ENAMEL PREPARATION AND SELF
ETCHING PRIMER
Presented by-
Dr SIDHARTH RAVI PILLAI
PG 1ST year
Department of Orthodontics and Dentofacial Orthopaedics
1
12/19/2023
CONTENTS
• INTRODUCTION
• MATERIAL AND DEVICES USED IN ORTHODONTICS
• BONDING MATERIALS
• BONDING SURFACE
• DEBONDING
• PREVENTION AND REVERSAL OF DECALIFICATION
• BONDED RETAINERS
2
12/19/2023
CONTENTS
• BONDED RETAINERS
• OTHER APPLICATION OF BONDING
• CONCLUSION
• REFERENCES
3
12/19/2023
INTRODUCTIONS
• Orthodontists now are approaching 40 years of successfully, reliable orthodontic
bonding in offices around the world.
• Achieving a low bond failure rate should be a high-priority objective, since replacing
loose brackets is inefficient, time-consuming, and costly.
• Consequently, a continuous search is on for higher bond strengths, betteradhesives,
simpler procedures, and materials that will bond in the presence of saliva
12/19/2023 4
• failures result from inconsistencies in the bonding technique and not because of the
bonding resins, inadequate bond strengths, or quality of the brackets being used.
• Newer resin systems and alternative methods to bond to enamel may be giving the
false impression that one need not be so careful with the bonding procedures as
before
12/19/2023 5
• The basis for the adhesion of brackets to enamel has been enamel etching with
phosphoric acid, as first proposed by Buonocore in 1955
12/19/2023 6
12/19/2023 7
• To help organize the contents, this seminar is divided into four parts:
1. Bracket bonding
2. Debonding
3. Bonded retainers
4. Other applications of bonding
12/19/2023 8
BRACKET BONDING
• Success in bonding requires understanding of and adherence to accepted orthodontic
and preventive dentistry principles.
• The advantages and disadvantages of bonding versus banding of different teeth must
be weighed according to each practitioner’s preferences, skill, and experience.
12/19/2023 9
• Bonding should be considered as part of a modern preventive package that also
includes a strict oral hygiene program, fluoride supplementation, and the use of
simple yet effective appliance
12/19/2023 10
BONDING PROCEDURE
• The steps involved in direct and indirect bracket bonding on facial or lingual surfaces
are as follows:
• Cleaning
• Enamel conditioning
• Sealing
• Bonding
12/19/2023 11
CLEANING
• Cleaning of the teeth with pumice removesplaque and the organic pellicle that
normally covers all teeth.
• One must exercise care to avoid traumatizing the gingival margin and initiating
bleeding on teeth that arenot fully erupted.
12/19/2023 12
ENAMEL CONDITIONING
• Moisture Control. After the rinse, salivary control and maintenance of a dry working
field is essential. Many devices on the market accomplish this:
• Lip expanders and cheek retractors
• Saliva ejectors
• Salivary duct obstructors
• Gadgets that combine several of these
• Cotton or gauze rolls
12/19/2023 13
• Enamel Pretreatment. After the operative field has been isolated, the conditioning
solution or gel is applied over the enamel surface for 15 to 30 seconds .
• When etching solutions are used, the surface may be kept moist by repeated
applications.
• At the end of the etching period, the etchant is rinsed off the teeth with abundant
water spray.
12/19/2023 14
• A high-speed evacuator is strongly recommended for increased efficiency in
collecting the etchant-water rinse and to reduce moisture contamination on teeth.
• Next, the teeth are dried thoroughly with a moisture and oil free air source to obtain
the well-known dull,frosty appearance.
• Teeth that do not appear dull and frosty white should be re-etched.
12/19/2023 15
12/19/2023 16
SEALANT, PRIMERS
• After the teeth are completely dry and frosty white, a thin layer of bonding agent
(sealant,primer) may be painted over the etched enamel surface.
• The coating may be thinned by a gentle air burst for 1 to 2 seconds. Bracket
placement should be started immediately after all etched surfaces are coated.
12/19/2023 17
• A particular problem in orthodontics is that the sealant film on a facial tooth surface
is so thin that oxygen inhibition of polymerization is likely to occur with
autopolymerizing sealants.
• With acetone-containingand light-polymerized sealants, nonpolymerization seems
less of a problem.
12/19/2023 18
• Sealants also provide enamel cover in areas of adhesive voids, which is probably
especially valuable with indirect bonding.
12/19/2023 19
MOISTURE-INSENSITIVE PRIMERS
• In an attempt to reduce the bond failure rates under moisture contaminations,
hydrophilic primers that can bond in wet fields(Transbond MIP, 3M/Unitek,
Monrovia, California andAssure, Reliance Orthodontics, Itasca, Illinois) have been
introduced as a potential solution.
12/19/2023 20
• Although bond strengths were significantly lower under wet conditions than in dry
conditions, the hydrophilic primers may be suitable in difficult moisture-control
situations.
• This may be the case in some instances of second molar bonding and when there is
risk for blood contamination on half erupted teeth and on impacted canines. For
optimal results, the moisture-insensitive primers should be used with their respective
adhesive resins
12/19/2023 21
SELF-ETCHING PRIMERS
• Combining conditioning and priming into one step may result in improvement in
time and cost-effectiveness for clinicians and patients, provided the clinical bond
failure rates are not increased.
• The main feature of the single-step etch primer bonding systems is that no separate
acid etching of the enamel and subsequent rinsing with water and airspray is
required; the liquid itself has a component thatconditions the enamel surface.
12/19/2023 22
• The active ingredient of the self-etching primers (SEPs) is a methacrylated
phosphoric acid ester that dissolves calcium from hydroxyapatite.
• Rather than being rinsed away, the removed calcium forms a complex and is
incorporated into thenetwork when the primer polymerizes.
• Etching and monomer penetration to the exposed enamel rods are simultaneous, and
the depth of etch and primer penetration are identical.
12/19/2023 23
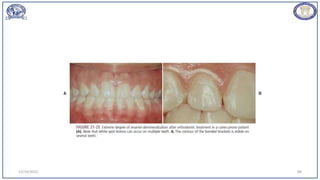
12/19/2023 24
12/19/2023 25
• Clinical procedure: For optimal bonding with the SEP Transbond Plus (3M/Unitek),
the authors recommend the following sequence
1.Dry the tooth surface.
2. Apply Transbond Plus.
3. Bond the bracket with Transbond XT (3M/Unitek) and cure with light.
12/19/2023 26
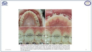
12/19/2023 27
12/19/2023 28
• The single-use package consists of three compartments. The first compartment
contains methacrylated phosphoric acid esters, photosensitizers, and stabilizers.
• The second compartment contains water and soluble fluoride.
• The third compartment contains an applicator microbrush Squeezing and folding the
firstcompartment over to the second activates the system.The mixed component then
is ejected to the third towet the applicator tip. Stay on the tooth surface toavoid
gingival irritation
12/19/2023 29
12/19/2023 30
• Debonding brackets after SEP application also is easier and requires shorter time to
remove the adhesive compared with acid etching.
• However, there is not enough information on the effect of SEP application on enamel
resistance against demineralizations.
12/19/2023 31
• Bonding. Immediately after all teeth to be bonded have been painted with sealant or
primer, the operator should proceed with the actual bonding of the attachments.
• At present, the majority of clinicians routinely bond brackets with the direct rather
than the indirect technique.
• The easiest method of bonding is to add a slight excess of adhesive to the backing of
the attachment and then place the attachment on the tooth surface in its correct
position.
12/19/2023 32
12/19/2023 33
• The recommended bracket bonding procedure (with any adhesive) consists of the
following steps:
1. Transfer
2. Positioning
3. Fitting
4. Removal of excess
12/19/2023 34
• Transfer- The clinician grips the bracket with reverse action tweezers and then
applies the mixed adhesive to the back of the bonding base
• Positioning- The clinician uses a placement scaler to position the brackets
mesiodistally and incisogingivally and to angulate them accurately relative to the
long axis of the teeth.
12/19/2023 35
• Fitting-Next, the clinician turns the scaler and with one-point contact with the
bracket, pushes firmly toward the tooth surface.
• The tight fit will result in good bond strength, little material to remove on debonding,
optimal adhesive penetration into bracket backing, and reduced slide when excess
material extrudes peripherally.
12/19/2023 36
• Removal of Excess- A slight bit of excess adhesive is essential to minimize the
possibility of voids and to be certain that the adhesive will be buttered into the
bracket backing when the bracket is being fitted.
12/19/2023 37
TYPES OF ADHESIVES
• Two basic types of dental resins may be used for orthodontic bracket bonding. Both
are polymers and are classified as acrylic or diacrylate resins.
• Both types of adhesive exist in filled or unfilled forms. The acrylic resins are based
on self-curing acrylics and consist of methylmethacrylate monomer and ultrafine
powder.
• Most diacrylate resins are based on the acrylic modified epoxy resin bis-GMA or
Bowen’s resin
12/19/2023 38
• No-Mix Adhesives
• Light-Polymerized Adhesives
12/19/2023 39
NO-MIX ADHESIVES
• No-mix adhesives set when one under light pressure is brought together with a
primer fluid on the etched enamel and bracket backing or when another paste on the
tooth is to be bonded.
• Thus, one adhesive component is applied to the bracket base while another is applied
to the dried etched tooth.As soon as the bracket is positioned precisely, the ortho-
dontist presses the bracket firmly into place and curing occurs, usually within 30 to
60 seconds.
12/19/2023 40
LIGHT-POLYMERIZED ADHESIVES
• The desire to cure on demand is driving an increasing number of orthodontictuse light-cured
adhesives instead of the more traditional paste-paste adhesives requiring in-office mixing
• In light-cure adhesives,the curing process begins with the photoinitiator is activated
most of the dental photoinitiator system use camphoroquinone as diketone absorber,with
the absorption maximum in the blue region of the visible light spectrum at a wavelength
of 470mm.
• The light-cured adhesives are routinely used today by more than 90% of orthodontist and are
dominating
12/19/2023 41
• Metallic and ceramic brackets precoated with lightcured composite and stored in
suitable containers are practical in use and are becoming increasingly more popular
among clinicians.
• Such brackets have consistent quality of adhesive, reduced flash, reduced waste,
improved cross-infection control, and adequate bond strength.
12/19/2023 42
12/19/2023 43
LIGHT SOURCES
• Conventional and fast halogen lights
• Argon lasers
• Plasma arc lights
• Light-emitting diodes (LEDs)
12/19/2023 44
GLASS IONOMER CEMENTS
• The glass ionomer cements were introduced in 1972, primarily as luting agents and
direct restorative material, with unique properties for bonding chemically to enamel
and dentin and to stainless steel and being able to release fluoride ions for caries
protection.
12/19/2023 45
• Glass ionomer and light-cured glass ionomer cements now are used routinely by
most orthodontists for cementing bands,
• Because they are stronger than zinc phosphate and polycarboxylate cements, with
less demineralization at the end of treatment and adhesion to enamel and metal.
12/19/2023 46
BRACKETS
• Brackets are passive components of fixed orthodontics appliance which transfer
force from the arch wire to the tooth
• Three types of attachments are presently available for orthodontic bracket bonding:
plastic based, ceramic based, and metal (e.g., stainless steel, gold-coated, titanium)
based.
12/19/2023 47
PLASTIC BRACKETS
• Plastic Brackets. Plastic attachments are made of polycarbonate and are used mainly
for aesthetic reasons.
• Pure plastic brackets lack strength to resist distortion and breakage, wire slot wear
(which leads to loss of tooth control), uptake of water, discoloration
12/19/2023 48
CERAMIC BRACKETS
• Ceramic brackets have become an important though sometimes troublesome part of
today’s orthodontic practice.
• Ceramic orthodontic brackets are machined from monocrystalline or polycrystalline
aluminum oxide. Theoretically, such brackets should combinethe aesthetics of plastic
and the reliability of metal brackets
12/19/2023 49
• Ceramic brackets bond to enamel by two different mechanisms:
(1) mechanical retention via indentations and undercuts in the base
(2) chemical bonding by means of a silane coupling agent.
12/19/2023 50
METAL BRACKETS
• Metal brackets rely on mechanical retention for bonding, and mesh gauze is the
conventional method of providing this retention.
• The area of the base itself is probably not a crucial factor regarding bond strength
with mesh-backed brackets.
• The use of small, less noticeable metal bases helps avoid gingival irritation. For the
same reason, the baseshould be designed to follow the tissue contour along
thegingival margin.
12/19/2023 51
GOLD-COATED BRACKETS
• Gold-coated steel brackets have been introduced and have gained popularityparticularly
for maxillary premolar and for mandibular anterior and posterior teeth.
• Thegold-coated brackets may be regarded as an aesthetic improvement over stainless
steel attachments, and they are neater and thus more hygienic than ceramic alternatives.
• Patient acceptance of gold-coated attachments isgenerally positive.
12/19/2023 52
GOLD-COATED BRACKETS
12/19/2023 53
LINGUALATTACHMENTS
• A drawback when bonding brackets on the labial surface,compared with banding, is
that conventional attachments for control during tooth movement (e.g.,
cleats,buttons, sheaths, eyelets) are not included.
• In selected instances such aids may be bonded to the lingual surfaces to supplement
the appliance Because bonded lingual attachments may be swallowed or aspirated if
they come loose, cleats are preferred to buttons.
12/19/2023 54
• Cleats may be closed with an instrument over the elastic module or steel ligature. The
bonding of brackets to the lingual surfaces of teeth is discussed separately.
12/19/2023 55
LIGATION OF BONDED BRACKETS
• The rule of thumb in ligation is that the ligature wire should be twisted with the
strand that crosses over the archwire closest to the bracket wing . This tightens the
ligature when the end is tucked under the archwire.
• elastic rings are time saving, they are plaqueattractive to the extent that their use is
contraindicated if one aims at excellent oral hygiene and healthy gingival conditions
in the patients.
• Steel ties are safer than elastomers and definitely more hygienic
12/19/2023 56
12/19/2023 57
• Several types of ligature-less, self-ligating, low-friction brackets have become
available in recent years (e.g.,SPEED System [Strite Industries, Cambridge, Ontario],
Damon Q [Ormco], Smartclip SL3 [3M/Unitek]).
• The popularity of these brackets seems to be increasing.1 Such brackets may offer
the advantages of saving time, reducing friction, and
probably increasing patient comfort.
12/19/2023 58
12/19/2023 59
INDIRECT BONDING
• Several techniques for indirect bonding are available.
• Insome, the brackets are glued with a temporary material to the teeth on the patient’s
models, transferred to the mouth with some sort of tray into which the brackets
become incorporated, and then bonded simultaneously with a bis-GMA resin.
12/19/2023 60
12/19/2023 61
• Indirect bonding techniques attach the brackets with composite resin to form a
custom base.
• A transfer tray of silicone putty or thermoplastic material is used,and the custom
bracket bases are then bonded to the teeth with chemically cured sealant.
• The main advantages of indirect compared with direct bonding are that the brackets
can be positioned more accurately in the laboratory and the clinical chair time is
decreased.
12/19/2023 62
CLINICAL PROCEDURE OF INDIRECT BONDING
TECHIQUE
1.Take an impression and pour up a stone (not plaster)model.
2. Select brackets for each tooth.
3. Isolate the stone model with a separating medium.
4. Attach the brackets to the teeth on the model with light-cured or thermally cured
composite resin, or use adhesive precoated brackets.
12/19/2023 63
5. Check all measurements and alignments. Reposition if needed.
6. Make a transfer tray for the brackets,Material can be putty silicone, thermoplastics, or
similar.
7. After removing the transfer trays, gently sandblast the adhesive bases with a
microetching unit, taking care not to abrade the resin base.
12/19/2023 64
8.Apply acetone to the bases to dissolve the remaining separating medium.
9. Prepare the patient’s teeth as for a direct application.
10. Apply Sondhi Rapid Set resin A to the tooth surfaces and resin B to the bracket
bases. (If Custom I.Q. isused, apply resin B to the teeth and resin A to the bases).
12/19/2023 65
11. Seat the tray on the prepared arch and with the fingers apply equal pressure to the
occlusal, labial,and buccal surfaces. Hold for a minimum of 30 seconds, and allow for 2
minutes or more of curing time before removing the tray.
12. Remove excess flash of resin from the gingival and contact areas of the teeth with a
scaler or contra angle handpiece and tungsten carbide bur.
12/19/2023 66
12/19/2023 67
REBONDING
• Bonded brackets that become loose during treatment consume much chair time are
poor publicity for the office and are a nuisance to the orthodontist.
• loose metal bracket is removed from the archwire and Any adhesive remaining on
the tooth surface is removed with a tungsten carbide bur.
• The adhesive remaining on the loose bracket is treated by sandblasting
until all visible bonding material is removed from thebase.
• The tooth then is etched with Ultraetch 35% phosphoric acid gel for 15 seconds
After priming, the bracket is rebonded again.
12/19/2023 68
DEBONDING
• The objectives of debonding are to remove the attachment and all the adhesive resin
from the tooth and restore the surface as closely as possible to its pretreatment
condition without inducing iatrogenic damage.
• Debonding may be unnecessarily time consuming and damaging to the enamel if
performed with improper technique or carelessly.
12/19/2023
69
Because several aspects of debonding are controversial, debonding is discussed in detail
as follows-
• Clinical procedure
• Characteristics of normal enamel
• Amount of enamel lost in debonding
12/19/2023 70
• Enamel tearouts
• Enamel cracks (fracture lines)
• Adhesive remnant wear
• Reversal of decalcifications
12/19/2023 71
CLINICAL PROCEDURES
• The clinical debonding procedure may be divided into two stages
1. Bracket removal
2. Removal of residual adhesive
12/19/2023 72
• Bracket Removal: Steel Brackets. Several different procedures for debracketing with
pliers are available.
• An original method was to place the tips of a twin-beaked pliers against the mesial
and distal edges of the bonding base and cut the brackets off between the tooth and
the base
12/19/2023 73
• Bracket removal:Ceramic brackets will not flex when squeezed with debonding
pliers.
• Cutting the brackets off with gradual pressure from the tips of twin-beaked pliers
oriented mesiodistally close to the bracket–adhesive interface is not recommended
because it might introduce horizontal enamel cracks.
12/19/2023 74
• Removal of Residual Adhesive. Because of the color similarity between present
adhesives and enamel, complete removal of all remaining adhesive is not achieved
easily.
• Many patients may be left with incomplete resin removal, which is not acceptable.
Abrasive wear of present bonding resins is limited, and remnants are likely to
become unaesthetically discolored with time.
12/19/2023 75
• The removal of excess adhesive may be accomplished by (1) scraping with a sharp
band or bond-removing pliers or with a scaler or by (2) using a suitable bur and
contra-angle.
12/19/2023 76
12/19/2023 77
CHARACTERISTICS OF
NORMAL ENAMEL
• Tooth surface is not in a static state,the normal structure differs considerably among
young,adolescent, and adult teeth.
• Normal wear must be considered in any discussion of tooth surface appearance after
debonding.
• The characteristics are visible on the clinical and microscopic levels.
12/19/2023 78
• The most evident clinical characteristics of young teeth that have just erupted into the
oral cavity are the perikymata that run around the tooth over its entire surface.
• In adult teeth the clinical picture reflects wear and exposure to varying mechanical
forces (e.g., toothbrushing habits and abrasive foodstuffs).
• In other words, the perikymata ridges are worn away and replaced by a scratched
pattern.
12/19/2023 79
12/19/2023 80
AMOUNT OF ENAMEL LOST IN DEBONDING
• Cleanup of unfilled resins may be accomplished with hand instrumentation only, and
this procedure generally results in a loss of 5 to 8 microns of enamel.
• Depending on the instruments used for prophylaxis,total enamel loss for unfilled
resins may be 2 to 40microns.
• Adequate removal of filled resin generally requires rotary instrumentation; the
enamel loss then may be 10 to 25 microns
12/19/2023 81
ENAMEL TEAROUTS
• Localized enamel tearouts have been reported to occur associated with bonding and
debonding metal and ceramic brackets.
• Tearouts may be related at least in part to the type of filler particles in the adhesive
resin used for bonding and to the location of bond breakage.
12/19/2023 82
12/19/2023 83
• Ceramic brackets using chemical retention cause enamel damage more often than
those using mechanical retention.
• This damage occurs probably because the location of the bond breakage is at the
enamel–adhesive interface rather than at the adhesive–bracket interface.
12/19/2023 84
ENAMEL CRACKS (FRACTURE LINES)
• Cracks, occurring as split lines in the enamel, are common but often are overlooked
at clinical examination because most are difficult to distinguish clearly without
special technique; generally they do not show up on routine intraoral photographs
• Thus, finger shadowing in good light or, preferably, fiberoptic transillumination is
needed for a proper impression of the crack
12/19/2023 85
12/19/2023 86
ADHESIVE REMNANT WEAR
• adhesive has been found on the tooth surface,even after attempts to remove it with
mechanical instruments. Because of color resemblance to the teeth, particularly when
wet, residual adhesive easily may remainundetected.
• In other instances, adhesive may be left on purpose because the operator expects that
it will wear off with time.
12/19/2023 87
REVERSAL OF DECALCIFICATION
• White spots or areas of demineralization are carious lesions of varying extent. The
incidence and severity of white spots after a full term of orthodontic treatment have
been studied by several authors.
• The general conclusion was that individual teeth, banded or bonded,may exhibit
significantly more white spot formation than may untreated control teeth.
12/19/2023 88
12/19/2023 89
• This degree of iatrogenic damage suggests the need for preventive programs using
fluoride associated with fixed appliance orthodontic treatment.
• Daily rinsing with dilute (0.05%) sodium fluoride solution throughout the periods of
treatment and retention, plus regular use of a fluoride dentifrice, is recommended as a
routine procedure for all orthodontic patients
12/19/2023 90
MICROABRASION
• When the remineralizing capacity of the oral fluids is exhausted and white spots are
established.
• microabrasion is the optimal way to remove superficial enamel opacities. By the use
of this technique, one can eliminate enamel stains with minimal enamel loss.
12/19/2023 91
BONDED RETAINERS
• The use of fixed lingual bonded retainers is increasing,and the various forms allow
more differentiated retention than before.
• Bonded retainers also have other advantages:
1. Completely invisible from the front
2. Reduced need for long-term patient cooperation
3. Long-term (up to 10 years) and even permanent
4.the same degree of stability
12/19/2023 92
• The term differential retention, as introduced by the late Dr. James L. Jensen, implies
that special attention is directed toward the strongest or most important predilection
site for relapse in each case.
12/19/2023 93
Different types of bonded retainers
• Mandibular canine-to-canine (3-3) retainer bar
• Direct contact splinting
• Flexible spiral wire retainers
• Hold retainers for individual teeth
12/19/2023 94
OTHER APPLICATIONS OF BONDING
• Numerous other clinical possibilities of interest to orthodontists exist in which the
acid-etch technique and bonding has proved useful such as in
• Space maintainers
• Semipermanent single-tooth replacements
• Trauma fixation
• Resin buildups for tooth size and shape problems
12/19/2023 95
BONDED SPACE MAINTAINERS
• Bonded space maintainers made from plain, round 0.032-inch stainless steel wire
sandblasted terminally for micromechanical retention or from gold-coated 0.030-inch
wire.
12/19/2023 96
12/19/2023 97
BONDED SINGLE-TOOTH REPLACEMENTS
• Because of the well-known problems with fixed bridgework and removable
appliances of the spoon denture type in young patients.
• acid etching and bonding offer a range of aesthetic techniques for the solution of the
problem with anterior teeth
• The use of resin-bonded bridgework (three-unit or cantilever) has become accepted
as a semipermanent procedure.
12/19/2023 98
12/19/2023 99
SPLINTING OF TRAUMATIC INJURIES
• The goal of splinting traumatized teeth is to stabilize,allow healing, and prevent
further damage to the pulp and periodontal structures.
• Several types of traumatic splinting devices are used conventionally, but for various
reasons none of these splints is optimal. Thus clinical experiments using different
bonded wires are interesting.
12/19/2023 100
12/19/2023 101
Short-term studies have demonstrated clinical success with bonded plastic wire and
stainless steel spiral wire.
COMPOSITE BUILDUPS AND PORCELAIN
LAMINATE VENEERS
• The addition of composite resin or porcelain laminates to noncarious teeth during or
after orthodontic treatment may be indicated on single or multiple teeth to solve tooth
shape and size problems.
12/19/2023 102
12/19/2023 103
• For example, small or peg-shaped maxillary lateral incisors and canines brought into
contact with maxillary centrals when the laterals are congenitally missing.
12/19/2023 104
CONCLUSION
• Dental adhesive technology continues to progress at a rapid pace.
• Today,adhesive resins,direct bonding ,and light curing units are in dispensable part
of the modern orthodontists daily practice.
• Our profession has benefited tremendously from the application of direct bonding
and advances in material science.
• Like any other materials,composite resins and bonding have their particular benefits
and drawbacks
12/19/2023 105
• Beyond a doubt,modern orthodontics should have a thorough knowledge and
comprehension of the materials available so that they can choose the best product
available for their particular needs and to make the best use of them.
12/19/2023 106
REFERENCES
• Graber,Vig,Huang,Fleming :Orthodontics current principles and techniques 7TH
editions
• William R Profitt :Contemporary orthodontics 6th edition
• Keim RG, Gottlieb EL, Nelson AH, et al. 2008 JCO study of orthodontic diagnosis
and treatment procedures. Part 1. Results and trends. J Clin Orthod. 2008;42:625–
640.
• Swartz ML. Orthodontic bonding. Orthod Select. 2004;16(2):1–4.
12/19/2023 107
• Buonocore MG. A simple method of increasing the adhesion of acrylic filling
materials to enamel surface. J Dent Res.1955;34:849.
• Zachrisson BU. A posttreatment evaluation of direct bonding in orthodontics. Am J
Orthod. 1977;71:173–189.
• Mannerberg F. Appearance of tooth surface. Odontol Rev.1960;11(suppl 6):1–116.
12/19/2023 108
• Schaneveldt S, Foley TF. Bond strength comparison of moisture insensitive primers.
Am J Orthod Dentofac Orthop.2002;122:267–27
• Maiman TH. Stimulated optical radiation in ruby lasers.Nature. 1960;187:493.
• Gross AJ, Hermann TR. History of lasers. World J Urol.2007;25(3):217–220.
• Parker S. Verifiable CPD paper: introduction, history of lasers and laser light
production. Br Dent J. 2007;202(1):21–31
12/19/2023 109
• Zeppieri IL, Chung C, Mante FK. Effect of saliva on shearbond strength of an
orthodontic adhesive used with moisture-insensitive and self-etching primers. Am J
Orthop. 2003;124:414–419.
• Bishara SE, Oonsombat C, Ajlouni R, et al. Comparison ofthe shear bond strength of
2 self-etch primer/adhesive systemsAm J Orthod Dentofac Orthop. 2004;125:348–
350.
12/19/2023 110

enamel preparation and self etching primer.pptx

  • 1.
    ENAMEL PREPARATION ANDSELF ETCHING PRIMER Presented by- Dr SIDHARTH RAVI PILLAI PG 1ST year Department of Orthodontics and Dentofacial Orthopaedics 1 12/19/2023
  • 2.
    CONTENTS • INTRODUCTION • MATERIALAND DEVICES USED IN ORTHODONTICS • BONDING MATERIALS • BONDING SURFACE • DEBONDING • PREVENTION AND REVERSAL OF DECALIFICATION • BONDED RETAINERS 2 12/19/2023
  • 3.
    CONTENTS • BONDED RETAINERS •OTHER APPLICATION OF BONDING • CONCLUSION • REFERENCES 3 12/19/2023
  • 4.
    INTRODUCTIONS • Orthodontists noware approaching 40 years of successfully, reliable orthodontic bonding in offices around the world. • Achieving a low bond failure rate should be a high-priority objective, since replacing loose brackets is inefficient, time-consuming, and costly. • Consequently, a continuous search is on for higher bond strengths, betteradhesives, simpler procedures, and materials that will bond in the presence of saliva 12/19/2023 4
  • 5.
    • failures resultfrom inconsistencies in the bonding technique and not because of the bonding resins, inadequate bond strengths, or quality of the brackets being used. • Newer resin systems and alternative methods to bond to enamel may be giving the false impression that one need not be so careful with the bonding procedures as before 12/19/2023 5
  • 6.
    • The basisfor the adhesion of brackets to enamel has been enamel etching with phosphoric acid, as first proposed by Buonocore in 1955 12/19/2023 6
  • 7.
  • 8.
    • To helporganize the contents, this seminar is divided into four parts: 1. Bracket bonding 2. Debonding 3. Bonded retainers 4. Other applications of bonding 12/19/2023 8
  • 9.
    BRACKET BONDING • Successin bonding requires understanding of and adherence to accepted orthodontic and preventive dentistry principles. • The advantages and disadvantages of bonding versus banding of different teeth must be weighed according to each practitioner’s preferences, skill, and experience. 12/19/2023 9
  • 10.
    • Bonding shouldbe considered as part of a modern preventive package that also includes a strict oral hygiene program, fluoride supplementation, and the use of simple yet effective appliance 12/19/2023 10
  • 11.
    BONDING PROCEDURE • Thesteps involved in direct and indirect bracket bonding on facial or lingual surfaces are as follows: • Cleaning • Enamel conditioning • Sealing • Bonding 12/19/2023 11
  • 12.
    CLEANING • Cleaning ofthe teeth with pumice removesplaque and the organic pellicle that normally covers all teeth. • One must exercise care to avoid traumatizing the gingival margin and initiating bleeding on teeth that arenot fully erupted. 12/19/2023 12
  • 13.
    ENAMEL CONDITIONING • MoistureControl. After the rinse, salivary control and maintenance of a dry working field is essential. Many devices on the market accomplish this: • Lip expanders and cheek retractors • Saliva ejectors • Salivary duct obstructors • Gadgets that combine several of these • Cotton or gauze rolls 12/19/2023 13
  • 14.
    • Enamel Pretreatment.After the operative field has been isolated, the conditioning solution or gel is applied over the enamel surface for 15 to 30 seconds . • When etching solutions are used, the surface may be kept moist by repeated applications. • At the end of the etching period, the etchant is rinsed off the teeth with abundant water spray. 12/19/2023 14
  • 15.
    • A high-speedevacuator is strongly recommended for increased efficiency in collecting the etchant-water rinse and to reduce moisture contamination on teeth. • Next, the teeth are dried thoroughly with a moisture and oil free air source to obtain the well-known dull,frosty appearance. • Teeth that do not appear dull and frosty white should be re-etched. 12/19/2023 15
  • 16.
  • 17.
    SEALANT, PRIMERS • Afterthe teeth are completely dry and frosty white, a thin layer of bonding agent (sealant,primer) may be painted over the etched enamel surface. • The coating may be thinned by a gentle air burst for 1 to 2 seconds. Bracket placement should be started immediately after all etched surfaces are coated. 12/19/2023 17
  • 18.
    • A particularproblem in orthodontics is that the sealant film on a facial tooth surface is so thin that oxygen inhibition of polymerization is likely to occur with autopolymerizing sealants. • With acetone-containingand light-polymerized sealants, nonpolymerization seems less of a problem. 12/19/2023 18
  • 19.
    • Sealants alsoprovide enamel cover in areas of adhesive voids, which is probably especially valuable with indirect bonding. 12/19/2023 19
  • 20.
    MOISTURE-INSENSITIVE PRIMERS • Inan attempt to reduce the bond failure rates under moisture contaminations, hydrophilic primers that can bond in wet fields(Transbond MIP, 3M/Unitek, Monrovia, California andAssure, Reliance Orthodontics, Itasca, Illinois) have been introduced as a potential solution. 12/19/2023 20
  • 21.
    • Although bondstrengths were significantly lower under wet conditions than in dry conditions, the hydrophilic primers may be suitable in difficult moisture-control situations. • This may be the case in some instances of second molar bonding and when there is risk for blood contamination on half erupted teeth and on impacted canines. For optimal results, the moisture-insensitive primers should be used with their respective adhesive resins 12/19/2023 21
  • 22.
    SELF-ETCHING PRIMERS • Combiningconditioning and priming into one step may result in improvement in time and cost-effectiveness for clinicians and patients, provided the clinical bond failure rates are not increased. • The main feature of the single-step etch primer bonding systems is that no separate acid etching of the enamel and subsequent rinsing with water and airspray is required; the liquid itself has a component thatconditions the enamel surface. 12/19/2023 22
  • 23.
    • The activeingredient of the self-etching primers (SEPs) is a methacrylated phosphoric acid ester that dissolves calcium from hydroxyapatite. • Rather than being rinsed away, the removed calcium forms a complex and is incorporated into thenetwork when the primer polymerizes. • Etching and monomer penetration to the exposed enamel rods are simultaneous, and the depth of etch and primer penetration are identical. 12/19/2023 23
  • 24.
  • 25.
  • 26.
    • Clinical procedure:For optimal bonding with the SEP Transbond Plus (3M/Unitek), the authors recommend the following sequence 1.Dry the tooth surface. 2. Apply Transbond Plus. 3. Bond the bracket with Transbond XT (3M/Unitek) and cure with light. 12/19/2023 26
  • 27.
  • 28.
    12/19/2023 28 • Thesingle-use package consists of three compartments. The first compartment contains methacrylated phosphoric acid esters, photosensitizers, and stabilizers. • The second compartment contains water and soluble fluoride. • The third compartment contains an applicator microbrush Squeezing and folding the firstcompartment over to the second activates the system.The mixed component then is ejected to the third towet the applicator tip. Stay on the tooth surface toavoid gingival irritation
  • 29.
  • 30.
  • 31.
    • Debonding bracketsafter SEP application also is easier and requires shorter time to remove the adhesive compared with acid etching. • However, there is not enough information on the effect of SEP application on enamel resistance against demineralizations. 12/19/2023 31
  • 32.
    • Bonding. Immediatelyafter all teeth to be bonded have been painted with sealant or primer, the operator should proceed with the actual bonding of the attachments. • At present, the majority of clinicians routinely bond brackets with the direct rather than the indirect technique. • The easiest method of bonding is to add a slight excess of adhesive to the backing of the attachment and then place the attachment on the tooth surface in its correct position. 12/19/2023 32
  • 33.
  • 34.
    • The recommendedbracket bonding procedure (with any adhesive) consists of the following steps: 1. Transfer 2. Positioning 3. Fitting 4. Removal of excess 12/19/2023 34
  • 35.
    • Transfer- Theclinician grips the bracket with reverse action tweezers and then applies the mixed adhesive to the back of the bonding base • Positioning- The clinician uses a placement scaler to position the brackets mesiodistally and incisogingivally and to angulate them accurately relative to the long axis of the teeth. 12/19/2023 35
  • 36.
    • Fitting-Next, theclinician turns the scaler and with one-point contact with the bracket, pushes firmly toward the tooth surface. • The tight fit will result in good bond strength, little material to remove on debonding, optimal adhesive penetration into bracket backing, and reduced slide when excess material extrudes peripherally. 12/19/2023 36
  • 37.
    • Removal ofExcess- A slight bit of excess adhesive is essential to minimize the possibility of voids and to be certain that the adhesive will be buttered into the bracket backing when the bracket is being fitted. 12/19/2023 37
  • 38.
    TYPES OF ADHESIVES •Two basic types of dental resins may be used for orthodontic bracket bonding. Both are polymers and are classified as acrylic or diacrylate resins. • Both types of adhesive exist in filled or unfilled forms. The acrylic resins are based on self-curing acrylics and consist of methylmethacrylate monomer and ultrafine powder. • Most diacrylate resins are based on the acrylic modified epoxy resin bis-GMA or Bowen’s resin 12/19/2023 38
  • 39.
    • No-Mix Adhesives •Light-Polymerized Adhesives 12/19/2023 39
  • 40.
    NO-MIX ADHESIVES • No-mixadhesives set when one under light pressure is brought together with a primer fluid on the etched enamel and bracket backing or when another paste on the tooth is to be bonded. • Thus, one adhesive component is applied to the bracket base while another is applied to the dried etched tooth.As soon as the bracket is positioned precisely, the ortho- dontist presses the bracket firmly into place and curing occurs, usually within 30 to 60 seconds. 12/19/2023 40
  • 41.
    LIGHT-POLYMERIZED ADHESIVES • Thedesire to cure on demand is driving an increasing number of orthodontictuse light-cured adhesives instead of the more traditional paste-paste adhesives requiring in-office mixing • In light-cure adhesives,the curing process begins with the photoinitiator is activated most of the dental photoinitiator system use camphoroquinone as diketone absorber,with the absorption maximum in the blue region of the visible light spectrum at a wavelength of 470mm. • The light-cured adhesives are routinely used today by more than 90% of orthodontist and are dominating 12/19/2023 41
  • 42.
    • Metallic andceramic brackets precoated with lightcured composite and stored in suitable containers are practical in use and are becoming increasingly more popular among clinicians. • Such brackets have consistent quality of adhesive, reduced flash, reduced waste, improved cross-infection control, and adequate bond strength. 12/19/2023 42
  • 43.
  • 44.
    LIGHT SOURCES • Conventionaland fast halogen lights • Argon lasers • Plasma arc lights • Light-emitting diodes (LEDs) 12/19/2023 44
  • 45.
    GLASS IONOMER CEMENTS •The glass ionomer cements were introduced in 1972, primarily as luting agents and direct restorative material, with unique properties for bonding chemically to enamel and dentin and to stainless steel and being able to release fluoride ions for caries protection. 12/19/2023 45
  • 46.
    • Glass ionomerand light-cured glass ionomer cements now are used routinely by most orthodontists for cementing bands, • Because they are stronger than zinc phosphate and polycarboxylate cements, with less demineralization at the end of treatment and adhesion to enamel and metal. 12/19/2023 46
  • 47.
    BRACKETS • Brackets arepassive components of fixed orthodontics appliance which transfer force from the arch wire to the tooth • Three types of attachments are presently available for orthodontic bracket bonding: plastic based, ceramic based, and metal (e.g., stainless steel, gold-coated, titanium) based. 12/19/2023 47
  • 48.
    PLASTIC BRACKETS • PlasticBrackets. Plastic attachments are made of polycarbonate and are used mainly for aesthetic reasons. • Pure plastic brackets lack strength to resist distortion and breakage, wire slot wear (which leads to loss of tooth control), uptake of water, discoloration 12/19/2023 48
  • 49.
    CERAMIC BRACKETS • Ceramicbrackets have become an important though sometimes troublesome part of today’s orthodontic practice. • Ceramic orthodontic brackets are machined from monocrystalline or polycrystalline aluminum oxide. Theoretically, such brackets should combinethe aesthetics of plastic and the reliability of metal brackets 12/19/2023 49
  • 50.
    • Ceramic bracketsbond to enamel by two different mechanisms: (1) mechanical retention via indentations and undercuts in the base (2) chemical bonding by means of a silane coupling agent. 12/19/2023 50
  • 51.
    METAL BRACKETS • Metalbrackets rely on mechanical retention for bonding, and mesh gauze is the conventional method of providing this retention. • The area of the base itself is probably not a crucial factor regarding bond strength with mesh-backed brackets. • The use of small, less noticeable metal bases helps avoid gingival irritation. For the same reason, the baseshould be designed to follow the tissue contour along thegingival margin. 12/19/2023 51
  • 52.
    GOLD-COATED BRACKETS • Gold-coatedsteel brackets have been introduced and have gained popularityparticularly for maxillary premolar and for mandibular anterior and posterior teeth. • Thegold-coated brackets may be regarded as an aesthetic improvement over stainless steel attachments, and they are neater and thus more hygienic than ceramic alternatives. • Patient acceptance of gold-coated attachments isgenerally positive. 12/19/2023 52
  • 53.
  • 54.
    LINGUALATTACHMENTS • A drawbackwhen bonding brackets on the labial surface,compared with banding, is that conventional attachments for control during tooth movement (e.g., cleats,buttons, sheaths, eyelets) are not included. • In selected instances such aids may be bonded to the lingual surfaces to supplement the appliance Because bonded lingual attachments may be swallowed or aspirated if they come loose, cleats are preferred to buttons. 12/19/2023 54
  • 55.
    • Cleats maybe closed with an instrument over the elastic module or steel ligature. The bonding of brackets to the lingual surfaces of teeth is discussed separately. 12/19/2023 55
  • 56.
    LIGATION OF BONDEDBRACKETS • The rule of thumb in ligation is that the ligature wire should be twisted with the strand that crosses over the archwire closest to the bracket wing . This tightens the ligature when the end is tucked under the archwire. • elastic rings are time saving, they are plaqueattractive to the extent that their use is contraindicated if one aims at excellent oral hygiene and healthy gingival conditions in the patients. • Steel ties are safer than elastomers and definitely more hygienic 12/19/2023 56
  • 57.
  • 58.
    • Several typesof ligature-less, self-ligating, low-friction brackets have become available in recent years (e.g.,SPEED System [Strite Industries, Cambridge, Ontario], Damon Q [Ormco], Smartclip SL3 [3M/Unitek]). • The popularity of these brackets seems to be increasing.1 Such brackets may offer the advantages of saving time, reducing friction, and probably increasing patient comfort. 12/19/2023 58
  • 59.
  • 60.
    INDIRECT BONDING • Severaltechniques for indirect bonding are available. • Insome, the brackets are glued with a temporary material to the teeth on the patient’s models, transferred to the mouth with some sort of tray into which the brackets become incorporated, and then bonded simultaneously with a bis-GMA resin. 12/19/2023 60
  • 61.
  • 62.
    • Indirect bondingtechniques attach the brackets with composite resin to form a custom base. • A transfer tray of silicone putty or thermoplastic material is used,and the custom bracket bases are then bonded to the teeth with chemically cured sealant. • The main advantages of indirect compared with direct bonding are that the brackets can be positioned more accurately in the laboratory and the clinical chair time is decreased. 12/19/2023 62
  • 63.
    CLINICAL PROCEDURE OFINDIRECT BONDING TECHIQUE 1.Take an impression and pour up a stone (not plaster)model. 2. Select brackets for each tooth. 3. Isolate the stone model with a separating medium. 4. Attach the brackets to the teeth on the model with light-cured or thermally cured composite resin, or use adhesive precoated brackets. 12/19/2023 63
  • 64.
    5. Check allmeasurements and alignments. Reposition if needed. 6. Make a transfer tray for the brackets,Material can be putty silicone, thermoplastics, or similar. 7. After removing the transfer trays, gently sandblast the adhesive bases with a microetching unit, taking care not to abrade the resin base. 12/19/2023 64
  • 65.
    8.Apply acetone tothe bases to dissolve the remaining separating medium. 9. Prepare the patient’s teeth as for a direct application. 10. Apply Sondhi Rapid Set resin A to the tooth surfaces and resin B to the bracket bases. (If Custom I.Q. isused, apply resin B to the teeth and resin A to the bases). 12/19/2023 65
  • 66.
    11. Seat thetray on the prepared arch and with the fingers apply equal pressure to the occlusal, labial,and buccal surfaces. Hold for a minimum of 30 seconds, and allow for 2 minutes or more of curing time before removing the tray. 12. Remove excess flash of resin from the gingival and contact areas of the teeth with a scaler or contra angle handpiece and tungsten carbide bur. 12/19/2023 66
  • 67.
  • 68.
    REBONDING • Bonded bracketsthat become loose during treatment consume much chair time are poor publicity for the office and are a nuisance to the orthodontist. • loose metal bracket is removed from the archwire and Any adhesive remaining on the tooth surface is removed with a tungsten carbide bur. • The adhesive remaining on the loose bracket is treated by sandblasting until all visible bonding material is removed from thebase. • The tooth then is etched with Ultraetch 35% phosphoric acid gel for 15 seconds After priming, the bracket is rebonded again. 12/19/2023 68
  • 69.
    DEBONDING • The objectivesof debonding are to remove the attachment and all the adhesive resin from the tooth and restore the surface as closely as possible to its pretreatment condition without inducing iatrogenic damage. • Debonding may be unnecessarily time consuming and damaging to the enamel if performed with improper technique or carelessly. 12/19/2023 69
  • 70.
    Because several aspectsof debonding are controversial, debonding is discussed in detail as follows- • Clinical procedure • Characteristics of normal enamel • Amount of enamel lost in debonding 12/19/2023 70
  • 71.
    • Enamel tearouts •Enamel cracks (fracture lines) • Adhesive remnant wear • Reversal of decalcifications 12/19/2023 71
  • 72.
    CLINICAL PROCEDURES • Theclinical debonding procedure may be divided into two stages 1. Bracket removal 2. Removal of residual adhesive 12/19/2023 72
  • 73.
    • Bracket Removal:Steel Brackets. Several different procedures for debracketing with pliers are available. • An original method was to place the tips of a twin-beaked pliers against the mesial and distal edges of the bonding base and cut the brackets off between the tooth and the base 12/19/2023 73
  • 74.
    • Bracket removal:Ceramicbrackets will not flex when squeezed with debonding pliers. • Cutting the brackets off with gradual pressure from the tips of twin-beaked pliers oriented mesiodistally close to the bracket–adhesive interface is not recommended because it might introduce horizontal enamel cracks. 12/19/2023 74
  • 75.
    • Removal ofResidual Adhesive. Because of the color similarity between present adhesives and enamel, complete removal of all remaining adhesive is not achieved easily. • Many patients may be left with incomplete resin removal, which is not acceptable. Abrasive wear of present bonding resins is limited, and remnants are likely to become unaesthetically discolored with time. 12/19/2023 75
  • 76.
    • The removalof excess adhesive may be accomplished by (1) scraping with a sharp band or bond-removing pliers or with a scaler or by (2) using a suitable bur and contra-angle. 12/19/2023 76
  • 77.
  • 78.
    CHARACTERISTICS OF NORMAL ENAMEL •Tooth surface is not in a static state,the normal structure differs considerably among young,adolescent, and adult teeth. • Normal wear must be considered in any discussion of tooth surface appearance after debonding. • The characteristics are visible on the clinical and microscopic levels. 12/19/2023 78
  • 79.
    • The mostevident clinical characteristics of young teeth that have just erupted into the oral cavity are the perikymata that run around the tooth over its entire surface. • In adult teeth the clinical picture reflects wear and exposure to varying mechanical forces (e.g., toothbrushing habits and abrasive foodstuffs). • In other words, the perikymata ridges are worn away and replaced by a scratched pattern. 12/19/2023 79
  • 80.
  • 81.
    AMOUNT OF ENAMELLOST IN DEBONDING • Cleanup of unfilled resins may be accomplished with hand instrumentation only, and this procedure generally results in a loss of 5 to 8 microns of enamel. • Depending on the instruments used for prophylaxis,total enamel loss for unfilled resins may be 2 to 40microns. • Adequate removal of filled resin generally requires rotary instrumentation; the enamel loss then may be 10 to 25 microns 12/19/2023 81
  • 82.
    ENAMEL TEAROUTS • Localizedenamel tearouts have been reported to occur associated with bonding and debonding metal and ceramic brackets. • Tearouts may be related at least in part to the type of filler particles in the adhesive resin used for bonding and to the location of bond breakage. 12/19/2023 82
  • 83.
  • 84.
    • Ceramic bracketsusing chemical retention cause enamel damage more often than those using mechanical retention. • This damage occurs probably because the location of the bond breakage is at the enamel–adhesive interface rather than at the adhesive–bracket interface. 12/19/2023 84
  • 85.
    ENAMEL CRACKS (FRACTURELINES) • Cracks, occurring as split lines in the enamel, are common but often are overlooked at clinical examination because most are difficult to distinguish clearly without special technique; generally they do not show up on routine intraoral photographs • Thus, finger shadowing in good light or, preferably, fiberoptic transillumination is needed for a proper impression of the crack 12/19/2023 85
  • 86.
  • 87.
    ADHESIVE REMNANT WEAR •adhesive has been found on the tooth surface,even after attempts to remove it with mechanical instruments. Because of color resemblance to the teeth, particularly when wet, residual adhesive easily may remainundetected. • In other instances, adhesive may be left on purpose because the operator expects that it will wear off with time. 12/19/2023 87
  • 88.
    REVERSAL OF DECALCIFICATION •White spots or areas of demineralization are carious lesions of varying extent. The incidence and severity of white spots after a full term of orthodontic treatment have been studied by several authors. • The general conclusion was that individual teeth, banded or bonded,may exhibit significantly more white spot formation than may untreated control teeth. 12/19/2023 88
  • 89.
  • 90.
    • This degreeof iatrogenic damage suggests the need for preventive programs using fluoride associated with fixed appliance orthodontic treatment. • Daily rinsing with dilute (0.05%) sodium fluoride solution throughout the periods of treatment and retention, plus regular use of a fluoride dentifrice, is recommended as a routine procedure for all orthodontic patients 12/19/2023 90
  • 91.
    MICROABRASION • When theremineralizing capacity of the oral fluids is exhausted and white spots are established. • microabrasion is the optimal way to remove superficial enamel opacities. By the use of this technique, one can eliminate enamel stains with minimal enamel loss. 12/19/2023 91
  • 92.
    BONDED RETAINERS • Theuse of fixed lingual bonded retainers is increasing,and the various forms allow more differentiated retention than before. • Bonded retainers also have other advantages: 1. Completely invisible from the front 2. Reduced need for long-term patient cooperation 3. Long-term (up to 10 years) and even permanent 4.the same degree of stability 12/19/2023 92
  • 93.
    • The termdifferential retention, as introduced by the late Dr. James L. Jensen, implies that special attention is directed toward the strongest or most important predilection site for relapse in each case. 12/19/2023 93
  • 94.
    Different types ofbonded retainers • Mandibular canine-to-canine (3-3) retainer bar • Direct contact splinting • Flexible spiral wire retainers • Hold retainers for individual teeth 12/19/2023 94
  • 95.
    OTHER APPLICATIONS OFBONDING • Numerous other clinical possibilities of interest to orthodontists exist in which the acid-etch technique and bonding has proved useful such as in • Space maintainers • Semipermanent single-tooth replacements • Trauma fixation • Resin buildups for tooth size and shape problems 12/19/2023 95
  • 96.
    BONDED SPACE MAINTAINERS •Bonded space maintainers made from plain, round 0.032-inch stainless steel wire sandblasted terminally for micromechanical retention or from gold-coated 0.030-inch wire. 12/19/2023 96
  • 97.
  • 98.
    BONDED SINGLE-TOOTH REPLACEMENTS •Because of the well-known problems with fixed bridgework and removable appliances of the spoon denture type in young patients. • acid etching and bonding offer a range of aesthetic techniques for the solution of the problem with anterior teeth • The use of resin-bonded bridgework (three-unit or cantilever) has become accepted as a semipermanent procedure. 12/19/2023 98
  • 99.
  • 100.
    SPLINTING OF TRAUMATICINJURIES • The goal of splinting traumatized teeth is to stabilize,allow healing, and prevent further damage to the pulp and periodontal structures. • Several types of traumatic splinting devices are used conventionally, but for various reasons none of these splints is optimal. Thus clinical experiments using different bonded wires are interesting. 12/19/2023 100
  • 101.
    12/19/2023 101 Short-term studieshave demonstrated clinical success with bonded plastic wire and stainless steel spiral wire.
  • 102.
    COMPOSITE BUILDUPS ANDPORCELAIN LAMINATE VENEERS • The addition of composite resin or porcelain laminates to noncarious teeth during or after orthodontic treatment may be indicated on single or multiple teeth to solve tooth shape and size problems. 12/19/2023 102
  • 103.
    12/19/2023 103 • Forexample, small or peg-shaped maxillary lateral incisors and canines brought into contact with maxillary centrals when the laterals are congenitally missing.
  • 104.
  • 105.
    CONCLUSION • Dental adhesivetechnology continues to progress at a rapid pace. • Today,adhesive resins,direct bonding ,and light curing units are in dispensable part of the modern orthodontists daily practice. • Our profession has benefited tremendously from the application of direct bonding and advances in material science. • Like any other materials,composite resins and bonding have their particular benefits and drawbacks 12/19/2023 105
  • 106.
    • Beyond adoubt,modern orthodontics should have a thorough knowledge and comprehension of the materials available so that they can choose the best product available for their particular needs and to make the best use of them. 12/19/2023 106
  • 107.
    REFERENCES • Graber,Vig,Huang,Fleming :Orthodonticscurrent principles and techniques 7TH editions • William R Profitt :Contemporary orthodontics 6th edition • Keim RG, Gottlieb EL, Nelson AH, et al. 2008 JCO study of orthodontic diagnosis and treatment procedures. Part 1. Results and trends. J Clin Orthod. 2008;42:625– 640. • Swartz ML. Orthodontic bonding. Orthod Select. 2004;16(2):1–4. 12/19/2023 107
  • 108.
    • Buonocore MG.A simple method of increasing the adhesion of acrylic filling materials to enamel surface. J Dent Res.1955;34:849. • Zachrisson BU. A posttreatment evaluation of direct bonding in orthodontics. Am J Orthod. 1977;71:173–189. • Mannerberg F. Appearance of tooth surface. Odontol Rev.1960;11(suppl 6):1–116. 12/19/2023 108
  • 109.
    • Schaneveldt S,Foley TF. Bond strength comparison of moisture insensitive primers. Am J Orthod Dentofac Orthop.2002;122:267–27 • Maiman TH. Stimulated optical radiation in ruby lasers.Nature. 1960;187:493. • Gross AJ, Hermann TR. History of lasers. World J Urol.2007;25(3):217–220. • Parker S. Verifiable CPD paper: introduction, history of lasers and laser light production. Br Dent J. 2007;202(1):21–31 12/19/2023 109
  • 110.
    • Zeppieri IL,Chung C, Mante FK. Effect of saliva on shearbond strength of an orthodontic adhesive used with moisture-insensitive and self-etching primers. Am J Orthop. 2003;124:414–419. • Bishara SE, Oonsombat C, Ajlouni R, et al. Comparison ofthe shear bond strength of 2 self-etch primer/adhesive systemsAm J Orthod Dentofac Orthop. 2004;125:348– 350. 12/19/2023 110