SEPTIC EMBOLI
Presentator:Dr.Devi sasi ram
Final year Resident
Moderator:Dr.Anjaneya prasad
Professor,HOD
Dept. of INTERNAL MEDICINE
CHIEF COMPLAINTS
A 60 year old man farmer by occupation came to ER with
• ℅ left shoulder and axillary pain since 1 month
• ℅ Fever for one day 7 days back
• ℅ Both Lower limb pain since 7 days
• c/o burning micturition since 3 days
• ℅ Chest pain and shortness of breath since 6 hours
History of present illness
• The patient was apparently normal one month back then
present complaint started as left shoulder and axillary pain
which is insidious in onset dull aching type radiating to entire
left upper limb.
• Aggravated since 7 days after massage , physiotherapy and local
injection (? Intra articular ) . Pain mainly aggravated with
abduction and was relieved to some extent on rest.
• Fever for one day 7 days back low grade not associated with
chills and rigors relieved with Antipyretic medication for one
day.
Pain in Both lower limbs since 7 days , Dragging type mainly in
the Thighs and calf region , aggravated on walking and not
relived with medication.
• H/o passage of red coloured urine for one day 3 days back
associated with burning micturition since 3 days.
Not associated with decreased urinary output
C/O Chest pain since 6 hours diffuse stabbing type, radiating to
both upper limbs, continuous, associated with palpitations.
• Shortness of Breath Grade-4 ,since 6 hrs sudden in onset ,No
aggravating and relieving factors not associated with cough
with expectoration, No postural variation
• No h/o Headache/Blurring of vision/ involuntary movements
• No h/o Abdominal pain/ vomitings/ loose stools/Dark coloured
stools
Past History
• H/o Trauma to the left arm 40 yrs back neglected and led
to Decreased ROM of left shoulder since the time of injury
• H/o NSAID usage since 1 month for shoulder pain
• K/C/O T2DM since 1 year on Inj. MIXTARD (30/70) 6 Units
8th hrly and on T. GLIMI M1 (1/500) half tablet 8th hrly,
not in regular follow up.
• Not a known case of
HTN/ CVD/CAD/COPD/TB/Epilepsy/CLD/CKD
Personal History
• Takes mixed diet
• Bowel habits – regular
• Bladder habits – Dysuria and hematuria +
• Appetite- Normal
• Sleep - Decreased
• Known Smoker since 12 years of age( 2 chuttas /day).
• Non alcoholic
Family History
• Nil significant
General Condition on Examination
• Patient is conscious, coherent and oriented
• Moderately built and moderately nourished
• No pallor/icterus/ cyanosis/clubbing/
• Pedal edema present- grade-1,pitting type, fast filling
Local examination of left shoulder :
• Tender diffuse Swelling present over the axilla upto 4th
intercostal space and also posteriorly up to lateral border
of scapula
VITALS:
• BP- 140/90 mmhg Right upper limb in supine position
• PR- 110 bpm Regular Rhythm & volume no Radio radial and
Radio femoral delay
• RR- 28/min abdomino thoracic type
• SP02- 94%RA , 98% with 2 lit O2
• Grbs-- 282 mg/dl
Systemic examination
CVS:
JVP not raised
S1,S2 heard no murmurs
Resp:
Bilateral normal vesicular breath sounds heard
Decreased breath sounds in Right infrascapular area
P/A
soft , Mild tenderness + all over the abdomen, No organomegaly
, BS +
CNS-
pupils - Bilateral NSRL
Power - ⅘ in all 4 limbs ,left shoulder can’t accessed
Plantars - Bilateral flexors
Provisional Diagnosis
• ? Acute coronary syndrome
? Pulmonary embolism
• Uncontrolled T2DM with Complicated UTI
• Left shoulder periarthritis
ECG
CXR:
• CARDIOLOGY referral I/V/O
• Acute onset of chest pain
and sob
BP - 110/90 mmhg
PR-95/min
ECG – sinus tacchycardia with
incomplete RBBB ( Rv strain)
O/E :
CVS- S1 and S2 present
RESP - B/l NVBS +
2D ECHO
• No LV RWMA
• Good LV Systolic Function
• Grade 1 DD
• No MR/TR/AR/PAH
• No PE/Clot/Vegetations
• IVC- Normal and collapsing
CBP Day 1
Hb 12.1
TWBC 15600
N/L/E/M 91/4/2/3/0
ESR 98
PCV 33.8
Platelets 150000
MCV 77.2
MCH 27.6
MCHC 35.7
RDW 14.1
LFT Day 1
T Bilirubin 4.3
D Bilirubin 3.6
I Bilirubin 0.7
ALP 302
SGOT 59
SGPT 61
T Proteins 5.1
Albumin 2.4
Globulin 2.7
A:G Ratio 0.8:1
RFT Day 1
S Urea 72
S Creat 1.3
S/E Day 1
Na 128(131)
K 4.4
Cl 94
ABG Day-1 After 12 hrs Day2
PH 7.40 7.41 7.38
PO2 82.6 86 80.4
PCO2 22.7 27 27.1
HCO3 17.1 17.6 17.5
Lactate 6.88 3.31 0.97
IMPRESSION Met.acidosis comp.
Resp Alkalosis
Lactic acidosis
Met.Acidosis comp.
Resp Alkalosis
Lactic acidosis
Metabolic acidosis
Comp.Resp alkalosis
Physical
Examination
Day 1
Volume 15.0
Colour Orange
Appearance Slight Cloudy
Chemical
Examination
Day 1
PH 5.5
Specific gravity 1.019
Protein Traces
Glucose + +
Ketone bodies Negative
Bilirubin Negative
Urobilinogen Normal
Blood Negative
Nitrite POSITIVE
Leukocytes +
RBC 1
Wbc 2
CUE:
SOBT
AMYLASE & LIPASE
LDH
D DIMER
Stool occult blood Negative
LEPTOSPIRA
WIDAL TEST
SCRUB TYPHUS
WIDAL TEST Day 1
S Typhi(O) 1:20
S Typhi(H) 1:20
S Paratyphi(AH) 1:20
S Paratyphi (BH) 1:20
SCRUB TYPHUS Day 1
Typhus IgG Non Reactive
Typhus IgG Non Reactive
LEPTOSPIRA ANTIBODIES Day 2
Leptospira IgM Non Reactive
Leptospira IgG Non Reactive
Usg abdomen and pelvis:
IMPRESSION :
** Hepatomegaly with Grade-I fatty changes.
**Mild altered echotexture of both kidneys - Correlate with
RFT's.
**Bilateral minimal pleural effusion.
PROVISIONAL DIAGNOSIS AFTER
INVESTIGATIONS
• PULMONARY EMBOLISM TO R/O DVT
• SEPSIS WITH MODS
• COMPLICATED UTI AND UNCONTROLLED T2DM
• AKI SECONDARY TO NSAID USAGE
Treatment
1. Inj . CEFTRIAXONE 1 g IV 12 th hrly
2. Inj. METROGYL 1g IV 24 th hrly
3. Inj. PANTOP 40mg IV 24 th hrly
4. Inj. HAI 0.5 ml/hr Infusion for 24 hrs overlaped with Basal
bolus regimen
5. Inj. TRAMADOL 50mg in 100ml NS SOS.
6. Inj. CLEXANE 0.6 ml s/c 12 th hrly
7. Vitals monitoring
8. Foleys catheterization
• Orthopedic opinion was taken i/v/o Left shoulder pain and
decreased ROM of left shoulder.
• On Examination-
Patient is examined in supine position with both ASIS at equal
level, both palms- facing roof on either side of body, both
patella- facing roof
Left shoulder and Cervical Spine
• C- spine – Diffuse tenderness present
• Apparent muscle wasting present over left arm
• Tender diffuse, paraspinal muscles present
• Tenderness elicited at Left shoulder/ proximal humerus
• No crepitus elicited
• Distal pulsations felt
ROM
• Abduction upto 40 degrees
• Internal rotation – 0- 20 degrees Of Left shoulder
Pelvis:
Tenderness elicited over both GT and SI joints
Adviced:
1. Xray of Left shoulder- AP , lat view
2. Xray of pelvis with both hips – Ap
3. T.ULTRACET SOS
Right Left
SLR 85 - 90 80-85
EHL +5/5 +5/5
FHL +5/5 +5/5
FABER Positive Positive
FADIR Positive Positive
On the next day, Patient developed sudden SOB- associated with
cough & sputum which is scanty, mucoid, non- foul smelling,
associated with hemoptysis- 2 episodes and Hypotension.
Vitals:
BP – 80/60 mmhg after 2 units Fluid bolus 90/70 mmhg
PR – 110bpm
Spo2 – 86%@ RA 92% @ 15 LIT O2
RR : 34 cpm
Adv:
Noradrenaline @5 mic/hr titrate according to BP
Cardiology, pulmonology opinion
• Pulmonology opinion was taken i/v/o sudden SOB and Hemoptysis
SPO2- 87%on RA, 97% with 35%fio2 on Bipap
O/E : associated with bilateral coarse inspiratory crepts in MA, IAA
Adviced:
1. Inj. DOXYCYCLINE 100mg 12 th hrly
2. NIV BIPAP if spo2- less than 85% and if Tachypnoea persists
3. T. TRANEXA 500mg 12 th hrly
4. Syp. GRILLINTUS –L 10ml 12 th hrly
5. Sputum for AFB, CB NAAT, G/S, C/S
6. ABG on RA
Cardiology opinion was taken iv/o sudden onset of SOB ?
Pulmonary Embolism which showed:
• Tachycardia during study
• No LV RWMA
• Good LV Systolic Function ( EF- 60%)
• Normal LV filling pattern
• No MR/AR/ TR/ PAH (RVSP- 20mmhg)
• No PE/ clot/ Vegetations
• IVC- Normal and collapsing
Added Inj. Dobutamine – 8ml/hr iv infusion due to low BP values.
CBP CBP Day 2 Day 4 Day 6 Day 7 Day 8 Day 10 Day 12 Day 13
Hb 8.9 9.4 9.2 9.5 9.8 8.4 8.3 8.3
TWBC 14830 18300 15810 17150 24400 15260 12850 11350
N/L/E/M 90/8/1/1/0 84/11/1/4/0 83/12/1/4/0 80/11/6/3/0 86/10/1/3/0 80/14/3/3/0 79/14/2/5/0 77/16/2/5/0
ESR 120 139 127 143 96 SNR 105
PCV 25.5 26.2 26.6 27.4 27.7 24.1 24.3 24.4
Platelets 150000 179000 191000 180000 285000 313000 342000 391000
MCV 79.5 76.0 78.5 79.2 76.9 80.6 80.6 81.8
MCH 27.7 27.3 27.2 27.4 27.2 28.1 27.5 27.8
MCHC 34.8 35.9 34.6 34.6 35.4 34.9 34.2 34.0
RDW 15 11.2 14 15 14.5 15 15 15
LFT LFT Day 2 Day 4 Day 6 Day 8 Day 9 Day 10 Day 13
T Bilirubin 6.1 9.1 9.5 8.8 9.4 7.1 4.7
D Bilirubin 5.1 7.7 8.1 7.5 7.8 6.0 3.8
I Bilirubin 1.0 1.4 1.4 1.3 1.6 1.1 0.9
ALP 259 483 606 607 553 646 584
SGOT 77 107 119 91 78 77 88
SGPT 52 47 52 49 42 45 57
T Proteins 4.8 5.9 6.1 6.5 7.6 7.5 7.0
Albumin 2.1 1.9 1.7 1.7 2.0 2.1 2.2
Globulin 2.7 4.0 4.4 4.8 5.6 5.5 4.8
A:G Ratio 0.7:1 0.4:1 0.3:1 0.3:1 0.3:1 0.3:1 0.4:1
RFT Day 2 Day 3 Day 4 Day 6 Day 7 Day 8 Day 9 Day10
S Urea 102 92 68 49 37 40 45 49
S Creat 1.7 1.5 1.2 1.0 0.7 0.9 0.7 0.7
S/E Day 2 Day 3 Day 4 Day 6 Day 7 Day 8 Day 9 Day 10 Day12
Na 135 134 135 136 135 134 134 135 132
K 4.5 4.3 4.5 4.6 4.9 4.7 4.7 4.7 4.8
Cl 103 100 102 103 104 102 103 104 102
Ca 7.5(9.1) 7.1(8.7)
Phosph
orus
4.3
Nephrology opinion was taken i/v/o Deranged RFT’s and
Metabolic acidosis
• Diagnosed as AKI secondary to sepsis, Pre- renal + Early ATN
PLAN:
1. Continue Hemodynamic supports
2. Fluids 1.5 to 2 lit/day
To do:
• Serum Uric acid, Calcium, Phosphorus
SERUM URIC ACID
SPOT URINE
Day 2 Day 8
Spot urine Chloride 72 91.7
Spot urine Sodium 44.6 127.2
Spot urine potassium 34.4 38.5
CREATINE KINASE
CRP
URINE MYOGLOBIN
CUE
Physical Examination Day 2 Day 3
Volume 20.0 25.0
Colour Orange Orange
Appearence Slight Cloudy Slight Cloudy
Chemical Examination Day 2 Day 3
PH 5.5 5.5
Specific gravity 1.016 1.016
Protein Traces Traces
Glucose Nil +
Ketone bodies Negative Negative
Bilirubin Negative Negative
Urobilinogen Normal Normal
Blood 2+ +
Nitrite Negative Negative
Leukocytes + +
BT & CT
PT & INR,aPTT
Gastro opinion was taken i/v/o Deranged LFTs
and drop in Hb
Adviced: Plain CT Abdomen i/v/o ? Dilated CBD
Ig M for Hep –A, Hep-E - was negative
URINE CULTURE
RESULT :Staphylococcus aureus(MRSA)(100000cfu/ml)
:Sensitive - Nitrofurantoin
ANTIMICROBIAL INTERPRETATION
Fosfomycin Sensitive
Gentamycin Sensitive
Norfloxacin Sensitive
Cotrimoxazole Sensitive
Pencillin Resistant
Erythromycin Intermediate
Clindamycin Sensitive
Amoxyclav Sensitive
Vancomycin Sensitive
Tetracycline Sensitive
Linezolid Sensitive
CULTURE-BLOOD
Name of the sample:Blood
RESULT :No bacterial growth after 48 hrs of aerobic incubation
Sputum : Negative for AFB,
Gram positive cocci in chains clusturs
Sputum c/s - staph aureus(MSSA)
ANTIMICROBIAL INTERPRETATION
Gentamycin Sensitive
Cotrimoxazole Sensitive
Pencillin Resistant
Erythromycin Sensitive
Clindamycin Sensitive
Amoxyclav Sensitive
Vancomycin Sensitive
Tetracycline Sensitive
Levofloxacin Sensitive
• Fever spikes were noted on
Day 3- 100F
Day 4- 2 fever spikes
Added
1. Inj. LINEZOLID 600mg 12 th hrly
Fundus Examination : No signs of Retinopathy
X ray D3
ABG Day-3 Day5 Day9
PH 7.39 7.432 7.48
PO2 76.2 87.6 80.4
PCO2 31.8 30.8 15.5
HCO3 20.4 21.6 15.9
Lactate 2.75 1.97 1.64
P/F 168 241 400
IMPRESSION Met.acidosis comp.
Resp Alkalosis
Lactic acidosis
Mod ARDS
Resp Alkalosis
Mild ARDS
Metabolic acidosis
Comp.Resp alkalosis
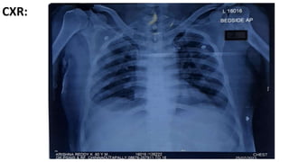
• Pulmonology review was done i/v/o
CHEST x ray shows- Bilateral non- homogeneous opacities- ? Bilateral
Consolidation
Impression: Bilateral Pneumonia with Sepsis with MODS with Type-
1RF
Adviced:
1. With hold Inj. CEFTRIAXONE
2. To add Inj. MEROPENAM 500mg 12 th hrly
3. Inj .HYDROCORTISONE 100mg 8 th hrly
4. Nebulization with Foracort 12 th hrly
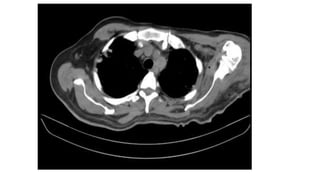
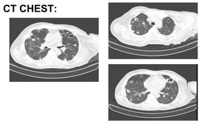
CT CHEST:
Ct chest
• Multiple varying size cavitatory lesions along with areas of
consolidation involving both lungs
• Left subscapular and Deltoid abcess , sclerosis of humerus
head
S/o
• Multiple septic emboli i/v/o abscess in the left shoulder
D/D:
• Cavitatory metastasis
• Vasculitis are less likely
Fibrotic strands and interstitial thickening seen involving both
the lungs - represent sequelae of prior infection
Usg of left Axilla:
• Irregular hypoechoic area measuring 6.0 x 2.3 cm noted in the
intramuscular plane in the deltoid muscle on left side. No
significant adjacent vascularity noted.
• Discontinuity of the muscle fibres noted.
Possibilities include -
1) Intramuscular abscess.
2) If any history of trauma other possibility include partial tear in
left deltoid muscle with hematoma.
General Surgery opinion was taken i/v/o ? Left shoulder abscess
On examination:
• Ill defined swelling of approximately 3×2cm with surrounding skin
induration noted over the posterior aspect of left proximal arm
with local rise of temperature
• USG of swelling suggestive of Intramuscular Abscess
• Local Aspiration of Abscess done under SAP and yielded a pus of
0.2cc
• USG guided aspiration of Intramuscular Abscess drainage
done , no aspirate noted due to Thick pus
Ortho review was done i/v/o CT scan showing sclerosis of
humerus head and advised
1. Shoulder mobilization exercises
2. Ice Pack application
2D ECHO REVIEW : day 10
• No LV RWMA
• Good LV Systolic Function EF -60%
• LVID (d)/(s) = 4.3/2.9 cm
• IVS(d)/PW(d) = 1.1/1.15 cm
• Grade 1 DD
• No MR/TR/AR/PAH RVSP-20 mmhg
• No PE/Clot/Vegetations
• IVC- Normal and collapsing
• Again fever spikes noted on DAY -6,7,8,10
• General Surgery review was taken i/v/o Abdominal tenderness
persistent, Direct hyperbilirubinemia and Therapeutic Drainage of
subscapular and Deltoid abscess
adviced
• CECT Abdomen or MRCP to R/O cholangitis
• Plan I&D for abscess
Abscess culture and sensitivity
STAPHYLOCOCCUS AUREUS
(MSSA)
ANTIMICROBIAL INTERPRETATION
Cephalothin Sensitive
Gentamicin Sensitive
Ceftriaxone Sensitive
Cotrimoxazole Sensitive
Pencillin Resistant
Erythromycin Sensitive
Clindamycin Sensitive
Amoxyclav Sensitive
Vancomycin Sensitive
Linezolid Sensitive
Levofloxacin Sensitive
Venous Doppler of left upper limb
• Axillary vein thrombosis with significant
flow restriction
Patient was Discharged with stable vitals
and was in surgery follow up for regular
dressings
Final Diagnosis
Sepsis with MODS - Staphylococcal septicaemia secondary to
left subscapularis and Deltoid abscess
Left Axillary vein thrombosis
Complicated UTI (Recovered)
Pre Renal AKI (Recovered)
Moderate ARDS ( Recovered)
K/c/o Type 2 Diabetes Mellitus
THANK YOU

editedc krishna reddy.pptx 123747+4+_))#8₹('+'(')')'('

  • 1.
    SEPTIC EMBOLI Presentator:Dr.Devi sasiram Final year Resident Moderator:Dr.Anjaneya prasad Professor,HOD Dept. of INTERNAL MEDICINE
  • 2.
    CHIEF COMPLAINTS A 60year old man farmer by occupation came to ER with • ℅ left shoulder and axillary pain since 1 month • ℅ Fever for one day 7 days back • ℅ Both Lower limb pain since 7 days • c/o burning micturition since 3 days • ℅ Chest pain and shortness of breath since 6 hours
  • 3.
    History of presentillness • The patient was apparently normal one month back then present complaint started as left shoulder and axillary pain which is insidious in onset dull aching type radiating to entire left upper limb. • Aggravated since 7 days after massage , physiotherapy and local injection (? Intra articular ) . Pain mainly aggravated with abduction and was relieved to some extent on rest.
  • 4.
    • Fever forone day 7 days back low grade not associated with chills and rigors relieved with Antipyretic medication for one day. Pain in Both lower limbs since 7 days , Dragging type mainly in the Thighs and calf region , aggravated on walking and not relived with medication. • H/o passage of red coloured urine for one day 3 days back associated with burning micturition since 3 days. Not associated with decreased urinary output C/O Chest pain since 6 hours diffuse stabbing type, radiating to both upper limbs, continuous, associated with palpitations.
  • 5.
    • Shortness ofBreath Grade-4 ,since 6 hrs sudden in onset ,No aggravating and relieving factors not associated with cough with expectoration, No postural variation • No h/o Headache/Blurring of vision/ involuntary movements • No h/o Abdominal pain/ vomitings/ loose stools/Dark coloured stools
  • 6.
    Past History • H/oTrauma to the left arm 40 yrs back neglected and led to Decreased ROM of left shoulder since the time of injury • H/o NSAID usage since 1 month for shoulder pain • K/C/O T2DM since 1 year on Inj. MIXTARD (30/70) 6 Units 8th hrly and on T. GLIMI M1 (1/500) half tablet 8th hrly, not in regular follow up. • Not a known case of HTN/ CVD/CAD/COPD/TB/Epilepsy/CLD/CKD
  • 7.
    Personal History • Takesmixed diet • Bowel habits – regular • Bladder habits – Dysuria and hematuria + • Appetite- Normal • Sleep - Decreased • Known Smoker since 12 years of age( 2 chuttas /day). • Non alcoholic Family History • Nil significant
  • 8.
    General Condition onExamination • Patient is conscious, coherent and oriented • Moderately built and moderately nourished • No pallor/icterus/ cyanosis/clubbing/ • Pedal edema present- grade-1,pitting type, fast filling Local examination of left shoulder : • Tender diffuse Swelling present over the axilla upto 4th intercostal space and also posteriorly up to lateral border of scapula
  • 10.
    VITALS: • BP- 140/90mmhg Right upper limb in supine position • PR- 110 bpm Regular Rhythm & volume no Radio radial and Radio femoral delay • RR- 28/min abdomino thoracic type • SP02- 94%RA , 98% with 2 lit O2 • Grbs-- 282 mg/dl
  • 11.
    Systemic examination CVS: JVP notraised S1,S2 heard no murmurs Resp: Bilateral normal vesicular breath sounds heard Decreased breath sounds in Right infrascapular area
  • 12.
    P/A soft , Mildtenderness + all over the abdomen, No organomegaly , BS + CNS- pupils - Bilateral NSRL Power - ⅘ in all 4 limbs ,left shoulder can’t accessed Plantars - Bilateral flexors
  • 13.
    Provisional Diagnosis • ?Acute coronary syndrome ? Pulmonary embolism • Uncontrolled T2DM with Complicated UTI • Left shoulder periarthritis
  • 14.
  • 15.
  • 16.
    • CARDIOLOGY referralI/V/O • Acute onset of chest pain and sob BP - 110/90 mmhg PR-95/min ECG – sinus tacchycardia with incomplete RBBB ( Rv strain) O/E : CVS- S1 and S2 present RESP - B/l NVBS + 2D ECHO • No LV RWMA • Good LV Systolic Function • Grade 1 DD • No MR/TR/AR/PAH • No PE/Clot/Vegetations • IVC- Normal and collapsing
  • 17.
    CBP Day 1 Hb12.1 TWBC 15600 N/L/E/M 91/4/2/3/0 ESR 98 PCV 33.8 Platelets 150000 MCV 77.2 MCH 27.6 MCHC 35.7 RDW 14.1 LFT Day 1 T Bilirubin 4.3 D Bilirubin 3.6 I Bilirubin 0.7 ALP 302 SGOT 59 SGPT 61 T Proteins 5.1 Albumin 2.4 Globulin 2.7 A:G Ratio 0.8:1
  • 18.
    RFT Day 1 SUrea 72 S Creat 1.3 S/E Day 1 Na 128(131) K 4.4 Cl 94
  • 19.
    ABG Day-1 After12 hrs Day2 PH 7.40 7.41 7.38 PO2 82.6 86 80.4 PCO2 22.7 27 27.1 HCO3 17.1 17.6 17.5 Lactate 6.88 3.31 0.97 IMPRESSION Met.acidosis comp. Resp Alkalosis Lactic acidosis Met.Acidosis comp. Resp Alkalosis Lactic acidosis Metabolic acidosis Comp.Resp alkalosis
  • 20.
    Physical Examination Day 1 Volume 15.0 ColourOrange Appearance Slight Cloudy Chemical Examination Day 1 PH 5.5 Specific gravity 1.019 Protein Traces Glucose + + Ketone bodies Negative Bilirubin Negative Urobilinogen Normal Blood Negative Nitrite POSITIVE Leukocytes + RBC 1 Wbc 2 CUE:
  • 21.
    SOBT AMYLASE & LIPASE LDH DDIMER Stool occult blood Negative
  • 22.
    LEPTOSPIRA WIDAL TEST SCRUB TYPHUS WIDALTEST Day 1 S Typhi(O) 1:20 S Typhi(H) 1:20 S Paratyphi(AH) 1:20 S Paratyphi (BH) 1:20 SCRUB TYPHUS Day 1 Typhus IgG Non Reactive Typhus IgG Non Reactive LEPTOSPIRA ANTIBODIES Day 2 Leptospira IgM Non Reactive Leptospira IgG Non Reactive
  • 23.
    Usg abdomen andpelvis: IMPRESSION : ** Hepatomegaly with Grade-I fatty changes. **Mild altered echotexture of both kidneys - Correlate with RFT's. **Bilateral minimal pleural effusion.
  • 24.
    PROVISIONAL DIAGNOSIS AFTER INVESTIGATIONS •PULMONARY EMBOLISM TO R/O DVT • SEPSIS WITH MODS • COMPLICATED UTI AND UNCONTROLLED T2DM • AKI SECONDARY TO NSAID USAGE
  • 25.
    Treatment 1. Inj .CEFTRIAXONE 1 g IV 12 th hrly 2. Inj. METROGYL 1g IV 24 th hrly 3. Inj. PANTOP 40mg IV 24 th hrly 4. Inj. HAI 0.5 ml/hr Infusion for 24 hrs overlaped with Basal bolus regimen 5. Inj. TRAMADOL 50mg in 100ml NS SOS. 6. Inj. CLEXANE 0.6 ml s/c 12 th hrly 7. Vitals monitoring 8. Foleys catheterization
  • 26.
    • Orthopedic opinionwas taken i/v/o Left shoulder pain and decreased ROM of left shoulder. • On Examination- Patient is examined in supine position with both ASIS at equal level, both palms- facing roof on either side of body, both patella- facing roof Left shoulder and Cervical Spine • C- spine – Diffuse tenderness present • Apparent muscle wasting present over left arm • Tender diffuse, paraspinal muscles present • Tenderness elicited at Left shoulder/ proximal humerus • No crepitus elicited • Distal pulsations felt
  • 27.
    ROM • Abduction upto40 degrees • Internal rotation – 0- 20 degrees Of Left shoulder Pelvis: Tenderness elicited over both GT and SI joints Adviced: 1. Xray of Left shoulder- AP , lat view 2. Xray of pelvis with both hips – Ap 3. T.ULTRACET SOS Right Left SLR 85 - 90 80-85 EHL +5/5 +5/5 FHL +5/5 +5/5 FABER Positive Positive FADIR Positive Positive
  • 30.
    On the nextday, Patient developed sudden SOB- associated with cough & sputum which is scanty, mucoid, non- foul smelling, associated with hemoptysis- 2 episodes and Hypotension. Vitals: BP – 80/60 mmhg after 2 units Fluid bolus 90/70 mmhg PR – 110bpm Spo2 – 86%@ RA 92% @ 15 LIT O2 RR : 34 cpm Adv: Noradrenaline @5 mic/hr titrate according to BP Cardiology, pulmonology opinion
  • 31.
    • Pulmonology opinionwas taken i/v/o sudden SOB and Hemoptysis SPO2- 87%on RA, 97% with 35%fio2 on Bipap O/E : associated with bilateral coarse inspiratory crepts in MA, IAA Adviced: 1. Inj. DOXYCYCLINE 100mg 12 th hrly 2. NIV BIPAP if spo2- less than 85% and if Tachypnoea persists 3. T. TRANEXA 500mg 12 th hrly 4. Syp. GRILLINTUS –L 10ml 12 th hrly 5. Sputum for AFB, CB NAAT, G/S, C/S 6. ABG on RA
  • 32.
    Cardiology opinion wastaken iv/o sudden onset of SOB ? Pulmonary Embolism which showed: • Tachycardia during study • No LV RWMA • Good LV Systolic Function ( EF- 60%) • Normal LV filling pattern • No MR/AR/ TR/ PAH (RVSP- 20mmhg) • No PE/ clot/ Vegetations • IVC- Normal and collapsing Added Inj. Dobutamine – 8ml/hr iv infusion due to low BP values.
  • 33.
    CBP CBP Day2 Day 4 Day 6 Day 7 Day 8 Day 10 Day 12 Day 13 Hb 8.9 9.4 9.2 9.5 9.8 8.4 8.3 8.3 TWBC 14830 18300 15810 17150 24400 15260 12850 11350 N/L/E/M 90/8/1/1/0 84/11/1/4/0 83/12/1/4/0 80/11/6/3/0 86/10/1/3/0 80/14/3/3/0 79/14/2/5/0 77/16/2/5/0 ESR 120 139 127 143 96 SNR 105 PCV 25.5 26.2 26.6 27.4 27.7 24.1 24.3 24.4 Platelets 150000 179000 191000 180000 285000 313000 342000 391000 MCV 79.5 76.0 78.5 79.2 76.9 80.6 80.6 81.8 MCH 27.7 27.3 27.2 27.4 27.2 28.1 27.5 27.8 MCHC 34.8 35.9 34.6 34.6 35.4 34.9 34.2 34.0 RDW 15 11.2 14 15 14.5 15 15 15
  • 34.
    LFT LFT Day2 Day 4 Day 6 Day 8 Day 9 Day 10 Day 13 T Bilirubin 6.1 9.1 9.5 8.8 9.4 7.1 4.7 D Bilirubin 5.1 7.7 8.1 7.5 7.8 6.0 3.8 I Bilirubin 1.0 1.4 1.4 1.3 1.6 1.1 0.9 ALP 259 483 606 607 553 646 584 SGOT 77 107 119 91 78 77 88 SGPT 52 47 52 49 42 45 57 T Proteins 4.8 5.9 6.1 6.5 7.6 7.5 7.0 Albumin 2.1 1.9 1.7 1.7 2.0 2.1 2.2 Globulin 2.7 4.0 4.4 4.8 5.6 5.5 4.8 A:G Ratio 0.7:1 0.4:1 0.3:1 0.3:1 0.3:1 0.3:1 0.4:1
  • 35.
    RFT Day 2Day 3 Day 4 Day 6 Day 7 Day 8 Day 9 Day10 S Urea 102 92 68 49 37 40 45 49 S Creat 1.7 1.5 1.2 1.0 0.7 0.9 0.7 0.7 S/E Day 2 Day 3 Day 4 Day 6 Day 7 Day 8 Day 9 Day 10 Day12 Na 135 134 135 136 135 134 134 135 132 K 4.5 4.3 4.5 4.6 4.9 4.7 4.7 4.7 4.8 Cl 103 100 102 103 104 102 103 104 102 Ca 7.5(9.1) 7.1(8.7) Phosph orus 4.3
  • 36.
    Nephrology opinion wastaken i/v/o Deranged RFT’s and Metabolic acidosis • Diagnosed as AKI secondary to sepsis, Pre- renal + Early ATN PLAN: 1. Continue Hemodynamic supports 2. Fluids 1.5 to 2 lit/day To do: • Serum Uric acid, Calcium, Phosphorus
  • 37.
    SERUM URIC ACID SPOTURINE Day 2 Day 8 Spot urine Chloride 72 91.7 Spot urine Sodium 44.6 127.2 Spot urine potassium 34.4 38.5
  • 38.
  • 39.
    CUE Physical Examination Day2 Day 3 Volume 20.0 25.0 Colour Orange Orange Appearence Slight Cloudy Slight Cloudy Chemical Examination Day 2 Day 3 PH 5.5 5.5 Specific gravity 1.016 1.016 Protein Traces Traces Glucose Nil + Ketone bodies Negative Negative Bilirubin Negative Negative Urobilinogen Normal Normal Blood 2+ + Nitrite Negative Negative Leukocytes + +
  • 40.
    BT & CT PT& INR,aPTT
  • 41.
    Gastro opinion wastaken i/v/o Deranged LFTs and drop in Hb Adviced: Plain CT Abdomen i/v/o ? Dilated CBD Ig M for Hep –A, Hep-E - was negative
  • 42.
    URINE CULTURE RESULT :Staphylococcusaureus(MRSA)(100000cfu/ml) :Sensitive - Nitrofurantoin ANTIMICROBIAL INTERPRETATION Fosfomycin Sensitive Gentamycin Sensitive Norfloxacin Sensitive Cotrimoxazole Sensitive Pencillin Resistant Erythromycin Intermediate Clindamycin Sensitive Amoxyclav Sensitive Vancomycin Sensitive Tetracycline Sensitive Linezolid Sensitive
  • 43.
    CULTURE-BLOOD Name of thesample:Blood RESULT :No bacterial growth after 48 hrs of aerobic incubation Sputum : Negative for AFB, Gram positive cocci in chains clusturs Sputum c/s - staph aureus(MSSA) ANTIMICROBIAL INTERPRETATION Gentamycin Sensitive Cotrimoxazole Sensitive Pencillin Resistant Erythromycin Sensitive Clindamycin Sensitive Amoxyclav Sensitive Vancomycin Sensitive Tetracycline Sensitive Levofloxacin Sensitive
  • 44.
    • Fever spikeswere noted on Day 3- 100F Day 4- 2 fever spikes Added 1. Inj. LINEZOLID 600mg 12 th hrly Fundus Examination : No signs of Retinopathy
  • 45.
  • 46.
    ABG Day-3 Day5Day9 PH 7.39 7.432 7.48 PO2 76.2 87.6 80.4 PCO2 31.8 30.8 15.5 HCO3 20.4 21.6 15.9 Lactate 2.75 1.97 1.64 P/F 168 241 400 IMPRESSION Met.acidosis comp. Resp Alkalosis Lactic acidosis Mod ARDS Resp Alkalosis Mild ARDS Metabolic acidosis Comp.Resp alkalosis
  • 47.
    • Pulmonology reviewwas done i/v/o CHEST x ray shows- Bilateral non- homogeneous opacities- ? Bilateral Consolidation Impression: Bilateral Pneumonia with Sepsis with MODS with Type- 1RF Adviced: 1. With hold Inj. CEFTRIAXONE 2. To add Inj. MEROPENAM 500mg 12 th hrly 3. Inj .HYDROCORTISONE 100mg 8 th hrly 4. Nebulization with Foracort 12 th hrly
  • 48.
  • 50.
    Ct chest • Multiplevarying size cavitatory lesions along with areas of consolidation involving both lungs • Left subscapular and Deltoid abcess , sclerosis of humerus head S/o • Multiple septic emboli i/v/o abscess in the left shoulder D/D: • Cavitatory metastasis • Vasculitis are less likely Fibrotic strands and interstitial thickening seen involving both the lungs - represent sequelae of prior infection
  • 51.
    Usg of leftAxilla: • Irregular hypoechoic area measuring 6.0 x 2.3 cm noted in the intramuscular plane in the deltoid muscle on left side. No significant adjacent vascularity noted. • Discontinuity of the muscle fibres noted. Possibilities include - 1) Intramuscular abscess. 2) If any history of trauma other possibility include partial tear in left deltoid muscle with hematoma.
  • 52.
    General Surgery opinionwas taken i/v/o ? Left shoulder abscess On examination: • Ill defined swelling of approximately 3×2cm with surrounding skin induration noted over the posterior aspect of left proximal arm with local rise of temperature • USG of swelling suggestive of Intramuscular Abscess • Local Aspiration of Abscess done under SAP and yielded a pus of 0.2cc
  • 53.
    • USG guidedaspiration of Intramuscular Abscess drainage done , no aspirate noted due to Thick pus Ortho review was done i/v/o CT scan showing sclerosis of humerus head and advised 1. Shoulder mobilization exercises 2. Ice Pack application
  • 54.
    2D ECHO REVIEW: day 10 • No LV RWMA • Good LV Systolic Function EF -60% • LVID (d)/(s) = 4.3/2.9 cm • IVS(d)/PW(d) = 1.1/1.15 cm • Grade 1 DD • No MR/TR/AR/PAH RVSP-20 mmhg • No PE/Clot/Vegetations • IVC- Normal and collapsing
  • 55.
    • Again feverspikes noted on DAY -6,7,8,10 • General Surgery review was taken i/v/o Abdominal tenderness persistent, Direct hyperbilirubinemia and Therapeutic Drainage of subscapular and Deltoid abscess adviced • CECT Abdomen or MRCP to R/O cholangitis • Plan I&D for abscess
  • 57.
    Abscess culture andsensitivity STAPHYLOCOCCUS AUREUS (MSSA) ANTIMICROBIAL INTERPRETATION Cephalothin Sensitive Gentamicin Sensitive Ceftriaxone Sensitive Cotrimoxazole Sensitive Pencillin Resistant Erythromycin Sensitive Clindamycin Sensitive Amoxyclav Sensitive Vancomycin Sensitive Linezolid Sensitive Levofloxacin Sensitive
  • 58.
    Venous Doppler ofleft upper limb • Axillary vein thrombosis with significant flow restriction Patient was Discharged with stable vitals and was in surgery follow up for regular dressings
  • 59.
    Final Diagnosis Sepsis withMODS - Staphylococcal septicaemia secondary to left subscapularis and Deltoid abscess Left Axillary vein thrombosis Complicated UTI (Recovered) Pre Renal AKI (Recovered) Moderate ARDS ( Recovered) K/c/o Type 2 Diabetes Mellitus
  • 60.