Faculty of Clinical Sciences
Department of Orthopedics & Trauma Medicine
Physical Traumatology I
By
James K. Mwangi
Classification of
Fractures
Learning Objectives
Physical Traumatology; By the end of this unit;
Brief introduction
Define a fracture, dislocation & subluxation
Identify general causes, signs, & symptoms of fractures
Understand how fractures are identified
Explain the different fracture classifications
Understand the AO/OTA classification
Fracture Eponyms
Q & A
TAKE AWAY
Introduction
What is a bone?
A highly vascularized, living, constantly
changing mineralized connective tissue
It is innervated, contains vessels for
nutrition; bone cells to build up, maintain &
break down bone (important in fracture
healing).
Bone tissue
Bones can be classified based on anatomy & structure;
Anatomy
Long, short, flat, irregular bones, & sesamoid bones
Structure
Macroscopic
 Cortical bone
 Cancellous bone / spongy bone / trabecular bone
Microscopic
 Lamellar bone
 Woven bone
Bone tissue
Anatomic classification
Long bones
Short bones
Flat bones
Irregular bones
Sesamoid bones
Bone tissue
Macroscopic structure classification;
Cortical bone
80% of the skeleton
Characterized by slow turnover rate
Made-up of packed osteons / haversian systems
 Haversian canals
 Volkmann canals
Cancellous bone
Bone tissue
Macroscopic structure classification;
Cortical bone
Cancellous bone / spongy bone / trabecular bone
Higher turnover rate
30-90% of bone is porous & contains bone marrow
Bone tissue
Microscopic structure classification;
Woven bone
Immature or pathologic bone; collagen fiber in random orientation
More osteophytes
High turnover rate than lamellar
Weaker & more flexible than lamellar
Lamellar bone
Bone tissue
Microscopic structure classification;
Woven bone
Lamellar bone
Secondary bone formed from remodeling of woven bone
Well organized & stress oriented
Stronger & less flexible than woven bone
Slower turnover than woven bone
Bone tissue
Microscopic structure classification;
Woven bone
Lamellar bone
Secondary bone formed from remodeling of woven bone
Well organized & stress oriented
Stronger & less flexible than woven bone
Slower turnover than woven bone
Bone structure
Parts of a long bone;
Diaphysis
Epiphysis
Metaphysis
Articular cartilage
Periosteum & endosteum
(coverings)
Medullary cavity
Introduction
Definition
Fracture –
A complete or partial break in the continuity of a bone
Result of bone being loaded to failure
Introduction
Definition
Joint dislocation
Complete loss of congruity between the articular surfaces
Joint subluxation
Loss of congruity but the 2 surfaces are still in contact
Transient subluxation
During movement, a transient subluxation may cause sudden pain & the
sensation of something ‘slipping out’, but often reduces spontaneously
Introduction
Definition;
Fracture-dislocation
A complex injury comprising a fracture & a dislocation of the adjacent joint
Sprains
An incomplete tear of a ligament or tendon
Common Causes of #s
Causes
Common causes of fractures include;
Fall from a height
RTI
Direct injury
Repetitive force
Pathology
Signs & symptoms
What are some of the signs & symptoms
of a fracture?
Swelling / edema
Pain & tenderness
Numbness
Bleeding
Broken skin with bone protruding
Limitation to move a limb
Other S&S are complications related
Neuropathy, compartment syndrome, red cap
refill
Why classify fractures?
To guide the treatment
To estimate the prognosis
Anticipate & mitigate possible complications
For easier communication
Pathology of Fractures
Classification of fractures is based on;
Aetiology
Displacement
Relationship with external environment
Pattern
AO / OTA Classification
Based on eponyms
Pathology of Fractures
Classification of fractures is based on;
Aetiology
Traumatic fractures
Fragility fractures
Stress / fatigue fractures
Pathological fractures
Displacement
Relationship with external environment
Pattern
Pathology of Fractures
Classification of fractures is based on;
Aetiology
Traumatic fractures
 Direct force (direct injury)
 Indirect force (indirect injury)
Fragility fractures
Stress / fatigue fractures
Pathological fractures
Displacement
Relationship with external environment
Pattern
Pathology of Fractures
Classification of fractures is based on;
Aetiology
Traumatic fractures
Fragility fractures
 Fractures associated with bone weakness – Osteoporosis
Stress / fatigue fractures
Pathological fractures
Displacement
Relationship with external environment
Pattern
Pathology of Fractures
Classification of fractures is based on;
Aetiology
Traumatic fractures
Fragility fractures
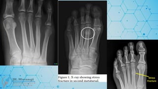
Stress / fatigue fractures
 Normal bone – repetitive (heavy) loading, military personnel
 Common sites?
• Metatarsals, shaft of tibia, shaft of fibula, & NOF
Pathological fractures
Displacement
Relationship with external environment
Pattern
Pathology of Fractures
Classification of fractures is based on;
Aetiology
Traumatic fractures
Fragility fractures
Stress / fatigue fractures
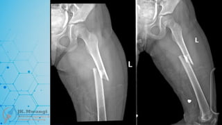
Pathological fractures
 Occurs in bones weakened by a disease process – malignancy, Paget's disease,
osteogenesis imperfecta, O.M, bone cysts osteoporosis
 Following trivial force / trauma or spontaneously
Displacement
Relationship with external environment
Pattern
Pathology of Fractures
Classification of fractures is based on;
Aetiology
Displacement
Undisplaced fracture – frags in contact
Displaced fracture – frags not in contact
Relationship with external environment
Pattern
Pathology of Fractures
Classification of fractures is based on;
Aetiology
Displacement
Undisplaced fracture – frags in contact
Displaced fracture – frags not in contact
Factors responsible for displacement are?
 FRACTURING FORCE
 MUSCLE PULL ON FRACTURE FRAGMENTS
 GRAVITY
Relationship with external environment
Pattern
Pathology of Fractures
Classification of fractures is based on;
Aetiology
Displacement
How are fractures displaced?
Relationship with external environment
Pattern
Pathology of Fractures
Classification of fractures is based on;
Aetiology
Displacement
How are fractures displaced?
i. Translation (shift) – sideways, backward, forward
ii. Angulation (tilt) – angulated
iii. Rotation (twist)
iv. Length - shortening
Relationship with external environment
Pattern
Pathology of Fractures
Classification of fractures is based on;
Aetiology
Displacement
Relationship with external environment
Closed fractures –
 Overlying soft tissue cover is intact
Open fractures –
 Bone exposed.
 How does a fracture become open?
 How do we classify open fractures?
Pattern
Pathology of Fractures
Classification of fractures is based on;
Aetiology
Displacement
Relationship with external environment
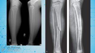
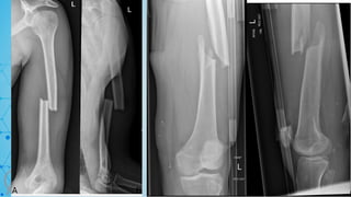
Pattern – described by the # pattern, list the patterns?
Transverse #
Oblique #
Spiral #
Comminuted #
Segmental #
Compression / crush #
Greenstick #
Impacted #
AO / OTA Classification
What is OTA
Orthopaedic Trauma Association
What is AO
Association of Osteosynthesis
Reconstructive surgery aimed at stabilizing & joining the ends of a broken
bone after a fracture, an osteotomy (bone cutting procedure to realign &
reshape a bone or joint), or a non-union from a previous fracture
AO / OTA Classification
It aims at localizing the fracture
by describing
The bones & segments
Each bone & bone region is
numbered
1 – humerus
2 – radius & ulna
3 – femur
4 – tibia & fibula
AO / OTA Classification
Long bones are each divided into 3 segments;
1 – proximal
2 – shaft
3 – distal
AO / OTA Classification
After identifying the fractured bone and the location of
the fracture (bone & segment), next we identify the type
of fracture depending on the segment involved
Fracture type is defined as A, B, or C
AO / OTA Classification
Proximal segment 1 & Distal segment 3
Q. Is the fracture intra-articular or extra-articular?
A – extra-articular (doesn’t involve the joint surface)
B – partial articular (fracture involves one part of the articular surface)
C – complete articular (fracture has disrupted the joint surface)
AO / OTA Classification
Diaphyseal segment 2
Q. Is the fracture simple or multifragmentary?
A – Simple fracture (with a single circumferential fracture)
B – wedge (with one or more intermediate fragments)
C – Multifragmentary(multiple fragments, noncontact btwn P & D)
AO / OTA Classification
After identification of the bone, segment, and type of
fracture. We have groups & sub-groups for the fractures;
Ascending order of severity
According to the morphological complexity & difficulty in
treatment and prognosis
This is the fracture pattern
Either due to twisting (spiral) or bending forces
AO / OTA Classification
Group;
Spiral or twisting forces will produce a
Simple spiral (X2-A1), spiral wedge (X2-B1), or spiral fragmented complex
# (X2-C1)
Bending forces produce a
Simple oblique ((X2-A2), simple transverse (X2-A3), or Bending wedge (X2-
B2), fragmented wedge (X2-B3), complex # (X2-C3)
C2 fractures in the grouping is segmental by definition
AO / OTA Classification
AO summary
Which bone? H1, ru2, f3, tf4
Which segment? P1, s2, d3
Fracture type?
P & D – intra-articular, partial, complete articular = A, B, C
Shaft – simple, wedge, multifragmentary = A, B, C
Fracture group
Further defines the type
CLASSIFICATION
• Bone = 3
• Segment = 3
• Type = C
• Group = 3
• 33-c3
CLASSIFICATION
• Bone = 3
• Segment = 2
• Type = A
• Group = 3
• 32-A3
Pathology of Fractures
Fracture classification based on eponyms
These fractures are named after individuals who either discovered
or contributed significantly to the understanding of a specific type
of fracture
What are some of the fracture eponyms?
Pathology of Fractures
Fracture classification based on eponyms
What are some of the fracture eponyms?
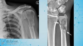
Colles fracture
Smiths fracture
Galeazzi fracture
Monteggia fracture
Bennett's fracture
Rolando's fracture
Maisonneuve fracture
Segond's fracture
Chance fracture
Boxers fracture
Chauffer's fracture (Hutchinson's fracture)
Pathology of Fractures
Fracture classification based on eponyms
What are some of the fracture eponyms?
Colles fracture
 A fracture of the distal radius with dorsal (upward) displacement, often resulting
from a fall onto an outstretched hand. Named after Abraham Colles, who first
described the fracture in 1814.
Smiths fracture
 A distal radius fracture, but with volar (downward) displacement, often described
as the reverse of Colles' fracture. Named after Robert William Smith in 1847
Galeazzi fracture
 A fracture of the radius with associated dislocation of the distal radioulnar joint
(DRUJ). Named after Ricardo Galeazzi, who described it in 1934
Pathology of Fractures
Fracture classification based on eponyms
What are some of the fracture eponyms?
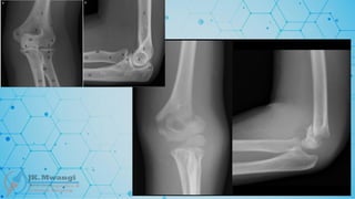
Monteggia fracture
 A fracture of the proximal third of the ulna with dislocation of the radial head.
Named after Giovanni Battista Monteggia in 1814
Bennetts fracture
 A fracture-dislocation of the base of the first metacarpal bone (thumb), involving
the carpometacarpal (CMC) joint. Named after Edward Hallaran Bennett, who
described it in 1882
Rolando's fracture
 A comminuted intra-articular fracture of the base of the first metacarpal
(thumb). It is often considered a more complex form of Bennett's fracture.
Named after Silvio Rolando.
Pathology of Fractures
Fracture classification based on eponyms
What are some of the fracture eponyms?
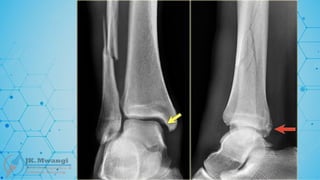
Potts fracture
 A fracture of the lower end of the fibula, often associated with damage to the
ligaments and dislocation of the ankle. Named after Percivall Pott, an English surgeon,
in the 18th century
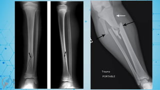
Maisonneuve fracture
 A spiral fracture of the proximal third of the fibula associated with an ankle injury,
typically a disruption of the syndesmosis. Named after Jules Germain François
Maisonneuve, who described it in 1840.
Jones fracture
 A fracture at the base of the fifth metatarsal, typically caused by inversion of the
foot. Named after Sir Robert Jones, who reported it in 1902 after fracturing his own
foot.
Pathology of Fractures
Fracture classification based on eponyms
What are some of the fracture eponyms?
Segond's fracture
 A small avulsion fracture of the lateral aspect of the tibial plateau, often
associated with anterior cruciate ligament (ACL) injuries. Named after Paul
Segond's, who first described it in 1879
Holstein-Lewis fracture
 A fracture of the distal third of the humerus, often complicated by radial nerve
injury. Named after Arthur Holstein and George Lewis, who described the
fracture in 1963.
Pathology of Fractures
Fracture classification based on eponyms
What are some of the fracture eponyms?
Boxers fracture
 A fracture of the fifth metacarpal neck, often resulting from punching
something. Although not technically an eponym, it is colloquially referred to as
"Boxer's fracture" due to its association with fist fights.
Hutchinson's fracture (chauffeurs fracture)
 An intra-articular fracture of the radial styloid. Named after Jonathan
Hutchinson. It’s also called “Chauffeur’s fracture” because it commonly occurred
in early chauffeurs when hand-cranking a car engine.
Fracture Classification .pptx notes for orth
Fracture Classification .pptx notes for orth
Fracture Classification .pptx notes for orth
Fracture Classification .pptx notes for orth
Fracture Classification .pptx notes for orth
Fracture Classification .pptx notes for orth
Fracture Classification .pptx notes for orth
Fracture Classification .pptx notes for orth
Fracture Classification .pptx notes for orth
Fracture Classification .pptx notes for orth
Fracture Classification .pptx notes for orth
Fracture Classification .pptx notes for orth
Fracture Classification .pptx notes for orth
Fracture Classification .pptx notes for orth
Fracture Classification .pptx notes for orth
Fracture Classification .pptx notes for orth
Fracture Classification .pptx notes for orth

Fracture Classification .pptx notes for orth

  • 1.
    Faculty of ClinicalSciences Department of Orthopedics & Trauma Medicine Physical Traumatology I By James K. Mwangi Classification of Fractures
  • 2.
    Learning Objectives Physical Traumatology;By the end of this unit; Brief introduction Define a fracture, dislocation & subluxation Identify general causes, signs, & symptoms of fractures Understand how fractures are identified Explain the different fracture classifications Understand the AO/OTA classification Fracture Eponyms Q & A TAKE AWAY
  • 3.
    Introduction What is abone? A highly vascularized, living, constantly changing mineralized connective tissue It is innervated, contains vessels for nutrition; bone cells to build up, maintain & break down bone (important in fracture healing).
  • 4.
    Bone tissue Bones canbe classified based on anatomy & structure; Anatomy Long, short, flat, irregular bones, & sesamoid bones Structure Macroscopic  Cortical bone  Cancellous bone / spongy bone / trabecular bone Microscopic  Lamellar bone  Woven bone
  • 5.
    Bone tissue Anatomic classification Longbones Short bones Flat bones Irregular bones Sesamoid bones
  • 6.
    Bone tissue Macroscopic structureclassification; Cortical bone 80% of the skeleton Characterized by slow turnover rate Made-up of packed osteons / haversian systems  Haversian canals  Volkmann canals Cancellous bone
  • 7.
    Bone tissue Macroscopic structureclassification; Cortical bone Cancellous bone / spongy bone / trabecular bone Higher turnover rate 30-90% of bone is porous & contains bone marrow
  • 9.
    Bone tissue Microscopic structureclassification; Woven bone Immature or pathologic bone; collagen fiber in random orientation More osteophytes High turnover rate than lamellar Weaker & more flexible than lamellar Lamellar bone
  • 10.
    Bone tissue Microscopic structureclassification; Woven bone Lamellar bone Secondary bone formed from remodeling of woven bone Well organized & stress oriented Stronger & less flexible than woven bone Slower turnover than woven bone
  • 11.
    Bone tissue Microscopic structureclassification; Woven bone Lamellar bone Secondary bone formed from remodeling of woven bone Well organized & stress oriented Stronger & less flexible than woven bone Slower turnover than woven bone
  • 12.
    Bone structure Parts ofa long bone; Diaphysis Epiphysis Metaphysis Articular cartilage Periosteum & endosteum (coverings) Medullary cavity
  • 13.
    Introduction Definition Fracture – A completeor partial break in the continuity of a bone Result of bone being loaded to failure
  • 14.
    Introduction Definition Joint dislocation Complete lossof congruity between the articular surfaces Joint subluxation Loss of congruity but the 2 surfaces are still in contact Transient subluxation During movement, a transient subluxation may cause sudden pain & the sensation of something ‘slipping out’, but often reduces spontaneously
  • 15.
    Introduction Definition; Fracture-dislocation A complex injurycomprising a fracture & a dislocation of the adjacent joint Sprains An incomplete tear of a ligament or tendon
  • 16.
  • 17.
    Causes Common causes offractures include; Fall from a height RTI Direct injury Repetitive force Pathology
  • 18.
    Signs & symptoms Whatare some of the signs & symptoms of a fracture? Swelling / edema Pain & tenderness Numbness Bleeding Broken skin with bone protruding Limitation to move a limb Other S&S are complications related Neuropathy, compartment syndrome, red cap refill
  • 19.
    Why classify fractures? Toguide the treatment To estimate the prognosis Anticipate & mitigate possible complications For easier communication
  • 20.
    Pathology of Fractures Classificationof fractures is based on; Aetiology Displacement Relationship with external environment Pattern AO / OTA Classification Based on eponyms
  • 21.
    Pathology of Fractures Classificationof fractures is based on; Aetiology Traumatic fractures Fragility fractures Stress / fatigue fractures Pathological fractures Displacement Relationship with external environment Pattern
  • 22.
    Pathology of Fractures Classificationof fractures is based on; Aetiology Traumatic fractures  Direct force (direct injury)  Indirect force (indirect injury) Fragility fractures Stress / fatigue fractures Pathological fractures Displacement Relationship with external environment Pattern
  • 23.
    Pathology of Fractures Classificationof fractures is based on; Aetiology Traumatic fractures Fragility fractures  Fractures associated with bone weakness – Osteoporosis Stress / fatigue fractures Pathological fractures Displacement Relationship with external environment Pattern
  • 24.
    Pathology of Fractures Classificationof fractures is based on; Aetiology Traumatic fractures Fragility fractures Stress / fatigue fractures  Normal bone – repetitive (heavy) loading, military personnel  Common sites? • Metatarsals, shaft of tibia, shaft of fibula, & NOF Pathological fractures Displacement Relationship with external environment Pattern
  • 26.
    Pathology of Fractures Classificationof fractures is based on; Aetiology Traumatic fractures Fragility fractures Stress / fatigue fractures Pathological fractures  Occurs in bones weakened by a disease process – malignancy, Paget's disease, osteogenesis imperfecta, O.M, bone cysts osteoporosis  Following trivial force / trauma or spontaneously Displacement Relationship with external environment Pattern
  • 29.
    Pathology of Fractures Classificationof fractures is based on; Aetiology Displacement Undisplaced fracture – frags in contact Displaced fracture – frags not in contact Relationship with external environment Pattern
  • 30.
    Pathology of Fractures Classificationof fractures is based on; Aetiology Displacement Undisplaced fracture – frags in contact Displaced fracture – frags not in contact Factors responsible for displacement are?  FRACTURING FORCE  MUSCLE PULL ON FRACTURE FRAGMENTS  GRAVITY Relationship with external environment Pattern
  • 34.
    Pathology of Fractures Classificationof fractures is based on; Aetiology Displacement How are fractures displaced? Relationship with external environment Pattern
  • 35.
    Pathology of Fractures Classificationof fractures is based on; Aetiology Displacement How are fractures displaced? i. Translation (shift) – sideways, backward, forward ii. Angulation (tilt) – angulated iii. Rotation (twist) iv. Length - shortening Relationship with external environment Pattern
  • 48.
    Pathology of Fractures Classificationof fractures is based on; Aetiology Displacement Relationship with external environment Closed fractures –  Overlying soft tissue cover is intact Open fractures –  Bone exposed.  How does a fracture become open?  How do we classify open fractures? Pattern
  • 50.
    Pathology of Fractures Classificationof fractures is based on; Aetiology Displacement Relationship with external environment Pattern – described by the # pattern, list the patterns? Transverse # Oblique # Spiral # Comminuted # Segmental # Compression / crush # Greenstick # Impacted #
  • 54.
    AO / OTAClassification What is OTA Orthopaedic Trauma Association What is AO Association of Osteosynthesis Reconstructive surgery aimed at stabilizing & joining the ends of a broken bone after a fracture, an osteotomy (bone cutting procedure to realign & reshape a bone or joint), or a non-union from a previous fracture
  • 55.
    AO / OTAClassification It aims at localizing the fracture by describing The bones & segments Each bone & bone region is numbered 1 – humerus 2 – radius & ulna 3 – femur 4 – tibia & fibula
  • 56.
    AO / OTAClassification Long bones are each divided into 3 segments; 1 – proximal 2 – shaft 3 – distal
  • 57.
    AO / OTAClassification After identifying the fractured bone and the location of the fracture (bone & segment), next we identify the type of fracture depending on the segment involved Fracture type is defined as A, B, or C
  • 58.
    AO / OTAClassification Proximal segment 1 & Distal segment 3 Q. Is the fracture intra-articular or extra-articular? A – extra-articular (doesn’t involve the joint surface) B – partial articular (fracture involves one part of the articular surface) C – complete articular (fracture has disrupted the joint surface)
  • 61.
    AO / OTAClassification Diaphyseal segment 2 Q. Is the fracture simple or multifragmentary? A – Simple fracture (with a single circumferential fracture) B – wedge (with one or more intermediate fragments) C – Multifragmentary(multiple fragments, noncontact btwn P & D)
  • 67.
    AO / OTAClassification After identification of the bone, segment, and type of fracture. We have groups & sub-groups for the fractures; Ascending order of severity According to the morphological complexity & difficulty in treatment and prognosis This is the fracture pattern Either due to twisting (spiral) or bending forces
  • 68.
    AO / OTAClassification Group; Spiral or twisting forces will produce a Simple spiral (X2-A1), spiral wedge (X2-B1), or spiral fragmented complex # (X2-C1) Bending forces produce a Simple oblique ((X2-A2), simple transverse (X2-A3), or Bending wedge (X2- B2), fragmented wedge (X2-B3), complex # (X2-C3) C2 fractures in the grouping is segmental by definition
  • 70.
    AO / OTAClassification AO summary Which bone? H1, ru2, f3, tf4 Which segment? P1, s2, d3 Fracture type? P & D – intra-articular, partial, complete articular = A, B, C Shaft – simple, wedge, multifragmentary = A, B, C Fracture group Further defines the type
  • 72.
    CLASSIFICATION • Bone =3 • Segment = 3 • Type = C • Group = 3 • 33-c3
  • 74.
    CLASSIFICATION • Bone =3 • Segment = 2 • Type = A • Group = 3 • 32-A3
  • 78.
    Pathology of Fractures Fractureclassification based on eponyms These fractures are named after individuals who either discovered or contributed significantly to the understanding of a specific type of fracture What are some of the fracture eponyms?
  • 79.
    Pathology of Fractures Fractureclassification based on eponyms What are some of the fracture eponyms? Colles fracture Smiths fracture Galeazzi fracture Monteggia fracture Bennett's fracture Rolando's fracture Maisonneuve fracture Segond's fracture Chance fracture Boxers fracture Chauffer's fracture (Hutchinson's fracture)
  • 80.
    Pathology of Fractures Fractureclassification based on eponyms What are some of the fracture eponyms? Colles fracture  A fracture of the distal radius with dorsal (upward) displacement, often resulting from a fall onto an outstretched hand. Named after Abraham Colles, who first described the fracture in 1814. Smiths fracture  A distal radius fracture, but with volar (downward) displacement, often described as the reverse of Colles' fracture. Named after Robert William Smith in 1847 Galeazzi fracture  A fracture of the radius with associated dislocation of the distal radioulnar joint (DRUJ). Named after Ricardo Galeazzi, who described it in 1934
  • 81.
    Pathology of Fractures Fractureclassification based on eponyms What are some of the fracture eponyms? Monteggia fracture  A fracture of the proximal third of the ulna with dislocation of the radial head. Named after Giovanni Battista Monteggia in 1814 Bennetts fracture  A fracture-dislocation of the base of the first metacarpal bone (thumb), involving the carpometacarpal (CMC) joint. Named after Edward Hallaran Bennett, who described it in 1882 Rolando's fracture  A comminuted intra-articular fracture of the base of the first metacarpal (thumb). It is often considered a more complex form of Bennett's fracture. Named after Silvio Rolando.
  • 82.
    Pathology of Fractures Fractureclassification based on eponyms What are some of the fracture eponyms? Potts fracture  A fracture of the lower end of the fibula, often associated with damage to the ligaments and dislocation of the ankle. Named after Percivall Pott, an English surgeon, in the 18th century Maisonneuve fracture  A spiral fracture of the proximal third of the fibula associated with an ankle injury, typically a disruption of the syndesmosis. Named after Jules Germain François Maisonneuve, who described it in 1840. Jones fracture  A fracture at the base of the fifth metatarsal, typically caused by inversion of the foot. Named after Sir Robert Jones, who reported it in 1902 after fracturing his own foot.
  • 83.
    Pathology of Fractures Fractureclassification based on eponyms What are some of the fracture eponyms? Segond's fracture  A small avulsion fracture of the lateral aspect of the tibial plateau, often associated with anterior cruciate ligament (ACL) injuries. Named after Paul Segond's, who first described it in 1879 Holstein-Lewis fracture  A fracture of the distal third of the humerus, often complicated by radial nerve injury. Named after Arthur Holstein and George Lewis, who described the fracture in 1963.
  • 84.
    Pathology of Fractures Fractureclassification based on eponyms What are some of the fracture eponyms? Boxers fracture  A fracture of the fifth metacarpal neck, often resulting from punching something. Although not technically an eponym, it is colloquially referred to as "Boxer's fracture" due to its association with fist fights. Hutchinson's fracture (chauffeurs fracture)  An intra-articular fracture of the radial styloid. Named after Jonathan Hutchinson. It’s also called “Chauffeur’s fracture” because it commonly occurred in early chauffeurs when hand-cranking a car engine.

Editor's Notes

  • #22 traumatic fractures are the commonest in this category, and they usually occur in normal bone due to sudden and excessive force more than the ability of the bone to withstand, the trauma can be direct or indirect . When we say direct trauma this is when someone drops something heavy like a gas cylinder on the toes leading to a metatarsal fracture - so these fractures occur at the point of impact, or road traffic incident when the bumper of a vehicle hits the shin leading to a fractured tibia or tibial plateau fracture when it comes to indirect trauma, the normal bone subjected to the external force fractures at a point distant from where the force was applied - eg a FOOSH injury leading to a fracture of the head of radius, or clavicle fracture following a fall on the shoulder.
  • #23 next we have fragility fractures - depending on different books you might encounter, some put together pathological fractures and fragility fractures. but for ease of understanding in our case the fragility fractures are fractures that occur in a bone with generalized weakness due to conditions like osteoporosis, which is physiological perse and not a disease
  • #24 stress fractures also called fatigue fractures usually occur in normal bone which is subjected to repeated heavy loading. these are commonly seen in athletes, military personel or dancers who have repetitive loading to the metartarsals normally, when the bone is loaded repeatedly, very minute deformities are usually formed in the bone that initiate remodeling of the bone. ANY ONE WITH AN IDEA OF WHAT REMOELLING IS?? Remodeling is a combination of bone resorption and new bone formation in accordance to Wolffs law. WHAT IS WOLFFS LAW? In stress fractures, the exposure to stress and deformation of bone is repeated and prolonged, this leads to bone resorption occurring faster than new bone formation some of the commonest sites of these stress fractures are the metatarsals - where we have the famous MARCH FRACTURES, shaft of tibia and fibula, and the Neck of femur,. as you can notice, all these are in the lower limb due to the nature of them being weight bearing
  • #26 and finally the Pathological fractures - these fractures usually occur through a bone that has been weakened by a disease process. the amount of force to cause these fractures is usually very minimal and would otherwise not cause a fracture in a normal healthy bone - eg tibial fibula fracture occurring when a person stands, fracture shaft of femur when walking.
  • #29 When we are talking about displacement of the fracture fragments, they an either be undisplaced or displaced, this is important to know and document because it plays an important part when it comes to management of the fracture
  • #30 when we talk about displacement of fractures, we are basically describing what has happened to the distal fragment in relation to the proximal fragment an undisplaced fracture is easy to identify as the bone cortex is broken but the bone is still aligned without loss of length, rotation, or angulation but a displaced one might be easier to identify
  • #34 We have already mentioned some of the factors responsible for displacement to occur; Next we will have a look at what comes next after displacement has occurred, the fragments might be displaced in a number of ways Again, it is important to know the orientation or type of displacement because it play a big part when it comes to management of the fracture. So how are these fracture fragments displaced? Anyone with an IDEA?? translation - angulation - rotation – length
  • #35  So how are these fracture fragments displaced? translation - the distal fragment is shifted sideways, backwards or forwards in relation to proximal fragment angulation - distal fragment displaced at an angle to the proximal rotation - distal fragment twisted along its axis. BEWARE it might look aligned on xray, but limb may end up with rotational deformity - THEREFORE ALWAYS STICK TO THE RULE OF TWOs - 2 views, 2 joints (jt above & below injury), 2 occasions, 2 sides (esp in children due to growth plates), and lastly the length - here the fragments may be distracted and separated or may overlap due to muscle spasms causing shortening
  • #48 we say a fracture is closed if the overlying soft tissue cover is intact, and open or compound when the bone is exposed, or there is a wound on the skin surface leading down to the fracture site when we are talking about open fractures, how does a fracture become open? it can be internally open (from within) or externally open (from outside) internally open fractures occur when the sharp fracture fragment ends pierces the skin from within, resulting in an open fracture and an externally open fracture occurs when the object causing the fracture lacerates the skin and soft tissue over the bone, as it breaks the bone so, between an externally open and internally open fracture which one is more at risk and why?
  • #50 transverse - the fracture line is perpendicular to the long axis of the bone oblique - the fracture line is oblique to long axis of the bone spiral - the fracture line runs spirally in more than 1 plane comminuted - fracture with multiple fracture lines & resulting in multiple fragments segmental - two fractures in one bone but at different levels compression greenstick - these are incomplete fractures which result in bending of the bone and not breaking impacted - bone fragments are driven firmly together that they become interlocked & there is no movement between them