HEPATOTOXICITY: TOXIC
EFFECTS ON THE LIVER
By Prandeep Borah
FUNCTIONS
(1) Filtration
(2) carbohydrate storage and metabolism;
(3) metabolism of hormones, endogenous wastes, and
foreign chemicals;
(4) synthesis of blood proteins;
(5) urea formation;
(6) metabolism of fats; and
(7) bile formation
TYPES OF TOXIN INDUCED LIVER INJURY:
 Hepatocellular Degeneration and Death-
1. Mitochondria. These organelles are important for
energy metabolism and synthesis of ATP.
-> Release calcium/ maintain homeostasis
->lose the ability to regulate solute and water balance,
and undergo swelling.
-> chemicals- carbon tetrachloride, cocaine,
dichloroethylene etc.
2. Plasma Membrane- Important in maintaining the ion
balance between the cytoplasm and the external
environment.
-> Loss of ionic control can cause a net movement of water
into the cell, resulting in cell swelling.
->chemicals- acetaminophen, ethanol etc.
3. Endoplasmic Reticulum- Responsible for synthesis of
proteins and phospholipids in the hepatocyte.
->Principal site of biotransformation of foreign
chemicals;maintain Ca homeostasis.
->chemicals- acetaminophen, bromobenzene, carbon
tetrachloride, and cocaine.
4. Nucleus-
->Some chemicals or their metabolites can bind to DNA,
producing mutations > leading to cell death.
->Some chemicals appear to cause activation of
endonucleases, enzymes located in the nucleus that
digest chromatin material >leads to uncontrolled
digestion of the cell’s DNA.
->chemicals- aflatoxin B, beryllium, Ethionine etc.
 5. Lysosomes- These subcellular structures contain
digestive enzymes (e.g., proteases) and are important in
degrading damaged or aging cellular constituents
-> In hepatocytes injured by chemical toxicants, their
numbers and size are often increased.
FIBROSIS & CIRRHOSIS
 Hepatic fibrosis (scaring) occurs by the accumulation of
excessive amounts of fibrous tissue, specifically fibril
forming collagens type I and III.
> central veins, portal tracts, disse
>With continuing collagen deposition,
>fibrous scars.
> nodular regeneration of hepatocytes leads fibrosis to
progress to cirrhosis
* Blood flow through the liver becomes obstructed,
leading to portal hypertension, internal hemorrhage.
* Chemicals involves ethanol, carbon tetrachloride,
trinitrotoluene.
LIVER TUMORS
Chemicals can induce neoplasia which leads
to tumors . Etiology :-
• Hepatitis B
• Hepatitis C
• Cirrhosis
- 70% of HCC arise on top of cirrhosis
• Toxins -Alcohol -Tobacco - Aflatoxins
• Autoimmune hepatitis
• States of insulin resistance- Overweight in males
Diabetes mellitus
CLASSIFICATION
Malignant
>hepatocellular
carcinomas:-derived
from hepatocytes,
>cholangiocarcinomas:
-from bile duct cells,
>hemangiosarcoma:-
arising from liver cells.
Benign
>adenomas:-epithelial
origin with gland.
>fibromas-fibrotic cell
origin.
>cholangiofibromas:-
Arise from bile ducts
TUMORS
CHOLESTASIS
>Refers to decreased or arrested bile flow.
>elevated serum levels-bile salts and bilirubin.
>Impairment of yellowish bilirubin pigment reflects
jaundice.
>Structural changes I
>dilation of the bile canaliculus
>presence of bile plugs in bile ducts and canaliculi.
* Chemical involves- Chlorpromazine, cyclosporin A,
ethanol, ampicillin,estrogens etc.
CHOLESTASIS
SINUSOIDAL DAMAGE
Its a specialized capillary with numerous fenestrae for
high permeability.
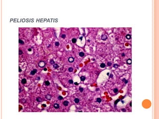
>damages occurs two pathways-
1.Dilation of the sinusoid- whenever efflux of hepatic
blood is impeded. Known as peliosis hepatis.
*Chemials- anabolic steroids ,danazol.
 2.blockade of its lumen- occurs due to enlargement
of fenestrae & red blood cells become caught.
*Chemicals- acetaminophen
PELIOSIS HEPATIS
 Fatty liver :- Caused by chemicals produce an
accumulation of lipids in the liver, called fatty liver or
steatosis.
> hepatocellular necrosis occurs in specific acinar
zones.
> zone 1 –lipid accumulation from white phosphorus.
>zone 3 -lipid accumulation with tetracycline and
ethanol.
 The lipid accumulates in vacuoles within the cytoplasm.
> macrovesicular steatosis
> microvesicular steatosis
> This vesicular steatosis has been associated with
tetracycline, valproic acid, salicylates, aflatoxin etc.
POTENTIAL CHEMICAL EFFECTS GIVE RISE TO
ACCUMULATION OF LIPID
1. Inhibition of Lipoprotein Synthesis.- Eg. carbon
tetrachloride, ethionine.
2. Decreased Conjugation of Triglycerides with
Lipoproteins . Eg.Carbon tetrachloride
3. Interference with Very-Low-Density Lipoprotein
(VLDL) Transfer: Eg. Tetracycline
4. Impaired Oxidation of Lipids by Mitochondria: Eg.
Carbon tetrachloride, ethionine.
5. Increased Synthesis of Fatty Acids: Eg. Ethanol.
FATTY LIVER
THANK YOU !

Hepatotoxicity

  • 1.
    HEPATOTOXICITY: TOXIC EFFECTS ONTHE LIVER By Prandeep Borah
  • 4.
    FUNCTIONS (1) Filtration (2) carbohydratestorage and metabolism; (3) metabolism of hormones, endogenous wastes, and foreign chemicals; (4) synthesis of blood proteins; (5) urea formation; (6) metabolism of fats; and (7) bile formation
  • 9.
    TYPES OF TOXININDUCED LIVER INJURY:  Hepatocellular Degeneration and Death- 1. Mitochondria. These organelles are important for energy metabolism and synthesis of ATP. -> Release calcium/ maintain homeostasis ->lose the ability to regulate solute and water balance, and undergo swelling. -> chemicals- carbon tetrachloride, cocaine, dichloroethylene etc.
  • 10.
    2. Plasma Membrane-Important in maintaining the ion balance between the cytoplasm and the external environment. -> Loss of ionic control can cause a net movement of water into the cell, resulting in cell swelling. ->chemicals- acetaminophen, ethanol etc. 3. Endoplasmic Reticulum- Responsible for synthesis of proteins and phospholipids in the hepatocyte. ->Principal site of biotransformation of foreign chemicals;maintain Ca homeostasis. ->chemicals- acetaminophen, bromobenzene, carbon tetrachloride, and cocaine.
  • 11.
    4. Nucleus- ->Some chemicalsor their metabolites can bind to DNA, producing mutations > leading to cell death. ->Some chemicals appear to cause activation of endonucleases, enzymes located in the nucleus that digest chromatin material >leads to uncontrolled digestion of the cell’s DNA. ->chemicals- aflatoxin B, beryllium, Ethionine etc.
  • 12.
     5. Lysosomes-These subcellular structures contain digestive enzymes (e.g., proteases) and are important in degrading damaged or aging cellular constituents -> In hepatocytes injured by chemical toxicants, their numbers and size are often increased.
  • 13.
    FIBROSIS & CIRRHOSIS Hepatic fibrosis (scaring) occurs by the accumulation of excessive amounts of fibrous tissue, specifically fibril forming collagens type I and III. > central veins, portal tracts, disse >With continuing collagen deposition, >fibrous scars. > nodular regeneration of hepatocytes leads fibrosis to progress to cirrhosis * Blood flow through the liver becomes obstructed, leading to portal hypertension, internal hemorrhage. * Chemicals involves ethanol, carbon tetrachloride, trinitrotoluene.
  • 16.
    LIVER TUMORS Chemicals caninduce neoplasia which leads to tumors . Etiology :- • Hepatitis B • Hepatitis C • Cirrhosis - 70% of HCC arise on top of cirrhosis • Toxins -Alcohol -Tobacco - Aflatoxins • Autoimmune hepatitis • States of insulin resistance- Overweight in males Diabetes mellitus
  • 17.
    CLASSIFICATION Malignant >hepatocellular carcinomas:-derived from hepatocytes, >cholangiocarcinomas: -from bileduct cells, >hemangiosarcoma:- arising from liver cells. Benign >adenomas:-epithelial origin with gland. >fibromas-fibrotic cell origin. >cholangiofibromas:- Arise from bile ducts
  • 18.
  • 19.
    CHOLESTASIS >Refers to decreasedor arrested bile flow. >elevated serum levels-bile salts and bilirubin. >Impairment of yellowish bilirubin pigment reflects jaundice. >Structural changes I >dilation of the bile canaliculus >presence of bile plugs in bile ducts and canaliculi. * Chemical involves- Chlorpromazine, cyclosporin A, ethanol, ampicillin,estrogens etc.
  • 20.
  • 21.
    SINUSOIDAL DAMAGE Its aspecialized capillary with numerous fenestrae for high permeability. >damages occurs two pathways- 1.Dilation of the sinusoid- whenever efflux of hepatic blood is impeded. Known as peliosis hepatis. *Chemials- anabolic steroids ,danazol.  2.blockade of its lumen- occurs due to enlargement of fenestrae & red blood cells become caught. *Chemicals- acetaminophen
  • 22.
  • 23.
     Fatty liver:- Caused by chemicals produce an accumulation of lipids in the liver, called fatty liver or steatosis. > hepatocellular necrosis occurs in specific acinar zones. > zone 1 –lipid accumulation from white phosphorus. >zone 3 -lipid accumulation with tetracycline and ethanol.  The lipid accumulates in vacuoles within the cytoplasm. > macrovesicular steatosis > microvesicular steatosis > This vesicular steatosis has been associated with tetracycline, valproic acid, salicylates, aflatoxin etc.
  • 24.
    POTENTIAL CHEMICAL EFFECTSGIVE RISE TO ACCUMULATION OF LIPID 1. Inhibition of Lipoprotein Synthesis.- Eg. carbon tetrachloride, ethionine. 2. Decreased Conjugation of Triglycerides with Lipoproteins . Eg.Carbon tetrachloride 3. Interference with Very-Low-Density Lipoprotein (VLDL) Transfer: Eg. Tetracycline 4. Impaired Oxidation of Lipids by Mitochondria: Eg. Carbon tetrachloride, ethionine. 5. Increased Synthesis of Fatty Acids: Eg. Ethanol.
  • 25.
  • 27.