College of Dentistry
Dental Public Health
Indices Used For Assessment of Gingival and
Periodontal Diseases -2-
Factors Affecting the Incidence & Prevalence of
Periodontal Diseases
Dr. Hazem El Ajrami
Master Degree in Orthodontic & PedodonticMaster Degree in Orthodontic & Pedodontic
5. Community Periodontal Index of
Treatment Need (CPITN):
This index is designed by Ainamo et al.
(1982) to asses periodontal treatment needs
rather than periodontal status i.e. for initial
screening and for monitoring changes in
periodontal needs of the individual in the
community. With this information appropriate
oral care service can planned for populations
and for individuals.
• The CPITN records the common treatable
conditions, namely periodontal pockets,
gingival inflammation (identified by bleeding
on gentle probing), and dental calculus and
other plaque retentive factors. It does not record
non-treatable or irreversible changes such as
gingival recession. Thus the term (treatment
need) is intended as a guide to the level or
magnitude for care when accepted periodontal
criteria are followed.
• The use of CPITN in epidemiology and in
clinical practice:
The most common use for CPITN is to
identify the prevalence and severity of
periodontal conditions with respect to
treatment needs whether in epidemiological
studies or in clinical practice.
• Compared with other epidemiological indices
for periodontal heath (e.g. periodontal index),
the CPITN is not only simple and practice but
more objective in its choice of clinical criteria
and methodology. In particular, the data offer
appreciation of the periodontal condition of a
population and their treatment needs and
personnel required.
• The procedure:
The dentition is divided into six parts
(sextants) and each sextant is given a score.
For epidemiological purpose, the score is
identified by examination of specified index
teeth, while in clinical practice the highest
score in each sextant is identified after
examination all teeth.
• Sextant (Sixths of the dentition):
The mouth is divided into six sextants defined
by teeth numbers.
Third molars are not included, except where
they are functioning in the place of second
molars.
2-5 6-11 12-15
18-21 22-27 28-31
• The treatment need in a sextant is recorded
only when 2 or more teeth are present and not
indicated for extraction. The indication of
extraction because of periodontal involvement
is that the tooth has vertical mobility and
causes discomfort to the patient.
• If only one functioning tooth remains in a
sextant, it is included in the adjacent sextant.
Missing sextants are indicated with a diagonal
line through the appropriate box:
• Index Teeth:
In epidemiological surveys for adults,
aged 20 years or more, only 10 teeth known
as the index teeth, are examined. These teeth
have been identified by WHO (1984) as the
best estimators of the worst periodontal
condition of the mouth. The ten specified
teeth are:
2,3 8 14,15
18,19 24 30,31
• Although 10 index teeth are examined, only 6
recordings, one relating to each sextant, are
made. When both or one of designated molars
are present, the worst finding from these tooth
surfaces is recorded for the sextant. If no index
teeth are present in a sextant qualifying for
examination, all remaining teeth in that sextant
are examined and the worst finding is recorded
resembling that sextant.
• N.B. whenever possible, the findings in every
tenth or twentieth subject should be recorded
both by examination of the index teeth and by
the worst finding per sextant, so the results
obtained by partial examination (partial
recording system) can be subjected to analysis
of reliability.
• In the oral health screening examinations for
the determination of treatment needs of
individual patients, partial recording system
using index teeth is considered insufficient, the
recording for each sextant is based on the
worst finding from all teeth in that sextant.
• For young people, up to 19 years, full
sextant recordings have little advantage over
partial recordings and only six index teeth
resembling the six sextants are only
examined, these teeth are:
3 8 14
19 24 30
• The second molars are excluded as index teeth
in young ages because of the high frequency of
false non- inflammatory pocket associated with
eruption. When examining children less than 15
years, pockets are not recorded although
probing for bleeding and calculus are carried
out as routine.
• For recording CPITN the following (chart
index) is recommended:
• The CPITN probe and probing procedure:
The CPITN probe (Tactile probe or sensing
instrument) should be considered an extension
of the examiners fingers, the probe has a thin
handle and of very light weight. This probe is
particularly designed for gentle manipulation
of the sensitive soft tissue around the teeth.
• The pocket depth is measured through colour
coding with a black mark starting at 3.5 mm
and ending at 5.5 mm. The probe has a ball tip
of 0.5 mm diameter that allows easy detection
of subgingival calculus. This feature,
combined with light probe weight, facilitates
the identification of the base of the pocket,
thus decreasing the tendency for false reading
by over measurements.
WHO periodontal probe
• A sensing force is used both to determine the
pocket depth and for detecting subgingival
calculus. The probe is inserted between the
tooth and the gingiva. The pocket depth is
sensed and readed against the colour code. The
direction of the probe during insertion should,
whenever possible, be in the same plane as
long axis of the tooth.
• The ball end should be kept in contact with the
root surface. Pain to the patient during probing
is an indication of a too heavy sensing force.
The recommended sites for probing are mesial,
mid line and distal of both buccal and lingual
surfaces.
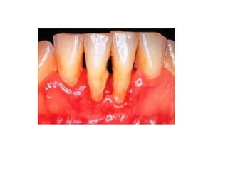
• Codes and criteria:
The appropriate code for each sextant is
determined with respect tooth following criteria:
Code 0: Healthy periodontal tissues.
Code 1: Bleeding observed during or after
gentle probing.
Code 2: Supra- or subgingival calculus or
other plaque retentive factors such as ill-
fitting crowns or poorly adapted edges of
restorations are either seen of felt during
probing.
The use of the CPITN periodontal probe for
determination of treatment need.
Code 3: Pathological pocket of 4-5 mm., that is,
when the gingival margin is on the black area of
the probe.
Code 4: Pathological pocket of 6 mm. or more,
that is, the black area of the CPITN probe is not
visible.
Code X: When only one tooth or no teeth are
present in a sextant (third molars are excluded
unless they function in place the second molars)
i.e. It is considered as missing sextant and is
indicated with a diagonal line through the
appropriate box and that single tooth, if present,
will be included in the adjacent sextant.
• Classification of treatment need:
Population groups or individuals are
allocated to the appropriate treatment need (TN)
category on the following basis:
TN 0:
A recording of code 0 or X (missing) for all
six sextant indicates that there is no need for
treatment.
 TN 1:
A code of 1 indicates a need for improving
the personal oral hygiene of that individual.
 TN 2:
a) A code of 2 indicates need for professional
cleaning of the teeth (scaling) and removal
of plaque retentive factors. In addition, then
patient obviously requires oral hygiene
instructions.
b) A code of 3 (shallow to moderate pocketing of
4 or 5 mm. depth) indicates need for scaling
and oral hygiene instructions. This will
usually reduce inflammation and bring 4 or 5
mm. pockets to values of 3 mm. below. Thus,
sextant of code 3 is placed in the same
treatment category scaling i.e. treatment need
2 (TN 2).
TN 3:
Sextant scoring code 4 (6 mm. or deeper
pocket) may or may not successfully treated
by means of deep scaling and efficient
personal or hygiene measures. Code 4 is
therefore assigned as “complex treatment”
which can involves deep scaling, root planning
and complex surgical procedures.
• Utilization of CPITN recordings:
The CPITN is designed for rapid and practical
assessment of various periodontal treatment
needs in population surveys and for initial
screening of patients attending for regular
dental care.
The time needed for the CPITN in recording
the codes the six segments should not exceed
1-2 minutes. The information obtained is
illustrated by the following examples:
• Case 1:
There is at least one deep pocket in the
right posterior and one or more moderately
deep pocket in the left posterior sextants of the
maxilla. Three sextants have no pocket depths
over 3 mm but do require scaling. One sextant
is missing.
4 2 3
2 2
• Case 2:
The maxilla is edentulous. The lower
anterior sextant requires scaling. The
mandibular posterior sextant requires improved
personal oral hygiene.
1 2 1
• Case 3:
There are moderately deep pocket in all
posterior sextants (require scaling).
There is bleeding on gentle probing in the
lower anterior sextant (a need of improved
personal hygiene in this area) and no
treatment need in the upper anterior region.
3 0 3
3 1 3
Factors Affecting the Incidence &
Prevalence of Periodontal Diseases
• Factors Affecting the Incidence &
Prevalence of Periodontal Diseases:
I. Host factors.
II. Agent factors.
III. Environmental factors.
I. Host factors:
1. Age.
2. Sex.
3. Correlation with oral hygiene.
4. Association with socioeconomic status.
5. Effect of tobacco.
6. Correlation with general disease.
7. Nutritional factors.
8. Correlation with traumatic occlusion.
9. Effect of race.
1. Age:
In all surveys in which severity has been
taken into account, periodontal disease has
been found to progress steadily throughout
life. Gingivitis is common in the primary
dentition of most children, in the teenage the
prevalence of gingivitis increases with
increasing age, from age 13 upwards the
proportion of persons with periodontal
pockets increases and so the number of teeth
with bone loss.
The strong correlation between periodontal
destruction and age suggests at first glance, that
age is an etiologic factor. The explanation is
most likely that periodontal disease is a
cumulative disease and the linear increase with
age reflects this feature.
Gingivitis is also common in the mixed dentition
stage it was found to be associated with
shedding and eruption of teeth.
2. Sex:
In particularly all surveys carried out in
U.S.A. and Europe, the periodontal conditions
are found to be significantly better in females
than in males when the status of oral hygiene is
compared in the two sexes, females are found to
be considerably better than males. In less
developed countries the sex difference seems to
be absent, or reversed, i.e. the periodontal
conditions are worse in females than in males,
at least after age 20. Even when males and
females of the same oral hygiene status are
compared, the females have periodontal disease.
• The most possible explanation of this
discrepancy is that female in developing
countries give birth to many children, and that
the frequent pregnancies and lactation periods
drain the mother from nutrients. During
pregnancy, gingivitis scores increases with a
peak in its last months of pregnancy. There is
also marked increases in pocket depth. Both
these characteristics return to normal values
after delivery.
3. Correlation with oral hygiene:
The main cause of periodontal disease is the
accumulation of debris, plaque and calculus on
teeth. Those deposits can be prevented from
accumulation by oral hygiene care.
 Regardless whether gingivitis, periodontitis, or
bone destruction is measured, there is a strong
correlation between the severity of these
conditions and oral hygiene. This association
comes particularly well out when an oral
hygiene index is used.
4. Association with socioeconomic status:
Several surveys have demonstrated that the
periodontal conditions improve as the years
of formal education increases, and income
goes up. The appreciation of these simple
facts may be of value to the public health
worker when he plans how to improve
periodontal conditions on a community basis.
5. Effect of tobacco:
The effect of tobacco is consistent and
convincing, particularly the prevalence of
ulcerative gingivitis in young cigarette
smokers is dramatic but also simple gingivitis
as well as periodontitis with bone resorption
increases with increasing tobacco
consumption. This may be due to effect of the
tobacco material itself and the heat derived
during smoking.
6. Correlation with general disease:
 Epidemiological investigations have failed
to correlate a widely hold opinion from the
early days of periodontology that general
diseases, and psychiatric disorders
predisposes to periodontal disease.
 But some systemic diseases modify tissue
response to dental plaque:
A.Diabetes.
B.Leukemia.
A. DIABETES:
There is a significant correlation between
diabetes and periodontal disease especially if
the patient has poor oral hygiene.
Effect of diabetes: the increase in blood sugar
level causes atherosclerosis and deposition of
mucopolysaccharides in blood vessels. This
leads to narrowing of the blood vessels of the
gingiva decreasing the blood supply and
nutrition of the gingival tissues.
B. LEUKEMIA:
Leukaemia patients manifest gingival
bleeding, enlargement and ulcerations.
7. Nutritional factors:
Reliable statistical data regarding the effect
of nutrition on periodontal diseases are rare;
particularly the effect of various vitamins has
been in focus of interest, and for a long time
they were considered to play a very
important role. E.g. scorbutic gingivitis occur
as a result of vitamin C deficiency.
8. Correlation with traumatic occlusion:
Malocclusion is difficult to characterize in a
numerical way, and so far no fully acceptable
index has been developed. Data accumulated
up to the present time indicate that there is
some correlation between periodontal disease
and some criteria of malocclusion.
A.Crowding: areas of crowding cause food
accumulation and present a difficulty in
maintaining good oral hygiene at those sites.
B.Protruded maxillary incisors: causes
incompetent lips, mouth breathing which
cause dryness of gingival tissues and cracking.
9. Effect of race:
The extreme difference in prevalence and
severity of periodontal renditions in Asia and
Africa on one side and U.S.A. and
Scandinavia on the other, suggests at first
glance that a racial predisposition may be
responsible for it. Such a difference also
exists between negro and white in U.S.A.
However when education, professional
dental care and oral hygiene were kept equal,
no clear cut difference was observed.
II. Agent Factors:
The most important factor in the etiology
of diseases are bacteria, and calculus. There is
a strong positive correlation between the
amount of bacteria as expressed by the plaque
index and the degree of gingival
inflammation expressed by the gingival index
scores. Furthermore, all epidemiologic
surveys showed a strong correlation between
oral hygiene status and the severity of
periodontal destruction.
III.Environmental Factors:
1. Geographic Distribution of Periodontal
Diseases.
2. Fluoride Concentration in Drinking Water.
3. Oral Environment.
1. Geographic distribution of periodontal
diseases:
Difference in geographic distribution of
periodontal diseases can only be estimated
when the same researcher or the same research
group carry out the examination in various
places. It has been found that periodontal
diseases are much more prevalent and much
more severe in some Asian and African
countries than in U.S.A. Some South American
countries seem to fall in between these two
extremities.
2. Fluoride concentration in drinking water:
The accurate data on this point are few but
finally consistent and show that periodontal
health improves as fluoride intake increases.
However, no statistical data to this effect
have apparently been documented. The
association between fluoride concentration
and periodontal condition is mainly due to
the decrease in number of carious cavities
especially cervical and proximal.
3. Oral environment:
a) Prosthetic restoration: several reports have
shown that gingival inflammation,
mobility and bone destruction increase in
teeth adjacent partial dentures or
orthodontic appliances. Prosthetic or
orthodontic appliances favor the
accumulation of plaque on the abutment
teeth particularly if they are improperly
designed or the patient has poor oral
hygiene.
b) Dental caries: there is positive association
between DMF scores to caries and scores for
gingivitis and periodontitis, although the
degree correlation may vary considerably.
Research data fail to substantial commonly
held opinions that there is an inverse
correlation between these two dental
diseases.
Thank You

D.p.h. 04

  • 2.
    College of Dentistry DentalPublic Health Indices Used For Assessment of Gingival and Periodontal Diseases -2- Factors Affecting the Incidence & Prevalence of Periodontal Diseases Dr. Hazem El Ajrami Master Degree in Orthodontic & PedodonticMaster Degree in Orthodontic & Pedodontic
  • 4.
    5. Community PeriodontalIndex of Treatment Need (CPITN): This index is designed by Ainamo et al. (1982) to asses periodontal treatment needs rather than periodontal status i.e. for initial screening and for monitoring changes in periodontal needs of the individual in the community. With this information appropriate oral care service can planned for populations and for individuals.
  • 5.
    • The CPITNrecords the common treatable conditions, namely periodontal pockets, gingival inflammation (identified by bleeding on gentle probing), and dental calculus and other plaque retentive factors. It does not record non-treatable or irreversible changes such as gingival recession. Thus the term (treatment need) is intended as a guide to the level or magnitude for care when accepted periodontal criteria are followed.
  • 7.
    • The useof CPITN in epidemiology and in clinical practice: The most common use for CPITN is to identify the prevalence and severity of periodontal conditions with respect to treatment needs whether in epidemiological studies or in clinical practice.
  • 8.
    • Compared withother epidemiological indices for periodontal heath (e.g. periodontal index), the CPITN is not only simple and practice but more objective in its choice of clinical criteria and methodology. In particular, the data offer appreciation of the periodontal condition of a population and their treatment needs and personnel required.
  • 9.
    • The procedure: Thedentition is divided into six parts (sextants) and each sextant is given a score. For epidemiological purpose, the score is identified by examination of specified index teeth, while in clinical practice the highest score in each sextant is identified after examination all teeth.
  • 10.
    • Sextant (Sixthsof the dentition): The mouth is divided into six sextants defined by teeth numbers. Third molars are not included, except where they are functioning in the place of second molars. 2-5 6-11 12-15 18-21 22-27 28-31
  • 11.
    • The treatmentneed in a sextant is recorded only when 2 or more teeth are present and not indicated for extraction. The indication of extraction because of periodontal involvement is that the tooth has vertical mobility and causes discomfort to the patient.
  • 13.
    • If onlyone functioning tooth remains in a sextant, it is included in the adjacent sextant. Missing sextants are indicated with a diagonal line through the appropriate box:
  • 14.
    • Index Teeth: Inepidemiological surveys for adults, aged 20 years or more, only 10 teeth known as the index teeth, are examined. These teeth have been identified by WHO (1984) as the best estimators of the worst periodontal condition of the mouth. The ten specified teeth are: 2,3 8 14,15 18,19 24 30,31
  • 15.
    • Although 10index teeth are examined, only 6 recordings, one relating to each sextant, are made. When both or one of designated molars are present, the worst finding from these tooth surfaces is recorded for the sextant. If no index teeth are present in a sextant qualifying for examination, all remaining teeth in that sextant are examined and the worst finding is recorded resembling that sextant.
  • 16.
    • N.B. wheneverpossible, the findings in every tenth or twentieth subject should be recorded both by examination of the index teeth and by the worst finding per sextant, so the results obtained by partial examination (partial recording system) can be subjected to analysis of reliability.
  • 17.
    • In theoral health screening examinations for the determination of treatment needs of individual patients, partial recording system using index teeth is considered insufficient, the recording for each sextant is based on the worst finding from all teeth in that sextant.
  • 18.
    • For youngpeople, up to 19 years, full sextant recordings have little advantage over partial recordings and only six index teeth resembling the six sextants are only examined, these teeth are: 3 8 14 19 24 30
  • 19.
    • The secondmolars are excluded as index teeth in young ages because of the high frequency of false non- inflammatory pocket associated with eruption. When examining children less than 15 years, pockets are not recorded although probing for bleeding and calculus are carried out as routine. • For recording CPITN the following (chart index) is recommended:
  • 20.
    • The CPITNprobe and probing procedure: The CPITN probe (Tactile probe or sensing instrument) should be considered an extension of the examiners fingers, the probe has a thin handle and of very light weight. This probe is particularly designed for gentle manipulation of the sensitive soft tissue around the teeth.
  • 22.
    • The pocketdepth is measured through colour coding with a black mark starting at 3.5 mm and ending at 5.5 mm. The probe has a ball tip of 0.5 mm diameter that allows easy detection of subgingival calculus. This feature, combined with light probe weight, facilitates the identification of the base of the pocket, thus decreasing the tendency for false reading by over measurements.
  • 23.
  • 24.
    • A sensingforce is used both to determine the pocket depth and for detecting subgingival calculus. The probe is inserted between the tooth and the gingiva. The pocket depth is sensed and readed against the colour code. The direction of the probe during insertion should, whenever possible, be in the same plane as long axis of the tooth.
  • 27.
    • The ballend should be kept in contact with the root surface. Pain to the patient during probing is an indication of a too heavy sensing force. The recommended sites for probing are mesial, mid line and distal of both buccal and lingual surfaces.
  • 28.
    • Codes andcriteria: The appropriate code for each sextant is determined with respect tooth following criteria: Code 0: Healthy periodontal tissues. Code 1: Bleeding observed during or after gentle probing. Code 2: Supra- or subgingival calculus or other plaque retentive factors such as ill- fitting crowns or poorly adapted edges of restorations are either seen of felt during probing.
  • 30.
    The use ofthe CPITN periodontal probe for determination of treatment need.
  • 31.
    Code 3: Pathologicalpocket of 4-5 mm., that is, when the gingival margin is on the black area of the probe. Code 4: Pathological pocket of 6 mm. or more, that is, the black area of the CPITN probe is not visible. Code X: When only one tooth or no teeth are present in a sextant (third molars are excluded unless they function in place the second molars) i.e. It is considered as missing sextant and is indicated with a diagonal line through the appropriate box and that single tooth, if present, will be included in the adjacent sextant.
  • 32.
    • Classification oftreatment need: Population groups or individuals are allocated to the appropriate treatment need (TN) category on the following basis: TN 0: A recording of code 0 or X (missing) for all six sextant indicates that there is no need for treatment.  TN 1: A code of 1 indicates a need for improving the personal oral hygiene of that individual.
  • 34.
     TN 2: a)A code of 2 indicates need for professional cleaning of the teeth (scaling) and removal of plaque retentive factors. In addition, then patient obviously requires oral hygiene instructions.
  • 36.
    b) A codeof 3 (shallow to moderate pocketing of 4 or 5 mm. depth) indicates need for scaling and oral hygiene instructions. This will usually reduce inflammation and bring 4 or 5 mm. pockets to values of 3 mm. below. Thus, sextant of code 3 is placed in the same treatment category scaling i.e. treatment need 2 (TN 2).
  • 37.
    TN 3: Sextant scoringcode 4 (6 mm. or deeper pocket) may or may not successfully treated by means of deep scaling and efficient personal or hygiene measures. Code 4 is therefore assigned as “complex treatment” which can involves deep scaling, root planning and complex surgical procedures.
  • 40.
    • Utilization ofCPITN recordings: The CPITN is designed for rapid and practical assessment of various periodontal treatment needs in population surveys and for initial screening of patients attending for regular dental care. The time needed for the CPITN in recording the codes the six segments should not exceed 1-2 minutes. The information obtained is illustrated by the following examples:
  • 41.
    • Case 1: Thereis at least one deep pocket in the right posterior and one or more moderately deep pocket in the left posterior sextants of the maxilla. Three sextants have no pocket depths over 3 mm but do require scaling. One sextant is missing. 4 2 3 2 2
  • 42.
    • Case 2: Themaxilla is edentulous. The lower anterior sextant requires scaling. The mandibular posterior sextant requires improved personal oral hygiene. 1 2 1
  • 43.
    • Case 3: Thereare moderately deep pocket in all posterior sextants (require scaling). There is bleeding on gentle probing in the lower anterior sextant (a need of improved personal hygiene in this area) and no treatment need in the upper anterior region. 3 0 3 3 1 3
  • 44.
    Factors Affecting theIncidence & Prevalence of Periodontal Diseases
  • 45.
    • Factors Affectingthe Incidence & Prevalence of Periodontal Diseases: I. Host factors. II. Agent factors. III. Environmental factors.
  • 46.
    I. Host factors: 1.Age. 2. Sex. 3. Correlation with oral hygiene. 4. Association with socioeconomic status. 5. Effect of tobacco. 6. Correlation with general disease. 7. Nutritional factors. 8. Correlation with traumatic occlusion. 9. Effect of race.
  • 47.
    1. Age: In allsurveys in which severity has been taken into account, periodontal disease has been found to progress steadily throughout life. Gingivitis is common in the primary dentition of most children, in the teenage the prevalence of gingivitis increases with increasing age, from age 13 upwards the proportion of persons with periodontal pockets increases and so the number of teeth with bone loss.
  • 48.
    The strong correlationbetween periodontal destruction and age suggests at first glance, that age is an etiologic factor. The explanation is most likely that periodontal disease is a cumulative disease and the linear increase with age reflects this feature. Gingivitis is also common in the mixed dentition stage it was found to be associated with shedding and eruption of teeth.
  • 50.
    2. Sex: In particularlyall surveys carried out in U.S.A. and Europe, the periodontal conditions are found to be significantly better in females than in males when the status of oral hygiene is compared in the two sexes, females are found to be considerably better than males. In less developed countries the sex difference seems to be absent, or reversed, i.e. the periodontal conditions are worse in females than in males, at least after age 20. Even when males and females of the same oral hygiene status are compared, the females have periodontal disease.
  • 51.
    • The mostpossible explanation of this discrepancy is that female in developing countries give birth to many children, and that the frequent pregnancies and lactation periods drain the mother from nutrients. During pregnancy, gingivitis scores increases with a peak in its last months of pregnancy. There is also marked increases in pocket depth. Both these characteristics return to normal values after delivery.
  • 53.
    3. Correlation withoral hygiene: The main cause of periodontal disease is the accumulation of debris, plaque and calculus on teeth. Those deposits can be prevented from accumulation by oral hygiene care.
  • 54.
     Regardless whethergingivitis, periodontitis, or bone destruction is measured, there is a strong correlation between the severity of these conditions and oral hygiene. This association comes particularly well out when an oral hygiene index is used.
  • 56.
    4. Association withsocioeconomic status: Several surveys have demonstrated that the periodontal conditions improve as the years of formal education increases, and income goes up. The appreciation of these simple facts may be of value to the public health worker when he plans how to improve periodontal conditions on a community basis.
  • 57.
    5. Effect oftobacco: The effect of tobacco is consistent and convincing, particularly the prevalence of ulcerative gingivitis in young cigarette smokers is dramatic but also simple gingivitis as well as periodontitis with bone resorption increases with increasing tobacco consumption. This may be due to effect of the tobacco material itself and the heat derived during smoking.
  • 60.
    6. Correlation withgeneral disease:  Epidemiological investigations have failed to correlate a widely hold opinion from the early days of periodontology that general diseases, and psychiatric disorders predisposes to periodontal disease.  But some systemic diseases modify tissue response to dental plaque: A.Diabetes. B.Leukemia.
  • 61.
    A. DIABETES: There isa significant correlation between diabetes and periodontal disease especially if the patient has poor oral hygiene. Effect of diabetes: the increase in blood sugar level causes atherosclerosis and deposition of mucopolysaccharides in blood vessels. This leads to narrowing of the blood vessels of the gingiva decreasing the blood supply and nutrition of the gingival tissues.
  • 64.
    B. LEUKEMIA: Leukaemia patientsmanifest gingival bleeding, enlargement and ulcerations.
  • 66.
    7. Nutritional factors: Reliablestatistical data regarding the effect of nutrition on periodontal diseases are rare; particularly the effect of various vitamins has been in focus of interest, and for a long time they were considered to play a very important role. E.g. scorbutic gingivitis occur as a result of vitamin C deficiency.
  • 68.
    8. Correlation withtraumatic occlusion: Malocclusion is difficult to characterize in a numerical way, and so far no fully acceptable index has been developed. Data accumulated up to the present time indicate that there is some correlation between periodontal disease and some criteria of malocclusion.
  • 69.
    A.Crowding: areas ofcrowding cause food accumulation and present a difficulty in maintaining good oral hygiene at those sites. B.Protruded maxillary incisors: causes incompetent lips, mouth breathing which cause dryness of gingival tissues and cracking.
  • 72.
    9. Effect ofrace: The extreme difference in prevalence and severity of periodontal renditions in Asia and Africa on one side and U.S.A. and Scandinavia on the other, suggests at first glance that a racial predisposition may be responsible for it. Such a difference also exists between negro and white in U.S.A. However when education, professional dental care and oral hygiene were kept equal, no clear cut difference was observed.
  • 73.
    II. Agent Factors: Themost important factor in the etiology of diseases are bacteria, and calculus. There is a strong positive correlation between the amount of bacteria as expressed by the plaque index and the degree of gingival inflammation expressed by the gingival index scores. Furthermore, all epidemiologic surveys showed a strong correlation between oral hygiene status and the severity of periodontal destruction.
  • 74.
    III.Environmental Factors: 1. GeographicDistribution of Periodontal Diseases. 2. Fluoride Concentration in Drinking Water. 3. Oral Environment.
  • 75.
    1. Geographic distributionof periodontal diseases: Difference in geographic distribution of periodontal diseases can only be estimated when the same researcher or the same research group carry out the examination in various places. It has been found that periodontal diseases are much more prevalent and much more severe in some Asian and African countries than in U.S.A. Some South American countries seem to fall in between these two extremities.
  • 76.
    2. Fluoride concentrationin drinking water: The accurate data on this point are few but finally consistent and show that periodontal health improves as fluoride intake increases. However, no statistical data to this effect have apparently been documented. The association between fluoride concentration and periodontal condition is mainly due to the decrease in number of carious cavities especially cervical and proximal.
  • 78.
    3. Oral environment: a)Prosthetic restoration: several reports have shown that gingival inflammation, mobility and bone destruction increase in teeth adjacent partial dentures or orthodontic appliances. Prosthetic or orthodontic appliances favor the accumulation of plaque on the abutment teeth particularly if they are improperly designed or the patient has poor oral hygiene.
  • 81.
    b) Dental caries:there is positive association between DMF scores to caries and scores for gingivitis and periodontitis, although the degree correlation may vary considerably. Research data fail to substantial commonly held opinions that there is an inverse correlation between these two dental diseases.
  • 82.