spinous layer,
 (c) a superficial bandlike infiltrate with a superficial and deep perivascular and periadnexal
infiltrate,
 (d) the presence of a thickened, PAS-positive basement membrane, and
 (e) dermal mucin deposits.
 Direct immunofluorescence findings
 LE - linear or granular deposits of immunoglobulins and C3 predominate in lesional
skin,
 LP - clusters of necrotic keratinocytes with absorbed immunoglobulins and
complement are found
 Langerhans cells
 decreased in number –DLE and SLE
 increased in early lichen planus
Lichenoid pigmented purpura.
• There is a band-like lymphocytic infiltrate that does not obscure the
dermoepidermal junction (A).
• Extravasated erythrocytes and/or hemosiderin-laden macrophages are a
prominent feature (B and C).
Dense lymphohistiocytic infiltrate filling the
expanded dermal papillae with thin suprapiallary
epidermis with basal cell vacular alteration and
focal parakeratosis. At each lateral margin of the
infiltrate, rete ridges tend to bend downward and
inward and seem to clutch the infiltrate
Claw clutching ball sign
Cluster of round, flat-
topped, flesh-colored
papules of a few
millimeters in diameter
.
Lichen nitidus
Lichen striatus.
• There is a dense superficial and deep
perivascular ,perieccrine and periadnexal
lymphohistiocytic infiltrate with a band-like
component that
obscures the dermoepidermal junction (A).
Shows psoriasiform hyperplasia of epidermis
Foci of mild to moderate spongiosis and may
show exocytosis of lymphocytes (B).
Linear band of
confluent “small
papules
following a
Blaschko line
Lichen striatus
Closer view shows an infiltrate of
lymphocytes and histiocytes, exocytosis of
lymphocytes, acanthosis, spongiosis, and
focal parakeratosis
Superficial and deep perivascular, perieccrine,
and perifollicular infiltrate of lymphocytes and
histiocytes that extends to the epidermis,
which shows acanthosis and spongiosis
.
Lichen sclerosus et atrophicus (LS et A), atrophy, follicular plugging, papillary dermal
edema, and sclerosis with a patchy, band-like predominantly
lymphocytic infiltrate interposed between the altered collagen of the upper dermis
and
normal collagen of lower dermis (A and B).
Fully developed LS et A. There is effacement of rete ridge pattern of epidermis with
vacuolar alteration of basal keratinocytes and sclerosis of dermis (C)
Superficial and deep perivascular and periadnexal lymphocytic
infiltrates. Thin epidermis, basal cell vacuolization with
subepidermal clefts that involve follicular infundibular
epithelium, follicular plugging at one end of the sections. LE
Pools of bluish-grey
mucin between
bundles of collagen in
reticular dermis. LE
Systemic lupus erythematosus. There is obscuration of the dermoepidermal junction with
vacuolar alteration of the basal keratinocytes with a sparse lymphocytic infiltrate (A and B).
Dermatomyositis. This may appear identical to systemic lupus erythematosus. There is a sparse
lymphocytic infiltrate with vacuolar alteration of the basal keratinocytes & less dermal mucin C).
Abundant mucin interposed between the dermal collagen bundles -SLE(D)
Discoid lupus erythematosus. There is a superficial and deep perivascular and periadnexal
lymphocytic infiltrate with vacuolar alteration of the basal keratinocytes (A and B).
A dense lymphocytic infiltrate surrounds the follicular adnexae with obscuration of the
epithelial-stromal junction(C). Note the marked thickening of the basement membrane (D)
Tumid LE –D/D Differentiating features
1.Lymphocytic
lymphoma
• atypical lymphocytes
• interstitial distribution (“Indian filing”), and
• Do not surround pilosebaceous units
2.Lymphocytoma cutis • Heavier infiltrate
• Interstitial component,
• Do not surround pilosebaceous units
• Often contains an admixture of larger, paler lymphocytes
arranged in lymphoid follicles, mimicking germinal center
formation
3.plaque type of
polymorphous light
eruption
• prominent band of papillary dermal edema.
• The infiltrate is more intense in the superficial dermis than in
deep dermis and is occasionally admixed with neutrophils.
• No folliculocentric arrangement and
• No stromal mucin deposition
4.Jessner lymphocytic
infiltration of the skin
• plasma cells and mucin are absent.
• presence of increased numbers of B lymphocytes in the infiltrate
5.Lues
6.Lyme’s disease
IHC , silver stain
No mucin deposition
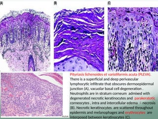
Pityriasis lichenoides et varioliformis acuta (PLEVA).
There is a superficial and deep perivascular
lymphocytic infiltrate that obscures dermoepidermal
junction (A), vacuolar basal cell degeneration .
Neutrophils are in stratum corneum admixed with
degenerated necrotic keratinocytes and parakeratotic
corneocytes , intra and intercellular edema necrosis
(B). Necrotic keratinocytes are scattered throughout
epidermis and melanophages and erythrocytes are
interposed between keratinocytes (C).
Superficial perivascular lymphocytic infiltrate, SUBTLE VACUOLAR ALTERATIONS,
+/- EXTRAVASTED RBC . Note the thick wafer-like scale containing flat parakeratosis and flecks
of melanin. Pityriasis lichenoides chronica
D/D for PLEVA and PLC
 Pityriasis rosea
 Vesicular insect bites
 Numerous eosinophils in a vertically oriented dermal infiltrate are more
commonly seen in insect bites
 Subacute eczematous dermatitis
 PLEVA vs PR, subacute eczema
 The presence of a deeper inflammatory infiltrate,
 extensive epidermal necrosis, and
 the absence of intraepidermal spongiotic microvesicles
 Guttate psoriasis
 Lymphomatoid papulosis
Thank You

Interface dermatitis (Dermatopathology)

  • 1.
    Interface dermatitis Dr.Shanmathi Sethumadhavan, 2nd year PG, Dept of DVL , TVMCH Moderator: Dr. P.Sivayadevi, Associate Professor Indian Journal of Dermatology, Venereology, and Leprology | May-June 2013 | Vol 79 | Issue 3
  • 4.
    Introduction • Primary pathologyinvolves the "interface“ –DEJ • Components of the interface- single anatamico –physiological unit  Basal layer of epidermis  Dermoepidermal junction  Adventitial dermis –papillary + periadnexal dermis • Cell mediated immunologic reactions whose targets are basal keratinocytes that reside above the dermoepidermal junction
  • 5.
    • Pattern ofinflammation in which lymphocytes aggregate around the dermal-epidermal junction obscuring the junction at scanning magnification. • Vacuolar change , necrotic keratinocytes , spongiosis • T-cell-mediated cytokine damage is most likely mechanism • cytotoxic damage, or apoptosis of keratinocytes • become detached from their neighbors, • become round, • undergo a sequence of events, – degradation of nuclear DNA, – lysis of nuclei – coagulation of proteins in cytoplasm, without spilling enzymes • Termed as dyskeratotic cells, • When they find their way into papillary dermis, termed as colloid, cytoid or Civatte bodies
  • 6.
    Morphological changes 1.Primary changes A)Basalcell vacuolization (Vacuolar alteration): • Most prominent feature • Expansion of cytoplasmPartial or complete destruction of basal cells produces tiny vacuoles along DEJ • Total absence of basal cell with spinous keratinocytes abutting papillary dermis squamatization of basal layer-polygonal shape and pink cytoplasm • Confluent basal cell damage clefts and subepidermal vesicles. Vacuolar changes of basal cells with sparse perivascular lymphocytic infiltrate. Morbilliform drug eruption (H and E, ×100)
  • 7.
    B) Apoptotic keratinocytes (Colloidor Civatte bodies) : • Syn: • Individually necrotic keratinocytes • Dyskertotic keratinocytes • Seen as small, rounded, eosinophilic, hyaline, anucleate structure, • Are slightly smaller than basal keratinocyte. • May be seen in basal layer, in upper papillary dermis, individually or in clumps, or in mid- and upper spinous layers Figure 2: Colloid (Civatte) bodies at the dermo‐epidermal junction with basal cell vacuolization with melanophages in the upper papillary dermis. Lupus erythematosus (H and E, ×400)
  • 9.
    C) Obscuring ofdermo- epidermal junction by inflammatory cells : • Lymphocytes are M/C • Eosinophils, neutrophils,mast cells, and histiocytes may be seen. • Obliterates clear distinction between epidermis and papillary dermis • Density of inflammatory infiltrate is variable Figure 3: Several lymphocytes in the basal cell layer obscuring the DEJ with basal cell vacuolization and few apoptotic keratinocytes in the lower spinous zone. Erythema multiforme (H and E, ×400)
  • 10.
    2. Secondary changes Epidermalchanges:  Depend on  disease  time of biopsy in course of evolution or devolution of disease  site of biopsy  Acanthosis, hypergranulosis -LP  Thick compact orthokeratotic stratum corneum- LP  Thin and atrophic epidermis –LE , atrophic LP  Irregular epidermal hyperplasia- verrucous DLE
  • 11.
    Papillary dermal changes • Secondaryto basal cell damage • Papillary dermis undergoes expansion to accommodate inflammatory infiltrate • Fibrosis or sclerosis • Melanin Incontinence into papillary dermis • Melanophages Other changes • Mucin deposits in reticular dermis -LE • Perivascular and periadnexal infiltrates of lymphocytes in mid- and deep reticular dermis • lymphocytic lobular panniculitis – lupus profundus Sclerosis of thickened papillary dermis with smudging of dermo-epidermal junction. Bluish-grey mucin in upper reticular dermis. LE(100X) Thickened papillary dermis with sparse lymphocytic infiltrate and numerous melanophages. persisting basal cell vacuolization. Lichen planus pigmentosus(100X)
  • 12.
    Classification of InterfaceDermatitis b)Prominent infiltrate in papillary dermis aligned in lichenoid pattern (Lichenoid-interface dermatitis): • Dense band-like infiltrate in papillary dermis-Polycellular infiltrate •Basal cell vacuolization may be 1. Histologically, classified as: a) Prominent basal cell vacuolization (Vacuolar-interface dermatitis): • Basal cell vacuolization is most prominent • Variable perivascular and interstitial infiltrates of lymphocytes. • Paucicellular infiltrate
  • 13.
     Parenthetically, atrue lichenoid infiltrate is  restricted to the papillary dermis  seen typically in interface dermatitis,  Band like infiltrate often extends into the reticular dermis without any interface ‐ changes  Granulomatous conditions  Tuberculosis verrucosa cutis (TBVC)  Lupus vulgaris  Benign, premalignant, and malignant conditions  Lichenoid keratosis  Paget’s disease (both mammary and extramammary)  Bowen’s disease  Resolving malignant melanoma
  • 14.
    3. Le Boit’sclassification depending on epidermal changes a) Acute cytotoxic type • Basal cell vacuolization with Lymphocytes infiltrating lower epidermis • Scattered necrotic keratinocytes at various levels in epidermis. • Entire process is rapid Does not interfere with epidermal keratinization • Horny layer is unaffected -- maintains its normal basket weave arrangement. • EM is prototype. • Few necrotic keratinocytes • Early EM • Morbilliform drug • Morbilliform viral eruptions • Eruption of lymphocyte recovery • Acute GVHD* Numerous necrotic keratinocytes • Fully developed EM • Acute LE • TEN • Radiation & chemotherapy-induced skin damage • FDE (eosinophils, neutrophils, & melanophages) • Pityriasis lichenoides et varioliformis (parakeratosis).
  • 15.
    Numerous necrotic keratinocytesscattered in lower spinous zone with lymphocytes obscuring dermo-epidermal junction. Note normal basket weave stratum corneum. EM
  • 16.
    E M .There is obscuration of the dermoepidermal junction with vacuolar alteration of the basal keratinocytes (A and B). Necrotic keratinocytes may be individual or confluent (B). The process may progress to frank subepidermal vesiculation (C). Toxic epidermal necrosis with confluent, fullthickness epidermal necrosis (D). Preservation of the basket-weave horn. Density of dermal inflammatory infiltrate is inversely proportionate to epidermal damage. • Fairly dense in EM, Very sparse or even absent in TEN. • Eosinophils are not seen as a rule
  • 18.
    Erythema multiforme  acutenature orthokeratotic stratum corneum  The earliest changes include  vacuolization of the basal cell layer,  tagging of lymphocytes along the dermoepidermal junction, and  a sparse, superficial, perivascular lymphoid infiltrate.  Mild spongiosis , papillary edema and RBC extravasation are seen.  Necrosis of individual keratinocytes occurs in the basal unit is the hallmark of erythema multiforme.  Later –lichenoid lymphohistiocytic infiltrate +/- eosinophils  Satellite-cell necrosis- intraepidermal lymphocytes in close association with apoptotic keratinocytes, is frequently present.
  • 19.
     Drug-induced EM more widespread keratinocyte necrosis,  microscopic blister formation, and  more pigmentary incontinence  Herpes simplex associated erythema multiforme  more spongiosis, exocytosis, liquefaction degeneration of the basal layer, and papillary dermal edema.  Nuclear dust may be identified in the papillary dermis
  • 20.
    SJS and TEN in bullous lesions, and in the central portion of target lesions,  more epidermal necrosis -Full-thickness -numerous necrotic keratinocytes  A subepidermal bulla.  Sparse dermal inflammatory infiltrate and exocytosis  Extravasated erythrocytes within the blister cavity.  Melanophages within the papillary dermis -late lesions  Eccrine epithelium –basal cell apoptosis to duct necrosis
  • 21.
    Fixed drug eruption.There is obscuration of the dermoepidermal junction with a mixed inflammatory cell infiltrate composed of lymphocytes numerous eosinophils and neutrophils (A and B). Necrotic keratinocytes can be identified throughout all levels of the epidermis (A)and may tend toward confluence. A mixed perivascular infiltrate can be present in the deep dermis (C).
  • 22.
     Acute GVHD •typically occurs between 7 and 21 days after transplantation but may be seen as late as 3 months; • classic triad • skin lesions, • hepatic dysfunction, and • diarrhea.  Chronic GVHD • generally arises after a mean of 4 months, but may occur as soon as 40 days post transplantation • usually generalized, rarely localized • early lichenoid stage – • cutaneous and oral lesions clinically similar to LP • the skin may show extensive erythema and irregular hyperpigmentation • late sclerodermoid stage • Each stage can occur without the other. • A poikiloderma may precede the eventual sclerodermoid stage GVHD
  • 23.
    Graft versus hostdisease, acute. Lymphocytes tagging at the dermoepidermal junction and eliciting satellite-cell necrosis (pathognomic)
  • 24.
  • 25.
    Acute graft versushost reaction (GvHR). There is a sparse lymphocytic infiltrate obscuring the dermoepidermal junction (A). Lymphocytes are present in the epidermis (exocytosis) with adjacent 2 or more individually necrotic keratinocytes in spinous layer (satellite cell necrosis) (B). Chronic GvHR. There is acanthosis of the epidermis with hypergranulosis and a patchy band-like
  • 26.
    Grade 3 graftversus host reaction, subepithelial separation has resulted from confluent vacuolar change. Endothelial cell swelling and narrowing of endothelial lumen
  • 27.
    b) Premature terminaldifferentiation • Refers to an early development of a thick granular layer and compact stratum corneum • A/w dense lichenoid infiltrates of lymphocytes. • LP is prototype • Mixed infiltrates: • Lichenoid drug reaction(eosinophils) • Keratosis lichenoides chronica (plasma cells) • Few lymphocytes: • Dermatomyositis • Lichenoid GVHD Dense lymphocytic infiltrates: • LP • Lichenoid keratosis • Lichenoid drug reaction especially • Photolichenoid • Acute GVHD • DLE • Lichen striatus
  • 28.
    c) Irregular epidermalhyperplasia • variant of permature terminal differentiation • Show marked irregular epidermal hyperplasia • Seen in • Hypertrophic LP • Verrucous DLE • Some long- standing lichenoid drug eruptions
  • 29.
    d) Interface dermatitiswith psoriasiform hyperplasia • Show interface changes as a secondary pathological feature • Not classified as primary interface dermatitis. • Lymphocytes and siderophages: o Lichenoid variant of pigmented purpuric dermatoses • Eosinophils predominant: o Urticarial pemphigoid o Some drug eruptions • Lymphocytes mostly: o Mycosis fungoides o Lichen striatus (True interface dermatitis ) o Fully developed lesions of Pityriasis lichenoides (True interface dermatitis ) o Lichen sclerosus o Center of porokeratosis • Plasma cells: o Secondary syphilis o Early acrodermatitis chronica atrophicans
  • 30.
    e) Interface dermatitiswith epidermal atrophy • Represents late atrophic phase of several dermatoses • Plasma cells: o Late stage of acrodermatitis chronica atrophicans. • Band of melanophages: o Regressing malignant melanoma o Late pigmented patches of FDE. • Lymphocytic infiltrate: o Atrophic LP o Long-standing lesions of LE, dermatomyositis o Poikiloderma o Lichen sclerosus et atrophicus o Center of old lesions of porokeratosis
  • 31.
  • 34.
    Lichen planus. Thereis compact orthokeratosis with no parakeratosis, wedgeshaped hypergranulosis, jagged acanthosis of the epidermis, and a band-like lymphocytic infiltrate obscures the dermoepidermal junction (A–C). Necrotic keratinocytes are in the lower one-third of the epidermis with colloid bodies in the superficial papillary dermis (D)
  • 36.
    Max Joseph Space/ CaspiniJoseph space artifactual separation between the epidermis and the lichenoid infiltrate in dermis Lichen planus. Closer view shows lymphocytes and melanophages in the papillary dermis, vacuolar alteration of the basal layer, necrotic keratinocytes (Civatte bodies), and enlarged keratinocytes with eosinophilic cytoplasm
  • 37.
    Lichen planus  Thickcompact orthokeratosis  Focal wedge-shaped hypergranulosis- tips of orifices of acrosyringia and base of follicular infundibula  Broad irregular jagged acanthosis  Dome-shaped dermal papillae  Pointed or saw- toothed rete ridges –angulated hyperplasia  Basal cell -vacuolar degeneration and Squamatisation(pale glassy cytoplasm )  Band-like dermal lymphocytic infiltrate -composed almost entirely of lymphocytes intermingled with macrophages.  Pigment incontinence – melanophages in upper dermis , near base of lichenoid infiltrate  Apoptotic ,dyskeratotic ,colloid, hyaline, cytoid, or Civatte bodies  20 micron diameter  Necrotic keratinocytes in lower epidermis and upper papillary dermis  Homogenous round eosinophilic  PAS positive , Diastase resistant
  • 38.
    Colloid bodies  Apoptotic,dyskeratotic ,colloid, hyaline, cytoid, or Civatte bodies  20 micron diameter  Necrotic keratinocytes in lower epidermis and upper papillary dermis  Homogenous round eosinophilic  PAS positive , Diastase resistant  Also seen in  GVHD  Lichen nitidus  LE  Drug reactions  Inflammed keratoses  Lichenoid acitinic keratoses  Lichen planus like keratoses –focal parakeratosis and adjacent solar lentigenes  Normal epidermis
  • 39.
     Wickham's striae- focal increase in the thickness of the granular layer and of the total epidermis.  Max-Joseph spaces- Occasionally, small areas of artifactual separation between the epidermis and the lichenoid infiltrate in dermis  In some instances, the separation occurs in vivo and subepidermal blisters form -vesicular LP-due to extensive damage to the basal cells.  DIF : Necrotic keratinocytes - stain in about 87% of the cases  mainly for IgM but often also for IgG, IgA, C3, and fibrin.”  In old lesions the cellular infiltrate decreases in density, but the number of macrophages increases.  In areas in which a basal cell layer has reformed, the dermal infiltrate no longer lies in close approximation to the epidermis.  Chronic lesions may show considerable acanthosis, papillomatosis, and hyperkeratosis (hypertrophic LP).
  • 40.
    Oral LP  Parakeratosis Absent granular layer  Epithelium – atrophic  Necrosis of epithelium –oral ulcer
  • 41.
    Lichenoid dermatitis involvingcontiguous follicular infundibula(40X) Orthokeratosis Acanthosis Papillomatosis Wedge shaped hypergranulosis, lichenoid lymphocytic infiltrate at base of infundibulum, few colloid bodies at dermo- epidermal junction(400X) Hypertrophic LP
  • 43.
    Lichen planopilaris.flask likedilated follicular infuldibula with compact keratin - Follicular plugging, hypergranulosis, and dense, bandlike perifollicular lymphocytic infiltrate (destroys bulge cells ) that obscures the infundibular epithelium Lichen planopilaris, developed lesion. Perifollicular fibrosis and inflammation with epithelial atrophy at the infundibuloisthmic portion give rise to an hourglass configuration.loss of follicles
  • 44.
    Clumps of numerouscolloid bodies in upper papillary dermis with numerous Melanophages ,vacuolar interface dermatitis - Lichen planus pigmentosus
  • 45.
    DD for LP Lichenoid drug eruptions  Lichenoid GVHD -Langehans cells decreased , cytotoxic T infiltate in epidermis  Early - perivascular sparse infiltrate  Late –dermal sclerosis  Lichenoid LE  Lichen planus like keratoses -“Focal parakeratosis and adjacent solar lentigines ”  Early SCC in situ – dysplastic keratinocytes
  • 46.
    • Lichenoid drugeruption: histologic presentation can be identical to LP • Differentiating features • Focal pararkeratosis • Absence of granular layer • necrotic keratinocytes in all layers of the epidermis • Deeper perivascular infiltate with numerous eosinophils ,sometimes plasma cells
  • 47.
    Lichenoid LE  a)atrophy of the epidermis in addition to acanthosis,  (b) absence of eosinophilia of the keratinocytes in the spinous layer,  (c) a superficial bandlike infiltrate with a superficial and deep perivascular and periadnexal infiltrate,  (d) the presence of a thickened, PAS-positive basement membrane, and  (e) dermal mucin deposits.  Direct immunofluorescence findings  LE - linear or granular deposits of immunoglobulins and C3 predominate in lesional skin,  LP - clusters of necrotic keratinocytes with absorbed immunoglobulins and complement are found  Langerhans cells  decreased in number –DLE and SLE  increased in early lichen planus
  • 48.
    Lichenoid pigmented purpura. •There is a band-like lymphocytic infiltrate that does not obscure the dermoepidermal junction (A). • Extravasated erythrocytes and/or hemosiderin-laden macrophages are a prominent feature (B and C).
  • 49.
    Dense lymphohistiocytic infiltratefilling the expanded dermal papillae with thin suprapiallary epidermis with basal cell vacular alteration and focal parakeratosis. At each lateral margin of the infiltrate, rete ridges tend to bend downward and inward and seem to clutch the infiltrate Claw clutching ball sign Cluster of round, flat- topped, flesh-colored papules of a few millimeters in diameter . Lichen nitidus
  • 51.
    Lichen striatus. • Thereis a dense superficial and deep perivascular ,perieccrine and periadnexal lymphohistiocytic infiltrate with a band-like component that obscures the dermoepidermal junction (A). Shows psoriasiform hyperplasia of epidermis Foci of mild to moderate spongiosis and may show exocytosis of lymphocytes (B). Linear band of confluent “small papules following a Blaschko line
  • 52.
    Lichen striatus Closer viewshows an infiltrate of lymphocytes and histiocytes, exocytosis of lymphocytes, acanthosis, spongiosis, and focal parakeratosis Superficial and deep perivascular, perieccrine, and perifollicular infiltrate of lymphocytes and histiocytes that extends to the epidermis, which shows acanthosis and spongiosis .
  • 53.
    Lichen sclerosus etatrophicus (LS et A), atrophy, follicular plugging, papillary dermal edema, and sclerosis with a patchy, band-like predominantly lymphocytic infiltrate interposed between the altered collagen of the upper dermis and normal collagen of lower dermis (A and B). Fully developed LS et A. There is effacement of rete ridge pattern of epidermis with vacuolar alteration of basal keratinocytes and sclerosis of dermis (C)
  • 56.
    Superficial and deepperivascular and periadnexal lymphocytic infiltrates. Thin epidermis, basal cell vacuolization with subepidermal clefts that involve follicular infundibular epithelium, follicular plugging at one end of the sections. LE Pools of bluish-grey mucin between bundles of collagen in reticular dermis. LE
  • 57.
    Systemic lupus erythematosus.There is obscuration of the dermoepidermal junction with vacuolar alteration of the basal keratinocytes with a sparse lymphocytic infiltrate (A and B). Dermatomyositis. This may appear identical to systemic lupus erythematosus. There is a sparse lymphocytic infiltrate with vacuolar alteration of the basal keratinocytes & less dermal mucin C). Abundant mucin interposed between the dermal collagen bundles -SLE(D)
  • 58.
    Discoid lupus erythematosus.There is a superficial and deep perivascular and periadnexal lymphocytic infiltrate with vacuolar alteration of the basal keratinocytes (A and B). A dense lymphocytic infiltrate surrounds the follicular adnexae with obscuration of the epithelial-stromal junction(C). Note the marked thickening of the basement membrane (D)
  • 59.
    Tumid LE –D/DDifferentiating features 1.Lymphocytic lymphoma • atypical lymphocytes • interstitial distribution (“Indian filing”), and • Do not surround pilosebaceous units 2.Lymphocytoma cutis • Heavier infiltrate • Interstitial component, • Do not surround pilosebaceous units • Often contains an admixture of larger, paler lymphocytes arranged in lymphoid follicles, mimicking germinal center formation 3.plaque type of polymorphous light eruption • prominent band of papillary dermal edema. • The infiltrate is more intense in the superficial dermis than in deep dermis and is occasionally admixed with neutrophils. • No folliculocentric arrangement and • No stromal mucin deposition 4.Jessner lymphocytic infiltration of the skin • plasma cells and mucin are absent. • presence of increased numbers of B lymphocytes in the infiltrate 5.Lues 6.Lyme’s disease IHC , silver stain No mucin deposition
  • 60.
    Pityriasis lichenoides etvarioliformis acuta (PLEVA). There is a superficial and deep perivascular lymphocytic infiltrate that obscures dermoepidermal junction (A), vacuolar basal cell degeneration . Neutrophils are in stratum corneum admixed with degenerated necrotic keratinocytes and parakeratotic corneocytes , intra and intercellular edema necrosis (B). Necrotic keratinocytes are scattered throughout epidermis and melanophages and erythrocytes are interposed between keratinocytes (C).
  • 61.
    Superficial perivascular lymphocyticinfiltrate, SUBTLE VACUOLAR ALTERATIONS, +/- EXTRAVASTED RBC . Note the thick wafer-like scale containing flat parakeratosis and flecks of melanin. Pityriasis lichenoides chronica
  • 62.
    D/D for PLEVAand PLC  Pityriasis rosea  Vesicular insect bites  Numerous eosinophils in a vertically oriented dermal infiltrate are more commonly seen in insect bites  Subacute eczematous dermatitis  PLEVA vs PR, subacute eczema  The presence of a deeper inflammatory infiltrate,  extensive epidermal necrosis, and  the absence of intraepidermal spongiotic microvesicles  Guttate psoriasis  Lymphomatoid papulosis
  • 65.

Editor's Notes

  • #39 A few eosinophils and/or plasma cells may be seen in close approximation to the epidermis, but these are rare except in some examples of hypertrophic LP.